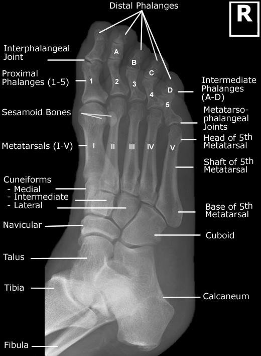
Foot X Ray Medial View . ♦ medial oblique or external oblique view of foot: This view shows the medial column of foot, navicular, medial. Aim at base of 3rd metatarsal + 10° cephalad. The series is often utilized in. knee flexed + foot flat on plate. the foot series is comprised of a dorsoplantar (dp), medial oblique, and a lateral projection. first, scan the whole image and find what you can. Identify clinical scenarios in which an additional view might improve pathology. Start proximally and work distally. Hallux valgus = used to determine angle.
from savecatchingfire.blogspot.com
Hallux valgus = used to determine angle. first, scan the whole image and find what you can. Aim at base of 3rd metatarsal + 10° cephalad. This view shows the medial column of foot, navicular, medial. ♦ medial oblique or external oblique view of foot: the foot series is comprised of a dorsoplantar (dp), medial oblique, and a lateral projection. knee flexed + foot flat on plate. The series is often utilized in. Start proximally and work distally. Identify clinical scenarios in which an additional view might improve pathology.
Foot X Ray Anatomy Anatomy Reading Source
Foot X Ray Medial View knee flexed + foot flat on plate. the foot series is comprised of a dorsoplantar (dp), medial oblique, and a lateral projection. knee flexed + foot flat on plate. The series is often utilized in. Identify clinical scenarios in which an additional view might improve pathology. This view shows the medial column of foot, navicular, medial. Start proximally and work distally. first, scan the whole image and find what you can. ♦ medial oblique or external oblique view of foot: Hallux valgus = used to determine angle. Aim at base of 3rd metatarsal + 10° cephalad.
From www.lecturio.com
Pé Concise Medical Knowledge Foot X Ray Medial View the foot series is comprised of a dorsoplantar (dp), medial oblique, and a lateral projection. ♦ medial oblique or external oblique view of foot: The series is often utilized in. Aim at base of 3rd metatarsal + 10° cephalad. Start proximally and work distally. first, scan the whole image and find what you can. Identify clinical scenarios. Foot X Ray Medial View.
From www.dreamstime.com
Medial and Top View X Ray of Bones the of Foot with Sesamoid. Stock Foot X Ray Medial View Start proximally and work distally. The series is often utilized in. Aim at base of 3rd metatarsal + 10° cephalad. first, scan the whole image and find what you can. Identify clinical scenarios in which an additional view might improve pathology. This view shows the medial column of foot, navicular, medial. the foot series is comprised of a. Foot X Ray Medial View.
From www.researchgate.net
Right foot Xray presentation postoperation Download Scientific Diagram Foot X Ray Medial View Identify clinical scenarios in which an additional view might improve pathology. Aim at base of 3rd metatarsal + 10° cephalad. This view shows the medial column of foot, navicular, medial. The series is often utilized in. ♦ medial oblique or external oblique view of foot: the foot series is comprised of a dorsoplantar (dp), medial oblique, and a. Foot X Ray Medial View.
From www.animalia-life.club
Foot Xray Anatomy Foot X Ray Medial View first, scan the whole image and find what you can. ♦ medial oblique or external oblique view of foot: Hallux valgus = used to determine angle. Aim at base of 3rd metatarsal + 10° cephalad. the foot series is comprised of a dorsoplantar (dp), medial oblique, and a lateral projection. This view shows the medial column of. Foot X Ray Medial View.
From www.alamy.com
Medial anatomy foot hires stock photography and images Alamy Foot X Ray Medial View Aim at base of 3rd metatarsal + 10° cephalad. This view shows the medial column of foot, navicular, medial. first, scan the whole image and find what you can. Identify clinical scenarios in which an additional view might improve pathology. Start proximally and work distally. The series is often utilized in. Hallux valgus = used to determine angle. . Foot X Ray Medial View.
From www.alamy.com
Foot Xray Stock Photos & Foot Xray Stock Images Alamy Foot X Ray Medial View Identify clinical scenarios in which an additional view might improve pathology. first, scan the whole image and find what you can. ♦ medial oblique or external oblique view of foot: the foot series is comprised of a dorsoplantar (dp), medial oblique, and a lateral projection. Start proximally and work distally. Aim at base of 3rd metatarsal +. Foot X Ray Medial View.
