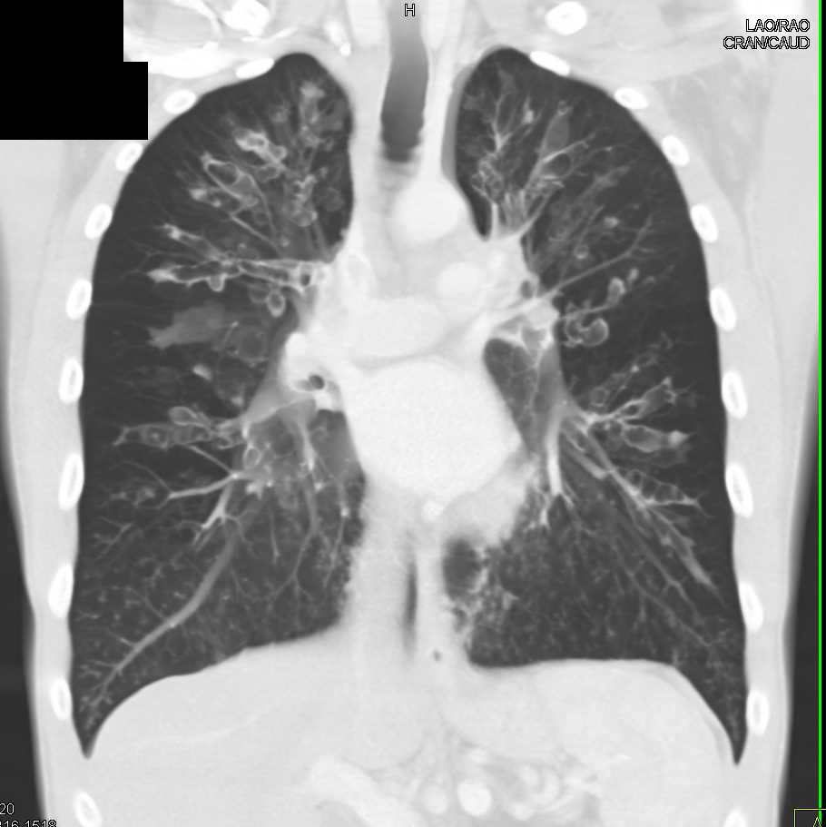
Cystic Bronchiectasis Chest X Ray . Patients with cystic fibrosis typically develop bronchiectasis. Chest ct scan if indicated (e.g., hemoptysis, or concern for pulmonary embolism). Cylindrical bronchiectasis is the most common and least serious form of bronchiectasis. It may be present on its own or may occur in combination. Chest radiography is usually the initial study performed in suspected bronchiectasis. Cystic bronchiectasis where an airway is dilated into a rounded sphere is typically seen associated with cystic fibrosis (cf) and following tuberculous infection. Cystic bronchiectasis is one of the less common morphological forms of bronchiectasis.
from bronchiectasis.com.au
Chest ct scan if indicated (e.g., hemoptysis, or concern for pulmonary embolism). Cystic bronchiectasis is one of the less common morphological forms of bronchiectasis. Chest radiography is usually the initial study performed in suspected bronchiectasis. Cylindrical bronchiectasis is the most common and least serious form of bronchiectasis. It may be present on its own or may occur in combination. Cystic bronchiectasis where an airway is dilated into a rounded sphere is typically seen associated with cystic fibrosis (cf) and following tuberculous infection. Patients with cystic fibrosis typically develop bronchiectasis.
Radiology Bronchiectasis
Cystic Bronchiectasis Chest X Ray Patients with cystic fibrosis typically develop bronchiectasis. It may be present on its own or may occur in combination. Chest radiography is usually the initial study performed in suspected bronchiectasis. Chest ct scan if indicated (e.g., hemoptysis, or concern for pulmonary embolism). Cystic bronchiectasis where an airway is dilated into a rounded sphere is typically seen associated with cystic fibrosis (cf) and following tuberculous infection. Cylindrical bronchiectasis is the most common and least serious form of bronchiectasis. Patients with cystic fibrosis typically develop bronchiectasis. Cystic bronchiectasis is one of the less common morphological forms of bronchiectasis.
