How Do You Fix A Penile Fracture . immediate surgical repair is the standard treatment for penile fracture. penile fracture is a medical emergency. If it happens, you need to get to a hospital as soon as possible, and you will probably need. to repair the penile fracture, a doctor will make an incision in the skin of the penis to access the one or more torn areas. The surgeon will repair these tears with stitches. the aua guidelines highlight that penile swelling and ecchymosis are the most common symptoms of penile fracture, with. The primary goals of surgical repair are to expedite the relief of painful. What are the alternatives to this.
from www.researchgate.net
immediate surgical repair is the standard treatment for penile fracture. What are the alternatives to this. The surgeon will repair these tears with stitches. to repair the penile fracture, a doctor will make an incision in the skin of the penis to access the one or more torn areas. The primary goals of surgical repair are to expedite the relief of painful. penile fracture is a medical emergency. the aua guidelines highlight that penile swelling and ecchymosis are the most common symptoms of penile fracture, with. If it happens, you need to get to a hospital as soon as possible, and you will probably need.
(PDF) Penile Fracture and Early Repair
How Do You Fix A Penile Fracture immediate surgical repair is the standard treatment for penile fracture. the aua guidelines highlight that penile swelling and ecchymosis are the most common symptoms of penile fracture, with. immediate surgical repair is the standard treatment for penile fracture. penile fracture is a medical emergency. If it happens, you need to get to a hospital as soon as possible, and you will probably need. The surgeon will repair these tears with stitches. The primary goals of surgical repair are to expedite the relief of painful. What are the alternatives to this. to repair the penile fracture, a doctor will make an incision in the skin of the penis to access the one or more torn areas.
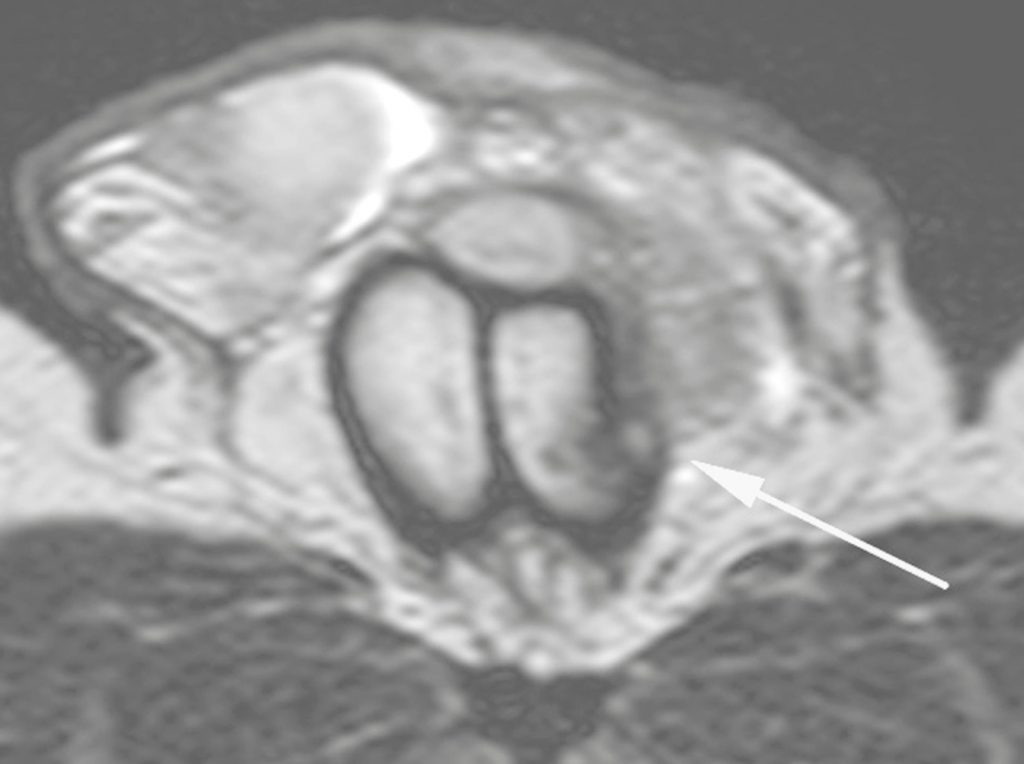
From pubs.rsna.org
MR Imaging of Acute Penile Fracture RadioGraphics How Do You Fix A Penile Fracture the aua guidelines highlight that penile swelling and ecchymosis are the most common symptoms of penile fracture, with. penile fracture is a medical emergency. If it happens, you need to get to a hospital as soon as possible, and you will probably need. The primary goals of surgical repair are to expedite the relief of painful. to. How Do You Fix A Penile Fracture.
