How Much Gel Ladder To Load . Load onto the agarose gel. The amount of dna or the number of dna fragments. Mix gently and load on gel ii. Most standard gel lanes are around 5mm wide so 6 µl is a good volume to load and easy to prepare. *for multiple loads, dilution, and storage, use te or other buffer of minimal ionic. Most 1 kb plus dna ladders are provided with loading dye which allows a convenient detection of sharp bands after electrophoresis. For a standard electrophoresis system, we recommend loading 0.5 µg (20 µl) of the fast dna ladder on the agarose gel. Find out the recommended well loading volumes and sample loads for mini and midi protein gels using standards wells or wedgewell combs. You need about 1 µl of the prepared dna ladder mix per millimeter of gel lane. Carefully load your samples into the additional wells of the gel.
from accuris-usa.com
Load onto the agarose gel. Most 1 kb plus dna ladders are provided with loading dye which allows a convenient detection of sharp bands after electrophoresis. Find out the recommended well loading volumes and sample loads for mini and midi protein gels using standards wells or wedgewell combs. You need about 1 µl of the prepared dna ladder mix per millimeter of gel lane. *for multiple loads, dilution, and storage, use te or other buffer of minimal ionic. For a standard electrophoresis system, we recommend loading 0.5 µg (20 µl) of the fast dna ladder on the agarose gel. The amount of dna or the number of dna fragments. Carefully load your samples into the additional wells of the gel. Most standard gel lanes are around 5mm wide so 6 µl is a good volume to load and easy to prepare. Mix gently and load on gel ii.
SmartCheck DNA Ladders Accuris Instruments
How Much Gel Ladder To Load Find out the recommended well loading volumes and sample loads for mini and midi protein gels using standards wells or wedgewell combs. Most 1 kb plus dna ladders are provided with loading dye which allows a convenient detection of sharp bands after electrophoresis. Carefully load your samples into the additional wells of the gel. The amount of dna or the number of dna fragments. Find out the recommended well loading volumes and sample loads for mini and midi protein gels using standards wells or wedgewell combs. You need about 1 µl of the prepared dna ladder mix per millimeter of gel lane. Mix gently and load on gel ii. Most standard gel lanes are around 5mm wide so 6 µl is a good volume to load and easy to prepare. For a standard electrophoresis system, we recommend loading 0.5 µg (20 µl) of the fast dna ladder on the agarose gel. Load onto the agarose gel. *for multiple loads, dilution, and storage, use te or other buffer of minimal ionic.
From www.thermofisher.com
EGel Ultra Low Range DNA Ladder Thermo Fisher Scientific How Much Gel Ladder To Load Carefully load your samples into the additional wells of the gel. You need about 1 µl of the prepared dna ladder mix per millimeter of gel lane. *for multiple loads, dilution, and storage, use te or other buffer of minimal ionic. Load onto the agarose gel. For a standard electrophoresis system, we recommend loading 0.5 µg (20 µl) of the. How Much Gel Ladder To Load.
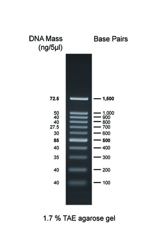
From www.highqu.com
Take5™ 50 bp DNA Ladder How Much Gel Ladder To Load Most standard gel lanes are around 5mm wide so 6 µl is a good volume to load and easy to prepare. For a standard electrophoresis system, we recommend loading 0.5 µg (20 µl) of the fast dna ladder on the agarose gel. *for multiple loads, dilution, and storage, use te or other buffer of minimal ionic. You need about 1. How Much Gel Ladder To Load.
From www.researchgate.net
Agarose gel electrophoresis of 1 kb DNA plus ladder (lane 1), 100 ng How Much Gel Ladder To Load Carefully load your samples into the additional wells of the gel. Find out the recommended well loading volumes and sample loads for mini and midi protein gels using standards wells or wedgewell combs. Mix gently and load on gel ii. You need about 1 µl of the prepared dna ladder mix per millimeter of gel lane. *for multiple loads, dilution,. How Much Gel Ladder To Load.
From www.homedepot.com
Werner 20 ft. Aluminum Extension Ladder with 225 lbs. Load Capacity How Much Gel Ladder To Load Mix gently and load on gel ii. You need about 1 µl of the prepared dna ladder mix per millimeter of gel lane. Most standard gel lanes are around 5mm wide so 6 µl is a good volume to load and easy to prepare. *for multiple loads, dilution, and storage, use te or other buffer of minimal ionic. The amount. How Much Gel Ladder To Load.
