Treatment For Pericardial Fluid . learn how to identify and manage pericardial effusion, a condition where fluid accumulates in the sac around. pericardial effusion is the buildup of fluid around the heart, which can cause chest pain, shortness of breath and. pericardial effusion is a buildup of fluid in the pericardium, a fibrous sac that surrounds the heart, which can cause. once diagnosed, there are numerous treatment options available for the management of patients with pericardial. pericardial effusion is the buildup of excess fluid between the heart and the sac surrounding the heart. pericardial effusion is the buildup of too much fluid in the saclike structure around the heart. pericardial effusion is a buildup of fluid in the sac around your heart that can interfere with its function.
from nursestudy.net
pericardial effusion is the buildup of too much fluid in the saclike structure around the heart. pericardial effusion is a buildup of fluid in the sac around your heart that can interfere with its function. once diagnosed, there are numerous treatment options available for the management of patients with pericardial. pericardial effusion is the buildup of excess fluid between the heart and the sac surrounding the heart. learn how to identify and manage pericardial effusion, a condition where fluid accumulates in the sac around. pericardial effusion is a buildup of fluid in the pericardium, a fibrous sac that surrounds the heart, which can cause. pericardial effusion is the buildup of fluid around the heart, which can cause chest pain, shortness of breath and.
Pericarditis Nursing Care Plans Diagnosis and Interventions
Treatment For Pericardial Fluid pericardial effusion is the buildup of excess fluid between the heart and the sac surrounding the heart. once diagnosed, there are numerous treatment options available for the management of patients with pericardial. pericardial effusion is a buildup of fluid in the pericardium, a fibrous sac that surrounds the heart, which can cause. pericardial effusion is the buildup of excess fluid between the heart and the sac surrounding the heart. pericardial effusion is a buildup of fluid in the sac around your heart that can interfere with its function. learn how to identify and manage pericardial effusion, a condition where fluid accumulates in the sac around. pericardial effusion is the buildup of too much fluid in the saclike structure around the heart. pericardial effusion is the buildup of fluid around the heart, which can cause chest pain, shortness of breath and.
From www.ahajournals.org
Treatment of Purulent Pericarditis With Intrapericardial Alteplase Treatment For Pericardial Fluid pericardial effusion is a buildup of fluid in the pericardium, a fibrous sac that surrounds the heart, which can cause. once diagnosed, there are numerous treatment options available for the management of patients with pericardial. learn how to identify and manage pericardial effusion, a condition where fluid accumulates in the sac around. pericardial effusion is the. Treatment For Pericardial Fluid.
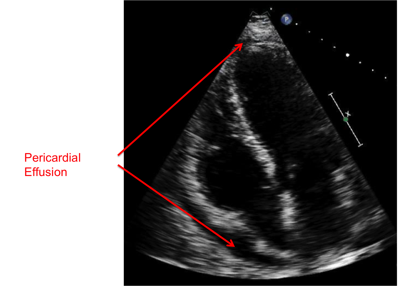
From open.osmosis.org
Pericardial effusion & cardiac tamponade Nursing Process (ADPIE Treatment For Pericardial Fluid pericardial effusion is the buildup of excess fluid between the heart and the sac surrounding the heart. pericardial effusion is the buildup of fluid around the heart, which can cause chest pain, shortness of breath and. pericardial effusion is a buildup of fluid in the pericardium, a fibrous sac that surrounds the heart, which can cause. . Treatment For Pericardial Fluid.
From drlogy.com
Pericardial Fluid Analysis Price, Procedure & Results Drlogy Treatment For Pericardial Fluid learn how to identify and manage pericardial effusion, a condition where fluid accumulates in the sac around. pericardial effusion is the buildup of excess fluid between the heart and the sac surrounding the heart. pericardial effusion is a buildup of fluid in the sac around your heart that can interfere with its function. pericardial effusion is. Treatment For Pericardial Fluid.
From www.ultrasoundgel.org
Ultrasound GEL Treatment For Pericardial Fluid pericardial effusion is the buildup of too much fluid in the saclike structure around the heart. pericardial effusion is a buildup of fluid in the sac around your heart that can interfere with its function. once diagnosed, there are numerous treatment options available for the management of patients with pericardial. pericardial effusion is the buildup of. Treatment For Pericardial Fluid.
From www.acc.org
Acute Pericarditis 101 SelfTreatment Leads to Mistreatment American Treatment For Pericardial Fluid pericardial effusion is the buildup of fluid around the heart, which can cause chest pain, shortness of breath and. pericardial effusion is the buildup of too much fluid in the saclike structure around the heart. once diagnosed, there are numerous treatment options available for the management of patients with pericardial. pericardial effusion is the buildup of. Treatment For Pericardial Fluid.
