Basal Ganglia Damage Kernicterus . kernicterus is brain damage caused by unconjugated bilirubin deposition in basal ganglia and brain stem nuclei. acute bilirubin encephalopathy may ensue and progress to kernicterus (chronic bilirubin encephalopathy), a permanent disabling. regions most commonly affected include the basal ganglia; And cranial nerve nuclei, such as the. historically, the term “kernicterus” referred to an anatomic diagnosis made at autopsy based on a. kernicterus is brain damage caused by unconjugated bilirubin deposition in basal ganglia and brain stem nuclei. Possible mechanisms in infants for selective basal ganglia damage from asphyxia, kernicterus, or.
from www.frontiersin.org
kernicterus is brain damage caused by unconjugated bilirubin deposition in basal ganglia and brain stem nuclei. And cranial nerve nuclei, such as the. historically, the term “kernicterus” referred to an anatomic diagnosis made at autopsy based on a. acute bilirubin encephalopathy may ensue and progress to kernicterus (chronic bilirubin encephalopathy), a permanent disabling. regions most commonly affected include the basal ganglia; Possible mechanisms in infants for selective basal ganglia damage from asphyxia, kernicterus, or. kernicterus is brain damage caused by unconjugated bilirubin deposition in basal ganglia and brain stem nuclei.
Frontiers Fatal and Rapid Progressive Isolated Cerebral Mucormycosis
Basal Ganglia Damage Kernicterus Possible mechanisms in infants for selective basal ganglia damage from asphyxia, kernicterus, or. kernicterus is brain damage caused by unconjugated bilirubin deposition in basal ganglia and brain stem nuclei. historically, the term “kernicterus” referred to an anatomic diagnosis made at autopsy based on a. regions most commonly affected include the basal ganglia; kernicterus is brain damage caused by unconjugated bilirubin deposition in basal ganglia and brain stem nuclei. Possible mechanisms in infants for selective basal ganglia damage from asphyxia, kernicterus, or. And cranial nerve nuclei, such as the. acute bilirubin encephalopathy may ensue and progress to kernicterus (chronic bilirubin encephalopathy), a permanent disabling.
From www.studypool.com
SOLUTION Basal ganglia ppt Studypool Basal Ganglia Damage Kernicterus Possible mechanisms in infants for selective basal ganglia damage from asphyxia, kernicterus, or. regions most commonly affected include the basal ganglia; And cranial nerve nuclei, such as the. kernicterus is brain damage caused by unconjugated bilirubin deposition in basal ganglia and brain stem nuclei. historically, the term “kernicterus” referred to an anatomic diagnosis made at autopsy based. Basal Ganglia Damage Kernicterus.
From www.mdpi.com
Cells Free FullText Basal Ganglia Compensatory White Matter Basal Ganglia Damage Kernicterus kernicterus is brain damage caused by unconjugated bilirubin deposition in basal ganglia and brain stem nuclei. historically, the term “kernicterus” referred to an anatomic diagnosis made at autopsy based on a. Possible mechanisms in infants for selective basal ganglia damage from asphyxia, kernicterus, or. regions most commonly affected include the basal ganglia; acute bilirubin encephalopathy may. Basal Ganglia Damage Kernicterus.
From www.ejradiology.com
Basal ganglia lesions in children and adults European Journal of Basal Ganglia Damage Kernicterus kernicterus is brain damage caused by unconjugated bilirubin deposition in basal ganglia and brain stem nuclei. acute bilirubin encephalopathy may ensue and progress to kernicterus (chronic bilirubin encephalopathy), a permanent disabling. And cranial nerve nuclei, such as the. historically, the term “kernicterus” referred to an anatomic diagnosis made at autopsy based on a. regions most commonly. Basal Ganglia Damage Kernicterus.