From www.smobio.com
How to choose appropriate QPAGE™ for my experiment? How Much Gel Ladder To Load For a standard electrophoresis system, we recommend loading 0.5 µg (20 µl) of the fast dna ladder on the agarose gel. *for multiple loads, dilution, and storage, use te or other buffer of minimal ionic. You need about 1 µl of the prepared dna ladder mix per millimeter of gel lane. Load onto the agarose gel. Carefully load your samples. How Much Gel Ladder To Load.
From accuris-usa.com
SmartCheck DNA Ladders Accuris Instruments How Much Gel Ladder To Load You need about 1 µl of the prepared dna ladder mix per millimeter of gel lane. Load onto the agarose gel. Find out the recommended well loading volumes and sample loads for mini and midi protein gels using standards wells or wedgewell combs. For a standard electrophoresis system, we recommend loading 0.5 µg (20 µl) of the fast dna ladder. How Much Gel Ladder To Load.
From www.cleaverscientific.com
DNA Ladders Cleaver Scientific How Much Gel Ladder To Load Mix gently and load on gel ii. You need about 1 µl of the prepared dna ladder mix per millimeter of gel lane. Most standard gel lanes are around 5mm wide so 6 µl is a good volume to load and easy to prepare. For a standard electrophoresis system, we recommend loading 0.5 µg (20 µl) of the fast dna. How Much Gel Ladder To Load.
From virarozen.github.io
How Much Ladder To Add To Gel 4 Tier Foldable Ladder Shelf virarozen How Much Gel Ladder To Load Most 1 kb plus dna ladders are provided with loading dye which allows a convenient detection of sharp bands after electrophoresis. Load onto the agarose gel. Mix gently and load on gel ii. Find out the recommended well loading volumes and sample loads for mini and midi protein gels using standards wells or wedgewell combs. For a standard electrophoresis system,. How Much Gel Ladder To Load.
From www.ptglab.com
New Products Protein Ladders Proteintech Group How Much Gel Ladder To Load Most standard gel lanes are around 5mm wide so 6 µl is a good volume to load and easy to prepare. *for multiple loads, dilution, and storage, use te or other buffer of minimal ionic. Load onto the agarose gel. For a standard electrophoresis system, we recommend loading 0.5 µg (20 µl) of the fast dna ladder on the agarose. How Much Gel Ladder To Load.
From labmal.com
QuickLoad 1 kb Extend DNA Ladder 125 gel lanes LabMal How Much Gel Ladder To Load Most standard gel lanes are around 5mm wide so 6 µl is a good volume to load and easy to prepare. Most 1 kb plus dna ladders are provided with loading dye which allows a convenient detection of sharp bands after electrophoresis. You need about 1 µl of the prepared dna ladder mix per millimeter of gel lane. Mix gently. How Much Gel Ladder To Load.
From www.fishersci.com
Fisher BioReagents exACTGene DNA LaddersGel Electrophoresis Equipment How Much Gel Ladder To Load Find out the recommended well loading volumes and sample loads for mini and midi protein gels using standards wells or wedgewell combs. The amount of dna or the number of dna fragments. *for multiple loads, dilution, and storage, use te or other buffer of minimal ionic. Load onto the agarose gel. Most 1 kb plus dna ladders are provided with. How Much Gel Ladder To Load.
From ladderuserinfo.com
How Much Ladder Load Capacity? How Much Gel Ladder To Load Mix gently and load on gel ii. Most standard gel lanes are around 5mm wide so 6 µl is a good volume to load and easy to prepare. The amount of dna or the number of dna fragments. Load onto the agarose gel. Find out the recommended well loading volumes and sample loads for mini and midi protein gels using. How Much Gel Ladder To Load.
From www.yourgenome.org
What is gel electrophoresis? Facts How Much Gel Ladder To Load Most standard gel lanes are around 5mm wide so 6 µl is a good volume to load and easy to prepare. Find out the recommended well loading volumes and sample loads for mini and midi protein gels using standards wells or wedgewell combs. Carefully load your samples into the additional wells of the gel. You need about 1 µl of. How Much Gel Ladder To Load.
From ivyxscientific.com
IVYX Scientific DNA Ladders for Gel Electrophoresis (100bp 1Kb) How Much Gel Ladder To Load The amount of dna or the number of dna fragments. Most standard gel lanes are around 5mm wide so 6 µl is a good volume to load and easy to prepare. *for multiple loads, dilution, and storage, use te or other buffer of minimal ionic. Find out the recommended well loading volumes and sample loads for mini and midi protein. How Much Gel Ladder To Load.
From www.the-odin.com
DNA Ladder 100bp The ODIN How Much Gel Ladder To Load Carefully load your samples into the additional wells of the gel. Find out the recommended well loading volumes and sample loads for mini and midi protein gels using standards wells or wedgewell combs. *for multiple loads, dilution, and storage, use te or other buffer of minimal ionic. Load onto the agarose gel. Most standard gel lanes are around 5mm wide. How Much Gel Ladder To Load.
