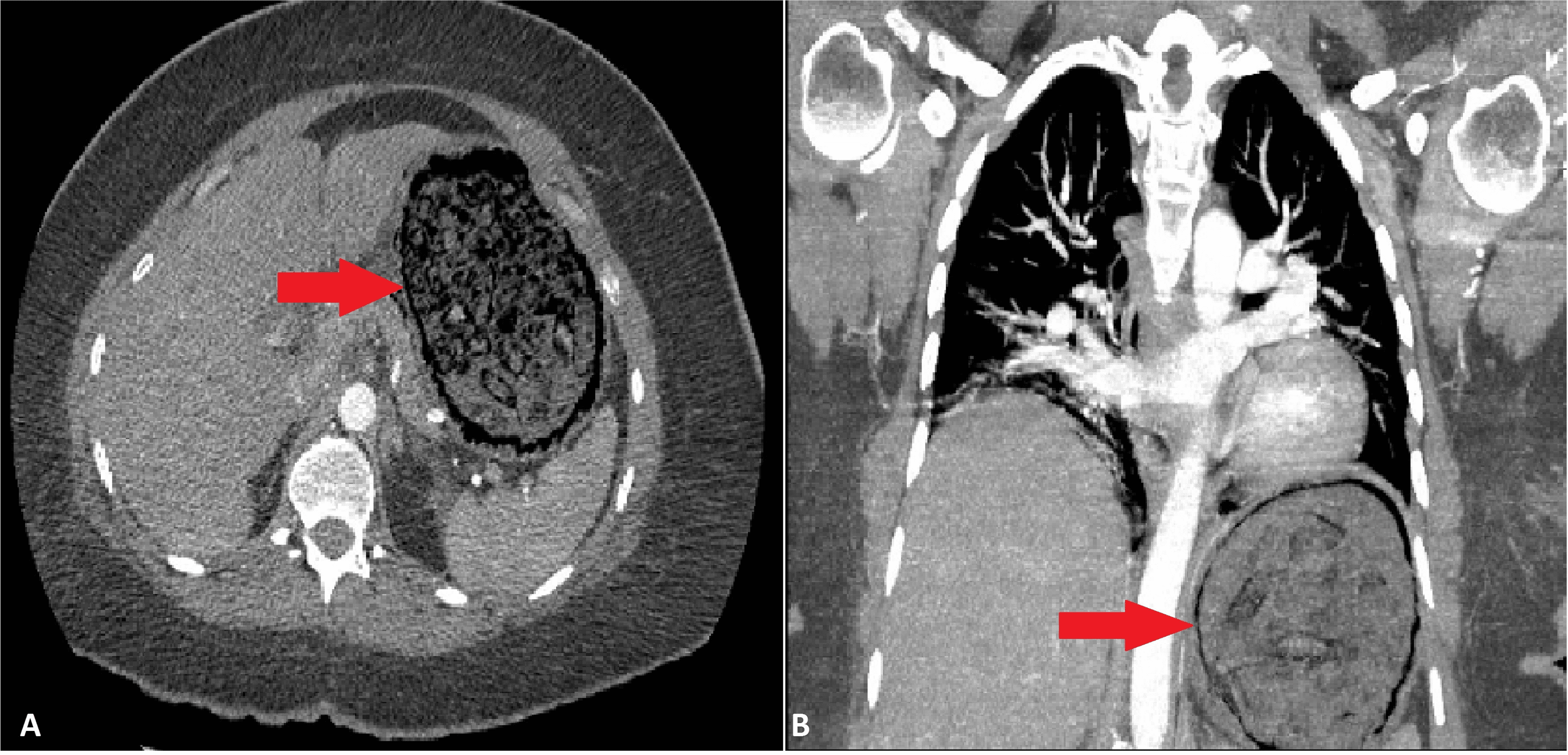
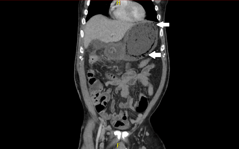
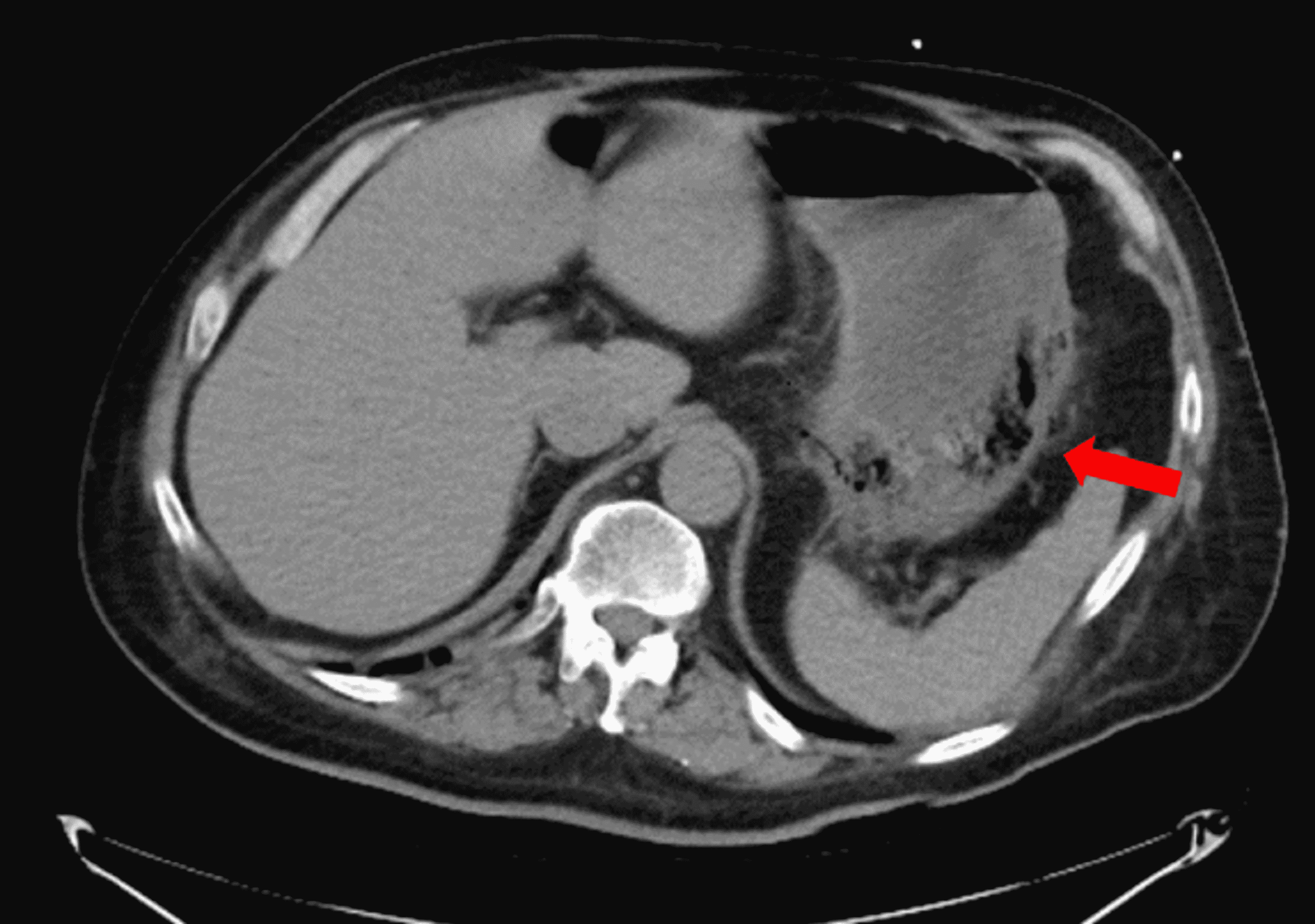
Case Report Of Emphysematous Gastritis . Emphysematous gastritis (eg) is an exceedingly rare cause of severe abdominal pain with an associated mortality reported at greater. 1 as in our case, diabetes mellitus, malnutrition, and renal failure. Emphysematous gastritis (eg) is a rare condition characterized by air within the. Recent case literature shows a trend towards conservative management for emphysematous gastritis with several. Our case was notable in that appropriate and prompt conservative treatments prevented fatal outcome and led to disappearance of hepatic portal venous gas, and this was the.
