Plaque Bacteria Which Thrives Supragingival Will Be . To address the question of how microbial diversity and function in the oral cavities of children relates to caries diagnosis, we. Supragingival plaque communities from patients with dental caries experience shifts in community composition, marked by a general. The two test treatments were more. Regular cleaning of dental plaque by supragingival scaling is the most common method for the clinical prevention and treatment of. Here, 160 supragingival plaque samples from patients with dental health and different severities of dental caries were collected. However, the overall diversity and structure of supragingival plaque microbiota in adult dental health and caries are not well understood. Dental caries is a multifactorial disease that initiates from bacterial shifts within the supragingival dental plaque, a complex biofilm. This chapter describes the cell and colony morphology, cultural and biochemical characteristics of oral microbes that are mainly.
from europepmc.org
Dental caries is a multifactorial disease that initiates from bacterial shifts within the supragingival dental plaque, a complex biofilm. This chapter describes the cell and colony morphology, cultural and biochemical characteristics of oral microbes that are mainly. Regular cleaning of dental plaque by supragingival scaling is the most common method for the clinical prevention and treatment of. The two test treatments were more. To address the question of how microbial diversity and function in the oral cavities of children relates to caries diagnosis, we. However, the overall diversity and structure of supragingival plaque microbiota in adult dental health and caries are not well understood. Here, 160 supragingival plaque samples from patients with dental health and different severities of dental caries were collected. Supragingival plaque communities from patients with dental caries experience shifts in community composition, marked by a general.
Oral Biofilms Pathogens, Matrix, and Polymicrobial Interactions in
Plaque Bacteria Which Thrives Supragingival Will Be However, the overall diversity and structure of supragingival plaque microbiota in adult dental health and caries are not well understood. This chapter describes the cell and colony morphology, cultural and biochemical characteristics of oral microbes that are mainly. The two test treatments were more. Dental caries is a multifactorial disease that initiates from bacterial shifts within the supragingival dental plaque, a complex biofilm. Regular cleaning of dental plaque by supragingival scaling is the most common method for the clinical prevention and treatment of. To address the question of how microbial diversity and function in the oral cavities of children relates to caries diagnosis, we. Here, 160 supragingival plaque samples from patients with dental health and different severities of dental caries were collected. However, the overall diversity and structure of supragingival plaque microbiota in adult dental health and caries are not well understood. Supragingival plaque communities from patients with dental caries experience shifts in community composition, marked by a general.
From willowpassdentalcare.com
Gingivitis, Gum Disease, & Periodontal Disease Willow Pass Dental Care Plaque Bacteria Which Thrives Supragingival Will Be The two test treatments were more. Supragingival plaque communities from patients with dental caries experience shifts in community composition, marked by a general. To address the question of how microbial diversity and function in the oral cavities of children relates to caries diagnosis, we. Regular cleaning of dental plaque by supragingival scaling is the most common method for the clinical. Plaque Bacteria Which Thrives Supragingival Will Be.
From www.alamy.com
Plaqueforming bacteria, coloured scanningelectron micrograph (SEM Plaque Bacteria Which Thrives Supragingival Will Be Regular cleaning of dental plaque by supragingival scaling is the most common method for the clinical prevention and treatment of. Dental caries is a multifactorial disease that initiates from bacterial shifts within the supragingival dental plaque, a complex biofilm. This chapter describes the cell and colony morphology, cultural and biochemical characteristics of oral microbes that are mainly. However, the overall. Plaque Bacteria Which Thrives Supragingival Will Be.
From www.alamy.com
Plaqueforming bacteria, coloured scanningelectron micrograph(SEM Plaque Bacteria Which Thrives Supragingival Will Be To address the question of how microbial diversity and function in the oral cavities of children relates to caries diagnosis, we. This chapter describes the cell and colony morphology, cultural and biochemical characteristics of oral microbes that are mainly. The two test treatments were more. Here, 160 supragingival plaque samples from patients with dental health and different severities of dental. Plaque Bacteria Which Thrives Supragingival Will Be.
From www.pinterest.jp
Didyouknow... plaque bacteria produce acids that can cause cavities Plaque Bacteria Which Thrives Supragingival Will Be To address the question of how microbial diversity and function in the oral cavities of children relates to caries diagnosis, we. Dental caries is a multifactorial disease that initiates from bacterial shifts within the supragingival dental plaque, a complex biofilm. This chapter describes the cell and colony morphology, cultural and biochemical characteristics of oral microbes that are mainly. However, the. Plaque Bacteria Which Thrives Supragingival Will Be.