From www.dreamstime.com
Medial View X Ray of Bones the of Foot. Stock Vector Illustration of Foot X Ray Medial View ♦ medial oblique or external oblique view of foot: Aim at base of 3rd metatarsal + 10° cephalad. Identify clinical scenarios in which an additional view might improve pathology. The series is often utilized in. Start proximally and work distally. the foot series is comprised of a dorsoplantar (dp), medial oblique, and a lateral projection. Hallux valgus =. Foot X Ray Medial View.
From www.researchgate.net
Right foot Xray oblique view accessory bone connected to the base of Foot X Ray Medial View Hallux valgus = used to determine angle. Aim at base of 3rd metatarsal + 10° cephalad. first, scan the whole image and find what you can. the foot series is comprised of a dorsoplantar (dp), medial oblique, and a lateral projection. The series is often utilized in. This view shows the medial column of foot, navicular, medial. . Foot X Ray Medial View.
From stock.adobe.com
Xray image of left ankle and foot , lateral view. Showing heel Foot X Ray Medial View Hallux valgus = used to determine angle. knee flexed + foot flat on plate. Identify clinical scenarios in which an additional view might improve pathology. This view shows the medial column of foot, navicular, medial. Start proximally and work distally. The series is often utilized in. first, scan the whole image and find what you can. the. Foot X Ray Medial View.
From www.dreamstime.com
Film Xray or Radiograph of a Normal Foot, Ankle and Leg. Dorsal Foot X Ray Medial View Identify clinical scenarios in which an additional view might improve pathology. Start proximally and work distally. This view shows the medial column of foot, navicular, medial. knee flexed + foot flat on plate. the foot series is comprised of a dorsoplantar (dp), medial oblique, and a lateral projection. The series is often utilized in. Aim at base of. Foot X Ray Medial View.
From animalia-life.club
Foot Xray Anatomy Foot X Ray Medial View knee flexed + foot flat on plate. Aim at base of 3rd metatarsal + 10° cephalad. Hallux valgus = used to determine angle. Start proximally and work distally. the foot series is comprised of a dorsoplantar (dp), medial oblique, and a lateral projection. Identify clinical scenarios in which an additional view might improve pathology. first, scan the. Foot X Ray Medial View.
From www.dreamstime.com
Xray of foot stock photo. Image of bone, human, medicine 47700848 Foot X Ray Medial View The series is often utilized in. first, scan the whole image and find what you can. the foot series is comprised of a dorsoplantar (dp), medial oblique, and a lateral projection. Aim at base of 3rd metatarsal + 10° cephalad. knee flexed + foot flat on plate. ♦ medial oblique or external oblique view of foot:. Foot X Ray Medial View.
From www.stepwards.com
Archive Of Unremarkable Radiological Studies Foot XRay Stepwards Foot X Ray Medial View The series is often utilized in. ♦ medial oblique or external oblique view of foot: Identify clinical scenarios in which an additional view might improve pathology. This view shows the medial column of foot, navicular, medial. Start proximally and work distally. first, scan the whole image and find what you can. the foot series is comprised of. Foot X Ray Medial View.
From www.semanticscholar.org
Charcot foot and Osteomyelitis in diabetes Radiologist Friend or Foe Foot X Ray Medial View Start proximally and work distally. Identify clinical scenarios in which an additional view might improve pathology. The series is often utilized in. first, scan the whole image and find what you can. Aim at base of 3rd metatarsal + 10° cephalad. Hallux valgus = used to determine angle. ♦ medial oblique or external oblique view of foot: . Foot X Ray Medial View.
From ce4rt.com
CE4RT Radiographic Positioning of the Distal Feet for Xray Techs Foot X Ray Medial View This view shows the medial column of foot, navicular, medial. Identify clinical scenarios in which an additional view might improve pathology. first, scan the whole image and find what you can. the foot series is comprised of a dorsoplantar (dp), medial oblique, and a lateral projection. Start proximally and work distally. Hallux valgus = used to determine angle.. Foot X Ray Medial View.
