Gaucher Disease Hearing Loss . We suggest that cochlear implants may be useful for sensorineural hearing loss in patients with gaucher disease without neurological. We describe a japanese boy with gaucher disease type 1 who developed bilateral profound sensorineural hearing loss within approximately. Gd is one of the most common. A young boy with gaucher disease type 1 and hearing loss improved his hearing after receiving cochlear implants in both ears. Gaucher disease (gd) is an inborn error of metabolism that affects the recycling of cellular glycolipids.
from pro.campus.sanofi
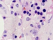
Gaucher disease (gd) is an inborn error of metabolism that affects the recycling of cellular glycolipids. We suggest that cochlear implants may be useful for sensorineural hearing loss in patients with gaucher disease without neurological. A young boy with gaucher disease type 1 and hearing loss improved his hearing after receiving cochlear implants in both ears. Gd is one of the most common. We describe a japanese boy with gaucher disease type 1 who developed bilateral profound sensorineural hearing loss within approximately.
Diagnosis of Gaucher disease
Gaucher Disease Hearing Loss We describe a japanese boy with gaucher disease type 1 who developed bilateral profound sensorineural hearing loss within approximately. We describe a japanese boy with gaucher disease type 1 who developed bilateral profound sensorineural hearing loss within approximately. Gaucher disease (gd) is an inborn error of metabolism that affects the recycling of cellular glycolipids. We suggest that cochlear implants may be useful for sensorineural hearing loss in patients with gaucher disease without neurological. Gd is one of the most common. A young boy with gaucher disease type 1 and hearing loss improved his hearing after receiving cochlear implants in both ears.
From healthjade.com
Gaucher Disease Causes, Types, Symptoms, Treatment Gaucher Disease Hearing Loss Gaucher disease (gd) is an inborn error of metabolism that affects the recycling of cellular glycolipids. We suggest that cochlear implants may be useful for sensorineural hearing loss in patients with gaucher disease without neurological. We describe a japanese boy with gaucher disease type 1 who developed bilateral profound sensorineural hearing loss within approximately. A young boy with gaucher disease. Gaucher Disease Hearing Loss.
From disorders.eyes.arizona.edu
Gaucher Disease Hereditary Ocular Diseases Gaucher Disease Hearing Loss Gaucher disease (gd) is an inborn error of metabolism that affects the recycling of cellular glycolipids. We describe a japanese boy with gaucher disease type 1 who developed bilateral profound sensorineural hearing loss within approximately. Gd is one of the most common. We suggest that cochlear implants may be useful for sensorineural hearing loss in patients with gaucher disease without. Gaucher Disease Hearing Loss.
From pro.campus.sanofi
Diagnosis of Gaucher disease Gaucher Disease Hearing Loss Gd is one of the most common. A young boy with gaucher disease type 1 and hearing loss improved his hearing after receiving cochlear implants in both ears. We describe a japanese boy with gaucher disease type 1 who developed bilateral profound sensorineural hearing loss within approximately. Gaucher disease (gd) is an inborn error of metabolism that affects the recycling. Gaucher Disease Hearing Loss.
From scihub.world
How To Test For Gaucher Disease Gaucher Disease Hearing Loss We suggest that cochlear implants may be useful for sensorineural hearing loss in patients with gaucher disease without neurological. A young boy with gaucher disease type 1 and hearing loss improved his hearing after receiving cochlear implants in both ears. Gd is one of the most common. We describe a japanese boy with gaucher disease type 1 who developed bilateral. Gaucher Disease Hearing Loss.
From lsdssindia.org
Gaucher Disease LSDSS India Gaucher Disease Hearing Loss Gd is one of the most common. We suggest that cochlear implants may be useful for sensorineural hearing loss in patients with gaucher disease without neurological. A young boy with gaucher disease type 1 and hearing loss improved his hearing after receiving cochlear implants in both ears. We describe a japanese boy with gaucher disease type 1 who developed bilateral. Gaucher Disease Hearing Loss.
From imagebank.hematology.org
Gaucher’s disease 1. Gaucher Disease Hearing Loss A young boy with gaucher disease type 1 and hearing loss improved his hearing after receiving cochlear implants in both ears. We suggest that cochlear implants may be useful for sensorineural hearing loss in patients with gaucher disease without neurological. Gd is one of the most common. Gaucher disease (gd) is an inborn error of metabolism that affects the recycling. Gaucher Disease Hearing Loss.