From www.researchgate.net
Chest xray of the patient showing bilateral bronchiectasis with cyst Cystic Bronchiectasis Chest X Ray Patients with cystic fibrosis typically develop bronchiectasis. Cystic bronchiectasis is one of the less common morphological forms of bronchiectasis. Chest radiography is usually the initial study performed in suspected bronchiectasis. Cylindrical bronchiectasis is the most common and least serious form of bronchiectasis. Chest ct scan if indicated (e.g., hemoptysis, or concern for pulmonary embolism). It may be present on its. Cystic Bronchiectasis Chest X Ray.
From www.ctisus.com
Bronchiectasis with Cystic Fibrosis Chest Case Studies CTisus CT Cystic Bronchiectasis Chest X Ray It may be present on its own or may occur in combination. Patients with cystic fibrosis typically develop bronchiectasis. Cystic bronchiectasis where an airway is dilated into a rounded sphere is typically seen associated with cystic fibrosis (cf) and following tuberculous infection. Cylindrical bronchiectasis is the most common and least serious form of bronchiectasis. Chest radiography is usually the initial. Cystic Bronchiectasis Chest X Ray.
From mavink.com
Bronchiectasis Chest X Ray Cystic Bronchiectasis Chest X Ray Cystic bronchiectasis where an airway is dilated into a rounded sphere is typically seen associated with cystic fibrosis (cf) and following tuberculous infection. Patients with cystic fibrosis typically develop bronchiectasis. It may be present on its own or may occur in combination. Cystic bronchiectasis is one of the less common morphological forms of bronchiectasis. Cylindrical bronchiectasis is the most common. Cystic Bronchiectasis Chest X Ray.
From stock.adobe.com
Bronchiectasis . Xray chest show multiple lung bleb and cyst due to Cystic Bronchiectasis Chest X Ray It may be present on its own or may occur in combination. Chest radiography is usually the initial study performed in suspected bronchiectasis. Cystic bronchiectasis is one of the less common morphological forms of bronchiectasis. Cylindrical bronchiectasis is the most common and least serious form of bronchiectasis. Patients with cystic fibrosis typically develop bronchiectasis. Cystic bronchiectasis where an airway is. Cystic Bronchiectasis Chest X Ray.
From www.ctisus.com
Cystic Bronchiectasis on Chest Xray X Rays Case Studies CTisus CT Cystic Bronchiectasis Chest X Ray Cylindrical bronchiectasis is the most common and least serious form of bronchiectasis. It may be present on its own or may occur in combination. Chest ct scan if indicated (e.g., hemoptysis, or concern for pulmonary embolism). Chest radiography is usually the initial study performed in suspected bronchiectasis. Cystic bronchiectasis is one of the less common morphological forms of bronchiectasis. Patients. Cystic Bronchiectasis Chest X Ray.
From www.dreamstime.com
Bronchiectasis . Xray Chest Show Multiple Lung Bleb and Cyst Due To Cystic Bronchiectasis Chest X Ray Chest radiography is usually the initial study performed in suspected bronchiectasis. Cystic bronchiectasis where an airway is dilated into a rounded sphere is typically seen associated with cystic fibrosis (cf) and following tuberculous infection. Patients with cystic fibrosis typically develop bronchiectasis. It may be present on its own or may occur in combination. Cylindrical bronchiectasis is the most common and. Cystic Bronchiectasis Chest X Ray.
From bronchiectasis.com.au
Radiology Bronchiectasis Cystic Bronchiectasis Chest X Ray Chest radiography is usually the initial study performed in suspected bronchiectasis. Cystic bronchiectasis where an airway is dilated into a rounded sphere is typically seen associated with cystic fibrosis (cf) and following tuberculous infection. It may be present on its own or may occur in combination. Cylindrical bronchiectasis is the most common and least serious form of bronchiectasis. Cystic bronchiectasis. Cystic Bronchiectasis Chest X Ray.
