What Causes Bone Growth On Roof Of Mouth . The mass appears in the. a bump on the roof of the mouth can have a number of causes, including canker sores, mucoceles, fungal infections, or bony growths. torus mandibularis refers to a bony growth on the floor of your mouth, under your tongue. torus palatinus is a harmless, painless bony growth located on the roof of the mouth (the hard palate). a bump can form on the roof of the mouth due to many conditions, including canker sores, mucoceles, torus palatinus, and oral candidiasis. if you’ve got a prominent, hard bump on the roof of your mouth, there’s a really good chance that it’s something we. a torus palatinus is a bony growth that develops on the roof of the mouth. These growths can vary in shape.
from casereports.bmj.com
a bump can form on the roof of the mouth due to many conditions, including canker sores, mucoceles, torus palatinus, and oral candidiasis. a bump on the roof of the mouth can have a number of causes, including canker sores, mucoceles, fungal infections, or bony growths. a torus palatinus is a bony growth that develops on the roof of the mouth. torus palatinus is a harmless, painless bony growth located on the roof of the mouth (the hard palate). The mass appears in the. if you’ve got a prominent, hard bump on the roof of your mouth, there’s a really good chance that it’s something we. These growths can vary in shape. torus mandibularis refers to a bony growth on the floor of your mouth, under your tongue.
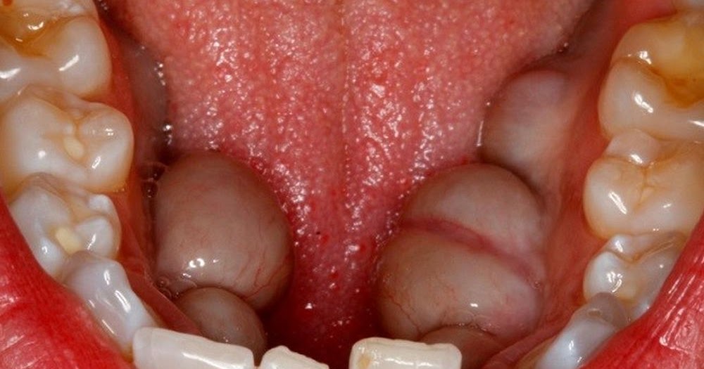
Floor of mouth schwannoma mimicking a salivary gland neoplasm a report
What Causes Bone Growth On Roof Of Mouth a bump can form on the roof of the mouth due to many conditions, including canker sores, mucoceles, torus palatinus, and oral candidiasis. torus palatinus is a harmless, painless bony growth located on the roof of the mouth (the hard palate). a bump on the roof of the mouth can have a number of causes, including canker sores, mucoceles, fungal infections, or bony growths. a torus palatinus is a bony growth that develops on the roof of the mouth. a bump can form on the roof of the mouth due to many conditions, including canker sores, mucoceles, torus palatinus, and oral candidiasis. torus mandibularis refers to a bony growth on the floor of your mouth, under your tongue. These growths can vary in shape. if you’ve got a prominent, hard bump on the roof of your mouth, there’s a really good chance that it’s something we. The mass appears in the.
From www.directorioodontologico.info
ORAL PATHOLOGY What are mandibular tori? Directorio Odontológico What Causes Bone Growth On Roof Of Mouth a torus palatinus is a bony growth that develops on the roof of the mouth. These growths can vary in shape. if you’ve got a prominent, hard bump on the roof of your mouth, there’s a really good chance that it’s something we. The mass appears in the. a bump can form on the roof of the. What Causes Bone Growth On Roof Of Mouth.
From www.sciencephoto.com
Mouth growth Stock Image C001/6685 Science Photo Library What Causes Bone Growth On Roof Of Mouth The mass appears in the. a torus palatinus is a bony growth that develops on the roof of the mouth. a bump can form on the roof of the mouth due to many conditions, including canker sores, mucoceles, torus palatinus, and oral candidiasis. if you’ve got a prominent, hard bump on the roof of your mouth, there’s. What Causes Bone Growth On Roof Of Mouth.
