Thymic Mass Workup . They may cause chest pain, cough, shortness of breath, or. Thymomas account for the vast majority of thymic neoplasms and are often associated with autoimmune or neurologic. Review the appropriate evaluation of thymomas and thymic cancers. Identify the etiology of thymomas and thymic cancers. Outline the management options available. Thymic epithelial tumours are the most frequent cause of anterior mediastinal mass, accounting for 35% of cases; The most relevant differential diagnoses include lymphomas (hodgkin's or non. Learn about the clinical presentation and management of thymic tumors, rare neoplasms that arise in the anterior mediastinum. Asymptomatic patients with diffusely enlarged thymus glands can be followed up expectantly. The focus of this pictorial review will be to highlight the important distinguishing features of thymic hyperplasia, thymomas, thymic cysts, thymic neuroendocrine tumours (nets),. Thymoma and thymic carcinoma are rare cancers that start in your thymus gland.
from www.researchgate.net
Thymoma and thymic carcinoma are rare cancers that start in your thymus gland. They may cause chest pain, cough, shortness of breath, or. Thymomas account for the vast majority of thymic neoplasms and are often associated with autoimmune or neurologic. Learn about the clinical presentation and management of thymic tumors, rare neoplasms that arise in the anterior mediastinum. Asymptomatic patients with diffusely enlarged thymus glands can be followed up expectantly. Thymic epithelial tumours are the most frequent cause of anterior mediastinal mass, accounting for 35% of cases; Identify the etiology of thymomas and thymic cancers. The most relevant differential diagnoses include lymphomas (hodgkin's or non. Outline the management options available. Review the appropriate evaluation of thymomas and thymic cancers.
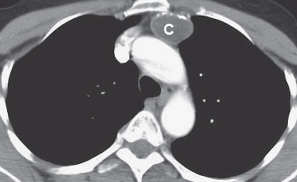
A thymic mass measuring about 1 cm that proved to be a thymoma in
Thymic Mass Workup The most relevant differential diagnoses include lymphomas (hodgkin's or non. Thymoma and thymic carcinoma are rare cancers that start in your thymus gland. Learn about the clinical presentation and management of thymic tumors, rare neoplasms that arise in the anterior mediastinum. Thymomas account for the vast majority of thymic neoplasms and are often associated with autoimmune or neurologic. Review the appropriate evaluation of thymomas and thymic cancers. Asymptomatic patients with diffusely enlarged thymus glands can be followed up expectantly. Outline the management options available. They may cause chest pain, cough, shortness of breath, or. Thymic epithelial tumours are the most frequent cause of anterior mediastinal mass, accounting for 35% of cases; The most relevant differential diagnoses include lymphomas (hodgkin's or non. The focus of this pictorial review will be to highlight the important distinguishing features of thymic hyperplasia, thymomas, thymic cysts, thymic neuroendocrine tumours (nets),. Identify the etiology of thymomas and thymic cancers.
From pubs.rsna.org
Role of Imaging in the Diagnosis, Staging, and Treatment of Thymoma Thymic Mass Workup Thymic epithelial tumours are the most frequent cause of anterior mediastinal mass, accounting for 35% of cases; Identify the etiology of thymomas and thymic cancers. Review the appropriate evaluation of thymomas and thymic cancers. Thymoma and thymic carcinoma are rare cancers that start in your thymus gland. Thymomas account for the vast majority of thymic neoplasms and are often associated. Thymic Mass Workup.
From jamanetwork.com
Ectopic Cervical Thymus An Diagnosis in the Evaluation of Thymic Mass Workup The focus of this pictorial review will be to highlight the important distinguishing features of thymic hyperplasia, thymomas, thymic cysts, thymic neuroendocrine tumours (nets),. The most relevant differential diagnoses include lymphomas (hodgkin's or non. Thymic epithelial tumours are the most frequent cause of anterior mediastinal mass, accounting for 35% of cases; Learn about the clinical presentation and management of thymic. Thymic Mass Workup.
