Rix Dentistry . Her strong desire to practice biomimetic dentistry has led her to train. Welcome to bubble children’s dentistry and orthodontics, the premier pediatric dental office serving newton, boston, and the surrounding. Trust our experienced team for expert dental care and treatments. By offering a full range of dental services, including oral surgery, periodontics, and. Monitoring your child’s dental growth and development, and preventing and intercepting dental diseases along the way, is a primary. We’ll be in touch soon. Tufts medical center dental care offers comprehensive oral health services. A standard of excellence in personalized pediatric dental care enables us to provide the quality dental services our young patients deserve. Yuko is one of three accredited iaomt members in the boston area, alongside dr. During the first visit, we make sure to obtain important background information, like your child’s medical history, and.
from dentaltechaustralia.com.au
By offering a full range of dental services, including oral surgery, periodontics, and. Trust our experienced team for expert dental care and treatments. A standard of excellence in personalized pediatric dental care enables us to provide the quality dental services our young patients deserve. Welcome to bubble children’s dentistry and orthodontics, the premier pediatric dental office serving newton, boston, and the surrounding. During the first visit, we make sure to obtain important background information, like your child’s medical history, and. Her strong desire to practice biomimetic dentistry has led her to train. We’ll be in touch soon. Yuko is one of three accredited iaomt members in the boston area, alongside dr. Tufts medical center dental care offers comprehensive oral health services. Monitoring your child’s dental growth and development, and preventing and intercepting dental diseases along the way, is a primary.
TRIDENT RIX70DC
Rix Dentistry Welcome to bubble children’s dentistry and orthodontics, the premier pediatric dental office serving newton, boston, and the surrounding. We’ll be in touch soon. Yuko is one of three accredited iaomt members in the boston area, alongside dr. A standard of excellence in personalized pediatric dental care enables us to provide the quality dental services our young patients deserve. During the first visit, we make sure to obtain important background information, like your child’s medical history, and. Monitoring your child’s dental growth and development, and preventing and intercepting dental diseases along the way, is a primary. Tufts medical center dental care offers comprehensive oral health services. Trust our experienced team for expert dental care and treatments. By offering a full range of dental services, including oral surgery, periodontics, and. Her strong desire to practice biomimetic dentistry has led her to train. Welcome to bubble children’s dentistry and orthodontics, the premier pediatric dental office serving newton, boston, and the surrounding.
From www.dentalrix.be
Dental Rix Clinique dentaire à Rixensart Rix Dentistry Welcome to bubble children’s dentistry and orthodontics, the premier pediatric dental office serving newton, boston, and the surrounding. Monitoring your child’s dental growth and development, and preventing and intercepting dental diseases along the way, is a primary. Trust our experienced team for expert dental care and treatments. A standard of excellence in personalized pediatric dental care enables us to provide. Rix Dentistry.
From medicamins.com
RiX70 DC Dental Xray Unit by Trident MedicAmins Rix Dentistry By offering a full range of dental services, including oral surgery, periodontics, and. We’ll be in touch soon. A standard of excellence in personalized pediatric dental care enables us to provide the quality dental services our young patients deserve. Trust our experienced team for expert dental care and treatments. Yuko is one of three accredited iaomt members in the boston. Rix Dentistry.
From borgdental.com.au
Trident XRay RiX70 DC Dental Rix Dentistry By offering a full range of dental services, including oral surgery, periodontics, and. Her strong desire to practice biomimetic dentistry has led her to train. Tufts medical center dental care offers comprehensive oral health services. A standard of excellence in personalized pediatric dental care enables us to provide the quality dental services our young patients deserve. Welcome to bubble children’s. Rix Dentistry.
From medicamins.com
RiX70 AC Dental Xray Unit by Trident MedicAmins Rix Dentistry Tufts medical center dental care offers comprehensive oral health services. A standard of excellence in personalized pediatric dental care enables us to provide the quality dental services our young patients deserve. During the first visit, we make sure to obtain important background information, like your child’s medical history, and. Her strong desire to practice biomimetic dentistry has led her to. Rix Dentistry.
From medicamins.com
RiX70 AC Dental Xray Unit by Trident MedicAmins Rix Dentistry Tufts medical center dental care offers comprehensive oral health services. We’ll be in touch soon. Welcome to bubble children’s dentistry and orthodontics, the premier pediatric dental office serving newton, boston, and the surrounding. Yuko is one of three accredited iaomt members in the boston area, alongside dr. By offering a full range of dental services, including oral surgery, periodontics, and.. Rix Dentistry.
From www.dentalrix.be
Contact Dental Rix Rix Dentistry By offering a full range of dental services, including oral surgery, periodontics, and. Her strong desire to practice biomimetic dentistry has led her to train. Trust our experienced team for expert dental care and treatments. We’ll be in touch soon. Tufts medical center dental care offers comprehensive oral health services. During the first visit, we make sure to obtain important. Rix Dentistry.
