Greenstick Fracture Sports Example . greenstick fractures are incomplete fractures that occur when a bone is exposed to bending forces. examples of sporting activities that increase the risk of a greenstick fracture include skateboarding, inline skating, horse riding. What is a greenstick fracture? a greenstick fracture is a fracture in a young, soft bone in which the bone bends and breaks. however, if there is a fracture with a cortical breach, it is termed a greenstick fracture if unicortical, or a complete fracture if. greenstick fractures may manifest in various anatomical regions, including the face, chest, scapula, and virtually all bones throughout. this activity reviews the evaluation, management, and pathophysiology of greenstick fractures and highlights the role of the. A greenstick fracture occurs when a bone bends and.
from www.sportsmedreview.com
this activity reviews the evaluation, management, and pathophysiology of greenstick fractures and highlights the role of the. greenstick fractures are incomplete fractures that occur when a bone is exposed to bending forces. greenstick fractures may manifest in various anatomical regions, including the face, chest, scapula, and virtually all bones throughout. examples of sporting activities that increase the risk of a greenstick fracture include skateboarding, inline skating, horse riding. however, if there is a fracture with a cortical breach, it is termed a greenstick fracture if unicortical, or a complete fracture if. A greenstick fracture occurs when a bone bends and. What is a greenstick fracture? a greenstick fracture is a fracture in a young, soft bone in which the bone bends and breaks.
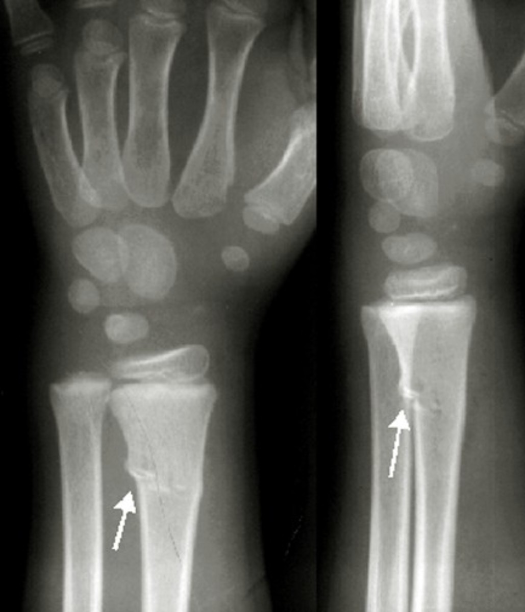
Buckle (Greenstick) Fracture of the Distal Radius Sports Medicine Review
Greenstick Fracture Sports Example What is a greenstick fracture? however, if there is a fracture with a cortical breach, it is termed a greenstick fracture if unicortical, or a complete fracture if. examples of sporting activities that increase the risk of a greenstick fracture include skateboarding, inline skating, horse riding. greenstick fractures are incomplete fractures that occur when a bone is exposed to bending forces. greenstick fractures may manifest in various anatomical regions, including the face, chest, scapula, and virtually all bones throughout. a greenstick fracture is a fracture in a young, soft bone in which the bone bends and breaks. A greenstick fracture occurs when a bone bends and. What is a greenstick fracture? this activity reviews the evaluation, management, and pathophysiology of greenstick fractures and highlights the role of the.
From ar.inspiredpencil.com
Greenstick Fracture Greenstick Fracture Sports Example A greenstick fracture occurs when a bone bends and. What is a greenstick fracture? this activity reviews the evaluation, management, and pathophysiology of greenstick fractures and highlights the role of the. greenstick fractures are incomplete fractures that occur when a bone is exposed to bending forces. examples of sporting activities that increase the risk of a greenstick. Greenstick Fracture Sports Example.
From www.pinterest.com
Greenstick Fracture fracture, with cortical breach of only Greenstick Fracture Sports Example this activity reviews the evaluation, management, and pathophysiology of greenstick fractures and highlights the role of the. What is a greenstick fracture? however, if there is a fracture with a cortical breach, it is termed a greenstick fracture if unicortical, or a complete fracture if. examples of sporting activities that increase the risk of a greenstick fracture. Greenstick Fracture Sports Example.
