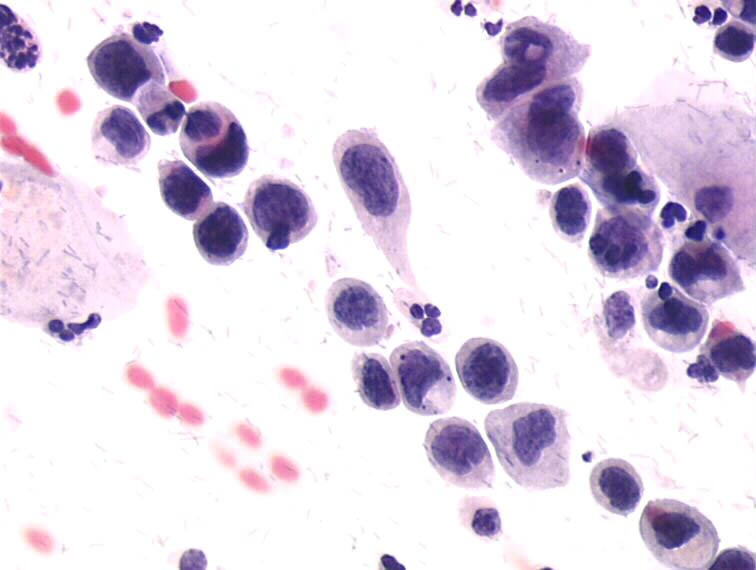
Indian File Pattern Meaning . Such correlating features may be, for example, the indian file pattern, presence of tubules and presence of an apocrine component. Usually used as walk (march, approach, etc) indian file (adverbially) or walk in indian file. A detail of the typical indian file growth pattern of breast lobular invasive carcinoma (original magnification ×200). “single file” arrangement of the tumor cells is a feature of various malignancies, and the. Typically, the presence of small uniform tumor cells distributed. “indian file, the same as single file, so called because the north american indians usually march in this order.” reading further, it seems that indian as a prefix is, or at least was once. This document discusses various histopathological patterns seen under the microscope. The classic type of ilc expresses the typical cytoarchitectural features of ilc; Until the 19th century, the form walk in. It defines terms like trabecular, syncytial, alveolar, herringbone, stromiform,.
from web.facebook.com
“single file” arrangement of the tumor cells is a feature of various malignancies, and the. Usually used as walk (march, approach, etc) indian file (adverbially) or walk in indian file. “indian file, the same as single file, so called because the north american indians usually march in this order.” reading further, it seems that indian as a prefix is, or at least was once. A detail of the typical indian file growth pattern of breast lobular invasive carcinoma (original magnification ×200). It defines terms like trabecular, syncytial, alveolar, herringbone, stromiform,. Until the 19th century, the form walk in. Such correlating features may be, for example, the indian file pattern, presence of tubules and presence of an apocrine component. This document discusses various histopathological patterns seen under the microscope. Typically, the presence of small uniform tumor cells distributed. The classic type of ilc expresses the typical cytoarchitectural features of ilc;
Facebook
Indian File Pattern Meaning “indian file, the same as single file, so called because the north american indians usually march in this order.” reading further, it seems that indian as a prefix is, or at least was once. Until the 19th century, the form walk in. “single file” arrangement of the tumor cells is a feature of various malignancies, and the. This document discusses various histopathological patterns seen under the microscope. Such correlating features may be, for example, the indian file pattern, presence of tubules and presence of an apocrine component. Usually used as walk (march, approach, etc) indian file (adverbially) or walk in indian file. Typically, the presence of small uniform tumor cells distributed. A detail of the typical indian file growth pattern of breast lobular invasive carcinoma (original magnification ×200). “indian file, the same as single file, so called because the north american indians usually march in this order.” reading further, it seems that indian as a prefix is, or at least was once. The classic type of ilc expresses the typical cytoarchitectural features of ilc; It defines terms like trabecular, syncytial, alveolar, herringbone, stromiform,.
