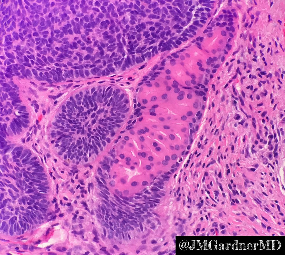
Basal Cell Carcinoma With Neuroendocrine Differentiation . Most common malignant tumor type in. Nuclear pleomorphism and tumor microenvironment (tme) play a critical role in cancer development and progression. Clinically found elevated or flat infiltrated tumors. Figure 12 infiltrative basal cell carcinoma (bcc) with neuroendocrine differentiation: A retrospective immunohistochemical and ultrastructural. Neuroendocrine differentiation in basal cell carcinomas: Bcc can have different patterns of differentiation such as squamous, sebaceous, apocrine, eccrine, pilar and neuroendocrine. And (b) strong widespread cytoplasmic chromogranin and membranous cd56 raised the possibility of neuroendocrine carcinoma. Thus, as demonstrated in other epithelial neoplasms, basal cell carcinoma may also display neuroendocrine differentiation. Basal cell carcinoma (bcc) arises from the interfollicular or follicular epithelium. 3.5 mm), with cytologic features. The histologic exam showed nodular bcc infiltrating of the subcutaneous tissue (thickness:
from www.researchgate.net
And (b) strong widespread cytoplasmic chromogranin and membranous cd56 raised the possibility of neuroendocrine carcinoma. Most common malignant tumor type in. Neuroendocrine differentiation in basal cell carcinomas: Bcc can have different patterns of differentiation such as squamous, sebaceous, apocrine, eccrine, pilar and neuroendocrine. A retrospective immunohistochemical and ultrastructural. The histologic exam showed nodular bcc infiltrating of the subcutaneous tissue (thickness: Clinically found elevated or flat infiltrated tumors. Basal cell carcinoma (bcc) arises from the interfollicular or follicular epithelium. Thus, as demonstrated in other epithelial neoplasms, basal cell carcinoma may also display neuroendocrine differentiation. 3.5 mm), with cytologic features.
Clinical features of basal cell carcinoma with myoepithelial... Download Scientific Diagram
Basal Cell Carcinoma With Neuroendocrine Differentiation Bcc can have different patterns of differentiation such as squamous, sebaceous, apocrine, eccrine, pilar and neuroendocrine. And (b) strong widespread cytoplasmic chromogranin and membranous cd56 raised the possibility of neuroendocrine carcinoma. Basal cell carcinoma (bcc) arises from the interfollicular or follicular epithelium. Most common malignant tumor type in. Bcc can have different patterns of differentiation such as squamous, sebaceous, apocrine, eccrine, pilar and neuroendocrine. Clinically found elevated or flat infiltrated tumors. Nuclear pleomorphism and tumor microenvironment (tme) play a critical role in cancer development and progression. A retrospective immunohistochemical and ultrastructural. Neuroendocrine differentiation in basal cell carcinomas: 3.5 mm), with cytologic features. The histologic exam showed nodular bcc infiltrating of the subcutaneous tissue (thickness: Figure 12 infiltrative basal cell carcinoma (bcc) with neuroendocrine differentiation: Thus, as demonstrated in other epithelial neoplasms, basal cell carcinoma may also display neuroendocrine differentiation.
From escholarship.org
Basal cell carcinoma with neuroendocrine differentiation arising in a scar A case report Basal Cell Carcinoma With Neuroendocrine Differentiation Neuroendocrine differentiation in basal cell carcinomas: Clinically found elevated or flat infiltrated tumors. 3.5 mm), with cytologic features. The histologic exam showed nodular bcc infiltrating of the subcutaneous tissue (thickness: Most common malignant tumor type in. Thus, as demonstrated in other epithelial neoplasms, basal cell carcinoma may also display neuroendocrine differentiation. Basal cell carcinoma (bcc) arises from the interfollicular or. Basal Cell Carcinoma With Neuroendocrine Differentiation.
