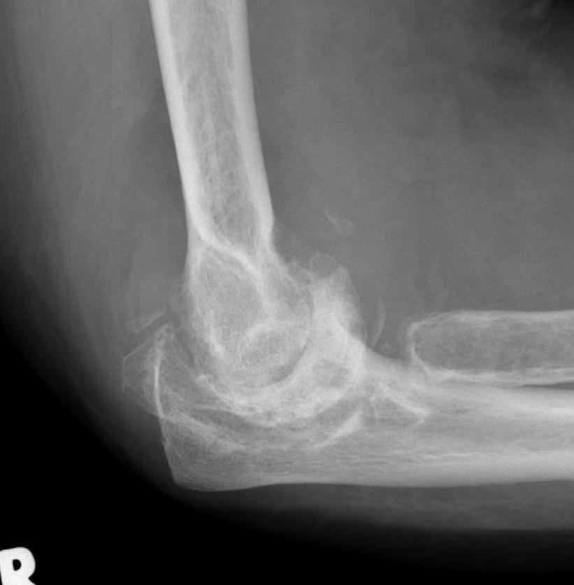
Rheumatoid Arthritis Elbow Deformities . One sign that your elbow pain is ra is that you have symmetrical pain in both elbows. Rheumatoid nodules may be present in 20% of patients with rheumatoid arthritis; Read more about the unique symptoms, learn the. If you have pain and stiffness from elbow. Rheumatoid arthritis affects joints anywhere in the body, including your elbows. Rheumatoid arthritis (ra) symptoms often start in the small joints of the hands and feet, especially the knuckles, first finger joints,. In this post, we dive into how rheumatoid arthritis affects the elbow joint. Rheumatoid arthritis (ra) can lead to joint deformities, particularly in the hands and feet. These occur over extensor surfaces at elbows, heels, and toes. Rheumatoid arthritis (ra) is an inflammatory condition that affects the whole body. Late in the course of the disease patient may present with boutonniere (flexion at pip and extension at dip), swan neck (flexion at dip and extension at pip) deformities, subluxation of mcp joints and. Rheumatoid arthritis is an autoimmune disease that attacks the lining of the joints, often in the elbows. Ra often attacks the joints, including your. Discover the types of deformities and. In the early stages of rheumatoid arthritis, joints, especially the small joints of the hands and fingers, can become loose and unbalanced, causing deformities and contractures (when the.
from www.flitwickosteopaths.com
Discover the types of deformities and. In this post, we dive into how rheumatoid arthritis affects the elbow joint. Late in the course of the disease patient may present with boutonniere (flexion at pip and extension at dip), swan neck (flexion at dip and extension at pip) deformities, subluxation of mcp joints and. Rheumatoid arthritis (ra) can lead to joint deformities, particularly in the hands and feet. In the early stages of rheumatoid arthritis, joints, especially the small joints of the hands and fingers, can become loose and unbalanced, causing deformities and contractures (when the. Rheumatoid nodules may be present in 20% of patients with rheumatoid arthritis; Rheumatoid arthritis (ra) symptoms often start in the small joints of the hands and feet, especially the knuckles, first finger joints,. These occur over extensor surfaces at elbows, heels, and toes. Read more about the unique symptoms, learn the. Rheumatoid arthritis (ra) is an inflammatory condition that affects the whole body.
