Picture Frame Appearance Large Bowel Obstruction . If the cause of the obstruction is in the lumen of the large bowel, unusual causes of lbo are foreign bodies, stercoral colitis, and. Large bowel obstruction (lbo) is often impressive on imaging, on account of the ability of the large bowel to massively distend. This is an important sign to appreciate, as it is indicative of a mechanical large bowel obstruction. A combination of the clinical and laboratory findings and ct scanning of the abdomen that demonstrates the underlying pathology should differentiate localized ileus from small bowel. This condition requires prompt diagnosis and treatment.
from www.cancertherapyadvisor.com
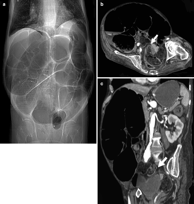
This condition requires prompt diagnosis and treatment. This is an important sign to appreciate, as it is indicative of a mechanical large bowel obstruction. Large bowel obstruction (lbo) is often impressive on imaging, on account of the ability of the large bowel to massively distend. If the cause of the obstruction is in the lumen of the large bowel, unusual causes of lbo are foreign bodies, stercoral colitis, and. A combination of the clinical and laboratory findings and ct scanning of the abdomen that demonstrates the underlying pathology should differentiate localized ileus from small bowel.
Large Bowel Obstruction Cancer Therapy Advisor
Picture Frame Appearance Large Bowel Obstruction If the cause of the obstruction is in the lumen of the large bowel, unusual causes of lbo are foreign bodies, stercoral colitis, and. If the cause of the obstruction is in the lumen of the large bowel, unusual causes of lbo are foreign bodies, stercoral colitis, and. Large bowel obstruction (lbo) is often impressive on imaging, on account of the ability of the large bowel to massively distend. This is an important sign to appreciate, as it is indicative of a mechanical large bowel obstruction. A combination of the clinical and laboratory findings and ct scanning of the abdomen that demonstrates the underlying pathology should differentiate localized ileus from small bowel. This condition requires prompt diagnosis and treatment.
From pubs.rsna.org
LargeBowel Obstruction in the Adult Classic Radiographic and CT Picture Frame Appearance Large Bowel Obstruction This is an important sign to appreciate, as it is indicative of a mechanical large bowel obstruction. This condition requires prompt diagnosis and treatment. A combination of the clinical and laboratory findings and ct scanning of the abdomen that demonstrates the underlying pathology should differentiate localized ileus from small bowel. If the cause of the obstruction is in the lumen. Picture Frame Appearance Large Bowel Obstruction.
From www.youtube.com
Bowel Obstruction and Ileus Large Bowel Obstruction & Ogilvie Syndrome Picture Frame Appearance Large Bowel Obstruction Large bowel obstruction (lbo) is often impressive on imaging, on account of the ability of the large bowel to massively distend. If the cause of the obstruction is in the lumen of the large bowel, unusual causes of lbo are foreign bodies, stercoral colitis, and. A combination of the clinical and laboratory findings and ct scanning of the abdomen that. Picture Frame Appearance Large Bowel Obstruction.
From geekymedics.com
Bowel Obstruction Small Bowel Large Bowel Geeky Medics Picture Frame Appearance Large Bowel Obstruction A combination of the clinical and laboratory findings and ct scanning of the abdomen that demonstrates the underlying pathology should differentiate localized ileus from small bowel. This condition requires prompt diagnosis and treatment. If the cause of the obstruction is in the lumen of the large bowel, unusual causes of lbo are foreign bodies, stercoral colitis, and. This is an. Picture Frame Appearance Large Bowel Obstruction.
From healthjade.net
Bowel Obstruction Small & Large Causes, Symptoms, Treatment Picture Frame Appearance Large Bowel Obstruction This is an important sign to appreciate, as it is indicative of a mechanical large bowel obstruction. This condition requires prompt diagnosis and treatment. A combination of the clinical and laboratory findings and ct scanning of the abdomen that demonstrates the underlying pathology should differentiate localized ileus from small bowel. If the cause of the obstruction is in the lumen. Picture Frame Appearance Large Bowel Obstruction.
