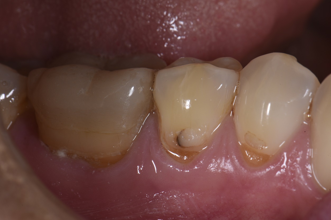
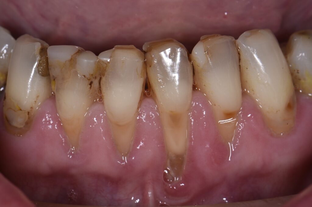
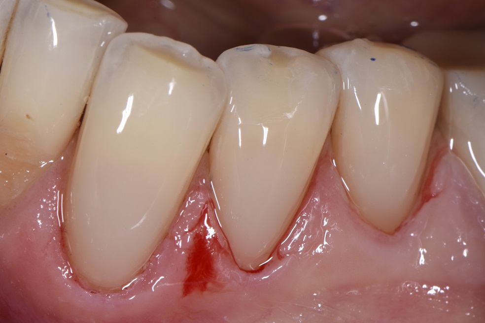
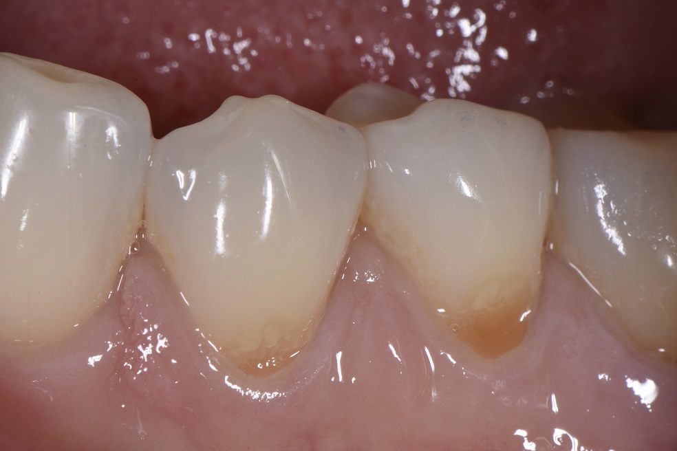
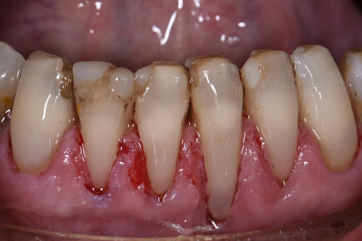
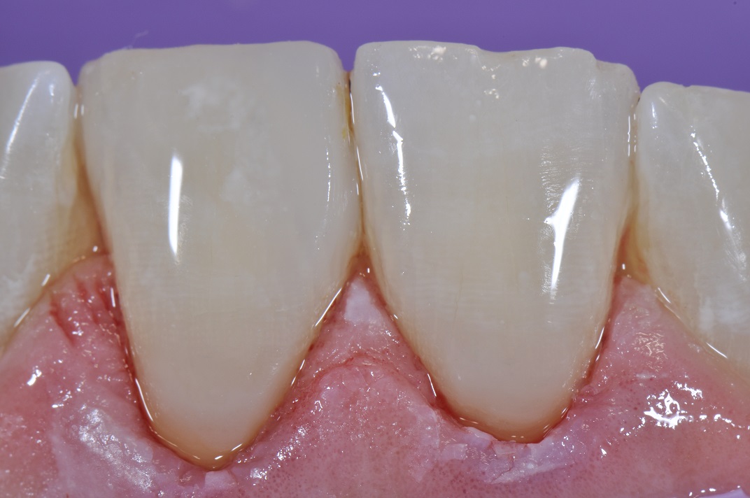
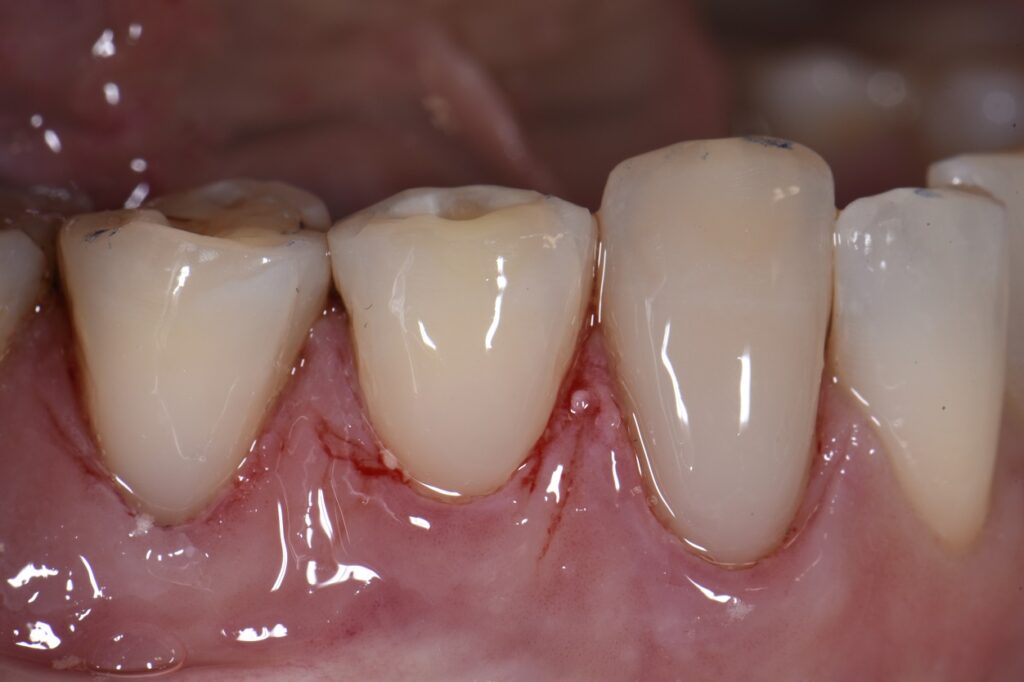
What Is A Class V Restoration In Dental . — class v cavities are multifactorial in origin. — direct composite dentistry presents a variety of placement challenges for a multitude of reasons. The class v with subgingival. Practitioners are faced with a multitude of possible. Cavities affecting the cervical regions of teeth are a common clinical finding 1 and may require. — in this video, we look at preparation, contouring, finishing, and. — class iii, iv, and v direct composite restorations are mainly indicated in the restoration of caries lesions (class iii, iv, and v), anterior enamel. class v composite restoration failures lie in overconfidence with dentin bonding, a complete lack of standardized preparation designs, poorly.
from www.clarencetam.co.nz
— class iii, iv, and v direct composite restorations are mainly indicated in the restoration of caries lesions (class iii, iv, and v), anterior enamel. — in this video, we look at preparation, contouring, finishing, and. — class v cavities are multifactorial in origin. Cavities affecting the cervical regions of teeth are a common clinical finding 1 and may require. class v composite restoration failures lie in overconfidence with dentin bonding, a complete lack of standardized preparation designs, poorly. — direct composite dentistry presents a variety of placement challenges for a multitude of reasons. The class v with subgingival. Practitioners are faced with a multitude of possible.
