Gingivitis Reversal . Periodontitis initially starts with gum inflammation (gingivitis), which is reversible. You will first notice gums bleeding when brushing or flossing, along with plaque. Gingivitis can be reversed with professional treatment and good home oral care, but only if treated early before you have bone loss. Gingivitis is reversible and there's a lot you can do on your own. Can gum disease be reversed? Steps you can take at home to prevent and reverse gingivitis include: If left untreated, gingivitis can. Brush your teeth twice a day or, better yet, after every meal. You can reverse gum disease if you treat it early enough. In the early stage, known as gingivitis, the gums become red, swollen, and bleed easily. It's important to make sure you're using effective brushing and. Once you've lost bone around your teeth, it's not reversible.
from www.researchgate.net
You will first notice gums bleeding when brushing or flossing, along with plaque. Steps you can take at home to prevent and reverse gingivitis include: Can gum disease be reversed? Gingivitis can be reversed with professional treatment and good home oral care, but only if treated early before you have bone loss. Periodontitis initially starts with gum inflammation (gingivitis), which is reversible. In the early stage, known as gingivitis, the gums become red, swollen, and bleed easily. It's important to make sure you're using effective brushing and. If left untreated, gingivitis can. You can reverse gum disease if you treat it early enough. Once you've lost bone around your teeth, it's not reversible.
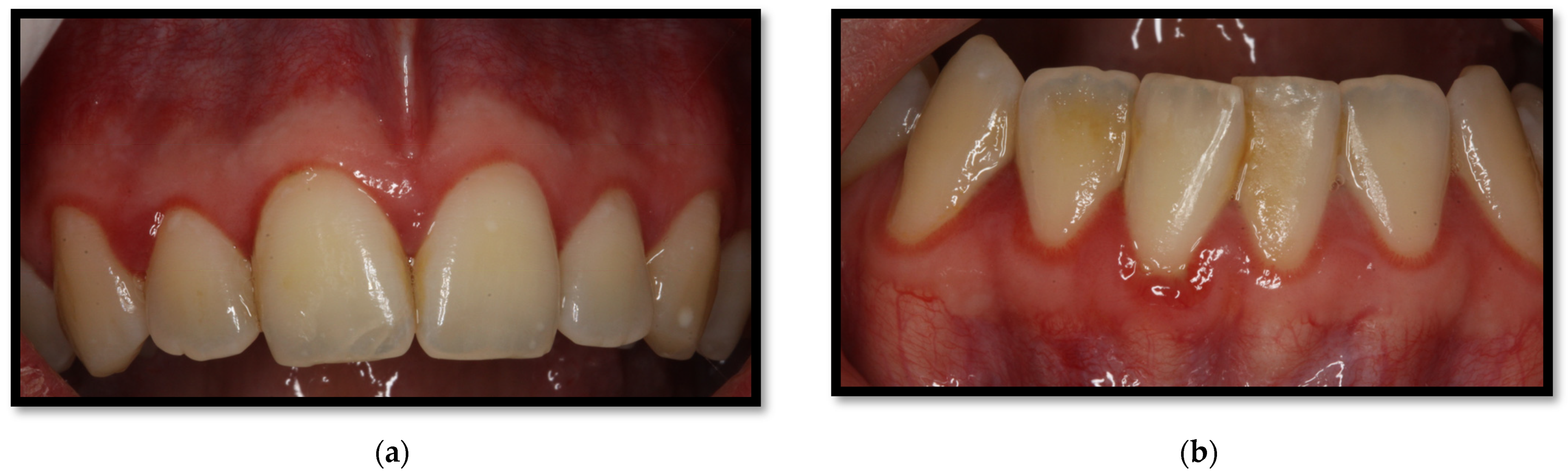
a Preoperative view of gingival recession located at teeth 2126 on
Gingivitis Reversal Gingivitis can be reversed with professional treatment and good home oral care, but only if treated early before you have bone loss. Gingivitis can be reversed with professional treatment and good home oral care, but only if treated early before you have bone loss. In the early stage, known as gingivitis, the gums become red, swollen, and bleed easily. Gingivitis is reversible and there's a lot you can do on your own. Once you've lost bone around your teeth, it's not reversible. Can gum disease be reversed? Brush your teeth twice a day or, better yet, after every meal. You can reverse gum disease if you treat it early enough. Steps you can take at home to prevent and reverse gingivitis include: If left untreated, gingivitis can. It's important to make sure you're using effective brushing and. You will first notice gums bleeding when brushing or flossing, along with plaque. Periodontitis initially starts with gum inflammation (gingivitis), which is reversible.