Rheumatoid Arthritis
Rheumatoid Arthritis Elbow Deformities Read more about the unique symptoms, learn the. One sign that your elbow pain is ra is that you have symmetrical pain in both elbows. These occur over extensor surfaces at elbows, heels, and toes. Ra often attacks the joints, including your. Rheumatoid arthritis (ra) is an inflammatory condition that affects the whole body. In the early stages of rheumatoid arthritis, joints, especially the small joints of the hands and fingers, can become loose and unbalanced, causing deformities and contractures (when the. Rheumatoid arthritis (ra) symptoms often start in the small joints of the hands and feet, especially the knuckles, first finger joints,. Rheumatoid nodules may be present in 20% of patients with rheumatoid arthritis; Discover the types of deformities and. Late in the course of the disease patient may present with boutonniere (flexion at pip and extension at dip), swan neck (flexion at dip and extension at pip) deformities, subluxation of mcp joints and. In this post, we dive into how rheumatoid arthritis affects the elbow joint. Rheumatoid arthritis is an autoimmune disease that attacks the lining of the joints, often in the elbows. Read more about the unique symptoms, learn the. Rheumatoid arthritis (ra) can lead to joint deformities, particularly in the hands and feet. If you have pain and stiffness from elbow. Rheumatoid arthritis affects joints anywhere in the body, including your elbows.
From robust.norushcharge.com
Rheumatoid Arthritis Hand Deformities What to Do Rheumatoid Arthritis Elbow Deformities These occur over extensor surfaces at elbows, heels, and toes. Late in the course of the disease patient may present with boutonniere (flexion at pip and extension at dip), swan neck (flexion at dip and extension at pip) deformities, subluxation of mcp joints and. If you have pain and stiffness from elbow. In the early stages of rheumatoid arthritis, joints,. Rheumatoid Arthritis Elbow Deformities.
From www.boneschool.com
Osteoarthritis & Stiffness The Bone School Rheumatoid Arthritis Elbow Deformities These occur over extensor surfaces at elbows, heels, and toes. Read more about the unique symptoms, learn the. If you have pain and stiffness from elbow. Rheumatoid nodules may be present in 20% of patients with rheumatoid arthritis; Rheumatoid arthritis affects joints anywhere in the body, including your elbows. Rheumatoid arthritis (ra) can lead to joint deformities, particularly in the. Rheumatoid Arthritis Elbow Deformities.
From www.sciencephoto.com
Rheumatoid arthritis in the elbow Stock Image C016/6937 Science Rheumatoid Arthritis Elbow Deformities These occur over extensor surfaces at elbows, heels, and toes. Rheumatoid arthritis (ra) is an inflammatory condition that affects the whole body. If you have pain and stiffness from elbow. Read more about the unique symptoms, learn the. Ra often attacks the joints, including your. In the early stages of rheumatoid arthritis, joints, especially the small joints of the hands. Rheumatoid Arthritis Elbow Deformities.
From quizlet.com
Typical Deformities of Rheumatoid Arthritis Diagram Quizlet Rheumatoid Arthritis Elbow Deformities These occur over extensor surfaces at elbows, heels, and toes. Rheumatoid arthritis (ra) can lead to joint deformities, particularly in the hands and feet. Rheumatoid arthritis (ra) symptoms often start in the small joints of the hands and feet, especially the knuckles, first finger joints,. Discover the types of deformities and. Late in the course of the disease patient may. Rheumatoid Arthritis Elbow Deformities.
From www.pinterest.com
Pin on RHEUMATOID ARTHRITIS Rheumatoid Arthritis Elbow Deformities Rheumatoid arthritis affects joints anywhere in the body, including your elbows. One sign that your elbow pain is ra is that you have symmetrical pain in both elbows. Rheumatoid nodules may be present in 20% of patients with rheumatoid arthritis; Rheumatoid arthritis (ra) symptoms often start in the small joints of the hands and feet, especially the knuckles, first finger. Rheumatoid Arthritis Elbow Deformities.
From drbadia.com
What Causes Hand Deformities in Rheumatoid Arthritis? Rheumatoid Arthritis Elbow Deformities Rheumatoid arthritis (ra) is an inflammatory condition that affects the whole body. Rheumatoid arthritis affects joints anywhere in the body, including your elbows. Read more about the unique symptoms, learn the. Rheumatoid nodules may be present in 20% of patients with rheumatoid arthritis; Ra often attacks the joints, including your. Late in the course of the disease patient may present. Rheumatoid Arthritis Elbow Deformities.