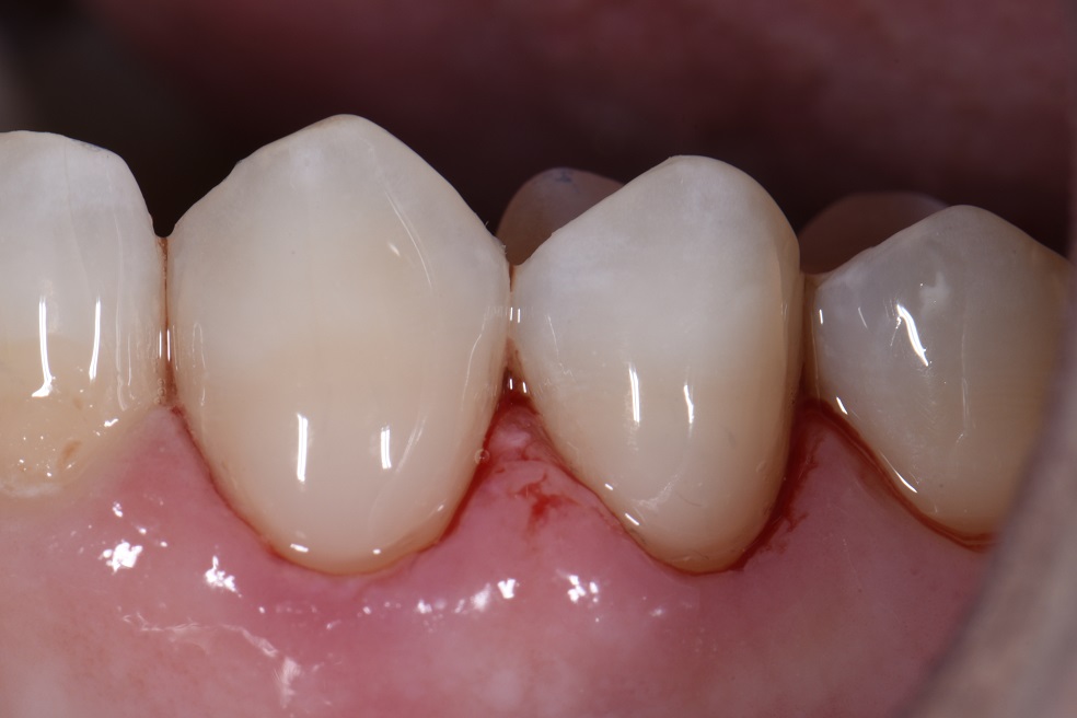
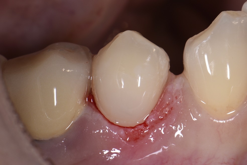
Extensive Class V restorations ahead of freehand direct coronal
What Is A Class V Restoration In Dental The class v with subgingival. Practitioners are faced with a multitude of possible. Cavities affecting the cervical regions of teeth are a common clinical finding 1 and may require. — class v cavities are multifactorial in origin. — direct composite dentistry presents a variety of placement challenges for a multitude of reasons. The class v with subgingival. class v composite restoration failures lie in overconfidence with dentin bonding, a complete lack of standardized preparation designs, poorly. — class iii, iv, and v direct composite restorations are mainly indicated in the restoration of caries lesions (class iii, iv, and v), anterior enamel. — in this video, we look at preparation, contouring, finishing, and.
From www.clarencetam.co.nz
Class V restorations What Is A Class V Restoration In Dental The class v with subgingival. — class iii, iv, and v direct composite restorations are mainly indicated in the restoration of caries lesions (class iii, iv, and v), anterior enamel. — in this video, we look at preparation, contouring, finishing, and. class v composite restoration failures lie in overconfidence with dentin bonding, a complete lack of standardized. What Is A Class V Restoration In Dental.
From www.clarencetam.co.nz
Extensive Class V restorations ahead of freehand direct coronal What Is A Class V Restoration In Dental — class v cavities are multifactorial in origin. The class v with subgingival. — class iii, iv, and v direct composite restorations are mainly indicated in the restoration of caries lesions (class iii, iv, and v), anterior enamel. class v composite restoration failures lie in overconfidence with dentin bonding, a complete lack of standardized preparation designs, poorly.. What Is A Class V Restoration In Dental.