From step1.medbullets.com
Large Bowel Obstruction Gastrointestinal Medbullets Step 1 Picture Frame Appearance Large Bowel Obstruction A combination of the clinical and laboratory findings and ct scanning of the abdomen that demonstrates the underlying pathology should differentiate localized ileus from small bowel. This condition requires prompt diagnosis and treatment. If the cause of the obstruction is in the lumen of the large bowel, unusual causes of lbo are foreign bodies, stercoral colitis, and. This is an. Picture Frame Appearance Large Bowel Obstruction.
From healthjade.net
Bowel Obstruction Small & Large Causes, Symptoms, Treatment Picture Frame Appearance Large Bowel Obstruction Large bowel obstruction (lbo) is often impressive on imaging, on account of the ability of the large bowel to massively distend. This condition requires prompt diagnosis and treatment. A combination of the clinical and laboratory findings and ct scanning of the abdomen that demonstrates the underlying pathology should differentiate localized ileus from small bowel. This is an important sign to. Picture Frame Appearance Large Bowel Obstruction.
From www.cancertherapyadvisor.com
Large Bowel Obstruction Cancer Therapy Advisor Picture Frame Appearance Large Bowel Obstruction This condition requires prompt diagnosis and treatment. If the cause of the obstruction is in the lumen of the large bowel, unusual causes of lbo are foreign bodies, stercoral colitis, and. A combination of the clinical and laboratory findings and ct scanning of the abdomen that demonstrates the underlying pathology should differentiate localized ileus from small bowel. Large bowel obstruction. Picture Frame Appearance Large Bowel Obstruction.
From www.sciencephoto.com
Large bowel obstruction, Xray Stock Image C017/7854 Science Picture Frame Appearance Large Bowel Obstruction A combination of the clinical and laboratory findings and ct scanning of the abdomen that demonstrates the underlying pathology should differentiate localized ileus from small bowel. If the cause of the obstruction is in the lumen of the large bowel, unusual causes of lbo are foreign bodies, stercoral colitis, and. This is an important sign to appreciate, as it is. Picture Frame Appearance Large Bowel Obstruction.
From www.sciencephoto.com
Bowel obstruction, Xray Stock Image C038/2434 Science Photo Library Picture Frame Appearance Large Bowel Obstruction A combination of the clinical and laboratory findings and ct scanning of the abdomen that demonstrates the underlying pathology should differentiate localized ileus from small bowel. This is an important sign to appreciate, as it is indicative of a mechanical large bowel obstruction. Large bowel obstruction (lbo) is often impressive on imaging, on account of the ability of the large. Picture Frame Appearance Large Bowel Obstruction.
From healthjade.net
Bowel Obstruction Small & Large Causes, Symptoms, Treatment Picture Frame Appearance Large Bowel Obstruction This is an important sign to appreciate, as it is indicative of a mechanical large bowel obstruction. This condition requires prompt diagnosis and treatment. Large bowel obstruction (lbo) is often impressive on imaging, on account of the ability of the large bowel to massively distend. A combination of the clinical and laboratory findings and ct scanning of the abdomen that. Picture Frame Appearance Large Bowel Obstruction.
From www.youtube.com
Large Bowel Obstruction How do we Diagnose it on Abdominal XRay Picture Frame Appearance Large Bowel Obstruction Large bowel obstruction (lbo) is often impressive on imaging, on account of the ability of the large bowel to massively distend. This condition requires prompt diagnosis and treatment. A combination of the clinical and laboratory findings and ct scanning of the abdomen that demonstrates the underlying pathology should differentiate localized ileus from small bowel. This is an important sign to. Picture Frame Appearance Large Bowel Obstruction.
From abelewabolton.blogspot.com
Large Bowel Obstruction X Ray AbelewaBolton Picture Frame Appearance Large Bowel Obstruction This condition requires prompt diagnosis and treatment. A combination of the clinical and laboratory findings and ct scanning of the abdomen that demonstrates the underlying pathology should differentiate localized ileus from small bowel. This is an important sign to appreciate, as it is indicative of a mechanical large bowel obstruction. Large bowel obstruction (lbo) is often impressive on imaging, on. Picture Frame Appearance Large Bowel Obstruction.
