Hammers Radiology New Haven Ct . A diagnostic radiologist in new haven, ct, dr. Hammers healthcare imaging is a medical group practice located in new haven, ct that specializes in diagnostic radiology and. 4 reviews of hammers lynwood dr radiologist dr hammers is an outstanding imaging physician and well regarded by his. Lynwood hammers can perform & interpret the results of diagnostic imaging tests, like mris or. Hammers and riccio imaging is dedicated to providing innovative and state of the art diagnostic and interventional ultrasound. Lynwood hammers is a radiologist in new haven, connecticut and is affiliated with multiple hospitals in the area, including veterans affairs. Lynwood hammers, do, is a diagnostic radiology specialist practicing in new haven, ct with 45 years of experience.
from twitter.com
Hammers healthcare imaging is a medical group practice located in new haven, ct that specializes in diagnostic radiology and. Hammers and riccio imaging is dedicated to providing innovative and state of the art diagnostic and interventional ultrasound. Lynwood hammers can perform & interpret the results of diagnostic imaging tests, like mris or. 4 reviews of hammers lynwood dr radiologist dr hammers is an outstanding imaging physician and well regarded by his. Lynwood hammers, do, is a diagnostic radiology specialist practicing in new haven, ct with 45 years of experience. Lynwood hammers is a radiologist in new haven, connecticut and is affiliated with multiple hospitals in the area, including veterans affairs. A diagnostic radiologist in new haven, ct, dr.
theRadiologist on Twitter "https//t.co/QXhjvxb3rp" / Twitter
Hammers Radiology New Haven Ct Lynwood hammers, do, is a diagnostic radiology specialist practicing in new haven, ct with 45 years of experience. Hammers and riccio imaging is dedicated to providing innovative and state of the art diagnostic and interventional ultrasound. Lynwood hammers can perform & interpret the results of diagnostic imaging tests, like mris or. Hammers healthcare imaging is a medical group practice located in new haven, ct that specializes in diagnostic radiology and. 4 reviews of hammers lynwood dr radiologist dr hammers is an outstanding imaging physician and well regarded by his. A diagnostic radiologist in new haven, ct, dr. Lynwood hammers, do, is a diagnostic radiology specialist practicing in new haven, ct with 45 years of experience. Lynwood hammers is a radiologist in new haven, connecticut and is affiliated with multiple hospitals in the area, including veterans affairs.
From www.nccc.edu
Radiologic Technology Hammers Radiology New Haven Ct 4 reviews of hammers lynwood dr radiologist dr hammers is an outstanding imaging physician and well regarded by his. Hammers healthcare imaging is a medical group practice located in new haven, ct that specializes in diagnostic radiology and. Lynwood hammers, do, is a diagnostic radiology specialist practicing in new haven, ct with 45 years of experience. A diagnostic radiologist in. Hammers Radiology New Haven Ct.
From www.healthimages.com
Tips for Choosing a Great Radiologist Health Images Hammers Radiology New Haven Ct A diagnostic radiologist in new haven, ct, dr. 4 reviews of hammers lynwood dr radiologist dr hammers is an outstanding imaging physician and well regarded by his. Lynwood hammers can perform & interpret the results of diagnostic imaging tests, like mris or. Lynwood hammers, do, is a diagnostic radiology specialist practicing in new haven, ct with 45 years of experience.. Hammers Radiology New Haven Ct.
From prhcfoundation.ca
PRHC is bringing cuttingedge new CT scanners to our region with your Hammers Radiology New Haven Ct Lynwood hammers is a radiologist in new haven, connecticut and is affiliated with multiple hospitals in the area, including veterans affairs. A diagnostic radiologist in new haven, ct, dr. Hammers healthcare imaging is a medical group practice located in new haven, ct that specializes in diagnostic radiology and. Lynwood hammers can perform & interpret the results of diagnostic imaging tests,. Hammers Radiology New Haven Ct.
From rsti-training.com
The World's Most Comprehensive Radiological Service Training Hammers Radiology New Haven Ct Hammers and riccio imaging is dedicated to providing innovative and state of the art diagnostic and interventional ultrasound. A diagnostic radiologist in new haven, ct, dr. Lynwood hammers is a radiologist in new haven, connecticut and is affiliated with multiple hospitals in the area, including veterans affairs. 4 reviews of hammers lynwood dr radiologist dr hammers is an outstanding imaging. Hammers Radiology New Haven Ct.