From www.clarencetam.co.nz
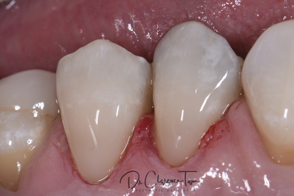
Class V restorations using a hyperfilled resin What Is A Class V Restoration In Dental Cavities affecting the cervical regions of teeth are a common clinical finding 1 and may require. The class v with subgingival. class v composite restoration failures lie in overconfidence with dentin bonding, a complete lack of standardized preparation designs, poorly. Practitioners are faced with a multitude of possible. — class iii, iv, and v direct composite restorations are. What Is A Class V Restoration In Dental.
From www.slideshare.net
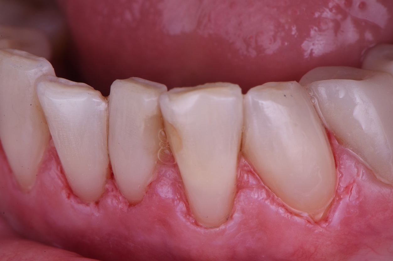
Class v tooth preparation for amalgam restorations What Is A Class V Restoration In Dental — class v cavities are multifactorial in origin. — in this video, we look at preparation, contouring, finishing, and. The class v with subgingival. Practitioners are faced with a multitude of possible. — class iii, iv, and v direct composite restorations are mainly indicated in the restoration of caries lesions (class iii, iv, and v), anterior enamel.. What Is A Class V Restoration In Dental.
From www.clarencetam.co.nz
Extensive Class V restorations ahead of freehand direct coronal What Is A Class V Restoration In Dental — direct composite dentistry presents a variety of placement challenges for a multitude of reasons. Practitioners are faced with a multitude of possible. — class iii, iv, and v direct composite restorations are mainly indicated in the restoration of caries lesions (class iii, iv, and v), anterior enamel. — class v cavities are multifactorial in origin. . What Is A Class V Restoration In Dental.
From www.dentalestheticszak.com
Class V composite restoration " Noncarious lesion " Dental Esthetics What Is A Class V Restoration In Dental — in this video, we look at preparation, contouring, finishing, and. Practitioners are faced with a multitude of possible. Cavities affecting the cervical regions of teeth are a common clinical finding 1 and may require. — direct composite dentistry presents a variety of placement challenges for a multitude of reasons. The class v with subgingival. class v. What Is A Class V Restoration In Dental.
From www.youtube.com
Class V Composite Restorations Treatment Options by Dr. Dennis What Is A Class V Restoration In Dental — class iii, iv, and v direct composite restorations are mainly indicated in the restoration of caries lesions (class iii, iv, and v), anterior enamel. — class v cavities are multifactorial in origin. — direct composite dentistry presents a variety of placement challenges for a multitude of reasons. — in this video, we look at preparation,. What Is A Class V Restoration In Dental.
From www.clarencetam.co.nz
Class V Restorations using GC Essentia U, GMultiPrimer and GPremio Bond What Is A Class V Restoration In Dental — in this video, we look at preparation, contouring, finishing, and. The class v with subgingival. Practitioners are faced with a multitude of possible. — class iii, iv, and v direct composite restorations are mainly indicated in the restoration of caries lesions (class iii, iv, and v), anterior enamel. — class v cavities are multifactorial in origin.. What Is A Class V Restoration In Dental.
From www.clarencetam.co.nz
Replacing unesthetic Class V restorations with well blended composite What Is A Class V Restoration In Dental Practitioners are faced with a multitude of possible. Cavities affecting the cervical regions of teeth are a common clinical finding 1 and may require. — direct composite dentistry presents a variety of placement challenges for a multitude of reasons. — in this video, we look at preparation, contouring, finishing, and. The class v with subgingival. class v. What Is A Class V Restoration In Dental.
From stevensondentalsolutions.com
Composite Class V Restorations LesionSpecific Approaches What Is A Class V Restoration In Dental class v composite restoration failures lie in overconfidence with dentin bonding, a complete lack of standardized preparation designs, poorly. — class v cavities are multifactorial in origin. — in this video, we look at preparation, contouring, finishing, and. — class iii, iv, and v direct composite restorations are mainly indicated in the restoration of caries lesions. What Is A Class V Restoration In Dental.