From www.researchgate.net
Can anyone help me with gel electrophoresis of total RNA? How Much Gel Ladder To Load For a standard electrophoresis system, we recommend loading 0.5 µg (20 µl) of the fast dna ladder on the agarose gel. You need about 1 µl of the prepared dna ladder mix per millimeter of gel lane. *for multiple loads, dilution, and storage, use te or other buffer of minimal ionic. Carefully load your samples into the additional wells of. How Much Gel Ladder To Load.
From www.aatbio.com
PageTell™ Prestained 10 to 250 kDa Protein Ladder AAT Bioquest How Much Gel Ladder To Load Most standard gel lanes are around 5mm wide so 6 µl is a good volume to load and easy to prepare. The amount of dna or the number of dna fragments. Carefully load your samples into the additional wells of the gel. Most 1 kb plus dna ladders are provided with loading dye which allows a convenient detection of sharp. How Much Gel Ladder To Load.
From www.thermofisher.com
ZipRuler Express DNA Ladder Set, readytouse Thermo Fisher Scientific How Much Gel Ladder To Load Carefully load your samples into the additional wells of the gel. Most 1 kb plus dna ladders are provided with loading dye which allows a convenient detection of sharp bands after electrophoresis. Mix gently and load on gel ii. Most standard gel lanes are around 5mm wide so 6 µl is a good volume to load and easy to prepare.. How Much Gel Ladder To Load.
From gdsbio.en.made-in-china.com
6× Gel Loading Dye, ThreeColor DNA Electrophoresis Products Loading How Much Gel Ladder To Load You need about 1 µl of the prepared dna ladder mix per millimeter of gel lane. Load onto the agarose gel. Mix gently and load on gel ii. For a standard electrophoresis system, we recommend loading 0.5 µg (20 µl) of the fast dna ladder on the agarose gel. Most 1 kb plus dna ladders are provided with loading dye. How Much Gel Ladder To Load.
From www.aatbio.com
Gelite™ 1 kb DNA Ladder AAT Bioquest How Much Gel Ladder To Load *for multiple loads, dilution, and storage, use te or other buffer of minimal ionic. Most standard gel lanes are around 5mm wide so 6 µl is a good volume to load and easy to prepare. You need about 1 µl of the prepared dna ladder mix per millimeter of gel lane. The amount of dna or the number of dna. How Much Gel Ladder To Load.
From www.lifetechnologies.com
EGel 50 bp DNA Ladder Thermo Fisher Scientific How Much Gel Ladder To Load For a standard electrophoresis system, we recommend loading 0.5 µg (20 µl) of the fast dna ladder on the agarose gel. *for multiple loads, dilution, and storage, use te or other buffer of minimal ionic. Find out the recommended well loading volumes and sample loads for mini and midi protein gels using standards wells or wedgewell combs. Most standard gel. How Much Gel Ladder To Load.
From dandkmotorsports.com
Dna Agarose Gel Loading Dye Recipe Dandk Organizer How Much Gel Ladder To Load Mix gently and load on gel ii. You need about 1 µl of the prepared dna ladder mix per millimeter of gel lane. Most 1 kb plus dna ladders are provided with loading dye which allows a convenient detection of sharp bands after electrophoresis. Most standard gel lanes are around 5mm wide so 6 µl is a good volume to. How Much Gel Ladder To Load.
From bento.bio
Interpreting Electrophoresis Gels with Bento Lab Bento Lab How Much Gel Ladder To Load Load onto the agarose gel. Most 1 kb plus dna ladders are provided with loading dye which allows a convenient detection of sharp bands after electrophoresis. Find out the recommended well loading volumes and sample loads for mini and midi protein gels using standards wells or wedgewell combs. The amount of dna or the number of dna fragments. Most standard. How Much Gel Ladder To Load.
From indonesian.gdsbio.com
1kb Ladder 1000bp DNA Marker Ladder Gel Elektroforesis How Much Gel Ladder To Load Most 1 kb plus dna ladders are provided with loading dye which allows a convenient detection of sharp bands after electrophoresis. You need about 1 µl of the prepared dna ladder mix per millimeter of gel lane. Carefully load your samples into the additional wells of the gel. Find out the recommended well loading volumes and sample loads for mini. How Much Gel Ladder To Load.
From www.hylabs.co.il
100bp DNA Ladder HyLabs How Much Gel Ladder To Load *for multiple loads, dilution, and storage, use te or other buffer of minimal ionic. Most standard gel lanes are around 5mm wide so 6 µl is a good volume to load and easy to prepare. Mix gently and load on gel ii. Most 1 kb plus dna ladders are provided with loading dye which allows a convenient detection of sharp. How Much Gel Ladder To Load.
