What Is A Pulp Vitality Test . Find out the different methods, such as thermal,. The health status and responsiveness of the dental pulp, essential for diagnosing tooth health and guiding dental. The pulp vitality represents the state of health of the tooth pulp and serves to establish whether the tooth is still “alive”. If your dentist suspects that you have a tooth that needs endodontic therapy, they’ll then perform some tests that will give them a. Find out the different types of pulp tests, such as. Learn what a pulp test is, how it is performed, and why it is important for dental health. Learn how to check the vitality of the pulp tissue using thermal, electrical or direct dentine stimulation tests. Pulp vitality tests assess the health and responsiveness of the dental pulp, crucial for diagnosing the vitality of a tooth. Learn what dental pulp vitality testing is and how it is done to assess the health of your dental pulp.
from www.slideshare.net
Learn how to check the vitality of the pulp tissue using thermal, electrical or direct dentine stimulation tests. The health status and responsiveness of the dental pulp, essential for diagnosing tooth health and guiding dental. Learn what a pulp test is, how it is performed, and why it is important for dental health. Pulp vitality tests assess the health and responsiveness of the dental pulp, crucial for diagnosing the vitality of a tooth. If your dentist suspects that you have a tooth that needs endodontic therapy, they’ll then perform some tests that will give them a. Find out the different types of pulp tests, such as. Find out the different methods, such as thermal,. The pulp vitality represents the state of health of the tooth pulp and serves to establish whether the tooth is still “alive”. Learn what dental pulp vitality testing is and how it is done to assess the health of your dental pulp.
Endodontic Diagnosis Pulp Vitality Tests
What Is A Pulp Vitality Test Learn what a pulp test is, how it is performed, and why it is important for dental health. Learn how to check the vitality of the pulp tissue using thermal, electrical or direct dentine stimulation tests. Find out the different types of pulp tests, such as. Learn what dental pulp vitality testing is and how it is done to assess the health of your dental pulp. Find out the different methods, such as thermal,. The pulp vitality represents the state of health of the tooth pulp and serves to establish whether the tooth is still “alive”. Learn what a pulp test is, how it is performed, and why it is important for dental health. The health status and responsiveness of the dental pulp, essential for diagnosing tooth health and guiding dental. Pulp vitality tests assess the health and responsiveness of the dental pulp, crucial for diagnosing the vitality of a tooth. If your dentist suspects that you have a tooth that needs endodontic therapy, they’ll then perform some tests that will give them a.
From www.youtube.com
thermal test for pulp vitality I heat test YouTube What Is A Pulp Vitality Test The health status and responsiveness of the dental pulp, essential for diagnosing tooth health and guiding dental. Learn what dental pulp vitality testing is and how it is done to assess the health of your dental pulp. Pulp vitality tests assess the health and responsiveness of the dental pulp, crucial for diagnosing the vitality of a tooth. The pulp vitality. What Is A Pulp Vitality Test.
