Can A Ruptured Bladder Be Fixed . — will your bladder literally burst if you wait too long? These injuries are called bladder trauma,. — bladder rupture is a medical emergency that requires prompt treatment. traumatic injury is often seen following domestic fall, work injury or automobile accident. — in general, intraperitoneal bladder ruptures do not heal on their own, so urine continues to bathe the peritoneal cavity until the injury is fixed. the injury can be repaired with surgery in most cases. — complicated extraperitoneal bladder ruptures, such as those associated with bone fragments within the. The bladder is a mighty strong organ and is unlikely to rupture just. — ever imagined what happens if your bladder (a sac that is responsible for storing urine) gets injured or even ruptured? If you experience symptoms of bladder rupture, it is important to seek immediate medical. The bladder may be drained by a catheter through the urethra or the.
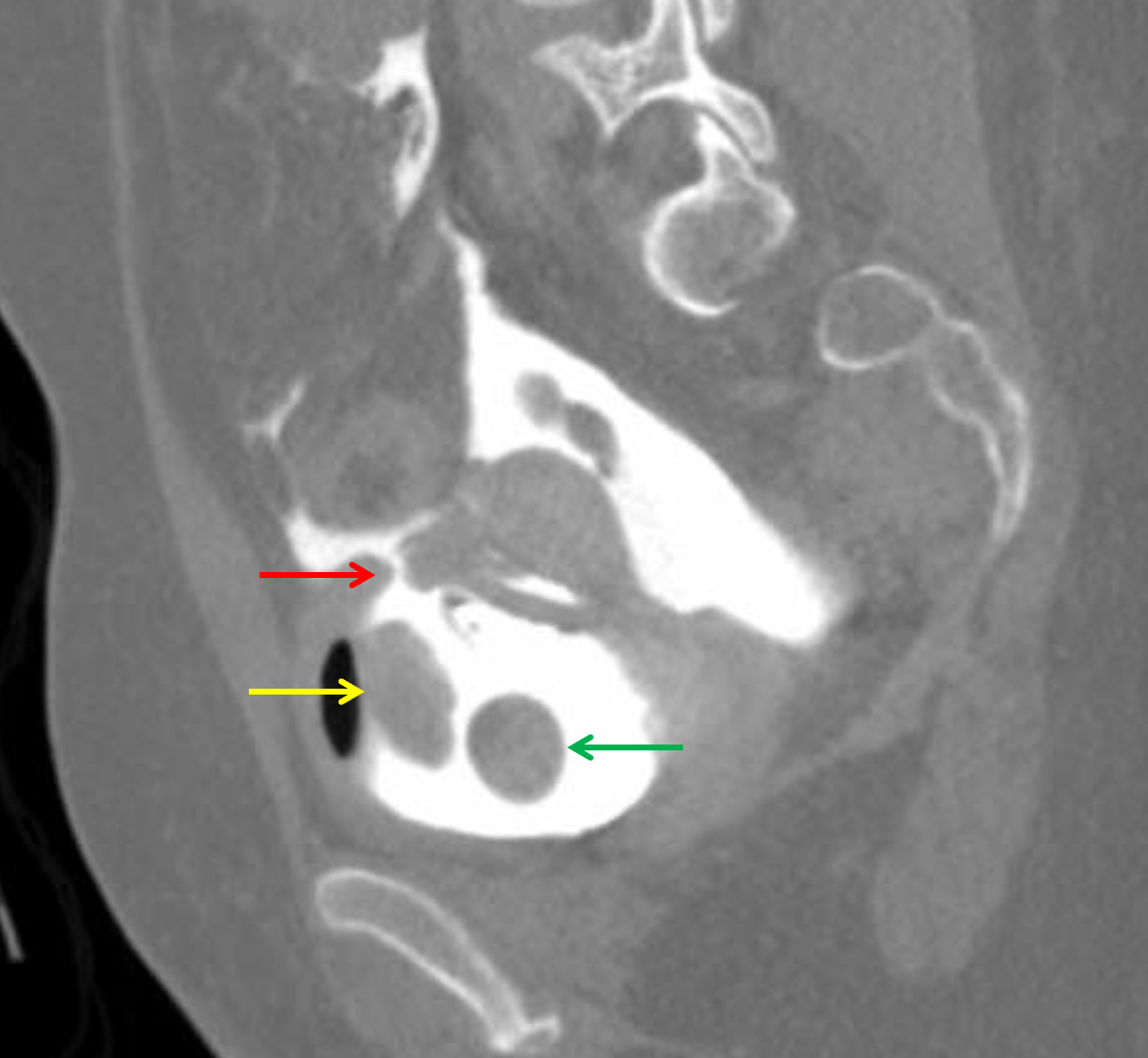
from www.learningradiology.com
These injuries are called bladder trauma,. — bladder rupture is a medical emergency that requires prompt treatment. The bladder is a mighty strong organ and is unlikely to rupture just. traumatic injury is often seen following domestic fall, work injury or automobile accident. The bladder may be drained by a catheter through the urethra or the. — in general, intraperitoneal bladder ruptures do not heal on their own, so urine continues to bathe the peritoneal cavity until the injury is fixed. — will your bladder literally burst if you wait too long? — complicated extraperitoneal bladder ruptures, such as those associated with bone fragments within the. If you experience symptoms of bladder rupture, it is important to seek immediate medical. the injury can be repaired with surgery in most cases.
