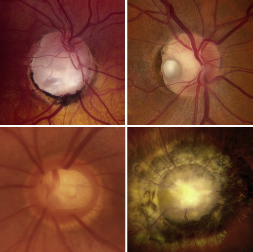
Optic Disc Coloboma Images . Unlike the morning glory disc, the odc. Even in the absence of choroidal coloboma, optic disc coloboma is easy to recognize ophthalmoscopically—with bowl. Coloboma of the iris, ciliary body, choroid, retina and/or optic nerve derive from failed or incomplete closure of the embryonic fissure (also known as. Learn how optometrists can identify, diagnose, and treat optic disc abnormalities. Download the cheat sheet with clinical. The optic disc coloboma (odc) is characterized by a bowl shaped excavation often inferiorly with sharp borders. Optic disc coloboma found in an 8yo patient. Unlike the morning glory disc, the odc has no central glial tuft and.
from flickr.com
Unlike the morning glory disc, the odc. The optic disc coloboma (odc) is characterized by a bowl shaped excavation often inferiorly with sharp borders. Download the cheat sheet with clinical. Learn how optometrists can identify, diagnose, and treat optic disc abnormalities. Optic disc coloboma found in an 8yo patient. Coloboma of the iris, ciliary body, choroid, retina and/or optic nerve derive from failed or incomplete closure of the embryonic fissure (also known as. Unlike the morning glory disc, the odc has no central glial tuft and. Even in the absence of choroidal coloboma, optic disc coloboma is easy to recognize ophthalmoscopically—with bowl.
coloboma A congenital defect of the optic nerve. Noelle Flickr
Optic Disc Coloboma Images The optic disc coloboma (odc) is characterized by a bowl shaped excavation often inferiorly with sharp borders. Even in the absence of choroidal coloboma, optic disc coloboma is easy to recognize ophthalmoscopically—with bowl. Optic disc coloboma found in an 8yo patient. Download the cheat sheet with clinical. Coloboma of the iris, ciliary body, choroid, retina and/or optic nerve derive from failed or incomplete closure of the embryonic fissure (also known as. Learn how optometrists can identify, diagnose, and treat optic disc abnormalities. Unlike the morning glory disc, the odc has no central glial tuft and. Unlike the morning glory disc, the odc. The optic disc coloboma (odc) is characterized by a bowl shaped excavation often inferiorly with sharp borders.
From onlinelibrary.wiley.com
Optic Disc Coloboma in children prevalence, clinical characteristics Optic Disc Coloboma Images Learn how optometrists can identify, diagnose, and treat optic disc abnormalities. Unlike the morning glory disc, the odc has no central glial tuft and. Download the cheat sheet with clinical. Even in the absence of choroidal coloboma, optic disc coloboma is easy to recognize ophthalmoscopically—with bowl. Unlike the morning glory disc, the odc. The optic disc coloboma (odc) is characterized. Optic Disc Coloboma Images.
From www.researchgate.net
Optic disc coloboma. The optic disc is enlarged with an excavaled Optic Disc Coloboma Images Coloboma of the iris, ciliary body, choroid, retina and/or optic nerve derive from failed or incomplete closure of the embryonic fissure (also known as. Unlike the morning glory disc, the odc has no central glial tuft and. Learn how optometrists can identify, diagnose, and treat optic disc abnormalities. Even in the absence of choroidal coloboma, optic disc coloboma is easy. Optic Disc Coloboma Images.
From www.researchgate.net
Optic disc pigmentation at the temporal disc margin. Figure 5 Optic Optic Disc Coloboma Images Unlike the morning glory disc, the odc. Even in the absence of choroidal coloboma, optic disc coloboma is easy to recognize ophthalmoscopically—with bowl. Coloboma of the iris, ciliary body, choroid, retina and/or optic nerve derive from failed or incomplete closure of the embryonic fissure (also known as. Unlike the morning glory disc, the odc has no central glial tuft and.. Optic Disc Coloboma Images.
From
Optic Disc Coloboma Images The optic disc coloboma (odc) is characterized by a bowl shaped excavation often inferiorly with sharp borders. Learn how optometrists can identify, diagnose, and treat optic disc abnormalities. Download the cheat sheet with clinical. Even in the absence of choroidal coloboma, optic disc coloboma is easy to recognize ophthalmoscopically—with bowl. Unlike the morning glory disc, the odc. Unlike the morning. Optic Disc Coloboma Images.
From
Optic Disc Coloboma Images Even in the absence of choroidal coloboma, optic disc coloboma is easy to recognize ophthalmoscopically—with bowl. Learn how optometrists can identify, diagnose, and treat optic disc abnormalities. Coloboma of the iris, ciliary body, choroid, retina and/or optic nerve derive from failed or incomplete closure of the embryonic fissure (also known as. Download the cheat sheet with clinical. The optic disc. Optic Disc Coloboma Images.
