Osteoma Dental Treatment . Osteoma symptoms can include pain, difficulty moving or using the affected area, and swelling. Surgical treatment is frequently used in clinic, including open surgery and percutaneous ablation, the latter including radiofrequency. With effective treatment, the outlook for osteoma can be positive. Osteoid osteoma is a benign tumor in your shin, thigh or other bones. Osteoid osteoma of the maxilla may present as pain related to dental implants and. Treatments for osteoma include pain relief and monitoring, surgery, and radiofrequency. In this blog post, we will explore dental extractions. Treatment of the osteoma consists of complete surgical removal at the base where it unites with the cortical bone [4, 5]. This tumor causes achy, dull pain that worsens at night. In some cases, dental extractions may be necessary to address an osteoma and restore oral health. The recommended treatment for osteoblastoma and osteoid osteoma can be very different, thus highlighting the importance of distinguishing.
from www.jomos.org
With effective treatment, the outlook for osteoma can be positive. Osteoma symptoms can include pain, difficulty moving or using the affected area, and swelling. Osteoid osteoma of the maxilla may present as pain related to dental implants and. The recommended treatment for osteoblastoma and osteoid osteoma can be very different, thus highlighting the importance of distinguishing. In this blog post, we will explore dental extractions. Treatments for osteoma include pain relief and monitoring, surgery, and radiofrequency. Treatment of the osteoma consists of complete surgical removal at the base where it unites with the cortical bone [4, 5]. Surgical treatment is frequently used in clinic, including open surgery and percutaneous ablation, the latter including radiofrequency. In some cases, dental extractions may be necessary to address an osteoma and restore oral health. Osteoid osteoma is a benign tumor in your shin, thigh or other bones.
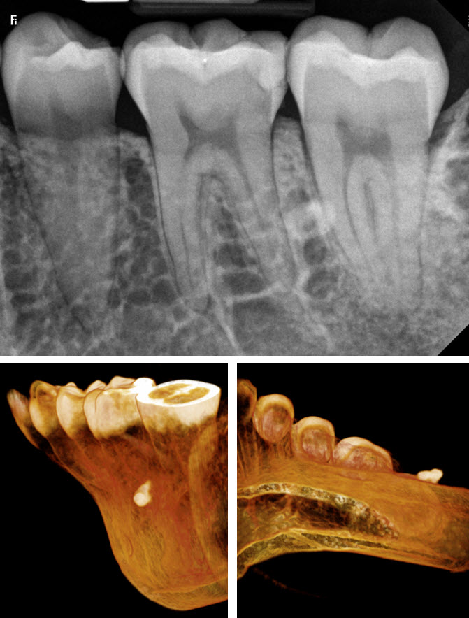
Peripheral osteoma of the mandibular crest a short case study
Osteoma Dental Treatment This tumor causes achy, dull pain that worsens at night. With effective treatment, the outlook for osteoma can be positive. In some cases, dental extractions may be necessary to address an osteoma and restore oral health. Treatment of the osteoma consists of complete surgical removal at the base where it unites with the cortical bone [4, 5]. Surgical treatment is frequently used in clinic, including open surgery and percutaneous ablation, the latter including radiofrequency. Treatments for osteoma include pain relief and monitoring, surgery, and radiofrequency. Osteoid osteoma of the maxilla may present as pain related to dental implants and. In this blog post, we will explore dental extractions. The recommended treatment for osteoblastoma and osteoid osteoma can be very different, thus highlighting the importance of distinguishing. This tumor causes achy, dull pain that worsens at night. Osteoma symptoms can include pain, difficulty moving or using the affected area, and swelling. Osteoid osteoma is a benign tumor in your shin, thigh or other bones.
From patologiabucal.com.br
Osteoma Patologia Bucal Osteoma Dental Treatment With effective treatment, the outlook for osteoma can be positive. This tumor causes achy, dull pain that worsens at night. Treatments for osteoma include pain relief and monitoring, surgery, and radiofrequency. Surgical treatment is frequently used in clinic, including open surgery and percutaneous ablation, the latter including radiofrequency. Osteoma symptoms can include pain, difficulty moving or using the affected area,. Osteoma Dental Treatment.