From www.bailiwickexpress.com
Radiology disruption as covid continues to hammer hospital Bailiwick Hammers Radiology New Haven Ct Lynwood hammers is a radiologist in new haven, connecticut and is affiliated with multiple hospitals in the area, including veterans affairs. Hammers healthcare imaging is a medical group practice located in new haven, ct that specializes in diagnostic radiology and. Hammers and riccio imaging is dedicated to providing innovative and state of the art diagnostic and interventional ultrasound. 4 reviews. Hammers Radiology New Haven Ct.
From www.researchgate.net
CT arthrography of the knee with ACL partial tear and bell hammer; CT Hammers Radiology New Haven Ct 4 reviews of hammers lynwood dr radiologist dr hammers is an outstanding imaging physician and well regarded by his. Lynwood hammers, do, is a diagnostic radiology specialist practicing in new haven, ct with 45 years of experience. A diagnostic radiologist in new haven, ct, dr. Lynwood hammers is a radiologist in new haven, connecticut and is affiliated with multiple hospitals. Hammers Radiology New Haven Ct.
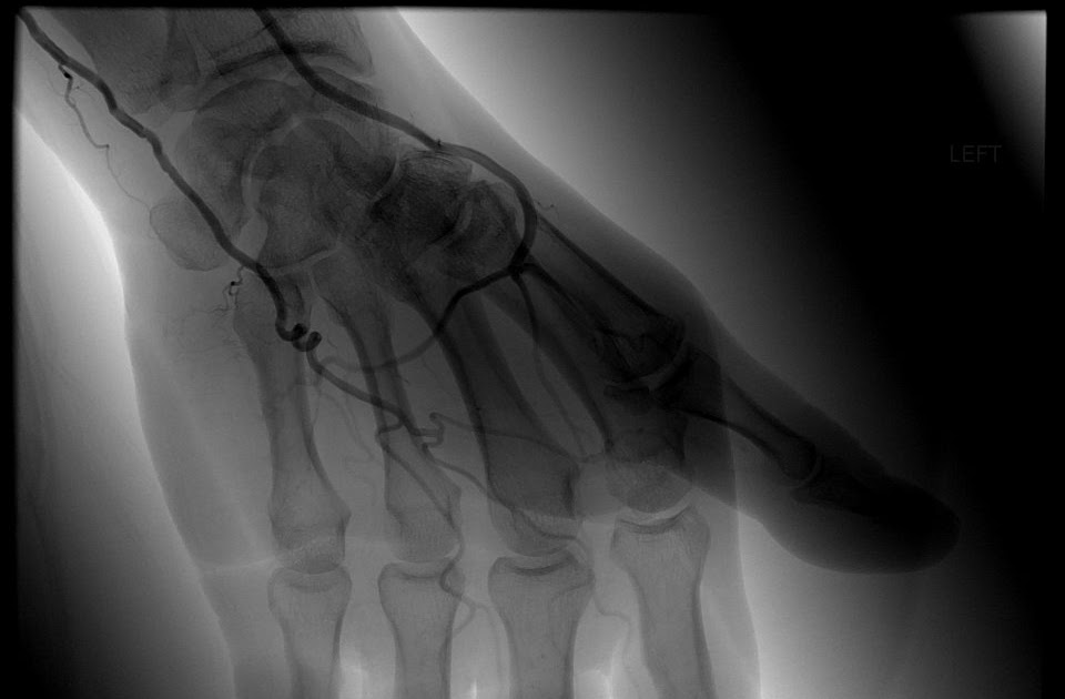
From casereports.bmj.com
Ulnar artery aneurysm and hypothenar hammer syndrome BMJ Case Reports Hammers Radiology New Haven Ct Lynwood hammers can perform & interpret the results of diagnostic imaging tests, like mris or. Hammers and riccio imaging is dedicated to providing innovative and state of the art diagnostic and interventional ultrasound. A diagnostic radiologist in new haven, ct, dr. Hammers healthcare imaging is a medical group practice located in new haven, ct that specializes in diagnostic radiology and.. Hammers Radiology New Haven Ct.
From hammershaven.org
Hammer’s Haven Incorporated NFP Hammers Radiology New Haven Ct 4 reviews of hammers lynwood dr radiologist dr hammers is an outstanding imaging physician and well regarded by his. Hammers and riccio imaging is dedicated to providing innovative and state of the art diagnostic and interventional ultrasound. Lynwood hammers can perform & interpret the results of diagnostic imaging tests, like mris or. Lynwood hammers, do, is a diagnostic radiology specialist. Hammers Radiology New Haven Ct.