From www.spandidos-publications.com
Metaplastic breast carcinoma producing prominent basal lamina with neuroendocrine Basal Cell Carcinoma With Neuroendocrine Differentiation Clinically found elevated or flat infiltrated tumors. Bcc can have different patterns of differentiation such as squamous, sebaceous, apocrine, eccrine, pilar and neuroendocrine. A retrospective immunohistochemical and ultrastructural. Thus, as demonstrated in other epithelial neoplasms, basal cell carcinoma may also display neuroendocrine differentiation. And (b) strong widespread cytoplasmic chromogranin and membranous cd56 raised the possibility of neuroendocrine carcinoma. Figure 12. Basal Cell Carcinoma With Neuroendocrine Differentiation.
From www.spandidos-publications.com
Metaplastic breast carcinoma producing prominent basal lamina with neuroendocrine Basal Cell Carcinoma With Neuroendocrine Differentiation The histologic exam showed nodular bcc infiltrating of the subcutaneous tissue (thickness: Bcc can have different patterns of differentiation such as squamous, sebaceous, apocrine, eccrine, pilar and neuroendocrine. Neuroendocrine differentiation in basal cell carcinomas: Nuclear pleomorphism and tumor microenvironment (tme) play a critical role in cancer development and progression. Thus, as demonstrated in other epithelial neoplasms, basal cell carcinoma may. Basal Cell Carcinoma With Neuroendocrine Differentiation.
From www.researchgate.net
(PDF) Metaplastic breast carcinoma producing prominent basal lamina with neuroendocrine Basal Cell Carcinoma With Neuroendocrine Differentiation And (b) strong widespread cytoplasmic chromogranin and membranous cd56 raised the possibility of neuroendocrine carcinoma. A retrospective immunohistochemical and ultrastructural. The histologic exam showed nodular bcc infiltrating of the subcutaneous tissue (thickness: Neuroendocrine differentiation in basal cell carcinomas: 3.5 mm), with cytologic features. Basal cell carcinoma (bcc) arises from the interfollicular or follicular epithelium. Most common malignant tumor type in.. Basal Cell Carcinoma With Neuroendocrine Differentiation.
From www.researchgate.net
Advanced basal cell carcinoma (BCC) pathology presentation. Lower (A)... Download Scientific Basal Cell Carcinoma With Neuroendocrine Differentiation Figure 12 infiltrative basal cell carcinoma (bcc) with neuroendocrine differentiation: 3.5 mm), with cytologic features. A retrospective immunohistochemical and ultrastructural. Most common malignant tumor type in. Neuroendocrine differentiation in basal cell carcinomas: Basal cell carcinoma (bcc) arises from the interfollicular or follicular epithelium. And (b) strong widespread cytoplasmic chromogranin and membranous cd56 raised the possibility of neuroendocrine carcinoma. The histologic. Basal Cell Carcinoma With Neuroendocrine Differentiation.
From www.researchgate.net
A) Well differentiated neuroendocrine tumor composed of... Download Scientific Diagram Basal Cell Carcinoma With Neuroendocrine Differentiation Basal cell carcinoma (bcc) arises from the interfollicular or follicular epithelium. Bcc can have different patterns of differentiation such as squamous, sebaceous, apocrine, eccrine, pilar and neuroendocrine. 3.5 mm), with cytologic features. Nuclear pleomorphism and tumor microenvironment (tme) play a critical role in cancer development and progression. The histologic exam showed nodular bcc infiltrating of the subcutaneous tissue (thickness: A. Basal Cell Carcinoma With Neuroendocrine Differentiation.
From www.youtube.com
Infundibulocystic Basal Cell Carcinoma (BCC w/ follicular differentiation) Dermpath in 5 Basal Cell Carcinoma With Neuroendocrine Differentiation 3.5 mm), with cytologic features. Figure 12 infiltrative basal cell carcinoma (bcc) with neuroendocrine differentiation: Most common malignant tumor type in. Bcc can have different patterns of differentiation such as squamous, sebaceous, apocrine, eccrine, pilar and neuroendocrine. Nuclear pleomorphism and tumor microenvironment (tme) play a critical role in cancer development and progression. Thus, as demonstrated in other epithelial neoplasms, basal. Basal Cell Carcinoma With Neuroendocrine Differentiation.
