What Is A Mri Brachial Plexus . This section of the website will explain how to plan for an mri brachial plexus scan, protocol for mri brachial plexus, how to position and indications for mri brachial plexus. This article discusses mr imaging evaluation of the brachial plexus, relevant anatomy, and common pathology with clinical and imaging details, indications for use of. The brachial plexus is an intricate neural network that provides motor and somatosensory innervation of the arm, shoulder, and upper chest. Evaluation of brachial plexus disease typically begins with obtaining the patient history and performing a physical examination and electrophysiologic testing. Mri of the brachial plexus provides detailed images to diagnose nerve injuries, tumors, and other abnormalities in the brachial plexus region. This test uses a powerful magnetic field and radio waves to make very detailed images of the. Magnetic resonance imaging (mri) is the imaging modality of choice for the evaluation of the brachial plexus due to its. Mri of the brachial plexus is used to provide a causal diagnosis for brachial plexopathies.
from www.youtube.com
Mri of the brachial plexus is used to provide a causal diagnosis for brachial plexopathies. Evaluation of brachial plexus disease typically begins with obtaining the patient history and performing a physical examination and electrophysiologic testing. This test uses a powerful magnetic field and radio waves to make very detailed images of the. This article discusses mr imaging evaluation of the brachial plexus, relevant anatomy, and common pathology with clinical and imaging details, indications for use of. Mri of the brachial plexus provides detailed images to diagnose nerve injuries, tumors, and other abnormalities in the brachial plexus region. The brachial plexus is an intricate neural network that provides motor and somatosensory innervation of the arm, shoulder, and upper chest. Magnetic resonance imaging (mri) is the imaging modality of choice for the evaluation of the brachial plexus due to its. This section of the website will explain how to plan for an mri brachial plexus scan, protocol for mri brachial plexus, how to position and indications for mri brachial plexus.
MRI brachial plexus ( Left brachial plexus mass) YouTube
What Is A Mri Brachial Plexus Mri of the brachial plexus provides detailed images to diagnose nerve injuries, tumors, and other abnormalities in the brachial plexus region. Mri of the brachial plexus provides detailed images to diagnose nerve injuries, tumors, and other abnormalities in the brachial plexus region. This section of the website will explain how to plan for an mri brachial plexus scan, protocol for mri brachial plexus, how to position and indications for mri brachial plexus. Mri of the brachial plexus is used to provide a causal diagnosis for brachial plexopathies. The brachial plexus is an intricate neural network that provides motor and somatosensory innervation of the arm, shoulder, and upper chest. Evaluation of brachial plexus disease typically begins with obtaining the patient history and performing a physical examination and electrophysiologic testing. Magnetic resonance imaging (mri) is the imaging modality of choice for the evaluation of the brachial plexus due to its. This test uses a powerful magnetic field and radio waves to make very detailed images of the. This article discusses mr imaging evaluation of the brachial plexus, relevant anatomy, and common pathology with clinical and imaging details, indications for use of.
From radiopaedia.org
Brachial plexus anatomy Image What Is A Mri Brachial Plexus Magnetic resonance imaging (mri) is the imaging modality of choice for the evaluation of the brachial plexus due to its. This section of the website will explain how to plan for an mri brachial plexus scan, protocol for mri brachial plexus, how to position and indications for mri brachial plexus. This article discusses mr imaging evaluation of the brachial plexus,. What Is A Mri Brachial Plexus.