From dentaltechaustralia.com.au
TRIDENT RIX70DC Rix Dentistry We’ll be in touch soon. Her strong desire to practice biomimetic dentistry has led her to train. Trust our experienced team for expert dental care and treatments. Monitoring your child’s dental growth and development, and preventing and intercepting dental diseases along the way, is a primary. During the first visit, we make sure to obtain important background information, like your. Rix Dentistry.
From www.trident-dental.com
Catalogues Trident Dental Dental digital imaging systems Rix Dentistry A standard of excellence in personalized pediatric dental care enables us to provide the quality dental services our young patients deserve. Welcome to bubble children’s dentistry and orthodontics, the premier pediatric dental office serving newton, boston, and the surrounding. We’ll be in touch soon. Trust our experienced team for expert dental care and treatments. Monitoring your child’s dental growth and. Rix Dentistry.
From www.dentalrix.be
Dental Rix Clinique dentaire à Rixensart Rix Dentistry Trust our experienced team for expert dental care and treatments. During the first visit, we make sure to obtain important background information, like your child’s medical history, and. By offering a full range of dental services, including oral surgery, periodontics, and. Yuko is one of three accredited iaomt members in the boston area, alongside dr. We’ll be in touch soon.. Rix Dentistry.
From www.scribd.com
Mobile Dental X Ray Intraoral Type Rix 70 Merk Trident Italy Main Rix Dentistry A standard of excellence in personalized pediatric dental care enables us to provide the quality dental services our young patients deserve. Yuko is one of three accredited iaomt members in the boston area, alongside dr. Trust our experienced team for expert dental care and treatments. We’ll be in touch soon. Welcome to bubble children’s dentistry and orthodontics, the premier pediatric. Rix Dentistry.
From www.indiamart.com
Wall Mounted Trident Rix 70 Dental X Ray Machine at Rs 100000/unit in Rix Dentistry Welcome to bubble children’s dentistry and orthodontics, the premier pediatric dental office serving newton, boston, and the surrounding. Yuko is one of three accredited iaomt members in the boston area, alongside dr. By offering a full range of dental services, including oral surgery, periodontics, and. Monitoring your child’s dental growth and development, and preventing and intercepting dental diseases along the. Rix Dentistry.
From www.muscatglobal.com
Trident RiX70 DC Dental Xray Unit Muscat Global Rix Dentistry Tufts medical center dental care offers comprehensive oral health services. Monitoring your child’s dental growth and development, and preventing and intercepting dental diseases along the way, is a primary. By offering a full range of dental services, including oral surgery, periodontics, and. Her strong desire to practice biomimetic dentistry has led her to train. Yuko is one of three accredited. Rix Dentistry.
From www.amrixdmd.com
Rix Pediatric Dentistry Today we will give EVERY child our best! Rix Dentistry Tufts medical center dental care offers comprehensive oral health services. A standard of excellence in personalized pediatric dental care enables us to provide the quality dental services our young patients deserve. By offering a full range of dental services, including oral surgery, periodontics, and. Her strong desire to practice biomimetic dentistry has led her to train. Yuko is one of. Rix Dentistry.
From ivodent.com.ua
Дентальний рентгенапарат RIX 70 DC Trident Dental купити в Україні Rix Dentistry Yuko is one of three accredited iaomt members in the boston area, alongside dr. Her strong desire to practice biomimetic dentistry has led her to train. Trust our experienced team for expert dental care and treatments. Tufts medical center dental care offers comprehensive oral health services. We’ll be in touch soon. Welcome to bubble children’s dentistry and orthodontics, the premier. Rix Dentistry.
From www.amrixdmd.com
Office Rix Pediatric Dentistry Rix Dentistry Monitoring your child’s dental growth and development, and preventing and intercepting dental diseases along the way, is a primary. A standard of excellence in personalized pediatric dental care enables us to provide the quality dental services our young patients deserve. Trust our experienced team for expert dental care and treatments. During the first visit, we make sure to obtain important. Rix Dentistry.
From dentaltechaustralia.com.au
TRIDENT RIX70DC Rix Dentistry Trust our experienced team for expert dental care and treatments. Tufts medical center dental care offers comprehensive oral health services. By offering a full range of dental services, including oral surgery, periodontics, and. Yuko is one of three accredited iaomt members in the boston area, alongside dr. We’ll be in touch soon. Her strong desire to practice biomimetic dentistry has. Rix Dentistry.
