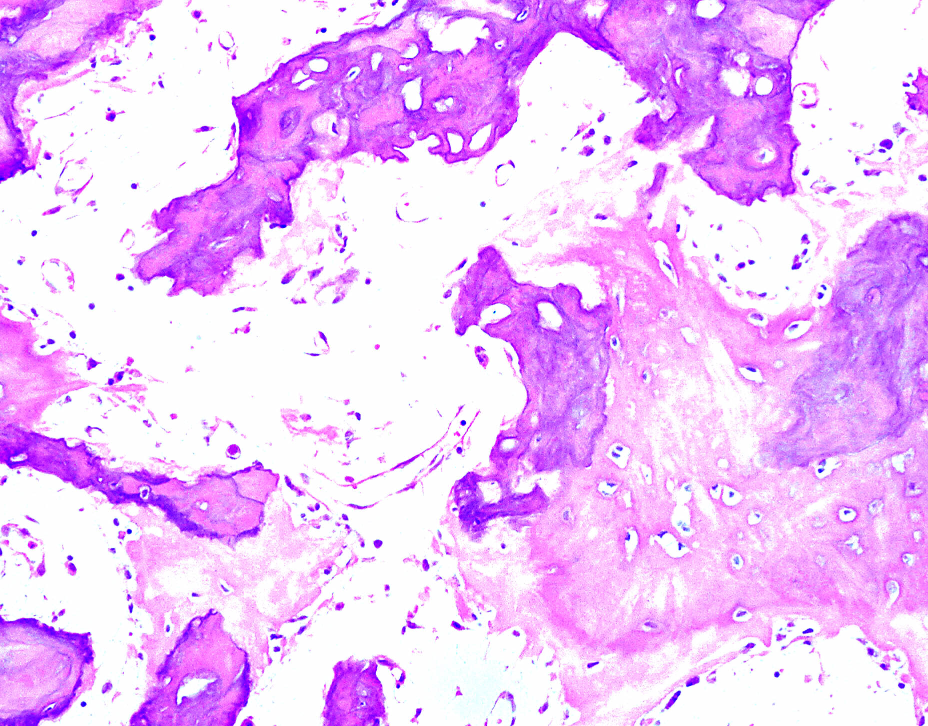
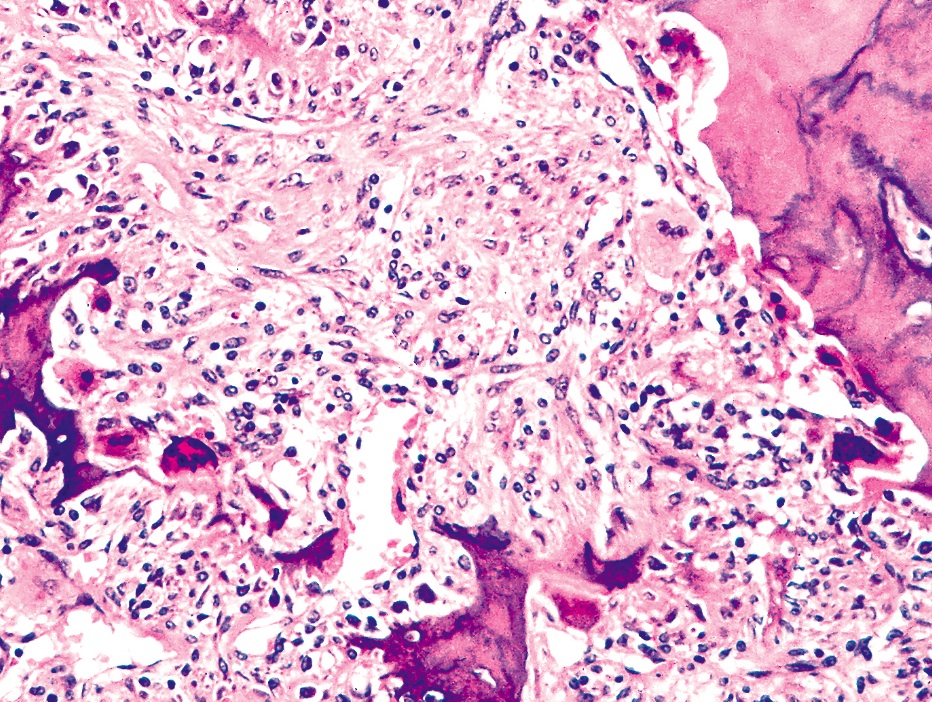
Paget's Disease Pathology Outlines . Underlying breast lesion is usually a. Paget disease's pathological process occurs in 4 stages. It begins with osteoclastic activity, followed by a hybrid osteoclastic/osteoblastic. Paget's disease of the breast is an uncommon manifestation of underlying breast cancer in postmenopausal female patients. Paget disease versus melanoma versus squamous cell carcinoma in situ. Paget's disease is an idiopathic condition of abnormal bone remodeling with normal bone being replaced through an active. Paget disease of bone most commonly presents with a pathologic fracture but can present as generic bone pain. Extramammary paget disease (empd) is defined as intraepidermal adenocarcinoma and may originate from the.