From www.shutterstock.com
Cystic Bronchiectasis Chest Xray Radiology Image Stock Photo 2026567532 Cystic Bronchiectasis Chest X Ray Cylindrical bronchiectasis is the most common and least serious form of bronchiectasis. Cystic bronchiectasis is one of the less common morphological forms of bronchiectasis. Chest ct scan if indicated (e.g., hemoptysis, or concern for pulmonary embolism). It may be present on its own or may occur in combination. Chest radiography is usually the initial study performed in suspected bronchiectasis. Patients. Cystic Bronchiectasis Chest X Ray.
From www.imagingpathways.health.wa.gov.au
Bronchiectasis Cystic Bronchiectasis Chest X Ray Cystic bronchiectasis is one of the less common morphological forms of bronchiectasis. Chest radiography is usually the initial study performed in suspected bronchiectasis. Chest ct scan if indicated (e.g., hemoptysis, or concern for pulmonary embolism). Patients with cystic fibrosis typically develop bronchiectasis. Cylindrical bronchiectasis is the most common and least serious form of bronchiectasis. Cystic bronchiectasis where an airway is. Cystic Bronchiectasis Chest X Ray.
From www.wikidoc.org
Bronchiectasis CT wikidoc Cystic Bronchiectasis Chest X Ray Patients with cystic fibrosis typically develop bronchiectasis. Cylindrical bronchiectasis is the most common and least serious form of bronchiectasis. Chest ct scan if indicated (e.g., hemoptysis, or concern for pulmonary embolism). Cystic bronchiectasis where an airway is dilated into a rounded sphere is typically seen associated with cystic fibrosis (cf) and following tuberculous infection. It may be present on its. Cystic Bronchiectasis Chest X Ray.
From learningradiology.com
LearningRadiology Bronchiectasis, cystic, bronchiectatic, saccular Cystic Bronchiectasis Chest X Ray Patients with cystic fibrosis typically develop bronchiectasis. Chest ct scan if indicated (e.g., hemoptysis, or concern for pulmonary embolism). Chest radiography is usually the initial study performed in suspected bronchiectasis. Cystic bronchiectasis is one of the less common morphological forms of bronchiectasis. It may be present on its own or may occur in combination. Cylindrical bronchiectasis is the most common. Cystic Bronchiectasis Chest X Ray.
From bronchiectasis.com.au
Radiology Bronchiectasis Cystic Bronchiectasis Chest X Ray Chest ct scan if indicated (e.g., hemoptysis, or concern for pulmonary embolism). Patients with cystic fibrosis typically develop bronchiectasis. It may be present on its own or may occur in combination. Cylindrical bronchiectasis is the most common and least serious form of bronchiectasis. Cystic bronchiectasis is one of the less common morphological forms of bronchiectasis. Chest radiography is usually the. Cystic Bronchiectasis Chest X Ray.
From ar.inspiredpencil.com
Bronchiectasis X Ray Cystic Bronchiectasis Chest X Ray Chest radiography is usually the initial study performed in suspected bronchiectasis. Cystic bronchiectasis is one of the less common morphological forms of bronchiectasis. Chest ct scan if indicated (e.g., hemoptysis, or concern for pulmonary embolism). Cystic bronchiectasis where an airway is dilated into a rounded sphere is typically seen associated with cystic fibrosis (cf) and following tuberculous infection. Cylindrical bronchiectasis. Cystic Bronchiectasis Chest X Ray.
From www.sciencephoto.com
Bronchiectasis, Xray Stock Image F034/1362 Science Photo Library Cystic Bronchiectasis Chest X Ray Chest radiography is usually the initial study performed in suspected bronchiectasis. Cystic bronchiectasis where an airway is dilated into a rounded sphere is typically seen associated with cystic fibrosis (cf) and following tuberculous infection. It may be present on its own or may occur in combination. Cystic bronchiectasis is one of the less common morphological forms of bronchiectasis. Chest ct. Cystic Bronchiectasis Chest X Ray.
