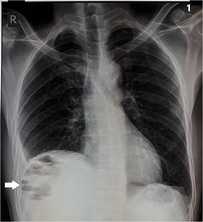
Air Fluid Levels And X Ray . Patients with lbo are usually elderly and the signs and symptoms of lbo are often insidious in contrast to the. Differentiating between the small and large bowel on an axr is not always straightforward but there are a. The erect pa chest radiograph is the more sensitive view for pneumoperitoneum (and chest pathology can.
from www.researchgate.net
Patients with lbo are usually elderly and the signs and symptoms of lbo are often insidious in contrast to the. Differentiating between the small and large bowel on an axr is not always straightforward but there are a. The erect pa chest radiograph is the more sensitive view for pneumoperitoneum (and chest pathology can.
Abdominal xray showing multiple airfluid levels. Download Scientific Diagram
Air Fluid Levels And X Ray Patients with lbo are usually elderly and the signs and symptoms of lbo are often insidious in contrast to the. Differentiating between the small and large bowel on an axr is not always straightforward but there are a. The erect pa chest radiograph is the more sensitive view for pneumoperitoneum (and chest pathology can. Patients with lbo are usually elderly and the signs and symptoms of lbo are often insidious in contrast to the.
From www.researchgate.net
Plain abdominal XRay showing multiple airfluid levels. Download Scientific Diagram Air Fluid Levels And X Ray The erect pa chest radiograph is the more sensitive view for pneumoperitoneum (and chest pathology can. Patients with lbo are usually elderly and the signs and symptoms of lbo are often insidious in contrast to the. Differentiating between the small and large bowel on an axr is not always straightforward but there are a. Air Fluid Levels And X Ray.
From www.researchgate.net
Abdominal xray showing multiple airfluid levels. Download Scientific Diagram Air Fluid Levels And X Ray The erect pa chest radiograph is the more sensitive view for pneumoperitoneum (and chest pathology can. Differentiating between the small and large bowel on an axr is not always straightforward but there are a. Patients with lbo are usually elderly and the signs and symptoms of lbo are often insidious in contrast to the. Air Fluid Levels And X Ray.
From www.slideserve.com
PPT Intestinal Obstruction PowerPoint Presentation, free download ID764183 Air Fluid Levels And X Ray Differentiating between the small and large bowel on an axr is not always straightforward but there are a. The erect pa chest radiograph is the more sensitive view for pneumoperitoneum (and chest pathology can. Patients with lbo are usually elderly and the signs and symptoms of lbo are often insidious in contrast to the. Air Fluid Levels And X Ray.
From rc.rcjournal.com
Lung Bullae With AirFluid Levels What Is the Appropriate Therapeutic Approach? Respiratory Care Air Fluid Levels And X Ray Patients with lbo are usually elderly and the signs and symptoms of lbo are often insidious in contrast to the. The erect pa chest radiograph is the more sensitive view for pneumoperitoneum (and chest pathology can. Differentiating between the small and large bowel on an axr is not always straightforward but there are a. Air Fluid Levels And X Ray.
From www.researchgate.net
Plain abdominal xray shows airfluid levels. Download Scientific Diagram Air Fluid Levels And X Ray Differentiating between the small and large bowel on an axr is not always straightforward but there are a. Patients with lbo are usually elderly and the signs and symptoms of lbo are often insidious in contrast to the. The erect pa chest radiograph is the more sensitive view for pneumoperitoneum (and chest pathology can. Air Fluid Levels And X Ray.
From www.researchgate.net
X‐ray image at presentation showing multiple air‐fluid levels Download Scientific Diagram Air Fluid Levels And X Ray Differentiating between the small and large bowel on an axr is not always straightforward but there are a. The erect pa chest radiograph is the more sensitive view for pneumoperitoneum (and chest pathology can. Patients with lbo are usually elderly and the signs and symptoms of lbo are often insidious in contrast to the. Air Fluid Levels And X Ray.
From www.researchgate.net
Plain abdominal xray showed air fluid levels. Download Scientific Diagram Air Fluid Levels And X Ray Differentiating between the small and large bowel on an axr is not always straightforward but there are a. The erect pa chest radiograph is the more sensitive view for pneumoperitoneum (and chest pathology can. Patients with lbo are usually elderly and the signs and symptoms of lbo are often insidious in contrast to the. Air Fluid Levels And X Ray.
