Absolute Eosinophils Low 8 . This provides the absolute number of eosinophils in the blood. low eosinophil levels (eosinopenia) may indicate conditions like an acute bacterial infection or hormonal balance. Instead of being expressed in percentage we usually count them by absolute number per mm3. A count is higher than normal with. an eosinophil count is blood test that measures the number of eosinophils, a type of white blood cell, in. A lower than normal eosinophil count could be because: Eosinophils represent 1 to 3% of the white blood cells circulating in the blood. a normal eosinophil count is between 30 and 350 cells per microliter of blood. what does a low eosinophil count mean? the absolute eosinophil count is simply the absolute count of eosinophils in the white blood cells. a normal absolute eosinophil count ranges from 0 to 500 cells per microliter (<0.5 x 10 9 /l). This typically amounts to less than 5% of all.
from encyclopedia.pub
This provides the absolute number of eosinophils in the blood. a normal eosinophil count is between 30 and 350 cells per microliter of blood. an eosinophil count is blood test that measures the number of eosinophils, a type of white blood cell, in. the absolute eosinophil count is simply the absolute count of eosinophils in the white blood cells. This typically amounts to less than 5% of all. A count is higher than normal with. A lower than normal eosinophil count could be because: what does a low eosinophil count mean? Instead of being expressed in percentage we usually count them by absolute number per mm3. low eosinophil levels (eosinopenia) may indicate conditions like an acute bacterial infection or hormonal balance.
Eosinophil Structure and Biology Encyclopedia MDPI
Absolute Eosinophils Low 8 Eosinophils represent 1 to 3% of the white blood cells circulating in the blood. the absolute eosinophil count is simply the absolute count of eosinophils in the white blood cells. what does a low eosinophil count mean? This typically amounts to less than 5% of all. a normal eosinophil count is between 30 and 350 cells per microliter of blood. A lower than normal eosinophil count could be because: an eosinophil count is blood test that measures the number of eosinophils, a type of white blood cell, in. A count is higher than normal with. low eosinophil levels (eosinopenia) may indicate conditions like an acute bacterial infection or hormonal balance. This provides the absolute number of eosinophils in the blood. Instead of being expressed in percentage we usually count them by absolute number per mm3. Eosinophils represent 1 to 3% of the white blood cells circulating in the blood. a normal absolute eosinophil count ranges from 0 to 500 cells per microliter (<0.5 x 10 9 /l).
From drlogy.com
Best Absolute Eosinophil Count Calculator AEC Drlogy Absolute Eosinophils Low 8 This typically amounts to less than 5% of all. a normal absolute eosinophil count ranges from 0 to 500 cells per microliter (<0.5 x 10 9 /l). This provides the absolute number of eosinophils in the blood. a normal eosinophil count is between 30 and 350 cells per microliter of blood. what does a low eosinophil count. Absolute Eosinophils Low 8.
From ar.inspiredpencil.com
Low Lymphocytes And Eosinophils Absolute Eosinophils Low 8 This provides the absolute number of eosinophils in the blood. Instead of being expressed in percentage we usually count them by absolute number per mm3. This typically amounts to less than 5% of all. a normal eosinophil count is between 30 and 350 cells per microliter of blood. the absolute eosinophil count is simply the absolute count of. Absolute Eosinophils Low 8.
From www.researchgate.net
The differences of absolute eosinophil count and Zeosinophil among age Absolute Eosinophils Low 8 a normal absolute eosinophil count ranges from 0 to 500 cells per microliter (<0.5 x 10 9 /l). low eosinophil levels (eosinopenia) may indicate conditions like an acute bacterial infection or hormonal balance. a normal eosinophil count is between 30 and 350 cells per microliter of blood. A lower than normal eosinophil count could be because: This. Absolute Eosinophils Low 8.
From redcliffelabs.com
Absolute Eosinophil Count (AEC) Test Price, Process, Range Absolute Eosinophils Low 8 Instead of being expressed in percentage we usually count them by absolute number per mm3. a normal absolute eosinophil count ranges from 0 to 500 cells per microliter (<0.5 x 10 9 /l). an eosinophil count is blood test that measures the number of eosinophils, a type of white blood cell, in. This provides the absolute number of. Absolute Eosinophils Low 8.
From healthjade.com
Eosinophils, eosinophils function, causes of high and low eosinophils Absolute Eosinophils Low 8 what does a low eosinophil count mean? Instead of being expressed in percentage we usually count them by absolute number per mm3. a normal absolute eosinophil count ranges from 0 to 500 cells per microliter (<0.5 x 10 9 /l). a normal eosinophil count is between 30 and 350 cells per microliter of blood. A lower than. Absolute Eosinophils Low 8.