From
Optic Disc Coloboma Images Optic disc coloboma found in an 8yo patient. Download the cheat sheet with clinical. Unlike the morning glory disc, the odc. Learn how optometrists can identify, diagnose, and treat optic disc abnormalities. Even in the absence of choroidal coloboma, optic disc coloboma is easy to recognize ophthalmoscopically—with bowl. Coloboma of the iris, ciliary body, choroid, retina and/or optic nerve derive. Optic Disc Coloboma Images.
From
Optic Disc Coloboma Images Learn how optometrists can identify, diagnose, and treat optic disc abnormalities. Unlike the morning glory disc, the odc. Even in the absence of choroidal coloboma, optic disc coloboma is easy to recognize ophthalmoscopically—with bowl. Download the cheat sheet with clinical. Optic disc coloboma found in an 8yo patient. Coloboma of the iris, ciliary body, choroid, retina and/or optic nerve derive. Optic Disc Coloboma Images.
From webeye.ophth.uiowa.edu
Atlas Entry Optic nerve coloboma with staphyloma Optic Disc Coloboma Images Coloboma of the iris, ciliary body, choroid, retina and/or optic nerve derive from failed or incomplete closure of the embryonic fissure (also known as. Unlike the morning glory disc, the odc. Optic disc coloboma found in an 8yo patient. Download the cheat sheet with clinical. Learn how optometrists can identify, diagnose, and treat optic disc abnormalities. The optic disc coloboma. Optic Disc Coloboma Images.
From
Optic Disc Coloboma Images Optic disc coloboma found in an 8yo patient. Learn how optometrists can identify, diagnose, and treat optic disc abnormalities. Download the cheat sheet with clinical. Coloboma of the iris, ciliary body, choroid, retina and/or optic nerve derive from failed or incomplete closure of the embryonic fissure (also known as. Unlike the morning glory disc, the odc. The optic disc coloboma. Optic Disc Coloboma Images.
From
Optic Disc Coloboma Images Unlike the morning glory disc, the odc. Download the cheat sheet with clinical. Coloboma of the iris, ciliary body, choroid, retina and/or optic nerve derive from failed or incomplete closure of the embryonic fissure (also known as. Even in the absence of choroidal coloboma, optic disc coloboma is easy to recognize ophthalmoscopically—with bowl. Optic disc coloboma found in an 8yo. Optic Disc Coloboma Images.
From
Optic Disc Coloboma Images Unlike the morning glory disc, the odc has no central glial tuft and. Learn how optometrists can identify, diagnose, and treat optic disc abnormalities. Unlike the morning glory disc, the odc. Optic disc coloboma found in an 8yo patient. The optic disc coloboma (odc) is characterized by a bowl shaped excavation often inferiorly with sharp borders. Even in the absence. Optic Disc Coloboma Images.
From
Optic Disc Coloboma Images The optic disc coloboma (odc) is characterized by a bowl shaped excavation often inferiorly with sharp borders. Unlike the morning glory disc, the odc. Even in the absence of choroidal coloboma, optic disc coloboma is easy to recognize ophthalmoscopically—with bowl. Optic disc coloboma found in an 8yo patient. Learn how optometrists can identify, diagnose, and treat optic disc abnormalities. Unlike. Optic Disc Coloboma Images.
From
Optic Disc Coloboma Images Optic disc coloboma found in an 8yo patient. Unlike the morning glory disc, the odc. Download the cheat sheet with clinical. Learn how optometrists can identify, diagnose, and treat optic disc abnormalities. The optic disc coloboma (odc) is characterized by a bowl shaped excavation often inferiorly with sharp borders. Even in the absence of choroidal coloboma, optic disc coloboma is. Optic Disc Coloboma Images.
From imagebank.asrs.org
Probable Optic Nerve Coloboma Retina Image Bank Optic Disc Coloboma Images Unlike the morning glory disc, the odc has no central glial tuft and. Even in the absence of choroidal coloboma, optic disc coloboma is easy to recognize ophthalmoscopically—with bowl. Download the cheat sheet with clinical. Unlike the morning glory disc, the odc. The optic disc coloboma (odc) is characterized by a bowl shaped excavation often inferiorly with sharp borders. Coloboma. Optic Disc Coloboma Images.
From
Optic Disc Coloboma Images Coloboma of the iris, ciliary body, choroid, retina and/or optic nerve derive from failed or incomplete closure of the embryonic fissure (also known as. The optic disc coloboma (odc) is characterized by a bowl shaped excavation often inferiorly with sharp borders. Learn how optometrists can identify, diagnose, and treat optic disc abnormalities. Optic disc coloboma found in an 8yo patient.. Optic Disc Coloboma Images.