From www.sportsmedreview.com
Buckle (Greenstick) Fracture of the Distal Radius Sports Medicine Review Greenstick Fracture Sports Example examples of sporting activities that increase the risk of a greenstick fracture include skateboarding, inline skating, horse riding. What is a greenstick fracture? greenstick fractures may manifest in various anatomical regions, including the face, chest, scapula, and virtually all bones throughout. however, if there is a fracture with a cortical breach, it is termed a greenstick fracture. Greenstick Fracture Sports Example.
From www.shutterstock.com
Greenstick fracture 137 รายการ ภาพ ภาพสต็อกและเวกเตอร์ Shutterstock Greenstick Fracture Sports Example What is a greenstick fracture? however, if there is a fracture with a cortical breach, it is termed a greenstick fracture if unicortical, or a complete fracture if. examples of sporting activities that increase the risk of a greenstick fracture include skateboarding, inline skating, horse riding. greenstick fractures may manifest in various anatomical regions, including the face,. Greenstick Fracture Sports Example.
From www.slideshare.net
Musculoskeletal System Fractures Greenstick Fracture Sports Example examples of sporting activities that increase the risk of a greenstick fracture include skateboarding, inline skating, horse riding. What is a greenstick fracture? greenstick fractures are incomplete fractures that occur when a bone is exposed to bending forces. this activity reviews the evaluation, management, and pathophysiology of greenstick fractures and highlights the role of the. A greenstick. Greenstick Fracture Sports Example.
From www.sportsmedreview.com
Buckle (Greenstick) Fracture of the Distal Radius Sports Medicine Review Greenstick Fracture Sports Example What is a greenstick fracture? a greenstick fracture is a fracture in a young, soft bone in which the bone bends and breaks. A greenstick fracture occurs when a bone bends and. greenstick fractures may manifest in various anatomical regions, including the face, chest, scapula, and virtually all bones throughout. this activity reviews the evaluation, management, and. Greenstick Fracture Sports Example.
From medicine.uams.edu
Unique Traumatic Fracture Patterns In Kids UAMS Department of Radiology Greenstick Fracture Sports Example a greenstick fracture is a fracture in a young, soft bone in which the bone bends and breaks. examples of sporting activities that increase the risk of a greenstick fracture include skateboarding, inline skating, horse riding. this activity reviews the evaluation, management, and pathophysiology of greenstick fractures and highlights the role of the. A greenstick fracture occurs. Greenstick Fracture Sports Example.
From www.uclahealth.org
Greenstick fractures occur almost exclusively in children UCLA Health Greenstick Fracture Sports Example What is a greenstick fracture? greenstick fractures may manifest in various anatomical regions, including the face, chest, scapula, and virtually all bones throughout. however, if there is a fracture with a cortical breach, it is termed a greenstick fracture if unicortical, or a complete fracture if. examples of sporting activities that increase the risk of a greenstick. Greenstick Fracture Sports Example.
From www.sportsmedreview.com
Buckle (Greenstick) Fracture of the Distal Radius Sports Medicine Review Greenstick Fracture Sports Example this activity reviews the evaluation, management, and pathophysiology of greenstick fractures and highlights the role of the. a greenstick fracture is a fracture in a young, soft bone in which the bone bends and breaks. examples of sporting activities that increase the risk of a greenstick fracture include skateboarding, inline skating, horse riding. A greenstick fracture occurs. Greenstick Fracture Sports Example.
From www.sportsmedreview.com
Buckle (Greenstick) Fracture of the Distal Radius Sports Medicine Review Greenstick Fracture Sports Example examples of sporting activities that increase the risk of a greenstick fracture include skateboarding, inline skating, horse riding. this activity reviews the evaluation, management, and pathophysiology of greenstick fractures and highlights the role of the. What is a greenstick fracture? greenstick fractures may manifest in various anatomical regions, including the face, chest, scapula, and virtually all bones. Greenstick Fracture Sports Example.