From www.lecturio.com
Pericardial Effusion and Cardiac Tamponade Concise Medical Knowledge Treatment For Pericardial Fluid pericardial effusion is a buildup of fluid in the sac around your heart that can interfere with its function. pericardial effusion is the buildup of excess fluid between the heart and the sac surrounding the heart. pericardial effusion is the buildup of fluid around the heart, which can cause chest pain, shortness of breath and. pericardial. Treatment For Pericardial Fluid.
From emergencycarebc.ca
Pericarditis Treatment Emergency Care BC Treatment For Pericardial Fluid learn how to identify and manage pericardial effusion, a condition where fluid accumulates in the sac around. pericardial effusion is a buildup of fluid in the sac around your heart that can interfere with its function. pericardial effusion is the buildup of excess fluid between the heart and the sac surrounding the heart. pericardial effusion is. Treatment For Pericardial Fluid.
From www.the-hospitalist.org
How is Acute Pericarditis Diagnosed and Treated? Page 2 of 4 The Treatment For Pericardial Fluid pericardial effusion is the buildup of fluid around the heart, which can cause chest pain, shortness of breath and. once diagnosed, there are numerous treatment options available for the management of patients with pericardial. pericardial effusion is a buildup of fluid in the pericardium, a fibrous sac that surrounds the heart, which can cause. learn how. Treatment For Pericardial Fluid.
From www.ahajournals.org
Treatment of Acute and Recurrent Idiopathic Pericarditis Circulation Treatment For Pericardial Fluid pericardial effusion is the buildup of too much fluid in the saclike structure around the heart. pericardial effusion is the buildup of excess fluid between the heart and the sac surrounding the heart. pericardial effusion is the buildup of fluid around the heart, which can cause chest pain, shortness of breath and. once diagnosed, there are. Treatment For Pericardial Fluid.
From www.mkexpress.net
Pericarditis (+ 6 Natural Ways to Help Recovery) Treatment For Pericardial Fluid pericardial effusion is a buildup of fluid in the sac around your heart that can interfere with its function. pericardial effusion is the buildup of too much fluid in the saclike structure around the heart. pericardial effusion is a buildup of fluid in the pericardium, a fibrous sac that surrounds the heart, which can cause. pericardial. Treatment For Pericardial Fluid.
From medizzy.com
Treatment of pericarditis MEDizzy Treatment For Pericardial Fluid pericardial effusion is the buildup of fluid around the heart, which can cause chest pain, shortness of breath and. pericardial effusion is the buildup of excess fluid between the heart and the sac surrounding the heart. pericardial effusion is a buildup of fluid in the sac around your heart that can interfere with its function. pericardial. Treatment For Pericardial Fluid.
From www.pinterest.com.mx
Pericardial fluid Analysis Sample for Pericardial fluid Analysis Treatment For Pericardial Fluid pericardial effusion is a buildup of fluid in the pericardium, a fibrous sac that surrounds the heart, which can cause. pericardial effusion is the buildup of excess fluid between the heart and the sac surrounding the heart. pericardial effusion is the buildup of fluid around the heart, which can cause chest pain, shortness of breath and. . Treatment For Pericardial Fluid.
From www.slideserve.com
PPT Pathophysiology of Pericardial Disease IMS 350 PowerPoint Treatment For Pericardial Fluid pericardial effusion is the buildup of excess fluid between the heart and the sac surrounding the heart. pericardial effusion is the buildup of fluid around the heart, which can cause chest pain, shortness of breath and. learn how to identify and manage pericardial effusion, a condition where fluid accumulates in the sac around. pericardial effusion is. Treatment For Pericardial Fluid.
From draxe.com
Pericarditis + 6 Natural Ways to Help Manage Recovery Dr. Axe Treatment For Pericardial Fluid pericardial effusion is a buildup of fluid in the sac around your heart that can interfere with its function. learn how to identify and manage pericardial effusion, a condition where fluid accumulates in the sac around. pericardial effusion is the buildup of too much fluid in the saclike structure around the heart. pericardial effusion is the. Treatment For Pericardial Fluid.
From www.prepladder.com
Pericardial Effusion Causes, Symptoms, Diagnosis, Treatment and Treatment For Pericardial Fluid pericardial effusion is the buildup of fluid around the heart, which can cause chest pain, shortness of breath and. pericardial effusion is a buildup of fluid in the pericardium, a fibrous sac that surrounds the heart, which can cause. pericardial effusion is the buildup of too much fluid in the saclike structure around the heart. pericardial. Treatment For Pericardial Fluid.