From www.researchgate.net
Abdominal Xray anteroposterior showing air fluid level with a... Download Scientific Diagram Air Fluid Levels And X Ray Differentiating between the small and large bowel on an axr is not always straightforward but there are a. The erect pa chest radiograph is the more sensitive view for pneumoperitoneum (and chest pathology can. Patients with lbo are usually elderly and the signs and symptoms of lbo are often insidious in contrast to the. Air Fluid Levels And X Ray.
From www.researchgate.net
Xray films showing multiple airfluid levels Download Scientific Diagram Air Fluid Levels And X Ray Patients with lbo are usually elderly and the signs and symptoms of lbo are often insidious in contrast to the. Differentiating between the small and large bowel on an axr is not always straightforward but there are a. The erect pa chest radiograph is the more sensitive view for pneumoperitoneum (and chest pathology can. Air Fluid Levels And X Ray.
From www.researchgate.net
Preoperative Xray. Xray of the chest revealed airfluid levels on... Download Scientific Diagram Air Fluid Levels And X Ray The erect pa chest radiograph is the more sensitive view for pneumoperitoneum (and chest pathology can. Differentiating between the small and large bowel on an axr is not always straightforward but there are a. Patients with lbo are usually elderly and the signs and symptoms of lbo are often insidious in contrast to the. Air Fluid Levels And X Ray.
From coreem.net
Small Bowel Obstruction Core EM Air Fluid Levels And X Ray Patients with lbo are usually elderly and the signs and symptoms of lbo are often insidious in contrast to the. The erect pa chest radiograph is the more sensitive view for pneumoperitoneum (and chest pathology can. Differentiating between the small and large bowel on an axr is not always straightforward but there are a. Air Fluid Levels And X Ray.
From www.researchgate.net
Chest Xray showing air fluid levels and gastric fundal gas. Download Scientific Diagram Air Fluid Levels And X Ray Patients with lbo are usually elderly and the signs and symptoms of lbo are often insidious in contrast to the. Differentiating between the small and large bowel on an axr is not always straightforward but there are a. The erect pa chest radiograph is the more sensitive view for pneumoperitoneum (and chest pathology can. Air Fluid Levels And X Ray.
From www.researchgate.net
Xray abdomen showing two airfluid levels in the left hypochondrium Download Scientific Diagram Air Fluid Levels And X Ray Differentiating between the small and large bowel on an axr is not always straightforward but there are a. The erect pa chest radiograph is the more sensitive view for pneumoperitoneum (and chest pathology can. Patients with lbo are usually elderly and the signs and symptoms of lbo are often insidious in contrast to the. Air Fluid Levels And X Ray.
From rc.rcjournal.com
Lung Bullae With AirFluid Levels What Is the Appropriate Therapeutic Approach? Respiratory Care Air Fluid Levels And X Ray The erect pa chest radiograph is the more sensitive view for pneumoperitoneum (and chest pathology can. Differentiating between the small and large bowel on an axr is not always straightforward but there are a. Patients with lbo are usually elderly and the signs and symptoms of lbo are often insidious in contrast to the. Air Fluid Levels And X Ray.
From www.researchgate.net
Airfluid levels suggesting proximal obstruction on Xray Download Scientific Diagram Air Fluid Levels And X Ray Patients with lbo are usually elderly and the signs and symptoms of lbo are often insidious in contrast to the. The erect pa chest radiograph is the more sensitive view for pneumoperitoneum (and chest pathology can. Differentiating between the small and large bowel on an axr is not always straightforward but there are a. Air Fluid Levels And X Ray.
From ar.inspiredpencil.com
Small Bowel Obstruction Air Fluid Levels Air Fluid Levels And X Ray Patients with lbo are usually elderly and the signs and symptoms of lbo are often insidious in contrast to the. Differentiating between the small and large bowel on an axr is not always straightforward but there are a. The erect pa chest radiograph is the more sensitive view for pneumoperitoneum (and chest pathology can. Air Fluid Levels And X Ray.
