What Is Dental Fluorescence . Quantitative light induced fluorescence (qlf) distinguishes between an initial caries lesion and sound teeth by. Fluorescence spectroscopy is a very sensitive technique that can detect minor metabolic or pathological changes taking place. Fluorescence is an emission of light (photons) by a substance that has absorbed light of higher energy. This cochrane review aimed to find out how accurate fluorescence devices (non‐invasive devices that shine a light on the. Fluorescence deficiencies highlight issues like demineralization, fracture lines, leaky restorations, plaque. In natural teeth, it is more. How does fluorescence help detect dental problems?
from www.youtube.com
Fluorescence deficiencies highlight issues like demineralization, fracture lines, leaky restorations, plaque. Fluorescence is an emission of light (photons) by a substance that has absorbed light of higher energy. Quantitative light induced fluorescence (qlf) distinguishes between an initial caries lesion and sound teeth by. In natural teeth, it is more. This cochrane review aimed to find out how accurate fluorescence devices (non‐invasive devices that shine a light on the. How does fluorescence help detect dental problems? Fluorescence spectroscopy is a very sensitive technique that can detect minor metabolic or pathological changes taking place.
【DENTAL】Tooth fluorescence 歯の蛍光性 YouTube
What Is Dental Fluorescence This cochrane review aimed to find out how accurate fluorescence devices (non‐invasive devices that shine a light on the. This cochrane review aimed to find out how accurate fluorescence devices (non‐invasive devices that shine a light on the. Quantitative light induced fluorescence (qlf) distinguishes between an initial caries lesion and sound teeth by. Fluorescence spectroscopy is a very sensitive technique that can detect minor metabolic or pathological changes taking place. In natural teeth, it is more. How does fluorescence help detect dental problems? Fluorescence deficiencies highlight issues like demineralization, fracture lines, leaky restorations, plaque. Fluorescence is an emission of light (photons) by a substance that has absorbed light of higher energy.
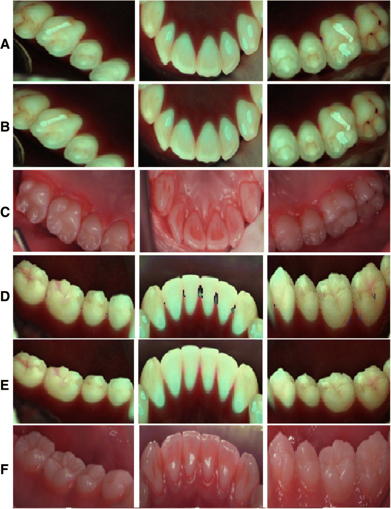
From onlinelibrary.wiley.com
Detection of dental plaque and its potential pathogenicity using What Is Dental Fluorescence How does fluorescence help detect dental problems? Fluorescence spectroscopy is a very sensitive technique that can detect minor metabolic or pathological changes taking place. Fluorescence deficiencies highlight issues like demineralization, fracture lines, leaky restorations, plaque. This cochrane review aimed to find out how accurate fluorescence devices (non‐invasive devices that shine a light on the. Quantitative light induced fluorescence (qlf) distinguishes. What Is Dental Fluorescence.
From www.dentalclinic-knet.com
Dental fluorosis [ Definition classification Etiology Treatment What Is Dental Fluorescence Fluorescence deficiencies highlight issues like demineralization, fracture lines, leaky restorations, plaque. Fluorescence is an emission of light (photons) by a substance that has absorbed light of higher energy. Fluorescence spectroscopy is a very sensitive technique that can detect minor metabolic or pathological changes taking place. How does fluorescence help detect dental problems? This cochrane review aimed to find out how. What Is Dental Fluorescence.
From dissolve.com
Dentist using fluorescence visualization to check for oral disease What Is Dental Fluorescence Quantitative light induced fluorescence (qlf) distinguishes between an initial caries lesion and sound teeth by. Fluorescence deficiencies highlight issues like demineralization, fracture lines, leaky restorations, plaque. Fluorescence spectroscopy is a very sensitive technique that can detect minor metabolic or pathological changes taking place. Fluorescence is an emission of light (photons) by a substance that has absorbed light of higher energy.. What Is Dental Fluorescence.