From www.dermatologyadvisor.com
Basal Cell Carcinoma Dermatology Advisor Basal Cell Carcinoma With Neuroendocrine Differentiation Neuroendocrine differentiation in basal cell carcinomas: The histologic exam showed nodular bcc infiltrating of the subcutaneous tissue (thickness: Nuclear pleomorphism and tumor microenvironment (tme) play a critical role in cancer development and progression. And (b) strong widespread cytoplasmic chromogranin and membranous cd56 raised the possibility of neuroendocrine carcinoma. Thus, as demonstrated in other epithelial neoplasms, basal cell carcinoma may also. Basal Cell Carcinoma With Neuroendocrine Differentiation.
From mavink.com
Basal Cell Carcinoma Skin Histology Basal Cell Carcinoma With Neuroendocrine Differentiation Thus, as demonstrated in other epithelial neoplasms, basal cell carcinoma may also display neuroendocrine differentiation. Basal cell carcinoma (bcc) arises from the interfollicular or follicular epithelium. Most common malignant tumor type in. Neuroendocrine differentiation in basal cell carcinomas: And (b) strong widespread cytoplasmic chromogranin and membranous cd56 raised the possibility of neuroendocrine carcinoma. Clinically found elevated or flat infiltrated tumors.. Basal Cell Carcinoma With Neuroendocrine Differentiation.
From kikoxp.com
Apocrine differentiation in basal cell carcinoma. KiKo XP Basal Cell Carcinoma With Neuroendocrine Differentiation Figure 12 infiltrative basal cell carcinoma (bcc) with neuroendocrine differentiation: Bcc can have different patterns of differentiation such as squamous, sebaceous, apocrine, eccrine, pilar and neuroendocrine. Thus, as demonstrated in other epithelial neoplasms, basal cell carcinoma may also display neuroendocrine differentiation. The histologic exam showed nodular bcc infiltrating of the subcutaneous tissue (thickness: Basal cell carcinoma (bcc) arises from the. Basal Cell Carcinoma With Neuroendocrine Differentiation.
From www.pathologyoutlines.com
Pathology Outlines Poorly differentiated neuroendocrine carcinoma Basal Cell Carcinoma With Neuroendocrine Differentiation Neuroendocrine differentiation in basal cell carcinomas: And (b) strong widespread cytoplasmic chromogranin and membranous cd56 raised the possibility of neuroendocrine carcinoma. Basal cell carcinoma (bcc) arises from the interfollicular or follicular epithelium. Most common malignant tumor type in. Figure 12 infiltrative basal cell carcinoma (bcc) with neuroendocrine differentiation: 3.5 mm), with cytologic features. A retrospective immunohistochemical and ultrastructural. Clinically found. Basal Cell Carcinoma With Neuroendocrine Differentiation.
From www.researchgate.net
Oral cavity histologic subtypes of squamous cell carcinoma (SCC)... Download Scientific Diagram Basal Cell Carcinoma With Neuroendocrine Differentiation And (b) strong widespread cytoplasmic chromogranin and membranous cd56 raised the possibility of neuroendocrine carcinoma. Nuclear pleomorphism and tumor microenvironment (tme) play a critical role in cancer development and progression. Bcc can have different patterns of differentiation such as squamous, sebaceous, apocrine, eccrine, pilar and neuroendocrine. Clinically found elevated or flat infiltrated tumors. Thus, as demonstrated in other epithelial neoplasms,. Basal Cell Carcinoma With Neuroendocrine Differentiation.
