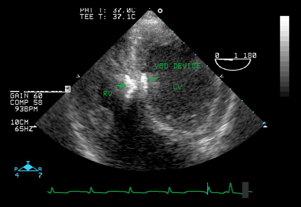
Residual Shunt After Vsd Closure . the findings of the present study revealed that the closure of vsd residual shunts with on beating heart. principally, residual shunts after surgical closure of vsd are not uncommon, ranging from 5 to 25%,. the amplatzer muscular vsd occluder is safe and effective for closure of muscular defects. we evaluated our results in the current era after surgical closure of a vsd with regard to residual defects and.
from www.youtube.com
the findings of the present study revealed that the closure of vsd residual shunts with on beating heart. principally, residual shunts after surgical closure of vsd are not uncommon, ranging from 5 to 25%,. the amplatzer muscular vsd occluder is safe and effective for closure of muscular defects. we evaluated our results in the current era after surgical closure of a vsd with regard to residual defects and.
Left to right shunt (ventricular septal defect) YouTube
Residual Shunt After Vsd Closure the amplatzer muscular vsd occluder is safe and effective for closure of muscular defects. principally, residual shunts after surgical closure of vsd are not uncommon, ranging from 5 to 25%,. the findings of the present study revealed that the closure of vsd residual shunts with on beating heart. we evaluated our results in the current era after surgical closure of a vsd with regard to residual defects and. the amplatzer muscular vsd occluder is safe and effective for closure of muscular defects.
From www.researchgate.net
Angiography and fluoroscopic imaging surrounding the cardiac Residual Shunt After Vsd Closure we evaluated our results in the current era after surgical closure of a vsd with regard to residual defects and. principally, residual shunts after surgical closure of vsd are not uncommon, ranging from 5 to 25%,. the amplatzer muscular vsd occluder is safe and effective for closure of muscular defects. the findings of the present study. Residual Shunt After Vsd Closure.
From www.researchgate.net
Angiogram of juxtaarterial ventricular septal defect (VSD). (a) A Residual Shunt After Vsd Closure we evaluated our results in the current era after surgical closure of a vsd with regard to residual defects and. the amplatzer muscular vsd occluder is safe and effective for closure of muscular defects. principally, residual shunts after surgical closure of vsd are not uncommon, ranging from 5 to 25%,. the findings of the present study. Residual Shunt After Vsd Closure.
From www.clinicaladvisor.com
Patent Foramen Ovale/Atrial Septal Defect/Ventricular Septal Defect Residual Shunt After Vsd Closure we evaluated our results in the current era after surgical closure of a vsd with regard to residual defects and. principally, residual shunts after surgical closure of vsd are not uncommon, ranging from 5 to 25%,. the findings of the present study revealed that the closure of vsd residual shunts with on beating heart. the amplatzer. Residual Shunt After Vsd Closure.
From www.slideserve.com
PPT Ventricular septal defects PowerPoint Presentation, free download Residual Shunt After Vsd Closure the amplatzer muscular vsd occluder is safe and effective for closure of muscular defects. the findings of the present study revealed that the closure of vsd residual shunts with on beating heart. principally, residual shunts after surgical closure of vsd are not uncommon, ranging from 5 to 25%,. we evaluated our results in the current era. Residual Shunt After Vsd Closure.
From eurointervention.pcronline.com
First European experience of percutaneous closure of ventricular septal Residual Shunt After Vsd Closure principally, residual shunts after surgical closure of vsd are not uncommon, ranging from 5 to 25%,. we evaluated our results in the current era after surgical closure of a vsd with regard to residual defects and. the findings of the present study revealed that the closure of vsd residual shunts with on beating heart. the amplatzer. Residual Shunt After Vsd Closure.
From www.revespcardiol.org
New Surgical Approach to Device Closure of Multiple Apical Ventricular Residual Shunt After Vsd Closure principally, residual shunts after surgical closure of vsd are not uncommon, ranging from 5 to 25%,. the amplatzer muscular vsd occluder is safe and effective for closure of muscular defects. the findings of the present study revealed that the closure of vsd residual shunts with on beating heart. we evaluated our results in the current era. Residual Shunt After Vsd Closure.