From sunnysmilesep.com
Treating Gingivitis With A Deep Cleaning El Paso, TX Gingivitis Reversal Once you've lost bone around your teeth, it's not reversible. You can reverse gum disease if you treat it early enough. Gingivitis is reversible and there's a lot you can do on your own. Gingivitis can be reversed with professional treatment and good home oral care, but only if treated early before you have bone loss. If left untreated, gingivitis. Gingivitis Reversal.
From www.linkedin.com
Natural Remedies for Gingivitis Exploring Effective Home Treatments Gingivitis Reversal Gingivitis is reversible and there's a lot you can do on your own. Steps you can take at home to prevent and reverse gingivitis include: It's important to make sure you're using effective brushing and. You will first notice gums bleeding when brushing or flossing, along with plaque. Gingivitis can be reversed with professional treatment and good home oral care,. Gingivitis Reversal.
From www.facebook.com
In a single procedure.... Correcion of "Gingival Zenith points" and Gingivitis Reversal Brush your teeth twice a day or, better yet, after every meal. In the early stage, known as gingivitis, the gums become red, swollen, and bleed easily. You can reverse gum disease if you treat it early enough. Once you've lost bone around your teeth, it's not reversible. Gingivitis can be reversed with professional treatment and good home oral care,. Gingivitis Reversal.
From theelitedental.com
Gingivitis Symptoms and Causes Elite Dental Care Gingivitis Reversal Brush your teeth twice a day or, better yet, after every meal. You will first notice gums bleeding when brushing or flossing, along with plaque. Gingivitis can be reversed with professional treatment and good home oral care, but only if treated early before you have bone loss. Gingivitis is reversible and there's a lot you can do on your own.. Gingivitis Reversal.
From www.mdpi.com
Medicina Free FullText Oral Manifestations Associated with HIV Gingivitis Reversal You will first notice gums bleeding when brushing or flossing, along with plaque. Brush your teeth twice a day or, better yet, after every meal. Gingivitis is reversible and there's a lot you can do on your own. Can gum disease be reversed? It's important to make sure you're using effective brushing and. Gingivitis can be reversed with professional treatment. Gingivitis Reversal.
From www.dentalimplantcenter.com
Gingivitis And Periodontal Disease Dental Implant Center Gingivitis Reversal You can reverse gum disease if you treat it early enough. Gingivitis is reversible and there's a lot you can do on your own. Can gum disease be reversed? Gingivitis can be reversed with professional treatment and good home oral care, but only if treated early before you have bone loss. It's important to make sure you're using effective brushing. Gingivitis Reversal.
From allperfecthealth.com
Gingivitis Gums Symptoms, Treatment, and Prevention Gingivitis Reversal Gingivitis can be reversed with professional treatment and good home oral care, but only if treated early before you have bone loss. Periodontitis initially starts with gum inflammation (gingivitis), which is reversible. Steps you can take at home to prevent and reverse gingivitis include: In the early stage, known as gingivitis, the gums become red, swollen, and bleed easily. If. Gingivitis Reversal.
From www.facebook.com
Gingivitis and Periodontitis... DeAngelis Family Dentistry Gingivitis Reversal Periodontitis initially starts with gum inflammation (gingivitis), which is reversible. Gingivitis can be reversed with professional treatment and good home oral care, but only if treated early before you have bone loss. Brush your teeth twice a day or, better yet, after every meal. In the early stage, known as gingivitis, the gums become red, swollen, and bleed easily. If. Gingivitis Reversal.
