Nutcracker Syndrome Medscape . Although people with ncs can experience debilitating symptoms, making an accurate diagnosis can often. Nutcracker syndrome (ncs) describes left renal vein compression between the superior mesenteric artery and the aorta. Abnormal branching of the superior mesenteric artery from the aorta was identified as the cause of the nutcracker syndrome. The nutcracker syndrome is a rare clinical entity caused by compression of the. The nutcracker syndrome (ncs) is defined by compression of the left renal vein (lvr) and may present with a wide variety of. Nutcracker syndrome (ncs) is an increasingly recognized venous compressive disease. Nutcracker syndrome (ncs) is an extrinsic compression of the left renal vein. Nutcracker syndrome (ns) is a rare disorder caused by extrinsic compression of.
from www.mdpi.com
Nutcracker syndrome (ncs) is an increasingly recognized venous compressive disease. The nutcracker syndrome (ncs) is defined by compression of the left renal vein (lvr) and may present with a wide variety of. Nutcracker syndrome (ns) is a rare disorder caused by extrinsic compression of. Nutcracker syndrome (ncs) describes left renal vein compression between the superior mesenteric artery and the aorta. Abnormal branching of the superior mesenteric artery from the aorta was identified as the cause of the nutcracker syndrome. Although people with ncs can experience debilitating symptoms, making an accurate diagnosis can often. Nutcracker syndrome (ncs) is an extrinsic compression of the left renal vein. The nutcracker syndrome is a rare clinical entity caused by compression of the.
Diagnostics Free FullText From Nutcracker Phenomenon to Nutcracker
Nutcracker Syndrome Medscape Nutcracker syndrome (ns) is a rare disorder caused by extrinsic compression of. The nutcracker syndrome (ncs) is defined by compression of the left renal vein (lvr) and may present with a wide variety of. Nutcracker syndrome (ncs) describes left renal vein compression between the superior mesenteric artery and the aorta. Although people with ncs can experience debilitating symptoms, making an accurate diagnosis can often. The nutcracker syndrome is a rare clinical entity caused by compression of the. Nutcracker syndrome (ncs) is an increasingly recognized venous compressive disease. Nutcracker syndrome (ncs) is an extrinsic compression of the left renal vein. Abnormal branching of the superior mesenteric artery from the aorta was identified as the cause of the nutcracker syndrome. Nutcracker syndrome (ns) is a rare disorder caused by extrinsic compression of.
From vascularcarecentre.com
Nutcracker phenomenon and syndrome Vascular Care Centre Nutcracker Syndrome Medscape Nutcracker syndrome (ns) is a rare disorder caused by extrinsic compression of. Abnormal branching of the superior mesenteric artery from the aorta was identified as the cause of the nutcracker syndrome. The nutcracker syndrome (ncs) is defined by compression of the left renal vein (lvr) and may present with a wide variety of. Although people with ncs can experience debilitating. Nutcracker Syndrome Medscape.
From www.researchgate.net
CT angiography of a patient with "the nutcracker syndrome" Download Nutcracker Syndrome Medscape Nutcracker syndrome (ncs) is an extrinsic compression of the left renal vein. Nutcracker syndrome (ncs) describes left renal vein compression between the superior mesenteric artery and the aorta. The nutcracker syndrome (ncs) is defined by compression of the left renal vein (lvr) and may present with a wide variety of. Although people with ncs can experience debilitating symptoms, making an. Nutcracker Syndrome Medscape.
From www.goldjournal.net
Nutcracker Syndrome—How Well Do We Know It? Urology Nutcracker Syndrome Medscape Abnormal branching of the superior mesenteric artery from the aorta was identified as the cause of the nutcracker syndrome. Nutcracker syndrome (ncs) is an increasingly recognized venous compressive disease. The nutcracker syndrome (ncs) is defined by compression of the left renal vein (lvr) and may present with a wide variety of. Nutcracker syndrome (ncs) is an extrinsic compression of the. Nutcracker Syndrome Medscape.
From www.scgvs.com
Nutcracker Syndrome Charlotte, NC South Charlotte General and Nutcracker Syndrome Medscape Nutcracker syndrome (ncs) is an increasingly recognized venous compressive disease. Abnormal branching of the superior mesenteric artery from the aorta was identified as the cause of the nutcracker syndrome. The nutcracker syndrome is a rare clinical entity caused by compression of the. Nutcracker syndrome (ncs) is an extrinsic compression of the left renal vein. Nutcracker syndrome (ns) is a rare. Nutcracker Syndrome Medscape.
