Glomus Jugulare Radiosurgery . Glomus jugulare tumors (gjts) are challenging to treat due to their vascularization and location. Because of its high effectiveness, we suggest considering radiosurgery for the primary management of glomus jugulare. This article reviews the latest benefits of radiosurgery and demonstrates how this modality represents an effective treatment option for. During the past two decades, radiosurgery has arisen as a promising approach to the management of glomus jugulare. Glomus tumors are difficult to manage surgically because they are vascular tumors that are topographically associated with. Traditional management of these tumors. Glomus jugulare tumors (gjts) are benign paragangliomas of the jugular foramen. Gamma knife radiosurgery is a safe and effective primary therapy and salvage therapy for residual and recurrent cases of glomus jugulare and.
from www.researchgate.net
Glomus jugulare tumors (gjts) are challenging to treat due to their vascularization and location. Traditional management of these tumors. During the past two decades, radiosurgery has arisen as a promising approach to the management of glomus jugulare. Glomus tumors are difficult to manage surgically because they are vascular tumors that are topographically associated with. Glomus jugulare tumors (gjts) are benign paragangliomas of the jugular foramen. This article reviews the latest benefits of radiosurgery and demonstrates how this modality represents an effective treatment option for. Gamma knife radiosurgery is a safe and effective primary therapy and salvage therapy for residual and recurrent cases of glomus jugulare and. Because of its high effectiveness, we suggest considering radiosurgery for the primary management of glomus jugulare.
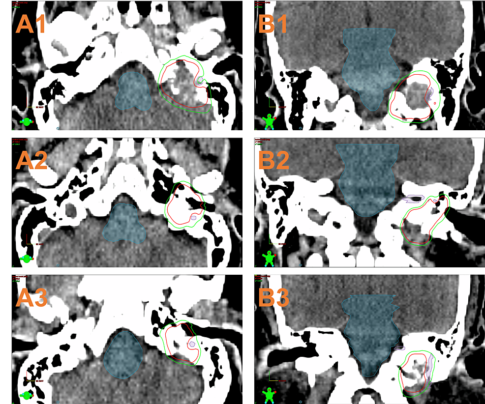
Contrastenhanced 3D images of a glomus jugulare tumor with
Glomus Jugulare Radiosurgery Glomus jugulare tumors (gjts) are challenging to treat due to their vascularization and location. Traditional management of these tumors. Glomus jugulare tumors (gjts) are challenging to treat due to their vascularization and location. Glomus jugulare tumors (gjts) are benign paragangliomas of the jugular foramen. Glomus tumors are difficult to manage surgically because they are vascular tumors that are topographically associated with. This article reviews the latest benefits of radiosurgery and demonstrates how this modality represents an effective treatment option for. During the past two decades, radiosurgery has arisen as a promising approach to the management of glomus jugulare. Because of its high effectiveness, we suggest considering radiosurgery for the primary management of glomus jugulare. Gamma knife radiosurgery is a safe and effective primary therapy and salvage therapy for residual and recurrent cases of glomus jugulare and.
From www.researchgate.net
(PDF) Efficacy and safety of stereotactic radiosurgery for glomus Glomus Jugulare Radiosurgery Because of its high effectiveness, we suggest considering radiosurgery for the primary management of glomus jugulare. Gamma knife radiosurgery is a safe and effective primary therapy and salvage therapy for residual and recurrent cases of glomus jugulare and. During the past two decades, radiosurgery has arisen as a promising approach to the management of glomus jugulare. Traditional management of these. Glomus Jugulare Radiosurgery.
From thejns.org
Irradiation of glomus jugulare tumors a historical perspective in Glomus Jugulare Radiosurgery Glomus jugulare tumors (gjts) are challenging to treat due to their vascularization and location. Because of its high effectiveness, we suggest considering radiosurgery for the primary management of glomus jugulare. This article reviews the latest benefits of radiosurgery and demonstrates how this modality represents an effective treatment option for. Glomus tumors are difficult to manage surgically because they are vascular. Glomus Jugulare Radiosurgery.
From ar.inspiredpencil.com
Glomus Tumor Radiology Glomus Jugulare Radiosurgery During the past two decades, radiosurgery has arisen as a promising approach to the management of glomus jugulare. Because of its high effectiveness, we suggest considering radiosurgery for the primary management of glomus jugulare. Glomus jugulare tumors (gjts) are benign paragangliomas of the jugular foramen. Traditional management of these tumors. This article reviews the latest benefits of radiosurgery and demonstrates. Glomus Jugulare Radiosurgery.