From dxorsjorf.blob.core.windows.net
Abs Eosinophils Levels at Marjorie Barnes blog Absolute Eosinophils Low 8 Instead of being expressed in percentage we usually count them by absolute number per mm3. Eosinophils represent 1 to 3% of the white blood cells circulating in the blood. A lower than normal eosinophil count could be because: what does a low eosinophil count mean? an eosinophil count is blood test that measures the number of eosinophils, a. Absolute Eosinophils Low 8.
From www.osmosis.org
Eosinophils What Are They, What Do They Do, and More Osmosis Absolute Eosinophils Low 8 A count is higher than normal with. an eosinophil count is blood test that measures the number of eosinophils, a type of white blood cell, in. This provides the absolute number of eosinophils in the blood. A lower than normal eosinophil count could be because: what does a low eosinophil count mean? the absolute eosinophil count is. Absolute Eosinophils Low 8.
From www.youtube.com
Absolute eosinophil count formula How to manual count eosinophil Absolute Eosinophils Low 8 an eosinophil count is blood test that measures the number of eosinophils, a type of white blood cell, in. what does a low eosinophil count mean? A lower than normal eosinophil count could be because: A count is higher than normal with. low eosinophil levels (eosinopenia) may indicate conditions like an acute bacterial infection or hormonal balance.. Absolute Eosinophils Low 8.
From labpedia.net
Eosinophil Count (Absolute Eosinophil Count) Absolute Eosinophils Low 8 Eosinophils represent 1 to 3% of the white blood cells circulating in the blood. a normal eosinophil count is between 30 and 350 cells per microliter of blood. an eosinophil count is blood test that measures the number of eosinophils, a type of white blood cell, in. A count is higher than normal with. Instead of being expressed. Absolute Eosinophils Low 8.
From www.sciencephoto.com
Moderately advanced eosinophil Stock Image P248/0288 Science Absolute Eosinophils Low 8 Instead of being expressed in percentage we usually count them by absolute number per mm3. a normal absolute eosinophil count ranges from 0 to 500 cells per microliter (<0.5 x 10 9 /l). the absolute eosinophil count is simply the absolute count of eosinophils in the white blood cells. low eosinophil levels (eosinopenia) may indicate conditions like. Absolute Eosinophils Low 8.
From dxorsjorf.blob.core.windows.net
Abs Eosinophils Levels at Marjorie Barnes blog Absolute Eosinophils Low 8 a normal absolute eosinophil count ranges from 0 to 500 cells per microliter (<0.5 x 10 9 /l). a normal eosinophil count is between 30 and 350 cells per microliter of blood. an eosinophil count is blood test that measures the number of eosinophils, a type of white blood cell, in. the absolute eosinophil count is. Absolute Eosinophils Low 8.
From healthjade.net
Eosinophils, eosinophils function, causes of high and low eosinophils Absolute Eosinophils Low 8 what does a low eosinophil count mean? an eosinophil count is blood test that measures the number of eosinophils, a type of white blood cell, in. Instead of being expressed in percentage we usually count them by absolute number per mm3. This typically amounts to less than 5% of all. a normal eosinophil count is between 30. Absolute Eosinophils Low 8.
From textbookhaematology4medical-scientist.blogspot.com
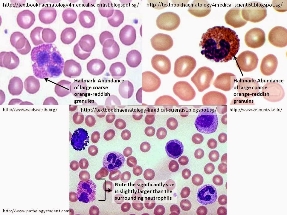
Haematology in a NutShell Eosinophils Absolute Eosinophils Low 8 Eosinophils represent 1 to 3% of the white blood cells circulating in the blood. what does a low eosinophil count mean? This provides the absolute number of eosinophils in the blood. the absolute eosinophil count is simply the absolute count of eosinophils in the white blood cells. This typically amounts to less than 5% of all. Instead of. Absolute Eosinophils Low 8.
From ar.inspiredpencil.com
Low Lymphocytes And Eosinophils Absolute Eosinophils Low 8 A lower than normal eosinophil count could be because: the absolute eosinophil count is simply the absolute count of eosinophils in the white blood cells. Instead of being expressed in percentage we usually count them by absolute number per mm3. an eosinophil count is blood test that measures the number of eosinophils, a type of white blood cell,. Absolute Eosinophils Low 8.
From mediscanlab.com
Absolute Eosinophil Count MediScan Lab Absolute Eosinophils Low 8 a normal eosinophil count is between 30 and 350 cells per microliter of blood. what does a low eosinophil count mean? This typically amounts to less than 5% of all. A count is higher than normal with. A lower than normal eosinophil count could be because: Instead of being expressed in percentage we usually count them by absolute. Absolute Eosinophils Low 8.