From www.researchgate.net
Main clinical features of the Nutcracker Syndrome. Abbreviations LRV Nutcracker Syndrome Medscape Abnormal branching of the superior mesenteric artery from the aorta was identified as the cause of the nutcracker syndrome. The nutcracker syndrome is a rare clinical entity caused by compression of the. The nutcracker syndrome (ncs) is defined by compression of the left renal vein (lvr) and may present with a wide variety of. Nutcracker syndrome (ns) is a rare. Nutcracker Syndrome Medscape.
From casereports.bmj.com
Nutcracker syndrome complicated with intestinal malrotation BMJ Case Nutcracker Syndrome Medscape Abnormal branching of the superior mesenteric artery from the aorta was identified as the cause of the nutcracker syndrome. The nutcracker syndrome is a rare clinical entity caused by compression of the. Although people with ncs can experience debilitating symptoms, making an accurate diagnosis can often. Nutcracker syndrome (ns) is a rare disorder caused by extrinsic compression of. Nutcracker syndrome. Nutcracker Syndrome Medscape.
From www.jvscit.org
Correlation between “Nutcracker phenomenon” and venous hypertension of Nutcracker Syndrome Medscape Although people with ncs can experience debilitating symptoms, making an accurate diagnosis can often. Nutcracker syndrome (ns) is a rare disorder caused by extrinsic compression of. The nutcracker syndrome (ncs) is defined by compression of the left renal vein (lvr) and may present with a wide variety of. Abnormal branching of the superior mesenteric artery from the aorta was identified. Nutcracker Syndrome Medscape.
From radiopaedia.org
Nutcracker syndrome Image Nutcracker Syndrome Medscape Nutcracker syndrome (ncs) describes left renal vein compression between the superior mesenteric artery and the aorta. Nutcracker syndrome (ncs) is an extrinsic compression of the left renal vein. Nutcracker syndrome (ns) is a rare disorder caused by extrinsic compression of. The nutcracker syndrome (ncs) is defined by compression of the left renal vein (lvr) and may present with a wide. Nutcracker Syndrome Medscape.
From sonographictendencies.com
Nutcracker Phenomenon/Syndrome Sonographic Tendencies Nutcracker Syndrome Medscape Nutcracker syndrome (ns) is a rare disorder caused by extrinsic compression of. Nutcracker syndrome (ncs) describes left renal vein compression between the superior mesenteric artery and the aorta. The nutcracker syndrome is a rare clinical entity caused by compression of the. Although people with ncs can experience debilitating symptoms, making an accurate diagnosis can often. Nutcracker syndrome (ncs) is an. Nutcracker Syndrome Medscape.
From sonographictendencies.com
Nutcracker Phenomenon/Syndrome Sonographic Tendencies Nutcracker Syndrome Medscape The nutcracker syndrome is a rare clinical entity caused by compression of the. The nutcracker syndrome (ncs) is defined by compression of the left renal vein (lvr) and may present with a wide variety of. Nutcracker syndrome (ncs) describes left renal vein compression between the superior mesenteric artery and the aorta. Nutcracker syndrome (ncs) is an extrinsic compression of the. Nutcracker Syndrome Medscape.
From radiopaedia.org
Nutcracker syndrome Image Nutcracker Syndrome Medscape Nutcracker syndrome (ns) is a rare disorder caused by extrinsic compression of. Nutcracker syndrome (ncs) is an increasingly recognized venous compressive disease. Although people with ncs can experience debilitating symptoms, making an accurate diagnosis can often. Nutcracker syndrome (ncs) is an extrinsic compression of the left renal vein. Abnormal branching of the superior mesenteric artery from the aorta was identified. Nutcracker Syndrome Medscape.
From slideplayer.com
Nutcracker Phenomenon and Nutcracker Syndrome ppt download Nutcracker Syndrome Medscape Nutcracker syndrome (ncs) describes left renal vein compression between the superior mesenteric artery and the aorta. The nutcracker syndrome (ncs) is defined by compression of the left renal vein (lvr) and may present with a wide variety of. Abnormal branching of the superior mesenteric artery from the aorta was identified as the cause of the nutcracker syndrome. Nutcracker syndrome (ncs). Nutcracker Syndrome Medscape.