from www.researchgate.net
Recent case literature shows a trend towards conservative management for emphysematous gastritis with several. Emphysematous gastritis (eg) is an exceedingly rare cause of severe abdominal pain with an associated mortality reported at greater. Emphysematous gastritis (eg) is a rare condition characterized by air within the. 1 as in our case, diabetes mellitus, malnutrition, and renal failure. Our case was notable in that appropriate and prompt conservative treatments prevented fatal outcome and led to disappearance of hepatic portal venous gas, and this was the.
(PDF) Emphysematous gastritis a case report
Case Report Of Emphysematous Gastritis Emphysematous gastritis (eg) is an exceedingly rare cause of severe abdominal pain with an associated mortality reported at greater. Recent case literature shows a trend towards conservative management for emphysematous gastritis with several. Our case was notable in that appropriate and prompt conservative treatments prevented fatal outcome and led to disappearance of hepatic portal venous gas, and this was the. 1 as in our case, diabetes mellitus, malnutrition, and renal failure. Emphysematous gastritis (eg) is an exceedingly rare cause of severe abdominal pain with an associated mortality reported at greater. Emphysematous gastritis (eg) is a rare condition characterized by air within the.
From www.semanticscholar.org
Figure 1 from Emphysematous Gastritis Associated with Invasive Gastric Case Report Of Emphysematous Gastritis Our case was notable in that appropriate and prompt conservative treatments prevented fatal outcome and led to disappearance of hepatic portal venous gas, and this was the. Emphysematous gastritis (eg) is an exceedingly rare cause of severe abdominal pain with an associated mortality reported at greater. 1 as in our case, diabetes mellitus, malnutrition, and renal failure. Recent case literature. Case Report Of Emphysematous Gastritis.
From www.researchgate.net
(PDF) Two Cases of Emphysematous Gastritis Case Report Of Emphysematous Gastritis Our case was notable in that appropriate and prompt conservative treatments prevented fatal outcome and led to disappearance of hepatic portal venous gas, and this was the. Recent case literature shows a trend towards conservative management for emphysematous gastritis with several. Emphysematous gastritis (eg) is a rare condition characterized by air within the. 1 as in our case, diabetes mellitus,. Case Report Of Emphysematous Gastritis.
From www.academia.edu
(PDF) Emphysematous gastritis a case report and a review of literature Case Report Of Emphysematous Gastritis Emphysematous gastritis (eg) is a rare condition characterized by air within the. Emphysematous gastritis (eg) is an exceedingly rare cause of severe abdominal pain with an associated mortality reported at greater. 1 as in our case, diabetes mellitus, malnutrition, and renal failure. Our case was notable in that appropriate and prompt conservative treatments prevented fatal outcome and led to disappearance. Case Report Of Emphysematous Gastritis.
From europepmc.org
A case report of emphysematous gastritis in a diabetic patient Case Report Of Emphysematous Gastritis Emphysematous gastritis (eg) is an exceedingly rare cause of severe abdominal pain with an associated mortality reported at greater. 1 as in our case, diabetes mellitus, malnutrition, and renal failure. Our case was notable in that appropriate and prompt conservative treatments prevented fatal outcome and led to disappearance of hepatic portal venous gas, and this was the. Emphysematous gastritis (eg). Case Report Of Emphysematous Gastritis.
From casereports.bmj.com
Emphysematous gastritis BMJ Case Reports Case Report Of Emphysematous Gastritis Our case was notable in that appropriate and prompt conservative treatments prevented fatal outcome and led to disappearance of hepatic portal venous gas, and this was the. Recent case literature shows a trend towards conservative management for emphysematous gastritis with several. Emphysematous gastritis (eg) is an exceedingly rare cause of severe abdominal pain with an associated mortality reported at greater.. Case Report Of Emphysematous Gastritis.