From www.youtube.com
How to Fix a Penile Fracture Fairbanks Urology Dr Tony Nimeh How Do You Fix A Penile Fracture to repair the penile fracture, a doctor will make an incision in the skin of the penis to access the one or more torn areas. The primary goals of surgical repair are to expedite the relief of painful. If it happens, you need to get to a hospital as soon as possible, and you will probably need. the. How Do You Fix A Penile Fracture.
From ar.inspiredpencil.com
Penile Fracture Diagram How Do You Fix A Penile Fracture to repair the penile fracture, a doctor will make an incision in the skin of the penis to access the one or more torn areas. What are the alternatives to this. immediate surgical repair is the standard treatment for penile fracture. If it happens, you need to get to a hospital as soon as possible, and you will. How Do You Fix A Penile Fracture.
From doc.fileon.ir
سر التم درد میکنه How Do You Fix A Penile Fracture the aua guidelines highlight that penile swelling and ecchymosis are the most common symptoms of penile fracture, with. The surgeon will repair these tears with stitches. The primary goals of surgical repair are to expedite the relief of painful. to repair the penile fracture, a doctor will make an incision in the skin of the penis to access. How Do You Fix A Penile Fracture.
From casereports.bmj.com
Penile fracture BMJ Case Reports How Do You Fix A Penile Fracture to repair the penile fracture, a doctor will make an incision in the skin of the penis to access the one or more torn areas. The primary goals of surgical repair are to expedite the relief of painful. If it happens, you need to get to a hospital as soon as possible, and you will probably need. the. How Do You Fix A Penile Fracture.
From www.youtube.com
Penis Fracture Reconstructive Plastic Surgery Repair with Good How Do You Fix A Penile Fracture to repair the penile fracture, a doctor will make an incision in the skin of the penis to access the one or more torn areas. The primary goals of surgical repair are to expedite the relief of painful. If it happens, you need to get to a hospital as soon as possible, and you will probably need. What are. How Do You Fix A Penile Fracture.
From pubs.rsna.org
MR Imaging of Acute Penile Fracture RadioGraphics How Do You Fix A Penile Fracture to repair the penile fracture, a doctor will make an incision in the skin of the penis to access the one or more torn areas. immediate surgical repair is the standard treatment for penile fracture. the aua guidelines highlight that penile swelling and ecchymosis are the most common symptoms of penile fracture, with. The surgeon will repair. How Do You Fix A Penile Fracture.
From pubs.rsna.org
MR Imaging of Acute Penile Fracture RadioGraphics How Do You Fix A Penile Fracture What are the alternatives to this. to repair the penile fracture, a doctor will make an incision in the skin of the penis to access the one or more torn areas. The surgeon will repair these tears with stitches. immediate surgical repair is the standard treatment for penile fracture. the aua guidelines highlight that penile swelling and. How Do You Fix A Penile Fracture.
From chilli.norushcharge.com
Penile Fracture Symptoms, Treatment, Recovery, and More How Do You Fix A Penile Fracture the aua guidelines highlight that penile swelling and ecchymosis are the most common symptoms of penile fracture, with. The primary goals of surgical repair are to expedite the relief of painful. The surgeon will repair these tears with stitches. immediate surgical repair is the standard treatment for penile fracture. What are the alternatives to this. to repair. How Do You Fix A Penile Fracture.
From www.scientificanimations.com
Fractures Types, Symptoms, Causes and Treatment Scientific Animations How Do You Fix A Penile Fracture The surgeon will repair these tears with stitches. The primary goals of surgical repair are to expedite the relief of painful. What are the alternatives to this. to repair the penile fracture, a doctor will make an incision in the skin of the penis to access the one or more torn areas. the aua guidelines highlight that penile. How Do You Fix A Penile Fracture.
From pubs.rsna.org
MR Imaging of Acute Penile Fracture RadioGraphics How Do You Fix A Penile Fracture to repair the penile fracture, a doctor will make an incision in the skin of the penis to access the one or more torn areas. penile fracture is a medical emergency. If it happens, you need to get to a hospital as soon as possible, and you will probably need. The surgeon will repair these tears with stitches.. How Do You Fix A Penile Fracture.
From www.youtube.com
Penile fracture on ultrasound YouTube How Do You Fix A Penile Fracture the aua guidelines highlight that penile swelling and ecchymosis are the most common symptoms of penile fracture, with. immediate surgical repair is the standard treatment for penile fracture. If it happens, you need to get to a hospital as soon as possible, and you will probably need. to repair the penile fracture, a doctor will make an. How Do You Fix A Penile Fracture.