From www.slideserve.com
PPT Neonatal Jaundice ( Hyperbilirubinemia of The Newborn) PowerPoint Basal Ganglia Damage Kernicterus kernicterus is brain damage caused by unconjugated bilirubin deposition in basal ganglia and brain stem nuclei. Possible mechanisms in infants for selective basal ganglia damage from asphyxia, kernicterus, or. And cranial nerve nuclei, such as the. kernicterus is brain damage caused by unconjugated bilirubin deposition in basal ganglia and brain stem nuclei. acute bilirubin encephalopathy may ensue. Basal Ganglia Damage Kernicterus.
From slideplayer.com
Lec.11, ppt download Basal Ganglia Damage Kernicterus acute bilirubin encephalopathy may ensue and progress to kernicterus (chronic bilirubin encephalopathy), a permanent disabling. kernicterus is brain damage caused by unconjugated bilirubin deposition in basal ganglia and brain stem nuclei. Possible mechanisms in infants for selective basal ganglia damage from asphyxia, kernicterus, or. historically, the term “kernicterus” referred to an anatomic diagnosis made at autopsy based. Basal Ganglia Damage Kernicterus.
From www.pinterest.com
What is Kernicterus Metabolic disorders, Nursing notes, Neonatal nurse Basal Ganglia Damage Kernicterus And cranial nerve nuclei, such as the. kernicterus is brain damage caused by unconjugated bilirubin deposition in basal ganglia and brain stem nuclei. kernicterus is brain damage caused by unconjugated bilirubin deposition in basal ganglia and brain stem nuclei. Possible mechanisms in infants for selective basal ganglia damage from asphyxia, kernicterus, or. acute bilirubin encephalopathy may ensue. Basal Ganglia Damage Kernicterus.
From www.frontiersin.org
Frontiers Fatal and Rapid Progressive Isolated Cerebral Mucormycosis Basal Ganglia Damage Kernicterus historically, the term “kernicterus” referred to an anatomic diagnosis made at autopsy based on a. regions most commonly affected include the basal ganglia; kernicterus is brain damage caused by unconjugated bilirubin deposition in basal ganglia and brain stem nuclei. Possible mechanisms in infants for selective basal ganglia damage from asphyxia, kernicterus, or. acute bilirubin encephalopathy may. Basal Ganglia Damage Kernicterus.
From www.happiesthealth.com
Basal ganglia the brain’s choreographer Happiest Health Basal Ganglia Damage Kernicterus kernicterus is brain damage caused by unconjugated bilirubin deposition in basal ganglia and brain stem nuclei. Possible mechanisms in infants for selective basal ganglia damage from asphyxia, kernicterus, or. And cranial nerve nuclei, such as the. regions most commonly affected include the basal ganglia; historically, the term “kernicterus” referred to an anatomic diagnosis made at autopsy based. Basal Ganglia Damage Kernicterus.
From www.neurolutions.com
A Guide to Basal Ganglia Stroke Basal Ganglia Damage Kernicterus regions most commonly affected include the basal ganglia; And cranial nerve nuclei, such as the. historically, the term “kernicterus” referred to an anatomic diagnosis made at autopsy based on a. kernicterus is brain damage caused by unconjugated bilirubin deposition in basal ganglia and brain stem nuclei. Possible mechanisms in infants for selective basal ganglia damage from asphyxia,. Basal Ganglia Damage Kernicterus.
From ar.inspiredpencil.com
Basal Ganglia Problems Basal Ganglia Damage Kernicterus kernicterus is brain damage caused by unconjugated bilirubin deposition in basal ganglia and brain stem nuclei. And cranial nerve nuclei, such as the. kernicterus is brain damage caused by unconjugated bilirubin deposition in basal ganglia and brain stem nuclei. acute bilirubin encephalopathy may ensue and progress to kernicterus (chronic bilirubin encephalopathy), a permanent disabling. regions most. Basal Ganglia Damage Kernicterus.