From www.drarthuryeh.com
What Causes Bump On The Roof Of Mouth Symptoms Treatments What Causes Bone Growth On Roof Of Mouth a torus palatinus is a bony growth that develops on the roof of the mouth. torus mandibularis refers to a bony growth on the floor of your mouth, under your tongue. a bump can form on the roof of the mouth due to many conditions, including canker sores, mucoceles, torus palatinus, and oral candidiasis. These growths can. What Causes Bone Growth On Roof Of Mouth.
From www.medicalnewstoday.com
Bump on the roof of the mouth 12 causes What Causes Bone Growth On Roof Of Mouth torus palatinus is a harmless, painless bony growth located on the roof of the mouth (the hard palate). a torus palatinus is a bony growth that develops on the roof of the mouth. a bump can form on the roof of the mouth due to many conditions, including canker sores, mucoceles, torus palatinus, and oral candidiasis. . What Causes Bone Growth On Roof Of Mouth.
From www.jomos.org
Palatal torus etiology, clinical aspect, and therapeutic strategy What Causes Bone Growth On Roof Of Mouth These growths can vary in shape. if you’ve got a prominent, hard bump on the roof of your mouth, there’s a really good chance that it’s something we. The mass appears in the. a bump can form on the roof of the mouth due to many conditions, including canker sores, mucoceles, torus palatinus, and oral candidiasis. a. What Causes Bone Growth On Roof Of Mouth.
From mckeedental.com
What causes a bump on the roof of the mouth? McKee Dental Associates What Causes Bone Growth On Roof Of Mouth a bump can form on the roof of the mouth due to many conditions, including canker sores, mucoceles, torus palatinus, and oral candidiasis. if you’ve got a prominent, hard bump on the roof of your mouth, there’s a really good chance that it’s something we. a torus palatinus is a bony growth that develops on the roof. What Causes Bone Growth On Roof Of Mouth.
From quizlet.com
roof of mouth Diagram Quizlet What Causes Bone Growth On Roof Of Mouth torus palatinus is a harmless, painless bony growth located on the roof of the mouth (the hard palate). a torus palatinus is a bony growth that develops on the roof of the mouth. These growths can vary in shape. a bump can form on the roof of the mouth due to many conditions, including canker sores, mucoceles,. What Causes Bone Growth On Roof Of Mouth.
From www.sciencephoto.com
Mucocele under tongue Stock Image C056/4885 Science Photo Library What Causes Bone Growth On Roof Of Mouth torus mandibularis refers to a bony growth on the floor of your mouth, under your tongue. if you’ve got a prominent, hard bump on the roof of your mouth, there’s a really good chance that it’s something we. a bump can form on the roof of the mouth due to many conditions, including canker sores, mucoceles, torus. What Causes Bone Growth On Roof Of Mouth.
From www.pinterest.com
Torus An out growth of the bone. It usually develops on the roof of What Causes Bone Growth On Roof Of Mouth These growths can vary in shape. a bump on the roof of the mouth can have a number of causes, including canker sores, mucoceles, fungal infections, or bony growths. a torus palatinus is a bony growth that develops on the roof of the mouth. torus palatinus is a harmless, painless bony growth located on the roof of. What Causes Bone Growth On Roof Of Mouth.
From www.facialart.com
Treatment of Excessive Bony Growths (Exostosis / Tori) in the Jaw Bone What Causes Bone Growth On Roof Of Mouth a bump on the roof of the mouth can have a number of causes, including canker sores, mucoceles, fungal infections, or bony growths. torus palatinus is a harmless, painless bony growth located on the roof of the mouth (the hard palate). torus mandibularis refers to a bony growth on the floor of your mouth, under your tongue.. What Causes Bone Growth On Roof Of Mouth.
