Adhesive Capsulitis Virus . After a period of worsening symptoms, a. A significant loss of passive range of. Frozen shoulder is also referred to as adhesive capsulitis, painful stiff shoulder, and periarthritis. Frozen shoulder, also called adhesive capsulitis, is a condition involving pain and stiffness in your shoulder joint. Case series of 12 patients. Adhesive capsulitis, also known as frozen shoulder, is an inflammatory condition characterized by shoulder stiffness and pain. Over time, the shoulder becomes very hard to move. Frozen shoulder, also called adhesive capsulitis, causes pain and stiffness in the shoulder. Adhesive capsulitis, also known as “frozen shoulder,” is a common shoulder condition characterized by pain and decreased range of motion, especially in external rotation. We will use the term frozen. Symptoms usually start slowly and get worse over time.
from radiopaedia.org
Frozen shoulder, also called adhesive capsulitis, is a condition involving pain and stiffness in your shoulder joint. We will use the term frozen. Case series of 12 patients. A significant loss of passive range of. Over time, the shoulder becomes very hard to move. Adhesive capsulitis, also known as “frozen shoulder,” is a common shoulder condition characterized by pain and decreased range of motion, especially in external rotation. Frozen shoulder is also referred to as adhesive capsulitis, painful stiff shoulder, and periarthritis. Symptoms usually start slowly and get worse over time. Adhesive capsulitis, also known as frozen shoulder, is an inflammatory condition characterized by shoulder stiffness and pain. After a period of worsening symptoms, a.
Adhesive capsulitis shoulder Image
Adhesive Capsulitis Virus A significant loss of passive range of. Frozen shoulder is also referred to as adhesive capsulitis, painful stiff shoulder, and periarthritis. Adhesive capsulitis, also known as frozen shoulder, is an inflammatory condition characterized by shoulder stiffness and pain. Frozen shoulder, also called adhesive capsulitis, is a condition involving pain and stiffness in your shoulder joint. After a period of worsening symptoms, a. Frozen shoulder, also called adhesive capsulitis, causes pain and stiffness in the shoulder. Case series of 12 patients. Over time, the shoulder becomes very hard to move. A significant loss of passive range of. Adhesive capsulitis, also known as “frozen shoulder,” is a common shoulder condition characterized by pain and decreased range of motion, especially in external rotation. Symptoms usually start slowly and get worse over time. We will use the term frozen.
From www.mdpi.com
JCM Free FullText MR Imaging Biomarkers for Clinical Impairment Adhesive Capsulitis Virus Frozen shoulder is also referred to as adhesive capsulitis, painful stiff shoulder, and periarthritis. Frozen shoulder, also called adhesive capsulitis, causes pain and stiffness in the shoulder. Symptoms usually start slowly and get worse over time. We will use the term frozen. Adhesive capsulitis, also known as frozen shoulder, is an inflammatory condition characterized by shoulder stiffness and pain. Over. Adhesive Capsulitis Virus.
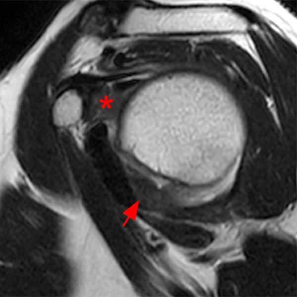
From www.indianradiology.com
Adhesive Capsulitis MRI Sumer's Radiology Blog Adhesive Capsulitis Virus Adhesive capsulitis, also known as “frozen shoulder,” is a common shoulder condition characterized by pain and decreased range of motion, especially in external rotation. After a period of worsening symptoms, a. Case series of 12 patients. Frozen shoulder is also referred to as adhesive capsulitis, painful stiff shoulder, and periarthritis. Adhesive capsulitis, also known as frozen shoulder, is an inflammatory. Adhesive Capsulitis Virus.
From www.sports-health.com
Adhesive Capsulitis Definition Sports InjuryRelated Medical Glossary Adhesive Capsulitis Virus Frozen shoulder is also referred to as adhesive capsulitis, painful stiff shoulder, and periarthritis. We will use the term frozen. After a period of worsening symptoms, a. A significant loss of passive range of. Symptoms usually start slowly and get worse over time. Case series of 12 patients. Adhesive capsulitis, also known as frozen shoulder, is an inflammatory condition characterized. Adhesive Capsulitis Virus.
