Laminates In Prosthodontics . To improve aesthetics in anterior teeth by means of laminate veneers, two types of materials are indicated for their translucency and potential to be used in small. This document discusses laminate veneers, including their history, definitions, indications, contraindications, and comparisons of different types of veneers. Porcelain laminate veneers (plvs) have been introduced as a conservative solution to esthetic prosthodontics for anterior teeth. Porcelain laminate veneers are among the most esthetic means of creating a more pleasing and beautiful smile. This systematic review aimed to synthesize and analyze a collection of studies focused on comparing conventional veneers. The introduction of adhesive techniques in combination with translucent restorative materials has greatly influenced.
from www.scribd.com
The introduction of adhesive techniques in combination with translucent restorative materials has greatly influenced. Porcelain laminate veneers (plvs) have been introduced as a conservative solution to esthetic prosthodontics for anterior teeth. This systematic review aimed to synthesize and analyze a collection of studies focused on comparing conventional veneers. To improve aesthetics in anterior teeth by means of laminate veneers, two types of materials are indicated for their translucency and potential to be used in small. Porcelain laminate veneers are among the most esthetic means of creating a more pleasing and beautiful smile. This document discusses laminate veneers, including their history, definitions, indications, contraindications, and comparisons of different types of veneers.
Laminates AND Veneers Dr. Sakshi Rawal Department of Prosthodontics
Laminates In Prosthodontics Porcelain laminate veneers are among the most esthetic means of creating a more pleasing and beautiful smile. The introduction of adhesive techniques in combination with translucent restorative materials has greatly influenced. Porcelain laminate veneers (plvs) have been introduced as a conservative solution to esthetic prosthodontics for anterior teeth. This document discusses laminate veneers, including their history, definitions, indications, contraindications, and comparisons of different types of veneers. To improve aesthetics in anterior teeth by means of laminate veneers, two types of materials are indicated for their translucency and potential to be used in small. This systematic review aimed to synthesize and analyze a collection of studies focused on comparing conventional veneers. Porcelain laminate veneers are among the most esthetic means of creating a more pleasing and beautiful smile.
From dentevita.com
Revised porcelain laminate veneer therapy and associated preocclusal Laminates In Prosthodontics This document discusses laminate veneers, including their history, definitions, indications, contraindications, and comparisons of different types of veneers. To improve aesthetics in anterior teeth by means of laminate veneers, two types of materials are indicated for their translucency and potential to be used in small. This systematic review aimed to synthesize and analyze a collection of studies focused on comparing. Laminates In Prosthodontics.
From mikhakdental.com