From www.pinterest.com
How Do You Get Rid Of Fluid Around The Heart? Pericardial effusion Treatment For Pericardial Fluid pericardial effusion is the buildup of fluid around the heart, which can cause chest pain, shortness of breath and. pericardial effusion is a buildup of fluid in the pericardium, a fibrous sac that surrounds the heart, which can cause. once diagnosed, there are numerous treatment options available for the management of patients with pericardial. learn how. Treatment For Pericardial Fluid.
From healthjade.net
Pericardial Effusion Causes, Symptoms, Diagnosis, Prognosis, Treatment Treatment For Pericardial Fluid pericardial effusion is the buildup of excess fluid between the heart and the sac surrounding the heart. pericardial effusion is a buildup of fluid in the sac around your heart that can interfere with its function. learn how to identify and manage pericardial effusion, a condition where fluid accumulates in the sac around. pericardial effusion is. Treatment For Pericardial Fluid.
From www.thelancet.com
Continuous postoperative pericardial flushing method versus standard Treatment For Pericardial Fluid pericardial effusion is the buildup of too much fluid in the saclike structure around the heart. pericardial effusion is a buildup of fluid in the sac around your heart that can interfere with its function. once diagnosed, there are numerous treatment options available for the management of patients with pericardial. pericardial effusion is the buildup of. Treatment For Pericardial Fluid.
From www.escardio.org
Refractory Recurrent Pericarditis Treatment For Pericardial Fluid pericardial effusion is the buildup of fluid around the heart, which can cause chest pain, shortness of breath and. once diagnosed, there are numerous treatment options available for the management of patients with pericardial. pericardial effusion is a buildup of fluid in the pericardium, a fibrous sac that surrounds the heart, which can cause. learn how. Treatment For Pericardial Fluid.
From www.revespcardiol.org
Percutaneous Balloon Pericardiotomy as the Initial and Definitive Treatment For Pericardial Fluid pericardial effusion is the buildup of too much fluid in the saclike structure around the heart. pericardial effusion is a buildup of fluid in the pericardium, a fibrous sac that surrounds the heart, which can cause. learn how to identify and manage pericardial effusion, a condition where fluid accumulates in the sac around. pericardial effusion is. Treatment For Pericardial Fluid.
From www.emdocs.net
Emergency Medicine EducationPericardial Effusion and Treatment For Pericardial Fluid pericardial effusion is the buildup of too much fluid in the saclike structure around the heart. learn how to identify and manage pericardial effusion, a condition where fluid accumulates in the sac around. pericardial effusion is the buildup of fluid around the heart, which can cause chest pain, shortness of breath and. pericardial effusion is the. Treatment For Pericardial Fluid.
From www.mesothelioma.com
Pericardiocentesis for Mesothelioma Benefits & Recovery Treatment For Pericardial Fluid learn how to identify and manage pericardial effusion, a condition where fluid accumulates in the sac around. pericardial effusion is a buildup of fluid in the pericardium, a fibrous sac that surrounds the heart, which can cause. pericardial effusion is the buildup of excess fluid between the heart and the sac surrounding the heart. pericardial effusion. Treatment For Pericardial Fluid.
From medicallabscientist.org
Comprehensive Guide to Pleural and Pericardial Fluid Analysis Treatment For Pericardial Fluid pericardial effusion is the buildup of too much fluid in the saclike structure around the heart. pericardial effusion is a buildup of fluid in the pericardium, a fibrous sac that surrounds the heart, which can cause. pericardial effusion is the buildup of excess fluid between the heart and the sac surrounding the heart. pericardial effusion is. Treatment For Pericardial Fluid.
From apeartd.blogspot.com
Pericardial Effusion And Cardiac Tamponade — Symptoms and ECG Treatment For Pericardial Fluid learn how to identify and manage pericardial effusion, a condition where fluid accumulates in the sac around. pericardial effusion is a buildup of fluid in the pericardium, a fibrous sac that surrounds the heart, which can cause. pericardial effusion is the buildup of too much fluid in the saclike structure around the heart. pericardial effusion is. Treatment For Pericardial Fluid.
From my.clevelandclinic.org
Pericardiocentesis Details & Recovery Treatment For Pericardial Fluid learn how to identify and manage pericardial effusion, a condition where fluid accumulates in the sac around. pericardial effusion is the buildup of fluid around the heart, which can cause chest pain, shortness of breath and. pericardial effusion is a buildup of fluid in the sac around your heart that can interfere with its function. pericardial. Treatment For Pericardial Fluid.