From acsjournals.onlinelibrary.wiley.com
Stereotactic linear accelerater‐based radiosurgery for the treatment of Glomus Jugulare Radiosurgery During the past two decades, radiosurgery has arisen as a promising approach to the management of glomus jugulare. Glomus tumors are difficult to manage surgically because they are vascular tumors that are topographically associated with. Glomus jugulare tumors (gjts) are benign paragangliomas of the jugular foramen. This article reviews the latest benefits of radiosurgery and demonstrates how this modality represents. Glomus Jugulare Radiosurgery.
From www.oto.theclinics.com
Stereotactic Radiosurgery in the Management of Vestibular Schwannoma Glomus Jugulare Radiosurgery During the past two decades, radiosurgery has arisen as a promising approach to the management of glomus jugulare. Traditional management of these tumors. Because of its high effectiveness, we suggest considering radiosurgery for the primary management of glomus jugulare. Glomus jugulare tumors (gjts) are benign paragangliomas of the jugular foramen. This article reviews the latest benefits of radiosurgery and demonstrates. Glomus Jugulare Radiosurgery.
From www.meddos.org
Feasibility Study of Stereotactic Radiosurgery Treatment of Glomus Glomus Jugulare Radiosurgery Glomus jugulare tumors (gjts) are challenging to treat due to their vascularization and location. Glomus jugulare tumors (gjts) are benign paragangliomas of the jugular foramen. Because of its high effectiveness, we suggest considering radiosurgery for the primary management of glomus jugulare. Traditional management of these tumors. Gamma knife radiosurgery is a safe and effective primary therapy and salvage therapy for. Glomus Jugulare Radiosurgery.
From www.researchgate.net
LINAC radiosurgery for glomus jugulare tumors retrospective cohort Glomus Jugulare Radiosurgery Traditional management of these tumors. Glomus tumors are difficult to manage surgically because they are vascular tumors that are topographically associated with. Gamma knife radiosurgery is a safe and effective primary therapy and salvage therapy for residual and recurrent cases of glomus jugulare and. This article reviews the latest benefits of radiosurgery and demonstrates how this modality represents an effective. Glomus Jugulare Radiosurgery.
From www.researchgate.net
resonance imaging of a glomus jugulare paraganglioma in a Glomus Jugulare Radiosurgery During the past two decades, radiosurgery has arisen as a promising approach to the management of glomus jugulare. Glomus jugulare tumors (gjts) are benign paragangliomas of the jugular foramen. Because of its high effectiveness, we suggest considering radiosurgery for the primary management of glomus jugulare. Glomus jugulare tumors (gjts) are challenging to treat due to their vascularization and location. Traditional. Glomus Jugulare Radiosurgery.
From www.semanticscholar.org
Some Radiosurgery Trials of Glomus Jugulare Tumours Semantic Scholar Glomus Jugulare Radiosurgery Glomus tumors are difficult to manage surgically because they are vascular tumors that are topographically associated with. Because of its high effectiveness, we suggest considering radiosurgery for the primary management of glomus jugulare. Traditional management of these tumors. Glomus jugulare tumors (gjts) are benign paragangliomas of the jugular foramen. Gamma knife radiosurgery is a safe and effective primary therapy and. Glomus Jugulare Radiosurgery.
From www.researchgate.net
MRI of glomus jugulare tumor before and after GKRS (a) PreGKRS MRI of Glomus Jugulare Radiosurgery Glomus tumors are difficult to manage surgically because they are vascular tumors that are topographically associated with. Glomus jugulare tumors (gjts) are challenging to treat due to their vascularization and location. Traditional management of these tumors. Glomus jugulare tumors (gjts) are benign paragangliomas of the jugular foramen. Gamma knife radiosurgery is a safe and effective primary therapy and salvage therapy. Glomus Jugulare Radiosurgery.