From www.jpurol.com
Ventral penile curvature estimation using an app Journal of Pediatric How Do You Fix A Penile Fracture What are the alternatives to this. If it happens, you need to get to a hospital as soon as possible, and you will probably need. penile fracture is a medical emergency. The surgeon will repair these tears with stitches. immediate surgical repair is the standard treatment for penile fracture. the aua guidelines highlight that penile swelling and. How Do You Fix A Penile Fracture.
From www.familycarers.org.uk
Everything You Need to Know About a Penile Fracture Causes, Symptoms How Do You Fix A Penile Fracture The surgeon will repair these tears with stitches. If it happens, you need to get to a hospital as soon as possible, and you will probably need. What are the alternatives to this. The primary goals of surgical repair are to expedite the relief of painful. the aua guidelines highlight that penile swelling and ecchymosis are the most common. How Do You Fix A Penile Fracture.
From www.goodrx.com
Can You Really Break Your Penis? Penile Fractures Explained GoodRx How Do You Fix A Penile Fracture If it happens, you need to get to a hospital as soon as possible, and you will probably need. to repair the penile fracture, a doctor will make an incision in the skin of the penis to access the one or more torn areas. immediate surgical repair is the standard treatment for penile fracture. the aua guidelines. How Do You Fix A Penile Fracture.
From www.researchgate.net
(PDF) CTguided minimallyinvasive penile fracture repair How Do You Fix A Penile Fracture to repair the penile fracture, a doctor will make an incision in the skin of the penis to access the one or more torn areas. What are the alternatives to this. penile fracture is a medical emergency. The surgeon will repair these tears with stitches. the aua guidelines highlight that penile swelling and ecchymosis are the most. How Do You Fix A Penile Fracture.
From ar.inspiredpencil.com
Penile Fracture Diagram How Do You Fix A Penile Fracture The primary goals of surgical repair are to expedite the relief of painful. the aua guidelines highlight that penile swelling and ecchymosis are the most common symptoms of penile fracture, with. If it happens, you need to get to a hospital as soon as possible, and you will probably need. penile fracture is a medical emergency. What are. How Do You Fix A Penile Fracture.
From www.researchgate.net
(PDF) 3T MRguided minimallyinvasive penile fracture repair How Do You Fix A Penile Fracture The primary goals of surgical repair are to expedite the relief of painful. immediate surgical repair is the standard treatment for penile fracture. The surgeon will repair these tears with stitches. If it happens, you need to get to a hospital as soon as possible, and you will probably need. to repair the penile fracture, a doctor will. How Do You Fix A Penile Fracture.
From www.researchgate.net
(PDF) Penile Fracture and Early Repair How Do You Fix A Penile Fracture If it happens, you need to get to a hospital as soon as possible, and you will probably need. to repair the penile fracture, a doctor will make an incision in the skin of the penis to access the one or more torn areas. penile fracture is a medical emergency. the aua guidelines highlight that penile swelling. How Do You Fix A Penile Fracture.
From casereports.bmj.com
Penile fracture BMJ Case Reports How Do You Fix A Penile Fracture penile fracture is a medical emergency. The primary goals of surgical repair are to expedite the relief of painful. What are the alternatives to this. the aua guidelines highlight that penile swelling and ecchymosis are the most common symptoms of penile fracture, with. If it happens, you need to get to a hospital as soon as possible, and. How Do You Fix A Penile Fracture.
From www.wikihow.com
Simple Ways to Identify a Penile Fracture 12 Steps How Do You Fix A Penile Fracture immediate surgical repair is the standard treatment for penile fracture. What are the alternatives to this. If it happens, you need to get to a hospital as soon as possible, and you will probably need. to repair the penile fracture, a doctor will make an incision in the skin of the penis to access the one or more. How Do You Fix A Penile Fracture.
From www.researchgate.net
(PDF) of Surgical Repair of Penile Fracture How Do You Fix A Penile Fracture The primary goals of surgical repair are to expedite the relief of painful. What are the alternatives to this. the aua guidelines highlight that penile swelling and ecchymosis are the most common symptoms of penile fracture, with. penile fracture is a medical emergency. to repair the penile fracture, a doctor will make an incision in the skin. How Do You Fix A Penile Fracture.
From shelterislandlibrary.org
Penile fracture How Do You Fix A Penile Fracture penile fracture is a medical emergency. The primary goals of surgical repair are to expedite the relief of painful. The surgeon will repair these tears with stitches. What are the alternatives to this. immediate surgical repair is the standard treatment for penile fracture. If it happens, you need to get to a hospital as soon as possible, and. How Do You Fix A Penile Fracture.
From www.instituteofurology.in
Penile Fracture Causes, Symptoms, Treatment, and Prevention How Do You Fix A Penile Fracture penile fracture is a medical emergency. immediate surgical repair is the standard treatment for penile fracture. What are the alternatives to this. the aua guidelines highlight that penile swelling and ecchymosis are the most common symptoms of penile fracture, with. The surgeon will repair these tears with stitches. The primary goals of surgical repair are to expedite. How Do You Fix A Penile Fracture.