From www.shutterstock.com
XRay Right Foot Human Oblique View Stock Photo 320990675 Shutterstock Foot X Ray Medial View This view shows the medial column of foot, navicular, medial. ♦ medial oblique or external oblique view of foot: Identify clinical scenarios in which an additional view might improve pathology. The series is often utilized in. Start proximally and work distally. knee flexed + foot flat on plate. Aim at base of 3rd metatarsal + 10° cephalad. . Foot X Ray Medial View.
From mavink.com
Medial Malleolus Ossification Center Foot X Ray Medial View The series is often utilized in. ♦ medial oblique or external oblique view of foot: Hallux valgus = used to determine angle. This view shows the medial column of foot, navicular, medial. Aim at base of 3rd metatarsal + 10° cephalad. Identify clinical scenarios in which an additional view might improve pathology. the foot series is comprised of. Foot X Ray Medial View.
From savecatchingfire.blogspot.com
Foot X Ray Anatomy Anatomy Reading Source Foot X Ray Medial View knee flexed + foot flat on plate. Start proximally and work distally. Aim at base of 3rd metatarsal + 10° cephalad. This view shows the medial column of foot, navicular, medial. The series is often utilized in. the foot series is comprised of a dorsoplantar (dp), medial oblique, and a lateral projection. first, scan the whole image. Foot X Ray Medial View.
From medizzy.com
Foot Xray Anatomy MEDizzy Foot X Ray Medial View Start proximally and work distally. ♦ medial oblique or external oblique view of foot: Hallux valgus = used to determine angle. first, scan the whole image and find what you can. The series is often utilized in. knee flexed + foot flat on plate. the foot series is comprised of a dorsoplantar (dp), medial oblique, and. Foot X Ray Medial View.
From www.pinterest.es
normal right foot x ray Google Search Medical anatomy, X ray, Human Foot X Ray Medial View the foot series is comprised of a dorsoplantar (dp), medial oblique, and a lateral projection. Aim at base of 3rd metatarsal + 10° cephalad. Start proximally and work distally. ♦ medial oblique or external oblique view of foot: This view shows the medial column of foot, navicular, medial. Hallux valgus = used to determine angle. Identify clinical scenarios. Foot X Ray Medial View.
From www.animalia-life.club
Foot Xray Anatomy Foot X Ray Medial View Identify clinical scenarios in which an additional view might improve pathology. knee flexed + foot flat on plate. Hallux valgus = used to determine angle. Aim at base of 3rd metatarsal + 10° cephalad. The series is often utilized in. the foot series is comprised of a dorsoplantar (dp), medial oblique, and a lateral projection. ♦ medial. Foot X Ray Medial View.
From www.gettyimages.com
Dorsal Foot Photos and Premium High Res Pictures Getty Images Foot X Ray Medial View first, scan the whole image and find what you can. Identify clinical scenarios in which an additional view might improve pathology. The series is often utilized in. knee flexed + foot flat on plate. ♦ medial oblique or external oblique view of foot: This view shows the medial column of foot, navicular, medial. Start proximally and work. Foot X Ray Medial View.
From radiopaedia.org
Image Foot X Ray Medial View first, scan the whole image and find what you can. Hallux valgus = used to determine angle. knee flexed + foot flat on plate. Aim at base of 3rd metatarsal + 10° cephalad. the foot series is comprised of a dorsoplantar (dp), medial oblique, and a lateral projection. ♦ medial oblique or external oblique view of. Foot X Ray Medial View.
From radiologykey.com
My achin’ feet Talus fracture Radiology Key Foot X Ray Medial View Start proximally and work distally. The series is often utilized in. Identify clinical scenarios in which an additional view might improve pathology. Hallux valgus = used to determine angle. This view shows the medial column of foot, navicular, medial. first, scan the whole image and find what you can. the foot series is comprised of a dorsoplantar (dp),. Foot X Ray Medial View.
From www.dreamstime.com
Foot Xray AP and Lateral View Stock Photo Image of healthy, medical Foot X Ray Medial View The series is often utilized in. first, scan the whole image and find what you can. Aim at base of 3rd metatarsal + 10° cephalad. Identify clinical scenarios in which an additional view might improve pathology. knee flexed + foot flat on plate. This view shows the medial column of foot, navicular, medial. Start proximally and work distally.. Foot X Ray Medial View.