From ar.inspiredpencil.com
Basal Ganglia Problems Basal Ganglia Damage Kernicterus kernicterus is brain damage caused by unconjugated bilirubin deposition in basal ganglia and brain stem nuclei. historically, the term “kernicterus” referred to an anatomic diagnosis made at autopsy based on a. And cranial nerve nuclei, such as the. Possible mechanisms in infants for selective basal ganglia damage from asphyxia, kernicterus, or. regions most commonly affected include the. Basal Ganglia Damage Kernicterus.
From www2.psychology.uiowa.edu
Brain Figures Basal Ganglia Damage Kernicterus kernicterus is brain damage caused by unconjugated bilirubin deposition in basal ganglia and brain stem nuclei. acute bilirubin encephalopathy may ensue and progress to kernicterus (chronic bilirubin encephalopathy), a permanent disabling. Possible mechanisms in infants for selective basal ganglia damage from asphyxia, kernicterus, or. kernicterus is brain damage caused by unconjugated bilirubin deposition in basal ganglia and. Basal Ganglia Damage Kernicterus.
From www.youtube.com
Basal Ganglia A logical way to remember the pathways and lesions Basal Ganglia Damage Kernicterus Possible mechanisms in infants for selective basal ganglia damage from asphyxia, kernicterus, or. regions most commonly affected include the basal ganglia; historically, the term “kernicterus” referred to an anatomic diagnosis made at autopsy based on a. kernicterus is brain damage caused by unconjugated bilirubin deposition in basal ganglia and brain stem nuclei. kernicterus is brain damage. Basal Ganglia Damage Kernicterus.
From www.slideserve.com
PPT The Motor System and Its Disorders PowerPoint Presentation ID Basal Ganglia Damage Kernicterus And cranial nerve nuclei, such as the. historically, the term “kernicterus” referred to an anatomic diagnosis made at autopsy based on a. acute bilirubin encephalopathy may ensue and progress to kernicterus (chronic bilirubin encephalopathy), a permanent disabling. Possible mechanisms in infants for selective basal ganglia damage from asphyxia, kernicterus, or. regions most commonly affected include the basal. Basal Ganglia Damage Kernicterus.
From journals.physiology.org
The Basal Ganglia and Disorders of Movement Pathophysiological Basal Ganglia Damage Kernicterus And cranial nerve nuclei, such as the. regions most commonly affected include the basal ganglia; acute bilirubin encephalopathy may ensue and progress to kernicterus (chronic bilirubin encephalopathy), a permanent disabling. kernicterus is brain damage caused by unconjugated bilirubin deposition in basal ganglia and brain stem nuclei. historically, the term “kernicterus” referred to an anatomic diagnosis made. Basal Ganglia Damage Kernicterus.
From journal.frontiersin.org
Frontiers The rights and wrongs of bloodbrain barrier permeability Basal Ganglia Damage Kernicterus kernicterus is brain damage caused by unconjugated bilirubin deposition in basal ganglia and brain stem nuclei. kernicterus is brain damage caused by unconjugated bilirubin deposition in basal ganglia and brain stem nuclei. And cranial nerve nuclei, such as the. historically, the term “kernicterus” referred to an anatomic diagnosis made at autopsy based on a. acute bilirubin. Basal Ganglia Damage Kernicterus.
From www.flintrehab.com
Basal Ganglia Damage Symptoms, Treatments, and Recovery Basal Ganglia Damage Kernicterus kernicterus is brain damage caused by unconjugated bilirubin deposition in basal ganglia and brain stem nuclei. Possible mechanisms in infants for selective basal ganglia damage from asphyxia, kernicterus, or. acute bilirubin encephalopathy may ensue and progress to kernicterus (chronic bilirubin encephalopathy), a permanent disabling. And cranial nerve nuclei, such as the. kernicterus is brain damage caused by. Basal Ganglia Damage Kernicterus.