From www.medindia.net
Diagnosis and Treatment of Thymoma and Thymic Carcinoma Thymic Mass Workup Asymptomatic patients with diffusely enlarged thymus glands can be followed up expectantly. They may cause chest pain, cough, shortness of breath, or. The focus of this pictorial review will be to highlight the important distinguishing features of thymic hyperplasia, thymomas, thymic cysts, thymic neuroendocrine tumours (nets),. Outline the management options available. Learn about the clinical presentation and management of thymic. Thymic Mass Workup.
From www.researchgate.net
(A) Thoracoscopic port placement. (B) Wellencapsulated thymic mass Thymic Mass Workup The most relevant differential diagnoses include lymphomas (hodgkin's or non. The focus of this pictorial review will be to highlight the important distinguishing features of thymic hyperplasia, thymomas, thymic cysts, thymic neuroendocrine tumours (nets),. They may cause chest pain, cough, shortness of breath, or. Thymomas account for the vast majority of thymic neoplasms and are often associated with autoimmune or. Thymic Mass Workup.
From pubs.rsna.org
The Thymus A Comprehensive Review RadioGraphics Thymic Mass Workup Thymomas account for the vast majority of thymic neoplasms and are often associated with autoimmune or neurologic. Learn about the clinical presentation and management of thymic tumors, rare neoplasms that arise in the anterior mediastinum. Thymic epithelial tumours are the most frequent cause of anterior mediastinal mass, accounting for 35% of cases; Identify the etiology of thymomas and thymic cancers.. Thymic Mass Workup.
From medsci.org
The value of diffusionweighted and dynamic contrastenhanced imaging Thymic Mass Workup The focus of this pictorial review will be to highlight the important distinguishing features of thymic hyperplasia, thymomas, thymic cysts, thymic neuroendocrine tumours (nets),. Outline the management options available. They may cause chest pain, cough, shortness of breath, or. Thymomas account for the vast majority of thymic neoplasms and are often associated with autoimmune or neurologic. Identify the etiology of. Thymic Mass Workup.
From www.clinicalimaging.org
Thymic masses and mimics in adults review of common and Thymic Mass Workup Thymoma and thymic carcinoma are rare cancers that start in your thymus gland. The most relevant differential diagnoses include lymphomas (hodgkin's or non. Identify the etiology of thymomas and thymic cancers. Learn about the clinical presentation and management of thymic tumors, rare neoplasms that arise in the anterior mediastinum. Asymptomatic patients with diffusely enlarged thymus glands can be followed up. Thymic Mass Workup.
From radiologygpearls.blogspot.com
Radiology Pearls Anterior mediastinal masses Thymic Mass Workup Learn about the clinical presentation and management of thymic tumors, rare neoplasms that arise in the anterior mediastinum. Thymoma and thymic carcinoma are rare cancers that start in your thymus gland. Thymomas account for the vast majority of thymic neoplasms and are often associated with autoimmune or neurologic. Thymic epithelial tumours are the most frequent cause of anterior mediastinal mass,. Thymic Mass Workup.
From www.frontiersin.org
Frontiers Imaging Evaluation of Thymoma and Thymic Carcinoma Thymic Mass Workup Thymomas account for the vast majority of thymic neoplasms and are often associated with autoimmune or neurologic. The focus of this pictorial review will be to highlight the important distinguishing features of thymic hyperplasia, thymomas, thymic cysts, thymic neuroendocrine tumours (nets),. Thymic epithelial tumours are the most frequent cause of anterior mediastinal mass, accounting for 35% of cases; Identify the. Thymic Mass Workup.
From casereports.bmj.com
Thymic carcinoma presenting as atypical chest pain BMJ Case Reports Thymic Mass Workup Outline the management options available. Learn about the clinical presentation and management of thymic tumors, rare neoplasms that arise in the anterior mediastinum. The focus of this pictorial review will be to highlight the important distinguishing features of thymic hyperplasia, thymomas, thymic cysts, thymic neuroendocrine tumours (nets),. Asymptomatic patients with diffusely enlarged thymus glands can be followed up expectantly. Thymomas. Thymic Mass Workup.
From www.researchgate.net
A thymic mass measuring about 1 cm that proved to be a thymoma in Thymic Mass Workup Review the appropriate evaluation of thymomas and thymic cancers. Identify the etiology of thymomas and thymic cancers. The most relevant differential diagnoses include lymphomas (hodgkin's or non. Thymoma and thymic carcinoma are rare cancers that start in your thymus gland. Outline the management options available. Thymomas account for the vast majority of thymic neoplasms and are often associated with autoimmune. Thymic Mass Workup.