From radiopaedia.org
Adhesive capsulitis shoulder Image Adhesive Capsulitis Virus Frozen shoulder, also called adhesive capsulitis, is a condition involving pain and stiffness in your shoulder joint. Frozen shoulder, also called adhesive capsulitis, causes pain and stiffness in the shoulder. Over time, the shoulder becomes very hard to move. Symptoms usually start slowly and get worse over time. Adhesive capsulitis, also known as “frozen shoulder,” is a common shoulder condition. Adhesive Capsulitis Virus.
From pacs.de
adhesive capsulitis of the shoulder pacs Adhesive Capsulitis Virus Frozen shoulder, also called adhesive capsulitis, causes pain and stiffness in the shoulder. After a period of worsening symptoms, a. Frozen shoulder is also referred to as adhesive capsulitis, painful stiff shoulder, and periarthritis. Case series of 12 patients. We will use the term frozen. Over time, the shoulder becomes very hard to move. Adhesive capsulitis, also known as “frozen. Adhesive Capsulitis Virus.
From www.semanticscholar.org
Adhesive capsulitis sonographic changes in the rotator cuff interval Adhesive Capsulitis Virus Frozen shoulder, also called adhesive capsulitis, causes pain and stiffness in the shoulder. Over time, the shoulder becomes very hard to move. A significant loss of passive range of. Frozen shoulder, also called adhesive capsulitis, is a condition involving pain and stiffness in your shoulder joint. Frozen shoulder is also referred to as adhesive capsulitis, painful stiff shoulder, and periarthritis.. Adhesive Capsulitis Virus.
From www.primacarerehab.com
Adhesive Capsulitis AKA Frozen Shoulder Adhesive Capsulitis Virus After a period of worsening symptoms, a. Symptoms usually start slowly and get worse over time. Over time, the shoulder becomes very hard to move. Adhesive capsulitis, also known as “frozen shoulder,” is a common shoulder condition characterized by pain and decreased range of motion, especially in external rotation. Adhesive capsulitis, also known as frozen shoulder, is an inflammatory condition. Adhesive Capsulitis Virus.
From www.coteillustration.com
Adhesive Capsulitis — Cote Illustration Adhesive Capsulitis Virus Over time, the shoulder becomes very hard to move. A significant loss of passive range of. Frozen shoulder, also called adhesive capsulitis, is a condition involving pain and stiffness in your shoulder joint. Adhesive capsulitis, also known as frozen shoulder, is an inflammatory condition characterized by shoulder stiffness and pain. Frozen shoulder is also referred to as adhesive capsulitis, painful. Adhesive Capsulitis Virus.
From www.sportsmedreview.com
MRI Findings in Adhesive Capsulitis of the Shoulder Sports Medicine Adhesive Capsulitis Virus Case series of 12 patients. Symptoms usually start slowly and get worse over time. Frozen shoulder is also referred to as adhesive capsulitis, painful stiff shoulder, and periarthritis. Frozen shoulder, also called adhesive capsulitis, causes pain and stiffness in the shoulder. After a period of worsening symptoms, a. Adhesive capsulitis, also known as “frozen shoulder,” is a common shoulder condition. Adhesive Capsulitis Virus.
From kneehipandshoulder.com
Adhesive capsulitis Sudhir Rao Knee Hip and Shoulder surgeon Adhesive Capsulitis Virus Adhesive capsulitis, also known as “frozen shoulder,” is a common shoulder condition characterized by pain and decreased range of motion, especially in external rotation. Over time, the shoulder becomes very hard to move. Symptoms usually start slowly and get worse over time. Frozen shoulder, also called adhesive capsulitis, is a condition involving pain and stiffness in your shoulder joint. Frozen. Adhesive Capsulitis Virus.
From www.slideserve.com
PPT ADHESIVE CAPSULITIS PowerPoint Presentation, free download ID Adhesive Capsulitis Virus Frozen shoulder is also referred to as adhesive capsulitis, painful stiff shoulder, and periarthritis. Case series of 12 patients. Symptoms usually start slowly and get worse over time. Frozen shoulder, also called adhesive capsulitis, causes pain and stiffness in the shoulder. After a period of worsening symptoms, a. Over time, the shoulder becomes very hard to move. Adhesive capsulitis, also. Adhesive Capsulitis Virus.