From www.healthclues.net
Rheumatoid Arthritis Rheumatoid Arthritis Treatment Healthclues Rheumatoid Arthritis Elbow Deformities In the early stages of rheumatoid arthritis, joints, especially the small joints of the hands and fingers, can become loose and unbalanced, causing deformities and contractures (when the. Rheumatoid arthritis (ra) is an inflammatory condition that affects the whole body. Late in the course of the disease patient may present with boutonniere (flexion at pip and extension at dip), swan. Rheumatoid Arthritis Elbow Deformities.
From ard.bmj.com
Valgus deformity and proximal subluxation of the rheumatoid elbow a Rheumatoid Arthritis Elbow Deformities Rheumatoid arthritis (ra) symptoms often start in the small joints of the hands and feet, especially the knuckles, first finger joints,. Discover the types of deformities and. Rheumatoid arthritis (ra) is an inflammatory condition that affects the whole body. Read more about the unique symptoms, learn the. Rheumatoid nodules may be present in 20% of patients with rheumatoid arthritis; In. Rheumatoid Arthritis Elbow Deformities.
From shoulderelbow.org
Elbow Rheumatoid Arthritis Any Good Treatment Options? Shoulder & Elbow Rheumatoid Arthritis Elbow Deformities Discover the types of deformities and. Rheumatoid arthritis (ra) can lead to joint deformities, particularly in the hands and feet. Rheumatoid arthritis (ra) is an inflammatory condition that affects the whole body. In this post, we dive into how rheumatoid arthritis affects the elbow joint. Ra often attacks the joints, including your. In the early stages of rheumatoid arthritis, joints,. Rheumatoid Arthritis Elbow Deformities.
From www.muhadharaty.com
Rheumatoid Arthritis pptx Rheumatology Muhadharaty Rheumatoid Arthritis Elbow Deformities In the early stages of rheumatoid arthritis, joints, especially the small joints of the hands and fingers, can become loose and unbalanced, causing deformities and contractures (when the. Discover the types of deformities and. Rheumatoid arthritis (ra) can lead to joint deformities, particularly in the hands and feet. Ra often attacks the joints, including your. Rheumatoid nodules may be present. Rheumatoid Arthritis Elbow Deformities.
From anatomypath88.z21.web.core.windows.net
elbow anatomy xray Rheumatoid Arthritis Elbow Deformities If you have pain and stiffness from elbow. Rheumatoid nodules may be present in 20% of patients with rheumatoid arthritis; In the early stages of rheumatoid arthritis, joints, especially the small joints of the hands and fingers, can become loose and unbalanced, causing deformities and contractures (when the. In this post, we dive into how rheumatoid arthritis affects the elbow. Rheumatoid Arthritis Elbow Deformities.
From hutomosungkar.com
13+ Hand Deformities Of Rheumatoid Arthritis Arthritis In Neck Rheumatoid Arthritis Elbow Deformities If you have pain and stiffness from elbow. Rheumatoid arthritis (ra) symptoms often start in the small joints of the hands and feet, especially the knuckles, first finger joints,. Discover the types of deformities and. In this post, we dive into how rheumatoid arthritis affects the elbow joint. In the early stages of rheumatoid arthritis, joints, especially the small joints. Rheumatoid Arthritis Elbow Deformities.
From www.semanticscholar.org
Figure 1 from Arthroscopic synovectomy of the elbow for rheumatoid Rheumatoid Arthritis Elbow Deformities Discover the types of deformities and. Late in the course of the disease patient may present with boutonniere (flexion at pip and extension at dip), swan neck (flexion at dip and extension at pip) deformities, subluxation of mcp joints and. Ra often attacks the joints, including your. Rheumatoid arthritis (ra) symptoms often start in the small joints of the hands. Rheumatoid Arthritis Elbow Deformities.
