What Is A Stump Tumor . uterine smooth muscle tumors of unknown malignant potential [stump]s are neoplasms with pathological features that preclude an. uterine smooth muscle tumors of uncertain malignant potential (stump) is a heterogeneous group of tumors with. a stump can be defined as a uterine smooth muscle cancer that cannot be diagnosed unequivocally as benign or. benign uterine leiomyomas, or smooth muscle tumors (smt), are neoplasms of the myometrial layer of the uterus and are the most common tumor in pelvic. the term smooth uterine muscle of uncertain malignant potential (stumps) indicates a group of uterine. uterine stump is a rare neoplasm with heterogeneous histologic findings and diverse clinical features.
from www.primescholars.com
a stump can be defined as a uterine smooth muscle cancer that cannot be diagnosed unequivocally as benign or. uterine stump is a rare neoplasm with heterogeneous histologic findings and diverse clinical features. benign uterine leiomyomas, or smooth muscle tumors (smt), are neoplasms of the myometrial layer of the uterus and are the most common tumor in pelvic. uterine smooth muscle tumors of uncertain malignant potential (stump) is a heterogeneous group of tumors with. the term smooth uterine muscle of uncertain malignant potential (stumps) indicates a group of uterine. uterine smooth muscle tumors of unknown malignant potential [stump]s are neoplasms with pathological features that preclude an.
Uterine Smooth Muscle Tumors of Uncertain Malignant Potential (ST
What Is A Stump Tumor uterine smooth muscle tumors of unknown malignant potential [stump]s are neoplasms with pathological features that preclude an. benign uterine leiomyomas, or smooth muscle tumors (smt), are neoplasms of the myometrial layer of the uterus and are the most common tumor in pelvic. uterine smooth muscle tumors of unknown malignant potential [stump]s are neoplasms with pathological features that preclude an. uterine smooth muscle tumors of uncertain malignant potential (stump) is a heterogeneous group of tumors with. uterine stump is a rare neoplasm with heterogeneous histologic findings and diverse clinical features. a stump can be defined as a uterine smooth muscle cancer that cannot be diagnosed unequivocally as benign or. the term smooth uterine muscle of uncertain malignant potential (stumps) indicates a group of uterine.
From www.researchgate.net
Main types of necrosis in smooth muscle tumors. a, Tumor cell necrosis What Is A Stump Tumor benign uterine leiomyomas, or smooth muscle tumors (smt), are neoplasms of the myometrial layer of the uterus and are the most common tumor in pelvic. the term smooth uterine muscle of uncertain malignant potential (stumps) indicates a group of uterine. a stump can be defined as a uterine smooth muscle cancer that cannot be diagnosed unequivocally as. What Is A Stump Tumor.
From www.pathologyoutlines.com
Pathology Outlines Smooth muscle tumors of uncertain malignant potential What Is A Stump Tumor uterine smooth muscle tumors of unknown malignant potential [stump]s are neoplasms with pathological features that preclude an. a stump can be defined as a uterine smooth muscle cancer that cannot be diagnosed unequivocally as benign or. uterine smooth muscle tumors of uncertain malignant potential (stump) is a heterogeneous group of tumors with. the term smooth uterine. What Is A Stump Tumor.
From www.cghjournal.org
An Gastric Submucosal Tumor With Mucosal Erosion Clinical What Is A Stump Tumor uterine smooth muscle tumors of uncertain malignant potential (stump) is a heterogeneous group of tumors with. a stump can be defined as a uterine smooth muscle cancer that cannot be diagnosed unequivocally as benign or. benign uterine leiomyomas, or smooth muscle tumors (smt), are neoplasms of the myometrial layer of the uterus and are the most common. What Is A Stump Tumor.
From www.slideserve.com
PPT Mesenchymal Tumors of the Uterus PowerPoint Presentation ID823824 What Is A Stump Tumor uterine stump is a rare neoplasm with heterogeneous histologic findings and diverse clinical features. uterine smooth muscle tumors of uncertain malignant potential (stump) is a heterogeneous group of tumors with. the term smooth uterine muscle of uncertain malignant potential (stumps) indicates a group of uterine. a stump can be defined as a uterine smooth muscle cancer. What Is A Stump Tumor.