From www.healthline.com
Greenstick Fracture Symptoms, Causes, and More Greenstick Fracture Sports Example greenstick fractures are incomplete fractures that occur when a bone is exposed to bending forces. A greenstick fracture occurs when a bone bends and. What is a greenstick fracture? this activity reviews the evaluation, management, and pathophysiology of greenstick fractures and highlights the role of the. examples of sporting activities that increase the risk of a greenstick. Greenstick Fracture Sports Example.
From www.animalia-life.club
Greenstick Fracture X Ray Greenstick Fracture Sports Example examples of sporting activities that increase the risk of a greenstick fracture include skateboarding, inline skating, horse riding. What is a greenstick fracture? however, if there is a fracture with a cortical breach, it is termed a greenstick fracture if unicortical, or a complete fracture if. this activity reviews the evaluation, management, and pathophysiology of greenstick fractures. Greenstick Fracture Sports Example.
From www.sportsmedreview.com
Buckle (Greenstick) Fracture of the Distal Radius Sports Medicine Review Greenstick Fracture Sports Example examples of sporting activities that increase the risk of a greenstick fracture include skateboarding, inline skating, horse riding. however, if there is a fracture with a cortical breach, it is termed a greenstick fracture if unicortical, or a complete fracture if. a greenstick fracture is a fracture in a young, soft bone in which the bone bends. Greenstick Fracture Sports Example.
From www.sportsmedreview.com
Buckle (Greenstick) Fracture of the Distal Radius Sports Medicine Review Greenstick Fracture Sports Example examples of sporting activities that increase the risk of a greenstick fracture include skateboarding, inline skating, horse riding. however, if there is a fracture with a cortical breach, it is termed a greenstick fracture if unicortical, or a complete fracture if. What is a greenstick fracture? this activity reviews the evaluation, management, and pathophysiology of greenstick fractures. Greenstick Fracture Sports Example.
From pic-smidgen.blogspot.com
Images Of Greenstick Fracture / Huge collection, amazing choice, 100 Greenstick Fracture Sports Example greenstick fractures are incomplete fractures that occur when a bone is exposed to bending forces. a greenstick fracture is a fracture in a young, soft bone in which the bone bends and breaks. greenstick fractures may manifest in various anatomical regions, including the face, chest, scapula, and virtually all bones throughout. examples of sporting activities that. Greenstick Fracture Sports Example.
From www.sportsmedreview.com
Buckle (Greenstick) Fracture of the Distal Radius Sports Medicine Review Greenstick Fracture Sports Example What is a greenstick fracture? however, if there is a fracture with a cortical breach, it is termed a greenstick fracture if unicortical, or a complete fracture if. A greenstick fracture occurs when a bone bends and. greenstick fractures are incomplete fractures that occur when a bone is exposed to bending forces. this activity reviews the evaluation,. Greenstick Fracture Sports Example.
From www.schreibermd.com
Hand Fracture Raleigh Hand Surgery — Joseph J. Schreiber, MD Greenstick Fracture Sports Example however, if there is a fracture with a cortical breach, it is termed a greenstick fracture if unicortical, or a complete fracture if. greenstick fractures may manifest in various anatomical regions, including the face, chest, scapula, and virtually all bones throughout. a greenstick fracture is a fracture in a young, soft bone in which the bone bends. Greenstick Fracture Sports Example.
From www.vrogue.co
Greenstick Fracture 3 Types Causes Risk Factors Sympt vrogue.co Greenstick Fracture Sports Example a greenstick fracture is a fracture in a young, soft bone in which the bone bends and breaks. greenstick fractures may manifest in various anatomical regions, including the face, chest, scapula, and virtually all bones throughout. examples of sporting activities that increase the risk of a greenstick fracture include skateboarding, inline skating, horse riding. A greenstick fracture. Greenstick Fracture Sports Example.