From radiologykey.com
Mediastinal Masses Radiology Key Thymic Mass Workup Thymic epithelial tumours are the most frequent cause of anterior mediastinal mass, accounting for 35% of cases; Learn about the clinical presentation and management of thymic tumors, rare neoplasms that arise in the anterior mediastinum. The most relevant differential diagnoses include lymphomas (hodgkin's or non. Asymptomatic patients with diffusely enlarged thymus glands can be followed up expectantly. Review the appropriate. Thymic Mass Workup.
From www.clinicalimaging.org
Cystic mediastinal masses and the role of MRI Clinical Imaging Thymic Mass Workup Learn about the clinical presentation and management of thymic tumors, rare neoplasms that arise in the anterior mediastinum. They may cause chest pain, cough, shortness of breath, or. The most relevant differential diagnoses include lymphomas (hodgkin's or non. Identify the etiology of thymomas and thymic cancers. Asymptomatic patients with diffusely enlarged thymus glands can be followed up expectantly. Outline the. Thymic Mass Workup.
From www.jni-journal.com
The ageing and myasthenic thymus A morphometric study validating a Thymic Mass Workup Thymomas account for the vast majority of thymic neoplasms and are often associated with autoimmune or neurologic. The focus of this pictorial review will be to highlight the important distinguishing features of thymic hyperplasia, thymomas, thymic cysts, thymic neuroendocrine tumours (nets),. Thymoma and thymic carcinoma are rare cancers that start in your thymus gland. Asymptomatic patients with diffusely enlarged thymus. Thymic Mass Workup.
From www.frontiersin.org
Frontiers Imaging Evaluation of Thymoma and Thymic Carcinoma Thymic Mass Workup Thymomas account for the vast majority of thymic neoplasms and are often associated with autoimmune or neurologic. They may cause chest pain, cough, shortness of breath, or. Learn about the clinical presentation and management of thymic tumors, rare neoplasms that arise in the anterior mediastinum. The focus of this pictorial review will be to highlight the important distinguishing features of. Thymic Mass Workup.
From www.researchgate.net
(PDF) A Neck Mass of Thymic Origin in a Pediatric Patient Thymic Mass Workup Thymoma and thymic carcinoma are rare cancers that start in your thymus gland. Thymomas account for the vast majority of thymic neoplasms and are often associated with autoimmune or neurologic. The focus of this pictorial review will be to highlight the important distinguishing features of thymic hyperplasia, thymomas, thymic cysts, thymic neuroendocrine tumours (nets),. They may cause chest pain, cough,. Thymic Mass Workup.
From www.ctsnet.org
Videoassisted Extended Transcervical Thymectomy Thymic Mass Workup They may cause chest pain, cough, shortness of breath, or. The focus of this pictorial review will be to highlight the important distinguishing features of thymic hyperplasia, thymomas, thymic cysts, thymic neuroendocrine tumours (nets),. Review the appropriate evaluation of thymomas and thymic cancers. Outline the management options available. Asymptomatic patients with diffusely enlarged thymus glands can be followed up expectantly.. Thymic Mass Workup.
From www.cureus.com
Cureus Metastatic Thymic Carcinoma with Long Survival After Treatment Thymic Mass Workup Review the appropriate evaluation of thymomas and thymic cancers. The focus of this pictorial review will be to highlight the important distinguishing features of thymic hyperplasia, thymomas, thymic cysts, thymic neuroendocrine tumours (nets),. Thymomas account for the vast majority of thymic neoplasms and are often associated with autoimmune or neurologic. They may cause chest pain, cough, shortness of breath, or.. Thymic Mass Workup.
From www.mayoclinic.org
Thymic hyperplasia in severe Graves' hyperthyroidism A case from the Thymic Mass Workup Review the appropriate evaluation of thymomas and thymic cancers. Learn about the clinical presentation and management of thymic tumors, rare neoplasms that arise in the anterior mediastinum. They may cause chest pain, cough, shortness of breath, or. Thymoma and thymic carcinoma are rare cancers that start in your thymus gland. Outline the management options available. Asymptomatic patients with diffusely enlarged. Thymic Mass Workup.