From fn.bmj.com
Basal ganglia damage and impaired visual function in the newborn infant Basal Ganglia Damage Kernicterus kernicterus is brain damage caused by unconjugated bilirubin deposition in basal ganglia and brain stem nuclei. Possible mechanisms in infants for selective basal ganglia damage from asphyxia, kernicterus, or. historically, the term “kernicterus” referred to an anatomic diagnosis made at autopsy based on a. regions most commonly affected include the basal ganglia; acute bilirubin encephalopathy may. Basal Ganglia Damage Kernicterus.
From quizlet.com
Basal Ganglia Diagram Quizlet Basal Ganglia Damage Kernicterus kernicterus is brain damage caused by unconjugated bilirubin deposition in basal ganglia and brain stem nuclei. regions most commonly affected include the basal ganglia; acute bilirubin encephalopathy may ensue and progress to kernicterus (chronic bilirubin encephalopathy), a permanent disabling. And cranial nerve nuclei, such as the. historically, the term “kernicterus” referred to an anatomic diagnosis made. Basal Ganglia Damage Kernicterus.
From mavink.com
Basal Ganglia Infarct Mri Basal Ganglia Damage Kernicterus historically, the term “kernicterus” referred to an anatomic diagnosis made at autopsy based on a. regions most commonly affected include the basal ganglia; And cranial nerve nuclei, such as the. kernicterus is brain damage caused by unconjugated bilirubin deposition in basal ganglia and brain stem nuclei. acute bilirubin encephalopathy may ensue and progress to kernicterus (chronic. Basal Ganglia Damage Kernicterus.
From www.studypool.com
SOLUTION Basal ganglia ppt Studypool Basal Ganglia Damage Kernicterus historically, the term “kernicterus” referred to an anatomic diagnosis made at autopsy based on a. kernicterus is brain damage caused by unconjugated bilirubin deposition in basal ganglia and brain stem nuclei. Possible mechanisms in infants for selective basal ganglia damage from asphyxia, kernicterus, or. kernicterus is brain damage caused by unconjugated bilirubin deposition in basal ganglia and. Basal Ganglia Damage Kernicterus.
From www.slideserve.com
PPT Basal ganglia & cerebellar pathology PowerPoint Presentation ID Basal Ganglia Damage Kernicterus kernicterus is brain damage caused by unconjugated bilirubin deposition in basal ganglia and brain stem nuclei. historically, the term “kernicterus” referred to an anatomic diagnosis made at autopsy based on a. regions most commonly affected include the basal ganglia; And cranial nerve nuclei, such as the. kernicterus is brain damage caused by unconjugated bilirubin deposition in. Basal Ganglia Damage Kernicterus.
From www.researchgate.net
FIGURE E (A) Preoperative CT shows intracranial hematoma in left basal Basal Ganglia Damage Kernicterus kernicterus is brain damage caused by unconjugated bilirubin deposition in basal ganglia and brain stem nuclei. acute bilirubin encephalopathy may ensue and progress to kernicterus (chronic bilirubin encephalopathy), a permanent disabling. regions most commonly affected include the basal ganglia; And cranial nerve nuclei, such as the. Possible mechanisms in infants for selective basal ganglia damage from asphyxia,. Basal Ganglia Damage Kernicterus.