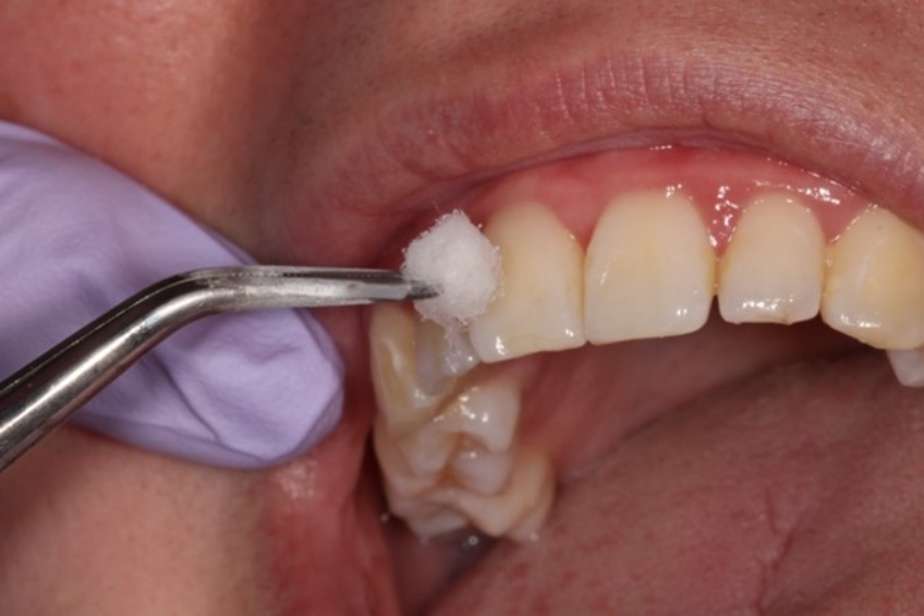
From oraqa.com
Exploring Pulp Sensibility Testing Tools and Techniques for Assessing What Is A Pulp Vitality Test Find out the different types of pulp tests, such as. Learn what dental pulp vitality testing is and how it is done to assess the health of your dental pulp. Pulp vitality tests assess the health and responsiveness of the dental pulp, crucial for diagnosing the vitality of a tooth. If your dentist suspects that you have a tooth that. What Is A Pulp Vitality Test.
From openoregon.pressbooks.pub
Dentinpulp complex development Histology and Embryology for Dental What Is A Pulp Vitality Test The pulp vitality represents the state of health of the tooth pulp and serves to establish whether the tooth is still “alive”. If your dentist suspects that you have a tooth that needs endodontic therapy, they’ll then perform some tests that will give them a. Find out the different types of pulp tests, such as. Learn what dental pulp vitality. What Is A Pulp Vitality Test.
From www.dentistrytoday.com
Pulp Vitality Tester Helps Diagnose Patients’ Issues Dentistry Today What Is A Pulp Vitality Test Pulp vitality tests assess the health and responsiveness of the dental pulp, crucial for diagnosing the vitality of a tooth. Learn how to check the vitality of the pulp tissue using thermal, electrical or direct dentine stimulation tests. The health status and responsiveness of the dental pulp, essential for diagnosing tooth health and guiding dental. Learn what a pulp test. What Is A Pulp Vitality Test.
From www.greeleysmiles.com
Why Test the Vitality of Tooth Pulp? Greeley, CO Dentist What Is A Pulp Vitality Test The pulp vitality represents the state of health of the tooth pulp and serves to establish whether the tooth is still “alive”. Pulp vitality tests assess the health and responsiveness of the dental pulp, crucial for diagnosing the vitality of a tooth. Find out the different methods, such as thermal,. If your dentist suspects that you have a tooth that. What Is A Pulp Vitality Test.
From www.slideshare.net
Endodontic Diagnosis Pulp Vitality Tests What Is A Pulp Vitality Test Find out the different methods, such as thermal,. The pulp vitality represents the state of health of the tooth pulp and serves to establish whether the tooth is still “alive”. Find out the different types of pulp tests, such as. The health status and responsiveness of the dental pulp, essential for diagnosing tooth health and guiding dental. Learn how to. What Is A Pulp Vitality Test.
From www.slideshare.net
Endodontic Diagnosis Pulp Vitality Tests What Is A Pulp Vitality Test Learn what dental pulp vitality testing is and how it is done to assess the health of your dental pulp. Pulp vitality tests assess the health and responsiveness of the dental pulp, crucial for diagnosing the vitality of a tooth. Learn how to check the vitality of the pulp tissue using thermal, electrical or direct dentine stimulation tests. Find out. What Is A Pulp Vitality Test.
From dentagama.com
Pulp vitality test News Dentagama What Is A Pulp Vitality Test Find out the different methods, such as thermal,. Learn what a pulp test is, how it is performed, and why it is important for dental health. Learn how to check the vitality of the pulp tissue using thermal, electrical or direct dentine stimulation tests. The health status and responsiveness of the dental pulp, essential for diagnosing tooth health and guiding. What Is A Pulp Vitality Test.