From www.hopkinoralsurgery.com
Oral Surgery Salt Lake City, UT Oral Surgeon Hopkin Oral Surgery What Causes Bone Growth On Roof Of Mouth torus mandibularis refers to a bony growth on the floor of your mouth, under your tongue. a bump can form on the roof of the mouth due to many conditions, including canker sores, mucoceles, torus palatinus, and oral candidiasis. torus palatinus is a harmless, painless bony growth located on the roof of the mouth (the hard palate).. What Causes Bone Growth On Roof Of Mouth.
From healdove.com
Possible Causes for Bumps on the Roof of Your Mouth HealDove What Causes Bone Growth On Roof Of Mouth a torus palatinus is a bony growth that develops on the roof of the mouth. torus mandibularis refers to a bony growth on the floor of your mouth, under your tongue. These growths can vary in shape. a bump on the roof of the mouth can have a number of causes, including canker sores, mucoceles, fungal infections,. What Causes Bone Growth On Roof Of Mouth.
From www.animalia-life.club
Upper Palate Infection What Causes Bone Growth On Roof Of Mouth torus mandibularis refers to a bony growth on the floor of your mouth, under your tongue. if you’ve got a prominent, hard bump on the roof of your mouth, there’s a really good chance that it’s something we. The mass appears in the. torus palatinus is a harmless, painless bony growth located on the roof of the. What Causes Bone Growth On Roof Of Mouth.
From www.pinterest.com
ODC_fact Tori or DentalTorus are benign bony growths of the mouth What Causes Bone Growth On Roof Of Mouth These growths can vary in shape. a torus palatinus is a bony growth that develops on the roof of the mouth. The mass appears in the. if you’ve got a prominent, hard bump on the roof of your mouth, there’s a really good chance that it’s something we. a bump on the roof of the mouth can. What Causes Bone Growth On Roof Of Mouth.
From www.orangectdentist.com
Dental Tori or Torus Torus Palatinus Torus Mandibularis What Causes Bone Growth On Roof Of Mouth torus mandibularis refers to a bony growth on the floor of your mouth, under your tongue. a bump on the roof of the mouth can have a number of causes, including canker sores, mucoceles, fungal infections, or bony growths. a bump can form on the roof of the mouth due to many conditions, including canker sores, mucoceles,. What Causes Bone Growth On Roof Of Mouth.
From www.youtube.com
Exostosis Bone Growth YouTube What Causes Bone Growth On Roof Of Mouth a bump on the roof of the mouth can have a number of causes, including canker sores, mucoceles, fungal infections, or bony growths. These growths can vary in shape. The mass appears in the. a bump can form on the roof of the mouth due to many conditions, including canker sores, mucoceles, torus palatinus, and oral candidiasis. . What Causes Bone Growth On Roof Of Mouth.
From www.orangectdentist.com
Dental Tori or Torus Torus Palatinus Torus Mandibularis What Causes Bone Growth On Roof Of Mouth The mass appears in the. a bump can form on the roof of the mouth due to many conditions, including canker sores, mucoceles, torus palatinus, and oral candidiasis. a bump on the roof of the mouth can have a number of causes, including canker sores, mucoceles, fungal infections, or bony growths. These growths can vary in shape. . What Causes Bone Growth On Roof Of Mouth.
From dailymedicalhealth.com
Bump on Roof of Mouth Causes And Treatment What Causes Bone Growth On Roof Of Mouth torus mandibularis refers to a bony growth on the floor of your mouth, under your tongue. The mass appears in the. a bump can form on the roof of the mouth due to many conditions, including canker sores, mucoceles, torus palatinus, and oral candidiasis. a bump on the roof of the mouth can have a number of. What Causes Bone Growth On Roof Of Mouth.
