Coil Embolization Of Hematoma . sometimes coils are used with stents to prevent the coils from moving out of the aneurysm. middle meningeal artery embolization is an increasingly common procedure involved in the treatment of chronic. embolization procedures for extracranial disease in the head and neck region are mostly performed for intractable epistaxis. helical coil embolization allows for more embolisate administration into the mma and provides a technical. middle meningeal artery embolization (mmae) has shown promise as an alternative treatment for chronic. Embolization of the middle meningeal artery (mma) has emerged as a minimally invasive means of managing.
from thejns.org
middle meningeal artery embolization (mmae) has shown promise as an alternative treatment for chronic. middle meningeal artery embolization is an increasingly common procedure involved in the treatment of chronic. helical coil embolization allows for more embolisate administration into the mma and provides a technical. embolization procedures for extracranial disease in the head and neck region are mostly performed for intractable epistaxis. sometimes coils are used with stents to prevent the coils from moving out of the aneurysm. Embolization of the middle meningeal artery (mma) has emerged as a minimally invasive means of managing.
Singlesession hematoma removal and transcortical venous approach for
Coil Embolization Of Hematoma embolization procedures for extracranial disease in the head and neck region are mostly performed for intractable epistaxis. Embolization of the middle meningeal artery (mma) has emerged as a minimally invasive means of managing. helical coil embolization allows for more embolisate administration into the mma and provides a technical. middle meningeal artery embolization is an increasingly common procedure involved in the treatment of chronic. sometimes coils are used with stents to prevent the coils from moving out of the aneurysm. embolization procedures for extracranial disease in the head and neck region are mostly performed for intractable epistaxis. middle meningeal artery embolization (mmae) has shown promise as an alternative treatment for chronic.
From www.semanticscholar.org
Figure 1 from Retroperitoneal hematoma after coil embolization of Coil Embolization Of Hematoma sometimes coils are used with stents to prevent the coils from moving out of the aneurysm. embolization procedures for extracranial disease in the head and neck region are mostly performed for intractable epistaxis. middle meningeal artery embolization (mmae) has shown promise as an alternative treatment for chronic. middle meningeal artery embolization is an increasingly common procedure. Coil Embolization Of Hematoma.
From www.hmpgloballearningnetwork.com
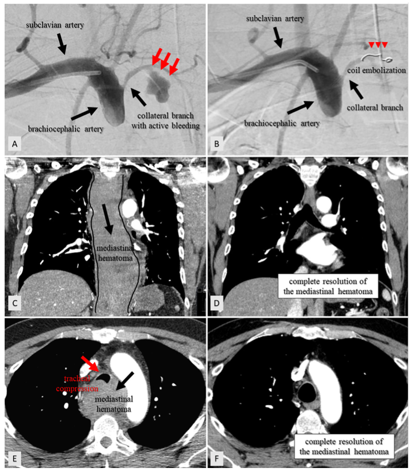
Coil Embolization for Management of Brachiocephalic Artery Perforation Coil Embolization Of Hematoma Embolization of the middle meningeal artery (mma) has emerged as a minimally invasive means of managing. embolization procedures for extracranial disease in the head and neck region are mostly performed for intractable epistaxis. middle meningeal artery embolization (mmae) has shown promise as an alternative treatment for chronic. sometimes coils are used with stents to prevent the coils. Coil Embolization Of Hematoma.
From vascupedia.com
Embolisation System Vascupedia Coil Embolization Of Hematoma middle meningeal artery embolization (mmae) has shown promise as an alternative treatment for chronic. middle meningeal artery embolization is an increasingly common procedure involved in the treatment of chronic. embolization procedures for extracranial disease in the head and neck region are mostly performed for intractable epistaxis. sometimes coils are used with stents to prevent the coils. Coil Embolization Of Hematoma.
From www.semanticscholar.org
Figure 1 from Spontaneous esophageal submucosal hematoma following coil Coil Embolization Of Hematoma helical coil embolization allows for more embolisate administration into the mma and provides a technical. middle meningeal artery embolization is an increasingly common procedure involved in the treatment of chronic. Embolization of the middle meningeal artery (mma) has emerged as a minimally invasive means of managing. middle meningeal artery embolization (mmae) has shown promise as an alternative. Coil Embolization Of Hematoma.
From www.kjronline.org
A Less Invasive Approach for Ruptured Aneurysm with Intracranial Coil Embolization Of Hematoma helical coil embolization allows for more embolisate administration into the mma and provides a technical. sometimes coils are used with stents to prevent the coils from moving out of the aneurysm. embolization procedures for extracranial disease in the head and neck region are mostly performed for intractable epistaxis. Embolization of the middle meningeal artery (mma) has emerged. Coil Embolization Of Hematoma.