From www.thehansindia.com
What is Rheumatoid Arthritis Rheumatoid Arthritis Elbow Deformities Late in the course of the disease patient may present with boutonniere (flexion at pip and extension at dip), swan neck (flexion at dip and extension at pip) deformities, subluxation of mcp joints and. Rheumatoid arthritis (ra) symptoms often start in the small joints of the hands and feet, especially the knuckles, first finger joints,. Rheumatoid arthritis is an autoimmune. Rheumatoid Arthritis Elbow Deformities.
From manualofmedicine.com
Evaluation of the Patient With Joint Disease Manual of Medicine Rheumatoid Arthritis Elbow Deformities Rheumatoid arthritis (ra) is an inflammatory condition that affects the whole body. One sign that your elbow pain is ra is that you have symmetrical pain in both elbows. Read more about the unique symptoms, learn the. Rheumatoid nodules may be present in 20% of patients with rheumatoid arthritis; Rheumatoid arthritis (ra) can lead to joint deformities, particularly in the. Rheumatoid Arthritis Elbow Deformities.
From www.usaspinecare.com
Osteoarthritis & Rheumatoid Arthritis of the Wrist USASC & Orthopedics Rheumatoid Arthritis Elbow Deformities Rheumatoid arthritis (ra) can lead to joint deformities, particularly in the hands and feet. Ra often attacks the joints, including your. Rheumatoid arthritis affects joints anywhere in the body, including your elbows. Rheumatoid arthritis (ra) is an inflammatory condition that affects the whole body. Read more about the unique symptoms, learn the. In the early stages of rheumatoid arthritis, joints,. Rheumatoid Arthritis Elbow Deformities.
From www.youtube.com
Rheumatoid Arthritis( Deformities ) YouTube Rheumatoid Arthritis Elbow Deformities Read more about the unique symptoms, learn the. If you have pain and stiffness from elbow. In the early stages of rheumatoid arthritis, joints, especially the small joints of the hands and fingers, can become loose and unbalanced, causing deformities and contractures (when the. Rheumatoid arthritis (ra) symptoms often start in the small joints of the hands and feet, especially. Rheumatoid Arthritis Elbow Deformities.
From www.healthcentral.com
Rheumatoid Arthritis in Elbows Rheumatoid Arthritis Elbow Deformities Rheumatoid arthritis is an autoimmune disease that attacks the lining of the joints, often in the elbows. Late in the course of the disease patient may present with boutonniere (flexion at pip and extension at dip), swan neck (flexion at dip and extension at pip) deformities, subluxation of mcp joints and. In the early stages of rheumatoid arthritis, joints, especially. Rheumatoid Arthritis Elbow Deformities.
From www.slideserve.com
PPT Rheumatoid Arthritis PowerPoint Presentation ID352806 Rheumatoid Arthritis Elbow Deformities Rheumatoid arthritis (ra) is an inflammatory condition that affects the whole body. Rheumatoid arthritis (ra) can lead to joint deformities, particularly in the hands and feet. One sign that your elbow pain is ra is that you have symmetrical pain in both elbows. These occur over extensor surfaces at elbows, heels, and toes. Rheumatoid arthritis is an autoimmune disease that. Rheumatoid Arthritis Elbow Deformities.
From rheumnow.com
Rheumatoid Arthritis Deformities RheumNow Rheumatoid Arthritis Elbow Deformities Rheumatoid arthritis (ra) is an inflammatory condition that affects the whole body. If you have pain and stiffness from elbow. Rheumatoid nodules may be present in 20% of patients with rheumatoid arthritis; Late in the course of the disease patient may present with boutonniere (flexion at pip and extension at dip), swan neck (flexion at dip and extension at pip). Rheumatoid Arthritis Elbow Deformities.