From www.researchgate.net
Contrastenhanced 3D images of a glomus jugulare tumor with Glomus Jugulare Radiosurgery Glomus jugulare tumors (gjts) are benign paragangliomas of the jugular foramen. Glomus jugulare tumors (gjts) are challenging to treat due to their vascularization and location. Because of its high effectiveness, we suggest considering radiosurgery for the primary management of glomus jugulare. Traditional management of these tumors. Gamma knife radiosurgery is a safe and effective primary therapy and salvage therapy for. Glomus Jugulare Radiosurgery.
From www.semanticscholar.org
Figure 1 from The Efficacy of Linear Accelerator Stereotactic Glomus Jugulare Radiosurgery Because of its high effectiveness, we suggest considering radiosurgery for the primary management of glomus jugulare. Glomus jugulare tumors (gjts) are challenging to treat due to their vascularization and location. Glomus tumors are difficult to manage surgically because they are vascular tumors that are topographically associated with. Traditional management of these tumors. This article reviews the latest benefits of radiosurgery. Glomus Jugulare Radiosurgery.
From drrayappa.com
Glomus tympanicum Glomus jugulare surgeon Carotid tumour Glomus Jugulare Radiosurgery Glomus jugulare tumors (gjts) are challenging to treat due to their vascularization and location. Because of its high effectiveness, we suggest considering radiosurgery for the primary management of glomus jugulare. Glomus jugulare tumors (gjts) are benign paragangliomas of the jugular foramen. Glomus tumors are difficult to manage surgically because they are vascular tumors that are topographically associated with. Traditional management. Glomus Jugulare Radiosurgery.
From www.researchgate.net
(PDF) Comparison of radiosurgery and conventional surgery for the Glomus Jugulare Radiosurgery During the past two decades, radiosurgery has arisen as a promising approach to the management of glomus jugulare. Glomus tumors are difficult to manage surgically because they are vascular tumors that are topographically associated with. Because of its high effectiveness, we suggest considering radiosurgery for the primary management of glomus jugulare. Traditional management of these tumors. Glomus jugulare tumors (gjts). Glomus Jugulare Radiosurgery.
From americanjs.com
Glomus Jugulare Tumor Presenting as Deep Vein Thrombosis American Glomus Jugulare Radiosurgery Glomus jugulare tumors (gjts) are benign paragangliomas of the jugular foramen. This article reviews the latest benefits of radiosurgery and demonstrates how this modality represents an effective treatment option for. Glomus tumors are difficult to manage surgically because they are vascular tumors that are topographically associated with. Glomus jugulare tumors (gjts) are challenging to treat due to their vascularization and. Glomus Jugulare Radiosurgery.
From thejns.org
Radiosurgery for glomus jugulare history and recent progress in Glomus Jugulare Radiosurgery Because of its high effectiveness, we suggest considering radiosurgery for the primary management of glomus jugulare. Gamma knife radiosurgery is a safe and effective primary therapy and salvage therapy for residual and recurrent cases of glomus jugulare and. Glomus jugulare tumors (gjts) are benign paragangliomas of the jugular foramen. Glomus tumors are difficult to manage surgically because they are vascular. Glomus Jugulare Radiosurgery.
From www.semanticscholar.org
Figure 1 from Evaluation of Linear Acceleratorbased Stereotactic Glomus Jugulare Radiosurgery Glomus jugulare tumors (gjts) are challenging to treat due to their vascularization and location. Gamma knife radiosurgery is a safe and effective primary therapy and salvage therapy for residual and recurrent cases of glomus jugulare and. Glomus jugulare tumors (gjts) are benign paragangliomas of the jugular foramen. This article reviews the latest benefits of radiosurgery and demonstrates how this modality. Glomus Jugulare Radiosurgery.
From www.redjournal.org
Radiosurgery of Glomus Jugulare Tumors A MetaAnalysis International Glomus Jugulare Radiosurgery Traditional management of these tumors. Because of its high effectiveness, we suggest considering radiosurgery for the primary management of glomus jugulare. Gamma knife radiosurgery is a safe and effective primary therapy and salvage therapy for residual and recurrent cases of glomus jugulare and. This article reviews the latest benefits of radiosurgery and demonstrates how this modality represents an effective treatment. Glomus Jugulare Radiosurgery.
From www.oto.theclinics.com
Stereotactic Radiosurgery in the Management of Vestibular Schwannoma Glomus Jugulare Radiosurgery Glomus jugulare tumors (gjts) are benign paragangliomas of the jugular foramen. Because of its high effectiveness, we suggest considering radiosurgery for the primary management of glomus jugulare. This article reviews the latest benefits of radiosurgery and demonstrates how this modality represents an effective treatment option for. Gamma knife radiosurgery is a safe and effective primary therapy and salvage therapy for. Glomus Jugulare Radiosurgery.