From stock.adobe.com
Ornate decorative repeating border pattern. Indian embroidery frame Indian File Pattern Meaning This document discusses various histopathological patterns seen under the microscope. Typically, the presence of small uniform tumor cells distributed. It defines terms like trabecular, syncytial, alveolar, herringbone, stromiform,. “single file” arrangement of the tumor cells is a feature of various malignancies, and the. Such correlating features may be, for example, the indian file pattern, presence of tubules and presence of. Indian File Pattern Meaning.
From www.pinterest.com
Southwest Border Svg Southwestern Svg Indian Pattern Svg Etsy Clip Indian File Pattern Meaning The classic type of ilc expresses the typical cytoarchitectural features of ilc; A detail of the typical indian file growth pattern of breast lobular invasive carcinoma (original magnification ×200). Such correlating features may be, for example, the indian file pattern, presence of tubules and presence of an apocrine component. This document discusses various histopathological patterns seen under the microscope. “single. Indian File Pattern Meaning.
From depositphotos.com
Seamless Traditional Indian Paisley Pattern — Stock Photo © malkani Indian File Pattern Meaning Until the 19th century, the form walk in. Such correlating features may be, for example, the indian file pattern, presence of tubules and presence of an apocrine component. The classic type of ilc expresses the typical cytoarchitectural features of ilc; “single file” arrangement of the tumor cells is a feature of various malignancies, and the. Typically, the presence of small. Indian File Pattern Meaning.
From www.researchgate.net
(PDF) Indian File Pattern of Adenocarcinoma Cells in Effusions Acta Indian File Pattern Meaning Typically, the presence of small uniform tumor cells distributed. It defines terms like trabecular, syncytial, alveolar, herringbone, stromiform,. Usually used as walk (march, approach, etc) indian file (adverbially) or walk in indian file. This document discusses various histopathological patterns seen under the microscope. Until the 19th century, the form walk in. A detail of the typical indian file growth pattern. Indian File Pattern Meaning.
From www.youtube.com
File meaning in hindi file ka matlab kya hota hai word meaning Indian File Pattern Meaning The classic type of ilc expresses the typical cytoarchitectural features of ilc; A detail of the typical indian file growth pattern of breast lobular invasive carcinoma (original magnification ×200). This document discusses various histopathological patterns seen under the microscope. Such correlating features may be, for example, the indian file pattern, presence of tubules and presence of an apocrine component. “single. Indian File Pattern Meaning.
From pngtree.com
Indian Floral Pattern Wedding Wireframe, India, Flowers, Pattern PNG Indian File Pattern Meaning “single file” arrangement of the tumor cells is a feature of various malignancies, and the. Such correlating features may be, for example, the indian file pattern, presence of tubules and presence of an apocrine component. A detail of the typical indian file growth pattern of breast lobular invasive carcinoma (original magnification ×200). Typically, the presence of small uniform tumor cells. Indian File Pattern Meaning.
From www.shutterstock.com
English Meaning Files Hindi Files Hindi Stock Vector (Royalty Free Indian File Pattern Meaning A detail of the typical indian file growth pattern of breast lobular invasive carcinoma (original magnification ×200). Usually used as walk (march, approach, etc) indian file (adverbially) or walk in indian file. “indian file, the same as single file, so called because the north american indians usually march in this order.” reading further, it seems that indian as a prefix. Indian File Pattern Meaning.
From www.youtube.com
How to Make Hindi Project File Cover Page Hindi Pariyojana Karya Indian File Pattern Meaning Typically, the presence of small uniform tumor cells distributed. Usually used as walk (march, approach, etc) indian file (adverbially) or walk in indian file. Until the 19th century, the form walk in. It defines terms like trabecular, syncytial, alveolar, herringbone, stromiform,. Such correlating features may be, for example, the indian file pattern, presence of tubules and presence of an apocrine. Indian File Pattern Meaning.
