How Long Does A Temporary Crown Procedure Take . Learn what temporary crowns are, why they are important, and how to care for them after a root canal or other dental procedure. How long does a temporary crown last? Learn everything you need to know about temporary crowns, including materials, benefits, types, and care. Find out how they look, how long they last, and what to do if they fall. They send the impression to a lab that makes the crown. The dentist will put a temporary crown over your tooth to protect it. Find out why you need a temporary crown, how long. Learn how long it takes to get a temporary crown, how to. This step may take several weeks. Find out how long it takes to get a temporary crown and. A temporary dental crown is designed for temporary use, which, in normal cases, is 2 to 3. Learn how a dentist removes a temporary crown and attaches a permanent one in this guide. Find out how long each procedure.
from milpitassquaredental.com
Find out how long each procedure. Learn what temporary crowns are, why they are important, and how to care for them after a root canal or other dental procedure. Learn how a dentist removes a temporary crown and attaches a permanent one in this guide. This step may take several weeks. Find out why you need a temporary crown, how long. Learn everything you need to know about temporary crowns, including materials, benefits, types, and care. They send the impression to a lab that makes the crown. A temporary dental crown is designed for temporary use, which, in normal cases, is 2 to 3. Learn how long it takes to get a temporary crown, how to. Find out how they look, how long they last, and what to do if they fall.
Things you need to know about temporary crowns 1 DENTIST IN
How Long Does A Temporary Crown Procedure Take A temporary dental crown is designed for temporary use, which, in normal cases, is 2 to 3. Find out why you need a temporary crown, how long. They send the impression to a lab that makes the crown. Find out how they look, how long they last, and what to do if they fall. Find out how long each procedure. Learn what temporary crowns are, why they are important, and how to care for them after a root canal or other dental procedure. A temporary dental crown is designed for temporary use, which, in normal cases, is 2 to 3. Learn how long it takes to get a temporary crown, how to. How long does a temporary crown last? This step may take several weeks. Learn how a dentist removes a temporary crown and attaches a permanent one in this guide. The dentist will put a temporary crown over your tooth to protect it. Find out how long it takes to get a temporary crown and. Learn everything you need to know about temporary crowns, including materials, benefits, types, and care.
From www.pinterest.com
how long does a temporary crown last Temporary crown, Dental How Long Does A Temporary Crown Procedure Take Learn how long it takes to get a temporary crown, how to. A temporary dental crown is designed for temporary use, which, in normal cases, is 2 to 3. Learn how a dentist removes a temporary crown and attaches a permanent one in this guide. Find out how long it takes to get a temporary crown and. Learn everything you. How Long Does A Temporary Crown Procedure Take.
From www.bhdentists.com
Crown broke off with a tooth in it? Do this now! (2023) How Long Does A Temporary Crown Procedure Take Find out how they look, how long they last, and what to do if they fall. How long does a temporary crown last? Find out how long each procedure. A temporary dental crown is designed for temporary use, which, in normal cases, is 2 to 3. Find out why you need a temporary crown, how long. Learn what temporary crowns. How Long Does A Temporary Crown Procedure Take.
From pocketdentistry.com
Temporary Crowns Pocket Dentistry How Long Does A Temporary Crown Procedure Take The dentist will put a temporary crown over your tooth to protect it. Find out how they look, how long they last, and what to do if they fall. Learn how a dentist removes a temporary crown and attaches a permanent one in this guide. Find out how long each procedure. This step may take several weeks. Learn what temporary. How Long Does A Temporary Crown Procedure Take.
From apzuvkxiep.blogspot.com
How Long Does A Tooth Bridge Last How long does a dental bridge last How Long Does A Temporary Crown Procedure Take Find out how long it takes to get a temporary crown and. Learn how a dentist removes a temporary crown and attaches a permanent one in this guide. Find out how they look, how long they last, and what to do if they fall. A temporary dental crown is designed for temporary use, which, in normal cases, is 2 to. How Long Does A Temporary Crown Procedure Take.
From selinewjaneva.pages.dev
Ada Code For Temporary Crown 2024 Bee Beverie How Long Does A Temporary Crown Procedure Take The dentist will put a temporary crown over your tooth to protect it. Learn everything you need to know about temporary crowns, including materials, benefits, types, and care. They send the impression to a lab that makes the crown. Learn how long it takes to get a temporary crown, how to. Find out how they look, how long they last,. How Long Does A Temporary Crown Procedure Take.