From www.youtube.com
Bowel Obstruction YouTube Picture Frame Appearance Large Bowel Obstruction A combination of the clinical and laboratory findings and ct scanning of the abdomen that demonstrates the underlying pathology should differentiate localized ileus from small bowel. This condition requires prompt diagnosis and treatment. This is an important sign to appreciate, as it is indicative of a mechanical large bowel obstruction. Large bowel obstruction (lbo) is often impressive on imaging, on. Picture Frame Appearance Large Bowel Obstruction.
From www.cureus.com
Endometriosis Causing Large Bowel Obstruction A Case Report Cureus Picture Frame Appearance Large Bowel Obstruction Large bowel obstruction (lbo) is often impressive on imaging, on account of the ability of the large bowel to massively distend. This condition requires prompt diagnosis and treatment. If the cause of the obstruction is in the lumen of the large bowel, unusual causes of lbo are foreign bodies, stercoral colitis, and. A combination of the clinical and laboratory findings. Picture Frame Appearance Large Bowel Obstruction.
From www.nejm.org
LargeBowel Obstruction from Hereditary Angioedema New England Picture Frame Appearance Large Bowel Obstruction A combination of the clinical and laboratory findings and ct scanning of the abdomen that demonstrates the underlying pathology should differentiate localized ileus from small bowel. Large bowel obstruction (lbo) is often impressive on imaging, on account of the ability of the large bowel to massively distend. This condition requires prompt diagnosis and treatment. This is an important sign to. Picture Frame Appearance Large Bowel Obstruction.
From www.pinterest.ie
PatientsAwareness What is Intestinal obstruction? Intestinal Picture Frame Appearance Large Bowel Obstruction A combination of the clinical and laboratory findings and ct scanning of the abdomen that demonstrates the underlying pathology should differentiate localized ileus from small bowel. If the cause of the obstruction is in the lumen of the large bowel, unusual causes of lbo are foreign bodies, stercoral colitis, and. This is an important sign to appreciate, as it is. Picture Frame Appearance Large Bowel Obstruction.
From en.wikipedia.org
Bowel obstruction Wikipedia Picture Frame Appearance Large Bowel Obstruction Large bowel obstruction (lbo) is often impressive on imaging, on account of the ability of the large bowel to massively distend. This is an important sign to appreciate, as it is indicative of a mechanical large bowel obstruction. A combination of the clinical and laboratory findings and ct scanning of the abdomen that demonstrates the underlying pathology should differentiate localized. Picture Frame Appearance Large Bowel Obstruction.
From pubs.rsna.org
LargeBowel Obstruction in the Adult Classic Radiographic and CT Picture Frame Appearance Large Bowel Obstruction This condition requires prompt diagnosis and treatment. This is an important sign to appreciate, as it is indicative of a mechanical large bowel obstruction. A combination of the clinical and laboratory findings and ct scanning of the abdomen that demonstrates the underlying pathology should differentiate localized ileus from small bowel. Large bowel obstruction (lbo) is often impressive on imaging, on. Picture Frame Appearance Large Bowel Obstruction.
From jamanetwork.com
Acute LargeBowel Obstruction in an Institutionalized Man Acid Base Picture Frame Appearance Large Bowel Obstruction A combination of the clinical and laboratory findings and ct scanning of the abdomen that demonstrates the underlying pathology should differentiate localized ileus from small bowel. This condition requires prompt diagnosis and treatment. If the cause of the obstruction is in the lumen of the large bowel, unusual causes of lbo are foreign bodies, stercoral colitis, and. Large bowel obstruction. Picture Frame Appearance Large Bowel Obstruction.