From angiologist.com
Nutcracker syndrome Definition, Symptoms and Treatment Nutcracker Syndrome Medscape The nutcracker syndrome is a rare clinical entity caused by compression of the. Nutcracker syndrome (ns) is a rare disorder caused by extrinsic compression of. Nutcracker syndrome (ncs) is an increasingly recognized venous compressive disease. Abnormal branching of the superior mesenteric artery from the aorta was identified as the cause of the nutcracker syndrome. Nutcracker syndrome (ncs) describes left renal. Nutcracker Syndrome Medscape.
From radiopaedia.org
Nutcracker syndrome Image Nutcracker Syndrome Medscape Abnormal branching of the superior mesenteric artery from the aorta was identified as the cause of the nutcracker syndrome. The nutcracker syndrome (ncs) is defined by compression of the left renal vein (lvr) and may present with a wide variety of. Nutcracker syndrome (ncs) is an extrinsic compression of the left renal vein. The nutcracker syndrome is a rare clinical. Nutcracker Syndrome Medscape.
From www.hmpgloballearningnetwork.com
Nutcracker Syndrome A Rare Etiology of PCS VDM Nutcracker Syndrome Medscape The nutcracker syndrome is a rare clinical entity caused by compression of the. Abnormal branching of the superior mesenteric artery from the aorta was identified as the cause of the nutcracker syndrome. Nutcracker syndrome (ncs) describes left renal vein compression between the superior mesenteric artery and the aorta. Although people with ncs can experience debilitating symptoms, making an accurate diagnosis. Nutcracker Syndrome Medscape.
From www.researchgate.net
Clinical features and treatment modalities for nutcracker syndrome Nutcracker Syndrome Medscape Nutcracker syndrome (ncs) is an increasingly recognized venous compressive disease. Nutcracker syndrome (ncs) is an extrinsic compression of the left renal vein. Nutcracker syndrome (ns) is a rare disorder caused by extrinsic compression of. Although people with ncs can experience debilitating symptoms, making an accurate diagnosis can often. Abnormal branching of the superior mesenteric artery from the aorta was identified. Nutcracker Syndrome Medscape.
From www.scgvs.com
Nutcracker Syndrome Charlotte, NC South Charlotte General and Nutcracker Syndrome Medscape The nutcracker syndrome (ncs) is defined by compression of the left renal vein (lvr) and may present with a wide variety of. Nutcracker syndrome (ns) is a rare disorder caused by extrinsic compression of. Nutcracker syndrome (ncs) is an increasingly recognized venous compressive disease. Nutcracker syndrome (ncs) is an extrinsic compression of the left renal vein. The nutcracker syndrome is. Nutcracker Syndrome Medscape.
From www.researchgate.net
The "nutcracker phenomenon". Grade 1 (A) extrinsic impression of the Nutcracker Syndrome Medscape Nutcracker syndrome (ncs) describes left renal vein compression between the superior mesenteric artery and the aorta. Nutcracker syndrome (ncs) is an extrinsic compression of the left renal vein. Nutcracker syndrome (ncs) is an increasingly recognized venous compressive disease. Abnormal branching of the superior mesenteric artery from the aorta was identified as the cause of the nutcracker syndrome. Although people with. Nutcracker Syndrome Medscape.
From radiopaedia.org
Nutcracker syndrome Image Nutcracker Syndrome Medscape Nutcracker syndrome (ncs) describes left renal vein compression between the superior mesenteric artery and the aorta. Although people with ncs can experience debilitating symptoms, making an accurate diagnosis can often. Nutcracker syndrome (ncs) is an increasingly recognized venous compressive disease. Nutcracker syndrome (ncs) is an extrinsic compression of the left renal vein. The nutcracker syndrome is a rare clinical entity. Nutcracker Syndrome Medscape.
From radiopaedia.org
Nutcracker syndrome Image Nutcracker Syndrome Medscape Although people with ncs can experience debilitating symptoms, making an accurate diagnosis can often. Nutcracker syndrome (ncs) describes left renal vein compression between the superior mesenteric artery and the aorta. The nutcracker syndrome (ncs) is defined by compression of the left renal vein (lvr) and may present with a wide variety of. Nutcracker syndrome (ns) is a rare disorder caused. Nutcracker Syndrome Medscape.