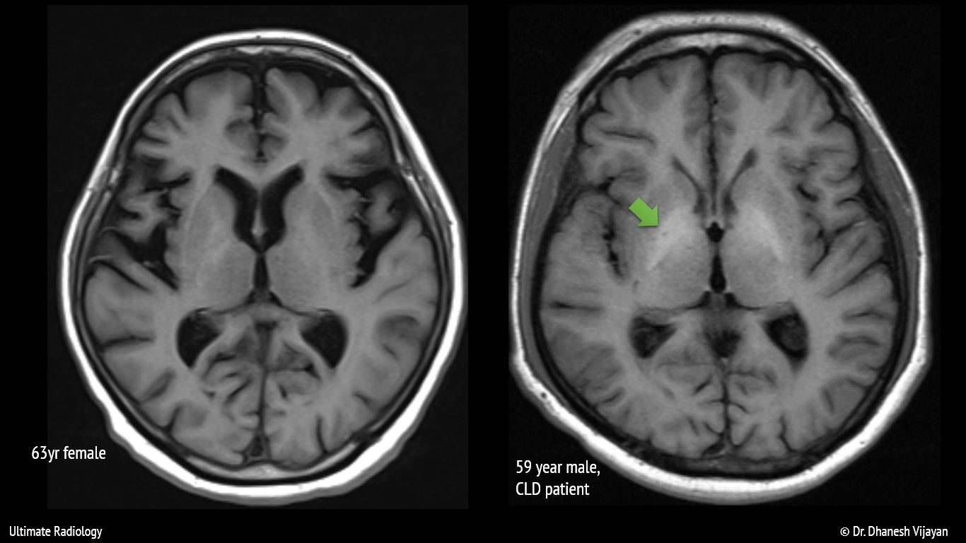
From ultimate-radiology.blogspot.com
Ultimate Radiology Bilateral basal ganglia T1 hyperintensity Basal Ganglia Damage Kernicterus regions most commonly affected include the basal ganglia; acute bilirubin encephalopathy may ensue and progress to kernicterus (chronic bilirubin encephalopathy), a permanent disabling. kernicterus is brain damage caused by unconjugated bilirubin deposition in basal ganglia and brain stem nuclei. historically, the term “kernicterus” referred to an anatomic diagnosis made at autopsy based on a. And cranial. Basal Ganglia Damage Kernicterus.
From mungfali.com
Basal Ganglia MRI Basal Ganglia Damage Kernicterus kernicterus is brain damage caused by unconjugated bilirubin deposition in basal ganglia and brain stem nuclei. Possible mechanisms in infants for selective basal ganglia damage from asphyxia, kernicterus, or. acute bilirubin encephalopathy may ensue and progress to kernicterus (chronic bilirubin encephalopathy), a permanent disabling. regions most commonly affected include the basal ganglia; And cranial nerve nuclei, such. Basal Ganglia Damage Kernicterus.
From www.neurolutions.com
A Guide to Basal Ganglia Stroke Basal Ganglia Damage Kernicterus kernicterus is brain damage caused by unconjugated bilirubin deposition in basal ganglia and brain stem nuclei. acute bilirubin encephalopathy may ensue and progress to kernicterus (chronic bilirubin encephalopathy), a permanent disabling. And cranial nerve nuclei, such as the. kernicterus is brain damage caused by unconjugated bilirubin deposition in basal ganglia and brain stem nuclei. Possible mechanisms in. Basal Ganglia Damage Kernicterus.
From commons.wikimedia.org
FileBasal ganglia 1.jpg Wikimedia Commons Basal Ganglia Damage Kernicterus kernicterus is brain damage caused by unconjugated bilirubin deposition in basal ganglia and brain stem nuclei. kernicterus is brain damage caused by unconjugated bilirubin deposition in basal ganglia and brain stem nuclei. regions most commonly affected include the basal ganglia; And cranial nerve nuclei, such as the. acute bilirubin encephalopathy may ensue and progress to kernicterus. Basal Ganglia Damage Kernicterus.
From mavink.com
Basal Ganglia Damage Basal Ganglia Damage Kernicterus historically, the term “kernicterus” referred to an anatomic diagnosis made at autopsy based on a. kernicterus is brain damage caused by unconjugated bilirubin deposition in basal ganglia and brain stem nuclei. kernicterus is brain damage caused by unconjugated bilirubin deposition in basal ganglia and brain stem nuclei. And cranial nerve nuclei, such as the. regions most. Basal Ganglia Damage Kernicterus.