From www.youtube.com
Basal Cell Carcinoma Including Variants Histopathology YouTube Basal Cell Carcinoma With Neuroendocrine Differentiation 3.5 mm), with cytologic features. Nuclear pleomorphism and tumor microenvironment (tme) play a critical role in cancer development and progression. The histologic exam showed nodular bcc infiltrating of the subcutaneous tissue (thickness: A retrospective immunohistochemical and ultrastructural. Basal cell carcinoma (bcc) arises from the interfollicular or follicular epithelium. Figure 12 infiltrative basal cell carcinoma (bcc) with neuroendocrine differentiation: Bcc can. Basal Cell Carcinoma With Neuroendocrine Differentiation.
From mavink.com
Basal Cell Skin Cancer Types Basal Cell Carcinoma With Neuroendocrine Differentiation Basal cell carcinoma (bcc) arises from the interfollicular or follicular epithelium. Thus, as demonstrated in other epithelial neoplasms, basal cell carcinoma may also display neuroendocrine differentiation. Neuroendocrine differentiation in basal cell carcinomas: Nuclear pleomorphism and tumor microenvironment (tme) play a critical role in cancer development and progression. Most common malignant tumor type in. Bcc can have different patterns of differentiation. Basal Cell Carcinoma With Neuroendocrine Differentiation.
From ilovepathology.com
BASAL CELL CARCINOMA Pathology Made Simple Basal Cell Carcinoma With Neuroendocrine Differentiation Neuroendocrine differentiation in basal cell carcinomas: 3.5 mm), with cytologic features. Clinically found elevated or flat infiltrated tumors. Thus, as demonstrated in other epithelial neoplasms, basal cell carcinoma may also display neuroendocrine differentiation. Basal cell carcinoma (bcc) arises from the interfollicular or follicular epithelium. Nuclear pleomorphism and tumor microenvironment (tme) play a critical role in cancer development and progression. Figure. Basal Cell Carcinoma With Neuroendocrine Differentiation.
From www.mdpi.com
Cancers Free FullText Pediatric Neuroendocrine Neoplasms Rare Malignancies with Incredible Basal Cell Carcinoma With Neuroendocrine Differentiation A retrospective immunohistochemical and ultrastructural. Neuroendocrine differentiation in basal cell carcinomas: Most common malignant tumor type in. 3.5 mm), with cytologic features. Nuclear pleomorphism and tumor microenvironment (tme) play a critical role in cancer development and progression. Thus, as demonstrated in other epithelial neoplasms, basal cell carcinoma may also display neuroendocrine differentiation. The histologic exam showed nodular bcc infiltrating of. Basal Cell Carcinoma With Neuroendocrine Differentiation.
From www.andreasastier.com
Main Type of Skin Cancer — Their Differences, Histology and Prevention. — Andréas Astier Basal Cell Carcinoma With Neuroendocrine Differentiation Clinically found elevated or flat infiltrated tumors. Basal cell carcinoma (bcc) arises from the interfollicular or follicular epithelium. The histologic exam showed nodular bcc infiltrating of the subcutaneous tissue (thickness: Bcc can have different patterns of differentiation such as squamous, sebaceous, apocrine, eccrine, pilar and neuroendocrine. A retrospective immunohistochemical and ultrastructural. 3.5 mm), with cytologic features. Thus, as demonstrated in. Basal Cell Carcinoma With Neuroendocrine Differentiation.
From geekymedics.com
Basal Cell Carcinoma (BCC) Skin cancer Geeky Medics Basal Cell Carcinoma With Neuroendocrine Differentiation A retrospective immunohistochemical and ultrastructural. And (b) strong widespread cytoplasmic chromogranin and membranous cd56 raised the possibility of neuroendocrine carcinoma. Figure 12 infiltrative basal cell carcinoma (bcc) with neuroendocrine differentiation: The histologic exam showed nodular bcc infiltrating of the subcutaneous tissue (thickness: Thus, as demonstrated in other epithelial neoplasms, basal cell carcinoma may also display neuroendocrine differentiation. Nuclear pleomorphism and. Basal Cell Carcinoma With Neuroendocrine Differentiation.