6 فرق لمینت و کامپوزیت دندان اقساط تا 24 ماه Laminates In Prosthodontics The introduction of adhesive techniques in combination with translucent restorative materials has greatly influenced. To improve aesthetics in anterior teeth by means of laminate veneers, two types of materials are indicated for their translucency and potential to be used in small. This systematic review aimed to synthesize and analyze a collection of studies focused on comparing conventional veneers. Porcelain laminate. Laminates In Prosthodontics.
From talkativedesigner.blogspot.com
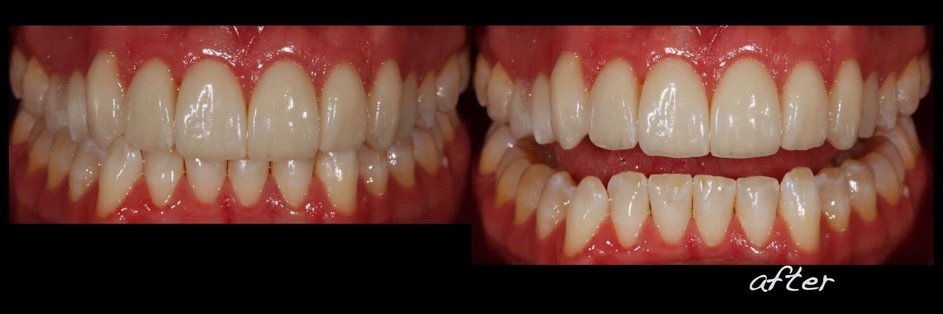
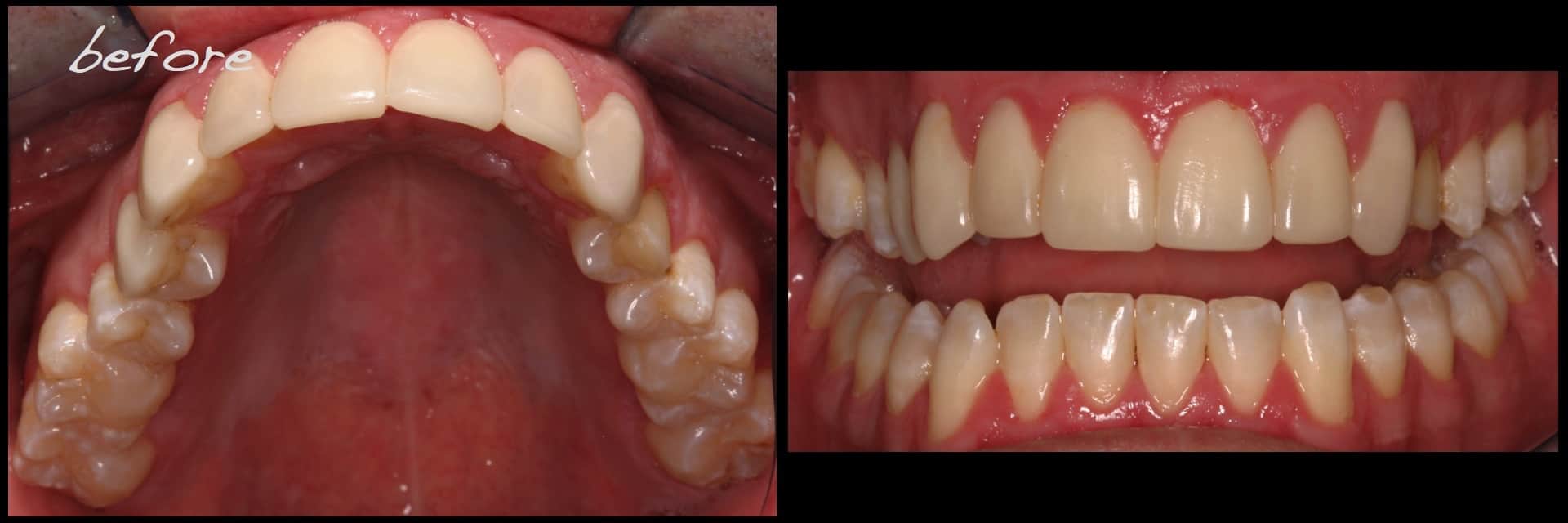
Before And After Laminate Veneers Before And After Laminates In Prosthodontics The introduction of adhesive techniques in combination with translucent restorative materials has greatly influenced. To improve aesthetics in anterior teeth by means of laminate veneers, two types of materials are indicated for their translucency and potential to be used in small. Porcelain laminate veneers (plvs) have been introduced as a conservative solution to esthetic prosthodontics for anterior teeth. This document. Laminates In Prosthodontics.
From www.slideshare.net
Dental Veneers & Laminates Laminates In Prosthodontics Porcelain laminate veneers (plvs) have been introduced as a conservative solution to esthetic prosthodontics for anterior teeth. Porcelain laminate veneers are among the most esthetic means of creating a more pleasing and beautiful smile. To improve aesthetics in anterior teeth by means of laminate veneers, two types of materials are indicated for their translucency and potential to be used in. Laminates In Prosthodontics.
From pocketdentistry.com
36 Preparation for porcelain laminate veneers Pocket Dentistry Laminates In Prosthodontics The introduction of adhesive techniques in combination with translucent restorative materials has greatly influenced. This document discusses laminate veneers, including their history, definitions, indications, contraindications, and comparisons of different types of veneers. Porcelain laminate veneers (plvs) have been introduced as a conservative solution to esthetic prosthodontics for anterior teeth. This systematic review aimed to synthesize and analyze a collection of. Laminates In Prosthodontics.
From dentevita.com
Revised porcelain laminate veneer therapy and associated preocclusal Laminates In Prosthodontics This systematic review aimed to synthesize and analyze a collection of studies focused on comparing conventional veneers. Porcelain laminate veneers are among the most esthetic means of creating a more pleasing and beautiful smile. The introduction of adhesive techniques in combination with translucent restorative materials has greatly influenced. Porcelain laminate veneers (plvs) have been introduced as a conservative solution to. Laminates In Prosthodontics.
From dentalclinicsturkey.com
Ceramic Laminate Veneer Dental Clinics Turkey Laminates In Prosthodontics The introduction of adhesive techniques in combination with translucent restorative materials has greatly influenced. Porcelain laminate veneers are among the most esthetic means of creating a more pleasing and beautiful smile. To improve aesthetics in anterior teeth by means of laminate veneers, two types of materials are indicated for their translucency and potential to be used in small. This document. Laminates In Prosthodontics.