From tulsaprecisiondental.com
Why Do I Have a Hard Bony Lump on My Gum? Tulsa Precision Dental What Causes Bone Growth On Roof Of Mouth if you’ve got a prominent, hard bump on the roof of your mouth, there’s a really good chance that it’s something we. torus mandibularis refers to a bony growth on the floor of your mouth, under your tongue. a bump can form on the roof of the mouth due to many conditions, including canker sores, mucoceles, torus. What Causes Bone Growth On Roof Of Mouth.
From www.youtube.com
Roof of Mouth Growth (Torus Palatinus) This Rarely if Ever Requires What Causes Bone Growth On Roof Of Mouth a bump can form on the roof of the mouth due to many conditions, including canker sores, mucoceles, torus palatinus, and oral candidiasis. a torus palatinus is a bony growth that develops on the roof of the mouth. The mass appears in the. torus palatinus is a harmless, painless bony growth located on the roof of the. What Causes Bone Growth On Roof Of Mouth.
From dentagama.com
What are mandibular tori? News Dentagama What Causes Bone Growth On Roof Of Mouth torus palatinus is a harmless, painless bony growth located on the roof of the mouth (the hard palate). if you’ve got a prominent, hard bump on the roof of your mouth, there’s a really good chance that it’s something we. a bump can form on the roof of the mouth due to many conditions, including canker sores,. What Causes Bone Growth On Roof Of Mouth.
From slidetodoc.com
PALATE INTRODUCTION Palate roof of the oral cavity What Causes Bone Growth On Roof Of Mouth a torus palatinus is a bony growth that develops on the roof of the mouth. a bump can form on the roof of the mouth due to many conditions, including canker sores, mucoceles, torus palatinus, and oral candidiasis. torus mandibularis refers to a bony growth on the floor of your mouth, under your tongue. These growths can. What Causes Bone Growth On Roof Of Mouth.
From casereports.bmj.com
Floor of mouth schwannoma mimicking a salivary gland neoplasm a report What Causes Bone Growth On Roof Of Mouth a torus palatinus is a bony growth that develops on the roof of the mouth. The mass appears in the. torus palatinus is a harmless, painless bony growth located on the roof of the mouth (the hard palate). torus mandibularis refers to a bony growth on the floor of your mouth, under your tongue. if you’ve. What Causes Bone Growth On Roof Of Mouth.
From www.newhealthadvisor.org
What Causes Bumps on the Roof of Your Mouth? New Health Advisor What Causes Bone Growth On Roof Of Mouth The mass appears in the. torus palatinus is a harmless, painless bony growth located on the roof of the mouth (the hard palate). a bump can form on the roof of the mouth due to many conditions, including canker sores, mucoceles, torus palatinus, and oral candidiasis. if you’ve got a prominent, hard bump on the roof of. What Causes Bone Growth On Roof Of Mouth.
From my.clevelandclinic.org
Torus Palatinus Symptoms, Causes & Treatment What Causes Bone Growth On Roof Of Mouth a bump on the roof of the mouth can have a number of causes, including canker sores, mucoceles, fungal infections, or bony growths. These growths can vary in shape. if you’ve got a prominent, hard bump on the roof of your mouth, there’s a really good chance that it’s something we. torus palatinus is a harmless, painless. What Causes Bone Growth On Roof Of Mouth.
From www.pinterest.com
Allen Dentist, Dr. Mentesana answers the questions, "what are the lumps What Causes Bone Growth On Roof Of Mouth if you’ve got a prominent, hard bump on the roof of your mouth, there’s a really good chance that it’s something we. torus mandibularis refers to a bony growth on the floor of your mouth, under your tongue. a bump can form on the roof of the mouth due to many conditions, including canker sores, mucoceles, torus. What Causes Bone Growth On Roof Of Mouth.
From www.gifans.com
If You Have Hard Bumps On The Roof Of Your Mouth, This Is Exactly What What Causes Bone Growth On Roof Of Mouth The mass appears in the. if you’ve got a prominent, hard bump on the roof of your mouth, there’s a really good chance that it’s something we. torus mandibularis refers to a bony growth on the floor of your mouth, under your tongue. a torus palatinus is a bony growth that develops on the roof of the. What Causes Bone Growth On Roof Of Mouth.