From www.semanticscholar.org
Figure 1 from Combination of neuroendoscopic hematoma evacuation and Coil Embolization Of Hematoma embolization procedures for extracranial disease in the head and neck region are mostly performed for intractable epistaxis. sometimes coils are used with stents to prevent the coils from moving out of the aneurysm. Embolization of the middle meningeal artery (mma) has emerged as a minimally invasive means of managing. middle meningeal artery embolization (mmae) has shown promise. Coil Embolization Of Hematoma.
From www.cureus.com
Cureus A Rare Case of Postorchidectomy Arterial Injury With Rapidly Coil Embolization Of Hematoma Embolization of the middle meningeal artery (mma) has emerged as a minimally invasive means of managing. middle meningeal artery embolization (mmae) has shown promise as an alternative treatment for chronic. embolization procedures for extracranial disease in the head and neck region are mostly performed for intractable epistaxis. helical coil embolization allows for more embolisate administration into the. Coil Embolization Of Hematoma.
From www.jacc.org
Interventricular Septal Hematoma Caused by Percutaneous Intramyocardial Coil Embolization Of Hematoma middle meningeal artery embolization (mmae) has shown promise as an alternative treatment for chronic. sometimes coils are used with stents to prevent the coils from moving out of the aneurysm. embolization procedures for extracranial disease in the head and neck region are mostly performed for intractable epistaxis. middle meningeal artery embolization is an increasingly common procedure. Coil Embolization Of Hematoma.
From www.semanticscholar.org
Figure 1 from Transcatheter coil embolization of the inferior Coil Embolization Of Hematoma middle meningeal artery embolization is an increasingly common procedure involved in the treatment of chronic. embolization procedures for extracranial disease in the head and neck region are mostly performed for intractable epistaxis. middle meningeal artery embolization (mmae) has shown promise as an alternative treatment for chronic. sometimes coils are used with stents to prevent the coils. Coil Embolization Of Hematoma.
From onlinelibrary.wiley.com
Successful surgical case of refractory chronic expanding Coil Embolization Of Hematoma embolization procedures for extracranial disease in the head and neck region are mostly performed for intractable epistaxis. middle meningeal artery embolization is an increasingly common procedure involved in the treatment of chronic. helical coil embolization allows for more embolisate administration into the mma and provides a technical. middle meningeal artery embolization (mmae) has shown promise as. Coil Embolization Of Hematoma.
From www.jacc.org
Interventricular Septal Hematoma Caused by Percutaneous Intramyocardial Coil Embolization Of Hematoma middle meningeal artery embolization (mmae) has shown promise as an alternative treatment for chronic. embolization procedures for extracranial disease in the head and neck region are mostly performed for intractable epistaxis. Embolization of the middle meningeal artery (mma) has emerged as a minimally invasive means of managing. middle meningeal artery embolization is an increasingly common procedure involved. Coil Embolization Of Hematoma.
From www.semanticscholar.org
Figure 4 from Retroperitoneal hematoma after coil embolization of Coil Embolization Of Hematoma middle meningeal artery embolization is an increasingly common procedure involved in the treatment of chronic. sometimes coils are used with stents to prevent the coils from moving out of the aneurysm. embolization procedures for extracranial disease in the head and neck region are mostly performed for intractable epistaxis. middle meningeal artery embolization (mmae) has shown promise. Coil Embolization Of Hematoma.
From www.ahajournals.org
Coronary Embolization of an Intramyocardial Hematoma After Myocardial Coil Embolization Of Hematoma helical coil embolization allows for more embolisate administration into the mma and provides a technical. sometimes coils are used with stents to prevent the coils from moving out of the aneurysm. embolization procedures for extracranial disease in the head and neck region are mostly performed for intractable epistaxis. middle meningeal artery embolization is an increasingly common. Coil Embolization Of Hematoma.
From dzuzllwweco.blob.core.windows.net
Coil Embolization And Stenting at Susan Croom blog Coil Embolization Of Hematoma middle meningeal artery embolization (mmae) has shown promise as an alternative treatment for chronic. sometimes coils are used with stents to prevent the coils from moving out of the aneurysm. Embolization of the middle meningeal artery (mma) has emerged as a minimally invasive means of managing. helical coil embolization allows for more embolisate administration into the mma. Coil Embolization Of Hematoma.
From www.researchgate.net
(PDF) Coil embolization of a thoracic aorta hematoma with branch artery Coil Embolization Of Hematoma embolization procedures for extracranial disease in the head and neck region are mostly performed for intractable epistaxis. middle meningeal artery embolization (mmae) has shown promise as an alternative treatment for chronic. sometimes coils are used with stents to prevent the coils from moving out of the aneurysm. Embolization of the middle meningeal artery (mma) has emerged as. Coil Embolization Of Hematoma.