from www.pathologyoutlines.com
Paget disease's pathological process occurs in 4 stages. Extramammary paget disease (empd) is defined as intraepidermal adenocarcinoma and may originate from the. Paget's disease is an idiopathic condition of abnormal bone remodeling with normal bone being replaced through an active. Paget disease versus melanoma versus squamous cell carcinoma in situ. It begins with osteoclastic activity, followed by a hybrid osteoclastic/osteoblastic. Underlying breast lesion is usually a. Paget's disease of the breast is an uncommon manifestation of underlying breast cancer in postmenopausal female patients. Paget disease of bone most commonly presents with a pathologic fracture but can present as generic bone pain.
Pathology Outlines Extramammary Paget disease
Paget's Disease Pathology Outlines Underlying breast lesion is usually a. Underlying breast lesion is usually a. Paget disease's pathological process occurs in 4 stages. Paget disease versus melanoma versus squamous cell carcinoma in situ. Paget's disease is an idiopathic condition of abnormal bone remodeling with normal bone being replaced through an active. Extramammary paget disease (empd) is defined as intraepidermal adenocarcinoma and may originate from the. Paget's disease of the breast is an uncommon manifestation of underlying breast cancer in postmenopausal female patients. It begins with osteoclastic activity, followed by a hybrid osteoclastic/osteoblastic. Paget disease of bone most commonly presents with a pathologic fracture but can present as generic bone pain.
From www.pathologyoutlines.com
Pathology Outlines Paget disease Paget's Disease Pathology Outlines Paget disease versus melanoma versus squamous cell carcinoma in situ. Underlying breast lesion is usually a. Paget disease of bone most commonly presents with a pathologic fracture but can present as generic bone pain. Paget's disease of the breast is an uncommon manifestation of underlying breast cancer in postmenopausal female patients. It begins with osteoclastic activity, followed by a hybrid. Paget's Disease Pathology Outlines.
From www.pathologyoutlines.com
Pathology Outlines Paget disease Paget's Disease Pathology Outlines Underlying breast lesion is usually a. Paget's disease is an idiopathic condition of abnormal bone remodeling with normal bone being replaced through an active. It begins with osteoclastic activity, followed by a hybrid osteoclastic/osteoblastic. Extramammary paget disease (empd) is defined as intraepidermal adenocarcinoma and may originate from the. Paget disease's pathological process occurs in 4 stages. Paget's disease of the. Paget's Disease Pathology Outlines.
From www.pathologyoutlines.com
Pathology Outlines Paget disease Paget's Disease Pathology Outlines Paget's disease is an idiopathic condition of abnormal bone remodeling with normal bone being replaced through an active. Extramammary paget disease (empd) is defined as intraepidermal adenocarcinoma and may originate from the. It begins with osteoclastic activity, followed by a hybrid osteoclastic/osteoblastic. Paget disease's pathological process occurs in 4 stages. Underlying breast lesion is usually a. Paget's disease of the. Paget's Disease Pathology Outlines.