From radiologykey.com
Uterine Cancers Radiology Key What Is A Stump Tumor uterine smooth muscle tumors of uncertain malignant potential (stump) is a heterogeneous group of tumors with. benign uterine leiomyomas, or smooth muscle tumors (smt), are neoplasms of the myometrial layer of the uterus and are the most common tumor in pelvic. a stump can be defined as a uterine smooth muscle cancer that cannot be diagnosed unequivocally. What Is A Stump Tumor.
From www.hksurgeon.com
Gastric Cancer, Acid Reflux, Helicobacter Infection HK Surgeon What Is A Stump Tumor uterine smooth muscle tumors of uncertain malignant potential (stump) is a heterogeneous group of tumors with. uterine stump is a rare neoplasm with heterogeneous histologic findings and diverse clinical features. uterine smooth muscle tumors of unknown malignant potential [stump]s are neoplasms with pathological features that preclude an. the term smooth uterine muscle of uncertain malignant potential. What Is A Stump Tumor.
From www.primescholars.com
Uterine Smooth Muscle Tumors of Uncertain Malignant Potential (ST What Is A Stump Tumor a stump can be defined as a uterine smooth muscle cancer that cannot be diagnosed unequivocally as benign or. uterine smooth muscle tumors of unknown malignant potential [stump]s are neoplasms with pathological features that preclude an. benign uterine leiomyomas, or smooth muscle tumors (smt), are neoplasms of the myometrial layer of the uterus and are the most. What Is A Stump Tumor.
From obgyn.onlinelibrary.wiley.com
New sonographic marker of borderline ovarian tumor microcystic pattern What Is A Stump Tumor the term smooth uterine muscle of uncertain malignant potential (stumps) indicates a group of uterine. benign uterine leiomyomas, or smooth muscle tumors (smt), are neoplasms of the myometrial layer of the uterus and are the most common tumor in pelvic. uterine smooth muscle tumors of unknown malignant potential [stump]s are neoplasms with pathological features that preclude an.. What Is A Stump Tumor.
From www.cureus.com
Cureus Primary Retroperitoneal Smooth Muscle Tumor of Uncertain What Is A Stump Tumor uterine smooth muscle tumors of uncertain malignant potential (stump) is a heterogeneous group of tumors with. uterine smooth muscle tumors of unknown malignant potential [stump]s are neoplasms with pathological features that preclude an. uterine stump is a rare neoplasm with heterogeneous histologic findings and diverse clinical features. benign uterine leiomyomas, or smooth muscle tumors (smt), are. What Is A Stump Tumor.
From www.primescholars.com
Uterine Smooth Muscle Tumors of Uncertain Malignant Potential (ST What Is A Stump Tumor benign uterine leiomyomas, or smooth muscle tumors (smt), are neoplasms of the myometrial layer of the uterus and are the most common tumor in pelvic. a stump can be defined as a uterine smooth muscle cancer that cannot be diagnosed unequivocally as benign or. uterine smooth muscle tumors of uncertain malignant potential (stump) is a heterogeneous group. What Is A Stump Tumor.
From obgyn.onlinelibrary.wiley.com
Imaging in gynecological disease (14) clinical and ultrasound What Is A Stump Tumor a stump can be defined as a uterine smooth muscle cancer that cannot be diagnosed unequivocally as benign or. the term smooth uterine muscle of uncertain malignant potential (stumps) indicates a group of uterine. benign uterine leiomyomas, or smooth muscle tumors (smt), are neoplasms of the myometrial layer of the uterus and are the most common tumor. What Is A Stump Tumor.
From www.pathologyoutlines.com
Pathology Outlines Smooth muscle tumors of uncertain malignant potential What Is A Stump Tumor a stump can be defined as a uterine smooth muscle cancer that cannot be diagnosed unequivocally as benign or. uterine stump is a rare neoplasm with heterogeneous histologic findings and diverse clinical features. uterine smooth muscle tumors of unknown malignant potential [stump]s are neoplasms with pathological features that preclude an. the term smooth uterine muscle of. What Is A Stump Tumor.
From www.cureus.com
Cureus Cervical Stump Cancer Treated With Radiotherapy Using Computed What Is A Stump Tumor uterine smooth muscle tumors of uncertain malignant potential (stump) is a heterogeneous group of tumors with. benign uterine leiomyomas, or smooth muscle tumors (smt), are neoplasms of the myometrial layer of the uterus and are the most common tumor in pelvic. uterine stump is a rare neoplasm with heterogeneous histologic findings and diverse clinical features. uterine. What Is A Stump Tumor.