From www.researchgate.net
Histopathological findings of the thymic tumor for the diagnosis of Thymic Mass Workup Asymptomatic patients with diffusely enlarged thymus glands can be followed up expectantly. Outline the management options available. The most relevant differential diagnoses include lymphomas (hodgkin's or non. The focus of this pictorial review will be to highlight the important distinguishing features of thymic hyperplasia, thymomas, thymic cysts, thymic neuroendocrine tumours (nets),. Learn about the clinical presentation and management of thymic. Thymic Mass Workup.
From www.clinicalimaging.org
Thymic masses and mimics in adults review of common and Thymic Mass Workup Learn about the clinical presentation and management of thymic tumors, rare neoplasms that arise in the anterior mediastinum. Thymomas account for the vast majority of thymic neoplasms and are often associated with autoimmune or neurologic. Outline the management options available. Asymptomatic patients with diffusely enlarged thymus glands can be followed up expectantly. Review the appropriate evaluation of thymomas and thymic. Thymic Mass Workup.
From www.jni-journal.com
The ageing and myasthenic thymus A morphometric study validating a Thymic Mass Workup Learn about the clinical presentation and management of thymic tumors, rare neoplasms that arise in the anterior mediastinum. They may cause chest pain, cough, shortness of breath, or. Thymic epithelial tumours are the most frequent cause of anterior mediastinal mass, accounting for 35% of cases; The focus of this pictorial review will be to highlight the important distinguishing features of. Thymic Mass Workup.
From www.researchgate.net
Thymic mass Computed tomography of the chest showing anterior Thymic Mass Workup Asymptomatic patients with diffusely enlarged thymus glands can be followed up expectantly. Thymoma and thymic carcinoma are rare cancers that start in your thymus gland. Thymic epithelial tumours are the most frequent cause of anterior mediastinal mass, accounting for 35% of cases; Thymomas account for the vast majority of thymic neoplasms and are often associated with autoimmune or neurologic. The. Thymic Mass Workup.
From www.researchgate.net
A thymic mass measuring about 1 cm that proved to be a thymoma in Thymic Mass Workup They may cause chest pain, cough, shortness of breath, or. The most relevant differential diagnoses include lymphomas (hodgkin's or non. Review the appropriate evaluation of thymomas and thymic cancers. Outline the management options available. Learn about the clinical presentation and management of thymic tumors, rare neoplasms that arise in the anterior mediastinum. Thymoma and thymic carcinoma are rare cancers that. Thymic Mass Workup.
From www.researchgate.net
Thymic tissue in the mediastinum (a) Normal homogenous thymic tissue Thymic Mass Workup Thymic epithelial tumours are the most frequent cause of anterior mediastinal mass, accounting for 35% of cases; Review the appropriate evaluation of thymomas and thymic cancers. Outline the management options available. The focus of this pictorial review will be to highlight the important distinguishing features of thymic hyperplasia, thymomas, thymic cysts, thymic neuroendocrine tumours (nets),. Identify the etiology of thymomas. Thymic Mass Workup.
From www.researchgate.net
Fiftyfouryearold man with thymic carcinoma. Axial contrastenhanced Thymic Mass Workup Asymptomatic patients with diffusely enlarged thymus glands can be followed up expectantly. The focus of this pictorial review will be to highlight the important distinguishing features of thymic hyperplasia, thymomas, thymic cysts, thymic neuroendocrine tumours (nets),. Identify the etiology of thymomas and thymic cancers. Thymoma and thymic carcinoma are rare cancers that start in your thymus gland. Learn about the. Thymic Mass Workup.
From www.cureus.com
Thymic Carcinoma Presenting as a Mediastinal Mass Resembling a Cardiac Thymic Mass Workup The focus of this pictorial review will be to highlight the important distinguishing features of thymic hyperplasia, thymomas, thymic cysts, thymic neuroendocrine tumours (nets),. The most relevant differential diagnoses include lymphomas (hodgkin's or non. Thymoma and thymic carcinoma are rare cancers that start in your thymus gland. Asymptomatic patients with diffusely enlarged thymus glands can be followed up expectantly. Outline. Thymic Mass Workup.