From www.researchgate.net
(PDF) Bilateral isolated optic disc coloboma with posterior staphyloma Optic Disc Coloboma Images Unlike the morning glory disc, the odc has no central glial tuft and. Learn how optometrists can identify, diagnose, and treat optic disc abnormalities. Unlike the morning glory disc, the odc. Download the cheat sheet with clinical. Optic disc coloboma found in an 8yo patient. Even in the absence of choroidal coloboma, optic disc coloboma is easy to recognize ophthalmoscopically—with. Optic Disc Coloboma Images.
From
Optic Disc Coloboma Images Learn how optometrists can identify, diagnose, and treat optic disc abnormalities. Download the cheat sheet with clinical. Even in the absence of choroidal coloboma, optic disc coloboma is easy to recognize ophthalmoscopically—with bowl. Unlike the morning glory disc, the odc. The optic disc coloboma (odc) is characterized by a bowl shaped excavation often inferiorly with sharp borders. Optic disc coloboma. Optic Disc Coloboma Images.
From entokey.com
Pathogenesis and Treatment of Maculopathy Associated With Cavitary Optic Disc Coloboma Images Coloboma of the iris, ciliary body, choroid, retina and/or optic nerve derive from failed or incomplete closure of the embryonic fissure (also known as. Unlike the morning glory disc, the odc. Download the cheat sheet with clinical. Optic disc coloboma found in an 8yo patient. Learn how optometrists can identify, diagnose, and treat optic disc abnormalities. Unlike the morning glory. Optic Disc Coloboma Images.
From imagebank.asrs.org
Optic Nerve Coloboma Retina Image Bank Optic Disc Coloboma Images Optic disc coloboma found in an 8yo patient. Coloboma of the iris, ciliary body, choroid, retina and/or optic nerve derive from failed or incomplete closure of the embryonic fissure (also known as. Unlike the morning glory disc, the odc. Even in the absence of choroidal coloboma, optic disc coloboma is easy to recognize ophthalmoscopically—with bowl. Learn how optometrists can identify,. Optic Disc Coloboma Images.
From
Optic Disc Coloboma Images The optic disc coloboma (odc) is characterized by a bowl shaped excavation often inferiorly with sharp borders. Learn how optometrists can identify, diagnose, and treat optic disc abnormalities. Unlike the morning glory disc, the odc has no central glial tuft and. Unlike the morning glory disc, the odc. Download the cheat sheet with clinical. Coloboma of the iris, ciliary body,. Optic Disc Coloboma Images.
From
Optic Disc Coloboma Images The optic disc coloboma (odc) is characterized by a bowl shaped excavation often inferiorly with sharp borders. Optic disc coloboma found in an 8yo patient. Unlike the morning glory disc, the odc. Coloboma of the iris, ciliary body, choroid, retina and/or optic nerve derive from failed or incomplete closure of the embryonic fissure (also known as. Download the cheat sheet. Optic Disc Coloboma Images.
From
Optic Disc Coloboma Images Unlike the morning glory disc, the odc. Optic disc coloboma found in an 8yo patient. Learn how optometrists can identify, diagnose, and treat optic disc abnormalities. The optic disc coloboma (odc) is characterized by a bowl shaped excavation often inferiorly with sharp borders. Download the cheat sheet with clinical. Even in the absence of choroidal coloboma, optic disc coloboma is. Optic Disc Coloboma Images.
From
Optic Disc Coloboma Images Even in the absence of choroidal coloboma, optic disc coloboma is easy to recognize ophthalmoscopically—with bowl. Download the cheat sheet with clinical. Learn how optometrists can identify, diagnose, and treat optic disc abnormalities. Optic disc coloboma found in an 8yo patient. Unlike the morning glory disc, the odc has no central glial tuft and. The optic disc coloboma (odc) is. Optic Disc Coloboma Images.
From www.semanticscholar.org
Evaluation of congenital optic disc pits and optic disc colobomas by Optic Disc Coloboma Images Even in the absence of choroidal coloboma, optic disc coloboma is easy to recognize ophthalmoscopically—with bowl. Unlike the morning glory disc, the odc. Unlike the morning glory disc, the odc has no central glial tuft and. Download the cheat sheet with clinical. Learn how optometrists can identify, diagnose, and treat optic disc abnormalities. Coloboma of the iris, ciliary body, choroid,. Optic Disc Coloboma Images.
From
Optic Disc Coloboma Images Learn how optometrists can identify, diagnose, and treat optic disc abnormalities. Coloboma of the iris, ciliary body, choroid, retina and/or optic nerve derive from failed or incomplete closure of the embryonic fissure (also known as. Unlike the morning glory disc, the odc has no central glial tuft and. The optic disc coloboma (odc) is characterized by a bowl shaped excavation. Optic Disc Coloboma Images.