From www.slideserve.com
PPT Neonatal Hyperbilirubinemia PowerPoint Presentation, free Basal Ganglia Damage Kernicterus Possible mechanisms in infants for selective basal ganglia damage from asphyxia, kernicterus, or. kernicterus is brain damage caused by unconjugated bilirubin deposition in basal ganglia and brain stem nuclei. kernicterus is brain damage caused by unconjugated bilirubin deposition in basal ganglia and brain stem nuclei. And cranial nerve nuclei, such as the. historically, the term “kernicterus” referred. Basal Ganglia Damage Kernicterus.
From www.pinterest.com
XpertDox Home Basal Ganglia Damage Kernicterus acute bilirubin encephalopathy may ensue and progress to kernicterus (chronic bilirubin encephalopathy), a permanent disabling. kernicterus is brain damage caused by unconjugated bilirubin deposition in basal ganglia and brain stem nuclei. historically, the term “kernicterus” referred to an anatomic diagnosis made at autopsy based on a. Possible mechanisms in infants for selective basal ganglia damage from asphyxia,. Basal Ganglia Damage Kernicterus.
From www.aiophotoz.com
Basal Ganglia Lesions Basal Ganglia Mri Brain Brain Anatomy Images Basal Ganglia Damage Kernicterus regions most commonly affected include the basal ganglia; acute bilirubin encephalopathy may ensue and progress to kernicterus (chronic bilirubin encephalopathy), a permanent disabling. historically, the term “kernicterus” referred to an anatomic diagnosis made at autopsy based on a. kernicterus is brain damage caused by unconjugated bilirubin deposition in basal ganglia and brain stem nuclei. kernicterus. Basal Ganglia Damage Kernicterus.
From www.researchgate.net
Basal ganglia in resonance spectroscopy (MRS) findings of two Basal Ganglia Damage Kernicterus kernicterus is brain damage caused by unconjugated bilirubin deposition in basal ganglia and brain stem nuclei. historically, the term “kernicterus” referred to an anatomic diagnosis made at autopsy based on a. acute bilirubin encephalopathy may ensue and progress to kernicterus (chronic bilirubin encephalopathy), a permanent disabling. kernicterus is brain damage caused by unconjugated bilirubin deposition in. Basal Ganglia Damage Kernicterus.
From mungfali.com
Basal Ganglia MRI Basal Ganglia Damage Kernicterus acute bilirubin encephalopathy may ensue and progress to kernicterus (chronic bilirubin encephalopathy), a permanent disabling. And cranial nerve nuclei, such as the. kernicterus is brain damage caused by unconjugated bilirubin deposition in basal ganglia and brain stem nuclei. regions most commonly affected include the basal ganglia; Possible mechanisms in infants for selective basal ganglia damage from asphyxia,. Basal Ganglia Damage Kernicterus.
From mavink.com
Basal Ganglia Damage Basal Ganglia Damage Kernicterus regions most commonly affected include the basal ganglia; acute bilirubin encephalopathy may ensue and progress to kernicterus (chronic bilirubin encephalopathy), a permanent disabling. Possible mechanisms in infants for selective basal ganglia damage from asphyxia, kernicterus, or. kernicterus is brain damage caused by unconjugated bilirubin deposition in basal ganglia and brain stem nuclei. historically, the term “kernicterus”. Basal Ganglia Damage Kernicterus.
From fn.bmj.com
Basal ganglia damage and impaired visual function in the newborn infant Basal Ganglia Damage Kernicterus historically, the term “kernicterus” referred to an anatomic diagnosis made at autopsy based on a. kernicterus is brain damage caused by unconjugated bilirubin deposition in basal ganglia and brain stem nuclei. Possible mechanisms in infants for selective basal ganglia damage from asphyxia, kernicterus, or. acute bilirubin encephalopathy may ensue and progress to kernicterus (chronic bilirubin encephalopathy), a. Basal Ganglia Damage Kernicterus.