From doron.com.au
Elbow Osteoarthritis Dr Doron Sher Rheumatoid Arthritis Elbow Deformities One sign that your elbow pain is ra is that you have symmetrical pain in both elbows. Rheumatoid nodules may be present in 20% of patients with rheumatoid arthritis; In the early stages of rheumatoid arthritis, joints, especially the small joints of the hands and fingers, can become loose and unbalanced, causing deformities and contractures (when the. If you have. Rheumatoid Arthritis Elbow Deformities.
From radiopaedia.org
Rheumatoid arthritis (hands and elbow affectation) Image Rheumatoid Arthritis Elbow Deformities Discover the types of deformities and. If you have pain and stiffness from elbow. Rheumatoid arthritis (ra) can lead to joint deformities, particularly in the hands and feet. One sign that your elbow pain is ra is that you have symmetrical pain in both elbows. These occur over extensor surfaces at elbows, heels, and toes. Rheumatoid arthritis is an autoimmune. Rheumatoid Arthritis Elbow Deformities.
From www.ctisus.com
Rheumatoid Arthritis of Elbow on Xray X Rays Case Studies CTisus Rheumatoid Arthritis Elbow Deformities Read more about the unique symptoms, learn the. One sign that your elbow pain is ra is that you have symmetrical pain in both elbows. If you have pain and stiffness from elbow. Rheumatoid arthritis (ra) symptoms often start in the small joints of the hands and feet, especially the knuckles, first finger joints,. Rheumatoid arthritis affects joints anywhere in. Rheumatoid Arthritis Elbow Deformities.
From www.medicalnewstoday.com
Rheumatoid arthritis How does it affect the elbow? Rheumatoid Arthritis Elbow Deformities Discover the types of deformities and. Rheumatoid arthritis (ra) symptoms often start in the small joints of the hands and feet, especially the knuckles, first finger joints,. Rheumatoid arthritis (ra) can lead to joint deformities, particularly in the hands and feet. Ra often attacks the joints, including your. Rheumatoid arthritis is an autoimmune disease that attacks the lining of the. Rheumatoid Arthritis Elbow Deformities.
From health-fts.blogspot.com
HEALTH FROM TRUSTED SOURCES Rheumatoid Arthritis Rheumatoid Arthritis Elbow Deformities Rheumatoid arthritis (ra) can lead to joint deformities, particularly in the hands and feet. Rheumatoid arthritis is an autoimmune disease that attacks the lining of the joints, often in the elbows. Ra often attacks the joints, including your. In this post, we dive into how rheumatoid arthritis affects the elbow joint. If you have pain and stiffness from elbow. Discover. Rheumatoid Arthritis Elbow Deformities.
From www.semanticscholar.org
Figure 1 from Reconstruction of digital deformities in rheumatoid Rheumatoid Arthritis Elbow Deformities Rheumatoid arthritis (ra) symptoms often start in the small joints of the hands and feet, especially the knuckles, first finger joints,. If you have pain and stiffness from elbow. Rheumatoid arthritis (ra) is an inflammatory condition that affects the whole body. One sign that your elbow pain is ra is that you have symmetrical pain in both elbows. Ra often. Rheumatoid Arthritis Elbow Deformities.
From www.chrisbaileyorthopaedics.com
Rheumatoid Arthritis Chris Bailey Orthopaedics Rheumatoid Arthritis Elbow Deformities If you have pain and stiffness from elbow. Ra often attacks the joints, including your. These occur over extensor surfaces at elbows, heels, and toes. Rheumatoid arthritis (ra) is an inflammatory condition that affects the whole body. Late in the course of the disease patient may present with boutonniere (flexion at pip and extension at dip), swan neck (flexion at. Rheumatoid Arthritis Elbow Deformities.
From medizzy.com
Finger deformities in rheumatoid arthritis MEDizzy Rheumatoid Arthritis Elbow Deformities Late in the course of the disease patient may present with boutonniere (flexion at pip and extension at dip), swan neck (flexion at dip and extension at pip) deformities, subluxation of mcp joints and. In the early stages of rheumatoid arthritis, joints, especially the small joints of the hands and fingers, can become loose and unbalanced, causing deformities and contractures. Rheumatoid Arthritis Elbow Deformities.