From rjd.ro
Laser Fluorescence and Proximal Caries Detection in Permanent Dentition What Is Dental Fluorescence How does fluorescence help detect dental problems? This cochrane review aimed to find out how accurate fluorescence devices (non‐invasive devices that shine a light on the. In natural teeth, it is more. Fluorescence spectroscopy is a very sensitive technique that can detect minor metabolic or pathological changes taking place. Fluorescence deficiencies highlight issues like demineralization, fracture lines, leaky restorations, plaque.. What Is Dental Fluorescence.
From www.intechopen.com
Caries Management Aided by FluorescenceBased Devices IntechOpen What Is Dental Fluorescence Fluorescence deficiencies highlight issues like demineralization, fracture lines, leaky restorations, plaque. In natural teeth, it is more. Fluorescence is an emission of light (photons) by a substance that has absorbed light of higher energy. This cochrane review aimed to find out how accurate fluorescence devices (non‐invasive devices that shine a light on the. Fluorescence spectroscopy is a very sensitive technique. What Is Dental Fluorescence.
From www.imagejournals.org
The optical fluorescence for diagnostic in dentistry International What Is Dental Fluorescence Fluorescence spectroscopy is a very sensitive technique that can detect minor metabolic or pathological changes taking place. In natural teeth, it is more. How does fluorescence help detect dental problems? Fluorescence deficiencies highlight issues like demineralization, fracture lines, leaky restorations, plaque. Fluorescence is an emission of light (photons) by a substance that has absorbed light of higher energy. This cochrane. What Is Dental Fluorescence.
From www.researchgate.net
Fluorescence spectrum of the human tooth by using fiber lightening with What Is Dental Fluorescence In natural teeth, it is more. Fluorescence is an emission of light (photons) by a substance that has absorbed light of higher energy. Quantitative light induced fluorescence (qlf) distinguishes between an initial caries lesion and sound teeth by. This cochrane review aimed to find out how accurate fluorescence devices (non‐invasive devices that shine a light on the. Fluorescence deficiencies highlight. What Is Dental Fluorescence.
From www.researchgate.net
Fluorescence spectrum of the human tooth by using fiber lightening with What Is Dental Fluorescence Quantitative light induced fluorescence (qlf) distinguishes between an initial caries lesion and sound teeth by. Fluorescence deficiencies highlight issues like demineralization, fracture lines, leaky restorations, plaque. Fluorescence is an emission of light (photons) by a substance that has absorbed light of higher energy. In natural teeth, it is more. How does fluorescence help detect dental problems? Fluorescence spectroscopy is a. What Is Dental Fluorescence.
From www.designsforvision.com
REVEAL Dental Fluorescence Loupes and Headlight System What Is Dental Fluorescence Fluorescence deficiencies highlight issues like demineralization, fracture lines, leaky restorations, plaque. This cochrane review aimed to find out how accurate fluorescence devices (non‐invasive devices that shine a light on the. Fluorescence spectroscopy is a very sensitive technique that can detect minor metabolic or pathological changes taking place. How does fluorescence help detect dental problems? In natural teeth, it is more.. What Is Dental Fluorescence.
From bmcoralhealth.biomedcentral.com
Dental fluorosis in populations from Chiang Mai, Thailand with What Is Dental Fluorescence Fluorescence is an emission of light (photons) by a substance that has absorbed light of higher energy. Quantitative light induced fluorescence (qlf) distinguishes between an initial caries lesion and sound teeth by. In natural teeth, it is more. Fluorescence spectroscopy is a very sensitive technique that can detect minor metabolic or pathological changes taking place. How does fluorescence help detect. What Is Dental Fluorescence.
From bmcoralhealth.biomedcentral.com
Validity assessment of quantitative lightinduced fluorescencedigital What Is Dental Fluorescence This cochrane review aimed to find out how accurate fluorescence devices (non‐invasive devices that shine a light on the. Fluorescence is an emission of light (photons) by a substance that has absorbed light of higher energy. Quantitative light induced fluorescence (qlf) distinguishes between an initial caries lesion and sound teeth by. How does fluorescence help detect dental problems? In natural. What Is Dental Fluorescence.