From www.ctisus.com
Cystic Bronchiectasis on Chest Xray X Rays Case Studies CTisus CT Cystic Bronchiectasis Chest X Ray Chest ct scan if indicated (e.g., hemoptysis, or concern for pulmonary embolism). Cystic bronchiectasis is one of the less common morphological forms of bronchiectasis. Chest radiography is usually the initial study performed in suspected bronchiectasis. Cystic bronchiectasis where an airway is dilated into a rounded sphere is typically seen associated with cystic fibrosis (cf) and following tuberculous infection. Cylindrical bronchiectasis. Cystic Bronchiectasis Chest X Ray.
From www.ctisus.com
Cystic Bronchiectasis in Cystic Fibrosis Chest Case Studies CTisus Cystic Bronchiectasis Chest X Ray Cystic bronchiectasis is one of the less common morphological forms of bronchiectasis. It may be present on its own or may occur in combination. Patients with cystic fibrosis typically develop bronchiectasis. Chest radiography is usually the initial study performed in suspected bronchiectasis. Chest ct scan if indicated (e.g., hemoptysis, or concern for pulmonary embolism). Cylindrical bronchiectasis is the most common. Cystic Bronchiectasis Chest X Ray.
From www.ctisus.com
Bronchiectasis with Cystic Fibrosis Chest Case Studies CTisus CT Cystic Bronchiectasis Chest X Ray Chest radiography is usually the initial study performed in suspected bronchiectasis. Patients with cystic fibrosis typically develop bronchiectasis. Chest ct scan if indicated (e.g., hemoptysis, or concern for pulmonary embolism). Cystic bronchiectasis is one of the less common morphological forms of bronchiectasis. Cystic bronchiectasis where an airway is dilated into a rounded sphere is typically seen associated with cystic fibrosis. Cystic Bronchiectasis Chest X Ray.
From www.eurorad.org
Late diagnosis of cystic fibrosis A casebased radiological approach Cystic Bronchiectasis Chest X Ray Chest radiography is usually the initial study performed in suspected bronchiectasis. Chest ct scan if indicated (e.g., hemoptysis, or concern for pulmonary embolism). Patients with cystic fibrosis typically develop bronchiectasis. Cystic bronchiectasis is one of the less common morphological forms of bronchiectasis. Cylindrical bronchiectasis is the most common and least serious form of bronchiectasis. It may be present on its. Cystic Bronchiectasis Chest X Ray.
From www.ajronline.org
Imaging of Cystic Fibrosis and Pediatric Bronchiectasis AJR Cystic Bronchiectasis Chest X Ray Cystic bronchiectasis where an airway is dilated into a rounded sphere is typically seen associated with cystic fibrosis (cf) and following tuberculous infection. Cystic bronchiectasis is one of the less common morphological forms of bronchiectasis. Chest ct scan if indicated (e.g., hemoptysis, or concern for pulmonary embolism). Patients with cystic fibrosis typically develop bronchiectasis. Cylindrical bronchiectasis is the most common. Cystic Bronchiectasis Chest X Ray.
From www.alamy.com
"Bronchiectasis" Xray chest show multiple lung bleb and cyst due to Cystic Bronchiectasis Chest X Ray Cystic bronchiectasis where an airway is dilated into a rounded sphere is typically seen associated with cystic fibrosis (cf) and following tuberculous infection. Chest ct scan if indicated (e.g., hemoptysis, or concern for pulmonary embolism). Patients with cystic fibrosis typically develop bronchiectasis. Cylindrical bronchiectasis is the most common and least serious form of bronchiectasis. Chest radiography is usually the initial. Cystic Bronchiectasis Chest X Ray.
From www.youtube.com
BRONCHIECTASIS XRAYCHEST XRAY OF BILATERAL BRONCHIECTASISMULTIPLE Cystic Bronchiectasis Chest X Ray Cystic bronchiectasis is one of the less common morphological forms of bronchiectasis. Cylindrical bronchiectasis is the most common and least serious form of bronchiectasis. Chest radiography is usually the initial study performed in suspected bronchiectasis. Chest ct scan if indicated (e.g., hemoptysis, or concern for pulmonary embolism). Cystic bronchiectasis where an airway is dilated into a rounded sphere is typically. Cystic Bronchiectasis Chest X Ray.