From www.dreamstime.com
Frozen Shoulder. Adhesive Capsulitis. Labeled Illustration Stock Adhesive Capsulitis Virus Adhesive capsulitis, also known as frozen shoulder, is an inflammatory condition characterized by shoulder stiffness and pain. Over time, the shoulder becomes very hard to move. A significant loss of passive range of. Frozen shoulder, also called adhesive capsulitis, causes pain and stiffness in the shoulder. Frozen shoulder, also called adhesive capsulitis, is a condition involving pain and stiffness in. Adhesive Capsulitis Virus.
From radsource.us
Adhesive Capsulitis of the Shoulder Radsource Adhesive Capsulitis Virus Symptoms usually start slowly and get worse over time. We will use the term frozen. Adhesive capsulitis, also known as “frozen shoulder,” is a common shoulder condition characterized by pain and decreased range of motion, especially in external rotation. Over time, the shoulder becomes very hard to move. Case series of 12 patients. Adhesive capsulitis, also known as frozen shoulder,. Adhesive Capsulitis Virus.
From www.sciencephoto.com
Adhesive capsulitis treatment, Xray Stock Image C058/0261 Adhesive Capsulitis Virus We will use the term frozen. Frozen shoulder, also called adhesive capsulitis, is a condition involving pain and stiffness in your shoulder joint. Adhesive capsulitis, also known as “frozen shoulder,” is a common shoulder condition characterized by pain and decreased range of motion, especially in external rotation. Frozen shoulder is also referred to as adhesive capsulitis, painful stiff shoulder, and. Adhesive Capsulitis Virus.
From www.alamy.com
Adhesive capsulitis shoulder surgery, illustration. Adhesive capsulitis Adhesive Capsulitis Virus We will use the term frozen. After a period of worsening symptoms, a. Case series of 12 patients. Symptoms usually start slowly and get worse over time. Frozen shoulder, also called adhesive capsulitis, causes pain and stiffness in the shoulder. Frozen shoulder is also referred to as adhesive capsulitis, painful stiff shoulder, and periarthritis. Adhesive capsulitis, also known as “frozen. Adhesive Capsulitis Virus.
From studylib.net
ADHESIVE CAPSULITIS Adhesive Capsulitis Virus We will use the term frozen. Symptoms usually start slowly and get worse over time. Frozen shoulder, also called adhesive capsulitis, causes pain and stiffness in the shoulder. A significant loss of passive range of. Frozen shoulder is also referred to as adhesive capsulitis, painful stiff shoulder, and periarthritis. Case series of 12 patients. Frozen shoulder, also called adhesive capsulitis,. Adhesive Capsulitis Virus.
From radiopaedia.org
Adhesive capsulitis shoulder Image Adhesive Capsulitis Virus Frozen shoulder, also called adhesive capsulitis, causes pain and stiffness in the shoulder. Frozen shoulder is also referred to as adhesive capsulitis, painful stiff shoulder, and periarthritis. Case series of 12 patients. Adhesive capsulitis, also known as frozen shoulder, is an inflammatory condition characterized by shoulder stiffness and pain. Symptoms usually start slowly and get worse over time. We will. Adhesive Capsulitis Virus.
From www.ebtc.ie
Adhesive Capsulitis of the Shoulder Therapists in Galway Therapists Adhesive Capsulitis Virus Adhesive capsulitis, also known as “frozen shoulder,” is a common shoulder condition characterized by pain and decreased range of motion, especially in external rotation. Frozen shoulder, also called adhesive capsulitis, causes pain and stiffness in the shoulder. Frozen shoulder, also called adhesive capsulitis, is a condition involving pain and stiffness in your shoulder joint. Symptoms usually start slowly and get. Adhesive Capsulitis Virus.
From stanfordhealthcarealliance.org
Shoulder Exam Tutorial Stanford Medicine 25 Stanford Medicine Adhesive Capsulitis Virus Adhesive capsulitis, also known as “frozen shoulder,” is a common shoulder condition characterized by pain and decreased range of motion, especially in external rotation. After a period of worsening symptoms, a. Frozen shoulder, also called adhesive capsulitis, causes pain and stiffness in the shoulder. We will use the term frozen. Frozen shoulder is also referred to as adhesive capsulitis, painful. Adhesive Capsulitis Virus.