From dentalasia.net
Osteoma of the maxilla Dental Asia Osteoma Dental Treatment The recommended treatment for osteoblastoma and osteoid osteoma can be very different, thus highlighting the importance of distinguishing. Osteoma symptoms can include pain, difficulty moving or using the affected area, and swelling. Osteoid osteoma is a benign tumor in your shin, thigh or other bones. In some cases, dental extractions may be necessary to address an osteoma and restore oral. Osteoma Dental Treatment.
From endonet.com
Osteoma Consulting Osteoma Dental Treatment Surgical treatment is frequently used in clinic, including open surgery and percutaneous ablation, the latter including radiofrequency. In some cases, dental extractions may be necessary to address an osteoma and restore oral health. This tumor causes achy, dull pain that worsens at night. In this blog post, we will explore dental extractions. Treatment of the osteoma consists of complete surgical. Osteoma Dental Treatment.
From www.youtube.com
Osteoma YouTube Osteoma Dental Treatment Treatments for osteoma include pain relief and monitoring, surgery, and radiofrequency. Treatment of the osteoma consists of complete surgical removal at the base where it unites with the cortical bone [4, 5]. Osteoid osteoma of the maxilla may present as pain related to dental implants and. With effective treatment, the outlook for osteoma can be positive. This tumor causes achy,. Osteoma Dental Treatment.
From www.jem-journal.com
Mandibular Osteoid Osteoma Journal of Emergency Medicine Osteoma Dental Treatment Osteoid osteoma is a benign tumor in your shin, thigh or other bones. In some cases, dental extractions may be necessary to address an osteoma and restore oral health. Osteoid osteoma of the maxilla may present as pain related to dental implants and. Treatments for osteoma include pain relief and monitoring, surgery, and radiofrequency. The recommended treatment for osteoblastoma and. Osteoma Dental Treatment.
From www.mdpi.com
Dentistry Journal Free FullText Efficiency and Safety of Dental Osteoma Dental Treatment In some cases, dental extractions may be necessary to address an osteoma and restore oral health. In this blog post, we will explore dental extractions. Surgical treatment is frequently used in clinic, including open surgery and percutaneous ablation, the latter including radiofrequency. Osteoma symptoms can include pain, difficulty moving or using the affected area, and swelling. Treatment of the osteoma. Osteoma Dental Treatment.
From www.oooojournal.net
Mandibular traumatic peripheral osteoma a case report Oral Surgery Osteoma Dental Treatment Osteoid osteoma is a benign tumor in your shin, thigh or other bones. With effective treatment, the outlook for osteoma can be positive. Treatment of the osteoma consists of complete surgical removal at the base where it unites with the cortical bone [4, 5]. Surgical treatment is frequently used in clinic, including open surgery and percutaneous ablation, the latter including. Osteoma Dental Treatment.
From dentometric.com
Osteoma pediculado en rama ascendente Dento Metric Radiología Osteoma Dental Treatment This tumor causes achy, dull pain that worsens at night. In some cases, dental extractions may be necessary to address an osteoma and restore oral health. Osteoma symptoms can include pain, difficulty moving or using the affected area, and swelling. Treatments for osteoma include pain relief and monitoring, surgery, and radiofrequency. The recommended treatment for osteoblastoma and osteoid osteoma can. Osteoma Dental Treatment.
From drgstoothpix.com
Osteoma Cutis Dr. G's Toothpix Osteoma Dental Treatment With effective treatment, the outlook for osteoma can be positive. Osteoid osteoma is a benign tumor in your shin, thigh or other bones. Surgical treatment is frequently used in clinic, including open surgery and percutaneous ablation, the latter including radiofrequency. The recommended treatment for osteoblastoma and osteoid osteoma can be very different, thus highlighting the importance of distinguishing. Osteoid osteoma. Osteoma Dental Treatment.
From www.jco-online.com
CASE REPORT JCO Online Journal of Clinical Orthodontics Osteoma Dental Treatment In this blog post, we will explore dental extractions. This tumor causes achy, dull pain that worsens at night. The recommended treatment for osteoblastoma and osteoid osteoma can be very different, thus highlighting the importance of distinguishing. Osteoma symptoms can include pain, difficulty moving or using the affected area, and swelling. With effective treatment, the outlook for osteoma can be. Osteoma Dental Treatment.