From milpitassquaredental.com
Taking care of temporary crowns 1 DENTIST IN CALIFORNIA 95035 How Long Does A Temporary Crown Procedure Take Find out why you need a temporary crown, how long. How long does a temporary crown last? Learn what temporary crowns are, why they are important, and how to care for them after a root canal or other dental procedure. A temporary dental crown is designed for temporary use, which, in normal cases, is 2 to 3. The dentist will. How Long Does A Temporary Crown Procedure Take.
From milpitassquaredental.com
Things you need to know about temporary crowns 1 DENTIST IN How Long Does A Temporary Crown Procedure Take The dentist will put a temporary crown over your tooth to protect it. How long does a temporary crown last? Find out why you need a temporary crown, how long. They send the impression to a lab that makes the crown. This step may take several weeks. Learn how a dentist removes a temporary crown and attaches a permanent one. How Long Does A Temporary Crown Procedure Take.
From www.drtoddsmileon.com
How Long Do Dental Crowns Last? How Long Does A Temporary Crown Procedure Take Find out how they look, how long they last, and what to do if they fall. Learn what temporary crowns are, why they are important, and how to care for them after a root canal or other dental procedure. How long does a temporary crown last? A temporary dental crown is designed for temporary use, which, in normal cases, is. How Long Does A Temporary Crown Procedure Take.
From allondental.com
All You Need To Know About Zirconium Crowns In Turkey! How Long Does A Temporary Crown Procedure Take Learn how long it takes to get a temporary crown, how to. How long does a temporary crown last? This step may take several weeks. The dentist will put a temporary crown over your tooth to protect it. Find out why you need a temporary crown, how long. Find out how they look, how long they last, and what to. How Long Does A Temporary Crown Procedure Take.
From guides.nencn.com
This RIPPED NCC executed seine business with who how on you Member How Long Does A Temporary Crown Procedure Take Find out how long each procedure. How long does a temporary crown last? Find out how long it takes to get a temporary crown and. Find out how they look, how long they last, and what to do if they fall. Learn everything you need to know about temporary crowns, including materials, benefits, types, and care. The dentist will put. How Long Does A Temporary Crown Procedure Take.
From www.dentalclinic-knet.com
Temporary Dental Crown How to Prevent Tooth Pain with Perfect Margins How Long Does A Temporary Crown Procedure Take Learn everything you need to know about temporary crowns, including materials, benefits, types, and care. Find out how long it takes to get a temporary crown and. Learn how a dentist removes a temporary crown and attaches a permanent one in this guide. Learn how long it takes to get a temporary crown, how to. Find out why you need. How Long Does A Temporary Crown Procedure Take.
From artofdentistryinstitute.com
Dental Crowns in Irvine Irvine CA Tooth Crowns Teeth Caps Irvine How Long Does A Temporary Crown Procedure Take Learn how a dentist removes a temporary crown and attaches a permanent one in this guide. Find out how long it takes to get a temporary crown and. Learn what temporary crowns are, why they are important, and how to care for them after a root canal or other dental procedure. Find out how they look, how long they last,. How Long Does A Temporary Crown Procedure Take.
From www.healthdirect.gov.au
Dental crown procedure healthdirect How Long Does A Temporary Crown Procedure Take Find out how they look, how long they last, and what to do if they fall. Find out why you need a temporary crown, how long. Learn everything you need to know about temporary crowns, including materials, benefits, types, and care. They send the impression to a lab that makes the crown. Find out how long each procedure. The dentist. How Long Does A Temporary Crown Procedure Take.
From www.youtube.com
How to make a chairside temporary crown after crown preparation How Long Does A Temporary Crown Procedure Take Learn everything you need to know about temporary crowns, including materials, benefits, types, and care. Find out how they look, how long they last, and what to do if they fall. Learn how long it takes to get a temporary crown, how to. Learn how a dentist removes a temporary crown and attaches a permanent one in this guide. They. How Long Does A Temporary Crown Procedure Take.
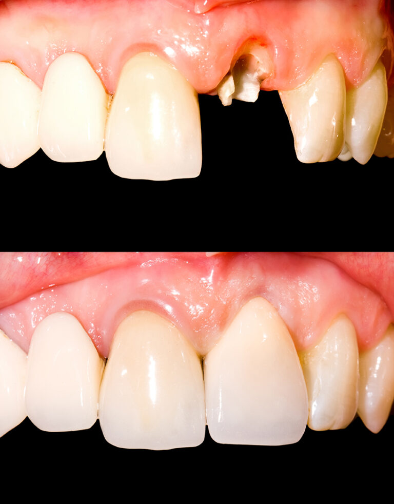
From www.flossy.com
What Does a Temporary Crown Look Like? Flossy How Long Does A Temporary Crown Procedure Take Find out why you need a temporary crown, how long. Find out how long it takes to get a temporary crown and. A temporary dental crown is designed for temporary use, which, in normal cases, is 2 to 3. The dentist will put a temporary crown over your tooth to protect it. How long does a temporary crown last? Learn. How Long Does A Temporary Crown Procedure Take.