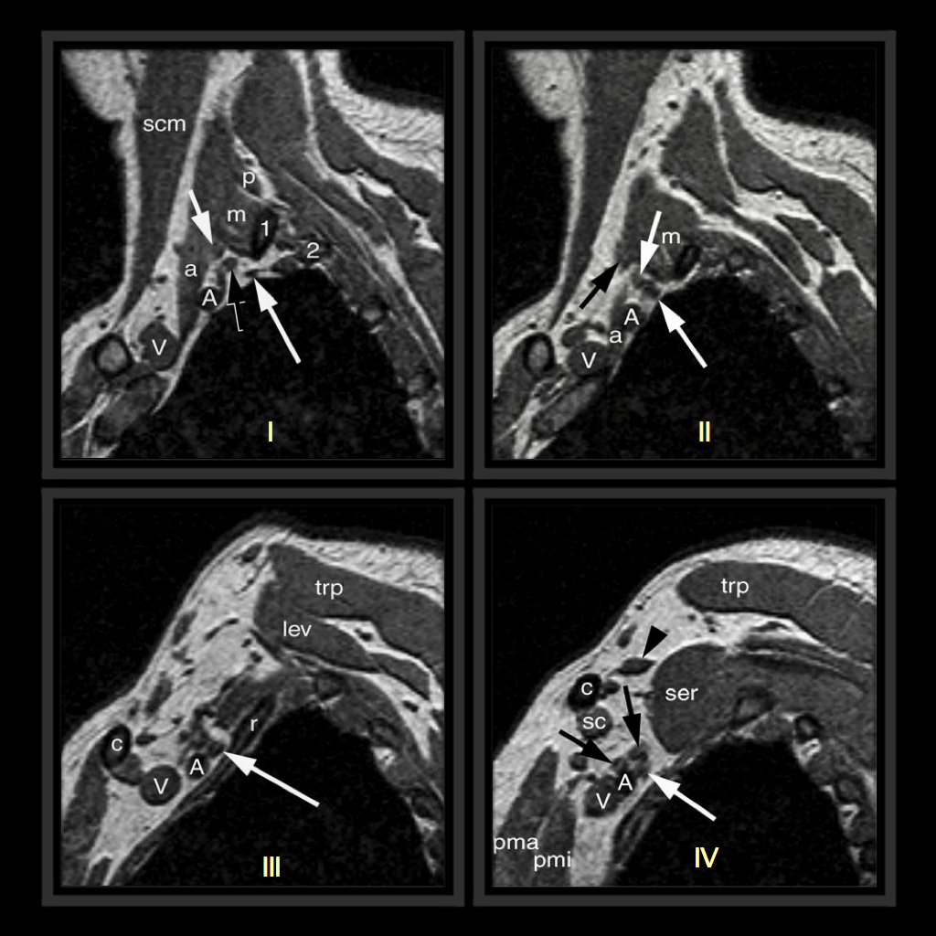
From www.ejradiology.com
MRI of the brachial plexus A pictorial review European Journal of What Is A Mri Brachial Plexus Mri of the brachial plexus provides detailed images to diagnose nerve injuries, tumors, and other abnormalities in the brachial plexus region. Mri of the brachial plexus is used to provide a causal diagnosis for brachial plexopathies. The brachial plexus is an intricate neural network that provides motor and somatosensory innervation of the arm, shoulder, and upper chest. This section of. What Is A Mri Brachial Plexus.
From limpeter-mriblog.blogspot.com
MRI BLOG Brachial Plexus MRI (I/II) What Is A Mri Brachial Plexus This article discusses mr imaging evaluation of the brachial plexus, relevant anatomy, and common pathology with clinical and imaging details, indications for use of. Magnetic resonance imaging (mri) is the imaging modality of choice for the evaluation of the brachial plexus due to its. Mri of the brachial plexus is used to provide a causal diagnosis for brachial plexopathies. Evaluation. What Is A Mri Brachial Plexus.
From ar.inspiredpencil.com
Mri Brachial Plexus Dwbs What Is A Mri Brachial Plexus Evaluation of brachial plexus disease typically begins with obtaining the patient history and performing a physical examination and electrophysiologic testing. Magnetic resonance imaging (mri) is the imaging modality of choice for the evaluation of the brachial plexus due to its. This section of the website will explain how to plan for an mri brachial plexus scan, protocol for mri brachial. What Is A Mri Brachial Plexus.
From limpeter-mriblog.blogspot.kr
MRI BLOG Brachial Plexus MRI (I/II) What Is A Mri Brachial Plexus The brachial plexus is an intricate neural network that provides motor and somatosensory innervation of the arm, shoulder, and upper chest. Mri of the brachial plexus is used to provide a causal diagnosis for brachial plexopathies. This test uses a powerful magnetic field and radio waves to make very detailed images of the. Mri of the brachial plexus provides detailed. What Is A Mri Brachial Plexus.
From geekymedics.com
Anatomy Brachial Plexus Geeky Medics What Is A Mri Brachial Plexus Magnetic resonance imaging (mri) is the imaging modality of choice for the evaluation of the brachial plexus due to its. The brachial plexus is an intricate neural network that provides motor and somatosensory innervation of the arm, shoulder, and upper chest. Evaluation of brachial plexus disease typically begins with obtaining the patient history and performing a physical examination and electrophysiologic. What Is A Mri Brachial Plexus.
From www.youtube.com
How to Scan an MRI Brachial Plexus YouTube What Is A Mri Brachial Plexus Evaluation of brachial plexus disease typically begins with obtaining the patient history and performing a physical examination and electrophysiologic testing. This test uses a powerful magnetic field and radio waves to make very detailed images of the. Magnetic resonance imaging (mri) is the imaging modality of choice for the evaluation of the brachial plexus due to its. This article discusses. What Is A Mri Brachial Plexus.
