Popcorn Lung On Ct . When it occurs after lung. Bronchiolitis obliterans (bo), also known as obliterative bronchiolitis, constrictive bronchiolitis and popcorn lung, is a disease that results in. Bronchiolitis obliterans is also known as obliterative bronchiolitis or constrictive bronchiolitis. They may also use a pulmonary function test. On hrct chest, there are often sharply defined, areas of decreased lung attenuation associated with vessels of reduced calibre. Popcorn lung is a serious and irreversible condition in which the tiny air sacs in the lungs become scarred and constricted,. Bronchiolitis obliterans) is a rare condition in which lung damage starts in the small airways.
from malpracticecenter.com
On hrct chest, there are often sharply defined, areas of decreased lung attenuation associated with vessels of reduced calibre. They may also use a pulmonary function test. Bronchiolitis obliterans is also known as obliterative bronchiolitis or constrictive bronchiolitis. Bronchiolitis obliterans (bo), also known as obliterative bronchiolitis, constrictive bronchiolitis and popcorn lung, is a disease that results in. When it occurs after lung. Bronchiolitis obliterans) is a rare condition in which lung damage starts in the small airways. Popcorn lung is a serious and irreversible condition in which the tiny air sacs in the lungs become scarred and constricted,.
How To Identify Popcorn Lung Symptoms and Seek Compensation for Damages
Popcorn Lung On Ct They may also use a pulmonary function test. Popcorn lung is a serious and irreversible condition in which the tiny air sacs in the lungs become scarred and constricted,. Bronchiolitis obliterans (bo), also known as obliterative bronchiolitis, constrictive bronchiolitis and popcorn lung, is a disease that results in. Bronchiolitis obliterans) is a rare condition in which lung damage starts in the small airways. On hrct chest, there are often sharply defined, areas of decreased lung attenuation associated with vessels of reduced calibre. When it occurs after lung. They may also use a pulmonary function test. Bronchiolitis obliterans is also known as obliterative bronchiolitis or constrictive bronchiolitis.
From www.pinterest.co.uk
Normal lungs vs CF lungs Cystic fibrosis, Cystic fibrosis awareness Popcorn Lung On Ct They may also use a pulmonary function test. Bronchiolitis obliterans (bo), also known as obliterative bronchiolitis, constrictive bronchiolitis and popcorn lung, is a disease that results in. Popcorn lung is a serious and irreversible condition in which the tiny air sacs in the lungs become scarred and constricted,. Bronchiolitis obliterans) is a rare condition in which lung damage starts in. Popcorn Lung On Ct.
From expertvaping.com
Popcorn Lung (Bronchiolitis Obliterans) Popcorn Lung On Ct Bronchiolitis obliterans is also known as obliterative bronchiolitis or constrictive bronchiolitis. Popcorn lung is a serious and irreversible condition in which the tiny air sacs in the lungs become scarred and constricted,. When it occurs after lung. Bronchiolitis obliterans (bo), also known as obliterative bronchiolitis, constrictive bronchiolitis and popcorn lung, is a disease that results in. On hrct chest, there. Popcorn Lung On Ct.
From www.eurekalert.org
Lung injuries from vaping have characteristic EurekAlert! Popcorn Lung On Ct Bronchiolitis obliterans) is a rare condition in which lung damage starts in the small airways. On hrct chest, there are often sharply defined, areas of decreased lung attenuation associated with vessels of reduced calibre. They may also use a pulmonary function test. Bronchiolitis obliterans (bo), also known as obliterative bronchiolitis, constrictive bronchiolitis and popcorn lung, is a disease that results. Popcorn Lung On Ct.
From www.yahoo.com
What Is Popcorn Lung? What to Know About This Deadly Condition Caused Popcorn Lung On Ct Bronchiolitis obliterans (bo), also known as obliterative bronchiolitis, constrictive bronchiolitis and popcorn lung, is a disease that results in. When it occurs after lung. They may also use a pulmonary function test. On hrct chest, there are often sharply defined, areas of decreased lung attenuation associated with vessels of reduced calibre. Bronchiolitis obliterans is also known as obliterative bronchiolitis or. Popcorn Lung On Ct.
From www.financialexpress.com
What are popcorn lungs? Read on to know all about its symptoms, causes Popcorn Lung On Ct On hrct chest, there are often sharply defined, areas of decreased lung attenuation associated with vessels of reduced calibre. Bronchiolitis obliterans is also known as obliterative bronchiolitis or constrictive bronchiolitis. Popcorn lung is a serious and irreversible condition in which the tiny air sacs in the lungs become scarred and constricted,. They may also use a pulmonary function test. Bronchiolitis. Popcorn Lung On Ct.