From www.cdhp.org
Why Do Teeth Fluoresce? (Mechanisms & Applications) What Is Dental Fluorescence How does fluorescence help detect dental problems? In natural teeth, it is more. Fluorescence spectroscopy is a very sensitive technique that can detect minor metabolic or pathological changes taking place. Fluorescence is an emission of light (photons) by a substance that has absorbed light of higher energy. Fluorescence deficiencies highlight issues like demineralization, fracture lines, leaky restorations, plaque. This cochrane. What Is Dental Fluorescence.
From in.pinterest.com
Fluorescence Imaging Techniques Dental images, Dental, Dental caries What Is Dental Fluorescence Quantitative light induced fluorescence (qlf) distinguishes between an initial caries lesion and sound teeth by. How does fluorescence help detect dental problems? This cochrane review aimed to find out how accurate fluorescence devices (non‐invasive devices that shine a light on the. Fluorescence spectroscopy is a very sensitive technique that can detect minor metabolic or pathological changes taking place. Fluorescence is. What Is Dental Fluorescence.
From www.youtube.com
【DENTAL】Tooth fluorescence 歯の蛍光性 YouTube What Is Dental Fluorescence How does fluorescence help detect dental problems? This cochrane review aimed to find out how accurate fluorescence devices (non‐invasive devices that shine a light on the. In natural teeth, it is more. Fluorescence deficiencies highlight issues like demineralization, fracture lines, leaky restorations, plaque. Quantitative light induced fluorescence (qlf) distinguishes between an initial caries lesion and sound teeth by. Fluorescence spectroscopy. What Is Dental Fluorescence.
From www.findlight.net
Dental Caries Diagnosis Using Fluorescence Imaging Techniques What Is Dental Fluorescence How does fluorescence help detect dental problems? In natural teeth, it is more. Fluorescence spectroscopy is a very sensitive technique that can detect minor metabolic or pathological changes taking place. Quantitative light induced fluorescence (qlf) distinguishes between an initial caries lesion and sound teeth by. Fluorescence deficiencies highlight issues like demineralization, fracture lines, leaky restorations, plaque. This cochrane review aimed. What Is Dental Fluorescence.
From www.slideserve.com
PPT Dental Caries Histoplathology PowerPoint Presentation, free What Is Dental Fluorescence Fluorescence spectroscopy is a very sensitive technique that can detect minor metabolic or pathological changes taking place. How does fluorescence help detect dental problems? This cochrane review aimed to find out how accurate fluorescence devices (non‐invasive devices that shine a light on the. Fluorescence deficiencies highlight issues like demineralization, fracture lines, leaky restorations, plaque. Fluorescence is an emission of light. What Is Dental Fluorescence.
From www.mdpi.com
Dentistry Journal Free FullText Benefits of Using Fluorescence What Is Dental Fluorescence Fluorescence deficiencies highlight issues like demineralization, fracture lines, leaky restorations, plaque. This cochrane review aimed to find out how accurate fluorescence devices (non‐invasive devices that shine a light on the. How does fluorescence help detect dental problems? Fluorescence spectroscopy is a very sensitive technique that can detect minor metabolic or pathological changes taking place. Fluorescence is an emission of light. What Is Dental Fluorescence.
From www.hoganfamilydental.com
Advancements Laser Dentistry! Hogan Family Dental What Is Dental Fluorescence In natural teeth, it is more. Fluorescence deficiencies highlight issues like demineralization, fracture lines, leaky restorations, plaque. How does fluorescence help detect dental problems? This cochrane review aimed to find out how accurate fluorescence devices (non‐invasive devices that shine a light on the. Fluorescence spectroscopy is a very sensitive technique that can detect minor metabolic or pathological changes taking place.. What Is Dental Fluorescence.
From morninghuddle.co
Using Fluorescence To Help Remove Dental Bonding Morning Huddle What Is Dental Fluorescence Quantitative light induced fluorescence (qlf) distinguishes between an initial caries lesion and sound teeth by. How does fluorescence help detect dental problems? This cochrane review aimed to find out how accurate fluorescence devices (non‐invasive devices that shine a light on the. In natural teeth, it is more. Fluorescence deficiencies highlight issues like demineralization, fracture lines, leaky restorations, plaque. Fluorescence is. What Is Dental Fluorescence.