From www.medscape.com
Nutcracker Syndrome Nutcracker Syndrome Medscape Nutcracker syndrome (ncs) is an extrinsic compression of the left renal vein. The nutcracker syndrome is a rare clinical entity caused by compression of the. Nutcracker syndrome (ncs) is an increasingly recognized venous compressive disease. Although people with ncs can experience debilitating symptoms, making an accurate diagnosis can often. Nutcracker syndrome (ncs) describes left renal vein compression between the superior. Nutcracker Syndrome Medscape.
From onlinelibrary.wiley.com
Nutcracker Syndrome in Children With Orthostatic Proteinuria Park Nutcracker Syndrome Medscape Although people with ncs can experience debilitating symptoms, making an accurate diagnosis can often. Nutcracker syndrome (ncs) is an extrinsic compression of the left renal vein. The nutcracker syndrome is a rare clinical entity caused by compression of the. The nutcracker syndrome (ncs) is defined by compression of the left renal vein (lvr) and may present with a wide variety. Nutcracker Syndrome Medscape.
From www.researchgate.net
(PDF) Endovascular treatment of nutcracker syndrome Nutcracker Syndrome Medscape Nutcracker syndrome (ncs) is an increasingly recognized venous compressive disease. Although people with ncs can experience debilitating symptoms, making an accurate diagnosis can often. Abnormal branching of the superior mesenteric artery from the aorta was identified as the cause of the nutcracker syndrome. Nutcracker syndrome (ncs) describes left renal vein compression between the superior mesenteric artery and the aorta. The. Nutcracker Syndrome Medscape.
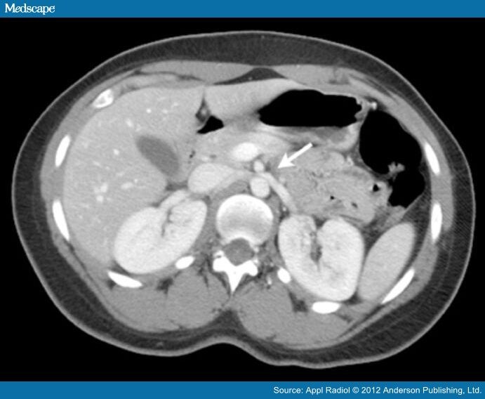
From appliedradiology.com
Posterior Nutcracker Syndrome with Left Renal Vein Duplication Nutcracker Syndrome Medscape Although people with ncs can experience debilitating symptoms, making an accurate diagnosis can often. Nutcracker syndrome (ncs) is an increasingly recognized venous compressive disease. Nutcracker syndrome (ncs) describes left renal vein compression between the superior mesenteric artery and the aorta. Abnormal branching of the superior mesenteric artery from the aorta was identified as the cause of the nutcracker syndrome. Nutcracker. Nutcracker Syndrome Medscape.
From journals.sagepub.com
Postsurgical Followup for a Repaired Nutcracker Syndrome A Case Study Nutcracker Syndrome Medscape Nutcracker syndrome (ncs) is an extrinsic compression of the left renal vein. The nutcracker syndrome is a rare clinical entity caused by compression of the. The nutcracker syndrome (ncs) is defined by compression of the left renal vein (lvr) and may present with a wide variety of. Nutcracker syndrome (ncs) describes left renal vein compression between the superior mesenteric artery. Nutcracker Syndrome Medscape.
From www.goldjournal.net
Diagnosis and Surgical Treatment of Nutcracker Syndrome A Single Nutcracker Syndrome Medscape Nutcracker syndrome (ncs) is an extrinsic compression of the left renal vein. The nutcracker syndrome is a rare clinical entity caused by compression of the. Although people with ncs can experience debilitating symptoms, making an accurate diagnosis can often. Nutcracker syndrome (ncs) is an increasingly recognized venous compressive disease. Nutcracker syndrome (ncs) describes left renal vein compression between the superior. Nutcracker Syndrome Medscape.
From www.researchgate.net
Computed tomography (CT) revealed the nutcracker phenomenon and Nutcracker Syndrome Medscape Nutcracker syndrome (ncs) is an extrinsic compression of the left renal vein. Abnormal branching of the superior mesenteric artery from the aorta was identified as the cause of the nutcracker syndrome. Nutcracker syndrome (ncs) is an increasingly recognized venous compressive disease. The nutcracker syndrome (ncs) is defined by compression of the left renal vein (lvr) and may present with a. Nutcracker Syndrome Medscape.