From blog.healthmatters.io
What are Eosinophils? Definition + Low / High Reference ranges + Function Absolute Eosinophils Low 8 Eosinophils represent 1 to 3% of the white blood cells circulating in the blood. a normal absolute eosinophil count ranges from 0 to 500 cells per microliter (<0.5 x 10 9 /l). Instead of being expressed in percentage we usually count them by absolute number per mm3. A count is higher than normal with. what does a low. Absolute Eosinophils Low 8.
From www.labpedia.net
Eosinophil Count (Absolute Eosinophil count) Absolute Eosinophils Low 8 what does a low eosinophil count mean? This typically amounts to less than 5% of all. low eosinophil levels (eosinopenia) may indicate conditions like an acute bacterial infection or hormonal balance. an eosinophil count is blood test that measures the number of eosinophils, a type of white blood cell, in. Instead of being expressed in percentage we. Absolute Eosinophils Low 8.
From www.scribd.com
Practical Class Absolute Eosinophil Count White Blood Cell Staining Absolute Eosinophils Low 8 the absolute eosinophil count is simply the absolute count of eosinophils in the white blood cells. Instead of being expressed in percentage we usually count them by absolute number per mm3. Eosinophils represent 1 to 3% of the white blood cells circulating in the blood. low eosinophil levels (eosinopenia) may indicate conditions like an acute bacterial infection or. Absolute Eosinophils Low 8.
From www.ahajournals.org
Association Between Absolute Eosinophil Count and Complex Aortic Arch Absolute Eosinophils Low 8 a normal eosinophil count is between 30 and 350 cells per microliter of blood. Eosinophils represent 1 to 3% of the white blood cells circulating in the blood. This typically amounts to less than 5% of all. Instead of being expressed in percentage we usually count them by absolute number per mm3. A count is higher than normal with.. Absolute Eosinophils Low 8.
From encyclopedia.pub
Eosinophil Structure and Biology Encyclopedia MDPI Absolute Eosinophils Low 8 a normal absolute eosinophil count ranges from 0 to 500 cells per microliter (<0.5 x 10 9 /l). This provides the absolute number of eosinophils in the blood. This typically amounts to less than 5% of all. the absolute eosinophil count is simply the absolute count of eosinophils in the white blood cells. what does a low. Absolute Eosinophils Low 8.
From dailymedicalhealth.com
Eosinophils low, relative high, absolute count, normal range Absolute Eosinophils Low 8 an eosinophil count is blood test that measures the number of eosinophils, a type of white blood cell, in. Eosinophils represent 1 to 3% of the white blood cells circulating in the blood. low eosinophil levels (eosinopenia) may indicate conditions like an acute bacterial infection or hormonal balance. Instead of being expressed in percentage we usually count them. Absolute Eosinophils Low 8.
From selfhacked.com
High & Low (Absolute) Eosinophil Count + Functions Selfhacked Absolute Eosinophils Low 8 low eosinophil levels (eosinopenia) may indicate conditions like an acute bacterial infection or hormonal balance. Instead of being expressed in percentage we usually count them by absolute number per mm3. This typically amounts to less than 5% of all. A lower than normal eosinophil count could be because: a normal absolute eosinophil count ranges from 0 to 500. Absolute Eosinophils Low 8.
From www.slideserve.com
PPT Morphologic and Distributive Leukocyte Disorders PowerPoint Absolute Eosinophils Low 8 a normal eosinophil count is between 30 and 350 cells per microliter of blood. Eosinophils represent 1 to 3% of the white blood cells circulating in the blood. A count is higher than normal with. the absolute eosinophil count is simply the absolute count of eosinophils in the white blood cells. what does a low eosinophil count. Absolute Eosinophils Low 8.
From prognohealth.com
Absolute Eosinophil Count (AEC) Test PrognoHealth Corporate Health Absolute Eosinophils Low 8 A count is higher than normal with. low eosinophil levels (eosinopenia) may indicate conditions like an acute bacterial infection or hormonal balance. a normal eosinophil count is between 30 and 350 cells per microliter of blood. Eosinophils represent 1 to 3% of the white blood cells circulating in the blood. A lower than normal eosinophil count could be. Absolute Eosinophils Low 8.
From www.verywellhealth.com
What Level of Eosinophils Indicate Cancer? Absolute Eosinophils Low 8 a normal eosinophil count is between 30 and 350 cells per microliter of blood. low eosinophil levels (eosinopenia) may indicate conditions like an acute bacterial infection or hormonal balance. A lower than normal eosinophil count could be because: This typically amounts to less than 5% of all. A count is higher than normal with. This provides the absolute. Absolute Eosinophils Low 8.