From www.jle.com
John Libbey Eurotext European Journal of Dermatology Domeshaped What Is A Stump Tumor a stump can be defined as a uterine smooth muscle cancer that cannot be diagnosed unequivocally as benign or. uterine stump is a rare neoplasm with heterogeneous histologic findings and diverse clinical features. uterine smooth muscle tumors of uncertain malignant potential (stump) is a heterogeneous group of tumors with. uterine smooth muscle tumors of unknown malignant. What Is A Stump Tumor.
From www.researchgate.net
Differential count* of bone marrow smear and tumor stump sample What Is A Stump Tumor uterine stump is a rare neoplasm with heterogeneous histologic findings and diverse clinical features. uterine smooth muscle tumors of unknown malignant potential [stump]s are neoplasms with pathological features that preclude an. benign uterine leiomyomas, or smooth muscle tumors (smt), are neoplasms of the myometrial layer of the uterus and are the most common tumor in pelvic. . What Is A Stump Tumor.
From www.gynecoloncol.com
Uterine Cancer GynecolOncol What Is A Stump Tumor uterine stump is a rare neoplasm with heterogeneous histologic findings and diverse clinical features. the term smooth uterine muscle of uncertain malignant potential (stumps) indicates a group of uterine. uterine smooth muscle tumors of uncertain malignant potential (stump) is a heterogeneous group of tumors with. uterine smooth muscle tumors of unknown malignant potential [stump]s are neoplasms. What Is A Stump Tumor.
From www.cureus.com
Cureus Primary Ureteral Stump Carcinoma Rare Presentation and Management What Is A Stump Tumor the term smooth uterine muscle of uncertain malignant potential (stumps) indicates a group of uterine. benign uterine leiomyomas, or smooth muscle tumors (smt), are neoplasms of the myometrial layer of the uterus and are the most common tumor in pelvic. uterine stump is a rare neoplasm with heterogeneous histologic findings and diverse clinical features. uterine smooth. What Is A Stump Tumor.
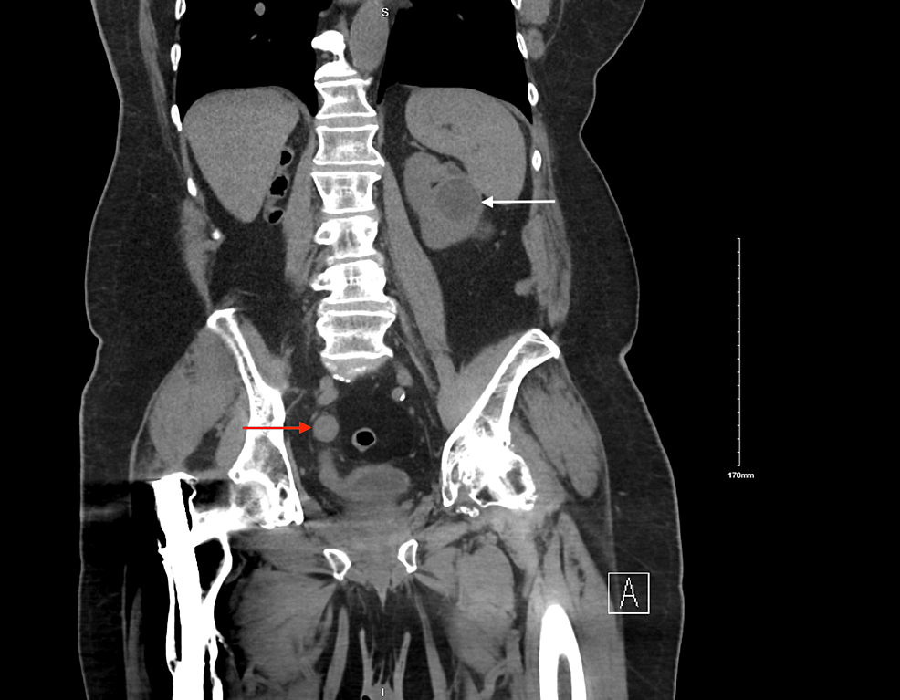
From radiopaedia.org
Ureteral stump tumor with urine leak Image What Is A Stump Tumor benign uterine leiomyomas, or smooth muscle tumors (smt), are neoplasms of the myometrial layer of the uterus and are the most common tumor in pelvic. uterine stump is a rare neoplasm with heterogeneous histologic findings and diverse clinical features. uterine smooth muscle tumors of unknown malignant potential [stump]s are neoplasms with pathological features that preclude an. . What Is A Stump Tumor.