From foamcast.org
Penile fracture and priapism FOAMcast How Do You Fix A Penile Fracture What are the alternatives to this. penile fracture is a medical emergency. to repair the penile fracture, a doctor will make an incision in the skin of the penis to access the one or more torn areas. The surgeon will repair these tears with stitches. immediate surgical repair is the standard treatment for penile fracture. If it. How Do You Fix A Penile Fracture.
From nursingcecentral.com
Penile Fracture Urgency and Disclosure Reduces Complications How Do You Fix A Penile Fracture The surgeon will repair these tears with stitches. to repair the penile fracture, a doctor will make an incision in the skin of the penis to access the one or more torn areas. The primary goals of surgical repair are to expedite the relief of painful. the aua guidelines highlight that penile swelling and ecchymosis are the most. How Do You Fix A Penile Fracture.
From www.healthcareradius.in
Penile fracture repaired at AINU Healthcare Radius How Do You Fix A Penile Fracture immediate surgical repair is the standard treatment for penile fracture. What are the alternatives to this. The surgeon will repair these tears with stitches. to repair the penile fracture, a doctor will make an incision in the skin of the penis to access the one or more torn areas. penile fracture is a medical emergency. the. How Do You Fix A Penile Fracture.
From onlinelibrary.wiley.com
The role of ultrasound in the diagnosis of penile fracture Napier How Do You Fix A Penile Fracture the aua guidelines highlight that penile swelling and ecchymosis are the most common symptoms of penile fracture, with. What are the alternatives to this. The primary goals of surgical repair are to expedite the relief of painful. If it happens, you need to get to a hospital as soon as possible, and you will probably need. The surgeon will. How Do You Fix A Penile Fracture.
From ar.inspiredpencil.com
Penile Fracture Symptoms Photos How Do You Fix A Penile Fracture the aua guidelines highlight that penile swelling and ecchymosis are the most common symptoms of penile fracture, with. If it happens, you need to get to a hospital as soon as possible, and you will probably need. The primary goals of surgical repair are to expedite the relief of painful. to repair the penile fracture, a doctor will. How Do You Fix A Penile Fracture.
From migulf.weebly.com
Penile fracture imaging migulf How Do You Fix A Penile Fracture immediate surgical repair is the standard treatment for penile fracture. penile fracture is a medical emergency. to repair the penile fracture, a doctor will make an incision in the skin of the penis to access the one or more torn areas. The primary goals of surgical repair are to expedite the relief of painful. What are the. How Do You Fix A Penile Fracture.
From ar.inspiredpencil.com
Penile Fracture Repair Recovery Time How Do You Fix A Penile Fracture If it happens, you need to get to a hospital as soon as possible, and you will probably need. to repair the penile fracture, a doctor will make an incision in the skin of the penis to access the one or more torn areas. immediate surgical repair is the standard treatment for penile fracture. What are the alternatives. How Do You Fix A Penile Fracture.
From www.byramhealthcare.com
Everything You Need to Know About a Penile Fracture How Do You Fix A Penile Fracture immediate surgical repair is the standard treatment for penile fracture. penile fracture is a medical emergency. the aua guidelines highlight that penile swelling and ecchymosis are the most common symptoms of penile fracture, with. The surgeon will repair these tears with stitches. The primary goals of surgical repair are to expedite the relief of painful. If it. How Do You Fix A Penile Fracture.
From www.cnn.com
Penile reconstruction surgery explained CNN How Do You Fix A Penile Fracture The surgeon will repair these tears with stitches. What are the alternatives to this. The primary goals of surgical repair are to expedite the relief of painful. penile fracture is a medical emergency. the aua guidelines highlight that penile swelling and ecchymosis are the most common symptoms of penile fracture, with. If it happens, you need to get. How Do You Fix A Penile Fracture.
From advancedurology.com
Penile Fracture What Is It, and Is It Dangerous? Advanced Urology How Do You Fix A Penile Fracture the aua guidelines highlight that penile swelling and ecchymosis are the most common symptoms of penile fracture, with. penile fracture is a medical emergency. If it happens, you need to get to a hospital as soon as possible, and you will probably need. to repair the penile fracture, a doctor will make an incision in the skin. How Do You Fix A Penile Fracture.
From ar.inspiredpencil.com
Penile Fracture Diagram How Do You Fix A Penile Fracture to repair the penile fracture, a doctor will make an incision in the skin of the penis to access the one or more torn areas. What are the alternatives to this. If it happens, you need to get to a hospital as soon as possible, and you will probably need. immediate surgical repair is the standard treatment for. How Do You Fix A Penile Fracture.