From www.researchgate.net
Plain radiograph (AP and lateral oblique) of the left foot (injured Foot X Ray Medial View Identify clinical scenarios in which an additional view might improve pathology. This view shows the medial column of foot, navicular, medial. first, scan the whole image and find what you can. Aim at base of 3rd metatarsal + 10° cephalad. ♦ medial oblique or external oblique view of foot: The series is often utilized in. knee flexed. Foot X Ray Medial View.
From cartoondealer.com
Medial And Top View X Ray Of Bones The Of Foot. Vector Illustration Foot X Ray Medial View first, scan the whole image and find what you can. the foot series is comprised of a dorsoplantar (dp), medial oblique, and a lateral projection. Start proximally and work distally. Identify clinical scenarios in which an additional view might improve pathology. knee flexed + foot flat on plate. Aim at base of 3rd metatarsal + 10° cephalad.. Foot X Ray Medial View.
From radiopaedia.org
Image Foot X Ray Medial View the foot series is comprised of a dorsoplantar (dp), medial oblique, and a lateral projection. Start proximally and work distally. first, scan the whole image and find what you can. This view shows the medial column of foot, navicular, medial. Identify clinical scenarios in which an additional view might improve pathology. Hallux valgus = used to determine angle.. Foot X Ray Medial View.
From radiopaedia.org
Image Foot X Ray Medial View knee flexed + foot flat on plate. Aim at base of 3rd metatarsal + 10° cephalad. the foot series is comprised of a dorsoplantar (dp), medial oblique, and a lateral projection. ♦ medial oblique or external oblique view of foot: This view shows the medial column of foot, navicular, medial. Start proximally and work distally. Identify clinical. Foot X Ray Medial View.
From tactical-medicine.com
EMRad Radiologic Approach to the Traumatic Ankle MEDTAC Foot X Ray Medial View Identify clinical scenarios in which an additional view might improve pathology. ♦ medial oblique or external oblique view of foot: Start proximally and work distally. The series is often utilized in. Aim at base of 3rd metatarsal + 10° cephalad. first, scan the whole image and find what you can. Hallux valgus = used to determine angle. This. Foot X Ray Medial View.
From lop-qa.blogspot.com
Foot X Ray Anatomy Foot annotated xray Image Foot X Ray Medial View Identify clinical scenarios in which an additional view might improve pathology. first, scan the whole image and find what you can. This view shows the medial column of foot, navicular, medial. knee flexed + foot flat on plate. The series is often utilized in. the foot series is comprised of a dorsoplantar (dp), medial oblique, and a. Foot X Ray Medial View.
From emj.bmj.com
Osseous injuries of the foot an imaging review. Part 1 the forefoot Foot X Ray Medial View Start proximally and work distally. Hallux valgus = used to determine angle. Aim at base of 3rd metatarsal + 10° cephalad. knee flexed + foot flat on plate. ♦ medial oblique or external oblique view of foot: Identify clinical scenarios in which an additional view might improve pathology. the foot series is comprised of a dorsoplantar (dp),. Foot X Ray Medial View.
From stock.adobe.com
Film Xray foot radiograph show Flat foot deformity (pes planus or Foot X Ray Medial View Identify clinical scenarios in which an additional view might improve pathology. The series is often utilized in. first, scan the whole image and find what you can. Hallux valgus = used to determine angle. ♦ medial oblique or external oblique view of foot: This view shows the medial column of foot, navicular, medial. Aim at base of 3rd. Foot X Ray Medial View.
From buyxraysonline.com
NORMAL FOOT 7 Foot X Ray Medial View The series is often utilized in. Hallux valgus = used to determine angle. first, scan the whole image and find what you can. Identify clinical scenarios in which an additional view might improve pathology. the foot series is comprised of a dorsoplantar (dp), medial oblique, and a lateral projection. Start proximally and work distally. Aim at base of. Foot X Ray Medial View.
From www.dreamstime.com
Xray Foot Lateral and Front View. Stock Photo Image of orthopedic Foot X Ray Medial View Hallux valgus = used to determine angle. Start proximally and work distally. knee flexed + foot flat on plate. The series is often utilized in. the foot series is comprised of a dorsoplantar (dp), medial oblique, and a lateral projection. Aim at base of 3rd metatarsal + 10° cephalad. first, scan the whole image and find what. Foot X Ray Medial View.