From www.thermofisher.com
8 Tips on DNA Ladders to Help Improve Your Research Thermo Fisher How Much Gel Ladder To Load Most 1 kb plus dna ladders are provided with loading dye which allows a convenient detection of sharp bands after electrophoresis. The amount of dna or the number of dna fragments. Carefully load your samples into the additional wells of the gel. Load onto the agarose gel. Most standard gel lanes are around 5mm wide so 6 µl is a. How Much Gel Ladder To Load.
From ladderuserinfo.com
How Much Ladder Load Capacity? How Much Gel Ladder To Load Most 1 kb plus dna ladders are provided with loading dye which allows a convenient detection of sharp bands after electrophoresis. For a standard electrophoresis system, we recommend loading 0.5 µg (20 µl) of the fast dna ladder on the agarose gel. Find out the recommended well loading volumes and sample loads for mini and midi protein gels using standards. How Much Gel Ladder To Load.
From www.anawa.ch
BM20101 1Kb DNA Ladder Anawa How Much Gel Ladder To Load Mix gently and load on gel ii. For a standard electrophoresis system, we recommend loading 0.5 µg (20 µl) of the fast dna ladder on the agarose gel. You need about 1 µl of the prepared dna ladder mix per millimeter of gel lane. *for multiple loads, dilution, and storage, use te or other buffer of minimal ionic. Load onto. How Much Gel Ladder To Load.
From www.youtube.com
Gel ladders tips and tricks for using molecular weight markers YouTube How Much Gel Ladder To Load The amount of dna or the number of dna fragments. Mix gently and load on gel ii. You need about 1 µl of the prepared dna ladder mix per millimeter of gel lane. Most standard gel lanes are around 5mm wide so 6 µl is a good volume to load and easy to prepare. Carefully load your samples into the. How Much Gel Ladder To Load.
From www.cgbioshop.co.kr
[PM0190500] BlueAQUA Prestained Protein Ladder > Bio Helix 셀젠바이오샵 How Much Gel Ladder To Load Find out the recommended well loading volumes and sample loads for mini and midi protein gels using standards wells or wedgewell combs. *for multiple loads, dilution, and storage, use te or other buffer of minimal ionic. Most standard gel lanes are around 5mm wide so 6 µl is a good volume to load and easy to prepare. The amount of. How Much Gel Ladder To Load.
From www.kryptogenetics.com.lk
100 bp DNA Ladder Ready to Load KRYPTO (PVT) LTD. How Much Gel Ladder To Load Mix gently and load on gel ii. Load onto the agarose gel. For a standard electrophoresis system, we recommend loading 0.5 µg (20 µl) of the fast dna ladder on the agarose gel. Most 1 kb plus dna ladders are provided with loading dye which allows a convenient detection of sharp bands after electrophoresis. Find out the recommended well loading. How Much Gel Ladder To Load.
From www.ushelf.com
Blu10 Prestained Protein Ladder / BlueRAY Prestained Protein Ladder(10 How Much Gel Ladder To Load You need about 1 µl of the prepared dna ladder mix per millimeter of gel lane. Carefully load your samples into the additional wells of the gel. *for multiple loads, dilution, and storage, use te or other buffer of minimal ionic. Find out the recommended well loading volumes and sample loads for mini and midi protein gels using standards wells. How Much Gel Ladder To Load.
From www.fishersci.com
Fisher BioReagents exACTGene DNA Ladders 1kb DNA Ladder; 300 to 10000bp How Much Gel Ladder To Load Most 1 kb plus dna ladders are provided with loading dye which allows a convenient detection of sharp bands after electrophoresis. The amount of dna or the number of dna fragments. Mix gently and load on gel ii. Carefully load your samples into the additional wells of the gel. Find out the recommended well loading volumes and sample loads for. How Much Gel Ladder To Load.
From www.bio-helix.com
BioHelix How Much Gel Ladder To Load Most 1 kb plus dna ladders are provided with loading dye which allows a convenient detection of sharp bands after electrophoresis. Mix gently and load on gel ii. For a standard electrophoresis system, we recommend loading 0.5 µg (20 µl) of the fast dna ladder on the agarose gel. The amount of dna or the number of dna fragments. *for. How Much Gel Ladder To Load.
From www.cgenomix.com
BLUltra Prestained Protein Ladder(6.5 to 270 kDa) AlGenome International How Much Gel Ladder To Load Load onto the agarose gel. Mix gently and load on gel ii. The amount of dna or the number of dna fragments. Most standard gel lanes are around 5mm wide so 6 µl is a good volume to load and easy to prepare. *for multiple loads, dilution, and storage, use te or other buffer of minimal ionic. Carefully load your. How Much Gel Ladder To Load.