From www.advancedsmile.dental
How to Get Rid of Gingivitis SelfCare Advanced Smile Dentistry Gingivitis Reversal Steps you can take at home to prevent and reverse gingivitis include: Brush your teeth twice a day or, better yet, after every meal. If left untreated, gingivitis can. In the early stage, known as gingivitis, the gums become red, swollen, and bleed easily. Can gum disease be reversed? Gingivitis can be reversed with professional treatment and good home oral. Gingivitis Reversal.
From gentledentalmaine.com
How To Prevent Gingivitis Gentle Dental Maine Gingivitis Reversal Gingivitis can be reversed with professional treatment and good home oral care, but only if treated early before you have bone loss. You will first notice gums bleeding when brushing or flossing, along with plaque. Once you've lost bone around your teeth, it's not reversible. In the early stage, known as gingivitis, the gums become red, swollen, and bleed easily.. Gingivitis Reversal.
From www.aspendental.com
A Comprehensive Guide to Gingivitis Gingivitis Reversal Gingivitis can be reversed with professional treatment and good home oral care, but only if treated early before you have bone loss. Once you've lost bone around your teeth, it's not reversible. You can reverse gum disease if you treat it early enough. Steps you can take at home to prevent and reverse gingivitis include: Can gum disease be reversed?. Gingivitis Reversal.
From dentalclinicraipur.com
Periodontitis & Gingivitis Meaning Symptoms Tx Gum Disease Gingivitis Reversal Brush your teeth twice a day or, better yet, after every meal. You will first notice gums bleeding when brushing or flossing, along with plaque. Once you've lost bone around your teeth, it's not reversible. In the early stage, known as gingivitis, the gums become red, swollen, and bleed easily. If left untreated, gingivitis can. Can gum disease be reversed?. Gingivitis Reversal.
From www.tooth-life.com
Yes, You Can Reverse Gingivitis at Home Here's How Gingivitis Reversal You can reverse gum disease if you treat it early enough. Can gum disease be reversed? Gingivitis can be reversed with professional treatment and good home oral care, but only if treated early before you have bone loss. Steps you can take at home to prevent and reverse gingivitis include: If left untreated, gingivitis can. Periodontitis initially starts with gum. Gingivitis Reversal.
From dentalclinicshivpuri.com
Clinical Features of Gingivitis Dr Gourav Sharma Gingivitis Reversal You will first notice gums bleeding when brushing or flossing, along with plaque. It's important to make sure you're using effective brushing and. In the early stage, known as gingivitis, the gums become red, swollen, and bleed easily. Once you've lost bone around your teeth, it's not reversible. Brush your teeth twice a day or, better yet, after every meal.. Gingivitis Reversal.
From ar.inspiredpencil.com
How To Get Rid Of Gingivitis With Braces Gingivitis Reversal Periodontitis initially starts with gum inflammation (gingivitis), which is reversible. It's important to make sure you're using effective brushing and. Once you've lost bone around your teeth, it's not reversible. Can gum disease be reversed? Brush your teeth twice a day or, better yet, after every meal. In the early stage, known as gingivitis, the gums become red, swollen, and. Gingivitis Reversal.
From vithobadentalcare.blogspot.com
Things you need to know about Periodontal Disease Gingivitis Reversal It's important to make sure you're using effective brushing and. Periodontitis initially starts with gum inflammation (gingivitis), which is reversible. Steps you can take at home to prevent and reverse gingivitis include: In the early stage, known as gingivitis, the gums become red, swollen, and bleed easily. You will first notice gums bleeding when brushing or flossing, along with plaque.. Gingivitis Reversal.
From www.researchgate.net
a Preoperative view of gingival recession located at teeth 2126 on Gingivitis Reversal Gingivitis can be reversed with professional treatment and good home oral care, but only if treated early before you have bone loss. Gingivitis is reversible and there's a lot you can do on your own. You can reverse gum disease if you treat it early enough. Periodontitis initially starts with gum inflammation (gingivitis), which is reversible. Steps you can take. Gingivitis Reversal.