From tumorstaging.com
Emphysematous Gastritis Stomach Case Studies CTisus CT Scanning Case Report Of Emphysematous Gastritis Emphysematous gastritis (eg) is a rare condition characterized by air within the. Recent case literature shows a trend towards conservative management for emphysematous gastritis with several. Emphysematous gastritis (eg) is an exceedingly rare cause of severe abdominal pain with an associated mortality reported at greater. Our case was notable in that appropriate and prompt conservative treatments prevented fatal outcome and. Case Report Of Emphysematous Gastritis.
From casereports.bmj.com
Emphysematous gastritis associated with gastric cancer a rare and Case Report Of Emphysematous Gastritis Recent case literature shows a trend towards conservative management for emphysematous gastritis with several. Emphysematous gastritis (eg) is an exceedingly rare cause of severe abdominal pain with an associated mortality reported at greater. Emphysematous gastritis (eg) is a rare condition characterized by air within the. 1 as in our case, diabetes mellitus, malnutrition, and renal failure. Our case was notable. Case Report Of Emphysematous Gastritis.
From casereports.bmj.com
Emphysematous gastritis a terrifying presentation BMJ Case Reports Case Report Of Emphysematous Gastritis Our case was notable in that appropriate and prompt conservative treatments prevented fatal outcome and led to disappearance of hepatic portal venous gas, and this was the. 1 as in our case, diabetes mellitus, malnutrition, and renal failure. Emphysematous gastritis (eg) is a rare condition characterized by air within the. Emphysematous gastritis (eg) is an exceedingly rare cause of severe. Case Report Of Emphysematous Gastritis.
From www.researchgate.net
(PDF) Surgical Management of Emphysematous Gastritis in a Postpartum Case Report Of Emphysematous Gastritis Emphysematous gastritis (eg) is a rare condition characterized by air within the. Emphysematous gastritis (eg) is an exceedingly rare cause of severe abdominal pain with an associated mortality reported at greater. Our case was notable in that appropriate and prompt conservative treatments prevented fatal outcome and led to disappearance of hepatic portal venous gas, and this was the. 1 as. Case Report Of Emphysematous Gastritis.
From casereports.bmj.com
Emphysematous gastritis a terrifying presentation BMJ Case Reports Case Report Of Emphysematous Gastritis Emphysematous gastritis (eg) is an exceedingly rare cause of severe abdominal pain with an associated mortality reported at greater. 1 as in our case, diabetes mellitus, malnutrition, and renal failure. Emphysematous gastritis (eg) is a rare condition characterized by air within the. Our case was notable in that appropriate and prompt conservative treatments prevented fatal outcome and led to disappearance. Case Report Of Emphysematous Gastritis.
From www.researchgate.net
(PDF) Medically treated emphysematous gastritis in a patient with Case Report Of Emphysematous Gastritis Recent case literature shows a trend towards conservative management for emphysematous gastritis with several. Emphysematous gastritis (eg) is a rare condition characterized by air within the. Emphysematous gastritis (eg) is an exceedingly rare cause of severe abdominal pain with an associated mortality reported at greater. Our case was notable in that appropriate and prompt conservative treatments prevented fatal outcome and. Case Report Of Emphysematous Gastritis.
From www.researchgate.net
(PDF) Emphysematous gastritis Case Report Of Emphysematous Gastritis Emphysematous gastritis (eg) is a rare condition characterized by air within the. Emphysematous gastritis (eg) is an exceedingly rare cause of severe abdominal pain with an associated mortality reported at greater. 1 as in our case, diabetes mellitus, malnutrition, and renal failure. Recent case literature shows a trend towards conservative management for emphysematous gastritis with several. Our case was notable. Case Report Of Emphysematous Gastritis.