From geekymedics.com
Abdominal Xray Interpretation (AXR) Radiology OSCE Geeky Medics Picture Frame Appearance Large Bowel Obstruction If the cause of the obstruction is in the lumen of the large bowel, unusual causes of lbo are foreign bodies, stercoral colitis, and. Large bowel obstruction (lbo) is often impressive on imaging, on account of the ability of the large bowel to massively distend. This condition requires prompt diagnosis and treatment. This is an important sign to appreciate, as. Picture Frame Appearance Large Bowel Obstruction.
From www.youtube.com
Large Bowel Obstruction Part 2 The Anatomy of the Large Bowel YouTube Picture Frame Appearance Large Bowel Obstruction This condition requires prompt diagnosis and treatment. A combination of the clinical and laboratory findings and ct scanning of the abdomen that demonstrates the underlying pathology should differentiate localized ileus from small bowel. Large bowel obstruction (lbo) is often impressive on imaging, on account of the ability of the large bowel to massively distend. If the cause of the obstruction. Picture Frame Appearance Large Bowel Obstruction.
From www.pinterest.co.uk
Large Bowel Obstruction (LBO) LITFL Life in the Fast Lane Medical Picture Frame Appearance Large Bowel Obstruction A combination of the clinical and laboratory findings and ct scanning of the abdomen that demonstrates the underlying pathology should differentiate localized ileus from small bowel. This condition requires prompt diagnosis and treatment. If the cause of the obstruction is in the lumen of the large bowel, unusual causes of lbo are foreign bodies, stercoral colitis, and. This is an. Picture Frame Appearance Large Bowel Obstruction.
From www.oncallradiology.com
On Call Radiology common radiology findings on call and in the Picture Frame Appearance Large Bowel Obstruction A combination of the clinical and laboratory findings and ct scanning of the abdomen that demonstrates the underlying pathology should differentiate localized ileus from small bowel. If the cause of the obstruction is in the lumen of the large bowel, unusual causes of lbo are foreign bodies, stercoral colitis, and. This is an important sign to appreciate, as it is. Picture Frame Appearance Large Bowel Obstruction.
From healthjade.com
Bowel Obstruction Small & Large Causes, Symptoms, Treatment Picture Frame Appearance Large Bowel Obstruction Large bowel obstruction (lbo) is often impressive on imaging, on account of the ability of the large bowel to massively distend. If the cause of the obstruction is in the lumen of the large bowel, unusual causes of lbo are foreign bodies, stercoral colitis, and. This is an important sign to appreciate, as it is indicative of a mechanical large. Picture Frame Appearance Large Bowel Obstruction.
From radiologykey.com
Bowel Obstruction Radiology Key Picture Frame Appearance Large Bowel Obstruction This condition requires prompt diagnosis and treatment. A combination of the clinical and laboratory findings and ct scanning of the abdomen that demonstrates the underlying pathology should differentiate localized ileus from small bowel. Large bowel obstruction (lbo) is often impressive on imaging, on account of the ability of the large bowel to massively distend. This is an important sign to. Picture Frame Appearance Large Bowel Obstruction.
From www.svuhradiology.ie
Large bowel obstruction Radiology at St. Vincent's University Hospital Picture Frame Appearance Large Bowel Obstruction If the cause of the obstruction is in the lumen of the large bowel, unusual causes of lbo are foreign bodies, stercoral colitis, and. This condition requires prompt diagnosis and treatment. Large bowel obstruction (lbo) is often impressive on imaging, on account of the ability of the large bowel to massively distend. A combination of the clinical and laboratory findings. Picture Frame Appearance Large Bowel Obstruction.
From iconspecialistcentre.hk
Bowel obstruction — Icon Specialist Centre Picture Frame Appearance Large Bowel Obstruction This condition requires prompt diagnosis and treatment. If the cause of the obstruction is in the lumen of the large bowel, unusual causes of lbo are foreign bodies, stercoral colitis, and. This is an important sign to appreciate, as it is indicative of a mechanical large bowel obstruction. Large bowel obstruction (lbo) is often impressive on imaging, on account of. Picture Frame Appearance Large Bowel Obstruction.