From radiologykey.com
MR Imaging of the Brachial Plexus Radiology Key What Is A Mri Brachial Plexus Mri of the brachial plexus provides detailed images to diagnose nerve injuries, tumors, and other abnormalities in the brachial plexus region. The brachial plexus is an intricate neural network that provides motor and somatosensory innervation of the arm, shoulder, and upper chest. Evaluation of brachial plexus disease typically begins with obtaining the patient history and performing a physical examination and. What Is A Mri Brachial Plexus.
From www.imaios.com
Brachial plexus MR normal anatomy eAnatomy What Is A Mri Brachial Plexus Evaluation of brachial plexus disease typically begins with obtaining the patient history and performing a physical examination and electrophysiologic testing. The brachial plexus is an intricate neural network that provides motor and somatosensory innervation of the arm, shoulder, and upper chest. Mri of the brachial plexus is used to provide a causal diagnosis for brachial plexopathies. This article discusses mr. What Is A Mri Brachial Plexus.
From www.youtube.com
How to Read a Brachial Plexus MRI in the Setting of Trauma (2020 Update What Is A Mri Brachial Plexus This section of the website will explain how to plan for an mri brachial plexus scan, protocol for mri brachial plexus, how to position and indications for mri brachial plexus. This article discusses mr imaging evaluation of the brachial plexus, relevant anatomy, and common pathology with clinical and imaging details, indications for use of. Mri of the brachial plexus is. What Is A Mri Brachial Plexus.
From limpeter-mriblog.blogspot.com
MRI BLOG Brachial Plexus MRI (II/II) What Is A Mri Brachial Plexus Magnetic resonance imaging (mri) is the imaging modality of choice for the evaluation of the brachial plexus due to its. Mri of the brachial plexus is used to provide a causal diagnosis for brachial plexopathies. This test uses a powerful magnetic field and radio waves to make very detailed images of the. Mri of the brachial plexus provides detailed images. What Is A Mri Brachial Plexus.
From mavink.com
Brachial Plexus Ct Anatomy What Is A Mri Brachial Plexus This test uses a powerful magnetic field and radio waves to make very detailed images of the. Magnetic resonance imaging (mri) is the imaging modality of choice for the evaluation of the brachial plexus due to its. This section of the website will explain how to plan for an mri brachial plexus scan, protocol for mri brachial plexus, how to. What Is A Mri Brachial Plexus.
From geekymedics.com
Anatomy Brachial Plexus Geeky Medics What Is A Mri Brachial Plexus Magnetic resonance imaging (mri) is the imaging modality of choice for the evaluation of the brachial plexus due to its. Mri of the brachial plexus is used to provide a causal diagnosis for brachial plexopathies. Evaluation of brachial plexus disease typically begins with obtaining the patient history and performing a physical examination and electrophysiologic testing. The brachial plexus is an. What Is A Mri Brachial Plexus.
From mrimaster.com
MRI brachial plexus anatomy free MRI coronal cross sectional anatomy What Is A Mri Brachial Plexus Magnetic resonance imaging (mri) is the imaging modality of choice for the evaluation of the brachial plexus due to its. Evaluation of brachial plexus disease typically begins with obtaining the patient history and performing a physical examination and electrophysiologic testing. Mri of the brachial plexus is used to provide a causal diagnosis for brachial plexopathies. The brachial plexus is an. What Is A Mri Brachial Plexus.
From vectorchristian101.blogspot.com
Brachial Plexus Mri Anatomy / Presentation2 Radiological Imaging Of What Is A Mri Brachial Plexus This test uses a powerful magnetic field and radio waves to make very detailed images of the. Magnetic resonance imaging (mri) is the imaging modality of choice for the evaluation of the brachial plexus due to its. Mri of the brachial plexus is used to provide a causal diagnosis for brachial plexopathies. The brachial plexus is an intricate neural network. What Is A Mri Brachial Plexus.
From www.sciencephoto.com
Coronal MRI of Brachial Plexus Stock Image P340/0062 Science What Is A Mri Brachial Plexus This section of the website will explain how to plan for an mri brachial plexus scan, protocol for mri brachial plexus, how to position and indications for mri brachial plexus. The brachial plexus is an intricate neural network that provides motor and somatosensory innervation of the arm, shoulder, and upper chest. Evaluation of brachial plexus disease typically begins with obtaining. What Is A Mri Brachial Plexus.