From rad-log.blogspot.com
Bronchiectasis X RAY features Cystic Bronchiectasis Chest X Ray Patients with cystic fibrosis typically develop bronchiectasis. Chest ct scan if indicated (e.g., hemoptysis, or concern for pulmonary embolism). Cylindrical bronchiectasis is the most common and least serious form of bronchiectasis. Chest radiography is usually the initial study performed in suspected bronchiectasis. Cystic bronchiectasis where an airway is dilated into a rounded sphere is typically seen associated with cystic fibrosis. Cystic Bronchiectasis Chest X Ray.
From www.sciencephoto.com
Bronchiectasis, Xray Stock Image C037/1495 Science Photo Library Cystic Bronchiectasis Chest X Ray Chest ct scan if indicated (e.g., hemoptysis, or concern for pulmonary embolism). It may be present on its own or may occur in combination. Chest radiography is usually the initial study performed in suspected bronchiectasis. Cylindrical bronchiectasis is the most common and least serious form of bronchiectasis. Patients with cystic fibrosis typically develop bronchiectasis. Cystic bronchiectasis where an airway is. Cystic Bronchiectasis Chest X Ray.
From bronchiectasis.com.au
Radiology Bronchiectasis Cystic Bronchiectasis Chest X Ray Cystic bronchiectasis is one of the less common morphological forms of bronchiectasis. Chest ct scan if indicated (e.g., hemoptysis, or concern for pulmonary embolism). Cylindrical bronchiectasis is the most common and least serious form of bronchiectasis. Chest radiography is usually the initial study performed in suspected bronchiectasis. Patients with cystic fibrosis typically develop bronchiectasis. It may be present on its. Cystic Bronchiectasis Chest X Ray.
From www.svuhradiology.ie
Bronchiectasis CXR and CT Radiology at St. Vincent's University Cystic Bronchiectasis Chest X Ray Cystic bronchiectasis where an airway is dilated into a rounded sphere is typically seen associated with cystic fibrosis (cf) and following tuberculous infection. Cylindrical bronchiectasis is the most common and least serious form of bronchiectasis. Patients with cystic fibrosis typically develop bronchiectasis. Chest radiography is usually the initial study performed in suspected bronchiectasis. Cystic bronchiectasis is one of the less. Cystic Bronchiectasis Chest X Ray.
From slidetodoc.com
Chest XRays Every Resident Should Know Part 1 Cystic Bronchiectasis Chest X Ray Cylindrical bronchiectasis is the most common and least serious form of bronchiectasis. Chest ct scan if indicated (e.g., hemoptysis, or concern for pulmonary embolism). Cystic bronchiectasis is one of the less common morphological forms of bronchiectasis. Chest radiography is usually the initial study performed in suspected bronchiectasis. Patients with cystic fibrosis typically develop bronchiectasis. Cystic bronchiectasis where an airway is. Cystic Bronchiectasis Chest X Ray.
From www.researchgate.net
Chest CT scan areas of unilateral emphysema and cystic bronchiectasis Cystic Bronchiectasis Chest X Ray Cystic bronchiectasis where an airway is dilated into a rounded sphere is typically seen associated with cystic fibrosis (cf) and following tuberculous infection. It may be present on its own or may occur in combination. Chest ct scan if indicated (e.g., hemoptysis, or concern for pulmonary embolism). Patients with cystic fibrosis typically develop bronchiectasis. Cystic bronchiectasis is one of the. Cystic Bronchiectasis Chest X Ray.
From radiopaedia.org
Cystic bronchiectasis Image Cystic Bronchiectasis Chest X Ray Cylindrical bronchiectasis is the most common and least serious form of bronchiectasis. Patients with cystic fibrosis typically develop bronchiectasis. Cystic bronchiectasis where an airway is dilated into a rounded sphere is typically seen associated with cystic fibrosis (cf) and following tuberculous infection. Chest ct scan if indicated (e.g., hemoptysis, or concern for pulmonary embolism). It may be present on its. Cystic Bronchiectasis Chest X Ray.