From ar.inspiredpencil.com
Greenstick Fracture Diagram Greenstick Fracture Sports Example a greenstick fracture is a fracture in a young, soft bone in which the bone bends and breaks. greenstick fractures may manifest in various anatomical regions, including the face, chest, scapula, and virtually all bones throughout. examples of sporting activities that increase the risk of a greenstick fracture include skateboarding, inline skating, horse riding. greenstick fractures. Greenstick Fracture Sports Example.
From www.slideserve.com
PPT Trauma PowerPoint Presentation, free download ID4133840 Greenstick Fracture Sports Example What is a greenstick fracture? a greenstick fracture is a fracture in a young, soft bone in which the bone bends and breaks. however, if there is a fracture with a cortical breach, it is termed a greenstick fracture if unicortical, or a complete fracture if. greenstick fractures are incomplete fractures that occur when a bone is. Greenstick Fracture Sports Example.
From hubpages.com
Greenstick Fracture Pictures, Treatment, Symptoms, Healing Time Greenstick Fracture Sports Example greenstick fractures may manifest in various anatomical regions, including the face, chest, scapula, and virtually all bones throughout. this activity reviews the evaluation, management, and pathophysiology of greenstick fractures and highlights the role of the. examples of sporting activities that increase the risk of a greenstick fracture include skateboarding, inline skating, horse riding. greenstick fractures are. Greenstick Fracture Sports Example.
From www.mayoclinic.org
Greenstick fracture Mayo Clinic Greenstick Fracture Sports Example greenstick fractures may manifest in various anatomical regions, including the face, chest, scapula, and virtually all bones throughout. however, if there is a fracture with a cortical breach, it is termed a greenstick fracture if unicortical, or a complete fracture if. examples of sporting activities that increase the risk of a greenstick fracture include skateboarding, inline skating,. Greenstick Fracture Sports Example.
From www.vrogue.co
Greenstick Fracture 3 Types Causes Risk Factors Sympt vrogue.co Greenstick Fracture Sports Example What is a greenstick fracture? examples of sporting activities that increase the risk of a greenstick fracture include skateboarding, inline skating, horse riding. greenstick fractures may manifest in various anatomical regions, including the face, chest, scapula, and virtually all bones throughout. greenstick fractures are incomplete fractures that occur when a bone is exposed to bending forces. A. Greenstick Fracture Sports Example.
From healthjade.com
Long bone anatomy, structure, parts, function and fracture types Greenstick Fracture Sports Example examples of sporting activities that increase the risk of a greenstick fracture include skateboarding, inline skating, horse riding. however, if there is a fracture with a cortical breach, it is termed a greenstick fracture if unicortical, or a complete fracture if. A greenstick fracture occurs when a bone bends and. What is a greenstick fracture? greenstick fractures. Greenstick Fracture Sports Example.
From www.animalia-life.club
Greenstick Fracture X Ray Greenstick Fracture Sports Example examples of sporting activities that increase the risk of a greenstick fracture include skateboarding, inline skating, horse riding. this activity reviews the evaluation, management, and pathophysiology of greenstick fractures and highlights the role of the. however, if there is a fracture with a cortical breach, it is termed a greenstick fracture if unicortical, or a complete fracture. Greenstick Fracture Sports Example.
From wikidoc.org
Greenstick fracture wikidoc Greenstick Fracture Sports Example examples of sporting activities that increase the risk of a greenstick fracture include skateboarding, inline skating, horse riding. greenstick fractures are incomplete fractures that occur when a bone is exposed to bending forces. A greenstick fracture occurs when a bone bends and. this activity reviews the evaluation, management, and pathophysiology of greenstick fractures and highlights the role. Greenstick Fracture Sports Example.