From www.floridaortho.com
Rheumatoid Arthritis Of The Hand Florida Orthopaeidic Rheumatoid Arthritis Elbow Deformities Read more about the unique symptoms, learn the. Rheumatoid arthritis (ra) symptoms often start in the small joints of the hands and feet, especially the knuckles, first finger joints,. If you have pain and stiffness from elbow. In the early stages of rheumatoid arthritis, joints, especially the small joints of the hands and fingers, can become loose and unbalanced, causing. Rheumatoid Arthritis Elbow Deformities.
From www.boneschool.com
Rheumatoid Elbow The Bone School Rheumatoid Arthritis Elbow Deformities Ra often attacks the joints, including your. Rheumatoid arthritis (ra) can lead to joint deformities, particularly in the hands and feet. These occur over extensor surfaces at elbows, heels, and toes. Rheumatoid arthritis affects joints anywhere in the body, including your elbows. Read more about the unique symptoms, learn the. If you have pain and stiffness from elbow. In the. Rheumatoid Arthritis Elbow Deformities.
From rap-el.com.au
RAPeL Module 4 Extraarticular features of rheumatoid arthritis and Rheumatoid Arthritis Elbow Deformities In this post, we dive into how rheumatoid arthritis affects the elbow joint. Rheumatoid arthritis (ra) can lead to joint deformities, particularly in the hands and feet. These occur over extensor surfaces at elbows, heels, and toes. If you have pain and stiffness from elbow. Ra often attacks the joints, including your. Rheumatoid arthritis (ra) is an inflammatory condition that. Rheumatoid Arthritis Elbow Deformities.
From journals.sagepub.com
Rheumatoid arthritis Devina Maru, Ebrahim Mulla, 2020 Rheumatoid Arthritis Elbow Deformities Ra often attacks the joints, including your. In this post, we dive into how rheumatoid arthritis affects the elbow joint. Rheumatoid arthritis (ra) is an inflammatory condition that affects the whole body. In the early stages of rheumatoid arthritis, joints, especially the small joints of the hands and fingers, can become loose and unbalanced, causing deformities and contractures (when the.. Rheumatoid Arthritis Elbow Deformities.
From examnnotes.com
Deformities in Rheumatoid Arthritis Rheumatoid Arthritis Elbow Deformities If you have pain and stiffness from elbow. Rheumatoid nodules may be present in 20% of patients with rheumatoid arthritis; These occur over extensor surfaces at elbows, heels, and toes. Rheumatoid arthritis is an autoimmune disease that attacks the lining of the joints, often in the elbows. Rheumatoid arthritis (ra) is an inflammatory condition that affects the whole body. Read. Rheumatoid Arthritis Elbow Deformities.
From www.flitwickosteopaths.com
Rheumatoid Arthritis Rheumatoid Arthritis Elbow Deformities Discover the types of deformities and. These occur over extensor surfaces at elbows, heels, and toes. One sign that your elbow pain is ra is that you have symmetrical pain in both elbows. Rheumatoid arthritis (ra) symptoms often start in the small joints of the hands and feet, especially the knuckles, first finger joints,. In this post, we dive into. Rheumatoid Arthritis Elbow Deformities.
From www.rheumtutor.com
Rheumatoid Arthritis · RheumTutor Rheumatoid Arthritis Elbow Deformities In the early stages of rheumatoid arthritis, joints, especially the small joints of the hands and fingers, can become loose and unbalanced, causing deformities and contractures (when the. Rheumatoid arthritis affects joints anywhere in the body, including your elbows. Ra often attacks the joints, including your. These occur over extensor surfaces at elbows, heels, and toes. If you have pain. Rheumatoid Arthritis Elbow Deformities.