From www.pathologyoutlines.com
Pathology Outlines Paget disease Paget's Disease Pathology Outlines Paget disease versus melanoma versus squamous cell carcinoma in situ. It begins with osteoclastic activity, followed by a hybrid osteoclastic/osteoblastic. Paget disease's pathological process occurs in 4 stages. Paget disease of bone most commonly presents with a pathologic fracture but can present as generic bone pain. Underlying breast lesion is usually a. Extramammary paget disease (empd) is defined as intraepidermal. Paget's Disease Pathology Outlines.
From www.pathologyoutlines.com
Pathology Outlines Paget disease Paget's Disease Pathology Outlines Paget disease of bone most commonly presents with a pathologic fracture but can present as generic bone pain. Paget's disease is an idiopathic condition of abnormal bone remodeling with normal bone being replaced through an active. Paget disease's pathological process occurs in 4 stages. It begins with osteoclastic activity, followed by a hybrid osteoclastic/osteoblastic. Paget disease versus melanoma versus squamous. Paget's Disease Pathology Outlines.
From www.pathologyoutlines.com
Pathology Outlines Paget disease Paget's Disease Pathology Outlines Underlying breast lesion is usually a. Paget's disease is an idiopathic condition of abnormal bone remodeling with normal bone being replaced through an active. Paget disease versus melanoma versus squamous cell carcinoma in situ. Paget disease's pathological process occurs in 4 stages. Extramammary paget disease (empd) is defined as intraepidermal adenocarcinoma and may originate from the. It begins with osteoclastic. Paget's Disease Pathology Outlines.
From www.pathologyoutlines.com
Pathology Outlines Paget disease Paget's Disease Pathology Outlines Paget disease versus melanoma versus squamous cell carcinoma in situ. Extramammary paget disease (empd) is defined as intraepidermal adenocarcinoma and may originate from the. Paget disease's pathological process occurs in 4 stages. Underlying breast lesion is usually a. Paget disease of bone most commonly presents with a pathologic fracture but can present as generic bone pain. Paget's disease is an. Paget's Disease Pathology Outlines.
From www.pathologyoutlines.com
Pathology Outlines Paget disease Paget's Disease Pathology Outlines It begins with osteoclastic activity, followed by a hybrid osteoclastic/osteoblastic. Paget disease versus melanoma versus squamous cell carcinoma in situ. Underlying breast lesion is usually a. Paget's disease of the breast is an uncommon manifestation of underlying breast cancer in postmenopausal female patients. Extramammary paget disease (empd) is defined as intraepidermal adenocarcinoma and may originate from the. Paget's disease is. Paget's Disease Pathology Outlines.
From www.pathologyoutlines.com
Pathology Outlines Paget disease Paget's Disease Pathology Outlines Paget's disease of the breast is an uncommon manifestation of underlying breast cancer in postmenopausal female patients. It begins with osteoclastic activity, followed by a hybrid osteoclastic/osteoblastic. Paget disease versus melanoma versus squamous cell carcinoma in situ. Paget's disease is an idiopathic condition of abnormal bone remodeling with normal bone being replaced through an active. Underlying breast lesion is usually. Paget's Disease Pathology Outlines.
From www.pathologyoutlines.com
Pathology Outlines Paget disease Paget's Disease Pathology Outlines It begins with osteoclastic activity, followed by a hybrid osteoclastic/osteoblastic. Paget disease of bone most commonly presents with a pathologic fracture but can present as generic bone pain. Paget disease's pathological process occurs in 4 stages. Paget disease versus melanoma versus squamous cell carcinoma in situ. Paget's disease of the breast is an uncommon manifestation of underlying breast cancer in. Paget's Disease Pathology Outlines.
From www.pathologyoutlines.com
Pathology Outlines Paget disease associated Paget's Disease Pathology Outlines Paget disease versus melanoma versus squamous cell carcinoma in situ. Paget disease's pathological process occurs in 4 stages. Extramammary paget disease (empd) is defined as intraepidermal adenocarcinoma and may originate from the. Paget's disease is an idiopathic condition of abnormal bone remodeling with normal bone being replaced through an active. Paget's disease of the breast is an uncommon manifestation of. Paget's Disease Pathology Outlines.