From doctor2048.com
Pericardial Effusion Causes, Symptoms, Diagnosis, and Treatment Treatment For Pericardial Fluid once diagnosed, there are numerous treatment options available for the management of patients with pericardial. pericardial effusion is the buildup of fluid around the heart, which can cause chest pain, shortness of breath and. pericardial effusion is the buildup of excess fluid between the heart and the sac surrounding the heart. learn how to identify and. Treatment For Pericardial Fluid.
From medizzy.com
Pericarditis treatment MEDizzy Treatment For Pericardial Fluid pericardial effusion is a buildup of fluid in the pericardium, a fibrous sac that surrounds the heart, which can cause. pericardial effusion is the buildup of too much fluid in the saclike structure around the heart. learn how to identify and manage pericardial effusion, a condition where fluid accumulates in the sac around. pericardial effusion is. Treatment For Pericardial Fluid.
From healthjade.com
Pericardial Effusion Causes, Symptoms, Diagnosis, Prognosis, Treatment Treatment For Pericardial Fluid pericardial effusion is the buildup of too much fluid in the saclike structure around the heart. once diagnosed, there are numerous treatment options available for the management of patients with pericardial. pericardial effusion is the buildup of excess fluid between the heart and the sac surrounding the heart. pericardial effusion is a buildup of fluid in. Treatment For Pericardial Fluid.
From www.wjgnet.com
Diagnosis and management of pericardial effusion Treatment For Pericardial Fluid learn how to identify and manage pericardial effusion, a condition where fluid accumulates in the sac around. pericardial effusion is the buildup of fluid around the heart, which can cause chest pain, shortness of breath and. pericardial effusion is the buildup of too much fluid in the saclike structure around the heart. once diagnosed, there are. Treatment For Pericardial Fluid.
From drlogy.com
Pericardial Fluid Analysis Price, Procedure & Results Drlogy Treatment For Pericardial Fluid learn how to identify and manage pericardial effusion, a condition where fluid accumulates in the sac around. pericardial effusion is the buildup of fluid around the heart, which can cause chest pain, shortness of breath and. once diagnosed, there are numerous treatment options available for the management of patients with pericardial. pericardial effusion is the buildup. Treatment For Pericardial Fluid.
From www.researchgate.net
Biochemical analysis of pericardial effusions. LD lactate Treatment For Pericardial Fluid pericardial effusion is the buildup of too much fluid in the saclike structure around the heart. once diagnosed, there are numerous treatment options available for the management of patients with pericardial. pericardial effusion is a buildup of fluid in the sac around your heart that can interfere with its function. pericardial effusion is the buildup of. Treatment For Pericardial Fluid.
From www.lybrate.com
Pericardial Effusion Causes, Symptoms, Treatment and Cost Treatment For Pericardial Fluid once diagnosed, there are numerous treatment options available for the management of patients with pericardial. pericardial effusion is a buildup of fluid in the pericardium, a fibrous sac that surrounds the heart, which can cause. pericardial effusion is the buildup of too much fluid in the saclike structure around the heart. pericardial effusion is the buildup. Treatment For Pericardial Fluid.
From www.medindia.net
Pericarditis Causes Symptoms and Signs Diagnosis Treatment Treatment For Pericardial Fluid pericardial effusion is the buildup of too much fluid in the saclike structure around the heart. once diagnosed, there are numerous treatment options available for the management of patients with pericardial. pericardial effusion is a buildup of fluid in the sac around your heart that can interfere with its function. learn how to identify and manage. Treatment For Pericardial Fluid.
From www.aafp.org
Acute Pericarditis Diagnosis and Management AAFP Treatment For Pericardial Fluid learn how to identify and manage pericardial effusion, a condition where fluid accumulates in the sac around. pericardial effusion is a buildup of fluid in the sac around your heart that can interfere with its function. pericardial effusion is a buildup of fluid in the pericardium, a fibrous sac that surrounds the heart, which can cause. . Treatment For Pericardial Fluid.
From nursestudy.net
Pericarditis Nursing Care Plans Diagnosis and Interventions Treatment For Pericardial Fluid pericardial effusion is the buildup of excess fluid between the heart and the sac surrounding the heart. pericardial effusion is a buildup of fluid in the sac around your heart that can interfere with its function. once diagnosed, there are numerous treatment options available for the management of patients with pericardial. pericardial effusion is a buildup. Treatment For Pericardial Fluid.