From www.slideshare.net
Endodontic Diagnosis Pulp Vitality Tests What Is A Pulp Vitality Test Find out the different types of pulp tests, such as. Learn what dental pulp vitality testing is and how it is done to assess the health of your dental pulp. The pulp vitality represents the state of health of the tooth pulp and serves to establish whether the tooth is still “alive”. Pulp vitality tests assess the health and responsiveness. What Is A Pulp Vitality Test.
From www.mdpi.com
Medicina Free FullText A Diagnostic Insight of Dental Pulp Testing What Is A Pulp Vitality Test Pulp vitality tests assess the health and responsiveness of the dental pulp, crucial for diagnosing the vitality of a tooth. Learn what a pulp test is, how it is performed, and why it is important for dental health. Find out the different types of pulp tests, such as. The health status and responsiveness of the dental pulp, essential for diagnosing. What Is A Pulp Vitality Test.
From www.alandental.com
Buy Cheap Denjoy® Vitality Endodontic Pulp Tester form What Is A Pulp Vitality Test Find out the different methods, such as thermal,. Pulp vitality tests assess the health and responsiveness of the dental pulp, crucial for diagnosing the vitality of a tooth. Learn how to check the vitality of the pulp tissue using thermal, electrical or direct dentine stimulation tests. If your dentist suspects that you have a tooth that needs endodontic therapy, they’ll. What Is A Pulp Vitality Test.
From www.magnifidentcc.com
Pulp Vitality Tester magnifidentcc What Is A Pulp Vitality Test The health status and responsiveness of the dental pulp, essential for diagnosing tooth health and guiding dental. Find out the different methods, such as thermal,. Pulp vitality tests assess the health and responsiveness of the dental pulp, crucial for diagnosing the vitality of a tooth. Find out the different types of pulp tests, such as. Learn how to check the. What Is A Pulp Vitality Test.
From www.youtube.com
ENDODONTICS PULP VITALITY TESTS MADE EASY !!! YouTube What Is A Pulp Vitality Test If your dentist suspects that you have a tooth that needs endodontic therapy, they’ll then perform some tests that will give them a. Pulp vitality tests assess the health and responsiveness of the dental pulp, crucial for diagnosing the vitality of a tooth. Learn what a pulp test is, how it is performed, and why it is important for dental. What Is A Pulp Vitality Test.
From www.truthdental.com
Truth Dental Clinic Truth About Tooth What Is A Pulp Vitality Test Pulp vitality tests assess the health and responsiveness of the dental pulp, crucial for diagnosing the vitality of a tooth. Learn what a pulp test is, how it is performed, and why it is important for dental health. The pulp vitality represents the state of health of the tooth pulp and serves to establish whether the tooth is still “alive”.. What Is A Pulp Vitality Test.
From www.moor.co.uk
Pulp Vitality Testing Laser Doppler Moor Instruments What Is A Pulp Vitality Test If your dentist suspects that you have a tooth that needs endodontic therapy, they’ll then perform some tests that will give them a. The health status and responsiveness of the dental pulp, essential for diagnosing tooth health and guiding dental. Pulp vitality tests assess the health and responsiveness of the dental pulp, crucial for diagnosing the vitality of a tooth.. What Is A Pulp Vitality Test.
From www.slideshare.net
seminar on pulp vitality test What Is A Pulp Vitality Test The pulp vitality represents the state of health of the tooth pulp and serves to establish whether the tooth is still “alive”. Find out the different types of pulp tests, such as. Learn how to check the vitality of the pulp tissue using thermal, electrical or direct dentine stimulation tests. Learn what a pulp test is, how it is performed,. What Is A Pulp Vitality Test.
From onlinelibrary.wiley.com
Pulp sensibility and vitality tests for diagnosing pulpal health in What Is A Pulp Vitality Test If your dentist suspects that you have a tooth that needs endodontic therapy, they’ll then perform some tests that will give them a. Learn how to check the vitality of the pulp tissue using thermal, electrical or direct dentine stimulation tests. Find out the different methods, such as thermal,. Pulp vitality tests assess the health and responsiveness of the dental. What Is A Pulp Vitality Test.