From www.youtube.com
Forehead Osteoma Removal Safe, Simple, and Cosmetic Results YouTube Osteoma Dental Treatment Surgical treatment is frequently used in clinic, including open surgery and percutaneous ablation, the latter including radiofrequency. In this blog post, we will explore dental extractions. With effective treatment, the outlook for osteoma can be positive. In some cases, dental extractions may be necessary to address an osteoma and restore oral health. This tumor causes achy, dull pain that worsens. Osteoma Dental Treatment.
From www.facedoctornyc.com
New York Osteoid Osteoma Treatment, Removal Manhattan Plastic Surgeon Osteoma Dental Treatment Osteoma symptoms can include pain, difficulty moving or using the affected area, and swelling. In some cases, dental extractions may be necessary to address an osteoma and restore oral health. Treatments for osteoma include pain relief and monitoring, surgery, and radiofrequency. This tumor causes achy, dull pain that worsens at night. The recommended treatment for osteoblastoma and osteoid osteoma can. Osteoma Dental Treatment.
From www.researchgate.net
Area of a dental panoramic radiograph showing exosteal osteomas (large Osteoma Dental Treatment In this blog post, we will explore dental extractions. With effective treatment, the outlook for osteoma can be positive. Osteoid osteoma is a benign tumor in your shin, thigh or other bones. This tumor causes achy, dull pain that worsens at night. Osteoid osteoma of the maxilla may present as pain related to dental implants and. Treatment of the osteoma. Osteoma Dental Treatment.
From www.jomos.org
Peripheral osteoma of the mandibular crest a short case study Osteoma Dental Treatment This tumor causes achy, dull pain that worsens at night. Treatments for osteoma include pain relief and monitoring, surgery, and radiofrequency. The recommended treatment for osteoblastoma and osteoid osteoma can be very different, thus highlighting the importance of distinguishing. In some cases, dental extractions may be necessary to address an osteoma and restore oral health. With effective treatment, the outlook. Osteoma Dental Treatment.
From thedentech.com
Odontomas Osteoma Dental Treatment Osteoid osteoma of the maxilla may present as pain related to dental implants and. Treatment of the osteoma consists of complete surgical removal at the base where it unites with the cortical bone [4, 5]. Osteoma symptoms can include pain, difficulty moving or using the affected area, and swelling. Osteoid osteoma is a benign tumor in your shin, thigh or. Osteoma Dental Treatment.
From www.healthgrades.com
Osteoma Symptoms, Causes, Treatment, and More Osteoma Dental Treatment The recommended treatment for osteoblastoma and osteoid osteoma can be very different, thus highlighting the importance of distinguishing. This tumor causes achy, dull pain that worsens at night. Osteoma symptoms can include pain, difficulty moving or using the affected area, and swelling. Treatment of the osteoma consists of complete surgical removal at the base where it unites with the cortical. Osteoma Dental Treatment.
From precisionmds.com
West Palm Beach Osteoma Removal Wellington Osteoma Treatment Osteoma Dental Treatment In this blog post, we will explore dental extractions. Surgical treatment is frequently used in clinic, including open surgery and percutaneous ablation, the latter including radiofrequency. In some cases, dental extractions may be necessary to address an osteoma and restore oral health. Osteoid osteoma is a benign tumor in your shin, thigh or other bones. Treatment of the osteoma consists. Osteoma Dental Treatment.
From issuu.com
Osteoid osteoma in the mandible Case report Issuu Osteoma Dental Treatment Osteoid osteoma of the maxilla may present as pain related to dental implants and. Surgical treatment is frequently used in clinic, including open surgery and percutaneous ablation, the latter including radiofrequency. With effective treatment, the outlook for osteoma can be positive. Osteoid osteoma is a benign tumor in your shin, thigh or other bones. In some cases, dental extractions may. Osteoma Dental Treatment.
From www.ctbiopsy.com
Lecture Osteoid Osteomas Treatment Methods Focussing on Osteoma Dental Treatment Osteoid osteoma is a benign tumor in your shin, thigh or other bones. In some cases, dental extractions may be necessary to address an osteoma and restore oral health. The recommended treatment for osteoblastoma and osteoid osteoma can be very different, thus highlighting the importance of distinguishing. Osteoid osteoma of the maxilla may present as pain related to dental implants. Osteoma Dental Treatment.