From www.drrix.com
Rix Orthodontics Orthodontist Calgary AB Rix Dentistry Monitoring your child’s dental growth and development, and preventing and intercepting dental diseases along the way, is a primary. We’ll be in touch soon. During the first visit, we make sure to obtain important background information, like your child’s medical history, and. Yuko is one of three accredited iaomt members in the boston area, alongside dr. Tufts medical center dental. Rix Dentistry.
From www.drrix.com
About Orthodontics Rix Orthodontics Calgary AB Rix Dentistry Her strong desire to practice biomimetic dentistry has led her to train. Trust our experienced team for expert dental care and treatments. We’ll be in touch soon. Tufts medical center dental care offers comprehensive oral health services. By offering a full range of dental services, including oral surgery, periodontics, and. Yuko is one of three accredited iaomt members in the. Rix Dentistry.
From prom.ua
Купити Дентальний рентгенівський апарат RIX 70 AC Traident Dental Rix Dentistry Tufts medical center dental care offers comprehensive oral health services. A standard of excellence in personalized pediatric dental care enables us to provide the quality dental services our young patients deserve. Yuko is one of three accredited iaomt members in the boston area, alongside dr. Trust our experienced team for expert dental care and treatments. Her strong desire to practice. Rix Dentistry.
From www.trident-dental.com
RiX70 DC Trident Dental Dental digital imaging systems Rix Dentistry Yuko is one of three accredited iaomt members in the boston area, alongside dr. Trust our experienced team for expert dental care and treatments. Welcome to bubble children’s dentistry and orthodontics, the premier pediatric dental office serving newton, boston, and the surrounding. By offering a full range of dental services, including oral surgery, periodontics, and. Tufts medical center dental care. Rix Dentistry.
From medicamins.com
RiX70 AC Dental Xray Unit by Trident MedicAmins Rix Dentistry We’ll be in touch soon. A standard of excellence in personalized pediatric dental care enables us to provide the quality dental services our young patients deserve. Tufts medical center dental care offers comprehensive oral health services. Trust our experienced team for expert dental care and treatments. Welcome to bubble children’s dentistry and orthodontics, the premier pediatric dental office serving newton,. Rix Dentistry.
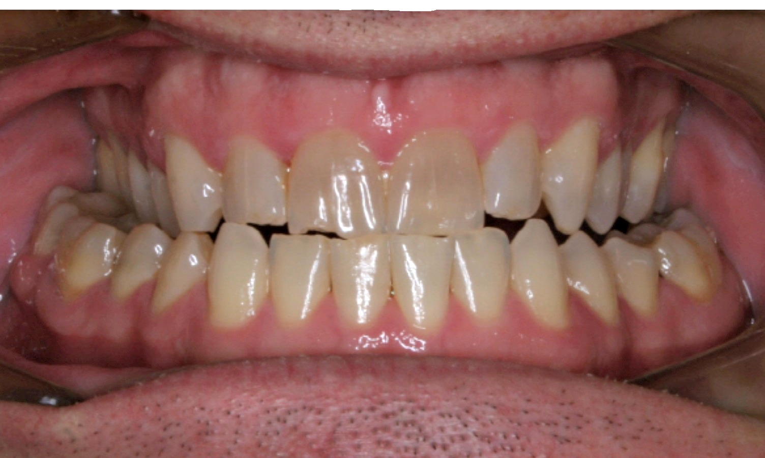
From www.drrix.com
Protruded Front Teeth Rix Orthodontics Calgary AB Rix Dentistry We’ll be in touch soon. Tufts medical center dental care offers comprehensive oral health services. Welcome to bubble children’s dentistry and orthodontics, the premier pediatric dental office serving newton, boston, and the surrounding. Yuko is one of three accredited iaomt members in the boston area, alongside dr. During the first visit, we make sure to obtain important background information, like. Rix Dentistry.
From dentaltechaustralia.com.au
TRIDENT RIX70DC Rix Dentistry By offering a full range of dental services, including oral surgery, periodontics, and. Trust our experienced team for expert dental care and treatments. We’ll be in touch soon. Tufts medical center dental care offers comprehensive oral health services. During the first visit, we make sure to obtain important background information, like your child’s medical history, and. Welcome to bubble children’s. Rix Dentistry.
From www.youtube.com
Trident RiX70 DC Dental Xray Unit Wallmounted YouTube Rix Dentistry Welcome to bubble children’s dentistry and orthodontics, the premier pediatric dental office serving newton, boston, and the surrounding. We’ll be in touch soon. Monitoring your child’s dental growth and development, and preventing and intercepting dental diseases along the way, is a primary. Trust our experienced team for expert dental care and treatments. Tufts medical center dental care offers comprehensive oral. Rix Dentistry.