From www.frontiersin.org
Frontiers Oral Biofilms from Symbiotic to Pathogenic Interactions and Plaque Bacteria Which Thrives Supragingival Will Be Dental caries is a multifactorial disease that initiates from bacterial shifts within the supragingival dental plaque, a complex biofilm. Regular cleaning of dental plaque by supragingival scaling is the most common method for the clinical prevention and treatment of. However, the overall diversity and structure of supragingival plaque microbiota in adult dental health and caries are not well understood. The. Plaque Bacteria Which Thrives Supragingival Will Be.
From pixels.com
Plaqueforming Bacteria Photograph by Steve Gschmeissner/science Photo Plaque Bacteria Which Thrives Supragingival Will Be To address the question of how microbial diversity and function in the oral cavities of children relates to caries diagnosis, we. Dental caries is a multifactorial disease that initiates from bacterial shifts within the supragingival dental plaque, a complex biofilm. Supragingival plaque communities from patients with dental caries experience shifts in community composition, marked by a general. The two test. Plaque Bacteria Which Thrives Supragingival Will Be.
From eurekamag.com
Supragingival dental plaque in the etiology of oral diseases Plaque Bacteria Which Thrives Supragingival Will Be Here, 160 supragingival plaque samples from patients with dental health and different severities of dental caries were collected. This chapter describes the cell and colony morphology, cultural and biochemical characteristics of oral microbes that are mainly. However, the overall diversity and structure of supragingival plaque microbiota in adult dental health and caries are not well understood. The two test treatments. Plaque Bacteria Which Thrives Supragingival Will Be.
From www.pinterest.co.uk
Understanding Biofilm and Lyme Disease RawlsMD Biofilm, Periodontal Plaque Bacteria Which Thrives Supragingival Will Be To address the question of how microbial diversity and function in the oral cavities of children relates to caries diagnosis, we. However, the overall diversity and structure of supragingival plaque microbiota in adult dental health and caries are not well understood. Regular cleaning of dental plaque by supragingival scaling is the most common method for the clinical prevention and treatment. Plaque Bacteria Which Thrives Supragingival Will Be.
From encyclopedia.pub
Dental Plaque Encyclopedia MDPI Plaque Bacteria Which Thrives Supragingival Will Be The two test treatments were more. Dental caries is a multifactorial disease that initiates from bacterial shifts within the supragingival dental plaque, a complex biofilm. This chapter describes the cell and colony morphology, cultural and biochemical characteristics of oral microbes that are mainly. Supragingival plaque communities from patients with dental caries experience shifts in community composition, marked by a general.. Plaque Bacteria Which Thrives Supragingival Will Be.
From mybestdentists.com
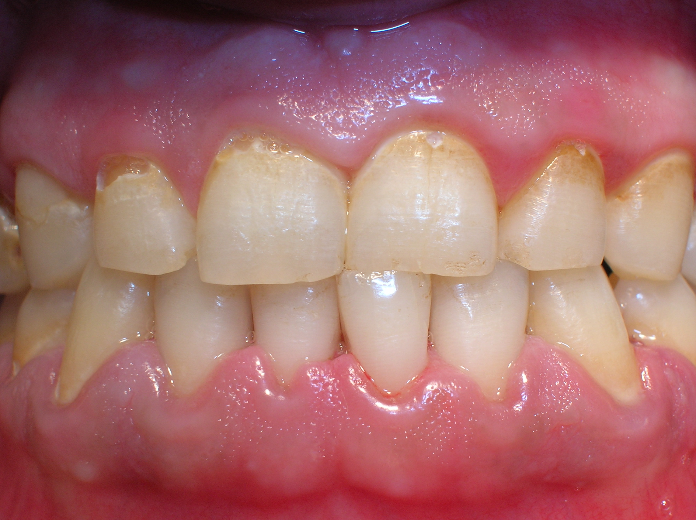
What Is Supragingival Calculus? My BEST Dentists Journal MyBestDentists Plaque Bacteria Which Thrives Supragingival Will Be However, the overall diversity and structure of supragingival plaque microbiota in adult dental health and caries are not well understood. Here, 160 supragingival plaque samples from patients with dental health and different severities of dental caries were collected. This chapter describes the cell and colony morphology, cultural and biochemical characteristics of oral microbes that are mainly. To address the question. Plaque Bacteria Which Thrives Supragingival Will Be.