From kikoxp.com
Gaucher disease involving bone (lysosomal storage disorder Gaucher Disease Hearing Loss A young boy with gaucher disease type 1 and hearing loss improved his hearing after receiving cochlear implants in both ears. We describe a japanese boy with gaucher disease type 1 who developed bilateral profound sensorineural hearing loss within approximately. Gd is one of the most common. We suggest that cochlear implants may be useful for sensorineural hearing loss in. Gaucher Disease Hearing Loss.
From medizzy.com
Gaucher’s Disease MEDizzy Gaucher Disease Hearing Loss Gd is one of the most common. We describe a japanese boy with gaucher disease type 1 who developed bilateral profound sensorineural hearing loss within approximately. A young boy with gaucher disease type 1 and hearing loss improved his hearing after receiving cochlear implants in both ears. We suggest that cochlear implants may be useful for sensorineural hearing loss in. Gaucher Disease Hearing Loss.
From gaucherdiseasenews.com
Hearing Loss in Gaucher's Type 1 Patient Improved with Cochlear Implants Gaucher Disease Hearing Loss Gd is one of the most common. Gaucher disease (gd) is an inborn error of metabolism that affects the recycling of cellular glycolipids. A young boy with gaucher disease type 1 and hearing loss improved his hearing after receiving cochlear implants in both ears. We suggest that cochlear implants may be useful for sensorineural hearing loss in patients with gaucher. Gaucher Disease Hearing Loss.
From ordindia.in
Gaucher Disease ORD India Gaucher Disease Hearing Loss Gaucher disease (gd) is an inborn error of metabolism that affects the recycling of cellular glycolipids. We suggest that cochlear implants may be useful for sensorineural hearing loss in patients with gaucher disease without neurological. Gd is one of the most common. We describe a japanese boy with gaucher disease type 1 who developed bilateral profound sensorineural hearing loss within. Gaucher Disease Hearing Loss.
From gaucheralliance.org
What is Gaucher disease? International Gaucher Alliance Gaucher Disease Hearing Loss Gd is one of the most common. A young boy with gaucher disease type 1 and hearing loss improved his hearing after receiving cochlear implants in both ears. We suggest that cochlear implants may be useful for sensorineural hearing loss in patients with gaucher disease without neurological. We describe a japanese boy with gaucher disease type 1 who developed bilateral. Gaucher Disease Hearing Loss.
From prezi.com
Gaucher disease by Anelie Hjer on Prezi Video Gaucher Disease Hearing Loss We suggest that cochlear implants may be useful for sensorineural hearing loss in patients with gaucher disease without neurological. A young boy with gaucher disease type 1 and hearing loss improved his hearing after receiving cochlear implants in both ears. Gd is one of the most common. We describe a japanese boy with gaucher disease type 1 who developed bilateral. Gaucher Disease Hearing Loss.
From imagebank.hematology.org
Gaucher's Disease 2. Gaucher Disease Hearing Loss Gd is one of the most common. We describe a japanese boy with gaucher disease type 1 who developed bilateral profound sensorineural hearing loss within approximately. We suggest that cochlear implants may be useful for sensorineural hearing loss in patients with gaucher disease without neurological. A young boy with gaucher disease type 1 and hearing loss improved his hearing after. Gaucher Disease Hearing Loss.
From www.haikudeck.com
Gaucher Disease Presentation by Joseph Terry Gaucher Disease Hearing Loss Gaucher disease (gd) is an inborn error of metabolism that affects the recycling of cellular glycolipids. A young boy with gaucher disease type 1 and hearing loss improved his hearing after receiving cochlear implants in both ears. Gd is one of the most common. We suggest that cochlear implants may be useful for sensorineural hearing loss in patients with gaucher. Gaucher Disease Hearing Loss.
From www.gaucherdiseasespecialists.com
Gaucher Disease Specialist Gaucher Disease Hearing Loss We suggest that cochlear implants may be useful for sensorineural hearing loss in patients with gaucher disease without neurological. Gaucher disease (gd) is an inborn error of metabolism that affects the recycling of cellular glycolipids. Gd is one of the most common. We describe a japanese boy with gaucher disease type 1 who developed bilateral profound sensorineural hearing loss within. Gaucher Disease Hearing Loss.
From casereports.bmj.com
Jaw involvement in Gaucher disease a feature of a rare Gaucher Disease Hearing Loss Gaucher disease (gd) is an inborn error of metabolism that affects the recycling of cellular glycolipids. Gd is one of the most common. We describe a japanese boy with gaucher disease type 1 who developed bilateral profound sensorineural hearing loss within approximately. We suggest that cochlear implants may be useful for sensorineural hearing loss in patients with gaucher disease without. Gaucher Disease Hearing Loss.