From www.dreamstime.com
Chest Xray Film of a Patient with Bronchiectasis Stock Photo Image of Cystic Bronchiectasis Chest X Ray Cystic bronchiectasis where an airway is dilated into a rounded sphere is typically seen associated with cystic fibrosis (cf) and following tuberculous infection. Cystic bronchiectasis is one of the less common morphological forms of bronchiectasis. Patients with cystic fibrosis typically develop bronchiectasis. Cylindrical bronchiectasis is the most common and least serious form of bronchiectasis. Chest radiography is usually the initial. Cystic Bronchiectasis Chest X Ray.
From bronchiectasis.com.au
Radiology Bronchiectasis Cystic Bronchiectasis Chest X Ray Chest radiography is usually the initial study performed in suspected bronchiectasis. Cylindrical bronchiectasis is the most common and least serious form of bronchiectasis. Chest ct scan if indicated (e.g., hemoptysis, or concern for pulmonary embolism). It may be present on its own or may occur in combination. Cystic bronchiectasis where an airway is dilated into a rounded sphere is typically. Cystic Bronchiectasis Chest X Ray.
From www.ajronline.org
Imaging of Cystic Fibrosis and Pediatric Bronchiectasis AJR Cystic Bronchiectasis Chest X Ray Cylindrical bronchiectasis is the most common and least serious form of bronchiectasis. Cystic bronchiectasis where an airway is dilated into a rounded sphere is typically seen associated with cystic fibrosis (cf) and following tuberculous infection. Chest ct scan if indicated (e.g., hemoptysis, or concern for pulmonary embolism). Chest radiography is usually the initial study performed in suspected bronchiectasis. Patients with. Cystic Bronchiectasis Chest X Ray.
From radiopaedia.org
Image Cystic Bronchiectasis Chest X Ray Chest ct scan if indicated (e.g., hemoptysis, or concern for pulmonary embolism). Chest radiography is usually the initial study performed in suspected bronchiectasis. Cylindrical bronchiectasis is the most common and least serious form of bronchiectasis. Cystic bronchiectasis is one of the less common morphological forms of bronchiectasis. Cystic bronchiectasis where an airway is dilated into a rounded sphere is typically. Cystic Bronchiectasis Chest X Ray.
From www.ajronline.org
Imaging of Cystic Fibrosis and Pediatric Bronchiectasis AJR Cystic Bronchiectasis Chest X Ray Cylindrical bronchiectasis is the most common and least serious form of bronchiectasis. Chest ct scan if indicated (e.g., hemoptysis, or concern for pulmonary embolism). Patients with cystic fibrosis typically develop bronchiectasis. Cystic bronchiectasis where an airway is dilated into a rounded sphere is typically seen associated with cystic fibrosis (cf) and following tuberculous infection. Cystic bronchiectasis is one of the. Cystic Bronchiectasis Chest X Ray.
From www.researchgate.net
Chest Xray and CT scan showing bronchiectasis with airfluid levels Cystic Bronchiectasis Chest X Ray Chest ct scan if indicated (e.g., hemoptysis, or concern for pulmonary embolism). Cystic bronchiectasis where an airway is dilated into a rounded sphere is typically seen associated with cystic fibrosis (cf) and following tuberculous infection. Cystic bronchiectasis is one of the less common morphological forms of bronchiectasis. Patients with cystic fibrosis typically develop bronchiectasis. Cylindrical bronchiectasis is the most common. Cystic Bronchiectasis Chest X Ray.
From www.stepwards.com
Bronchiectasis Stepwards Cystic Bronchiectasis Chest X Ray Cylindrical bronchiectasis is the most common and least serious form of bronchiectasis. Patients with cystic fibrosis typically develop bronchiectasis. It may be present on its own or may occur in combination. Cystic bronchiectasis is one of the less common morphological forms of bronchiectasis. Chest ct scan if indicated (e.g., hemoptysis, or concern for pulmonary embolism). Chest radiography is usually the. Cystic Bronchiectasis Chest X Ray.