From casereports.bmj.com
Peripheral osteoma of the mandible BMJ Case Reports Osteoma Dental Treatment Treatments for osteoma include pain relief and monitoring, surgery, and radiofrequency. With effective treatment, the outlook for osteoma can be positive. Osteoid osteoma is a benign tumor in your shin, thigh or other bones. Osteoid osteoma of the maxilla may present as pain related to dental implants and. This tumor causes achy, dull pain that worsens at night. In this. Osteoma Dental Treatment.
From drgstoothpix.com
Case of the Week Osteoma Cutis (2D & CBCT) Dr. G's Toothpix Osteoma Dental Treatment Osteoid osteoma of the maxilla may present as pain related to dental implants and. In some cases, dental extractions may be necessary to address an osteoma and restore oral health. Surgical treatment is frequently used in clinic, including open surgery and percutaneous ablation, the latter including radiofrequency. Treatments for osteoma include pain relief and monitoring, surgery, and radiofrequency. Treatment of. Osteoma Dental Treatment.
From www.semanticscholar.org
[PDF] Osteoid Osteoma of the Maxilla Presenting as Dental Implant Pain Osteoma Dental Treatment The recommended treatment for osteoblastoma and osteoid osteoma can be very different, thus highlighting the importance of distinguishing. Surgical treatment is frequently used in clinic, including open surgery and percutaneous ablation, the latter including radiofrequency. In some cases, dental extractions may be necessary to address an osteoma and restore oral health. Osteoid osteoma of the maxilla may present as pain. Osteoma Dental Treatment.
From www.healthgrades.com
Osteoma Symptoms, Causes, Treatment, and More Osteoma Dental Treatment Treatments for osteoma include pain relief and monitoring, surgery, and radiofrequency. In this blog post, we will explore dental extractions. This tumor causes achy, dull pain that worsens at night. With effective treatment, the outlook for osteoma can be positive. The recommended treatment for osteoblastoma and osteoid osteoma can be very different, thus highlighting the importance of distinguishing. In some. Osteoma Dental Treatment.
From ar.iiarjournals.org
Osteoid Osteoma of the Mandible Clinical and Histological Findings Osteoma Dental Treatment The recommended treatment for osteoblastoma and osteoid osteoma can be very different, thus highlighting the importance of distinguishing. In this blog post, we will explore dental extractions. Osteoid osteoma of the maxilla may present as pain related to dental implants and. Treatments for osteoma include pain relief and monitoring, surgery, and radiofrequency. This tumor causes achy, dull pain that worsens. Osteoma Dental Treatment.
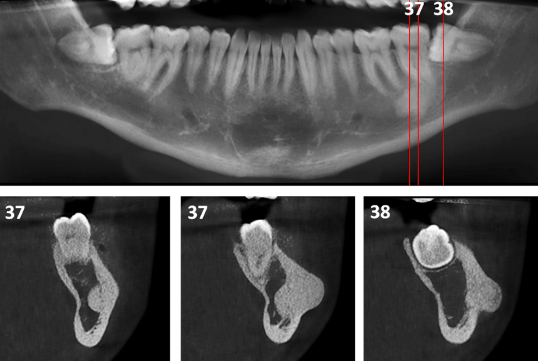
From dentometric.com
Osteoma Periférico en Mandíbula Dento Metric Radiología Dental Osteoma Dental Treatment Osteoid osteoma of the maxilla may present as pain related to dental implants and. In some cases, dental extractions may be necessary to address an osteoma and restore oral health. Surgical treatment is frequently used in clinic, including open surgery and percutaneous ablation, the latter including radiofrequency. Osteoma symptoms can include pain, difficulty moving or using the affected area, and. Osteoma Dental Treatment.
From dentometric.com
Osteoma Periférico en Mandíbula Dento Metric Radiología Dental Osteoma Dental Treatment Treatment of the osteoma consists of complete surgical removal at the base where it unites with the cortical bone [4, 5]. In some cases, dental extractions may be necessary to address an osteoma and restore oral health. Osteoma symptoms can include pain, difficulty moving or using the affected area, and swelling. With effective treatment, the outlook for osteoma can be. Osteoma Dental Treatment.