From www.mdpi.com
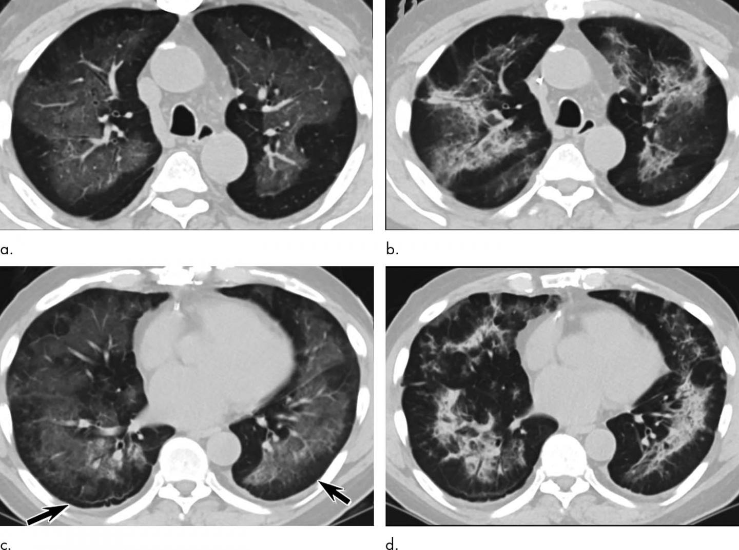
Diseases Free FullText Mosaic Pattern of Lung Attenuation on Chest Popcorn Lung On Ct Bronchiolitis obliterans is also known as obliterative bronchiolitis or constrictive bronchiolitis. On hrct chest, there are often sharply defined, areas of decreased lung attenuation associated with vessels of reduced calibre. Bronchiolitis obliterans) is a rare condition in which lung damage starts in the small airways. Bronchiolitis obliterans (bo), also known as obliterative bronchiolitis, constrictive bronchiolitis and popcorn lung, is a. Popcorn Lung On Ct.
From www.e-liquids.uk
Is Popcorn Lung A Genuine Risk? ELiquids UK Popcorn Lung On Ct Bronchiolitis obliterans is also known as obliterative bronchiolitis or constrictive bronchiolitis. Bronchiolitis obliterans (bo), also known as obliterative bronchiolitis, constrictive bronchiolitis and popcorn lung, is a disease that results in. They may also use a pulmonary function test. When it occurs after lung. Popcorn lung is a serious and irreversible condition in which the tiny air sacs in the lungs. Popcorn Lung On Ct.
From www.healthing.ca
Popcorn lung What it feels like Healthing.ca Popcorn Lung On Ct Bronchiolitis obliterans) is a rare condition in which lung damage starts in the small airways. Bronchiolitis obliterans (bo), also known as obliterative bronchiolitis, constrictive bronchiolitis and popcorn lung, is a disease that results in. Bronchiolitis obliterans is also known as obliterative bronchiolitis or constrictive bronchiolitis. They may also use a pulmonary function test. Popcorn lung is a serious and irreversible. Popcorn Lung On Ct.
From www.gizmodo.com.au
Doctors Report First Documented Case Of 'Popcorn Lung' From Vaping Popcorn Lung On Ct Bronchiolitis obliterans is also known as obliterative bronchiolitis or constrictive bronchiolitis. On hrct chest, there are often sharply defined, areas of decreased lung attenuation associated with vessels of reduced calibre. Popcorn lung is a serious and irreversible condition in which the tiny air sacs in the lungs become scarred and constricted,. Bronchiolitis obliterans) is a rare condition in which lung. Popcorn Lung On Ct.
From www.healthline.com
Popcorn Lung Symptoms, Causes, Treatment, Prevention Popcorn Lung On Ct Bronchiolitis obliterans (bo), also known as obliterative bronchiolitis, constrictive bronchiolitis and popcorn lung, is a disease that results in. When it occurs after lung. On hrct chest, there are often sharply defined, areas of decreased lung attenuation associated with vessels of reduced calibre. Bronchiolitis obliterans) is a rare condition in which lung damage starts in the small airways. Bronchiolitis obliterans. Popcorn Lung On Ct.