From www.globalradiologycme.com
Emphysematous Gastritis Case Report Of Emphysematous Gastritis Emphysematous gastritis (eg) is an exceedingly rare cause of severe abdominal pain with an associated mortality reported at greater. 1 as in our case, diabetes mellitus, malnutrition, and renal failure. Emphysematous gastritis (eg) is a rare condition characterized by air within the. Recent case literature shows a trend towards conservative management for emphysematous gastritis with several. Our case was notable. Case Report Of Emphysematous Gastritis.
From www.researchgate.net
(PDF) Emphysematous gastritis A case series of three patients managed Case Report Of Emphysematous Gastritis 1 as in our case, diabetes mellitus, malnutrition, and renal failure. Emphysematous gastritis (eg) is an exceedingly rare cause of severe abdominal pain with an associated mortality reported at greater. Recent case literature shows a trend towards conservative management for emphysematous gastritis with several. Emphysematous gastritis (eg) is a rare condition characterized by air within the. Our case was notable. Case Report Of Emphysematous Gastritis.
From www.researchgate.net
(PDF) Nonoperative Management of Sarcina ventriculiAssociated Severe Case Report Of Emphysematous Gastritis Emphysematous gastritis (eg) is a rare condition characterized by air within the. Emphysematous gastritis (eg) is an exceedingly rare cause of severe abdominal pain with an associated mortality reported at greater. Recent case literature shows a trend towards conservative management for emphysematous gastritis with several. 1 as in our case, diabetes mellitus, malnutrition, and renal failure. Our case was notable. Case Report Of Emphysematous Gastritis.
From www.cureus.com
Cureus Surgical Management of Emphysematous Gastritis in a Postpartum Case Report Of Emphysematous Gastritis Emphysematous gastritis (eg) is an exceedingly rare cause of severe abdominal pain with an associated mortality reported at greater. Emphysematous gastritis (eg) is a rare condition characterized by air within the. Our case was notable in that appropriate and prompt conservative treatments prevented fatal outcome and led to disappearance of hepatic portal venous gas, and this was the. 1 as. Case Report Of Emphysematous Gastritis.
From www.researchgate.net
(PDF) Diabetic Ketoacidosis Associated with Emphysematous Gastritis A Case Report Of Emphysematous Gastritis Recent case literature shows a trend towards conservative management for emphysematous gastritis with several. Our case was notable in that appropriate and prompt conservative treatments prevented fatal outcome and led to disappearance of hepatic portal venous gas, and this was the. Emphysematous gastritis (eg) is an exceedingly rare cause of severe abdominal pain with an associated mortality reported at greater.. Case Report Of Emphysematous Gastritis.
From www.researchgate.net
(PDF) Emphysematous Gastritis Secondary to Gastric Mucormycosis in A Case Report Of Emphysematous Gastritis 1 as in our case, diabetes mellitus, malnutrition, and renal failure. Our case was notable in that appropriate and prompt conservative treatments prevented fatal outcome and led to disappearance of hepatic portal venous gas, and this was the. Emphysematous gastritis (eg) is an exceedingly rare cause of severe abdominal pain with an associated mortality reported at greater. Recent case literature. Case Report Of Emphysematous Gastritis.
From pubs.sciepub.com
NonOperative Management of Emphysematous Gastritis A Case Report Case Report Of Emphysematous Gastritis 1 as in our case, diabetes mellitus, malnutrition, and renal failure. Emphysematous gastritis (eg) is a rare condition characterized by air within the. Emphysematous gastritis (eg) is an exceedingly rare cause of severe abdominal pain with an associated mortality reported at greater. Our case was notable in that appropriate and prompt conservative treatments prevented fatal outcome and led to disappearance. Case Report Of Emphysematous Gastritis.
From www.semanticscholar.org
Figure 4 from Spontaneous Resolution of Emphysematous Gastritis with Case Report Of Emphysematous Gastritis Emphysematous gastritis (eg) is an exceedingly rare cause of severe abdominal pain with an associated mortality reported at greater. 1 as in our case, diabetes mellitus, malnutrition, and renal failure. Our case was notable in that appropriate and prompt conservative treatments prevented fatal outcome and led to disappearance of hepatic portal venous gas, and this was the. Recent case literature. Case Report Of Emphysematous Gastritis.