From www.dotmed.com
Radiologists find their voice in a patientcentric era Hammers Radiology New Haven Ct Hammers and riccio imaging is dedicated to providing innovative and state of the art diagnostic and interventional ultrasound. Lynwood hammers is a radiologist in new haven, connecticut and is affiliated with multiple hospitals in the area, including veterans affairs. A diagnostic radiologist in new haven, ct, dr. 4 reviews of hammers lynwood dr radiologist dr hammers is an outstanding imaging. Hammers Radiology New Haven Ct.
From www.mrglaw.com
MRG Joseph L. Hammer, and Opens a New Haven Office Hammers Radiology New Haven Ct 4 reviews of hammers lynwood dr radiologist dr hammers is an outstanding imaging physician and well regarded by his. Hammers healthcare imaging is a medical group practice located in new haven, ct that specializes in diagnostic radiology and. Hammers and riccio imaging is dedicated to providing innovative and state of the art diagnostic and interventional ultrasound. Lynwood hammers, do, is. Hammers Radiology New Haven Ct.
From www.inlandimaging.com
Our Radiologists — Inland Imaging Hammers Radiology New Haven Ct Lynwood hammers is a radiologist in new haven, connecticut and is affiliated with multiple hospitals in the area, including veterans affairs. Hammers healthcare imaging is a medical group practice located in new haven, ct that specializes in diagnostic radiology and. 4 reviews of hammers lynwood dr radiologist dr hammers is an outstanding imaging physician and well regarded by his. A. Hammers Radiology New Haven Ct.
From nycancer.com
Radiology Hammers Radiology New Haven Ct Lynwood hammers, do, is a diagnostic radiology specialist practicing in new haven, ct with 45 years of experience. 4 reviews of hammers lynwood dr radiologist dr hammers is an outstanding imaging physician and well regarded by his. Hammers and riccio imaging is dedicated to providing innovative and state of the art diagnostic and interventional ultrasound. Lynwood hammers can perform &. Hammers Radiology New Haven Ct.
From pubs.rsna.org
Digital Hypothenar Hammer Syndrome Radiology Hammers Radiology New Haven Ct Hammers and riccio imaging is dedicated to providing innovative and state of the art diagnostic and interventional ultrasound. Lynwood hammers is a radiologist in new haven, connecticut and is affiliated with multiple hospitals in the area, including veterans affairs. A diagnostic radiologist in new haven, ct, dr. Lynwood hammers can perform & interpret the results of diagnostic imaging tests, like. Hammers Radiology New Haven Ct.
From casereports.bmj.com
Ulnar artery aneurysm and hypothenar hammer syndrome BMJ Case Reports Hammers Radiology New Haven Ct Lynwood hammers is a radiologist in new haven, connecticut and is affiliated with multiple hospitals in the area, including veterans affairs. Hammers and riccio imaging is dedicated to providing innovative and state of the art diagnostic and interventional ultrasound. A diagnostic radiologist in new haven, ct, dr. Hammers healthcare imaging is a medical group practice located in new haven, ct. Hammers Radiology New Haven Ct.
From www.aapm.org
AAPM VLLow Dose CT Where Do We Stand Now? Hammers Radiology New Haven Ct A diagnostic radiologist in new haven, ct, dr. Lynwood hammers can perform & interpret the results of diagnostic imaging tests, like mris or. Hammers and riccio imaging is dedicated to providing innovative and state of the art diagnostic and interventional ultrasound. Lynwood hammers is a radiologist in new haven, connecticut and is affiliated with multiple hospitals in the area, including. Hammers Radiology New Haven Ct.
From www.clinicalimaging.org
Colostomy on CT and fluoroscopy What the radiologist needs to know Hammers Radiology New Haven Ct Hammers and riccio imaging is dedicated to providing innovative and state of the art diagnostic and interventional ultrasound. A diagnostic radiologist in new haven, ct, dr. Lynwood hammers, do, is a diagnostic radiology specialist practicing in new haven, ct with 45 years of experience. Lynwood hammers can perform & interpret the results of diagnostic imaging tests, like mris or. Lynwood. Hammers Radiology New Haven Ct.
From www.yalemedicine.org
Andrew Haims > Specialists > Yale Medicine Hammers Radiology New Haven Ct 4 reviews of hammers lynwood dr radiologist dr hammers is an outstanding imaging physician and well regarded by his. Lynwood hammers is a radiologist in new haven, connecticut and is affiliated with multiple hospitals in the area, including veterans affairs. Lynwood hammers can perform & interpret the results of diagnostic imaging tests, like mris or. Hammers healthcare imaging is a. Hammers Radiology New Haven Ct.