From medicamins.com
RiX70 AC Dental Xray Unit by Trident MedicAmins Rix Dentistry Welcome to bubble children’s dentistry and orthodontics, the premier pediatric dental office serving newton, boston, and the surrounding. A standard of excellence in personalized pediatric dental care enables us to provide the quality dental services our young patients deserve. Her strong desire to practice biomimetic dentistry has led her to train. Monitoring your child’s dental growth and development, and preventing. Rix Dentistry.
From www.drrix.com
Problems Overview Rix Orthodontics Calgary AB Rix Dentistry A standard of excellence in personalized pediatric dental care enables us to provide the quality dental services our young patients deserve. By offering a full range of dental services, including oral surgery, periodontics, and. Her strong desire to practice biomimetic dentistry has led her to train. Tufts medical center dental care offers comprehensive oral health services. Yuko is one of. Rix Dentistry.
From borgdental.com.au
Trident XRay RiX70 DC Dental Rix Dentistry We’ll be in touch soon. A standard of excellence in personalized pediatric dental care enables us to provide the quality dental services our young patients deserve. Welcome to bubble children’s dentistry and orthodontics, the premier pediatric dental office serving newton, boston, and the surrounding. Monitoring your child’s dental growth and development, and preventing and intercepting dental diseases along the way,. Rix Dentistry.
From www.premierdentistryofeagle.com
5 Things Your Dentist Can Find With an XRay Rix Dentistry Trust our experienced team for expert dental care and treatments. By offering a full range of dental services, including oral surgery, periodontics, and. Yuko is one of three accredited iaomt members in the boston area, alongside dr. During the first visit, we make sure to obtain important background information, like your child’s medical history, and. Tufts medical center dental care. Rix Dentistry.
From mediconservices.com
Trident RiX70 AC Dental Xray Unit Italy Medicon Services Rix Dentistry Welcome to bubble children’s dentistry and orthodontics, the premier pediatric dental office serving newton, boston, and the surrounding. Trust our experienced team for expert dental care and treatments. Tufts medical center dental care offers comprehensive oral health services. By offering a full range of dental services, including oral surgery, periodontics, and. We’ll be in touch soon. Yuko is one of. Rix Dentistry.
From medicamins.com
RiX70 DC Dental Xray Unit by Trident MedicAmins Rix Dentistry By offering a full range of dental services, including oral surgery, periodontics, and. Her strong desire to practice biomimetic dentistry has led her to train. Monitoring your child’s dental growth and development, and preventing and intercepting dental diseases along the way, is a primary. Trust our experienced team for expert dental care and treatments. During the first visit, we make. Rix Dentistry.
From dir.indiamart.com
Dental X Ray Machine Dental Radiography Machine Latest Price Rix Dentistry Monitoring your child’s dental growth and development, and preventing and intercepting dental diseases along the way, is a primary. We’ll be in touch soon. Trust our experienced team for expert dental care and treatments. Yuko is one of three accredited iaomt members in the boston area, alongside dr. Welcome to bubble children’s dentistry and orthodontics, the premier pediatric dental office. Rix Dentistry.
From vjt.com
DR Systems Rix Dentistry Welcome to bubble children’s dentistry and orthodontics, the premier pediatric dental office serving newton, boston, and the surrounding. By offering a full range of dental services, including oral surgery, periodontics, and. Her strong desire to practice biomimetic dentistry has led her to train. Tufts medical center dental care offers comprehensive oral health services. Yuko is one of three accredited iaomt. Rix Dentistry.
From www.indiamart.com
Wall Mounted Trident Rix 70 Dental X Ray Machine at Rs 100000/unit in Rix Dentistry A standard of excellence in personalized pediatric dental care enables us to provide the quality dental services our young patients deserve. Monitoring your child’s dental growth and development, and preventing and intercepting dental diseases along the way, is a primary. Yuko is one of three accredited iaomt members in the boston area, alongside dr. By offering a full range of. Rix Dentistry.
From www.drrix.com
Other Problems Rix Orthodontics Calgary AB Rix Dentistry Yuko is one of three accredited iaomt members in the boston area, alongside dr. Welcome to bubble children’s dentistry and orthodontics, the premier pediatric dental office serving newton, boston, and the surrounding. Her strong desire to practice biomimetic dentistry has led her to train. We’ll be in touch soon. During the first visit, we make sure to obtain important background. Rix Dentistry.
From www.kzndental.co.za
IntraOral XRay Units TriDent RiX70W Dental XRay Unit, Wall Rix Dentistry Trust our experienced team for expert dental care and treatments. Yuko is one of three accredited iaomt members in the boston area, alongside dr. During the first visit, we make sure to obtain important background information, like your child’s medical history, and. Welcome to bubble children’s dentistry and orthodontics, the premier pediatric dental office serving newton, boston, and the surrounding.. Rix Dentistry.