From www.cureus.com
Cureus Nonoperative Management of Sarcina ventriculiAssociated Case Report Of Emphysematous Gastritis Emphysematous gastritis (eg) is a rare condition characterized by air within the. 1 as in our case, diabetes mellitus, malnutrition, and renal failure. Recent case literature shows a trend towards conservative management for emphysematous gastritis with several. Our case was notable in that appropriate and prompt conservative treatments prevented fatal outcome and led to disappearance of hepatic portal venous gas,. Case Report Of Emphysematous Gastritis.
From www.researchgate.net
(PDF) Emphysematous Gastritis Associated with Invasive Gastric Case Report Of Emphysematous Gastritis 1 as in our case, diabetes mellitus, malnutrition, and renal failure. Recent case literature shows a trend towards conservative management for emphysematous gastritis with several. Emphysematous gastritis (eg) is a rare condition characterized by air within the. Emphysematous gastritis (eg) is an exceedingly rare cause of severe abdominal pain with an associated mortality reported at greater. Our case was notable. Case Report Of Emphysematous Gastritis.
From casereports.bmj.com
Emphysematous gastritis BMJ Case Reports Case Report Of Emphysematous Gastritis Emphysematous gastritis (eg) is a rare condition characterized by air within the. 1 as in our case, diabetes mellitus, malnutrition, and renal failure. Emphysematous gastritis (eg) is an exceedingly rare cause of severe abdominal pain with an associated mortality reported at greater. Recent case literature shows a trend towards conservative management for emphysematous gastritis with several. Our case was notable. Case Report Of Emphysematous Gastritis.
From www.researchgate.net
(PDF) A Case Report of CandidaInduced Emphysematous Gastritis Case Report Of Emphysematous Gastritis 1 as in our case, diabetes mellitus, malnutrition, and renal failure. Our case was notable in that appropriate and prompt conservative treatments prevented fatal outcome and led to disappearance of hepatic portal venous gas, and this was the. Emphysematous gastritis (eg) is a rare condition characterized by air within the. Emphysematous gastritis (eg) is an exceedingly rare cause of severe. Case Report Of Emphysematous Gastritis.
From www.researchgate.net
(PDF) Emphysematous gastritis a case report Case Report Of Emphysematous Gastritis Emphysematous gastritis (eg) is an exceedingly rare cause of severe abdominal pain with an associated mortality reported at greater. Emphysematous gastritis (eg) is a rare condition characterized by air within the. 1 as in our case, diabetes mellitus, malnutrition, and renal failure. Recent case literature shows a trend towards conservative management for emphysematous gastritis with several. Our case was notable. Case Report Of Emphysematous Gastritis.
From www.researchgate.net
(PDF) Conservative Medical Treatment of Emphysematous Gastritis Case Report Of Emphysematous Gastritis Emphysematous gastritis (eg) is an exceedingly rare cause of severe abdominal pain with an associated mortality reported at greater. Recent case literature shows a trend towards conservative management for emphysematous gastritis with several. 1 as in our case, diabetes mellitus, malnutrition, and renal failure. Our case was notable in that appropriate and prompt conservative treatments prevented fatal outcome and led. Case Report Of Emphysematous Gastritis.
From www.cureus.com
Cureus A Case Report of Successful Medical Management of Case Report Of Emphysematous Gastritis Emphysematous gastritis (eg) is a rare condition characterized by air within the. Our case was notable in that appropriate and prompt conservative treatments prevented fatal outcome and led to disappearance of hepatic portal venous gas, and this was the. Recent case literature shows a trend towards conservative management for emphysematous gastritis with several. Emphysematous gastritis (eg) is an exceedingly rare. Case Report Of Emphysematous Gastritis.