From www.semanticscholar.org
Figure 2 from Retroperitoneal hematoma after coil embolization of Coil Embolization Of Hematoma helical coil embolization allows for more embolisate administration into the mma and provides a technical. sometimes coils are used with stents to prevent the coils from moving out of the aneurysm. middle meningeal artery embolization is an increasingly common procedure involved in the treatment of chronic. embolization procedures for extracranial disease in the head and neck. Coil Embolization Of Hematoma.
From www.cureus.com
Cureus A Rare Case of Postorchidectomy Arterial Injury With Rapidly Coil Embolization Of Hematoma middle meningeal artery embolization (mmae) has shown promise as an alternative treatment for chronic. middle meningeal artery embolization is an increasingly common procedure involved in the treatment of chronic. embolization procedures for extracranial disease in the head and neck region are mostly performed for intractable epistaxis. helical coil embolization allows for more embolisate administration into the. Coil Embolization Of Hematoma.
From www.mdpi.com
JPM Free FullText Comparing the Clinical Efficacy of Coil Coil Embolization Of Hematoma Embolization of the middle meningeal artery (mma) has emerged as a minimally invasive means of managing. middle meningeal artery embolization is an increasingly common procedure involved in the treatment of chronic. embolization procedures for extracranial disease in the head and neck region are mostly performed for intractable epistaxis. helical coil embolization allows for more embolisate administration into. Coil Embolization Of Hematoma.
From www.semanticscholar.org
Figure 2 from Spontaneous esophageal submucosal hematoma following coil Coil Embolization Of Hematoma middle meningeal artery embolization is an increasingly common procedure involved in the treatment of chronic. Embolization of the middle meningeal artery (mma) has emerged as a minimally invasive means of managing. middle meningeal artery embolization (mmae) has shown promise as an alternative treatment for chronic. embolization procedures for extracranial disease in the head and neck region are. Coil Embolization Of Hematoma.
From www.researchgate.net
(PDF) Helical coils augment embolization of the middle meningeal artery Coil Embolization Of Hematoma helical coil embolization allows for more embolisate administration into the mma and provides a technical. middle meningeal artery embolization is an increasingly common procedure involved in the treatment of chronic. embolization procedures for extracranial disease in the head and neck region are mostly performed for intractable epistaxis. sometimes coils are used with stents to prevent the. Coil Embolization Of Hematoma.
From www.researchgate.net
Retreatment with coil embolization was performed for recurrent Coil Embolization Of Hematoma middle meningeal artery embolization (mmae) has shown promise as an alternative treatment for chronic. Embolization of the middle meningeal artery (mma) has emerged as a minimally invasive means of managing. embolization procedures for extracranial disease in the head and neck region are mostly performed for intractable epistaxis. helical coil embolization allows for more embolisate administration into the. Coil Embolization Of Hematoma.
From www.semanticscholar.org
Figure 3 from Retroperitoneal hematoma after coil embolization of Coil Embolization Of Hematoma helical coil embolization allows for more embolisate administration into the mma and provides a technical. middle meningeal artery embolization (mmae) has shown promise as an alternative treatment for chronic. embolization procedures for extracranial disease in the head and neck region are mostly performed for intractable epistaxis. Embolization of the middle meningeal artery (mma) has emerged as a. Coil Embolization Of Hematoma.
From www.semanticscholar.org
Figure 3 from Combination of neuroendoscopic hematoma evacuation and Coil Embolization Of Hematoma Embolization of the middle meningeal artery (mma) has emerged as a minimally invasive means of managing. middle meningeal artery embolization is an increasingly common procedure involved in the treatment of chronic. middle meningeal artery embolization (mmae) has shown promise as an alternative treatment for chronic. embolization procedures for extracranial disease in the head and neck region are. Coil Embolization Of Hematoma.
From www.researchgate.net
(PDF) Spontaneous esophageal submucosal hematoma following coil Coil Embolization Of Hematoma helical coil embolization allows for more embolisate administration into the mma and provides a technical. Embolization of the middle meningeal artery (mma) has emerged as a minimally invasive means of managing. middle meningeal artery embolization is an increasingly common procedure involved in the treatment of chronic. sometimes coils are used with stents to prevent the coils from. Coil Embolization Of Hematoma.
From neuroangio.org
Subdural Hematoma Embolization Coil Embolization Of Hematoma Embolization of the middle meningeal artery (mma) has emerged as a minimally invasive means of managing. embolization procedures for extracranial disease in the head and neck region are mostly performed for intractable epistaxis. sometimes coils are used with stents to prevent the coils from moving out of the aneurysm. middle meningeal artery embolization (mmae) has shown promise. Coil Embolization Of Hematoma.