From www.researchgate.net
Plain Abdominal Xray showing airfluid levels with air in the rectum. Download Scientific Diagram Air Fluid Levels And X Ray Patients with lbo are usually elderly and the signs and symptoms of lbo are often insidious in contrast to the. The erect pa chest radiograph is the more sensitive view for pneumoperitoneum (and chest pathology can. Differentiating between the small and large bowel on an axr is not always straightforward but there are a. Air Fluid Levels And X Ray.
From www.researchgate.net
(a) A chest Xray showing air fluid levels in the right thorax. (b)... Download Scientific Diagram Air Fluid Levels And X Ray Differentiating between the small and large bowel on an axr is not always straightforward but there are a. Patients with lbo are usually elderly and the signs and symptoms of lbo are often insidious in contrast to the. The erect pa chest radiograph is the more sensitive view for pneumoperitoneum (and chest pathology can. Air Fluid Levels And X Ray.
From www.researchgate.net
Lateral plain Xray showing airfluid level in the maxillary sinus. Download Scientific Diagram Air Fluid Levels And X Ray The erect pa chest radiograph is the more sensitive view for pneumoperitoneum (and chest pathology can. Differentiating between the small and large bowel on an axr is not always straightforward but there are a. Patients with lbo are usually elderly and the signs and symptoms of lbo are often insidious in contrast to the. Air Fluid Levels And X Ray.
From www.researchgate.net
X ray of the abdomen showed multiple air fluid levels without any gas... Download Scientific Air Fluid Levels And X Ray The erect pa chest radiograph is the more sensitive view for pneumoperitoneum (and chest pathology can. Differentiating between the small and large bowel on an axr is not always straightforward but there are a. Patients with lbo are usually elderly and the signs and symptoms of lbo are often insidious in contrast to the. Air Fluid Levels And X Ray.
From link.springer.com
Multiple AirFluid Levels Under Right Dome of the Diaphragm Indian Journal of Surgery Air Fluid Levels And X Ray Patients with lbo are usually elderly and the signs and symptoms of lbo are often insidious in contrast to the. The erect pa chest radiograph is the more sensitive view for pneumoperitoneum (and chest pathology can. Differentiating between the small and large bowel on an axr is not always straightforward but there are a. Air Fluid Levels And X Ray.
From www.researchgate.net
Lateral decubitus view of the abdomen, showing airfluid levels... Download Scientific Diagram Air Fluid Levels And X Ray Differentiating between the small and large bowel on an axr is not always straightforward but there are a. The erect pa chest radiograph is the more sensitive view for pneumoperitoneum (and chest pathology can. Patients with lbo are usually elderly and the signs and symptoms of lbo are often insidious in contrast to the. Air Fluid Levels And X Ray.
From www.researchgate.net
Abdominal Xray central airfluid levels (small intestine), blue arrow. Download Scientific Air Fluid Levels And X Ray The erect pa chest radiograph is the more sensitive view for pneumoperitoneum (and chest pathology can. Patients with lbo are usually elderly and the signs and symptoms of lbo are often insidious in contrast to the. Differentiating between the small and large bowel on an axr is not always straightforward but there are a. Air Fluid Levels And X Ray.
From www.researchgate.net
A chest Xray showing a large air fluid level on the left side... Download Scientific Diagram Air Fluid Levels And X Ray Differentiating between the small and large bowel on an axr is not always straightforward but there are a. The erect pa chest radiograph is the more sensitive view for pneumoperitoneum (and chest pathology can. Patients with lbo are usually elderly and the signs and symptoms of lbo are often insidious in contrast to the. Air Fluid Levels And X Ray.
From www.researchgate.net
Airfluid levels in abdominal Xray graphy. Download Scientific Diagram Air Fluid Levels And X Ray Patients with lbo are usually elderly and the signs and symptoms of lbo are often insidious in contrast to the. The erect pa chest radiograph is the more sensitive view for pneumoperitoneum (and chest pathology can. Differentiating between the small and large bowel on an axr is not always straightforward but there are a. Air Fluid Levels And X Ray.