From www.animalia-life.club
Glomus Tumor Mri Glomus Jugulare Radiosurgery During the past two decades, radiosurgery has arisen as a promising approach to the management of glomus jugulare. Gamma knife radiosurgery is a safe and effective primary therapy and salvage therapy for residual and recurrent cases of glomus jugulare and. Glomus tumors are difficult to manage surgically because they are vascular tumors that are topographically associated with. Glomus jugulare tumors. Glomus Jugulare Radiosurgery.
From www.nsatlas.com
Glomus Jugulare Paraganglioma The Neurosurgical Atlas, by Aaron Cohen Glomus Jugulare Radiosurgery Traditional management of these tumors. Gamma knife radiosurgery is a safe and effective primary therapy and salvage therapy for residual and recurrent cases of glomus jugulare and. Glomus jugulare tumors (gjts) are challenging to treat due to their vascularization and location. This article reviews the latest benefits of radiosurgery and demonstrates how this modality represents an effective treatment option for.. Glomus Jugulare Radiosurgery.
From ar.inspiredpencil.com
Glomus Jugulare Tumor Mri Glomus Jugulare Radiosurgery Traditional management of these tumors. Glomus tumors are difficult to manage surgically because they are vascular tumors that are topographically associated with. Gamma knife radiosurgery is a safe and effective primary therapy and salvage therapy for residual and recurrent cases of glomus jugulare and. During the past two decades, radiosurgery has arisen as a promising approach to the management of. Glomus Jugulare Radiosurgery.
From www.oto.theclinics.com
Radiosurgery for Glomus Jugulare Tumors Otolaryngologic Clinics of Glomus Jugulare Radiosurgery Gamma knife radiosurgery is a safe and effective primary therapy and salvage therapy for residual and recurrent cases of glomus jugulare and. Because of its high effectiveness, we suggest considering radiosurgery for the primary management of glomus jugulare. Traditional management of these tumors. Glomus tumors are difficult to manage surgically because they are vascular tumors that are topographically associated with.. Glomus Jugulare Radiosurgery.
From journals.sagepub.com
Longterm after radiosurgery for glomus jugulare tumors Kita Glomus Jugulare Radiosurgery Traditional management of these tumors. Glomus jugulare tumors (gjts) are challenging to treat due to their vascularization and location. During the past two decades, radiosurgery has arisen as a promising approach to the management of glomus jugulare. Glomus jugulare tumors (gjts) are benign paragangliomas of the jugular foramen. Because of its high effectiveness, we suggest considering radiosurgery for the primary. Glomus Jugulare Radiosurgery.
From www.cureus.com
DosePainting Linear Accelerator Radiosurgery of Glomus Jugulare With Glomus Jugulare Radiosurgery Glomus jugulare tumors (gjts) are challenging to treat due to their vascularization and location. Glomus tumors are difficult to manage surgically because they are vascular tumors that are topographically associated with. Gamma knife radiosurgery is a safe and effective primary therapy and salvage therapy for residual and recurrent cases of glomus jugulare and. This article reviews the latest benefits of. Glomus Jugulare Radiosurgery.
From www.academia.edu
(PDF) Treatment for Single Modality Management of Glomus Glomus Jugulare Radiosurgery Gamma knife radiosurgery is a safe and effective primary therapy and salvage therapy for residual and recurrent cases of glomus jugulare and. Glomus jugulare tumors (gjts) are challenging to treat due to their vascularization and location. During the past two decades, radiosurgery has arisen as a promising approach to the management of glomus jugulare. Traditional management of these tumors. Because. Glomus Jugulare Radiosurgery.
From www.researchgate.net
Glomus Jugulare. Sagittal (a) and axial (b) T1 postcontrast images Glomus Jugulare Radiosurgery Gamma knife radiosurgery is a safe and effective primary therapy and salvage therapy for residual and recurrent cases of glomus jugulare and. Traditional management of these tumors. This article reviews the latest benefits of radiosurgery and demonstrates how this modality represents an effective treatment option for. During the past two decades, radiosurgery has arisen as a promising approach to the. Glomus Jugulare Radiosurgery.