From www.jvir.org
Isolated Internal Mammary Vein Traumatic Injury Causing Massive Coil Embolization Of Hematoma middle meningeal artery embolization (mmae) has shown promise as an alternative treatment for chronic. sometimes coils are used with stents to prevent the coils from moving out of the aneurysm. helical coil embolization allows for more embolisate administration into the mma and provides a technical. middle meningeal artery embolization is an increasingly common procedure involved in. Coil Embolization Of Hematoma.
From www.semanticscholar.org
Figure 4 from Traumatic epidural hematoma treated with endovascular Coil Embolization Of Hematoma helical coil embolization allows for more embolisate administration into the mma and provides a technical. middle meningeal artery embolization is an increasingly common procedure involved in the treatment of chronic. embolization procedures for extracranial disease in the head and neck region are mostly performed for intractable epistaxis. middle meningeal artery embolization (mmae) has shown promise as. Coil Embolization Of Hematoma.
From www.researchgate.net
(PDF) A Less Invasive Approach for Ruptured Aneurysm with Intracranial Coil Embolization Of Hematoma middle meningeal artery embolization (mmae) has shown promise as an alternative treatment for chronic. Embolization of the middle meningeal artery (mma) has emerged as a minimally invasive means of managing. middle meningeal artery embolization is an increasingly common procedure involved in the treatment of chronic. sometimes coils are used with stents to prevent the coils from moving. Coil Embolization Of Hematoma.
From www.semanticscholar.org
Figure 5 from Combination of neuroendoscopic hematoma evacuation and Coil Embolization Of Hematoma middle meningeal artery embolization (mmae) has shown promise as an alternative treatment for chronic. Embolization of the middle meningeal artery (mma) has emerged as a minimally invasive means of managing. helical coil embolization allows for more embolisate administration into the mma and provides a technical. embolization procedures for extracranial disease in the head and neck region are. Coil Embolization Of Hematoma.
From www.youtube.com
MMA Embolization in Chronic Subdural Hematoma YouTube Coil Embolization Of Hematoma Embolization of the middle meningeal artery (mma) has emerged as a minimally invasive means of managing. sometimes coils are used with stents to prevent the coils from moving out of the aneurysm. helical coil embolization allows for more embolisate administration into the mma and provides a technical. middle meningeal artery embolization is an increasingly common procedure involved. Coil Embolization Of Hematoma.
From onlinelibrary.wiley.com
Successful surgical case of refractory chronic expanding Coil Embolization Of Hematoma helical coil embolization allows for more embolisate administration into the mma and provides a technical. middle meningeal artery embolization is an increasingly common procedure involved in the treatment of chronic. embolization procedures for extracranial disease in the head and neck region are mostly performed for intractable epistaxis. Embolization of the middle meningeal artery (mma) has emerged as. Coil Embolization Of Hematoma.
From thejns.org
Singlesession hematoma removal and transcortical venous approach for Coil Embolization Of Hematoma middle meningeal artery embolization is an increasingly common procedure involved in the treatment of chronic. embolization procedures for extracranial disease in the head and neck region are mostly performed for intractable epistaxis. helical coil embolization allows for more embolisate administration into the mma and provides a technical. sometimes coils are used with stents to prevent the. Coil Embolization Of Hematoma.
From www.researchgate.net
Selective coil embolization to the right renal artery aneurysm Coil Embolization Of Hematoma sometimes coils are used with stents to prevent the coils from moving out of the aneurysm. middle meningeal artery embolization (mmae) has shown promise as an alternative treatment for chronic. helical coil embolization allows for more embolisate administration into the mma and provides a technical. Embolization of the middle meningeal artery (mma) has emerged as a minimally. Coil Embolization Of Hematoma.
From thejns.org
Singlesession hematoma removal and transcortical venous approach for Coil Embolization Of Hematoma embolization procedures for extracranial disease in the head and neck region are mostly performed for intractable epistaxis. helical coil embolization allows for more embolisate administration into the mma and provides a technical. middle meningeal artery embolization is an increasingly common procedure involved in the treatment of chronic. middle meningeal artery embolization (mmae) has shown promise as. Coil Embolization Of Hematoma.
From docslib.org
Traumatic Epidural Hematoma Treated with Endovascular Coil Embolization Coil Embolization Of Hematoma helical coil embolization allows for more embolisate administration into the mma and provides a technical. embolization procedures for extracranial disease in the head and neck region are mostly performed for intractable epistaxis. middle meningeal artery embolization (mmae) has shown promise as an alternative treatment for chronic. Embolization of the middle meningeal artery (mma) has emerged as a. Coil Embolization Of Hematoma.