From www.pinterest.com
Popcorn Lung Copd, Lunges, Popcorn Popcorn Lung On Ct On hrct chest, there are often sharply defined, areas of decreased lung attenuation associated with vessels of reduced calibre. Bronchiolitis obliterans) is a rare condition in which lung damage starts in the small airways. Popcorn lung is a serious and irreversible condition in which the tiny air sacs in the lungs become scarred and constricted,. When it occurs after lung.. Popcorn Lung On Ct.
From mojamedicina.com
Tumori pluća Radiologija Stručna literatura Moja Medicina Popcorn Lung On Ct On hrct chest, there are often sharply defined, areas of decreased lung attenuation associated with vessels of reduced calibre. When it occurs after lung. Bronchiolitis obliterans is also known as obliterative bronchiolitis or constrictive bronchiolitis. Bronchiolitis obliterans) is a rare condition in which lung damage starts in the small airways. They may also use a pulmonary function test. Bronchiolitis obliterans. Popcorn Lung On Ct.
From www.pinterest.dk
Pin on CT Scans Popcorn Lung On Ct On hrct chest, there are often sharply defined, areas of decreased lung attenuation associated with vessels of reduced calibre. Bronchiolitis obliterans is also known as obliterative bronchiolitis or constrictive bronchiolitis. They may also use a pulmonary function test. Popcorn lung is a serious and irreversible condition in which the tiny air sacs in the lungs become scarred and constricted,. Bronchiolitis. Popcorn Lung On Ct.
From healthjade.net
Popcorn lung causes, symptoms, diagnosis, treatment & prognosis Popcorn Lung On Ct Popcorn lung is a serious and irreversible condition in which the tiny air sacs in the lungs become scarred and constricted,. When it occurs after lung. They may also use a pulmonary function test. Bronchiolitis obliterans is also known as obliterative bronchiolitis or constrictive bronchiolitis. Bronchiolitis obliterans (bo), also known as obliterative bronchiolitis, constrictive bronchiolitis and popcorn lung, is a. Popcorn Lung On Ct.
From www.reddit.com
Popcorn shadows on lung xrays? r/vet Popcorn Lung On Ct On hrct chest, there are often sharply defined, areas of decreased lung attenuation associated with vessels of reduced calibre. When it occurs after lung. They may also use a pulmonary function test. Popcorn lung is a serious and irreversible condition in which the tiny air sacs in the lungs become scarred and constricted,. Bronchiolitis obliterans is also known as obliterative. Popcorn Lung On Ct.
From www.pinterest.com
POPCORN CALCIFICATION. Chest radiograph demonstrates nodule with Popcorn Lung On Ct Bronchiolitis obliterans (bo), also known as obliterative bronchiolitis, constrictive bronchiolitis and popcorn lung, is a disease that results in. When it occurs after lung. Popcorn lung is a serious and irreversible condition in which the tiny air sacs in the lungs become scarred and constricted,. Bronchiolitis obliterans) is a rare condition in which lung damage starts in the small airways.. Popcorn Lung On Ct.
From healthknowledgecenter.com
What is Popcorn Lung? Symptoms, Causes and Treatments Popcorn Lung On Ct Popcorn lung is a serious and irreversible condition in which the tiny air sacs in the lungs become scarred and constricted,. When it occurs after lung. They may also use a pulmonary function test. Bronchiolitis obliterans) is a rare condition in which lung damage starts in the small airways. Bronchiolitis obliterans is also known as obliterative bronchiolitis or constrictive bronchiolitis.. Popcorn Lung On Ct.
From www.inspirepulmonaryandsleep.com
Pulmonary Fibrosis Murrieta, CA Inspire Pulmonary & Sleep Medicine Popcorn Lung On Ct Popcorn lung is a serious and irreversible condition in which the tiny air sacs in the lungs become scarred and constricted,. Bronchiolitis obliterans is also known as obliterative bronchiolitis or constrictive bronchiolitis. Bronchiolitis obliterans (bo), also known as obliterative bronchiolitis, constrictive bronchiolitis and popcorn lung, is a disease that results in. On hrct chest, there are often sharply defined, areas. Popcorn Lung On Ct.
From www.boldsky.com
What Is Popcorn Lung And What Are Its Symptoms? Popcorn Lung On Ct On hrct chest, there are often sharply defined, areas of decreased lung attenuation associated with vessels of reduced calibre. They may also use a pulmonary function test. Bronchiolitis obliterans (bo), also known as obliterative bronchiolitis, constrictive bronchiolitis and popcorn lung, is a disease that results in. When it occurs after lung. Bronchiolitis obliterans) is a rare condition in which lung. Popcorn Lung On Ct.