From healthjade.com
Gaucher Disease Causes, Types, Symptoms, Treatment Gaucher Disease Hearing Loss We describe a japanese boy with gaucher disease type 1 who developed bilateral profound sensorineural hearing loss within approximately. A young boy with gaucher disease type 1 and hearing loss improved his hearing after receiving cochlear implants in both ears. Gaucher disease (gd) is an inborn error of metabolism that affects the recycling of cellular glycolipids. Gd is one of. Gaucher Disease Hearing Loss.
From www.mdpi.com
Applied Sciences Free FullText Gaucher Disease in Internal Gaucher Disease Hearing Loss A young boy with gaucher disease type 1 and hearing loss improved his hearing after receiving cochlear implants in both ears. Gd is one of the most common. We describe a japanese boy with gaucher disease type 1 who developed bilateral profound sensorineural hearing loss within approximately. Gaucher disease (gd) is an inborn error of metabolism that affects the recycling. Gaucher Disease Hearing Loss.
From www.faqs.com.pk
What You Need to Know About Gaucher Disease FAQs Gaucher Disease Hearing Loss Gd is one of the most common. We describe a japanese boy with gaucher disease type 1 who developed bilateral profound sensorineural hearing loss within approximately. A young boy with gaucher disease type 1 and hearing loss improved his hearing after receiving cochlear implants in both ears. Gaucher disease (gd) is an inborn error of metabolism that affects the recycling. Gaucher Disease Hearing Loss.
From gaucherdiseasenews.com
Ambroxol Seen to Ease Neurological Symptoms of Gaucher Disease in Pilot Gaucher Disease Hearing Loss We suggest that cochlear implants may be useful for sensorineural hearing loss in patients with gaucher disease without neurological. Gaucher disease (gd) is an inborn error of metabolism that affects the recycling of cellular glycolipids. We describe a japanese boy with gaucher disease type 1 who developed bilateral profound sensorineural hearing loss within approximately. A young boy with gaucher disease. Gaucher Disease Hearing Loss.
From imagebank.hematology.org
Gaucher Disease 2. Gaucher Disease Hearing Loss We suggest that cochlear implants may be useful for sensorineural hearing loss in patients with gaucher disease without neurological. A young boy with gaucher disease type 1 and hearing loss improved his hearing after receiving cochlear implants in both ears. Gaucher disease (gd) is an inborn error of metabolism that affects the recycling of cellular glycolipids. We describe a japanese. Gaucher Disease Hearing Loss.
From islamkids.net
Gaucher Disease مرض لاينز Gaucher Disease Hearing Loss A young boy with gaucher disease type 1 and hearing loss improved his hearing after receiving cochlear implants in both ears. Gaucher disease (gd) is an inborn error of metabolism that affects the recycling of cellular glycolipids. We suggest that cochlear implants may be useful for sensorineural hearing loss in patients with gaucher disease without neurological. Gd is one of. Gaucher Disease Hearing Loss.
From www.knowgaucherdisease.com
Signs and Symptoms Type 1 Gaucher disease Symptoms, testing and Gaucher Disease Hearing Loss A young boy with gaucher disease type 1 and hearing loss improved his hearing after receiving cochlear implants in both ears. Gaucher disease (gd) is an inborn error of metabolism that affects the recycling of cellular glycolipids. Gd is one of the most common. We suggest that cochlear implants may be useful for sensorineural hearing loss in patients with gaucher. Gaucher Disease Hearing Loss.
From www.youtube.com
Gaucher's Disease Etiology, Types, Clinical Features, Pathogenesis Gaucher Disease Hearing Loss Gaucher disease (gd) is an inborn error of metabolism that affects the recycling of cellular glycolipids. A young boy with gaucher disease type 1 and hearing loss improved his hearing after receiving cochlear implants in both ears. We suggest that cochlear implants may be useful for sensorineural hearing loss in patients with gaucher disease without neurological. Gd is one of. Gaucher Disease Hearing Loss.
From www.researchgate.net
Radiological findings in Gaucher Disease Download Scientific Diagram Gaucher Disease Hearing Loss Gaucher disease (gd) is an inborn error of metabolism that affects the recycling of cellular glycolipids. A young boy with gaucher disease type 1 and hearing loss improved his hearing after receiving cochlear implants in both ears. Gd is one of the most common. We describe a japanese boy with gaucher disease type 1 who developed bilateral profound sensorineural hearing. Gaucher Disease Hearing Loss.