From www.youtube.com
AEC (Absolute Eosinophil Count) Test An Overview YouTube Absolute Eosinophils Low 8 A count is higher than normal with. the absolute eosinophil count is simply the absolute count of eosinophils in the white blood cells. a normal eosinophil count is between 30 and 350 cells per microliter of blood. an eosinophil count is blood test that measures the number of eosinophils, a type of white blood cell, in. Instead. Absolute Eosinophils Low 8.
From www.lybrate.com
Eosinophils (Human Anatomy) Image, Functions, Diseases and Treatments Absolute Eosinophils Low 8 Instead of being expressed in percentage we usually count them by absolute number per mm3. This provides the absolute number of eosinophils in the blood. the absolute eosinophil count is simply the absolute count of eosinophils in the white blood cells. an eosinophil count is blood test that measures the number of eosinophils, a type of white blood. Absolute Eosinophils Low 8.
From www.mindray.com
HemaBook Chapter 9 How Does Eosinophil Count Change in COVID19 Absolute Eosinophils Low 8 an eosinophil count is blood test that measures the number of eosinophils, a type of white blood cell, in. a normal absolute eosinophil count ranges from 0 to 500 cells per microliter (<0.5 x 10 9 /l). This typically amounts to less than 5% of all. a normal eosinophil count is between 30 and 350 cells per. Absolute Eosinophils Low 8.
From ar.inspiredpencil.com
Low Lymphocytes And Eosinophils Absolute Eosinophils Low 8 the absolute eosinophil count is simply the absolute count of eosinophils in the white blood cells. what does a low eosinophil count mean? Eosinophils represent 1 to 3% of the white blood cells circulating in the blood. A lower than normal eosinophil count could be because: A count is higher than normal with. a normal eosinophil count. Absolute Eosinophils Low 8.
From blog.healthmatters.io
What are Eosinophils? Definition + Low / High Reference ranges Absolute Eosinophils Low 8 a normal eosinophil count is between 30 and 350 cells per microliter of blood. A lower than normal eosinophil count could be because: low eosinophil levels (eosinopenia) may indicate conditions like an acute bacterial infection or hormonal balance. This provides the absolute number of eosinophils in the blood. Instead of being expressed in percentage we usually count them. Absolute Eosinophils Low 8.
From www.verywellhealth.com
Eosinophilia Symptoms, Causes, Diagnosis, Treatment Absolute Eosinophils Low 8 a normal absolute eosinophil count ranges from 0 to 500 cells per microliter (<0.5 x 10 9 /l). low eosinophil levels (eosinopenia) may indicate conditions like an acute bacterial infection or hormonal balance. an eosinophil count is blood test that measures the number of eosinophils, a type of white blood cell, in. Instead of being expressed in. Absolute Eosinophils Low 8.
From www.ucsfhealth.org
Eosinophil count absolute Absolute Eosinophils Low 8 a normal eosinophil count is between 30 and 350 cells per microliter of blood. This typically amounts to less than 5% of all. low eosinophil levels (eosinopenia) may indicate conditions like an acute bacterial infection or hormonal balance. A lower than normal eosinophil count could be because: the absolute eosinophil count is simply the absolute count of. Absolute Eosinophils Low 8.
From dailymedicalhealth.com
Eosinophils low, relative high, absolute count, normal range Absolute Eosinophils Low 8 a normal eosinophil count is between 30 and 350 cells per microliter of blood. Instead of being expressed in percentage we usually count them by absolute number per mm3. an eosinophil count is blood test that measures the number of eosinophils, a type of white blood cell, in. Eosinophils represent 1 to 3% of the white blood cells. Absolute Eosinophils Low 8.
From medschool.co
Eosinophils Blood Film MedSchool Absolute Eosinophils Low 8 what does a low eosinophil count mean? Eosinophils represent 1 to 3% of the white blood cells circulating in the blood. the absolute eosinophil count is simply the absolute count of eosinophils in the white blood cells. a normal absolute eosinophil count ranges from 0 to 500 cells per microliter (<0.5 x 10 9 /l). low. Absolute Eosinophils Low 8.
From www.labpedia.net
Eosinophil Count (Absolute Eosinophil count) Absolute Eosinophils Low 8 Eosinophils represent 1 to 3% of the white blood cells circulating in the blood. what does a low eosinophil count mean? a normal eosinophil count is between 30 and 350 cells per microliter of blood. Instead of being expressed in percentage we usually count them by absolute number per mm3. a normal absolute eosinophil count ranges from. Absolute Eosinophils Low 8.