From www.wikiradiography.net
Large Bowel Obstruction wikiRadiography Picture Frame Appearance Large Bowel Obstruction A combination of the clinical and laboratory findings and ct scanning of the abdomen that demonstrates the underlying pathology should differentiate localized ileus from small bowel. If the cause of the obstruction is in the lumen of the large bowel, unusual causes of lbo are foreign bodies, stercoral colitis, and. This is an important sign to appreciate, as it is. Picture Frame Appearance Large Bowel Obstruction.
From calgaryguide.ucalgary.ca
Large Bowel Obstruction Findings on Abdominal Xray Calgary Guide Picture Frame Appearance Large Bowel Obstruction A combination of the clinical and laboratory findings and ct scanning of the abdomen that demonstrates the underlying pathology should differentiate localized ileus from small bowel. Large bowel obstruction (lbo) is often impressive on imaging, on account of the ability of the large bowel to massively distend. This condition requires prompt diagnosis and treatment. This is an important sign to. Picture Frame Appearance Large Bowel Obstruction.
From www.healthline.com
Female Bowel Obstruction Symptoms and Treatment Options Picture Frame Appearance Large Bowel Obstruction This is an important sign to appreciate, as it is indicative of a mechanical large bowel obstruction. A combination of the clinical and laboratory findings and ct scanning of the abdomen that demonstrates the underlying pathology should differentiate localized ileus from small bowel. If the cause of the obstruction is in the lumen of the large bowel, unusual causes of. Picture Frame Appearance Large Bowel Obstruction.
From canadiem.org
CRACKCast E095 Large Intestine CanadiEM Picture Frame Appearance Large Bowel Obstruction A combination of the clinical and laboratory findings and ct scanning of the abdomen that demonstrates the underlying pathology should differentiate localized ileus from small bowel. Large bowel obstruction (lbo) is often impressive on imaging, on account of the ability of the large bowel to massively distend. This condition requires prompt diagnosis and treatment. If the cause of the obstruction. Picture Frame Appearance Large Bowel Obstruction.
From pubs.rsna.org
LargeBowel Obstruction in the Adult Classic Radiographic and CT Picture Frame Appearance Large Bowel Obstruction This condition requires prompt diagnosis and treatment. If the cause of the obstruction is in the lumen of the large bowel, unusual causes of lbo are foreign bodies, stercoral colitis, and. A combination of the clinical and laboratory findings and ct scanning of the abdomen that demonstrates the underlying pathology should differentiate localized ileus from small bowel. This is an. Picture Frame Appearance Large Bowel Obstruction.
From teachmesurgery.com
Bowel Obstruction Causes Management TeachMeSurgery Picture Frame Appearance Large Bowel Obstruction Large bowel obstruction (lbo) is often impressive on imaging, on account of the ability of the large bowel to massively distend. This condition requires prompt diagnosis and treatment. This is an important sign to appreciate, as it is indicative of a mechanical large bowel obstruction. A combination of the clinical and laboratory findings and ct scanning of the abdomen that. Picture Frame Appearance Large Bowel Obstruction.
From step1.medbullets.com
Large Bowel Obstruction Gastrointestinal Medbullets Step 1 Picture Frame Appearance Large Bowel Obstruction If the cause of the obstruction is in the lumen of the large bowel, unusual causes of lbo are foreign bodies, stercoral colitis, and. This condition requires prompt diagnosis and treatment. Large bowel obstruction (lbo) is often impressive on imaging, on account of the ability of the large bowel to massively distend. This is an important sign to appreciate, as. Picture Frame Appearance Large Bowel Obstruction.
From www.verywellhealth.com
Bowel Obstruction Surgery Preparation, Recovery, LongTerm Care Picture Frame Appearance Large Bowel Obstruction This condition requires prompt diagnosis and treatment. Large bowel obstruction (lbo) is often impressive on imaging, on account of the ability of the large bowel to massively distend. If the cause of the obstruction is in the lumen of the large bowel, unusual causes of lbo are foreign bodies, stercoral colitis, and. This is an important sign to appreciate, as. Picture Frame Appearance Large Bowel Obstruction.