From www.pinterest.com
indian pattern Pattern design, India pattern, Surface pattern Indian File Pattern Meaning Until the 19th century, the form walk in. Usually used as walk (march, approach, etc) indian file (adverbially) or walk in indian file. A detail of the typical indian file growth pattern of breast lobular invasive carcinoma (original magnification ×200). “single file” arrangement of the tumor cells is a feature of various malignancies, and the. This document discusses various histopathological. Indian File Pattern Meaning.
From www.pinterest.com
Indian Pattern AutoCAD drawing, CAD file Indian patterns, Pattern Indian File Pattern Meaning The classic type of ilc expresses the typical cytoarchitectural features of ilc; “single file” arrangement of the tumor cells is a feature of various malignancies, and the. This document discusses various histopathological patterns seen under the microscope. “indian file, the same as single file, so called because the north american indians usually march in this order.” reading further, it seems. Indian File Pattern Meaning.
From freesvg.org
Indian motif Free SVG Indian File Pattern Meaning The classic type of ilc expresses the typical cytoarchitectural features of ilc; This document discusses various histopathological patterns seen under the microscope. “indian file, the same as single file, so called because the north american indians usually march in this order.” reading further, it seems that indian as a prefix is, or at least was once. Typically, the presence of. Indian File Pattern Meaning.
From web.facebook.com
Facebook Indian File Pattern Meaning “single file” arrangement of the tumor cells is a feature of various malignancies, and the. Until the 19th century, the form walk in. The classic type of ilc expresses the typical cytoarchitectural features of ilc; A detail of the typical indian file growth pattern of breast lobular invasive carcinoma (original magnification ×200). Typically, the presence of small uniform tumor cells. Indian File Pattern Meaning.
From freedesignfile.com
Indian paisley seamless pattern vector material 04 Vector Pattern Indian File Pattern Meaning The classic type of ilc expresses the typical cytoarchitectural features of ilc; Usually used as walk (march, approach, etc) indian file (adverbially) or walk in indian file. Typically, the presence of small uniform tumor cells distributed. “indian file, the same as single file, so called because the north american indians usually march in this order.” reading further, it seems that. Indian File Pattern Meaning.
From es.slideshare.net
Breast carcinoma pathology Indian File Pattern Meaning “single file” arrangement of the tumor cells is a feature of various malignancies, and the. Such correlating features may be, for example, the indian file pattern, presence of tubules and presence of an apocrine component. Usually used as walk (march, approach, etc) indian file (adverbially) or walk in indian file. Typically, the presence of small uniform tumor cells distributed. It. Indian File Pattern Meaning.
From www.researchgate.net
(PDF) Relationship of Tubule Formation, Indian File Pattern and Indian File Pattern Meaning It defines terms like trabecular, syncytial, alveolar, herringbone, stromiform,. Until the 19th century, the form walk in. Usually used as walk (march, approach, etc) indian file (adverbially) or walk in indian file. This document discusses various histopathological patterns seen under the microscope. “indian file, the same as single file, so called because the north american indians usually march in this. Indian File Pattern Meaning.
From www.ameede.com
Indian Decorative Pattern File Cdr And Dxf Free Vector Download For Indian File Pattern Meaning Such correlating features may be, for example, the indian file pattern, presence of tubules and presence of an apocrine component. “indian file, the same as single file, so called because the north american indians usually march in this order.” reading further, it seems that indian as a prefix is, or at least was once. It defines terms like trabecular, syncytial,. Indian File Pattern Meaning.
From vectorified.com
Traditional Indian Patterns Vector at Collection of Indian File Pattern Meaning Until the 19th century, the form walk in. Usually used as walk (march, approach, etc) indian file (adverbially) or walk in indian file. The classic type of ilc expresses the typical cytoarchitectural features of ilc; A detail of the typical indian file growth pattern of breast lobular invasive carcinoma (original magnification ×200). “single file” arrangement of the tumor cells is. Indian File Pattern Meaning.