From www.researchgate.net
Transcatheter closure of a residual VSD. (a) Angiography of left Residual Shunt After Vsd Closure we evaluated our results in the current era after surgical closure of a vsd with regard to residual defects and. the amplatzer muscular vsd occluder is safe and effective for closure of muscular defects. principally, residual shunts after surgical closure of vsd are not uncommon, ranging from 5 to 25%,. the findings of the present study. Residual Shunt After Vsd Closure.
From www.pcronline.com
Interventional closure of LVOT to LA shunt after aortic valve replacement Residual Shunt After Vsd Closure we evaluated our results in the current era after surgical closure of a vsd with regard to residual defects and. the amplatzer muscular vsd occluder is safe and effective for closure of muscular defects. the findings of the present study revealed that the closure of vsd residual shunts with on beating heart. principally, residual shunts after. Residual Shunt After Vsd Closure.
From www.annsaudimed.net
Transcatheter closure of residual postinfarction ventricular septal Residual Shunt After Vsd Closure we evaluated our results in the current era after surgical closure of a vsd with regard to residual defects and. the amplatzer muscular vsd occluder is safe and effective for closure of muscular defects. the findings of the present study revealed that the closure of vsd residual shunts with on beating heart. principally, residual shunts after. Residual Shunt After Vsd Closure.
From heart.bmj.com
Transcatheter closure of a midmuscular ventricular septal defect with Residual Shunt After Vsd Closure principally, residual shunts after surgical closure of vsd are not uncommon, ranging from 5 to 25%,. we evaluated our results in the current era after surgical closure of a vsd with regard to residual defects and. the amplatzer muscular vsd occluder is safe and effective for closure of muscular defects. the findings of the present study. Residual Shunt After Vsd Closure.
From link.springer.com
The experience of transcatheter closure of postoperative ventricular Residual Shunt After Vsd Closure we evaluated our results in the current era after surgical closure of a vsd with regard to residual defects and. principally, residual shunts after surgical closure of vsd are not uncommon, ranging from 5 to 25%,. the amplatzer muscular vsd occluder is safe and effective for closure of muscular defects. the findings of the present study. Residual Shunt After Vsd Closure.
From www.youtube.com
Right to left shunt across subaortic VSD YouTube Residual Shunt After Vsd Closure we evaluated our results in the current era after surgical closure of a vsd with regard to residual defects and. the amplatzer muscular vsd occluder is safe and effective for closure of muscular defects. principally, residual shunts after surgical closure of vsd are not uncommon, ranging from 5 to 25%,. the findings of the present study. Residual Shunt After Vsd Closure.
From www.researchgate.net
(A) Follow up TEE of the patient with central residual shunt (white Residual Shunt After Vsd Closure principally, residual shunts after surgical closure of vsd are not uncommon, ranging from 5 to 25%,. we evaluated our results in the current era after surgical closure of a vsd with regard to residual defects and. the findings of the present study revealed that the closure of vsd residual shunts with on beating heart. the amplatzer. Residual Shunt After Vsd Closure.
From www.researchgate.net
Transcatheter closure of postsurgical residual shunts and postclosure Residual Shunt After Vsd Closure we evaluated our results in the current era after surgical closure of a vsd with regard to residual defects and. the amplatzer muscular vsd occluder is safe and effective for closure of muscular defects. principally, residual shunts after surgical closure of vsd are not uncommon, ranging from 5 to 25%,. the findings of the present study. Residual Shunt After Vsd Closure.
From bchcicu.org
dTGA/VSD Online supplement Residual Shunt After Vsd Closure we evaluated our results in the current era after surgical closure of a vsd with regard to residual defects and. the amplatzer muscular vsd occluder is safe and effective for closure of muscular defects. the findings of the present study revealed that the closure of vsd residual shunts with on beating heart. principally, residual shunts after. Residual Shunt After Vsd Closure.
From jotci.org
Offlabel device closure of residual shunt after surgical ligation of Residual Shunt After Vsd Closure we evaluated our results in the current era after surgical closure of a vsd with regard to residual defects and. principally, residual shunts after surgical closure of vsd are not uncommon, ranging from 5 to 25%,. the findings of the present study revealed that the closure of vsd residual shunts with on beating heart. the amplatzer. Residual Shunt After Vsd Closure.