From www.semanticscholar.org
Figure 1 from Multisession Radiosurgery for Large Glomus Jugulare Glomus Jugulare Radiosurgery Glomus jugulare tumors (gjts) are challenging to treat due to their vascularization and location. This article reviews the latest benefits of radiosurgery and demonstrates how this modality represents an effective treatment option for. During the past two decades, radiosurgery has arisen as a promising approach to the management of glomus jugulare. Traditional management of these tumors. Gamma knife radiosurgery is. Glomus Jugulare Radiosurgery.
From aao-hnsfjournals.onlinelibrary.wiley.com
Short‐Term Tumor Control and Acute Toxicity after Stereotactic Glomus Jugulare Radiosurgery Glomus jugulare tumors (gjts) are benign paragangliomas of the jugular foramen. Glomus jugulare tumors (gjts) are challenging to treat due to their vascularization and location. Traditional management of these tumors. Glomus tumors are difficult to manage surgically because they are vascular tumors that are topographically associated with. During the past two decades, radiosurgery has arisen as a promising approach to. Glomus Jugulare Radiosurgery.
From radiopaedia.org
Glomus jugulare tumor Image Glomus Jugulare Radiosurgery This article reviews the latest benefits of radiosurgery and demonstrates how this modality represents an effective treatment option for. Traditional management of these tumors. Glomus tumors are difficult to manage surgically because they are vascular tumors that are topographically associated with. Gamma knife radiosurgery is a safe and effective primary therapy and salvage therapy for residual and recurrent cases of. Glomus Jugulare Radiosurgery.
From www.youtube.com
240.Glomus Jugulare Tumors Treatment surgeryeducation YouTube Glomus Jugulare Radiosurgery Glomus jugulare tumors (gjts) are challenging to treat due to their vascularization and location. Gamma knife radiosurgery is a safe and effective primary therapy and salvage therapy for residual and recurrent cases of glomus jugulare and. Traditional management of these tumors. Glomus jugulare tumors (gjts) are benign paragangliomas of the jugular foramen. This article reviews the latest benefits of radiosurgery. Glomus Jugulare Radiosurgery.
From www.redjournal.org
Radiosurgery of Glomus Jugulare Tumors A MetaAnalysis International Glomus Jugulare Radiosurgery Glomus jugulare tumors (gjts) are challenging to treat due to their vascularization and location. Traditional management of these tumors. Gamma knife radiosurgery is a safe and effective primary therapy and salvage therapy for residual and recurrent cases of glomus jugulare and. Glomus jugulare tumors (gjts) are benign paragangliomas of the jugular foramen. This article reviews the latest benefits of radiosurgery. Glomus Jugulare Radiosurgery.
From www.semanticscholar.org
Glomus jugulare Semantic Scholar Glomus Jugulare Radiosurgery Glomus jugulare tumors (gjts) are benign paragangliomas of the jugular foramen. Traditional management of these tumors. Gamma knife radiosurgery is a safe and effective primary therapy and salvage therapy for residual and recurrent cases of glomus jugulare and. Glomus tumors are difficult to manage surgically because they are vascular tumors that are topographically associated with. During the past two decades,. Glomus Jugulare Radiosurgery.
From www.semanticscholar.org
Figure 1 from Radiosurgery for Glomus Jugulare Tumors Semantic Scholar Glomus Jugulare Radiosurgery This article reviews the latest benefits of radiosurgery and demonstrates how this modality represents an effective treatment option for. Glomus jugulare tumors (gjts) are benign paragangliomas of the jugular foramen. During the past two decades, radiosurgery has arisen as a promising approach to the management of glomus jugulare. Gamma knife radiosurgery is a safe and effective primary therapy and salvage. Glomus Jugulare Radiosurgery.
From www.semanticscholar.org
Stereotactic radiosurgery in the management of vestibular schwannoma Glomus Jugulare Radiosurgery Glomus tumors are difficult to manage surgically because they are vascular tumors that are topographically associated with. Glomus jugulare tumors (gjts) are benign paragangliomas of the jugular foramen. During the past two decades, radiosurgery has arisen as a promising approach to the management of glomus jugulare. This article reviews the latest benefits of radiosurgery and demonstrates how this modality represents. Glomus Jugulare Radiosurgery.