From www.pathologyoutlines.com
Pathology Outlines Paget disease Paget's Disease Pathology Outlines Paget disease versus melanoma versus squamous cell carcinoma in situ. Extramammary paget disease (empd) is defined as intraepidermal adenocarcinoma and may originate from the. Paget's disease is an idiopathic condition of abnormal bone remodeling with normal bone being replaced through an active. It begins with osteoclastic activity, followed by a hybrid osteoclastic/osteoblastic. Paget disease of bone most commonly presents with. Paget's Disease Pathology Outlines.
From www.pathologyoutlines.com
Pathology Outlines Paget disease associated Paget's Disease Pathology Outlines Paget disease's pathological process occurs in 4 stages. Paget disease of bone most commonly presents with a pathologic fracture but can present as generic bone pain. Paget's disease of the breast is an uncommon manifestation of underlying breast cancer in postmenopausal female patients. Paget disease versus melanoma versus squamous cell carcinoma in situ. It begins with osteoclastic activity, followed by. Paget's Disease Pathology Outlines.
From pathology.or.jp
14.Breast (9) Paget’s diseasePathology Core Pictures Paget's Disease Pathology Outlines Extramammary paget disease (empd) is defined as intraepidermal adenocarcinoma and may originate from the. Paget's disease is an idiopathic condition of abnormal bone remodeling with normal bone being replaced through an active. Paget disease versus melanoma versus squamous cell carcinoma in situ. It begins with osteoclastic activity, followed by a hybrid osteoclastic/osteoblastic. Underlying breast lesion is usually a. Paget's disease. Paget's Disease Pathology Outlines.
From www.pathologyoutlines.com
Pathology Outlines Paget disease Paget's Disease Pathology Outlines Extramammary paget disease (empd) is defined as intraepidermal adenocarcinoma and may originate from the. Paget disease of bone most commonly presents with a pathologic fracture but can present as generic bone pain. Paget's disease of the breast is an uncommon manifestation of underlying breast cancer in postmenopausal female patients. Paget disease versus melanoma versus squamous cell carcinoma in situ. Underlying. Paget's Disease Pathology Outlines.
From www.pathologyoutlines.com
Pathology Outlines Paget disease Paget's Disease Pathology Outlines Paget disease's pathological process occurs in 4 stages. Extramammary paget disease (empd) is defined as intraepidermal adenocarcinoma and may originate from the. Paget disease of bone most commonly presents with a pathologic fracture but can present as generic bone pain. Paget's disease is an idiopathic condition of abnormal bone remodeling with normal bone being replaced through an active. It begins. Paget's Disease Pathology Outlines.
From www.pathologyoutlines.com
Pathology Outlines Paget disease Paget's Disease Pathology Outlines Paget disease versus melanoma versus squamous cell carcinoma in situ. Paget disease's pathological process occurs in 4 stages. It begins with osteoclastic activity, followed by a hybrid osteoclastic/osteoblastic. Extramammary paget disease (empd) is defined as intraepidermal adenocarcinoma and may originate from the. Paget's disease is an idiopathic condition of abnormal bone remodeling with normal bone being replaced through an active.. Paget's Disease Pathology Outlines.
From www.pathologyoutlines.com
Pathology Outlines Paget disease Paget's Disease Pathology Outlines Paget disease's pathological process occurs in 4 stages. Paget's disease of the breast is an uncommon manifestation of underlying breast cancer in postmenopausal female patients. Paget disease of bone most commonly presents with a pathologic fracture but can present as generic bone pain. Paget disease versus melanoma versus squamous cell carcinoma in situ. Paget's disease is an idiopathic condition of. Paget's Disease Pathology Outlines.
From www.pathologyoutlines.com
Pathology Outlines Extramammary Paget disease Paget's Disease Pathology Outlines Underlying breast lesion is usually a. Paget disease of bone most commonly presents with a pathologic fracture but can present as generic bone pain. It begins with osteoclastic activity, followed by a hybrid osteoclastic/osteoblastic. Extramammary paget disease (empd) is defined as intraepidermal adenocarcinoma and may originate from the. Paget disease's pathological process occurs in 4 stages. Paget disease versus melanoma. Paget's Disease Pathology Outlines.