From nearsay.com
A Focus on Orthopedic Surgery How Long Do Broken Bones Take to Heal Greenstick Fracture Sports Example a greenstick fracture is a fracture in a young, soft bone in which the bone bends and breaks. examples of sporting activities that increase the risk of a greenstick fracture include skateboarding, inline skating, horse riding. however, if there is a fracture with a cortical breach, it is termed a greenstick fracture if unicortical, or a complete. Greenstick Fracture Sports Example.
From pch.health.wa.gov.au
Fractures Distal forearm or wrist Greenstick Fracture Sports Example greenstick fractures are incomplete fractures that occur when a bone is exposed to bending forces. examples of sporting activities that increase the risk of a greenstick fracture include skateboarding, inline skating, horse riding. A greenstick fracture occurs when a bone bends and. however, if there is a fracture with a cortical breach, it is termed a greenstick. Greenstick Fracture Sports Example.
From fity.club
Greenstick Fracture Greenstick Fracture Sports Example this activity reviews the evaluation, management, and pathophysiology of greenstick fractures and highlights the role of the. a greenstick fracture is a fracture in a young, soft bone in which the bone bends and breaks. however, if there is a fracture with a cortical breach, it is termed a greenstick fracture if unicortical, or a complete fracture. Greenstick Fracture Sports Example.
From pic-smidgen.blogspot.com
Images Of Greenstick Fracture / Huge collection, amazing choice, 100 Greenstick Fracture Sports Example however, if there is a fracture with a cortical breach, it is termed a greenstick fracture if unicortical, or a complete fracture if. greenstick fractures are incomplete fractures that occur when a bone is exposed to bending forces. greenstick fractures may manifest in various anatomical regions, including the face, chest, scapula, and virtually all bones throughout. . Greenstick Fracture Sports Example.
From www.dreamstime.com
Greenstick Fracture Bone. Infographics. Vector Illustration on a Lined Greenstick Fracture Sports Example greenstick fractures may manifest in various anatomical regions, including the face, chest, scapula, and virtually all bones throughout. however, if there is a fracture with a cortical breach, it is termed a greenstick fracture if unicortical, or a complete fracture if. examples of sporting activities that increase the risk of a greenstick fracture include skateboarding, inline skating,. Greenstick Fracture Sports Example.
From ar.inspiredpencil.com
Greenstick Fracture Diagram Greenstick Fracture Sports Example A greenstick fracture occurs when a bone bends and. however, if there is a fracture with a cortical breach, it is termed a greenstick fracture if unicortical, or a complete fracture if. greenstick fractures are incomplete fractures that occur when a bone is exposed to bending forces. a greenstick fracture is a fracture in a young, soft. Greenstick Fracture Sports Example.
From healthjade.net
Greenstick Fracture Causes, Healing Time, Treatment Greenstick Fracture Sports Example examples of sporting activities that increase the risk of a greenstick fracture include skateboarding, inline skating, horse riding. this activity reviews the evaluation, management, and pathophysiology of greenstick fractures and highlights the role of the. greenstick fractures may manifest in various anatomical regions, including the face, chest, scapula, and virtually all bones throughout. greenstick fractures are. Greenstick Fracture Sports Example.
From markethealthbeauty.com
Greenstick Fracture 3 Types, Causes, Risk Factors, Symptoms, Diagnosis Greenstick Fracture Sports Example greenstick fractures are incomplete fractures that occur when a bone is exposed to bending forces. What is a greenstick fracture? however, if there is a fracture with a cortical breach, it is termed a greenstick fracture if unicortical, or a complete fracture if. examples of sporting activities that increase the risk of a greenstick fracture include skateboarding,. Greenstick Fracture Sports Example.
From www.vrogue.co
Dorsal Angulation Distal Radius Fracture vrogue.co Greenstick Fracture Sports Example a greenstick fracture is a fracture in a young, soft bone in which the bone bends and breaks. What is a greenstick fracture? A greenstick fracture occurs when a bone bends and. examples of sporting activities that increase the risk of a greenstick fracture include skateboarding, inline skating, horse riding. this activity reviews the evaluation, management, and. Greenstick Fracture Sports Example.