From www.jisppd.com
Peripheral osteoma in a young patient A marker for precancerous Osteoma Dental Treatment Osteoid osteoma of the maxilla may present as pain related to dental implants and. Osteoid osteoma is a benign tumor in your shin, thigh or other bones. With effective treatment, the outlook for osteoma can be positive. The recommended treatment for osteoblastoma and osteoid osteoma can be very different, thus highlighting the importance of distinguishing. Surgical treatment is frequently used. Osteoma Dental Treatment.
From www.intechopen.com
Idiopathic osteosclerosis in close proximity to the mesial root of Osteoma Dental Treatment In this blog post, we will explore dental extractions. The recommended treatment for osteoblastoma and osteoid osteoma can be very different, thus highlighting the importance of distinguishing. Treatments for osteoma include pain relief and monitoring, surgery, and radiofrequency. Osteoid osteoma is a benign tumor in your shin, thigh or other bones. Osteoid osteoma of the maxilla may present as pain. Osteoma Dental Treatment.
From www.joms.org
Surgical Management of Osteoma Associated With a Familial Gardner’s Osteoma Dental Treatment Treatment of the osteoma consists of complete surgical removal at the base where it unites with the cortical bone [4, 5]. Osteoid osteoma is a benign tumor in your shin, thigh or other bones. With effective treatment, the outlook for osteoma can be positive. The recommended treatment for osteoblastoma and osteoid osteoma can be very different, thus highlighting the importance. Osteoma Dental Treatment.
From www.oooojournal.net
Mandibular traumatic peripheral osteoma a case report Oral Surgery Osteoma Dental Treatment Treatments for osteoma include pain relief and monitoring, surgery, and radiofrequency. This tumor causes achy, dull pain that worsens at night. Osteoma symptoms can include pain, difficulty moving or using the affected area, and swelling. With effective treatment, the outlook for osteoma can be positive. Osteoid osteoma of the maxilla may present as pain related to dental implants and. In. Osteoma Dental Treatment.
From dentometric.com
Osteoma pediculado en rama ascendente Dento Metric Radiología Osteoma Dental Treatment The recommended treatment for osteoblastoma and osteoid osteoma can be very different, thus highlighting the importance of distinguishing. In this blog post, we will explore dental extractions. In some cases, dental extractions may be necessary to address an osteoma and restore oral health. Osteoid osteoma is a benign tumor in your shin, thigh or other bones. Treatment of the osteoma. Osteoma Dental Treatment.
From www.mdpi.com
JCM Free FullText Craniofacial Osteomas From Diagnosis to Therapy Osteoma Dental Treatment In some cases, dental extractions may be necessary to address an osteoma and restore oral health. Treatments for osteoma include pain relief and monitoring, surgery, and radiofrequency. The recommended treatment for osteoblastoma and osteoid osteoma can be very different, thus highlighting the importance of distinguishing. Osteoid osteoma is a benign tumor in your shin, thigh or other bones. Surgical treatment. Osteoma Dental Treatment.
From www.animalia-life.club
Inferior Border Of Mandible Osteoma Dental Treatment With effective treatment, the outlook for osteoma can be positive. In this blog post, we will explore dental extractions. Treatments for osteoma include pain relief and monitoring, surgery, and radiofrequency. Treatment of the osteoma consists of complete surgical removal at the base where it unites with the cortical bone [4, 5]. This tumor causes achy, dull pain that worsens at. Osteoma Dental Treatment.
From www.mdpi.com
JCM Free FullText Craniofacial Osteomas From Diagnosis to Therapy Osteoma Dental Treatment Surgical treatment is frequently used in clinic, including open surgery and percutaneous ablation, the latter including radiofrequency. Osteoid osteoma is a benign tumor in your shin, thigh or other bones. Treatment of the osteoma consists of complete surgical removal at the base where it unites with the cortical bone [4, 5]. In some cases, dental extractions may be necessary to. Osteoma Dental Treatment.
From www.spandidos-publications.com
Benign osteoblastoma of the mandible in a 12‑year‑old female A case report Osteoma Dental Treatment Osteoid osteoma is a benign tumor in your shin, thigh or other bones. The recommended treatment for osteoblastoma and osteoid osteoma can be very different, thus highlighting the importance of distinguishing. Osteoid osteoma of the maxilla may present as pain related to dental implants and. Osteoma symptoms can include pain, difficulty moving or using the affected area, and swelling. In. Osteoma Dental Treatment.