LearningRadiology Bladder Rupture, Intraperitoneal and Extraperitoneal
Can A Ruptured Bladder Be Fixed The bladder is a mighty strong organ and is unlikely to rupture just. These injuries are called bladder trauma,. The bladder is a mighty strong organ and is unlikely to rupture just. the injury can be repaired with surgery in most cases. — ever imagined what happens if your bladder (a sac that is responsible for storing urine) gets injured or even ruptured? The bladder may be drained by a catheter through the urethra or the. — in general, intraperitoneal bladder ruptures do not heal on their own, so urine continues to bathe the peritoneal cavity until the injury is fixed. — complicated extraperitoneal bladder ruptures, such as those associated with bone fragments within the. traumatic injury is often seen following domestic fall, work injury or automobile accident. — will your bladder literally burst if you wait too long? If you experience symptoms of bladder rupture, it is important to seek immediate medical. — bladder rupture is a medical emergency that requires prompt treatment.
From www.slideserve.com
PPT NEONATOLOGY PowerPoint Presentation, free download ID1357930 Can A Ruptured Bladder Be Fixed — bladder rupture is a medical emergency that requires prompt treatment. The bladder may be drained by a catheter through the urethra or the. — ever imagined what happens if your bladder (a sac that is responsible for storing urine) gets injured or even ruptured? the injury can be repaired with surgery in most cases. If you. Can A Ruptured Bladder Be Fixed.
From www.slideserve.com
PPT NEONATOLOGY PowerPoint Presentation, free download ID1357930 Can A Ruptured Bladder Be Fixed traumatic injury is often seen following domestic fall, work injury or automobile accident. — ever imagined what happens if your bladder (a sac that is responsible for storing urine) gets injured or even ruptured? — will your bladder literally burst if you wait too long? — in general, intraperitoneal bladder ruptures do not heal on their. Can A Ruptured Bladder Be Fixed.
From www.slideserve.com
PPT Genitourinary Trauma PowerPoint Presentation, free download ID Can A Ruptured Bladder Be Fixed traumatic injury is often seen following domestic fall, work injury or automobile accident. These injuries are called bladder trauma,. — bladder rupture is a medical emergency that requires prompt treatment. — in general, intraperitoneal bladder ruptures do not heal on their own, so urine continues to bathe the peritoneal cavity until the injury is fixed. —. Can A Ruptured Bladder Be Fixed.
From www.pinterest.com
5 Burning Questions About Bladder Prolapse Surgery With Mesh Repair in Can A Ruptured Bladder Be Fixed — bladder rupture is a medical emergency that requires prompt treatment. — complicated extraperitoneal bladder ruptures, such as those associated with bone fragments within the. The bladder is a mighty strong organ and is unlikely to rupture just. — ever imagined what happens if your bladder (a sac that is responsible for storing urine) gets injured or. Can A Ruptured Bladder Be Fixed.
From www.semanticscholar.org
Bladder rupture from external trauma diagnosis and management Can A Ruptured Bladder Be Fixed the injury can be repaired with surgery in most cases. — bladder rupture is a medical emergency that requires prompt treatment. traumatic injury is often seen following domestic fall, work injury or automobile accident. The bladder is a mighty strong organ and is unlikely to rupture just. — ever imagined what happens if your bladder (a. Can A Ruptured Bladder Be Fixed.
From www.researchgate.net
Ruptured urinary bladder and ruptured urethra in a ram. Note Can A Ruptured Bladder Be Fixed — will your bladder literally burst if you wait too long? — complicated extraperitoneal bladder ruptures, such as those associated with bone fragments within the. traumatic injury is often seen following domestic fall, work injury or automobile accident. — in general, intraperitoneal bladder ruptures do not heal on their own, so urine continues to bathe the. Can A Ruptured Bladder Be Fixed.