From www.pathologyoutlines.com
Pathology Outlines Paget disease Paget's Disease Pathology Outlines Paget's disease is an idiopathic condition of abnormal bone remodeling with normal bone being replaced through an active. Paget disease of bone most commonly presents with a pathologic fracture but can present as generic bone pain. Paget disease versus melanoma versus squamous cell carcinoma in situ. It begins with osteoclastic activity, followed by a hybrid osteoclastic/osteoblastic. Underlying breast lesion is. Paget's Disease Pathology Outlines.
From www.pathologyoutlines.com
Pathology Outlines Paget disease Paget's Disease Pathology Outlines Paget disease of bone most commonly presents with a pathologic fracture but can present as generic bone pain. Paget disease versus melanoma versus squamous cell carcinoma in situ. Paget's disease is an idiopathic condition of abnormal bone remodeling with normal bone being replaced through an active. Underlying breast lesion is usually a. Paget disease's pathological process occurs in 4 stages.. Paget's Disease Pathology Outlines.
From www.pathologyoutlines.com
Pathology Outlines Paget disease Paget's Disease Pathology Outlines Paget disease versus melanoma versus squamous cell carcinoma in situ. Paget's disease is an idiopathic condition of abnormal bone remodeling with normal bone being replaced through an active. Paget's disease of the breast is an uncommon manifestation of underlying breast cancer in postmenopausal female patients. Underlying breast lesion is usually a. Paget disease's pathological process occurs in 4 stages. Extramammary. Paget's Disease Pathology Outlines.
From www.pathologyoutlines.com
Pathology Outlines Paget disease Paget's Disease Pathology Outlines Paget disease of bone most commonly presents with a pathologic fracture but can present as generic bone pain. Extramammary paget disease (empd) is defined as intraepidermal adenocarcinoma and may originate from the. It begins with osteoclastic activity, followed by a hybrid osteoclastic/osteoblastic. Paget's disease of the breast is an uncommon manifestation of underlying breast cancer in postmenopausal female patients. Paget's. Paget's Disease Pathology Outlines.
From www.pathologyoutlines.com
Pathology Outlines Paget disease Paget's Disease Pathology Outlines Paget's disease is an idiopathic condition of abnormal bone remodeling with normal bone being replaced through an active. Paget disease versus melanoma versus squamous cell carcinoma in situ. It begins with osteoclastic activity, followed by a hybrid osteoclastic/osteoblastic. Paget disease of bone most commonly presents with a pathologic fracture but can present as generic bone pain. Underlying breast lesion is. Paget's Disease Pathology Outlines.
From www.pathologyoutlines.com
Pathology Outlines Paget disease Paget's Disease Pathology Outlines Paget's disease of the breast is an uncommon manifestation of underlying breast cancer in postmenopausal female patients. Paget disease versus melanoma versus squamous cell carcinoma in situ. Underlying breast lesion is usually a. Extramammary paget disease (empd) is defined as intraepidermal adenocarcinoma and may originate from the. It begins with osteoclastic activity, followed by a hybrid osteoclastic/osteoblastic. Paget's disease is. Paget's Disease Pathology Outlines.
From www.pathologyoutlines.com
Pathology Outlines Extramammary Paget disease Paget's Disease Pathology Outlines Paget disease versus melanoma versus squamous cell carcinoma in situ. Paget disease's pathological process occurs in 4 stages. It begins with osteoclastic activity, followed by a hybrid osteoclastic/osteoblastic. Paget's disease of the breast is an uncommon manifestation of underlying breast cancer in postmenopausal female patients. Extramammary paget disease (empd) is defined as intraepidermal adenocarcinoma and may originate from the. Paget. Paget's Disease Pathology Outlines.
From www.pathologyoutlines.com
Pathology Outlines Paget disease Paget's Disease Pathology Outlines Paget disease of bone most commonly presents with a pathologic fracture but can present as generic bone pain. Paget disease versus melanoma versus squamous cell carcinoma in situ. Extramammary paget disease (empd) is defined as intraepidermal adenocarcinoma and may originate from the. It begins with osteoclastic activity, followed by a hybrid osteoclastic/osteoblastic. Paget's disease of the breast is an uncommon. Paget's Disease Pathology Outlines.