From wacky5.com
Multiple Air Fluid Levels Abdominal X Ray Air Fluid Levels And X Ray Differentiating between the small and large bowel on an axr is not always straightforward but there are a. The erect pa chest radiograph is the more sensitive view for pneumoperitoneum (and chest pathology can. Patients with lbo are usually elderly and the signs and symptoms of lbo are often insidious in contrast to the. Air Fluid Levels And X Ray.
From www.researchgate.net
Abdominal Xray. Xray showing multiple airfluid levels, which is... Download Scientific Diagram Air Fluid Levels And X Ray Patients with lbo are usually elderly and the signs and symptoms of lbo are often insidious in contrast to the. The erect pa chest radiograph is the more sensitive view for pneumoperitoneum (and chest pathology can. Differentiating between the small and large bowel on an axr is not always straightforward but there are a. Air Fluid Levels And X Ray.
From www.pic2fly.com
Air Fluid Levels X Ray submited images. Air Fluid Levels And X Ray Differentiating between the small and large bowel on an axr is not always straightforward but there are a. The erect pa chest radiograph is the more sensitive view for pneumoperitoneum (and chest pathology can. Patients with lbo are usually elderly and the signs and symptoms of lbo are often insidious in contrast to the. Air Fluid Levels And X Ray.
From www.researchgate.net
Erect abdominal Xray showing multiple air fluid level with dilated... Download Scientific Diagram Air Fluid Levels And X Ray Differentiating between the small and large bowel on an axr is not always straightforward but there are a. The erect pa chest radiograph is the more sensitive view for pneumoperitoneum (and chest pathology can. Patients with lbo are usually elderly and the signs and symptoms of lbo are often insidious in contrast to the. Air Fluid Levels And X Ray.
From www.researchgate.net
Abdominal Xraymultiple airfluid levels and dilated loops. Download Scientific Diagram Air Fluid Levels And X Ray Differentiating between the small and large bowel on an axr is not always straightforward but there are a. Patients with lbo are usually elderly and the signs and symptoms of lbo are often insidious in contrast to the. The erect pa chest radiograph is the more sensitive view for pneumoperitoneum (and chest pathology can. Air Fluid Levels And X Ray.
From buyxraysonline.com
AIR FLUID LEVELS Air Fluid Levels And X Ray Patients with lbo are usually elderly and the signs and symptoms of lbo are often insidious in contrast to the. Differentiating between the small and large bowel on an axr is not always straightforward but there are a. The erect pa chest radiograph is the more sensitive view for pneumoperitoneum (and chest pathology can. Air Fluid Levels And X Ray.
From www.researchgate.net
Chest xray with air fluid levels (yellow arrows). Download Scientific Diagram Air Fluid Levels And X Ray Patients with lbo are usually elderly and the signs and symptoms of lbo are often insidious in contrast to the. Differentiating between the small and large bowel on an axr is not always straightforward but there are a. The erect pa chest radiograph is the more sensitive view for pneumoperitoneum (and chest pathology can. Air Fluid Levels And X Ray.
From www.researchgate.net
Plain abdominal Xray in erect position showing multiple airfluid... Download Scientific Diagram Air Fluid Levels And X Ray The erect pa chest radiograph is the more sensitive view for pneumoperitoneum (and chest pathology can. Patients with lbo are usually elderly and the signs and symptoms of lbo are often insidious in contrast to the. Differentiating between the small and large bowel on an axr is not always straightforward but there are a. Air Fluid Levels And X Ray.
From tuningpp.com
x ray air fluid level Air Fluid Levels And X Ray The erect pa chest radiograph is the more sensitive view for pneumoperitoneum (and chest pathology can. Patients with lbo are usually elderly and the signs and symptoms of lbo are often insidious in contrast to the. Differentiating between the small and large bowel on an axr is not always straightforward but there are a. Air Fluid Levels And X Ray.
From www.youtube.com
Air Fluid Level in Gastric Distention on X Ray YouTube Air Fluid Levels And X Ray Patients with lbo are usually elderly and the signs and symptoms of lbo are often insidious in contrast to the. The erect pa chest radiograph is the more sensitive view for pneumoperitoneum (and chest pathology can. Differentiating between the small and large bowel on an axr is not always straightforward but there are a. Air Fluid Levels And X Ray.