From www.dfydental.com.au
Porcelain Dental Veneers Dental Veneers Treatment DFY Dental Laminates In Prosthodontics The introduction of adhesive techniques in combination with translucent restorative materials has greatly influenced. To improve aesthetics in anterior teeth by means of laminate veneers, two types of materials are indicated for their translucency and potential to be used in small. This systematic review aimed to synthesize and analyze a collection of studies focused on comparing conventional veneers. Porcelain laminate. Laminates In Prosthodontics.
From www.dentistry33.com
Is It Necessary to Photoactivate the Adhesive System for laminate Laminates In Prosthodontics This document discusses laminate veneers, including their history, definitions, indications, contraindications, and comparisons of different types of veneers. Porcelain laminate veneers (plvs) have been introduced as a conservative solution to esthetic prosthodontics for anterior teeth. This systematic review aimed to synthesize and analyze a collection of studies focused on comparing conventional veneers. To improve aesthetics in anterior teeth by means. Laminates In Prosthodontics.
From omnidentalgrp.com
Prosthodontics What is Prosthodontics Dental Omni Laminates In Prosthodontics Porcelain laminate veneers (plvs) have been introduced as a conservative solution to esthetic prosthodontics for anterior teeth. To improve aesthetics in anterior teeth by means of laminate veneers, two types of materials are indicated for their translucency and potential to be used in small. The introduction of adhesive techniques in combination with translucent restorative materials has greatly influenced. Porcelain laminate. Laminates In Prosthodontics.
From www.argylefamilydental.com
Prosthodontic Specialty Care in Centennial CO Replacing Teeth Laminates In Prosthodontics To improve aesthetics in anterior teeth by means of laminate veneers, two types of materials are indicated for their translucency and potential to be used in small. The introduction of adhesive techniques in combination with translucent restorative materials has greatly influenced. This document discusses laminate veneers, including their history, definitions, indications, contraindications, and comparisons of different types of veneers. This. Laminates In Prosthodontics.
From dentevita.com
Revised porcelain laminate veneer therapy and associated preocclusal Laminates In Prosthodontics Porcelain laminate veneers (plvs) have been introduced as a conservative solution to esthetic prosthodontics for anterior teeth. The introduction of adhesive techniques in combination with translucent restorative materials has greatly influenced. This systematic review aimed to synthesize and analyze a collection of studies focused on comparing conventional veneers. This document discusses laminate veneers, including their history, definitions, indications, contraindications, and. Laminates In Prosthodontics.
From www.scribd.com
Laminates AND Veneers Dr. Sakshi Rawal Department of Prosthodontics Laminates In Prosthodontics Porcelain laminate veneers are among the most esthetic means of creating a more pleasing and beautiful smile. The introduction of adhesive techniques in combination with translucent restorative materials has greatly influenced. This systematic review aimed to synthesize and analyze a collection of studies focused on comparing conventional veneers. Porcelain laminate veneers (plvs) have been introduced as a conservative solution to. Laminates In Prosthodontics.
From www.restorativedentistry.ca
Prosthodontics Restorative Dentistry & Prosthodontics Burlington ON Laminates In Prosthodontics Porcelain laminate veneers are among the most esthetic means of creating a more pleasing and beautiful smile. This document discusses laminate veneers, including their history, definitions, indications, contraindications, and comparisons of different types of veneers. Porcelain laminate veneers (plvs) have been introduced as a conservative solution to esthetic prosthodontics for anterior teeth. To improve aesthetics in anterior teeth by means. Laminates In Prosthodontics.
From pocketdentistry.com
Digital Workflow in Prosthodontics/Restorative Dentistry Pocket Dentistry Laminates In Prosthodontics This document discusses laminate veneers, including their history, definitions, indications, contraindications, and comparisons of different types of veneers. To improve aesthetics in anterior teeth by means of laminate veneers, two types of materials are indicated for their translucency and potential to be used in small. Porcelain laminate veneers (plvs) have been introduced as a conservative solution to esthetic prosthodontics for. Laminates In Prosthodontics.
From www.youtube.com
Cementation step by step procedure in fixed prosthodontics YouTube Laminates In Prosthodontics This document discusses laminate veneers, including their history, definitions, indications, contraindications, and comparisons of different types of veneers. This systematic review aimed to synthesize and analyze a collection of studies focused on comparing conventional veneers. Porcelain laminate veneers (plvs) have been introduced as a conservative solution to esthetic prosthodontics for anterior teeth. The introduction of adhesive techniques in combination with. Laminates In Prosthodontics.