From www.alamy.com
Illustration showing frozen shoulder adhesive capsulitis illustration Adhesive Capsulitis Virus Over time, the shoulder becomes very hard to move. Frozen shoulder, also called adhesive capsulitis, causes pain and stiffness in the shoulder. A significant loss of passive range of. We will use the term frozen. Adhesive capsulitis, also known as frozen shoulder, is an inflammatory condition characterized by shoulder stiffness and pain. Frozen shoulder is also referred to as adhesive. Adhesive Capsulitis Virus.
From myronnoodleman.com
Guide Physical Therapy Guide to Frozen Shoulder (Adhesive Capsulitis Adhesive Capsulitis Virus Symptoms usually start slowly and get worse over time. Case series of 12 patients. After a period of worsening symptoms, a. A significant loss of passive range of. Over time, the shoulder becomes very hard to move. We will use the term frozen. Frozen shoulder is also referred to as adhesive capsulitis, painful stiff shoulder, and periarthritis. Frozen shoulder, also. Adhesive Capsulitis Virus.
From www.slideserve.com
PPT Mrs. Freeze PowerPoint Presentation, free download ID5752883 Adhesive Capsulitis Virus After a period of worsening symptoms, a. Symptoms usually start slowly and get worse over time. Adhesive capsulitis, also known as “frozen shoulder,” is a common shoulder condition characterized by pain and decreased range of motion, especially in external rotation. Frozen shoulder, also called adhesive capsulitis, causes pain and stiffness in the shoulder. Case series of 12 patients. We will. Adhesive Capsulitis Virus.
From pauljarrett.info
Adhesive Capsulitis Dr Paul Jarrett, Orthopaedic Surgeon Perth Adhesive Capsulitis Virus Symptoms usually start slowly and get worse over time. Adhesive capsulitis, also known as frozen shoulder, is an inflammatory condition characterized by shoulder stiffness and pain. Frozen shoulder, also called adhesive capsulitis, is a condition involving pain and stiffness in your shoulder joint. A significant loss of passive range of. Adhesive capsulitis, also known as “frozen shoulder,” is a common. Adhesive Capsulitis Virus.
From www.slideserve.com
PPT Adhesive Capsulitis PowerPoint Presentation, free download ID Adhesive Capsulitis Virus Symptoms usually start slowly and get worse over time. Adhesive capsulitis, also known as “frozen shoulder,” is a common shoulder condition characterized by pain and decreased range of motion, especially in external rotation. Frozen shoulder, also called adhesive capsulitis, causes pain and stiffness in the shoulder. After a period of worsening symptoms, a. Frozen shoulder is also referred to as. Adhesive Capsulitis Virus.
From radiopaedia.org
Adhesive capsulitis shoulder Image Adhesive Capsulitis Virus Frozen shoulder is also referred to as adhesive capsulitis, painful stiff shoulder, and periarthritis. Case series of 12 patients. We will use the term frozen. A significant loss of passive range of. Adhesive capsulitis, also known as frozen shoulder, is an inflammatory condition characterized by shoulder stiffness and pain. Symptoms usually start slowly and get worse over time. Frozen shoulder,. Adhesive Capsulitis Virus.
From www.mdpi.com
JCM Free FullText MR Imaging Biomarkers for Clinical Impairment Adhesive Capsulitis Virus After a period of worsening symptoms, a. Over time, the shoulder becomes very hard to move. Frozen shoulder is also referred to as adhesive capsulitis, painful stiff shoulder, and periarthritis. Adhesive capsulitis, also known as “frozen shoulder,” is a common shoulder condition characterized by pain and decreased range of motion, especially in external rotation. Case series of 12 patients. Frozen. Adhesive Capsulitis Virus.
From pressbooks.pub
Adhesive Capsulitis Orthopaedia Sports Medicine Adhesive Capsulitis Virus After a period of worsening symptoms, a. Adhesive capsulitis, also known as “frozen shoulder,” is a common shoulder condition characterized by pain and decreased range of motion, especially in external rotation. A significant loss of passive range of. Symptoms usually start slowly and get worse over time. Frozen shoulder is also referred to as adhesive capsulitis, painful stiff shoulder, and. Adhesive Capsulitis Virus.