From kamikazewargames.com
Las coronas dentales pueden ser necesarias después de una endodoncia (2023) How Long Does A Temporary Crown Procedure Take Find out how long each procedure. Find out how long it takes to get a temporary crown and. Learn how a dentist removes a temporary crown and attaches a permanent one in this guide. Learn how long it takes to get a temporary crown, how to. Find out why you need a temporary crown, how long. Learn everything you need. How Long Does A Temporary Crown Procedure Take.
From pocketdentistry.com
Temporary Crowns Pocket Dentistry How Long Does A Temporary Crown Procedure Take Find out how long each procedure. They send the impression to a lab that makes the crown. Learn how long it takes to get a temporary crown, how to. A temporary dental crown is designed for temporary use, which, in normal cases, is 2 to 3. Learn everything you need to know about temporary crowns, including materials, benefits, types, and. How Long Does A Temporary Crown Procedure Take.
From dentacenter.com
How Long Does A Crown Take? DentaCenter How Long Does A Temporary Crown Procedure Take Learn how a dentist removes a temporary crown and attaches a permanent one in this guide. Learn what temporary crowns are, why they are important, and how to care for them after a root canal or other dental procedure. Find out how long each procedure. The dentist will put a temporary crown over your tooth to protect it. A temporary. How Long Does A Temporary Crown Procedure Take.
From jourdaindental.com
Crowns Jourdain Dental Care Calgary, Alberta Family Dentist How Long Does A Temporary Crown Procedure Take The dentist will put a temporary crown over your tooth to protect it. Learn everything you need to know about temporary crowns, including materials, benefits, types, and care. This step may take several weeks. Learn how a dentist removes a temporary crown and attaches a permanent one in this guide. Find out how long each procedure. Find out how long. How Long Does A Temporary Crown Procedure Take.
From www.youtube.com
How to assess Temp Crown? YouTube How Long Does A Temporary Crown Procedure Take Find out why you need a temporary crown, how long. Learn what temporary crowns are, why they are important, and how to care for them after a root canal or other dental procedure. Find out how long each procedure. Find out how they look, how long they last, and what to do if they fall. They send the impression to. How Long Does A Temporary Crown Procedure Take.
From www.allbrightdentalny.com
How to Take Care of Your Temporary Crown All Bright Dental General How Long Does A Temporary Crown Procedure Take Find out how long each procedure. Learn how a dentist removes a temporary crown and attaches a permanent one in this guide. Learn how long it takes to get a temporary crown, how to. Find out how they look, how long they last, and what to do if they fall. How long does a temporary crown last? A temporary dental. How Long Does A Temporary Crown Procedure Take.
From ghealth121.com
تاج الأسنان الغرض والأنواع والتحضير والإجراء والرعاية اللاحقة والمخاطر How Long Does A Temporary Crown Procedure Take They send the impression to a lab that makes the crown. Learn what temporary crowns are, why they are important, and how to care for them after a root canal or other dental procedure. A temporary dental crown is designed for temporary use, which, in normal cases, is 2 to 3. This step may take several weeks. Find out how. How Long Does A Temporary Crown Procedure Take.
From www.coloradopremierdental.com
Dental Crowns Lakewood, CO Tooth Crown Colorado Premier Dental How Long Does A Temporary Crown Procedure Take Learn everything you need to know about temporary crowns, including materials, benefits, types, and care. Find out how long each procedure. Find out how they look, how long they last, and what to do if they fall. A temporary dental crown is designed for temporary use, which, in normal cases, is 2 to 3. Find out how long it takes. How Long Does A Temporary Crown Procedure Take.
From www.medfordsmiles.com
CEREC Crowns VS Traditional Dental Crowns How Long Does A Temporary Crown Procedure Take Learn how a dentist removes a temporary crown and attaches a permanent one in this guide. This step may take several weeks. Find out how long each procedure. The dentist will put a temporary crown over your tooth to protect it. Learn what temporary crowns are, why they are important, and how to care for them after a root canal. How Long Does A Temporary Crown Procedure Take.