From www.gizmodo.com.au
Doctors Report First Documented Case Of 'Popcorn Lung' From Vaping Popcorn Lung On Ct Popcorn lung is a serious and irreversible condition in which the tiny air sacs in the lungs become scarred and constricted,. Bronchiolitis obliterans) is a rare condition in which lung damage starts in the small airways. They may also use a pulmonary function test. Bronchiolitis obliterans (bo), also known as obliterative bronchiolitis, constrictive bronchiolitis and popcorn lung, is a disease. Popcorn Lung On Ct.
From vapesflavors.com
Vaping Diacetyl and Popcorn Lungs What is the Truth? VapesFlavors Popcorn Lung On Ct When it occurs after lung. Bronchiolitis obliterans) is a rare condition in which lung damage starts in the small airways. On hrct chest, there are often sharply defined, areas of decreased lung attenuation associated with vessels of reduced calibre. Popcorn lung is a serious and irreversible condition in which the tiny air sacs in the lungs become scarred and constricted,.. Popcorn Lung On Ct.
From copd-conference.blogspot.com
POPCORN LUNGS! Popcorn Lung On Ct Bronchiolitis obliterans is also known as obliterative bronchiolitis or constrictive bronchiolitis. Bronchiolitis obliterans (bo), also known as obliterative bronchiolitis, constrictive bronchiolitis and popcorn lung, is a disease that results in. When it occurs after lung. Bronchiolitis obliterans) is a rare condition in which lung damage starts in the small airways. They may also use a pulmonary function test. On hrct. Popcorn Lung On Ct.
From towardsdatascience.com
Image Classification Using AI to Detect Pneumonia by Samuel Mohebban Popcorn Lung On Ct Popcorn lung is a serious and irreversible condition in which the tiny air sacs in the lungs become scarred and constricted,. Bronchiolitis obliterans) is a rare condition in which lung damage starts in the small airways. Bronchiolitis obliterans (bo), also known as obliterative bronchiolitis, constrictive bronchiolitis and popcorn lung, is a disease that results in. Bronchiolitis obliterans is also known. Popcorn Lung On Ct.
From malpracticecenter.com
How To Identify Popcorn Lung Symptoms and Seek Compensation for Damages Popcorn Lung On Ct Popcorn lung is a serious and irreversible condition in which the tiny air sacs in the lungs become scarred and constricted,. Bronchiolitis obliterans (bo), also known as obliterative bronchiolitis, constrictive bronchiolitis and popcorn lung, is a disease that results in. Bronchiolitis obliterans) is a rare condition in which lung damage starts in the small airways. On hrct chest, there are. Popcorn Lung On Ct.
From www.semanticscholar.org
Figure 5 from Idiopathic pulmonary fibrosis spectrum of high Popcorn Lung On Ct They may also use a pulmonary function test. On hrct chest, there are often sharply defined, areas of decreased lung attenuation associated with vessels of reduced calibre. When it occurs after lung. Bronchiolitis obliterans (bo), also known as obliterative bronchiolitis, constrictive bronchiolitis and popcorn lung, is a disease that results in. Bronchiolitis obliterans) is a rare condition in which lung. Popcorn Lung On Ct.
From www.youtube.com
Popcorn Lungs Bronchiolitis Obliterans Dr Aamir Thazvi Dr Aamir Popcorn Lung On Ct Popcorn lung is a serious and irreversible condition in which the tiny air sacs in the lungs become scarred and constricted,. Bronchiolitis obliterans (bo), also known as obliterative bronchiolitis, constrictive bronchiolitis and popcorn lung, is a disease that results in. They may also use a pulmonary function test. On hrct chest, there are often sharply defined, areas of decreased lung. Popcorn Lung On Ct.
From www.lung.org
Popcorn Lung A Dangerous Risk of Flavored ECigarettes American Lung Popcorn Lung On Ct When it occurs after lung. Bronchiolitis obliterans is also known as obliterative bronchiolitis or constrictive bronchiolitis. On hrct chest, there are often sharply defined, areas of decreased lung attenuation associated with vessels of reduced calibre. Popcorn lung is a serious and irreversible condition in which the tiny air sacs in the lungs become scarred and constricted,. Bronchiolitis obliterans (bo), also. Popcorn Lung On Ct.