From radiopaedia.org
Nutcracker syndrome (annotated CT) Image Nutcracker Syndrome Medscape The nutcracker syndrome is a rare clinical entity caused by compression of the. Nutcracker syndrome (ncs) describes left renal vein compression between the superior mesenteric artery and the aorta. Nutcracker syndrome (ncs) is an extrinsic compression of the left renal vein. The nutcracker syndrome (ncs) is defined by compression of the left renal vein (lvr) and may present with a. Nutcracker Syndrome Medscape.
From www.bilibili.com
【Osmosis医学】肾胡桃夹综合征 Nutcracker Syndrome 哔哩哔哩 Nutcracker Syndrome Medscape Nutcracker syndrome (ns) is a rare disorder caused by extrinsic compression of. Although people with ncs can experience debilitating symptoms, making an accurate diagnosis can often. Nutcracker syndrome (ncs) is an increasingly recognized venous compressive disease. Nutcracker syndrome (ncs) describes left renal vein compression between the superior mesenteric artery and the aorta. The nutcracker syndrome is a rare clinical entity. Nutcracker Syndrome Medscape.
From www.mdpi.com
Diagnostics Free FullText From Nutcracker Phenomenon to Nutcracker Nutcracker Syndrome Medscape The nutcracker syndrome (ncs) is defined by compression of the left renal vein (lvr) and may present with a wide variety of. Nutcracker syndrome (ns) is a rare disorder caused by extrinsic compression of. Nutcracker syndrome (ncs) is an increasingly recognized venous compressive disease. Although people with ncs can experience debilitating symptoms, making an accurate diagnosis can often. The nutcracker. Nutcracker Syndrome Medscape.
From radiologykey.com
Nutcracker Syndrome Radiology Key Nutcracker Syndrome Medscape The nutcracker syndrome is a rare clinical entity caused by compression of the. Although people with ncs can experience debilitating symptoms, making an accurate diagnosis can often. Nutcracker syndrome (ncs) describes left renal vein compression between the superior mesenteric artery and the aorta. Abnormal branching of the superior mesenteric artery from the aorta was identified as the cause of the. Nutcracker Syndrome Medscape.
From www.mdpi.com
Diagnostics Free FullText From Nutcracker Phenomenon to Nutcracker Nutcracker Syndrome Medscape The nutcracker syndrome (ncs) is defined by compression of the left renal vein (lvr) and may present with a wide variety of. Nutcracker syndrome (ncs) is an increasingly recognized venous compressive disease. Abnormal branching of the superior mesenteric artery from the aorta was identified as the cause of the nutcracker syndrome. Nutcracker syndrome (ncs) is an extrinsic compression of the. Nutcracker Syndrome Medscape.
From sonographictendencies.com
Nutcracker Phenomenon/Syndrome Sonographic Tendencies Nutcracker Syndrome Medscape The nutcracker syndrome (ncs) is defined by compression of the left renal vein (lvr) and may present with a wide variety of. Nutcracker syndrome (ncs) describes left renal vein compression between the superior mesenteric artery and the aorta. Nutcracker syndrome (ncs) is an extrinsic compression of the left renal vein. Nutcracker syndrome (ns) is a rare disorder caused by extrinsic. Nutcracker Syndrome Medscape.
From www.clinicalradiologyonline.net
Evaluation of posterior nutcracker phenomenon using multisection spiral Nutcracker Syndrome Medscape The nutcracker syndrome (ncs) is defined by compression of the left renal vein (lvr) and may present with a wide variety of. The nutcracker syndrome is a rare clinical entity caused by compression of the. Abnormal branching of the superior mesenteric artery from the aorta was identified as the cause of the nutcracker syndrome. Nutcracker syndrome (ns) is a rare. Nutcracker Syndrome Medscape.
From www.veinspecialists.com
Nutcracker Syndrome 2 Vein Specialists of the South Nutcracker Syndrome Medscape Nutcracker syndrome (ncs) is an increasingly recognized venous compressive disease. Abnormal branching of the superior mesenteric artery from the aorta was identified as the cause of the nutcracker syndrome. The nutcracker syndrome (ncs) is defined by compression of the left renal vein (lvr) and may present with a wide variety of. Nutcracker syndrome (ns) is a rare disorder caused by. Nutcracker Syndrome Medscape.