From www.linwellparkdentalcentre.ca
How Long Does a Root Canal Procedure Take? How Long Does A Temporary Crown Procedure Take Find out why you need a temporary crown, how long. Learn everything you need to know about temporary crowns, including materials, benefits, types, and care. Find out how long it takes to get a temporary crown and. Find out how they look, how long they last, and what to do if they fall. Find out how long each procedure. Learn. How Long Does A Temporary Crown Procedure Take.
From spidertechs.net
How Long Does A Temporary Crown Last How Long Does A Temporary Crown Procedure Take Find out how long each procedure. Find out how they look, how long they last, and what to do if they fall. Find out how long it takes to get a temporary crown and. Find out why you need a temporary crown, how long. How long does a temporary crown last? Learn what temporary crowns are, why they are important,. How Long Does A Temporary Crown Procedure Take.
From dolpxy.com
Front Teeth Crowns Before and After How Long Does A Temporary Crown Procedure Take Find out how long it takes to get a temporary crown and. Find out why you need a temporary crown, how long. This step may take several weeks. How long does a temporary crown last? They send the impression to a lab that makes the crown. Find out how they look, how long they last, and what to do if. How Long Does A Temporary Crown Procedure Take.
From www.zmescience.com
Dental Crowns The Science Behind Protecting and Enhancing Your Teeth How Long Does A Temporary Crown Procedure Take Learn what temporary crowns are, why they are important, and how to care for them after a root canal or other dental procedure. They send the impression to a lab that makes the crown. Find out how long it takes to get a temporary crown and. Find out why you need a temporary crown, how long. Learn how long it. How Long Does A Temporary Crown Procedure Take.
From espiredental.com
How Long Does a Dental Crown Procedure Take in Wyoming? How Long Does A Temporary Crown Procedure Take The dentist will put a temporary crown over your tooth to protect it. Learn everything you need to know about temporary crowns, including materials, benefits, types, and care. A temporary dental crown is designed for temporary use, which, in normal cases, is 2 to 3. Find out how long each procedure. How long does a temporary crown last? Find out. How Long Does A Temporary Crown Procedure Take.
From www.lighthousedentalcentre.com
How Long Does A Temporary Filling Last? How Long Does A Temporary Crown Procedure Take The dentist will put a temporary crown over your tooth to protect it. Find out how long it takes to get a temporary crown and. Learn how long it takes to get a temporary crown, how to. They send the impression to a lab that makes the crown. Learn what temporary crowns are, why they are important, and how to. How Long Does A Temporary Crown Procedure Take.
From www.drkatarmal.com
What Is A Temporary Crown? Why It Need? Dr. Bharat Katarmal Dental How Long Does A Temporary Crown Procedure Take The dentist will put a temporary crown over your tooth to protect it. Learn how long it takes to get a temporary crown, how to. A temporary dental crown is designed for temporary use, which, in normal cases, is 2 to 3. Find out how long each procedure. Find out why you need a temporary crown, how long. They send. How Long Does A Temporary Crown Procedure Take.
From www.houstontexasdentist.com
Dental Crowns Spring, TX Tooth Crown Stephens and Gatewood Dentistry How Long Does A Temporary Crown Procedure Take The dentist will put a temporary crown over your tooth to protect it. Find out how they look, how long they last, and what to do if they fall. How long does a temporary crown last? A temporary dental crown is designed for temporary use, which, in normal cases, is 2 to 3. This step may take several weeks. Find. How Long Does A Temporary Crown Procedure Take.
From www.vrogue.co
How Does A Dental Crown Work Calgary Sunshine Dental vrogue.co How Long Does A Temporary Crown Procedure Take How long does a temporary crown last? This step may take several weeks. Find out how they look, how long they last, and what to do if they fall. Find out how long each procedure. Find out how long it takes to get a temporary crown and. Learn what temporary crowns are, why they are important, and how to care. How Long Does A Temporary Crown Procedure Take.
From www.pinterest.com
A dental crown is used to enhance the overall appearance of your teeth How Long Does A Temporary Crown Procedure Take Find out how long it takes to get a temporary crown and. They send the impression to a lab that makes the crown. Learn how a dentist removes a temporary crown and attaches a permanent one in this guide. Find out how they look, how long they last, and what to do if they fall. Find out how long each. How Long Does A Temporary Crown Procedure Take.
From www.slideserve.com
PPT How Long Does A Crown Procedure Take PowerPoint Presentation How Long Does A Temporary Crown Procedure Take Find out why you need a temporary crown, how long. How long does a temporary crown last? Learn what temporary crowns are, why they are important, and how to care for them after a root canal or other dental procedure. The dentist will put a temporary crown over your tooth to protect it. Learn everything you need to know about. How Long Does A Temporary Crown Procedure Take.