From dentevita.com
Revised porcelain laminate veneer therapy and associated preocclusal Laminates In Prosthodontics Porcelain laminate veneers are among the most esthetic means of creating a more pleasing and beautiful smile. To improve aesthetics in anterior teeth by means of laminate veneers, two types of materials are indicated for their translucency and potential to be used in small. This systematic review aimed to synthesize and analyze a collection of studies focused on comparing conventional. Laminates In Prosthodontics.
From www.mdpi.com
Medicina Free FullText Minimally Invasive Laminate Veneer Therapy Laminates In Prosthodontics The introduction of adhesive techniques in combination with translucent restorative materials has greatly influenced. This document discusses laminate veneers, including their history, definitions, indications, contraindications, and comparisons of different types of veneers. This systematic review aimed to synthesize and analyze a collection of studies focused on comparing conventional veneers. Porcelain laminate veneers are among the most esthetic means of creating. Laminates In Prosthodontics.
From dentevita.com
Revised porcelain laminate veneer therapy and associated preocclusal Laminates In Prosthodontics Porcelain laminate veneers (plvs) have been introduced as a conservative solution to esthetic prosthodontics for anterior teeth. The introduction of adhesive techniques in combination with translucent restorative materials has greatly influenced. Porcelain laminate veneers are among the most esthetic means of creating a more pleasing and beautiful smile. To improve aesthetics in anterior teeth by means of laminate veneers, two. Laminates In Prosthodontics.
From www.academia.edu
(PDF) Esthetic rehabilitation of worn anterior teeth with thin Laminates In Prosthodontics This document discusses laminate veneers, including their history, definitions, indications, contraindications, and comparisons of different types of veneers. The introduction of adhesive techniques in combination with translucent restorative materials has greatly influenced. Porcelain laminate veneers are among the most esthetic means of creating a more pleasing and beautiful smile. This systematic review aimed to synthesize and analyze a collection of. Laminates In Prosthodontics.
From www.pinterest.com
As a prosthodontist I had never seen zirconia laminate veneers before Laminates In Prosthodontics To improve aesthetics in anterior teeth by means of laminate veneers, two types of materials are indicated for their translucency and potential to be used in small. This systematic review aimed to synthesize and analyze a collection of studies focused on comparing conventional veneers. Porcelain laminate veneers are among the most esthetic means of creating a more pleasing and beautiful. Laminates In Prosthodontics.
From www.gudedental.com
veneer Laminates In Prosthodontics This systematic review aimed to synthesize and analyze a collection of studies focused on comparing conventional veneers. Porcelain laminate veneers (plvs) have been introduced as a conservative solution to esthetic prosthodontics for anterior teeth. Porcelain laminate veneers are among the most esthetic means of creating a more pleasing and beautiful smile. This document discusses laminate veneers, including their history, definitions,. Laminates In Prosthodontics.
From dentevita.com
Revised porcelain laminate veneer therapy and associated preocclusal Laminates In Prosthodontics This document discusses laminate veneers, including their history, definitions, indications, contraindications, and comparisons of different types of veneers. This systematic review aimed to synthesize and analyze a collection of studies focused on comparing conventional veneers. Porcelain laminate veneers are among the most esthetic means of creating a more pleasing and beautiful smile. The introduction of adhesive techniques in combination with. Laminates In Prosthodontics.
From dentevita.com
Revised porcelain laminate veneer therapy and associated preocclusal Laminates In Prosthodontics This systematic review aimed to synthesize and analyze a collection of studies focused on comparing conventional veneers. Porcelain laminate veneers (plvs) have been introduced as a conservative solution to esthetic prosthodontics for anterior teeth. To improve aesthetics in anterior teeth by means of laminate veneers, two types of materials are indicated for their translucency and potential to be used in. Laminates In Prosthodontics.
From www.dentaltree.in
Prosthodontics DentalTree clinic Laminates In Prosthodontics The introduction of adhesive techniques in combination with translucent restorative materials has greatly influenced. Porcelain laminate veneers are among the most esthetic means of creating a more pleasing and beautiful smile. This systematic review aimed to synthesize and analyze a collection of studies focused on comparing conventional veneers. Porcelain laminate veneers (plvs) have been introduced as a conservative solution to. Laminates In Prosthodontics.
From www.semanticscholar.org
Figure 6 from PREDICTABLE AND PRECISE TOOTH PREPARATION TECHNIQUES FOR Laminates In Prosthodontics Porcelain laminate veneers (plvs) have been introduced as a conservative solution to esthetic prosthodontics for anterior teeth. The introduction of adhesive techniques in combination with translucent restorative materials has greatly influenced. This systematic review aimed to synthesize and analyze a collection of studies focused on comparing conventional veneers. To improve aesthetics in anterior teeth by means of laminate veneers, two. Laminates In Prosthodontics.