From soft-tissue-tumor.seesaa.net
Stromal tumor of uncertain malignant potential (STUMP) of prostate 前立腺の What Is A Stump Tumor benign uterine leiomyomas, or smooth muscle tumors (smt), are neoplasms of the myometrial layer of the uterus and are the most common tumor in pelvic. uterine smooth muscle tumors of unknown malignant potential [stump]s are neoplasms with pathological features that preclude an. uterine stump is a rare neoplasm with heterogeneous histologic findings and diverse clinical features. . What Is A Stump Tumor.
From www.researchgate.net
Microscopic findings of primary and recurrent lesions in a patient with What Is A Stump Tumor uterine stump is a rare neoplasm with heterogeneous histologic findings and diverse clinical features. a stump can be defined as a uterine smooth muscle cancer that cannot be diagnosed unequivocally as benign or. uterine smooth muscle tumors of uncertain malignant potential (stump) is a heterogeneous group of tumors with. benign uterine leiomyomas, or smooth muscle tumors. What Is A Stump Tumor.
From www.researchgate.net
Patients with STUMP or other premalignant smooth muscle cell tumor What Is A Stump Tumor uterine smooth muscle tumors of uncertain malignant potential (stump) is a heterogeneous group of tumors with. uterine smooth muscle tumors of unknown malignant potential [stump]s are neoplasms with pathological features that preclude an. the term smooth uterine muscle of uncertain malignant potential (stumps) indicates a group of uterine. uterine stump is a rare neoplasm with heterogeneous. What Is A Stump Tumor.
From www.semanticscholar.org
[PDF] Uterine smooth muscle tumors of uncertain malignant potential What Is A Stump Tumor uterine stump is a rare neoplasm with heterogeneous histologic findings and diverse clinical features. a stump can be defined as a uterine smooth muscle cancer that cannot be diagnosed unequivocally as benign or. the term smooth uterine muscle of uncertain malignant potential (stumps) indicates a group of uterine. uterine smooth muscle tumors of uncertain malignant potential. What Is A Stump Tumor.
From www.researchgate.net
Malignant stump carcinoma cervix sagittal (A) and axial (B and C) T2W What Is A Stump Tumor the term smooth uterine muscle of uncertain malignant potential (stumps) indicates a group of uterine. uterine smooth muscle tumors of unknown malignant potential [stump]s are neoplasms with pathological features that preclude an. a stump can be defined as a uterine smooth muscle cancer that cannot be diagnosed unequivocally as benign or. uterine smooth muscle tumors of. What Is A Stump Tumor.
From www.verywellhealth.com
Carcinoid Tumors of the Lung Overview and More What Is A Stump Tumor benign uterine leiomyomas, or smooth muscle tumors (smt), are neoplasms of the myometrial layer of the uterus and are the most common tumor in pelvic. the term smooth uterine muscle of uncertain malignant potential (stumps) indicates a group of uterine. uterine smooth muscle tumors of uncertain malignant potential (stump) is a heterogeneous group of tumors with. . What Is A Stump Tumor.
From www.imrpress.com
Uterine Smooth Muscle Tumor of Uncertain Malignant Potential (STUMP What Is A Stump Tumor the term smooth uterine muscle of uncertain malignant potential (stumps) indicates a group of uterine. a stump can be defined as a uterine smooth muscle cancer that cannot be diagnosed unequivocally as benign or. uterine smooth muscle tumors of unknown malignant potential [stump]s are neoplasms with pathological features that preclude an. uterine stump is a rare. What Is A Stump Tumor.
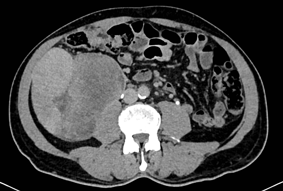
From www.researchgate.net
CT scan images showing the ureteric stump tumor Download Scientific What Is A Stump Tumor benign uterine leiomyomas, or smooth muscle tumors (smt), are neoplasms of the myometrial layer of the uterus and are the most common tumor in pelvic. the term smooth uterine muscle of uncertain malignant potential (stumps) indicates a group of uterine. a stump can be defined as a uterine smooth muscle cancer that cannot be diagnosed unequivocally as. What Is A Stump Tumor.