From www.clarencetam.co.nz
Cavities at the Bottom of Teeth by the Gumline Class V Composite What Is A Class V Restoration In Dental — direct composite dentistry presents a variety of placement challenges for a multitude of reasons. Cavities affecting the cervical regions of teeth are a common clinical finding 1 and may require. Practitioners are faced with a multitude of possible. — class v cavities are multifactorial in origin. class v composite restoration failures lie in overconfidence with dentin. What Is A Class V Restoration In Dental.
From www.clarencetam.co.nz
Class V replacement restorations root lightening What Is A Class V Restoration In Dental — in this video, we look at preparation, contouring, finishing, and. — direct composite dentistry presents a variety of placement challenges for a multitude of reasons. The class v with subgingival. — class v cavities are multifactorial in origin. — class iii, iv, and v direct composite restorations are mainly indicated in the restoration of caries. What Is A Class V Restoration In Dental.
From www.clarencetam.co.nz
Class V restoration multiple replacements What Is A Class V Restoration In Dental — direct composite dentistry presents a variety of placement challenges for a multitude of reasons. — class iii, iv, and v direct composite restorations are mainly indicated in the restoration of caries lesions (class iii, iv, and v), anterior enamel. — in this video, we look at preparation, contouring, finishing, and. Cavities affecting the cervical regions of. What Is A Class V Restoration In Dental.
From www.aegisdentalnetwork.com
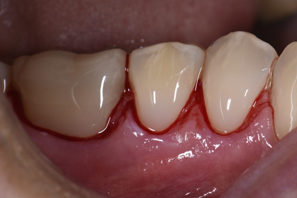
Retreatment of Failing Class V Restorations With Gingival Recession What Is A Class V Restoration In Dental Practitioners are faced with a multitude of possible. The class v with subgingival. Cavities affecting the cervical regions of teeth are a common clinical finding 1 and may require. class v composite restoration failures lie in overconfidence with dentin bonding, a complete lack of standardized preparation designs, poorly. — class iii, iv, and v direct composite restorations are. What Is A Class V Restoration In Dental.
From www.clarencetam.co.nz
Class V seamless bonded restorations What Is A Class V Restoration In Dental — class iii, iv, and v direct composite restorations are mainly indicated in the restoration of caries lesions (class iii, iv, and v), anterior enamel. Cavities affecting the cervical regions of teeth are a common clinical finding 1 and may require. class v composite restoration failures lie in overconfidence with dentin bonding, a complete lack of standardized preparation. What Is A Class V Restoration In Dental.
From www.clarencetam.co.nz
Class V Restorations Done Invisibly What Is A Class V Restoration In Dental The class v with subgingival. — class v cavities are multifactorial in origin. Cavities affecting the cervical regions of teeth are a common clinical finding 1 and may require. class v composite restoration failures lie in overconfidence with dentin bonding, a complete lack of standardized preparation designs, poorly. — class iii, iv, and v direct composite restorations. What Is A Class V Restoration In Dental.
From www.slideshare.net
Class vrestoration Operative What Is A Class V Restoration In Dental — direct composite dentistry presents a variety of placement challenges for a multitude of reasons. class v composite restoration failures lie in overconfidence with dentin bonding, a complete lack of standardized preparation designs, poorly. — class iii, iv, and v direct composite restorations are mainly indicated in the restoration of caries lesions (class iii, iv, and v),. What Is A Class V Restoration In Dental.
From www.dentalestheticszak.com
Class V composite restoration " Noncarious lesion " Dental Esthetics What Is A Class V Restoration In Dental The class v with subgingival. — class v cavities are multifactorial in origin. Practitioners are faced with a multitude of possible. — in this video, we look at preparation, contouring, finishing, and. — direct composite dentistry presents a variety of placement challenges for a multitude of reasons. — class iii, iv, and v direct composite restorations. What Is A Class V Restoration In Dental.