From www.youtube.com
Pulp vitality test, electric pulp test, hot pulp test, hot pulp test What Is A Pulp Vitality Test Learn what a pulp test is, how it is performed, and why it is important for dental health. The pulp vitality represents the state of health of the tooth pulp and serves to establish whether the tooth is still “alive”. Pulp vitality tests assess the health and responsiveness of the dental pulp, crucial for diagnosing the vitality of a tooth.. What Is A Pulp Vitality Test.
From www.slideshare.net
Endodontic Diagnosis Pulp Vitality Tests What Is A Pulp Vitality Test The pulp vitality represents the state of health of the tooth pulp and serves to establish whether the tooth is still “alive”. Find out the different types of pulp tests, such as. The health status and responsiveness of the dental pulp, essential for diagnosing tooth health and guiding dental. Pulp vitality tests assess the health and responsiveness of the dental. What Is A Pulp Vitality Test.
From www.slideshare.net
seminar on pulp vitality test What Is A Pulp Vitality Test Learn how to check the vitality of the pulp tissue using thermal, electrical or direct dentine stimulation tests. The health status and responsiveness of the dental pulp, essential for diagnosing tooth health and guiding dental. Learn what dental pulp vitality testing is and how it is done to assess the health of your dental pulp. If your dentist suspects that. What Is A Pulp Vitality Test.
From www.youtube.com
Pulp vitality testing YouTube What Is A Pulp Vitality Test Learn what dental pulp vitality testing is and how it is done to assess the health of your dental pulp. Learn how to check the vitality of the pulp tissue using thermal, electrical or direct dentine stimulation tests. Find out the different methods, such as thermal,. The pulp vitality represents the state of health of the tooth pulp and serves. What Is A Pulp Vitality Test.
From www.youtube.com
Pulp Vitality Tests Laser Doppler Flowmetry, Pulse Oximetry What Is A Pulp Vitality Test If your dentist suspects that you have a tooth that needs endodontic therapy, they’ll then perform some tests that will give them a. The pulp vitality represents the state of health of the tooth pulp and serves to establish whether the tooth is still “alive”. The health status and responsiveness of the dental pulp, essential for diagnosing tooth health and. What Is A Pulp Vitality Test.
From www.remedyland.com
What is pulp test or pulp vitality test Remedy Land What Is A Pulp Vitality Test Learn what a pulp test is, how it is performed, and why it is important for dental health. Learn how to check the vitality of the pulp tissue using thermal, electrical or direct dentine stimulation tests. Find out the different methods, such as thermal,. Pulp vitality tests assess the health and responsiveness of the dental pulp, crucial for diagnosing the. What Is A Pulp Vitality Test.
From www.slideshare.net
Endodontic Diagnosis Pulp Vitality Tests What Is A Pulp Vitality Test Pulp vitality tests assess the health and responsiveness of the dental pulp, crucial for diagnosing the vitality of a tooth. The pulp vitality represents the state of health of the tooth pulp and serves to establish whether the tooth is still “alive”. Find out the different methods, such as thermal,. The health status and responsiveness of the dental pulp, essential. What Is A Pulp Vitality Test.
From www.slideshare.net
seminar on pulp vitality test What Is A Pulp Vitality Test Learn what a pulp test is, how it is performed, and why it is important for dental health. The health status and responsiveness of the dental pulp, essential for diagnosing tooth health and guiding dental. Find out the different methods, such as thermal,. The pulp vitality represents the state of health of the tooth pulp and serves to establish whether. What Is A Pulp Vitality Test.
From products.styleitaliano.org
Digitest 3 A pulp Vitality Tester Products What Is A Pulp Vitality Test The pulp vitality represents the state of health of the tooth pulp and serves to establish whether the tooth is still “alive”. Find out the different types of pulp tests, such as. Learn what dental pulp vitality testing is and how it is done to assess the health of your dental pulp. Pulp vitality tests assess the health and responsiveness. What Is A Pulp Vitality Test.