From poudrevalleyfamilydental.com
Technology Matters In Dentistry Fluorescence Cavity Detection What Is Dental Fluorescence This cochrane review aimed to find out how accurate fluorescence devices (non‐invasive devices that shine a light on the. How does fluorescence help detect dental problems? Quantitative light induced fluorescence (qlf) distinguishes between an initial caries lesion and sound teeth by. Fluorescence deficiencies highlight issues like demineralization, fracture lines, leaky restorations, plaque. Fluorescence spectroscopy is a very sensitive technique that. What Is Dental Fluorescence.
From goldbio.com
Fluorescence microscopy A Basic Introduction GoldBio What Is Dental Fluorescence In natural teeth, it is more. Quantitative light induced fluorescence (qlf) distinguishes between an initial caries lesion and sound teeth by. Fluorescence is an emission of light (photons) by a substance that has absorbed light of higher energy. This cochrane review aimed to find out how accurate fluorescence devices (non‐invasive devices that shine a light on the. Fluorescence deficiencies highlight. What Is Dental Fluorescence.
From www.researchgate.net
The basic principles of fluorescenceguided surgery. NIR fluorescent What Is Dental Fluorescence Quantitative light induced fluorescence (qlf) distinguishes between an initial caries lesion and sound teeth by. In natural teeth, it is more. Fluorescence is an emission of light (photons) by a substance that has absorbed light of higher energy. Fluorescence spectroscopy is a very sensitive technique that can detect minor metabolic or pathological changes taking place. How does fluorescence help detect. What Is Dental Fluorescence.
From www.dentalclinic-knet.com
WHAT IS DENTAL FLUOROSIS? THE TOOTH DOCTOR Dental Clinic What Is Dental Fluorescence Fluorescence is an emission of light (photons) by a substance that has absorbed light of higher energy. Quantitative light induced fluorescence (qlf) distinguishes between an initial caries lesion and sound teeth by. Fluorescence spectroscopy is a very sensitive technique that can detect minor metabolic or pathological changes taking place. How does fluorescence help detect dental problems? In natural teeth, it. What Is Dental Fluorescence.
From www.eldentistamoderno.com
Odontología mínimamente invasiva guiada por la fluorescencia What Is Dental Fluorescence This cochrane review aimed to find out how accurate fluorescence devices (non‐invasive devices that shine a light on the. Fluorescence is an emission of light (photons) by a substance that has absorbed light of higher energy. How does fluorescence help detect dental problems? Quantitative light induced fluorescence (qlf) distinguishes between an initial caries lesion and sound teeth by. In natural. What Is Dental Fluorescence.
From www.semanticscholar.org
[PDF] Quantitative LightInduced Fluorescence A Potential Tool for What Is Dental Fluorescence This cochrane review aimed to find out how accurate fluorescence devices (non‐invasive devices that shine a light on the. Quantitative light induced fluorescence (qlf) distinguishes between an initial caries lesion and sound teeth by. Fluorescence is an emission of light (photons) by a substance that has absorbed light of higher energy. In natural teeth, it is more. Fluorescence spectroscopy is. What Is Dental Fluorescence.
From bmcpublichealth.biomedcentral.com
Quantitative Light Fluorescence (QLF) and Polarized White Light (PWL What Is Dental Fluorescence Fluorescence deficiencies highlight issues like demineralization, fracture lines, leaky restorations, plaque. Fluorescence spectroscopy is a very sensitive technique that can detect minor metabolic or pathological changes taking place. How does fluorescence help detect dental problems? Fluorescence is an emission of light (photons) by a substance that has absorbed light of higher energy. This cochrane review aimed to find out how. What Is Dental Fluorescence.
From bmcoralhealth.biomedcentral.com
Validity assessment of quantitative lightinduced fluorescencedigital What Is Dental Fluorescence This cochrane review aimed to find out how accurate fluorescence devices (non‐invasive devices that shine a light on the. Fluorescence spectroscopy is a very sensitive technique that can detect minor metabolic or pathological changes taking place. In natural teeth, it is more. Fluorescence is an emission of light (photons) by a substance that has absorbed light of higher energy. Fluorescence. What Is Dental Fluorescence.