From www.heart.org
Ventricular Septal Defect (VSD) American Heart Association Residual Shunt After Vsd Closure the findings of the present study revealed that the closure of vsd residual shunts with on beating heart. the amplatzer muscular vsd occluder is safe and effective for closure of muscular defects. principally, residual shunts after surgical closure of vsd are not uncommon, ranging from 5 to 25%,. we evaluated our results in the current era. Residual Shunt After Vsd Closure.
From www.bestcardiachospitalpcmc.com
ATRIAL SEPTAL DEFECT CLOSURE (ASD CLOSURE) 7 Orange Hospital Residual Shunt After Vsd Closure the findings of the present study revealed that the closure of vsd residual shunts with on beating heart. principally, residual shunts after surgical closure of vsd are not uncommon, ranging from 5 to 25%,. we evaluated our results in the current era after surgical closure of a vsd with regard to residual defects and. the amplatzer. Residual Shunt After Vsd Closure.
From www.researchgate.net
(a) Crosssectional echocardiogram in the long axis parasternal view of Residual Shunt After Vsd Closure the findings of the present study revealed that the closure of vsd residual shunts with on beating heart. the amplatzer muscular vsd occluder is safe and effective for closure of muscular defects. principally, residual shunts after surgical closure of vsd are not uncommon, ranging from 5 to 25%,. we evaluated our results in the current era. Residual Shunt After Vsd Closure.
From www.researchgate.net
(PDF) Percutaneous Punctured Transcatheter Device Closure of Residual Residual Shunt After Vsd Closure principally, residual shunts after surgical closure of vsd are not uncommon, ranging from 5 to 25%,. the findings of the present study revealed that the closure of vsd residual shunts with on beating heart. the amplatzer muscular vsd occluder is safe and effective for closure of muscular defects. we evaluated our results in the current era. Residual Shunt After Vsd Closure.
From www.wikidoc.org
Ventricular septal defect pathophysiology wikidoc Residual Shunt After Vsd Closure the findings of the present study revealed that the closure of vsd residual shunts with on beating heart. we evaluated our results in the current era after surgical closure of a vsd with regard to residual defects and. principally, residual shunts after surgical closure of vsd are not uncommon, ranging from 5 to 25%,. the amplatzer. Residual Shunt After Vsd Closure.
From www.researchgate.net
Angiographic evaluation before and after device closure of VSD in Residual Shunt After Vsd Closure the amplatzer muscular vsd occluder is safe and effective for closure of muscular defects. we evaluated our results in the current era after surgical closure of a vsd with regard to residual defects and. principally, residual shunts after surgical closure of vsd are not uncommon, ranging from 5 to 25%,. the findings of the present study. Residual Shunt After Vsd Closure.
From www.analesdepediatria.org
Percutaneous closure of big interventricular septal defect in an infant Residual Shunt After Vsd Closure the amplatzer muscular vsd occluder is safe and effective for closure of muscular defects. principally, residual shunts after surgical closure of vsd are not uncommon, ranging from 5 to 25%,. we evaluated our results in the current era after surgical closure of a vsd with regard to residual defects and. the findings of the present study. Residual Shunt After Vsd Closure.
From www.kidsheartshouston.com
Ventricular Septal Defect Pediatric Cardiology Associates of Houston Residual Shunt After Vsd Closure principally, residual shunts after surgical closure of vsd are not uncommon, ranging from 5 to 25%,. the amplatzer muscular vsd occluder is safe and effective for closure of muscular defects. the findings of the present study revealed that the closure of vsd residual shunts with on beating heart. we evaluated our results in the current era. Residual Shunt After Vsd Closure.
From www.techscience.com
CHD Free FullText Transcatheter Ventricular Septal Defect Closure Residual Shunt After Vsd Closure the amplatzer muscular vsd occluder is safe and effective for closure of muscular defects. the findings of the present study revealed that the closure of vsd residual shunts with on beating heart. we evaluated our results in the current era after surgical closure of a vsd with regard to residual defects and. principally, residual shunts after. Residual Shunt After Vsd Closure.