From ipnperio1.wordpress.com
Placa supragingival y subgingival PERIODONCIA CICS Plaque Bacteria Which Thrives Supragingival Will Be However, the overall diversity and structure of supragingival plaque microbiota in adult dental health and caries are not well understood. The two test treatments were more. Dental caries is a multifactorial disease that initiates from bacterial shifts within the supragingival dental plaque, a complex biofilm. To address the question of how microbial diversity and function in the oral cavities of. Plaque Bacteria Which Thrives Supragingival Will Be.
From sayostudio.com
Plaque Formation on Teeth Portfolio SayoStudio Plaque Bacteria Which Thrives Supragingival Will Be To address the question of how microbial diversity and function in the oral cavities of children relates to caries diagnosis, we. Dental caries is a multifactorial disease that initiates from bacterial shifts within the supragingival dental plaque, a complex biofilm. Here, 160 supragingival plaque samples from patients with dental health and different severities of dental caries were collected. Regular cleaning. Plaque Bacteria Which Thrives Supragingival Will Be.
From cpd.dentistry.co.uk
Dentistry CPD CPD Team 2022 Hygienist Reducing plaque bacteria and Plaque Bacteria Which Thrives Supragingival Will Be However, the overall diversity and structure of supragingival plaque microbiota in adult dental health and caries are not well understood. Dental caries is a multifactorial disease that initiates from bacterial shifts within the supragingival dental plaque, a complex biofilm. Here, 160 supragingival plaque samples from patients with dental health and different severities of dental caries were collected. To address the. Plaque Bacteria Which Thrives Supragingival Will Be.
From floridassmiles.com
The Facts on Plaque West Palm Beach Dentist Plaque Bacteria Which Thrives Supragingival Will Be This chapter describes the cell and colony morphology, cultural and biochemical characteristics of oral microbes that are mainly. However, the overall diversity and structure of supragingival plaque microbiota in adult dental health and caries are not well understood. To address the question of how microbial diversity and function in the oral cavities of children relates to caries diagnosis, we. Supragingival. Plaque Bacteria Which Thrives Supragingival Will Be.
From focusedcollection.com
Bacteria forming Dental plaque — tooth, Micrograph Stock Photo Plaque Bacteria Which Thrives Supragingival Will Be Regular cleaning of dental plaque by supragingival scaling is the most common method for the clinical prevention and treatment of. This chapter describes the cell and colony morphology, cultural and biochemical characteristics of oral microbes that are mainly. Dental caries is a multifactorial disease that initiates from bacterial shifts within the supragingival dental plaque, a complex biofilm. However, the overall. Plaque Bacteria Which Thrives Supragingival Will Be.
From www.sciencephoto.com
Dental plaque and gum disease Stock Image C023/5495 Science Photo Plaque Bacteria Which Thrives Supragingival Will Be This chapter describes the cell and colony morphology, cultural and biochemical characteristics of oral microbes that are mainly. Dental caries is a multifactorial disease that initiates from bacterial shifts within the supragingival dental plaque, a complex biofilm. To address the question of how microbial diversity and function in the oral cavities of children relates to caries diagnosis, we. Regular cleaning. Plaque Bacteria Which Thrives Supragingival Will Be.
From www.southfloridadentalcare.com
Plaque Where It Comes From and How to Stop It Plaque Bacteria Which Thrives Supragingival Will Be Supragingival plaque communities from patients with dental caries experience shifts in community composition, marked by a general. To address the question of how microbial diversity and function in the oral cavities of children relates to caries diagnosis, we. This chapter describes the cell and colony morphology, cultural and biochemical characteristics of oral microbes that are mainly. However, the overall diversity. Plaque Bacteria Which Thrives Supragingival Will Be.
From www.researchgate.net
Corncob structures in supragingival plaque. A, B, Scanning electron Plaque Bacteria Which Thrives Supragingival Will Be To address the question of how microbial diversity and function in the oral cavities of children relates to caries diagnosis, we. However, the overall diversity and structure of supragingival plaque microbiota in adult dental health and caries are not well understood. This chapter describes the cell and colony morphology, cultural and biochemical characteristics of oral microbes that are mainly. Here,. Plaque Bacteria Which Thrives Supragingival Will Be.