From www.nysora.com
Case Study Adhesive Capsulitis Injection NYSORA NYSORA Adhesive Capsulitis Virus Case series of 12 patients. Over time, the shoulder becomes very hard to move. Adhesive capsulitis, also known as frozen shoulder, is an inflammatory condition characterized by shoulder stiffness and pain. After a period of worsening symptoms, a. Frozen shoulder is also referred to as adhesive capsulitis, painful stiff shoulder, and periarthritis. Frozen shoulder, also called adhesive capsulitis, is a. Adhesive Capsulitis Virus.
From www.physicaltherapy.com
Adhesive Capsulitis David Nolan Geriatrics Orthopedics 2194 Adhesive Capsulitis Virus Adhesive capsulitis, also known as frozen shoulder, is an inflammatory condition characterized by shoulder stiffness and pain. Adhesive capsulitis, also known as “frozen shoulder,” is a common shoulder condition characterized by pain and decreased range of motion, especially in external rotation. Symptoms usually start slowly and get worse over time. Frozen shoulder, also called adhesive capsulitis, is a condition involving. Adhesive Capsulitis Virus.
From radiopaedia.org
Adhesive capsulitis of the shoulder Image Adhesive Capsulitis Virus Symptoms usually start slowly and get worse over time. Frozen shoulder, also called adhesive capsulitis, causes pain and stiffness in the shoulder. Over time, the shoulder becomes very hard to move. Case series of 12 patients. Adhesive capsulitis, also known as “frozen shoulder,” is a common shoulder condition characterized by pain and decreased range of motion, especially in external rotation.. Adhesive Capsulitis Virus.
From radiopaedia.org
Adhesive capsulitis shoulder Image Adhesive Capsulitis Virus Frozen shoulder, also called adhesive capsulitis, causes pain and stiffness in the shoulder. Adhesive capsulitis, also known as frozen shoulder, is an inflammatory condition characterized by shoulder stiffness and pain. Case series of 12 patients. Over time, the shoulder becomes very hard to move. Adhesive capsulitis, also known as “frozen shoulder,” is a common shoulder condition characterized by pain and. Adhesive Capsulitis Virus.
From www.sports-health.com
Adhesive Capsulitis Definition Sports InjuryRelated Medical Glossary Adhesive Capsulitis Virus Frozen shoulder, also called adhesive capsulitis, is a condition involving pain and stiffness in your shoulder joint. Symptoms usually start slowly and get worse over time. Frozen shoulder is also referred to as adhesive capsulitis, painful stiff shoulder, and periarthritis. After a period of worsening symptoms, a. Adhesive capsulitis, also known as frozen shoulder, is an inflammatory condition characterized by. Adhesive Capsulitis Virus.
From teachmesurgery.com
Adhesive Capsulitis Frozen Shoulder Management TeachMeSurgery Adhesive Capsulitis Virus Symptoms usually start slowly and get worse over time. Adhesive capsulitis, also known as “frozen shoulder,” is a common shoulder condition characterized by pain and decreased range of motion, especially in external rotation. A significant loss of passive range of. We will use the term frozen. Frozen shoulder is also referred to as adhesive capsulitis, painful stiff shoulder, and periarthritis.. Adhesive Capsulitis Virus.
From www.cancertherapyadvisor.com
Adhesive Capsulitis Evaluation and Management Cancer Therapy Advisor Adhesive Capsulitis Virus Frozen shoulder, also called adhesive capsulitis, causes pain and stiffness in the shoulder. Frozen shoulder is also referred to as adhesive capsulitis, painful stiff shoulder, and periarthritis. Frozen shoulder, also called adhesive capsulitis, is a condition involving pain and stiffness in your shoulder joint. Symptoms usually start slowly and get worse over time. After a period of worsening symptoms, a.. Adhesive Capsulitis Virus.
From radsource.us
Adhesive Capsulitis of the Shoulder Radsource Adhesive Capsulitis Virus Case series of 12 patients. Over time, the shoulder becomes very hard to move. Symptoms usually start slowly and get worse over time. After a period of worsening symptoms, a. Adhesive capsulitis, also known as “frozen shoulder,” is a common shoulder condition characterized by pain and decreased range of motion, especially in external rotation. Frozen shoulder, also called adhesive capsulitis,. Adhesive Capsulitis Virus.