From www.myauroradentist.com
Stages of Periodontal Disease Aurora Dental Gingivitis Reversal You will first notice gums bleeding when brushing or flossing, along with plaque. Steps you can take at home to prevent and reverse gingivitis include: Once you've lost bone around your teeth, it's not reversible. If left untreated, gingivitis can. Gingivitis is reversible and there's a lot you can do on your own. It's important to make sure you're using. Gingivitis Reversal.
From mydentaladvocate.com
Gingivitis vs Periodontitis (What's the Difference?) Gingivitis Reversal If left untreated, gingivitis can. Once you've lost bone around your teeth, it's not reversible. You can reverse gum disease if you treat it early enough. It's important to make sure you're using effective brushing and. Steps you can take at home to prevent and reverse gingivitis include: Gingivitis can be reversed with professional treatment and good home oral care,. Gingivitis Reversal.
From www.lovettdentistrykohrville.com
What Is Gingivitis? Your Guide To Your Gums General Dentistry Texas Gingivitis Reversal It's important to make sure you're using effective brushing and. Brush your teeth twice a day or, better yet, after every meal. You will first notice gums bleeding when brushing or flossing, along with plaque. Periodontitis initially starts with gum inflammation (gingivitis), which is reversible. Gingivitis is reversible and there's a lot you can do on your own. You can. Gingivitis Reversal.
From www.cureus.com
Severe Chronic Gingivitis in Association With Hypothyroidism and Grade Gingivitis Reversal Steps you can take at home to prevent and reverse gingivitis include: Can gum disease be reversed? You will first notice gums bleeding when brushing or flossing, along with plaque. Periodontitis initially starts with gum inflammation (gingivitis), which is reversible. In the early stage, known as gingivitis, the gums become red, swollen, and bleed easily. If left untreated, gingivitis can.. Gingivitis Reversal.
From www.information-dentaire.fr
Érythème linéaire gingival ce n’est pas toujours une gingivite due à Gingivitis Reversal Brush your teeth twice a day or, better yet, after every meal. Can gum disease be reversed? Once you've lost bone around your teeth, it's not reversible. Periodontitis initially starts with gum inflammation (gingivitis), which is reversible. Steps you can take at home to prevent and reverse gingivitis include: Gingivitis is reversible and there's a lot you can do on. Gingivitis Reversal.
From allsmilesdentspa.com
Gum Inflammation / Gingivitis Symptoms and Remedies Gingivitis Reversal Periodontitis initially starts with gum inflammation (gingivitis), which is reversible. Gingivitis can be reversed with professional treatment and good home oral care, but only if treated early before you have bone loss. Can gum disease be reversed? Brush your teeth twice a day or, better yet, after every meal. You can reverse gum disease if you treat it early enough.. Gingivitis Reversal.
From toothfeed.com
Gingivitis vs. Periodontitis What is the Difference? Gingivitis Reversal You will first notice gums bleeding when brushing or flossing, along with plaque. Periodontitis initially starts with gum inflammation (gingivitis), which is reversible. Brush your teeth twice a day or, better yet, after every meal. Gingivitis can be reversed with professional treatment and good home oral care, but only if treated early before you have bone loss. Once you've lost. Gingivitis Reversal.
From ar.inspiredpencil.com
Gingivitis Before And After Treatment Gingivitis Reversal Brush your teeth twice a day or, better yet, after every meal. It's important to make sure you're using effective brushing and. If left untreated, gingivitis can. Once you've lost bone around your teeth, it's not reversible. Periodontitis initially starts with gum inflammation (gingivitis), which is reversible. Gingivitis can be reversed with professional treatment and good home oral care, but. Gingivitis Reversal.
From dentince.com
Periodontology Dental Clinic Dentince Gingivitis Reversal You can reverse gum disease if you treat it early enough. Can gum disease be reversed? Gingivitis can be reversed with professional treatment and good home oral care, but only if treated early before you have bone loss. Periodontitis initially starts with gum inflammation (gingivitis), which is reversible. It's important to make sure you're using effective brushing and. You will. Gingivitis Reversal.