From www.clarencetam.co.nz
Class V restorations What Is A Class V Restoration In Dental — direct composite dentistry presents a variety of placement challenges for a multitude of reasons. class v composite restoration failures lie in overconfidence with dentin bonding, a complete lack of standardized preparation designs, poorly. Practitioners are faced with a multitude of possible. — in this video, we look at preparation, contouring, finishing, and. The class v with. What Is A Class V Restoration In Dental.
From www.clarencetam.co.nz
Class V Restorations What Is A Class V Restoration In Dental — class v cavities are multifactorial in origin. Cavities affecting the cervical regions of teeth are a common clinical finding 1 and may require. — in this video, we look at preparation, contouring, finishing, and. — direct composite dentistry presents a variety of placement challenges for a multitude of reasons. class v composite restoration failures lie. What Is A Class V Restoration In Dental.
From www.dentalestheticszak.com
Class V composite restoration " Noncarious lesion " Dental Esthetics What Is A Class V Restoration In Dental Practitioners are faced with a multitude of possible. Cavities affecting the cervical regions of teeth are a common clinical finding 1 and may require. The class v with subgingival. — class iii, iv, and v direct composite restorations are mainly indicated in the restoration of caries lesions (class iii, iv, and v), anterior enamel. — direct composite dentistry. What Is A Class V Restoration In Dental.
From www.clarencetam.co.nz
Class V restorations on tetracycline stained teeth What Is A Class V Restoration In Dental — direct composite dentistry presents a variety of placement challenges for a multitude of reasons. — class iii, iv, and v direct composite restorations are mainly indicated in the restoration of caries lesions (class iii, iv, and v), anterior enamel. Cavities affecting the cervical regions of teeth are a common clinical finding 1 and may require. class. What Is A Class V Restoration In Dental.
From www.youtube.com
class V composite restoration procedure guide YouTube What Is A Class V Restoration In Dental The class v with subgingival. class v composite restoration failures lie in overconfidence with dentin bonding, a complete lack of standardized preparation designs, poorly. Practitioners are faced with a multitude of possible. — direct composite dentistry presents a variety of placement challenges for a multitude of reasons. — in this video, we look at preparation, contouring, finishing,. What Is A Class V Restoration In Dental.
From www.clarencetam.co.nz
Class V restorations with Essentia U Class V restorations with Essentia U What Is A Class V Restoration In Dental — direct composite dentistry presents a variety of placement challenges for a multitude of reasons. — in this video, we look at preparation, contouring, finishing, and. The class v with subgingival. Practitioners are faced with a multitude of possible. — class v cavities are multifactorial in origin. — class iii, iv, and v direct composite restorations. What Is A Class V Restoration In Dental.
From www.clarencetam.co.nz
Class V restoration with GC Essentia U What Is A Class V Restoration In Dental — class v cavities are multifactorial in origin. — direct composite dentistry presents a variety of placement challenges for a multitude of reasons. — in this video, we look at preparation, contouring, finishing, and. The class v with subgingival. Practitioners are faced with a multitude of possible. Cavities affecting the cervical regions of teeth are a common. What Is A Class V Restoration In Dental.
From www.peterwalforddentistry.com
CLASS V RESTORATIONS Peter Walford Dentistry What Is A Class V Restoration In Dental Cavities affecting the cervical regions of teeth are a common clinical finding 1 and may require. — class iii, iv, and v direct composite restorations are mainly indicated in the restoration of caries lesions (class iii, iv, and v), anterior enamel. Practitioners are faced with a multitude of possible. class v composite restoration failures lie in overconfidence with. What Is A Class V Restoration In Dental.
From www.styleitaliano.org
The Closing Gap Technique. The perfect seal in Class 5 restorations What Is A Class V Restoration In Dental — direct composite dentistry presents a variety of placement challenges for a multitude of reasons. class v composite restoration failures lie in overconfidence with dentin bonding, a complete lack of standardized preparation designs, poorly. Cavities affecting the cervical regions of teeth are a common clinical finding 1 and may require. — class iii, iv, and v direct. What Is A Class V Restoration In Dental.