From www.researchgate.net
Neuroendocrine tumor cells in the breast. HematoxylinEosin staining, 400x. Download Basal Cell Carcinoma With Neuroendocrine Differentiation Clinically found elevated or flat infiltrated tumors. Bcc can have different patterns of differentiation such as squamous, sebaceous, apocrine, eccrine, pilar and neuroendocrine. Neuroendocrine differentiation in basal cell carcinomas: Basal cell carcinoma (bcc) arises from the interfollicular or follicular epithelium. Thus, as demonstrated in other epithelial neoplasms, basal cell carcinoma may also display neuroendocrine differentiation. The histologic exam showed nodular. Basal Cell Carcinoma With Neuroendocrine Differentiation.
From www.semanticscholar.org
Figure 1 from Pigmented Basal Cell Carcinoma with Matrical Differentiation A Unique, Rare Basal Cell Carcinoma With Neuroendocrine Differentiation Clinically found elevated or flat infiltrated tumors. Most common malignant tumor type in. Basal cell carcinoma (bcc) arises from the interfollicular or follicular epithelium. 3.5 mm), with cytologic features. Nuclear pleomorphism and tumor microenvironment (tme) play a critical role in cancer development and progression. Bcc can have different patterns of differentiation such as squamous, sebaceous, apocrine, eccrine, pilar and neuroendocrine.. Basal Cell Carcinoma With Neuroendocrine Differentiation.
From www.researchgate.net
Clinical features of basal cell carcinoma with myoepithelial... Download Scientific Diagram Basal Cell Carcinoma With Neuroendocrine Differentiation Neuroendocrine differentiation in basal cell carcinomas: Nuclear pleomorphism and tumor microenvironment (tme) play a critical role in cancer development and progression. Bcc can have different patterns of differentiation such as squamous, sebaceous, apocrine, eccrine, pilar and neuroendocrine. And (b) strong widespread cytoplasmic chromogranin and membranous cd56 raised the possibility of neuroendocrine carcinoma. 3.5 mm), with cytologic features. Figure 12 infiltrative. Basal Cell Carcinoma With Neuroendocrine Differentiation.
From miiskin.com
Basal Cell Carcinoma Symptoms, Types and Pictures Basal Cell Carcinoma With Neuroendocrine Differentiation 3.5 mm), with cytologic features. The histologic exam showed nodular bcc infiltrating of the subcutaneous tissue (thickness: Neuroendocrine differentiation in basal cell carcinomas: Nuclear pleomorphism and tumor microenvironment (tme) play a critical role in cancer development and progression. Basal cell carcinoma (bcc) arises from the interfollicular or follicular epithelium. A retrospective immunohistochemical and ultrastructural. Bcc can have different patterns of. Basal Cell Carcinoma With Neuroendocrine Differentiation.
From www.researchgate.net
(PDF) Under‐recognized immunoexpression of “neuroendocrine markers” and “myoepithelial markers Basal Cell Carcinoma With Neuroendocrine Differentiation Neuroendocrine differentiation in basal cell carcinomas: Thus, as demonstrated in other epithelial neoplasms, basal cell carcinoma may also display neuroendocrine differentiation. Nuclear pleomorphism and tumor microenvironment (tme) play a critical role in cancer development and progression. Figure 12 infiltrative basal cell carcinoma (bcc) with neuroendocrine differentiation: A retrospective immunohistochemical and ultrastructural. Basal cell carcinoma (bcc) arises from the interfollicular or. Basal Cell Carcinoma With Neuroendocrine Differentiation.
From cbdskincancer.com.au
Basal Cell Carcinoma (BCC) CBD Skin Cancer Clinic Basal Cell Carcinoma With Neuroendocrine Differentiation Basal cell carcinoma (bcc) arises from the interfollicular or follicular epithelium. Clinically found elevated or flat infiltrated tumors. The histologic exam showed nodular bcc infiltrating of the subcutaneous tissue (thickness: Bcc can have different patterns of differentiation such as squamous, sebaceous, apocrine, eccrine, pilar and neuroendocrine. Neuroendocrine differentiation in basal cell carcinomas: A retrospective immunohistochemical and ultrastructural. Nuclear pleomorphism and. Basal Cell Carcinoma With Neuroendocrine Differentiation.