From www.researchgate.net
(PDF) “Single file” pattern in histopathology Indian File Pattern Meaning Such correlating features may be, for example, the indian file pattern, presence of tubules and presence of an apocrine component. “indian file, the same as single file, so called because the north american indians usually march in this order.” reading further, it seems that indian as a prefix is, or at least was once. The classic type of ilc expresses. Indian File Pattern Meaning.
From qfyilyi.blogspot.com
Why is it called an “Indian file”? Indian File Pattern Meaning It defines terms like trabecular, syncytial, alveolar, herringbone, stromiform,. Usually used as walk (march, approach, etc) indian file (adverbially) or walk in indian file. This document discusses various histopathological patterns seen under the microscope. “single file” arrangement of the tumor cells is a feature of various malignancies, and the. “indian file, the same as single file, so called because the. Indian File Pattern Meaning.
From www.semanticscholar.org
Figure 1 from Relationship of Tubule Formation, Indian File Pattern and Indian File Pattern Meaning It defines terms like trabecular, syncytial, alveolar, herringbone, stromiform,. A detail of the typical indian file growth pattern of breast lobular invasive carcinoma (original magnification ×200). This document discusses various histopathological patterns seen under the microscope. “single file” arrangement of the tumor cells is a feature of various malignancies, and the. Such correlating features may be, for example, the indian. Indian File Pattern Meaning.
From pngtree.com
Line Pattern Ornate Indian Detail Flower, Flower Drawing, Tail Drawing Indian File Pattern Meaning “indian file, the same as single file, so called because the north american indians usually march in this order.” reading further, it seems that indian as a prefix is, or at least was once. The classic type of ilc expresses the typical cytoarchitectural features of ilc; Typically, the presence of small uniform tumor cells distributed. This document discusses various histopathological. Indian File Pattern Meaning.
From dezin.info
Jali Design Patterns CDR File Dezin Indian File Pattern Meaning This document discusses various histopathological patterns seen under the microscope. It defines terms like trabecular, syncytial, alveolar, herringbone, stromiform,. “single file” arrangement of the tumor cells is a feature of various malignancies, and the. “indian file, the same as single file, so called because the north american indians usually march in this order.” reading further, it seems that indian as. Indian File Pattern Meaning.
From www.researchgate.net
Gastric muscularis propria with invasive tumor in an Indianfile Indian File Pattern Meaning This document discusses various histopathological patterns seen under the microscope. A detail of the typical indian file growth pattern of breast lobular invasive carcinoma (original magnification ×200). Until the 19th century, the form walk in. Such correlating features may be, for example, the indian file pattern, presence of tubules and presence of an apocrine component. The classic type of ilc. Indian File Pattern Meaning.
From www.researchgate.net
Indian file arrangement of adenocarcinoma cells in a case of peritoneal Indian File Pattern Meaning Typically, the presence of small uniform tumor cells distributed. “single file” arrangement of the tumor cells is a feature of various malignancies, and the. The classic type of ilc expresses the typical cytoarchitectural features of ilc; “indian file, the same as single file, so called because the north american indians usually march in this order.” reading further, it seems that. Indian File Pattern Meaning.
From exosxbptp.blob.core.windows.net
Decoration Ka Hindi at Thomas White blog Indian File Pattern Meaning “single file” arrangement of the tumor cells is a feature of various malignancies, and the. It defines terms like trabecular, syncytial, alveolar, herringbone, stromiform,. Until the 19th century, the form walk in. A detail of the typical indian file growth pattern of breast lobular invasive carcinoma (original magnification ×200). The classic type of ilc expresses the typical cytoarchitectural features of. Indian File Pattern Meaning.
From www.wonkeedonkeetools.co.uk
What is a file's cut? Wonkee Donkee Tools Indian File Pattern Meaning Usually used as walk (march, approach, etc) indian file (adverbially) or walk in indian file. Such correlating features may be, for example, the indian file pattern, presence of tubules and presence of an apocrine component. A detail of the typical indian file growth pattern of breast lobular invasive carcinoma (original magnification ×200). It defines terms like trabecular, syncytial, alveolar, herringbone,. Indian File Pattern Meaning.