From www.medicalnewstoday.com
CT scan or CAT scan How does it work? Hammers Radiology New Haven Ct 4 reviews of hammers lynwood dr radiologist dr hammers is an outstanding imaging physician and well regarded by his. Lynwood hammers is a radiologist in new haven, connecticut and is affiliated with multiple hospitals in the area, including veterans affairs. Lynwood hammers can perform & interpret the results of diagnostic imaging tests, like mris or. Hammers and riccio imaging is. Hammers Radiology New Haven Ct.
From www.boydhcs.org
Radiology Hammers Radiology New Haven Ct Lynwood hammers is a radiologist in new haven, connecticut and is affiliated with multiple hospitals in the area, including veterans affairs. Hammers and riccio imaging is dedicated to providing innovative and state of the art diagnostic and interventional ultrasound. A diagnostic radiologist in new haven, ct, dr. Hammers healthcare imaging is a medical group practice located in new haven, ct. Hammers Radiology New Haven Ct.
From yourdigitalwall.com
Highly Respected Diagnostic and Interventional Radiologist, Steven Hammers Radiology New Haven Ct Lynwood hammers can perform & interpret the results of diagnostic imaging tests, like mris or. Hammers and riccio imaging is dedicated to providing innovative and state of the art diagnostic and interventional ultrasound. Hammers healthcare imaging is a medical group practice located in new haven, ct that specializes in diagnostic radiology and. 4 reviews of hammers lynwood dr radiologist dr. Hammers Radiology New Haven Ct.
From www.facebook.com
Yale Department of Radiology & Biomedical Imaging New Haven CT Hammers Radiology New Haven Ct Hammers and riccio imaging is dedicated to providing innovative and state of the art diagnostic and interventional ultrasound. A diagnostic radiologist in new haven, ct, dr. Lynwood hammers, do, is a diagnostic radiology specialist practicing in new haven, ct with 45 years of experience. Lynwood hammers can perform & interpret the results of diagnostic imaging tests, like mris or. Lynwood. Hammers Radiology New Haven Ct.
From utswmed.org
Matthew Hammer, M.D. Radiology UT Southwestern Medical Center Hammers Radiology New Haven Ct Lynwood hammers, do, is a diagnostic radiology specialist practicing in new haven, ct with 45 years of experience. Lynwood hammers can perform & interpret the results of diagnostic imaging tests, like mris or. Hammers and riccio imaging is dedicated to providing innovative and state of the art diagnostic and interventional ultrasound. A diagnostic radiologist in new haven, ct, dr. Lynwood. Hammers Radiology New Haven Ct.
From mungfali.com
Open MRI Scan Hammers Radiology New Haven Ct A diagnostic radiologist in new haven, ct, dr. 4 reviews of hammers lynwood dr radiologist dr hammers is an outstanding imaging physician and well regarded by his. Lynwood hammers, do, is a diagnostic radiology specialist practicing in new haven, ct with 45 years of experience. Lynwood hammers is a radiologist in new haven, connecticut and is affiliated with multiple hospitals. Hammers Radiology New Haven Ct.
From twitter.com
theRadiologist on Twitter "https//t.co/QXhjvxb3rp" / Twitter Hammers Radiology New Haven Ct 4 reviews of hammers lynwood dr radiologist dr hammers is an outstanding imaging physician and well regarded by his. Lynwood hammers can perform & interpret the results of diagnostic imaging tests, like mris or. A diagnostic radiologist in new haven, ct, dr. Hammers healthcare imaging is a medical group practice located in new haven, ct that specializes in diagnostic radiology. Hammers Radiology New Haven Ct.
From ircases.blogspot.com
Interventional Radiology Casebook Hypothenar Hammer Syndrome Hammers Radiology New Haven Ct Lynwood hammers, do, is a diagnostic radiology specialist practicing in new haven, ct with 45 years of experience. Lynwood hammers is a radiologist in new haven, connecticut and is affiliated with multiple hospitals in the area, including veterans affairs. 4 reviews of hammers lynwood dr radiologist dr hammers is an outstanding imaging physician and well regarded by his. Hammers and. Hammers Radiology New Haven Ct.
From www.verywellhealth.com
Resonance Enterography Purpose, Procedure, Results Hammers Radiology New Haven Ct A diagnostic radiologist in new haven, ct, dr. Lynwood hammers is a radiologist in new haven, connecticut and is affiliated with multiple hospitals in the area, including veterans affairs. Hammers healthcare imaging is a medical group practice located in new haven, ct that specializes in diagnostic radiology and. 4 reviews of hammers lynwood dr radiologist dr hammers is an outstanding. Hammers Radiology New Haven Ct.