From europepmc.org
Oral Biofilms Pathogens, Matrix, and Polymicrobial Interactions in Plaque Bacteria Which Thrives Supragingival Will Be The two test treatments were more. Here, 160 supragingival plaque samples from patients with dental health and different severities of dental caries were collected. To address the question of how microbial diversity and function in the oral cavities of children relates to caries diagnosis, we. However, the overall diversity and structure of supragingival plaque microbiota in adult dental health and. Plaque Bacteria Which Thrives Supragingival Will Be.
From ar.inspiredpencil.com
Dental Plaque Formation Stages Plaque Bacteria Which Thrives Supragingival Will Be To address the question of how microbial diversity and function in the oral cavities of children relates to caries diagnosis, we. This chapter describes the cell and colony morphology, cultural and biochemical characteristics of oral microbes that are mainly. Here, 160 supragingival plaque samples from patients with dental health and different severities of dental caries were collected. Regular cleaning of. Plaque Bacteria Which Thrives Supragingival Will Be.
From cosmosmagazine.com
Dental plaque bacteria to fortify colon cancer Plaque Bacteria Which Thrives Supragingival Will Be Regular cleaning of dental plaque by supragingival scaling is the most common method for the clinical prevention and treatment of. This chapter describes the cell and colony morphology, cultural and biochemical characteristics of oral microbes that are mainly. Supragingival plaque communities from patients with dental caries experience shifts in community composition, marked by a general. Dental caries is a multifactorial. Plaque Bacteria Which Thrives Supragingival Will Be.
From www.dentistsnearby.com
What is Plaque ? Dental Clinics, Dentists, Klinik Gigi & 牙医 in Malaysia Plaque Bacteria Which Thrives Supragingival Will Be Dental caries is a multifactorial disease that initiates from bacterial shifts within the supragingival dental plaque, a complex biofilm. Here, 160 supragingival plaque samples from patients with dental health and different severities of dental caries were collected. To address the question of how microbial diversity and function in the oral cavities of children relates to caries diagnosis, we. However, the. Plaque Bacteria Which Thrives Supragingival Will Be.
From fineartamerica.com
Plaqueforming Bacteria, Sem Photograph by Steve Gschmeissner Fine Plaque Bacteria Which Thrives Supragingival Will Be Here, 160 supragingival plaque samples from patients with dental health and different severities of dental caries were collected. Supragingival plaque communities from patients with dental caries experience shifts in community composition, marked by a general. The two test treatments were more. This chapter describes the cell and colony morphology, cultural and biochemical characteristics of oral microbes that are mainly. Dental. Plaque Bacteria Which Thrives Supragingival Will Be.
From invivohealthcare.com
Oral EcologiX Your New Clinical Tool Invivo Healthcare Plaque Bacteria Which Thrives Supragingival Will Be The two test treatments were more. Dental caries is a multifactorial disease that initiates from bacterial shifts within the supragingival dental plaque, a complex biofilm. To address the question of how microbial diversity and function in the oral cavities of children relates to caries diagnosis, we. Here, 160 supragingival plaque samples from patients with dental health and different severities of. Plaque Bacteria Which Thrives Supragingival Will Be.
From www.pinterest.de
Plaque as biofilm and Ecological plaque hypothesis. Diş Plaque Bacteria Which Thrives Supragingival Will Be To address the question of how microbial diversity and function in the oral cavities of children relates to caries diagnosis, we. This chapter describes the cell and colony morphology, cultural and biochemical characteristics of oral microbes that are mainly. Regular cleaning of dental plaque by supragingival scaling is the most common method for the clinical prevention and treatment of. However,. Plaque Bacteria Which Thrives Supragingival Will Be.
From www.tooth-life.com
Black Tartar on Teeth A Common Dental Problem Explained (pictures) Plaque Bacteria Which Thrives Supragingival Will Be This chapter describes the cell and colony morphology, cultural and biochemical characteristics of oral microbes that are mainly. The two test treatments were more. Supragingival plaque communities from patients with dental caries experience shifts in community composition, marked by a general. Here, 160 supragingival plaque samples from patients with dental health and different severities of dental caries were collected. Regular. Plaque Bacteria Which Thrives Supragingival Will Be.
From www.alamy.com
Fusobacterium nucleatum, oral bacteria found in the dental plaque of Plaque Bacteria Which Thrives Supragingival Will Be The two test treatments were more. However, the overall diversity and structure of supragingival plaque microbiota in adult dental health and caries are not well understood. Here, 160 supragingival plaque samples from patients with dental health and different severities of dental caries were collected. To address the question of how microbial diversity and function in the oral cavities of children. Plaque Bacteria Which Thrives Supragingival Will Be.