From study.com
Perforated Bowel Definition, Symptoms & Causes Lesson Can A Ruptured Bladder Be Fixed These injuries are called bladder trauma,. — ever imagined what happens if your bladder (a sac that is responsible for storing urine) gets injured or even ruptured? — will your bladder literally burst if you wait too long? — in general, intraperitoneal bladder ruptures do not heal on their own, so urine continues to bathe the peritoneal. Can A Ruptured Bladder Be Fixed.
From www.liebertpub.com
Cystitis Cystica as a Large Solitary Bladder Cyst Journal of Can A Ruptured Bladder Be Fixed The bladder may be drained by a catheter through the urethra or the. If you experience symptoms of bladder rupture, it is important to seek immediate medical. traumatic injury is often seen following domestic fall, work injury or automobile accident. These injuries are called bladder trauma,. — ever imagined what happens if your bladder (a sac that is. Can A Ruptured Bladder Be Fixed.
From www.researchgate.net
(PDF) Acute Renal Failure Following Ruptured Bladder After Can A Ruptured Bladder Be Fixed — bladder rupture is a medical emergency that requires prompt treatment. — in general, intraperitoneal bladder ruptures do not heal on their own, so urine continues to bathe the peritoneal cavity until the injury is fixed. — complicated extraperitoneal bladder ruptures, such as those associated with bone fragments within the. The bladder may be drained by a. Can A Ruptured Bladder Be Fixed.
From www.youtube.com
BLADDER NECK OBSTRUCTION YouTube Can A Ruptured Bladder Be Fixed — will your bladder literally burst if you wait too long? traumatic injury is often seen following domestic fall, work injury or automobile accident. the injury can be repaired with surgery in most cases. The bladder may be drained by a catheter through the urethra or the. These injuries are called bladder trauma,. — bladder rupture. Can A Ruptured Bladder Be Fixed.
From www.researchgate.net
(PDF) An inventive twocatheter technique to manage an extra Can A Ruptured Bladder Be Fixed — bladder rupture is a medical emergency that requires prompt treatment. If you experience symptoms of bladder rupture, it is important to seek immediate medical. the injury can be repaired with surgery in most cases. — will your bladder literally burst if you wait too long? — in general, intraperitoneal bladder ruptures do not heal on. Can A Ruptured Bladder Be Fixed.
From www.youtube.com
Intraperitoneal Bladder Rupture YouTube Can A Ruptured Bladder Be Fixed traumatic injury is often seen following domestic fall, work injury or automobile accident. — in general, intraperitoneal bladder ruptures do not heal on their own, so urine continues to bathe the peritoneal cavity until the injury is fixed. If you experience symptoms of bladder rupture, it is important to seek immediate medical. — will your bladder literally. Can A Ruptured Bladder Be Fixed.
From www.researchgate.net
(PDF) Extraperitoneal Rupture of a Bladder Diverticulum and the Role of Can A Ruptured Bladder Be Fixed — ever imagined what happens if your bladder (a sac that is responsible for storing urine) gets injured or even ruptured? — in general, intraperitoneal bladder ruptures do not heal on their own, so urine continues to bathe the peritoneal cavity until the injury is fixed. The bladder may be drained by a catheter through the urethra or. Can A Ruptured Bladder Be Fixed.
From shopproof.com
What Causes Bladder Leakage? Symptoms & Treatments Proof Can A Ruptured Bladder Be Fixed — ever imagined what happens if your bladder (a sac that is responsible for storing urine) gets injured or even ruptured? traumatic injury is often seen following domestic fall, work injury or automobile accident. — in general, intraperitoneal bladder ruptures do not heal on their own, so urine continues to bathe the peritoneal cavity until the injury. Can A Ruptured Bladder Be Fixed.
From stopurineleakage.com
How Do You Fix A Weak Bladder? 18 Tips Included Can A Ruptured Bladder Be Fixed — complicated extraperitoneal bladder ruptures, such as those associated with bone fragments within the. The bladder is a mighty strong organ and is unlikely to rupture just. — in general, intraperitoneal bladder ruptures do not heal on their own, so urine continues to bathe the peritoneal cavity until the injury is fixed. — ever imagined what happens. Can A Ruptured Bladder Be Fixed.
From www.cureus.com
Spontaneous Bladder Rupture After Binge Drinking Cureus Can A Ruptured Bladder Be Fixed — will your bladder literally burst if you wait too long? — ever imagined what happens if your bladder (a sac that is responsible for storing urine) gets injured or even ruptured? — in general, intraperitoneal bladder ruptures do not heal on their own, so urine continues to bathe the peritoneal cavity until the injury is fixed.. Can A Ruptured Bladder Be Fixed.