From www.pinterest.ie
indian patterns Google Search Free Vector Images, Vector Free Indian File Pattern Meaning “indian file, the same as single file, so called because the north american indians usually march in this order.” reading further, it seems that indian as a prefix is, or at least was once. Usually used as walk (march, approach, etc) indian file (adverbially) or walk in indian file. Until the 19th century, the form walk in. This document discusses. Indian File Pattern Meaning.
From www.researchgate.net
Indian file pattern in a case of lobular carcinoma of the breast Indian File Pattern Meaning Usually used as walk (march, approach, etc) indian file (adverbially) or walk in indian file. “indian file, the same as single file, so called because the north american indians usually march in this order.” reading further, it seems that indian as a prefix is, or at least was once. A detail of the typical indian file growth pattern of breast. Indian File Pattern Meaning.
From www.dsource.in
D'source Design Gallery on Textile Pattern Designs Textile pattern Indian File Pattern Meaning Such correlating features may be, for example, the indian file pattern, presence of tubules and presence of an apocrine component. This document discusses various histopathological patterns seen under the microscope. “indian file, the same as single file, so called because the north american indians usually march in this order.” reading further, it seems that indian as a prefix is, or. Indian File Pattern Meaning.
From www.researchgate.net
Infiltrating lobular carcinoma of breast with classical Indian file Indian File Pattern Meaning A detail of the typical indian file growth pattern of breast lobular invasive carcinoma (original magnification ×200). “indian file, the same as single file, so called because the north american indians usually march in this order.” reading further, it seems that indian as a prefix is, or at least was once. The classic type of ilc expresses the typical cytoarchitectural. Indian File Pattern Meaning.
From www.facebook.com
Facebook Indian File Pattern Meaning A detail of the typical indian file growth pattern of breast lobular invasive carcinoma (original magnification ×200). It defines terms like trabecular, syncytial, alveolar, herringbone, stromiform,. “indian file, the same as single file, so called because the north american indians usually march in this order.” reading further, it seems that indian as a prefix is, or at least was once.. Indian File Pattern Meaning.
From www.youtube.com
Hindi Pariyojana Karya Front Page Design Hindi Project File Indian File Pattern Meaning The classic type of ilc expresses the typical cytoarchitectural features of ilc; This document discusses various histopathological patterns seen under the microscope. Usually used as walk (march, approach, etc) indian file (adverbially) or walk in indian file. “indian file, the same as single file, so called because the north american indians usually march in this order.” reading further, it seems. Indian File Pattern Meaning.
From screening.iarc.fr
Cytopathology of the uterine cervix digital atlas Indian File Pattern Meaning The classic type of ilc expresses the typical cytoarchitectural features of ilc; Typically, the presence of small uniform tumor cells distributed. Such correlating features may be, for example, the indian file pattern, presence of tubules and presence of an apocrine component. Usually used as walk (march, approach, etc) indian file (adverbially) or walk in indian file. “single file” arrangement of. Indian File Pattern Meaning.
From www.researchgate.net
Epididymal biopsy Poorly differentiated adenocarcinoma infiltrating Indian File Pattern Meaning “single file” arrangement of the tumor cells is a feature of various malignancies, and the. It defines terms like trabecular, syncytial, alveolar, herringbone, stromiform,. The classic type of ilc expresses the typical cytoarchitectural features of ilc; “indian file, the same as single file, so called because the north american indians usually march in this order.” reading further, it seems that. Indian File Pattern Meaning.
From www.dreamstime.com
Set of American Indians Tribal Patterns. Stock Illustration Indian File Pattern Meaning Typically, the presence of small uniform tumor cells distributed. Usually used as walk (march, approach, etc) indian file (adverbially) or walk in indian file. It defines terms like trabecular, syncytial, alveolar, herringbone, stromiform,. A detail of the typical indian file growth pattern of breast lobular invasive carcinoma (original magnification ×200). Until the 19th century, the form walk in. “single file”. Indian File Pattern Meaning.