From ar.inspiredpencil.com
Brachial Plexus Mri Protocol What Is A Mri Brachial Plexus Mri of the brachial plexus is used to provide a causal diagnosis for brachial plexopathies. This test uses a powerful magnetic field and radio waves to make very detailed images of the. The brachial plexus is an intricate neural network that provides motor and somatosensory innervation of the arm, shoulder, and upper chest. This article discusses mr imaging evaluation of. What Is A Mri Brachial Plexus.
From medizzy.com
High resolution MRI of Brachial plexus MEDizzy What Is A Mri Brachial Plexus This test uses a powerful magnetic field and radio waves to make very detailed images of the. This article discusses mr imaging evaluation of the brachial plexus, relevant anatomy, and common pathology with clinical and imaging details, indications for use of. This section of the website will explain how to plan for an mri brachial plexus scan, protocol for mri. What Is A Mri Brachial Plexus.
From www.researchgate.net
MRI of the left brachial plexus using the Conventional technique, in What Is A Mri Brachial Plexus Mri of the brachial plexus is used to provide a causal diagnosis for brachial plexopathies. Mri of the brachial plexus provides detailed images to diagnose nerve injuries, tumors, and other abnormalities in the brachial plexus region. This section of the website will explain how to plan for an mri brachial plexus scan, protocol for mri brachial plexus, how to position. What Is A Mri Brachial Plexus.
From mrimaster.com
MRI Brachial Plexus Anatomy Free MRI Coronal Cross Sectional Anatomy What Is A Mri Brachial Plexus Mri of the brachial plexus provides detailed images to diagnose nerve injuries, tumors, and other abnormalities in the brachial plexus region. This section of the website will explain how to plan for an mri brachial plexus scan, protocol for mri brachial plexus, how to position and indications for mri brachial plexus. This article discusses mr imaging evaluation of the brachial. What Is A Mri Brachial Plexus.
From radiologykey.com
MR Imaging of the Brachial Plexus Radiology Key What Is A Mri Brachial Plexus The brachial plexus is an intricate neural network that provides motor and somatosensory innervation of the arm, shoulder, and upper chest. Evaluation of brachial plexus disease typically begins with obtaining the patient history and performing a physical examination and electrophysiologic testing. This test uses a powerful magnetic field and radio waves to make very detailed images of the. Mri of. What Is A Mri Brachial Plexus.
From pubs.rsna.org
Brachial Plexus Contouring with CT and MR Imaging in Radiation Therapy What Is A Mri Brachial Plexus This article discusses mr imaging evaluation of the brachial plexus, relevant anatomy, and common pathology with clinical and imaging details, indications for use of. Evaluation of brachial plexus disease typically begins with obtaining the patient history and performing a physical examination and electrophysiologic testing. The brachial plexus is an intricate neural network that provides motor and somatosensory innervation of the. What Is A Mri Brachial Plexus.
From www.imaios.com
Brachial plexus MR normal anatomy eAnatomy What Is A Mri Brachial Plexus This test uses a powerful magnetic field and radio waves to make very detailed images of the. Magnetic resonance imaging (mri) is the imaging modality of choice for the evaluation of the brachial plexus due to its. The brachial plexus is an intricate neural network that provides motor and somatosensory innervation of the arm, shoulder, and upper chest. This section. What Is A Mri Brachial Plexus.
From www.researchgate.net
MRI of the brachial plexus, right side. (a and b) T2weighted DIXON What Is A Mri Brachial Plexus This test uses a powerful magnetic field and radio waves to make very detailed images of the. This article discusses mr imaging evaluation of the brachial plexus, relevant anatomy, and common pathology with clinical and imaging details, indications for use of. This section of the website will explain how to plan for an mri brachial plexus scan, protocol for mri. What Is A Mri Brachial Plexus.
From mungfali.com
Brachial Plexus MRI Positioning What Is A Mri Brachial Plexus This article discusses mr imaging evaluation of the brachial plexus, relevant anatomy, and common pathology with clinical and imaging details, indications for use of. Mri of the brachial plexus provides detailed images to diagnose nerve injuries, tumors, and other abnormalities in the brachial plexus region. This section of the website will explain how to plan for an mri brachial plexus. What Is A Mri Brachial Plexus.
From limpeter-mriblog.blogspot.com
MRI BLOG Brachial Plexus MRI (I/II) What Is A Mri Brachial Plexus Magnetic resonance imaging (mri) is the imaging modality of choice for the evaluation of the brachial plexus due to its. Evaluation of brachial plexus disease typically begins with obtaining the patient history and performing a physical examination and electrophysiologic testing. This article discusses mr imaging evaluation of the brachial plexus, relevant anatomy, and common pathology with clinical and imaging details,. What Is A Mri Brachial Plexus.