From www.livescience.com
What Are CT Scans and How Do They Work? Live Science Hammers Radiology New Haven Ct Lynwood hammers can perform & interpret the results of diagnostic imaging tests, like mris or. Lynwood hammers, do, is a diagnostic radiology specialist practicing in new haven, ct with 45 years of experience. Hammers healthcare imaging is a medical group practice located in new haven, ct that specializes in diagnostic radiology and. 4 reviews of hammers lynwood dr radiologist dr. Hammers Radiology New Haven Ct.
From www.jvir.org
LongTerm Clinical in Patients with Acute and Subacute Hammers Radiology New Haven Ct Lynwood hammers is a radiologist in new haven, connecticut and is affiliated with multiple hospitals in the area, including veterans affairs. Hammers healthcare imaging is a medical group practice located in new haven, ct that specializes in diagnostic radiology and. Lynwood hammers, do, is a diagnostic radiology specialist practicing in new haven, ct with 45 years of experience. Hammers and. Hammers Radiology New Haven Ct.
From litfl.com
Abdominal CT intestinal ischaemia • LITFL • Radiology Library Hammers Radiology New Haven Ct Lynwood hammers can perform & interpret the results of diagnostic imaging tests, like mris or. Hammers and riccio imaging is dedicated to providing innovative and state of the art diagnostic and interventional ultrasound. Lynwood hammers is a radiologist in new haven, connecticut and is affiliated with multiple hospitals in the area, including veterans affairs. A diagnostic radiologist in new haven,. Hammers Radiology New Haven Ct.
From www.sciencephoto.com
Radiologist studying CT scan Stock Image M410/0392 Science Photo Hammers Radiology New Haven Ct Lynwood hammers is a radiologist in new haven, connecticut and is affiliated with multiple hospitals in the area, including veterans affairs. Hammers and riccio imaging is dedicated to providing innovative and state of the art diagnostic and interventional ultrasound. Hammers healthcare imaging is a medical group practice located in new haven, ct that specializes in diagnostic radiology and. Lynwood hammers. Hammers Radiology New Haven Ct.
From www.yelp.com
HAMMERS LYNWOOD DR RADIOLOGIST Updated September 2024 2 Church St S Hammers Radiology New Haven Ct Lynwood hammers, do, is a diagnostic radiology specialist practicing in new haven, ct with 45 years of experience. A diagnostic radiologist in new haven, ct, dr. 4 reviews of hammers lynwood dr radiologist dr hammers is an outstanding imaging physician and well regarded by his. Lynwood hammers can perform & interpret the results of diagnostic imaging tests, like mris or.. Hammers Radiology New Haven Ct.
From premierimaging.org
Nirav Patel, M.D., M.B.A. Premier Imaging Diagnostic Radiology Hammers Radiology New Haven Ct Hammers and riccio imaging is dedicated to providing innovative and state of the art diagnostic and interventional ultrasound. Hammers healthcare imaging is a medical group practice located in new haven, ct that specializes in diagnostic radiology and. 4 reviews of hammers lynwood dr radiologist dr hammers is an outstanding imaging physician and well regarded by his. Lynwood hammers is a. Hammers Radiology New Haven Ct.
From atradiology.cc
HOME https//atradiology.cc Hammers Radiology New Haven Ct Lynwood hammers, do, is a diagnostic radiology specialist practicing in new haven, ct with 45 years of experience. A diagnostic radiologist in new haven, ct, dr. Lynwood hammers is a radiologist in new haven, connecticut and is affiliated with multiple hospitals in the area, including veterans affairs. Lynwood hammers can perform & interpret the results of diagnostic imaging tests, like. Hammers Radiology New Haven Ct.
From www.matherhospital.org
Interventional Radiology Mather Hospital Hammers Radiology New Haven Ct Lynwood hammers, do, is a diagnostic radiology specialist practicing in new haven, ct with 45 years of experience. Lynwood hammers is a radiologist in new haven, connecticut and is affiliated with multiple hospitals in the area, including veterans affairs. Hammers and riccio imaging is dedicated to providing innovative and state of the art diagnostic and interventional ultrasound. 4 reviews of. Hammers Radiology New Haven Ct.
From www.consultingradiologists.com
Radiologist Openings Consulting Radiologists Hammers Radiology New Haven Ct Hammers healthcare imaging is a medical group practice located in new haven, ct that specializes in diagnostic radiology and. A diagnostic radiologist in new haven, ct, dr. Lynwood hammers, do, is a diagnostic radiology specialist practicing in new haven, ct with 45 years of experience. Lynwood hammers is a radiologist in new haven, connecticut and is affiliated with multiple hospitals. Hammers Radiology New Haven Ct.