From www.pathologyoutlines.com
Pathology Outlines Paget disease Paget's Disease Pathology Outlines It begins with osteoclastic activity, followed by a hybrid osteoclastic/osteoblastic. Paget's disease of the breast is an uncommon manifestation of underlying breast cancer in postmenopausal female patients. Paget disease's pathological process occurs in 4 stages. Paget disease of bone most commonly presents with a pathologic fracture but can present as generic bone pain. Paget disease versus melanoma versus squamous cell. Paget's Disease Pathology Outlines.
From www.pathologyoutlines.com
Pathology Outlines Paget disease Paget's Disease Pathology Outlines Paget's disease is an idiopathic condition of abnormal bone remodeling with normal bone being replaced through an active. Extramammary paget disease (empd) is defined as intraepidermal adenocarcinoma and may originate from the. Paget's disease of the breast is an uncommon manifestation of underlying breast cancer in postmenopausal female patients. Paget disease's pathological process occurs in 4 stages. It begins with. Paget's Disease Pathology Outlines.
From www.pathologyoutlines.com
Pathology Outlines Paget disease Paget's Disease Pathology Outlines Paget's disease of the breast is an uncommon manifestation of underlying breast cancer in postmenopausal female patients. It begins with osteoclastic activity, followed by a hybrid osteoclastic/osteoblastic. Underlying breast lesion is usually a. Paget disease's pathological process occurs in 4 stages. Paget disease of bone most commonly presents with a pathologic fracture but can present as generic bone pain. Paget. Paget's Disease Pathology Outlines.
From www.pathologyoutlines.com
Pathology Outlines Paget disease Paget's Disease Pathology Outlines Paget's disease is an idiopathic condition of abnormal bone remodeling with normal bone being replaced through an active. Paget disease's pathological process occurs in 4 stages. Paget disease versus melanoma versus squamous cell carcinoma in situ. Extramammary paget disease (empd) is defined as intraepidermal adenocarcinoma and may originate from the. Paget's disease of the breast is an uncommon manifestation of. Paget's Disease Pathology Outlines.
From www.pathologyoutlines.com
Pathology Outlines Paget disease Paget's Disease Pathology Outlines Paget's disease of the breast is an uncommon manifestation of underlying breast cancer in postmenopausal female patients. Paget's disease is an idiopathic condition of abnormal bone remodeling with normal bone being replaced through an active. Paget disease of bone most commonly presents with a pathologic fracture but can present as generic bone pain. Paget disease's pathological process occurs in 4. Paget's Disease Pathology Outlines.
From www.pathologyoutlines.com
Pathology Outlines Paget disease Paget's Disease Pathology Outlines Paget's disease is an idiopathic condition of abnormal bone remodeling with normal bone being replaced through an active. It begins with osteoclastic activity, followed by a hybrid osteoclastic/osteoblastic. Paget disease's pathological process occurs in 4 stages. Extramammary paget disease (empd) is defined as intraepidermal adenocarcinoma and may originate from the. Underlying breast lesion is usually a. Paget disease versus melanoma. Paget's Disease Pathology Outlines.
From www.pathologyoutlines.com
Pathology Outlines Extramammary Paget disease Paget's Disease Pathology Outlines Paget disease of bone most commonly presents with a pathologic fracture but can present as generic bone pain. Underlying breast lesion is usually a. Paget's disease of the breast is an uncommon manifestation of underlying breast cancer in postmenopausal female patients. Paget disease's pathological process occurs in 4 stages. Extramammary paget disease (empd) is defined as intraepidermal adenocarcinoma and may. Paget's Disease Pathology Outlines.
From www.pathologyoutlines.com
Pathology Outlines Paget disease Paget's Disease Pathology Outlines Paget disease's pathological process occurs in 4 stages. Paget's disease is an idiopathic condition of abnormal bone remodeling with normal bone being replaced through an active. Extramammary paget disease (empd) is defined as intraepidermal adenocarcinoma and may originate from the. Paget disease of bone most commonly presents with a pathologic fracture but can present as generic bone pain. Underlying breast. Paget's Disease Pathology Outlines.