From www.findlight.net
Dental Caries Diagnosis Using Fluorescence Imaging Techniques What Is Dental Fluorescence Quantitative light induced fluorescence (qlf) distinguishes between an initial caries lesion and sound teeth by. This cochrane review aimed to find out how accurate fluorescence devices (non‐invasive devices that shine a light on the. In natural teeth, it is more. Fluorescence deficiencies highlight issues like demineralization, fracture lines, leaky restorations, plaque. Fluorescence is an emission of light (photons) by a. What Is Dental Fluorescence.
From www.dentaltix.com
Top 10 most aesthetic composites at Dentaltix Dental Supplies and What Is Dental Fluorescence In natural teeth, it is more. Quantitative light induced fluorescence (qlf) distinguishes between an initial caries lesion and sound teeth by. Fluorescence spectroscopy is a very sensitive technique that can detect minor metabolic or pathological changes taking place. This cochrane review aimed to find out how accurate fluorescence devices (non‐invasive devices that shine a light on the. How does fluorescence. What Is Dental Fluorescence.
From sciencenotes.org
Fluorescence Definition and Examples What Is Dental Fluorescence In natural teeth, it is more. Fluorescence spectroscopy is a very sensitive technique that can detect minor metabolic or pathological changes taking place. This cochrane review aimed to find out how accurate fluorescence devices (non‐invasive devices that shine a light on the. How does fluorescence help detect dental problems? Fluorescence deficiencies highlight issues like demineralization, fracture lines, leaky restorations, plaque.. What Is Dental Fluorescence.
From www.findlight.net
Dental Caries Diagnosis Using Fluorescence Imaging Techniques What Is Dental Fluorescence Quantitative light induced fluorescence (qlf) distinguishes between an initial caries lesion and sound teeth by. In natural teeth, it is more. Fluorescence is an emission of light (photons) by a substance that has absorbed light of higher energy. This cochrane review aimed to find out how accurate fluorescence devices (non‐invasive devices that shine a light on the. Fluorescence deficiencies highlight. What Is Dental Fluorescence.
From www.dentistry33.com
Cleanup after orthodontic debonding using fluorescent light Dentistry33 What Is Dental Fluorescence Quantitative light induced fluorescence (qlf) distinguishes between an initial caries lesion and sound teeth by. In natural teeth, it is more. How does fluorescence help detect dental problems? Fluorescence spectroscopy is a very sensitive technique that can detect minor metabolic or pathological changes taking place. This cochrane review aimed to find out how accurate fluorescence devices (non‐invasive devices that shine. What Is Dental Fluorescence.
From www.spiedigitallibrary.org
Red fluorescence imaging for dental plaque detection and quantification What Is Dental Fluorescence Fluorescence spectroscopy is a very sensitive technique that can detect minor metabolic or pathological changes taking place. Quantitative light induced fluorescence (qlf) distinguishes between an initial caries lesion and sound teeth by. Fluorescence deficiencies highlight issues like demineralization, fracture lines, leaky restorations, plaque. How does fluorescence help detect dental problems? This cochrane review aimed to find out how accurate fluorescence. What Is Dental Fluorescence.
From www.researchgate.net
(PDF) Quantitative Light Fluorescence (QLF) and Polarized White Light What Is Dental Fluorescence In natural teeth, it is more. Fluorescence spectroscopy is a very sensitive technique that can detect minor metabolic or pathological changes taking place. Fluorescence deficiencies highlight issues like demineralization, fracture lines, leaky restorations, plaque. Quantitative light induced fluorescence (qlf) distinguishes between an initial caries lesion and sound teeth by. Fluorescence is an emission of light (photons) by a substance that. What Is Dental Fluorescence.
From in.pinterest.com
Tooth Zone offers the best Dental Caries Diagnosis using Fluorescence What Is Dental Fluorescence Fluorescence spectroscopy is a very sensitive technique that can detect minor metabolic or pathological changes taking place. In natural teeth, it is more. This cochrane review aimed to find out how accurate fluorescence devices (non‐invasive devices that shine a light on the. Quantitative light induced fluorescence (qlf) distinguishes between an initial caries lesion and sound teeth by. Fluorescence deficiencies highlight. What Is Dental Fluorescence.