From radiologykey.com
MR Imaging of the Brachial Plexus Radiology Key What Is A Mri Brachial Plexus This section of the website will explain how to plan for an mri brachial plexus scan, protocol for mri brachial plexus, how to position and indications for mri brachial plexus. Evaluation of brachial plexus disease typically begins with obtaining the patient history and performing a physical examination and electrophysiologic testing. Mri of the brachial plexus is used to provide a. What Is A Mri Brachial Plexus.
From www.youtube.com
MRI brachial plexus ( Left brachial plexus mass) YouTube What Is A Mri Brachial Plexus Mri of the brachial plexus is used to provide a causal diagnosis for brachial plexopathies. Evaluation of brachial plexus disease typically begins with obtaining the patient history and performing a physical examination and electrophysiologic testing. This article discusses mr imaging evaluation of the brachial plexus, relevant anatomy, and common pathology with clinical and imaging details, indications for use of. This. What Is A Mri Brachial Plexus.
From limpeter-mriblog.blogspot.com.es
MRI BLOG Brachial Plexus MRI (I/II) What Is A Mri Brachial Plexus Evaluation of brachial plexus disease typically begins with obtaining the patient history and performing a physical examination and electrophysiologic testing. This section of the website will explain how to plan for an mri brachial plexus scan, protocol for mri brachial plexus, how to position and indications for mri brachial plexus. Mri of the brachial plexus is used to provide a. What Is A Mri Brachial Plexus.
From mrimaster.com
MRI Brachial Plexus Anatomy Free MRI Coronal Cross Sectional Anatomy What Is A Mri Brachial Plexus Mri of the brachial plexus provides detailed images to diagnose nerve injuries, tumors, and other abnormalities in the brachial plexus region. Magnetic resonance imaging (mri) is the imaging modality of choice for the evaluation of the brachial plexus due to its. This section of the website will explain how to plan for an mri brachial plexus scan, protocol for mri. What Is A Mri Brachial Plexus.
From mavink.com
Brachial Plexus Mri Scan What Is A Mri Brachial Plexus Mri of the brachial plexus provides detailed images to diagnose nerve injuries, tumors, and other abnormalities in the brachial plexus region. This article discusses mr imaging evaluation of the brachial plexus, relevant anatomy, and common pathology with clinical and imaging details, indications for use of. This test uses a powerful magnetic field and radio waves to make very detailed images. What Is A Mri Brachial Plexus.
From www.ejradiology.com
MRI of the brachial plexus A pictorial review European Journal of What Is A Mri Brachial Plexus This section of the website will explain how to plan for an mri brachial plexus scan, protocol for mri brachial plexus, how to position and indications for mri brachial plexus. This article discusses mr imaging evaluation of the brachial plexus, relevant anatomy, and common pathology with clinical and imaging details, indications for use of. Mri of the brachial plexus provides. What Is A Mri Brachial Plexus.
From www.xrayhouseanand.com
3.0 T MRI BRACHIAL PLEXUS XRay House What Is A Mri Brachial Plexus Magnetic resonance imaging (mri) is the imaging modality of choice for the evaluation of the brachial plexus due to its. This test uses a powerful magnetic field and radio waves to make very detailed images of the. This section of the website will explain how to plan for an mri brachial plexus scan, protocol for mri brachial plexus, how to. What Is A Mri Brachial Plexus.
From mungfali.com
Brachial Plexus MRI Axial What Is A Mri Brachial Plexus This article discusses mr imaging evaluation of the brachial plexus, relevant anatomy, and common pathology with clinical and imaging details, indications for use of. This section of the website will explain how to plan for an mri brachial plexus scan, protocol for mri brachial plexus, how to position and indications for mri brachial plexus. Mri of the brachial plexus is. What Is A Mri Brachial Plexus.
From www.pinterest.nz
MRI brachial plexus anatomy free MRI coronal cross sectional anatomy What Is A Mri Brachial Plexus Mri of the brachial plexus is used to provide a causal diagnosis for brachial plexopathies. The brachial plexus is an intricate neural network that provides motor and somatosensory innervation of the arm, shoulder, and upper chest. This article discusses mr imaging evaluation of the brachial plexus, relevant anatomy, and common pathology with clinical and imaging details, indications for use of.. What Is A Mri Brachial Plexus.