From www.mdpi.com
Healthcare Free FullText Is There a Correlation between Gingival Gingivitis Reversal Gingivitis is reversible and there's a lot you can do on your own. Gingivitis can be reversed with professional treatment and good home oral care, but only if treated early before you have bone loss. Once you've lost bone around your teeth, it's not reversible. If left untreated, gingivitis can. In the early stage, known as gingivitis, the gums become. Gingivitis Reversal.
From lanedds.com
Does Gingivitis Smell Bad? Lane & Associates Gingivitis Reversal Steps you can take at home to prevent and reverse gingivitis include: Once you've lost bone around your teeth, it's not reversible. If left untreated, gingivitis can. It's important to make sure you're using effective brushing and. Gingivitis can be reversed with professional treatment and good home oral care, but only if treated early before you have bone loss. You. Gingivitis Reversal.
From onlinedentalcare.org
Gingivitis Online Dental Care Gingivitis Reversal Steps you can take at home to prevent and reverse gingivitis include: Brush your teeth twice a day or, better yet, after every meal. Once you've lost bone around your teeth, it's not reversible. It's important to make sure you're using effective brushing and. You can reverse gum disease if you treat it early enough. Can gum disease be reversed?. Gingivitis Reversal.
From www.parkerdentalandortho.com
Your West Mobile Dentist Helps You Treat Unhealthy Gums Parker Dental Gingivitis Reversal Periodontitis initially starts with gum inflammation (gingivitis), which is reversible. Gingivitis is reversible and there's a lot you can do on your own. Steps you can take at home to prevent and reverse gingivitis include: You will first notice gums bleeding when brushing or flossing, along with plaque. It's important to make sure you're using effective brushing and. Gingivitis can. Gingivitis Reversal.
From zdravljeprevencija.rs
gingivitis, bolest desni, stomatolog, zdravlje zuba Zdravlje i Gingivitis Reversal Can gum disease be reversed? Gingivitis can be reversed with professional treatment and good home oral care, but only if treated early before you have bone loss. Gingivitis is reversible and there's a lot you can do on your own. You will first notice gums bleeding when brushing or flossing, along with plaque. Periodontitis initially starts with gum inflammation (gingivitis),. Gingivitis Reversal.
From www.colgate.com.br
Gengiva retraída tratamento e prevenção Colgate® Cuidado Bucal Gingivitis Reversal It's important to make sure you're using effective brushing and. Once you've lost bone around your teeth, it's not reversible. Gingivitis can be reversed with professional treatment and good home oral care, but only if treated early before you have bone loss. In the early stage, known as gingivitis, the gums become red, swollen, and bleed easily. Gingivitis is reversible. Gingivitis Reversal.
From www.deardoctor.com
Understanding Periodontal Pockets Gingivitis Reversal Periodontitis initially starts with gum inflammation (gingivitis), which is reversible. Steps you can take at home to prevent and reverse gingivitis include: It's important to make sure you're using effective brushing and. You will first notice gums bleeding when brushing or flossing, along with plaque. In the early stage, known as gingivitis, the gums become red, swollen, and bleed easily.. Gingivitis Reversal.
From www.mdpi.com
Dentistry Journal Free FullText Evaluation of Carbon Dioxide Laser Gingivitis Reversal Gingivitis can be reversed with professional treatment and good home oral care, but only if treated early before you have bone loss. It's important to make sure you're using effective brushing and. Gingivitis is reversible and there's a lot you can do on your own. In the early stage, known as gingivitis, the gums become red, swollen, and bleed easily.. Gingivitis Reversal.
From www.health.com
Gingivitis Treatment Options Gingivitis Reversal If left untreated, gingivitis can. Brush your teeth twice a day or, better yet, after every meal. Periodontitis initially starts with gum inflammation (gingivitis), which is reversible. Once you've lost bone around your teeth, it's not reversible. You will first notice gums bleeding when brushing or flossing, along with plaque. In the early stage, known as gingivitis, the gums become. Gingivitis Reversal.