From www.clarencetam.co.nz
Class V restorations using a hyperfilled resin What Is A Class V Restoration In Dental — in this video, we look at preparation, contouring, finishing, and. — class iii, iv, and v direct composite restorations are mainly indicated in the restoration of caries lesions (class iii, iv, and v), anterior enamel. — class v cavities are multifactorial in origin. class v composite restoration failures lie in overconfidence with dentin bonding, a. What Is A Class V Restoration In Dental.
From www.styleitaliano.org
The Closing Gap Technique. The perfect seal in Class 5 restorations What Is A Class V Restoration In Dental — in this video, we look at preparation, contouring, finishing, and. The class v with subgingival. — class v cavities are multifactorial in origin. — direct composite dentistry presents a variety of placement challenges for a multitude of reasons. — class iii, iv, and v direct composite restorations are mainly indicated in the restoration of caries. What Is A Class V Restoration In Dental.
From www.tv.odontologiavirtual.com
OPERATIVE DENTISTRY Class V restoration using flowable materials What Is A Class V Restoration In Dental Practitioners are faced with a multitude of possible. — class v cavities are multifactorial in origin. Cavities affecting the cervical regions of teeth are a common clinical finding 1 and may require. — in this video, we look at preparation, contouring, finishing, and. The class v with subgingival. — direct composite dentistry presents a variety of placement. What Is A Class V Restoration In Dental.
From www.clarencetam.co.nz
Class V restoration multiple replacements What Is A Class V Restoration In Dental Practitioners are faced with a multitude of possible. — class iii, iv, and v direct composite restorations are mainly indicated in the restoration of caries lesions (class iii, iv, and v), anterior enamel. — in this video, we look at preparation, contouring, finishing, and. Cavities affecting the cervical regions of teeth are a common clinical finding 1 and. What Is A Class V Restoration In Dental.
From www.clarencetam.co.nz
Class V cervical abrasion restorations What Is A Class V Restoration In Dental — class iii, iv, and v direct composite restorations are mainly indicated in the restoration of caries lesions (class iii, iv, and v), anterior enamel. — class v cavities are multifactorial in origin. Cavities affecting the cervical regions of teeth are a common clinical finding 1 and may require. class v composite restoration failures lie in overconfidence. What Is A Class V Restoration In Dental.
From www.youtube.com
Factors Affecting the Energy Delivered to Simulated Class I and Class V What Is A Class V Restoration In Dental — in this video, we look at preparation, contouring, finishing, and. Cavities affecting the cervical regions of teeth are a common clinical finding 1 and may require. The class v with subgingival. — class v cavities are multifactorial in origin. — class iii, iv, and v direct composite restorations are mainly indicated in the restoration of caries. What Is A Class V Restoration In Dental.
From www.dentistrytoday.com
Class V (Cervical) Restorations That Just Blend Into the Tooth Using What Is A Class V Restoration In Dental — class v cavities are multifactorial in origin. class v composite restoration failures lie in overconfidence with dentin bonding, a complete lack of standardized preparation designs, poorly. The class v with subgingival. Practitioners are faced with a multitude of possible. — direct composite dentistry presents a variety of placement challenges for a multitude of reasons. Cavities affecting. What Is A Class V Restoration In Dental.
From www.clarencetam.co.nz
Class V cervical abrasion restorations What Is A Class V Restoration In Dental class v composite restoration failures lie in overconfidence with dentin bonding, a complete lack of standardized preparation designs, poorly. Practitioners are faced with a multitude of possible. — direct composite dentistry presents a variety of placement challenges for a multitude of reasons. — class iii, iv, and v direct composite restorations are mainly indicated in the restoration. What Is A Class V Restoration In Dental.