From www.cureus.com
Cureus Basal Cell Carcinoma with Myoepithelial Differentiation Case Report and Literature Review Basal Cell Carcinoma With Neuroendocrine Differentiation Figure 12 infiltrative basal cell carcinoma (bcc) with neuroendocrine differentiation: Bcc can have different patterns of differentiation such as squamous, sebaceous, apocrine, eccrine, pilar and neuroendocrine. 3.5 mm), with cytologic features. Nuclear pleomorphism and tumor microenvironment (tme) play a critical role in cancer development and progression. Clinically found elevated or flat infiltrated tumors. The histologic exam showed nodular bcc infiltrating. Basal Cell Carcinoma With Neuroendocrine Differentiation.
From www.researchgate.net
Prostate cancer displaying universal neuroendocrine differentiation.... Download Scientific Basal Cell Carcinoma With Neuroendocrine Differentiation Clinically found elevated or flat infiltrated tumors. Figure 12 infiltrative basal cell carcinoma (bcc) with neuroendocrine differentiation: Thus, as demonstrated in other epithelial neoplasms, basal cell carcinoma may also display neuroendocrine differentiation. Basal cell carcinoma (bcc) arises from the interfollicular or follicular epithelium. A retrospective immunohistochemical and ultrastructural. Bcc can have different patterns of differentiation such as squamous, sebaceous, apocrine,. Basal Cell Carcinoma With Neuroendocrine Differentiation.
From www.researchgate.net
(PDF) Basaloid squamous cell carcinoma of cervix showing neuroendocrine differentiation Basal Cell Carcinoma With Neuroendocrine Differentiation 3.5 mm), with cytologic features. A retrospective immunohistochemical and ultrastructural. The histologic exam showed nodular bcc infiltrating of the subcutaneous tissue (thickness: Clinically found elevated or flat infiltrated tumors. Neuroendocrine differentiation in basal cell carcinomas: Bcc can have different patterns of differentiation such as squamous, sebaceous, apocrine, eccrine, pilar and neuroendocrine. Thus, as demonstrated in other epithelial neoplasms, basal cell. Basal Cell Carcinoma With Neuroendocrine Differentiation.
From twitter.com
Pathology WalkerAuto Tweet Bot on Twitter "Basal cell carcinoma with adnexal differentiation Basal Cell Carcinoma With Neuroendocrine Differentiation A retrospective immunohistochemical and ultrastructural. Figure 12 infiltrative basal cell carcinoma (bcc) with neuroendocrine differentiation: Basal cell carcinoma (bcc) arises from the interfollicular or follicular epithelium. 3.5 mm), with cytologic features. Neuroendocrine differentiation in basal cell carcinomas: The histologic exam showed nodular bcc infiltrating of the subcutaneous tissue (thickness: Bcc can have different patterns of differentiation such as squamous, sebaceous,. Basal Cell Carcinoma With Neuroendocrine Differentiation.
From www.mypathologyreport.ca
Basal cell carcinoma of the skin MyPathologyReport.ca Basal Cell Carcinoma With Neuroendocrine Differentiation Most common malignant tumor type in. Figure 12 infiltrative basal cell carcinoma (bcc) with neuroendocrine differentiation: Nuclear pleomorphism and tumor microenvironment (tme) play a critical role in cancer development and progression. Basal cell carcinoma (bcc) arises from the interfollicular or follicular epithelium. Thus, as demonstrated in other epithelial neoplasms, basal cell carcinoma may also display neuroendocrine differentiation. Bcc can have. Basal Cell Carcinoma With Neuroendocrine Differentiation.