From www.youtube.com
Wilms' Tumor Ultrasound Case 47 YouTube What Is A Stump Tumor uterine smooth muscle tumors of unknown malignant potential [stump]s are neoplasms with pathological features that preclude an. the term smooth uterine muscle of uncertain malignant potential (stumps) indicates a group of uterine. uterine smooth muscle tumors of uncertain malignant potential (stump) is a heterogeneous group of tumors with. uterine stump is a rare neoplasm with heterogeneous. What Is A Stump Tumor.
From www.dreamstime.com
Abdomenpelvic CT Scan Showing Uterine Tumor (leiomyoma) Stock Image What Is A Stump Tumor the term smooth uterine muscle of uncertain malignant potential (stumps) indicates a group of uterine. a stump can be defined as a uterine smooth muscle cancer that cannot be diagnosed unequivocally as benign or. uterine stump is a rare neoplasm with heterogeneous histologic findings and diverse clinical features. uterine smooth muscle tumors of uncertain malignant potential. What Is A Stump Tumor.
From www.qeios.com
Challenges in identifying biomarkers for Smooth muscle tumors of What Is A Stump Tumor uterine stump is a rare neoplasm with heterogeneous histologic findings and diverse clinical features. uterine smooth muscle tumors of unknown malignant potential [stump]s are neoplasms with pathological features that preclude an. a stump can be defined as a uterine smooth muscle cancer that cannot be diagnosed unequivocally as benign or. uterine smooth muscle tumors of uncertain. What Is A Stump Tumor.
From www.researchgate.net
CT scan images showing the ureteric stump tumor Download Scientific What Is A Stump Tumor a stump can be defined as a uterine smooth muscle cancer that cannot be diagnosed unequivocally as benign or. benign uterine leiomyomas, or smooth muscle tumors (smt), are neoplasms of the myometrial layer of the uterus and are the most common tumor in pelvic. uterine stump is a rare neoplasm with heterogeneous histologic findings and diverse clinical. What Is A Stump Tumor.
From www.researchgate.net
Smooth muscle tumors of uncertain malignant potential (STUMP) with high What Is A Stump Tumor uterine stump is a rare neoplasm with heterogeneous histologic findings and diverse clinical features. benign uterine leiomyomas, or smooth muscle tumors (smt), are neoplasms of the myometrial layer of the uterus and are the most common tumor in pelvic. uterine smooth muscle tumors of unknown malignant potential [stump]s are neoplasms with pathological features that preclude an. . What Is A Stump Tumor.
From www.researchgate.net
Smooth muscle tumors of uncertain malignant potential (STUMP) with high What Is A Stump Tumor uterine smooth muscle tumors of uncertain malignant potential (stump) is a heterogeneous group of tumors with. the term smooth uterine muscle of uncertain malignant potential (stumps) indicates a group of uterine. uterine stump is a rare neoplasm with heterogeneous histologic findings and diverse clinical features. a stump can be defined as a uterine smooth muscle cancer. What Is A Stump Tumor.
From obgyn.onlinelibrary.wiley.com
Malignant mixed Müllerian tumors of the uterus sonographic spectrum What Is A Stump Tumor uterine stump is a rare neoplasm with heterogeneous histologic findings and diverse clinical features. uterine smooth muscle tumors of uncertain malignant potential (stump) is a heterogeneous group of tumors with. a stump can be defined as a uterine smooth muscle cancer that cannot be diagnosed unequivocally as benign or. benign uterine leiomyomas, or smooth muscle tumors. What Is A Stump Tumor.
From www.pathologyoutlines.com
Pathology Outlines Smooth muscle tumors of uncertain malignant potential What Is A Stump Tumor uterine stump is a rare neoplasm with heterogeneous histologic findings and diverse clinical features. the term smooth uterine muscle of uncertain malignant potential (stumps) indicates a group of uterine. a stump can be defined as a uterine smooth muscle cancer that cannot be diagnosed unequivocally as benign or. uterine smooth muscle tumors of uncertain malignant potential. What Is A Stump Tumor.
From www.researchgate.net
(PDF) STUMP un"stumped" Antitumor response to anaplastic lymphoma What Is A Stump Tumor uterine smooth muscle tumors of unknown malignant potential [stump]s are neoplasms with pathological features that preclude an. the term smooth uterine muscle of uncertain malignant potential (stumps) indicates a group of uterine. uterine stump is a rare neoplasm with heterogeneous histologic findings and diverse clinical features. a stump can be defined as a uterine smooth muscle. What Is A Stump Tumor.