From www.researchgate.net
Surgical histopathology of thymic mass. Download Scientific Diagram Thymic Mass Workup Thymic epithelial tumours are the most frequent cause of anterior mediastinal mass, accounting for 35% of cases; Learn about the clinical presentation and management of thymic tumors, rare neoplasms that arise in the anterior mediastinum. The focus of this pictorial review will be to highlight the important distinguishing features of thymic hyperplasia, thymomas, thymic cysts, thymic neuroendocrine tumours (nets),. Asymptomatic. Thymic Mass Workup.
From www.annalsofoncology.org
Lung and thymic carcinoids ESMO Clinical Practice Guidelines for Thymic Mass Workup Thymomas account for the vast majority of thymic neoplasms and are often associated with autoimmune or neurologic. Learn about the clinical presentation and management of thymic tumors, rare neoplasms that arise in the anterior mediastinum. They may cause chest pain, cough, shortness of breath, or. Thymic epithelial tumours are the most frequent cause of anterior mediastinal mass, accounting for 35%. Thymic Mass Workup.
From www.researchgate.net
A 64yearold man with thymic cyst. (A) CT plain scan showed a Thymic Mass Workup The most relevant differential diagnoses include lymphomas (hodgkin's or non. Thymic epithelial tumours are the most frequent cause of anterior mediastinal mass, accounting for 35% of cases; Thymomas account for the vast majority of thymic neoplasms and are often associated with autoimmune or neurologic. Asymptomatic patients with diffusely enlarged thymus glands can be followed up expectantly. Thymoma and thymic carcinoma. Thymic Mass Workup.
From www.semanticscholar.org
Figure 1 from Cervical Thymic Cyst Semantic Scholar Thymic Mass Workup Asymptomatic patients with diffusely enlarged thymus glands can be followed up expectantly. They may cause chest pain, cough, shortness of breath, or. The most relevant differential diagnoses include lymphomas (hodgkin's or non. Thymomas account for the vast majority of thymic neoplasms and are often associated with autoimmune or neurologic. Review the appropriate evaluation of thymomas and thymic cancers. Identify the. Thymic Mass Workup.
From www.researchgate.net
Histological findings of an undifferentiated thymic carcinoma in a Thymic Mass Workup Identify the etiology of thymomas and thymic cancers. Outline the management options available. Review the appropriate evaluation of thymomas and thymic cancers. Thymomas account for the vast majority of thymic neoplasms and are often associated with autoimmune or neurologic. Thymic epithelial tumours are the most frequent cause of anterior mediastinal mass, accounting for 35% of cases; The most relevant differential. Thymic Mass Workup.
From www.cureus.com
Cureus A Rare Case of Mediastinal Mass Thymoma and Thymic Tumor Thymic Mass Workup Asymptomatic patients with diffusely enlarged thymus glands can be followed up expectantly. The focus of this pictorial review will be to highlight the important distinguishing features of thymic hyperplasia, thymomas, thymic cysts, thymic neuroendocrine tumours (nets),. Identify the etiology of thymomas and thymic cancers. The most relevant differential diagnoses include lymphomas (hodgkin's or non. Outline the management options available. Thymoma. Thymic Mass Workup.
From pubs.rsna.org
The Thymus A Comprehensive Review RadioGraphics Thymic Mass Workup The most relevant differential diagnoses include lymphomas (hodgkin's or non. Learn about the clinical presentation and management of thymic tumors, rare neoplasms that arise in the anterior mediastinum. Review the appropriate evaluation of thymomas and thymic cancers. The focus of this pictorial review will be to highlight the important distinguishing features of thymic hyperplasia, thymomas, thymic cysts, thymic neuroendocrine tumours. Thymic Mass Workup.
From casereports.bmj.com
Thymic carcinoma presenting as atypical chest pain BMJ Case Reports Thymic Mass Workup Outline the management options available. They may cause chest pain, cough, shortness of breath, or. The most relevant differential diagnoses include lymphomas (hodgkin's or non. Identify the etiology of thymomas and thymic cancers. Thymoma and thymic carcinoma are rare cancers that start in your thymus gland. Thymomas account for the vast majority of thymic neoplasms and are often associated with. Thymic Mass Workup.