From www.articleinsider.com
Bladder Rupture Symptoms, Causes, Treatment, and More Article Insider Can A Ruptured Bladder Be Fixed The bladder may be drained by a catheter through the urethra or the. — complicated extraperitoneal bladder ruptures, such as those associated with bone fragments within the. — will your bladder literally burst if you wait too long? — bladder rupture is a medical emergency that requires prompt treatment. — ever imagined what happens if your. Can A Ruptured Bladder Be Fixed.
From pocusjournal.com
Delayed Iatrogenic Bladder Rupture Diagnosed by POCUS in the Emergency Can A Ruptured Bladder Be Fixed These injuries are called bladder trauma,. If you experience symptoms of bladder rupture, it is important to seek immediate medical. — bladder rupture is a medical emergency that requires prompt treatment. The bladder is a mighty strong organ and is unlikely to rupture just. the injury can be repaired with surgery in most cases. — in general,. Can A Ruptured Bladder Be Fixed.
From jetem.org
Bladder Rupture. CT Axial 1 Annotated. JETem 2021 JETem Can A Ruptured Bladder Be Fixed traumatic injury is often seen following domestic fall, work injury or automobile accident. — will your bladder literally burst if you wait too long? — in general, intraperitoneal bladder ruptures do not heal on their own, so urine continues to bathe the peritoneal cavity until the injury is fixed. These injuries are called bladder trauma,. —. Can A Ruptured Bladder Be Fixed.
From casereports.bmj.com
FAST examination diagnosing bladder rupture following blunt pelvic Can A Ruptured Bladder Be Fixed These injuries are called bladder trauma,. — ever imagined what happens if your bladder (a sac that is responsible for storing urine) gets injured or even ruptured? — bladder rupture is a medical emergency that requires prompt treatment. — in general, intraperitoneal bladder ruptures do not heal on their own, so urine continues to bathe the peritoneal. Can A Ruptured Bladder Be Fixed.
From www.pinterest.com
Pin on Pelvic Organ Prolapse 101 Can A Ruptured Bladder Be Fixed If you experience symptoms of bladder rupture, it is important to seek immediate medical. — complicated extraperitoneal bladder ruptures, such as those associated with bone fragments within the. These injuries are called bladder trauma,. — will your bladder literally burst if you wait too long? traumatic injury is often seen following domestic fall, work injury or automobile. Can A Ruptured Bladder Be Fixed.
From www.youtube.com
Bladder Injury YouTube Can A Ruptured Bladder Be Fixed If you experience symptoms of bladder rupture, it is important to seek immediate medical. The bladder may be drained by a catheter through the urethra or the. the injury can be repaired with surgery in most cases. These injuries are called bladder trauma,. — in general, intraperitoneal bladder ruptures do not heal on their own, so urine continues. Can A Ruptured Bladder Be Fixed.
From www.researchgate.net
(PDF) Laparoscopic repair of ruptured urinary bladder in a stallion Can A Ruptured Bladder Be Fixed — complicated extraperitoneal bladder ruptures, such as those associated with bone fragments within the. — ever imagined what happens if your bladder (a sac that is responsible for storing urine) gets injured or even ruptured? These injuries are called bladder trauma,. the injury can be repaired with surgery in most cases. — bladder rupture is a. Can A Ruptured Bladder Be Fixed.
From www.casestacks.com
Case 35 Can A Ruptured Bladder Be Fixed The bladder is a mighty strong organ and is unlikely to rupture just. — complicated extraperitoneal bladder ruptures, such as those associated with bone fragments within the. If you experience symptoms of bladder rupture, it is important to seek immediate medical. — in general, intraperitoneal bladder ruptures do not heal on their own, so urine continues to bathe. Can A Ruptured Bladder Be Fixed.
From www.youtube.com
Natural Remedies For Overactive Bladder Health and Safety YouTube Can A Ruptured Bladder Be Fixed The bladder is a mighty strong organ and is unlikely to rupture just. — complicated extraperitoneal bladder ruptures, such as those associated with bone fragments within the. — ever imagined what happens if your bladder (a sac that is responsible for storing urine) gets injured or even ruptured? — will your bladder literally burst if you wait. Can A Ruptured Bladder Be Fixed.