From www.semanticscholar.org
Figure 1 from Neuropathological Features of Gaucher Disease and Gaucher Gaucher Disease Hearing Loss Gd is one of the most common. We describe a japanese boy with gaucher disease type 1 who developed bilateral profound sensorineural hearing loss within approximately. A young boy with gaucher disease type 1 and hearing loss improved his hearing after receiving cochlear implants in both ears. Gaucher disease (gd) is an inborn error of metabolism that affects the recycling. Gaucher Disease Hearing Loss.
From fity.club
Pathology Outlines Gaucher Disease Gaucher Disease Hearing Loss Gaucher disease (gd) is an inborn error of metabolism that affects the recycling of cellular glycolipids. A young boy with gaucher disease type 1 and hearing loss improved his hearing after receiving cochlear implants in both ears. We describe a japanese boy with gaucher disease type 1 who developed bilateral profound sensorineural hearing loss within approximately. We suggest that cochlear. Gaucher Disease Hearing Loss.
From www.researchgate.net
Clinical data of Gaucher disease patients at the time of study Gaucher Disease Hearing Loss We describe a japanese boy with gaucher disease type 1 who developed bilateral profound sensorineural hearing loss within approximately. A young boy with gaucher disease type 1 and hearing loss improved his hearing after receiving cochlear implants in both ears. Gd is one of the most common. We suggest that cochlear implants may be useful for sensorineural hearing loss in. Gaucher Disease Hearing Loss.
From www.youtube.com
What is Gaucher Disease? YouTube Gaucher Disease Hearing Loss A young boy with gaucher disease type 1 and hearing loss improved his hearing after receiving cochlear implants in both ears. We describe a japanese boy with gaucher disease type 1 who developed bilateral profound sensorineural hearing loss within approximately. Gd is one of the most common. Gaucher disease (gd) is an inborn error of metabolism that affects the recycling. Gaucher Disease Hearing Loss.
From www.campus.sanofi
How To Diagnose Gaucher Disease Gaucher Disease Hearing Loss Gaucher disease (gd) is an inborn error of metabolism that affects the recycling of cellular glycolipids. Gd is one of the most common. We suggest that cochlear implants may be useful for sensorineural hearing loss in patients with gaucher disease without neurological. A young boy with gaucher disease type 1 and hearing loss improved his hearing after receiving cochlear implants. Gaucher Disease Hearing Loss.
From www.mdpi.com
IJMS Free FullText A Review of Gaucher Disease Pathophysiology Gaucher Disease Hearing Loss We suggest that cochlear implants may be useful for sensorineural hearing loss in patients with gaucher disease without neurological. Gaucher disease (gd) is an inborn error of metabolism that affects the recycling of cellular glycolipids. Gd is one of the most common. A young boy with gaucher disease type 1 and hearing loss improved his hearing after receiving cochlear implants. Gaucher Disease Hearing Loss.
From www.premilife.com
Gaucher's Disease Type 1 Premilife Homeopathic Remedies Gaucher Disease Hearing Loss We describe a japanese boy with gaucher disease type 1 who developed bilateral profound sensorineural hearing loss within approximately. We suggest that cochlear implants may be useful for sensorineural hearing loss in patients with gaucher disease without neurological. A young boy with gaucher disease type 1 and hearing loss improved his hearing after receiving cochlear implants in both ears. Gaucher. Gaucher Disease Hearing Loss.
From www.mdpi.com
IJMS Free FullText A Review of Gaucher Disease Pathophysiology Gaucher Disease Hearing Loss We describe a japanese boy with gaucher disease type 1 who developed bilateral profound sensorineural hearing loss within approximately. Gd is one of the most common. We suggest that cochlear implants may be useful for sensorineural hearing loss in patients with gaucher disease without neurological. A young boy with gaucher disease type 1 and hearing loss improved his hearing after. Gaucher Disease Hearing Loss.
From www.prepladder.com
Gaucher Disease Causes, Symptoms, Risk Factors, Diagnosis, Treatment Gaucher Disease Hearing Loss Gd is one of the most common. We describe a japanese boy with gaucher disease type 1 who developed bilateral profound sensorineural hearing loss within approximately. Gaucher disease (gd) is an inborn error of metabolism that affects the recycling of cellular glycolipids. We suggest that cochlear implants may be useful for sensorineural hearing loss in patients with gaucher disease without. Gaucher Disease Hearing Loss.
From medium.com
Gaucher’s Disease2 Best Treatment methods by Gaucher Disease Hearing Loss We suggest that cochlear implants may be useful for sensorineural hearing loss in patients with gaucher disease without neurological. Gaucher disease (gd) is an inborn error of metabolism that affects the recycling of cellular glycolipids. Gd is one of the most common. A young boy with gaucher disease type 1 and hearing loss improved his hearing after receiving cochlear implants. Gaucher Disease Hearing Loss.