From sandiegoinvisaligndentist.org
Bone Growth In Mouth Dental News Network What Causes Bone Growth On Roof Of Mouth if you’ve got a prominent, hard bump on the roof of your mouth, there’s a really good chance that it’s something we. a bump can form on the roof of the mouth due to many conditions, including canker sores, mucoceles, torus palatinus, and oral candidiasis. torus palatinus is a harmless, painless bony growth located on the roof. What Causes Bone Growth On Roof Of Mouth.
From www.medicalnewstoday.com
Gum boils What they are and how to treat them What Causes Bone Growth On Roof Of Mouth if you’ve got a prominent, hard bump on the roof of your mouth, there’s a really good chance that it’s something we. a bump can form on the roof of the mouth due to many conditions, including canker sores, mucoceles, torus palatinus, and oral candidiasis. torus mandibularis refers to a bony growth on the floor of your. What Causes Bone Growth On Roof Of Mouth.
From www.amjmed.com
Bony Bump of the Oral Cavity The American Journal of Medicine What Causes Bone Growth On Roof Of Mouth a bump can form on the roof of the mouth due to many conditions, including canker sores, mucoceles, torus palatinus, and oral candidiasis. torus palatinus is a harmless, painless bony growth located on the roof of the mouth (the hard palate). These growths can vary in shape. a bump on the roof of the mouth can have. What Causes Bone Growth On Roof Of Mouth.
From goldsteindental.org
Fun Fact Friday Tori Goldstein Dental What Causes Bone Growth On Roof Of Mouth if you’ve got a prominent, hard bump on the roof of your mouth, there’s a really good chance that it’s something we. a bump on the roof of the mouth can have a number of causes, including canker sores, mucoceles, fungal infections, or bony growths. a bump can form on the roof of the mouth due to. What Causes Bone Growth On Roof Of Mouth.
From giogjpmva.blob.core.windows.net
Dental Cyst In Jaw Bone at Alexandra Brown blog What Causes Bone Growth On Roof Of Mouth The mass appears in the. a bump can form on the roof of the mouth due to many conditions, including canker sores, mucoceles, torus palatinus, and oral candidiasis. a torus palatinus is a bony growth that develops on the roof of the mouth. if you’ve got a prominent, hard bump on the roof of your mouth, there’s. What Causes Bone Growth On Roof Of Mouth.
From www.facialart.com
Jaw Bone Torus or Exostosis (Bony Protrusions) Diagnosis and Treatment What Causes Bone Growth On Roof Of Mouth a bump can form on the roof of the mouth due to many conditions, including canker sores, mucoceles, torus palatinus, and oral candidiasis. torus palatinus is a harmless, painless bony growth located on the roof of the mouth (the hard palate). a torus palatinus is a bony growth that develops on the roof of the mouth. . What Causes Bone Growth On Roof Of Mouth.
From www.youtube.com
Major Causes of Bump on Roof of Mouth YouTube What Causes Bone Growth On Roof Of Mouth if you’ve got a prominent, hard bump on the roof of your mouth, there’s a really good chance that it’s something we. a bump on the roof of the mouth can have a number of causes, including canker sores, mucoceles, fungal infections, or bony growths. torus mandibularis refers to a bony growth on the floor of your. What Causes Bone Growth On Roof Of Mouth.
From www.pacificoralsurgeon.com
Jaw Bone Health in Ventura, CA Oral Health & Jaw Bone Disease What Causes Bone Growth On Roof Of Mouth torus palatinus is a harmless, painless bony growth located on the roof of the mouth (the hard palate). The mass appears in the. a bump can form on the roof of the mouth due to many conditions, including canker sores, mucoceles, torus palatinus, and oral candidiasis. These growths can vary in shape. torus mandibularis refers to a. What Causes Bone Growth On Roof Of Mouth.