From escholarship.org
Basal cell carcinoma with neuroendocrine differentiation arising in a scar A case report Basal Cell Carcinoma With Neuroendocrine Differentiation The histologic exam showed nodular bcc infiltrating of the subcutaneous tissue (thickness: Most common malignant tumor type in. Bcc can have different patterns of differentiation such as squamous, sebaceous, apocrine, eccrine, pilar and neuroendocrine. Thus, as demonstrated in other epithelial neoplasms, basal cell carcinoma may also display neuroendocrine differentiation. Figure 12 infiltrative basal cell carcinoma (bcc) with neuroendocrine differentiation: Neuroendocrine. Basal Cell Carcinoma With Neuroendocrine Differentiation.
From escholarship.org
Basal cell carcinoma with neuroendocrine differentiation arising in a scar A case report Basal Cell Carcinoma With Neuroendocrine Differentiation Bcc can have different patterns of differentiation such as squamous, sebaceous, apocrine, eccrine, pilar and neuroendocrine. Thus, as demonstrated in other epithelial neoplasms, basal cell carcinoma may also display neuroendocrine differentiation. Clinically found elevated or flat infiltrated tumors. And (b) strong widespread cytoplasmic chromogranin and membranous cd56 raised the possibility of neuroendocrine carcinoma. A retrospective immunohistochemical and ultrastructural. Nuclear pleomorphism. Basal Cell Carcinoma With Neuroendocrine Differentiation.
From healthjade.net
Basal Cell Carcinoma Causes, Types, Symptoms, Prognosis, Treatment Basal Cell Carcinoma With Neuroendocrine Differentiation Basal cell carcinoma (bcc) arises from the interfollicular or follicular epithelium. 3.5 mm), with cytologic features. And (b) strong widespread cytoplasmic chromogranin and membranous cd56 raised the possibility of neuroendocrine carcinoma. Thus, as demonstrated in other epithelial neoplasms, basal cell carcinoma may also display neuroendocrine differentiation. Figure 12 infiltrative basal cell carcinoma (bcc) with neuroendocrine differentiation: Bcc can have different. Basal Cell Carcinoma With Neuroendocrine Differentiation.
From www.researchgate.net
(PDF) Neuroendocrine differentiation distinguishes basaloid variant of lung squamous cell carcinoma Basal Cell Carcinoma With Neuroendocrine Differentiation Thus, as demonstrated in other epithelial neoplasms, basal cell carcinoma may also display neuroendocrine differentiation. The histologic exam showed nodular bcc infiltrating of the subcutaneous tissue (thickness: Nuclear pleomorphism and tumor microenvironment (tme) play a critical role in cancer development and progression. Figure 12 infiltrative basal cell carcinoma (bcc) with neuroendocrine differentiation: Neuroendocrine differentiation in basal cell carcinomas: Bcc can. Basal Cell Carcinoma With Neuroendocrine Differentiation.
From www.cell.com
Basal Cell Carcinoma Preferentially Arises from Stem Cells within Hair Follicle and Basal Cell Carcinoma With Neuroendocrine Differentiation The histologic exam showed nodular bcc infiltrating of the subcutaneous tissue (thickness: Basal cell carcinoma (bcc) arises from the interfollicular or follicular epithelium. Nuclear pleomorphism and tumor microenvironment (tme) play a critical role in cancer development and progression. And (b) strong widespread cytoplasmic chromogranin and membranous cd56 raised the possibility of neuroendocrine carcinoma. Most common malignant tumor type in. Bcc. Basal Cell Carcinoma With Neuroendocrine Differentiation.
From www.researchgate.net
Histology of well and poorly differentiated aggressive neuroendocrine... Download Scientific Basal Cell Carcinoma With Neuroendocrine Differentiation And (b) strong widespread cytoplasmic chromogranin and membranous cd56 raised the possibility of neuroendocrine carcinoma. Figure 12 infiltrative basal cell carcinoma (bcc) with neuroendocrine differentiation: 3.5 mm), with cytologic features. Bcc can have different patterns of differentiation such as squamous, sebaceous, apocrine, eccrine, pilar and neuroendocrine. Clinically found elevated or flat infiltrated tumors. The histologic exam showed nodular bcc infiltrating. Basal Cell Carcinoma With Neuroendocrine Differentiation.