From www.ctisus.com
Emphysematous Gastritis with Air in Hepatic Veins and PE Stomach Case Case Report Of Emphysematous Gastritis 1 as in our case, diabetes mellitus, malnutrition, and renal failure. Emphysematous gastritis (eg) is an exceedingly rare cause of severe abdominal pain with an associated mortality reported at greater. Recent case literature shows a trend towards conservative management for emphysematous gastritis with several. Emphysematous gastritis (eg) is a rare condition characterized by air within the. Our case was notable. Case Report Of Emphysematous Gastritis.
From www.researchgate.net
(PDF) A Case Report of Successful Medical Management of Emphysematous Case Report Of Emphysematous Gastritis Emphysematous gastritis (eg) is an exceedingly rare cause of severe abdominal pain with an associated mortality reported at greater. Emphysematous gastritis (eg) is a rare condition characterized by air within the. 1 as in our case, diabetes mellitus, malnutrition, and renal failure. Our case was notable in that appropriate and prompt conservative treatments prevented fatal outcome and led to disappearance. Case Report Of Emphysematous Gastritis.
From www.researchgate.net
(PDF) A Rare Case of Emphysematous Gastritis Secondary to OrganoAxial Case Report Of Emphysematous Gastritis Emphysematous gastritis (eg) is an exceedingly rare cause of severe abdominal pain with an associated mortality reported at greater. Our case was notable in that appropriate and prompt conservative treatments prevented fatal outcome and led to disappearance of hepatic portal venous gas, and this was the. 1 as in our case, diabetes mellitus, malnutrition, and renal failure. Recent case literature. Case Report Of Emphysematous Gastritis.
From casereports.bmj.com
Emphysematous gastritis challenges and uncertainties in diagnosis Case Report Of Emphysematous Gastritis Recent case literature shows a trend towards conservative management for emphysematous gastritis with several. Emphysematous gastritis (eg) is a rare condition characterized by air within the. 1 as in our case, diabetes mellitus, malnutrition, and renal failure. Emphysematous gastritis (eg) is an exceedingly rare cause of severe abdominal pain with an associated mortality reported at greater. Our case was notable. Case Report Of Emphysematous Gastritis.
From www.cureus.com
Cureus Nonoperative Management of Sarcina ventriculiAssociated Case Report Of Emphysematous Gastritis Emphysematous gastritis (eg) is an exceedingly rare cause of severe abdominal pain with an associated mortality reported at greater. Emphysematous gastritis (eg) is a rare condition characterized by air within the. 1 as in our case, diabetes mellitus, malnutrition, and renal failure. Our case was notable in that appropriate and prompt conservative treatments prevented fatal outcome and led to disappearance. Case Report Of Emphysematous Gastritis.
From www.researchgate.net
(PDF) Acute massive gastric distention with emphysematous gastritis a Case Report Of Emphysematous Gastritis Emphysematous gastritis (eg) is an exceedingly rare cause of severe abdominal pain with an associated mortality reported at greater. Our case was notable in that appropriate and prompt conservative treatments prevented fatal outcome and led to disappearance of hepatic portal venous gas, and this was the. Emphysematous gastritis (eg) is a rare condition characterized by air within the. Recent case. Case Report Of Emphysematous Gastritis.
From www.researchgate.net
(PDF) A case report of emphysematous gastritis in a diabetic patient Case Report Of Emphysematous Gastritis Recent case literature shows a trend towards conservative management for emphysematous gastritis with several. 1 as in our case, diabetes mellitus, malnutrition, and renal failure. Our case was notable in that appropriate and prompt conservative treatments prevented fatal outcome and led to disappearance of hepatic portal venous gas, and this was the. Emphysematous gastritis (eg) is a rare condition characterized. Case Report Of Emphysematous Gastritis.
From www.ctisus.com
Emphysematous Gastritis Stomach Case Studies CTisus CT Scanning Case Report Of Emphysematous Gastritis Emphysematous gastritis (eg) is a rare condition characterized by air within the. Our case was notable in that appropriate and prompt conservative treatments prevented fatal outcome and led to disappearance of hepatic portal venous gas, and this was the. Recent case literature shows a trend towards conservative management for emphysematous gastritis with several. 1 as in our case, diabetes mellitus,. Case Report Of Emphysematous Gastritis.