From www.researchgate.net
Transcatheter closure of postoperative residual perimembranous VSD Residual Shunt After Vsd Closure the amplatzer muscular vsd occluder is safe and effective for closure of muscular defects. principally, residual shunts after surgical closure of vsd are not uncommon, ranging from 5 to 25%,. we evaluated our results in the current era after surgical closure of a vsd with regard to residual defects and. the findings of the present study. Residual Shunt After Vsd Closure.
From www.pinterest.com
Left To Right Shunt Lesions Atrial Septal Defect (ASD) Atrial septal Residual Shunt After Vsd Closure the amplatzer muscular vsd occluder is safe and effective for closure of muscular defects. we evaluated our results in the current era after surgical closure of a vsd with regard to residual defects and. the findings of the present study revealed that the closure of vsd residual shunts with on beating heart. principally, residual shunts after. Residual Shunt After Vsd Closure.
From www.researchgate.net
Early complications of VSD device closure (A) LV angiography Residual Shunt After Vsd Closure principally, residual shunts after surgical closure of vsd are not uncommon, ranging from 5 to 25%,. we evaluated our results in the current era after surgical closure of a vsd with regard to residual defects and. the amplatzer muscular vsd occluder is safe and effective for closure of muscular defects. the findings of the present study. Residual Shunt After Vsd Closure.
From www.researchgate.net
a Membranous VSD (diameter = 5.56 mm) with residual shunting; b Residual Shunt After Vsd Closure the findings of the present study revealed that the closure of vsd residual shunts with on beating heart. principally, residual shunts after surgical closure of vsd are not uncommon, ranging from 5 to 25%,. the amplatzer muscular vsd occluder is safe and effective for closure of muscular defects. we evaluated our results in the current era. Residual Shunt After Vsd Closure.
From www.youtube.com
Left to right shunt (ventricular septal defect) YouTube Residual Shunt After Vsd Closure we evaluated our results in the current era after surgical closure of a vsd with regard to residual defects and. the amplatzer muscular vsd occluder is safe and effective for closure of muscular defects. the findings of the present study revealed that the closure of vsd residual shunts with on beating heart. principally, residual shunts after. Residual Shunt After Vsd Closure.
From www.researchgate.net
Residual shunts, TTE followup after surgery. Residual shunts occurred Residual Shunt After Vsd Closure the findings of the present study revealed that the closure of vsd residual shunts with on beating heart. the amplatzer muscular vsd occluder is safe and effective for closure of muscular defects. principally, residual shunts after surgical closure of vsd are not uncommon, ranging from 5 to 25%,. we evaluated our results in the current era. Residual Shunt After Vsd Closure.
From www.internationaljournalofcardiology.com
Transcatheter closure of a residual shunt after surgical repair of Residual Shunt After Vsd Closure principally, residual shunts after surgical closure of vsd are not uncommon, ranging from 5 to 25%,. we evaluated our results in the current era after surgical closure of a vsd with regard to residual defects and. the amplatzer muscular vsd occluder is safe and effective for closure of muscular defects. the findings of the present study. Residual Shunt After Vsd Closure.
From www.researchgate.net
(A) LV angiography (60° left anterior oblique with 20° cranial) to Residual Shunt After Vsd Closure the findings of the present study revealed that the closure of vsd residual shunts with on beating heart. principally, residual shunts after surgical closure of vsd are not uncommon, ranging from 5 to 25%,. we evaluated our results in the current era after surgical closure of a vsd with regard to residual defects and. the amplatzer. Residual Shunt After Vsd Closure.
From amjcaserep.com
American Journal of Case Reports Simultaneous Transcatheter Closure Residual Shunt After Vsd Closure principally, residual shunts after surgical closure of vsd are not uncommon, ranging from 5 to 25%,. we evaluated our results in the current era after surgical closure of a vsd with regard to residual defects and. the findings of the present study revealed that the closure of vsd residual shunts with on beating heart. the amplatzer. Residual Shunt After Vsd Closure.
From www.researchgate.net
a Longterm results for residual shunt according to the defect location Residual Shunt After Vsd Closure we evaluated our results in the current era after surgical closure of a vsd with regard to residual defects and. principally, residual shunts after surgical closure of vsd are not uncommon, ranging from 5 to 25%,. the amplatzer muscular vsd occluder is safe and effective for closure of muscular defects. the findings of the present study. Residual Shunt After Vsd Closure.