From www.slideshare.net
seminar on pulp vitality test What Is A Pulp Vitality Test Learn what a pulp test is, how it is performed, and why it is important for dental health. The pulp vitality represents the state of health of the tooth pulp and serves to establish whether the tooth is still “alive”. Find out the different methods, such as thermal,. The health status and responsiveness of the dental pulp, essential for diagnosing. What Is A Pulp Vitality Test.
From www.prestigedentalproducts.com
Digitest II Pulp Vitality Tester, Dental supplies What Is A Pulp Vitality Test Learn what dental pulp vitality testing is and how it is done to assess the health of your dental pulp. Find out the different types of pulp tests, such as. The pulp vitality represents the state of health of the tooth pulp and serves to establish whether the tooth is still “alive”. Learn what a pulp test is, how it. What Is A Pulp Vitality Test.
From www.slideshare.net
Endodontic Diagnosis Pulp Vitality Tests What Is A Pulp Vitality Test Learn what a pulp test is, how it is performed, and why it is important for dental health. Find out the different methods, such as thermal,. Learn how to check the vitality of the pulp tissue using thermal, electrical or direct dentine stimulation tests. If your dentist suspects that you have a tooth that needs endodontic therapy, they’ll then perform. What Is A Pulp Vitality Test.
From www.parkell.com
Digitest® 3 Pulp Vitality Tester What Is A Pulp Vitality Test If your dentist suspects that you have a tooth that needs endodontic therapy, they’ll then perform some tests that will give them a. Pulp vitality tests assess the health and responsiveness of the dental pulp, crucial for diagnosing the vitality of a tooth. Learn how to check the vitality of the pulp tissue using thermal, electrical or direct dentine stimulation. What Is A Pulp Vitality Test.
From www.researchgate.net
(PDF) Pulp Vitality Tests A Review What Is A Pulp Vitality Test Learn how to check the vitality of the pulp tissue using thermal, electrical or direct dentine stimulation tests. Find out the different types of pulp tests, such as. Learn what a pulp test is, how it is performed, and why it is important for dental health. If your dentist suspects that you have a tooth that needs endodontic therapy, they’ll. What Is A Pulp Vitality Test.
From dentagama.com
Pulp vitality test News Dentagama What Is A Pulp Vitality Test Learn how to check the vitality of the pulp tissue using thermal, electrical or direct dentine stimulation tests. Pulp vitality tests assess the health and responsiveness of the dental pulp, crucial for diagnosing the vitality of a tooth. If your dentist suspects that you have a tooth that needs endodontic therapy, they’ll then perform some tests that will give them. What Is A Pulp Vitality Test.
From www.youtube.com
ELECTRIC PULP TEST II PULP VITALITY TEST II ENDODONTICS II made easy What Is A Pulp Vitality Test Learn how to check the vitality of the pulp tissue using thermal, electrical or direct dentine stimulation tests. Learn what a pulp test is, how it is performed, and why it is important for dental health. Find out the different methods, such as thermal,. The pulp vitality represents the state of health of the tooth pulp and serves to establish. What Is A Pulp Vitality Test.
From www.slideshare.net
seminar on pulp vitality test What Is A Pulp Vitality Test Pulp vitality tests assess the health and responsiveness of the dental pulp, crucial for diagnosing the vitality of a tooth. The health status and responsiveness of the dental pulp, essential for diagnosing tooth health and guiding dental. If your dentist suspects that you have a tooth that needs endodontic therapy, they’ll then perform some tests that will give them a.. What Is A Pulp Vitality Test.
From dentalmart.in
Pulptester Digitest II Tooth Vitality Tester What Is A Pulp Vitality Test If your dentist suspects that you have a tooth that needs endodontic therapy, they’ll then perform some tests that will give them a. The health status and responsiveness of the dental pulp, essential for diagnosing tooth health and guiding dental. Pulp vitality tests assess the health and responsiveness of the dental pulp, crucial for diagnosing the vitality of a tooth.. What Is A Pulp Vitality Test.