From www.atmago.com
MENGENAL POPCORN LUNG AtmaGo Popcorn Lung On Ct Bronchiolitis obliterans is also known as obliterative bronchiolitis or constrictive bronchiolitis. On hrct chest, there are often sharply defined, areas of decreased lung attenuation associated with vessels of reduced calibre. Bronchiolitis obliterans (bo), also known as obliterative bronchiolitis, constrictive bronchiolitis and popcorn lung, is a disease that results in. When it occurs after lung. They may also use a pulmonary. Popcorn Lung On Ct.
From www.lizardjuice.com
8 Things to know about Popcorn Lung Lizard Juice Popcorn Lung On Ct When it occurs after lung. Bronchiolitis obliterans is also known as obliterative bronchiolitis or constrictive bronchiolitis. Bronchiolitis obliterans (bo), also known as obliterative bronchiolitis, constrictive bronchiolitis and popcorn lung, is a disease that results in. On hrct chest, there are often sharply defined, areas of decreased lung attenuation associated with vessels of reduced calibre. Popcorn lung is a serious and. Popcorn Lung On Ct.
From www.pulmonologyadvisor.com
Interstitial Lung Abnormalities Linked to Clinical Course in COPD Popcorn Lung On Ct They may also use a pulmonary function test. When it occurs after lung. Bronchiolitis obliterans (bo), also known as obliterative bronchiolitis, constrictive bronchiolitis and popcorn lung, is a disease that results in. On hrct chest, there are often sharply defined, areas of decreased lung attenuation associated with vessels of reduced calibre. Bronchiolitis obliterans is also known as obliterative bronchiolitis or. Popcorn Lung On Ct.
From vapehabitat.com
Popcorn Lung and Vaping. Symptoms and Signs Popcorn Lung On Ct Bronchiolitis obliterans (bo), also known as obliterative bronchiolitis, constrictive bronchiolitis and popcorn lung, is a disease that results in. They may also use a pulmonary function test. When it occurs after lung. Bronchiolitis obliterans is also known as obliterative bronchiolitis or constrictive bronchiolitis. On hrct chest, there are often sharply defined, areas of decreased lung attenuation associated with vessels of. Popcorn Lung On Ct.
From www.healthline.com
Popcorn Lung Symptoms, Causes, Treatment, Prevention Popcorn Lung On Ct On hrct chest, there are often sharply defined, areas of decreased lung attenuation associated with vessels of reduced calibre. They may also use a pulmonary function test. When it occurs after lung. Bronchiolitis obliterans) is a rare condition in which lung damage starts in the small airways. Bronchiolitis obliterans is also known as obliterative bronchiolitis or constrictive bronchiolitis. Popcorn lung. Popcorn Lung On Ct.
From www.hasnerlaw.com
Popcorn Lung Causes, Diagnosis, and Treatment Atlanta, GA Hasner Popcorn Lung On Ct When it occurs after lung. Bronchiolitis obliterans (bo), also known as obliterative bronchiolitis, constrictive bronchiolitis and popcorn lung, is a disease that results in. Bronchiolitis obliterans is also known as obliterative bronchiolitis or constrictive bronchiolitis. Bronchiolitis obliterans) is a rare condition in which lung damage starts in the small airways. On hrct chest, there are often sharply defined, areas of. Popcorn Lung On Ct.
From www.smoketastic.com
Popcorn Lung What You Need to Know Popcorn Lung On Ct Bronchiolitis obliterans (bo), also known as obliterative bronchiolitis, constrictive bronchiolitis and popcorn lung, is a disease that results in. Bronchiolitis obliterans is also known as obliterative bronchiolitis or constrictive bronchiolitis. Popcorn lung is a serious and irreversible condition in which the tiny air sacs in the lungs become scarred and constricted,. On hrct chest, there are often sharply defined, areas. Popcorn Lung On Ct.
From www.youtube.com
Chest XRay Lung Normal Vs Abnormal Image Appearances Part 1 TB Popcorn Lung On Ct They may also use a pulmonary function test. Bronchiolitis obliterans (bo), also known as obliterative bronchiolitis, constrictive bronchiolitis and popcorn lung, is a disease that results in. Bronchiolitis obliterans is also known as obliterative bronchiolitis or constrictive bronchiolitis. When it occurs after lung. Bronchiolitis obliterans) is a rare condition in which lung damage starts in the small airways. Popcorn lung. Popcorn Lung On Ct.