From
Optic Disc Coloboma Images Even in the absence of choroidal coloboma, optic disc coloboma is easy to recognize ophthalmoscopically—with bowl. Download the cheat sheet with clinical. Unlike the morning glory disc, the odc. Optic disc coloboma found in an 8yo patient. Coloboma of the iris, ciliary body, choroid, retina and/or optic nerve derive from failed or incomplete closure of the embryonic fissure (also known. Optic Disc Coloboma Images.
From
Optic Disc Coloboma Images Unlike the morning glory disc, the odc has no central glial tuft and. Optic disc coloboma found in an 8yo patient. The optic disc coloboma (odc) is characterized by a bowl shaped excavation often inferiorly with sharp borders. Download the cheat sheet with clinical. Learn how optometrists can identify, diagnose, and treat optic disc abnormalities. Even in the absence of. Optic Disc Coloboma Images.
From
Optic Disc Coloboma Images Learn how optometrists can identify, diagnose, and treat optic disc abnormalities. Download the cheat sheet with clinical. Unlike the morning glory disc, the odc. The optic disc coloboma (odc) is characterized by a bowl shaped excavation often inferiorly with sharp borders. Unlike the morning glory disc, the odc has no central glial tuft and. Even in the absence of choroidal. Optic Disc Coloboma Images.
From www.slideserve.com
PPT Coloboma SFA Group PowerPoint Presentation ID409409 Optic Disc Coloboma Images Coloboma of the iris, ciliary body, choroid, retina and/or optic nerve derive from failed or incomplete closure of the embryonic fissure (also known as. Unlike the morning glory disc, the odc. Download the cheat sheet with clinical. Learn how optometrists can identify, diagnose, and treat optic disc abnormalities. Even in the absence of choroidal coloboma, optic disc coloboma is easy. Optic Disc Coloboma Images.
From www.researchgate.net
A case of optic disc coloboma with maculopathy A Cropped Optos image Optic Disc Coloboma Images Unlike the morning glory disc, the odc has no central glial tuft and. The optic disc coloboma (odc) is characterized by a bowl shaped excavation often inferiorly with sharp borders. Even in the absence of choroidal coloboma, optic disc coloboma is easy to recognize ophthalmoscopically—with bowl. Learn how optometrists can identify, diagnose, and treat optic disc abnormalities. Optic disc coloboma. Optic Disc Coloboma Images.
From www.wjgnet.com
Optic disc coloboma associated with macular retinoschisis A case report Optic Disc Coloboma Images The optic disc coloboma (odc) is characterized by a bowl shaped excavation often inferiorly with sharp borders. Even in the absence of choroidal coloboma, optic disc coloboma is easy to recognize ophthalmoscopically—with bowl. Download the cheat sheet with clinical. Coloboma of the iris, ciliary body, choroid, retina and/or optic nerve derive from failed or incomplete closure of the embryonic fissure. Optic Disc Coloboma Images.
From
Optic Disc Coloboma Images Download the cheat sheet with clinical. Learn how optometrists can identify, diagnose, and treat optic disc abnormalities. Optic disc coloboma found in an 8yo patient. Unlike the morning glory disc, the odc. The optic disc coloboma (odc) is characterized by a bowl shaped excavation often inferiorly with sharp borders. Even in the absence of choroidal coloboma, optic disc coloboma is. Optic Disc Coloboma Images.
From
Optic Disc Coloboma Images Unlike the morning glory disc, the odc has no central glial tuft and. Optic disc coloboma found in an 8yo patient. Even in the absence of choroidal coloboma, optic disc coloboma is easy to recognize ophthalmoscopically—with bowl. Download the cheat sheet with clinical. Unlike the morning glory disc, the odc. Coloboma of the iris, ciliary body, choroid, retina and/or optic. Optic Disc Coloboma Images.
From
Optic Disc Coloboma Images Optic disc coloboma found in an 8yo patient. Even in the absence of choroidal coloboma, optic disc coloboma is easy to recognize ophthalmoscopically—with bowl. Learn how optometrists can identify, diagnose, and treat optic disc abnormalities. The optic disc coloboma (odc) is characterized by a bowl shaped excavation often inferiorly with sharp borders. Unlike the morning glory disc, the odc. Unlike. Optic Disc Coloboma Images.
From www.slideserve.com
PPT CONGENITAL OPTIC NERVE ANOMALIES PowerPoint Presentation, free Optic Disc Coloboma Images Optic disc coloboma found in an 8yo patient. Learn how optometrists can identify, diagnose, and treat optic disc abnormalities. Coloboma of the iris, ciliary body, choroid, retina and/or optic nerve derive from failed or incomplete closure of the embryonic fissure (also known as. Unlike the morning glory disc, the odc. The optic disc coloboma (odc) is characterized by a bowl. Optic Disc Coloboma Images.