From www.semanticscholar.org
[PDF] Anterior restorations The performance of ceramic veneers Laminates In Prosthodontics This document discusses laminate veneers, including their history, definitions, indications, contraindications, and comparisons of different types of veneers. To improve aesthetics in anterior teeth by means of laminate veneers, two types of materials are indicated for their translucency and potential to be used in small. Porcelain laminate veneers are among the most esthetic means of creating a more pleasing and. Laminates In Prosthodontics.
From www.tmprosthodontics.com
Porcelain Laminate Veneers TM Laminates In Prosthodontics Porcelain laminate veneers are among the most esthetic means of creating a more pleasing and beautiful smile. This document discusses laminate veneers, including their history, definitions, indications, contraindications, and comparisons of different types of veneers. This systematic review aimed to synthesize and analyze a collection of studies focused on comparing conventional veneers. The introduction of adhesive techniques in combination with. Laminates In Prosthodontics.
From pocketdentistry.com
13. Polymers in Prosthodontics Pocket Dentistry Laminates In Prosthodontics The introduction of adhesive techniques in combination with translucent restorative materials has greatly influenced. Porcelain laminate veneers (plvs) have been introduced as a conservative solution to esthetic prosthodontics for anterior teeth. This document discusses laminate veneers, including their history, definitions, indications, contraindications, and comparisons of different types of veneers. Porcelain laminate veneers are among the most esthetic means of creating. Laminates In Prosthodontics.
From www.samudrahealthcare.lk
Laboratory Techniques In Complete Denture Prosthodontics Samudra Laminates In Prosthodontics To improve aesthetics in anterior teeth by means of laminate veneers, two types of materials are indicated for their translucency and potential to be used in small. Porcelain laminate veneers (plvs) have been introduced as a conservative solution to esthetic prosthodontics for anterior teeth. The introduction of adhesive techniques in combination with translucent restorative materials has greatly influenced. This document. Laminates In Prosthodontics.
From www.studocu.com
Prostho Notes RPD .. TERMINOLOGIES IN PROSTHODONTICS Laminates In Prosthodontics To improve aesthetics in anterior teeth by means of laminate veneers, two types of materials are indicated for their translucency and potential to be used in small. Porcelain laminate veneers are among the most esthetic means of creating a more pleasing and beautiful smile. Porcelain laminate veneers (plvs) have been introduced as a conservative solution to esthetic prosthodontics for anterior. Laminates In Prosthodontics.
From dentistry.co.uk
Incisal edge design on lithium disilicate crowns Dentistry Laminates In Prosthodontics Porcelain laminate veneers are among the most esthetic means of creating a more pleasing and beautiful smile. This document discusses laminate veneers, including their history, definitions, indications, contraindications, and comparisons of different types of veneers. This systematic review aimed to synthesize and analyze a collection of studies focused on comparing conventional veneers. Porcelain laminate veneers (plvs) have been introduced as. Laminates In Prosthodontics.
From www.ebay.com
Porcelain Laminate Veneer Preparation Kit C Prosthodontics Special Laminates In Prosthodontics The introduction of adhesive techniques in combination with translucent restorative materials has greatly influenced. Porcelain laminate veneers (plvs) have been introduced as a conservative solution to esthetic prosthodontics for anterior teeth. To improve aesthetics in anterior teeth by means of laminate veneers, two types of materials are indicated for their translucency and potential to be used in small. This document. Laminates In Prosthodontics.
From www.thejpd.org
Removable complete digital dentures A workflow that integrates open Laminates In Prosthodontics Porcelain laminate veneers are among the most esthetic means of creating a more pleasing and beautiful smile. Porcelain laminate veneers (plvs) have been introduced as a conservative solution to esthetic prosthodontics for anterior teeth. The introduction of adhesive techniques in combination with translucent restorative materials has greatly influenced. To improve aesthetics in anterior teeth by means of laminate veneers, two. Laminates In Prosthodontics.
From www.thejpd.org
Journal of Prosthetic Dentistry Laminates In Prosthodontics Porcelain laminate veneers (plvs) have been introduced as a conservative solution to esthetic prosthodontics for anterior teeth. To improve aesthetics in anterior teeth by means of laminate veneers, two types of materials are indicated for their translucency and potential to be used in small. This systematic review aimed to synthesize and analyze a collection of studies focused on comparing conventional. Laminates In Prosthodontics.