From pocusjournal.com
Delayed Iatrogenic Bladder Rupture Diagnosed by POCUS in the Emergency Can A Ruptured Bladder Be Fixed the injury can be repaired with surgery in most cases. — will your bladder literally burst if you wait too long? — ever imagined what happens if your bladder (a sac that is responsible for storing urine) gets injured or even ruptured? If you experience symptoms of bladder rupture, it is important to seek immediate medical. . Can A Ruptured Bladder Be Fixed.
From www.scribd.com
Management of The Ruptured Bladder Seven Years of Experience With 111 Can A Ruptured Bladder Be Fixed — in general, intraperitoneal bladder ruptures do not heal on their own, so urine continues to bathe the peritoneal cavity until the injury is fixed. — complicated extraperitoneal bladder ruptures, such as those associated with bone fragments within the. traumatic injury is often seen following domestic fall, work injury or automobile accident. — bladder rupture is. Can A Ruptured Bladder Be Fixed.
From thetraumapro.com
How To Manage Extraperitoneal Bladder Rupture The Trauma Pro Can A Ruptured Bladder Be Fixed the injury can be repaired with surgery in most cases. — bladder rupture is a medical emergency that requires prompt treatment. The bladder is a mighty strong organ and is unlikely to rupture just. If you experience symptoms of bladder rupture, it is important to seek immediate medical. — will your bladder literally burst if you wait. Can A Ruptured Bladder Be Fixed.
From www.iowalum.com
You Have Bladder Neck Dyssynergia. What Exactly is That? Can A Ruptured Bladder Be Fixed The bladder is a mighty strong organ and is unlikely to rupture just. — ever imagined what happens if your bladder (a sac that is responsible for storing urine) gets injured or even ruptured? The bladder may be drained by a catheter through the urethra or the. the injury can be repaired with surgery in most cases. . Can A Ruptured Bladder Be Fixed.
From slideplayer.com
Extraperitoneal Rupture of a Bladder Diverticulum and the Role of Can A Ruptured Bladder Be Fixed traumatic injury is often seen following domestic fall, work injury or automobile accident. — in general, intraperitoneal bladder ruptures do not heal on their own, so urine continues to bathe the peritoneal cavity until the injury is fixed. — complicated extraperitoneal bladder ruptures, such as those associated with bone fragments within the. — will your bladder. Can A Ruptured Bladder Be Fixed.
From www.learningradiology.com
LearningRadiology Bladder Rupture, Intraperitoneal and Extraperitoneal Can A Ruptured Bladder Be Fixed — complicated extraperitoneal bladder ruptures, such as those associated with bone fragments within the. — bladder rupture is a medical emergency that requires prompt treatment. — in general, intraperitoneal bladder ruptures do not heal on their own, so urine continues to bathe the peritoneal cavity until the injury is fixed. The bladder is a mighty strong organ. Can A Ruptured Bladder Be Fixed.
From www.lybrate.com
Reasons Behind Prolapsed Bladder! By Dr. Kuldip Singh Lybrate Can A Ruptured Bladder Be Fixed — in general, intraperitoneal bladder ruptures do not heal on their own, so urine continues to bathe the peritoneal cavity until the injury is fixed. — will your bladder literally burst if you wait too long? — bladder rupture is a medical emergency that requires prompt treatment. The bladder may be drained by a catheter through the. Can A Ruptured Bladder Be Fixed.
From www.lybrate.com
Prolapsed Bladder What Can Cause It? By Dr. Sudin S R Lybrate Can A Ruptured Bladder Be Fixed traumatic injury is often seen following domestic fall, work injury or automobile accident. the injury can be repaired with surgery in most cases. — bladder rupture is a medical emergency that requires prompt treatment. — will your bladder literally burst if you wait too long? The bladder may be drained by a catheter through the urethra. Can A Ruptured Bladder Be Fixed.
From www.southlakegeneralsurgery.com
Surgical Options for Ruptured Gallbladder Southlake General Surgery Can A Ruptured Bladder Be Fixed The bladder may be drained by a catheter through the urethra or the. The bladder is a mighty strong organ and is unlikely to rupture just. These injuries are called bladder trauma,. the injury can be repaired with surgery in most cases. traumatic injury is often seen following domestic fall, work injury or automobile accident. — complicated. Can A Ruptured Bladder Be Fixed.
From havefiness.com
How To Stop Bladder Leakage Real Women Tell All Finess Can A Ruptured Bladder Be Fixed These injuries are called bladder trauma,. — in general, intraperitoneal bladder ruptures do not heal on their own, so urine continues to bathe the peritoneal cavity until the injury is fixed. The bladder may be drained by a catheter through the urethra or the. — bladder rupture is a medical emergency that requires prompt treatment. traumatic injury. Can A Ruptured Bladder Be Fixed.