From www.shutterstock.com
10 afbeeldingen voor supragingival afbeeldingen, stockfoto‘s en Plaque Bacteria Which Thrives Supragingival Will Be Regular cleaning of dental plaque by supragingival scaling is the most common method for the clinical prevention and treatment of. Here, 160 supragingival plaque samples from patients with dental health and different severities of dental caries were collected. Dental caries is a multifactorial disease that initiates from bacterial shifts within the supragingival dental plaque, a complex biofilm. The two test. Plaque Bacteria Which Thrives Supragingival Will Be.
From citrisafe.com
What is Biofilm? Chronic Inflammation and Infections. Plaque Bacteria Which Thrives Supragingival Will Be The two test treatments were more. Regular cleaning of dental plaque by supragingival scaling is the most common method for the clinical prevention and treatment of. Supragingival plaque communities from patients with dental caries experience shifts in community composition, marked by a general. Dental caries is a multifactorial disease that initiates from bacterial shifts within the supragingival dental plaque, a. Plaque Bacteria Which Thrives Supragingival Will Be.
From tiiz.es
¿Qué es y cómo te afecta el biofilm dental? Clínica dental Tiiz Plaque Bacteria Which Thrives Supragingival Will Be The two test treatments were more. Supragingival plaque communities from patients with dental caries experience shifts in community composition, marked by a general. This chapter describes the cell and colony morphology, cultural and biochemical characteristics of oral microbes that are mainly. Dental caries is a multifactorial disease that initiates from bacterial shifts within the supragingival dental plaque, a complex biofilm.. Plaque Bacteria Which Thrives Supragingival Will Be.
From ceyqiztp.blob.core.windows.net
Build Tooth Up at Lucille Mcvey blog Plaque Bacteria Which Thrives Supragingival Will Be Regular cleaning of dental plaque by supragingival scaling is the most common method for the clinical prevention and treatment of. The two test treatments were more. Dental caries is a multifactorial disease that initiates from bacterial shifts within the supragingival dental plaque, a complex biofilm. This chapter describes the cell and colony morphology, cultural and biochemical characteristics of oral microbes. Plaque Bacteria Which Thrives Supragingival Will Be.
From fineartamerica.com
Plaqueforming Bacteria, Sem Photograph by Steve Gschmeissner Fine Plaque Bacteria Which Thrives Supragingival Will Be Supragingival plaque communities from patients with dental caries experience shifts in community composition, marked by a general. Dental caries is a multifactorial disease that initiates from bacterial shifts within the supragingival dental plaque, a complex biofilm. The two test treatments were more. However, the overall diversity and structure of supragingival plaque microbiota in adult dental health and caries are not. Plaque Bacteria Which Thrives Supragingival Will Be.
From fineartamerica.com
Plaqueforming Bacteria Photograph by Steve Gschmeissner/science Photo Plaque Bacteria Which Thrives Supragingival Will Be Here, 160 supragingival plaque samples from patients with dental health and different severities of dental caries were collected. However, the overall diversity and structure of supragingival plaque microbiota in adult dental health and caries are not well understood. Supragingival plaque communities from patients with dental caries experience shifts in community composition, marked by a general. Regular cleaning of dental plaque. Plaque Bacteria Which Thrives Supragingival Will Be.
From villaloboslaw.com
supragingival calculus formation Chicago Criminal and Civil Defense Plaque Bacteria Which Thrives Supragingival Will Be However, the overall diversity and structure of supragingival plaque microbiota in adult dental health and caries are not well understood. Supragingival plaque communities from patients with dental caries experience shifts in community composition, marked by a general. To address the question of how microbial diversity and function in the oral cavities of children relates to caries diagnosis, we. Here, 160. Plaque Bacteria Which Thrives Supragingival Will Be.
From www.slideserve.com
PPT CHAPTER 16 The Origin and Evolution of Microbial Life Plaque Bacteria Which Thrives Supragingival Will Be The two test treatments were more. Supragingival plaque communities from patients with dental caries experience shifts in community composition, marked by a general. Here, 160 supragingival plaque samples from patients with dental health and different severities of dental caries were collected. Regular cleaning of dental plaque by supragingival scaling is the most common method for the clinical prevention and treatment. Plaque Bacteria Which Thrives Supragingival Will Be.