Ct Scan Labeled . This is a ct of the abdomen and pelvis, enterography protocol this is a higher quality study than a standard ct. In this article, we will outline the basic principles behind ct scans. Computed tomography (ct) scans are an extremely common imaging modality. Abdominal computed tomography (ct) is a type of medical imaging procedure used to diagnose and monitor internal stomach issues, like cancer, bowel obstruction, and abdominal pain. Annotated teaching ct head in standard and bone windows. This article will explain how to read an abdominal ct scan on the concrete examples of the ct images of the abdomen. Radiology basics of chest ct anatomy with annotated coronal images and scrollable axial images to help medical students and junior doctors learning anatomy. It is performed with a higher radiation dose and larger dose of iv contrast, which. This article lists a series of labeled imaging anatomy cases by body region and modality.
from mavink.com
Annotated teaching ct head in standard and bone windows. It is performed with a higher radiation dose and larger dose of iv contrast, which. Radiology basics of chest ct anatomy with annotated coronal images and scrollable axial images to help medical students and junior doctors learning anatomy. This article will explain how to read an abdominal ct scan on the concrete examples of the ct images of the abdomen. This article lists a series of labeled imaging anatomy cases by body region and modality. Computed tomography (ct) scans are an extremely common imaging modality. This is a ct of the abdomen and pelvis, enterography protocol this is a higher quality study than a standard ct. In this article, we will outline the basic principles behind ct scans. Abdominal computed tomography (ct) is a type of medical imaging procedure used to diagnose and monitor internal stomach issues, like cancer, bowel obstruction, and abdominal pain.
Ct Scan Labeled
Ct Scan Labeled This article lists a series of labeled imaging anatomy cases by body region and modality. Computed tomography (ct) scans are an extremely common imaging modality. Radiology basics of chest ct anatomy with annotated coronal images and scrollable axial images to help medical students and junior doctors learning anatomy. This article will explain how to read an abdominal ct scan on the concrete examples of the ct images of the abdomen. This article lists a series of labeled imaging anatomy cases by body region and modality. Abdominal computed tomography (ct) is a type of medical imaging procedure used to diagnose and monitor internal stomach issues, like cancer, bowel obstruction, and abdominal pain. In this article, we will outline the basic principles behind ct scans. This is a ct of the abdomen and pelvis, enterography protocol this is a higher quality study than a standard ct. Annotated teaching ct head in standard and bone windows. It is performed with a higher radiation dose and larger dose of iv contrast, which.
From litfl.com
Abdominal CT Planes • LITFL • Radiology library Ct Scan Labeled Annotated teaching ct head in standard and bone windows. This article will explain how to read an abdominal ct scan on the concrete examples of the ct images of the abdomen. This is a ct of the abdomen and pelvis, enterography protocol this is a higher quality study than a standard ct. Radiology basics of chest ct anatomy with annotated. Ct Scan Labeled.
From johnsonfrancis.org
Cardiac CT Pulmonary veins and left atrium All About Cardiovascular Ct Scan Labeled Computed tomography (ct) scans are an extremely common imaging modality. Annotated teaching ct head in standard and bone windows. In this article, we will outline the basic principles behind ct scans. Radiology basics of chest ct anatomy with annotated coronal images and scrollable axial images to help medical students and junior doctors learning anatomy. This article will explain how to. Ct Scan Labeled.
From learningneurology.com
Approach to CT head Ct Scan Labeled Computed tomography (ct) scans are an extremely common imaging modality. This article lists a series of labeled imaging anatomy cases by body region and modality. In this article, we will outline the basic principles behind ct scans. Radiology basics of chest ct anatomy with annotated coronal images and scrollable axial images to help medical students and junior doctors learning anatomy.. Ct Scan Labeled.
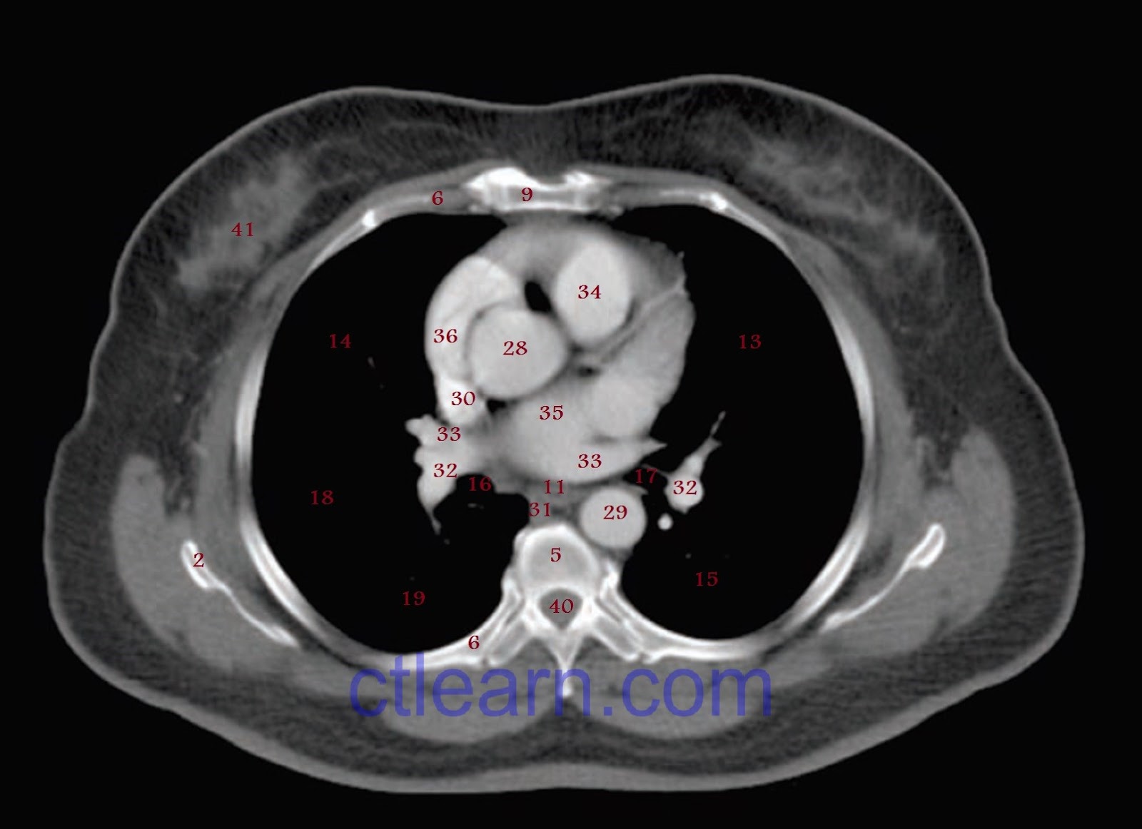
From www.ctlearn.com
Learn CT Scan Anatomy CT Axial Chest Ct Scan Labeled Computed tomography (ct) scans are an extremely common imaging modality. Annotated teaching ct head in standard and bone windows. This article will explain how to read an abdominal ct scan on the concrete examples of the ct images of the abdomen. It is performed with a higher radiation dose and larger dose of iv contrast, which. In this article, we. Ct Scan Labeled.
From www.kenhub.com
Radiological anatomy Xray, CT, MRI Kenhub Ct Scan Labeled This is a ct of the abdomen and pelvis, enterography protocol this is a higher quality study than a standard ct. Abdominal computed tomography (ct) is a type of medical imaging procedure used to diagnose and monitor internal stomach issues, like cancer, bowel obstruction, and abdominal pain. In this article, we will outline the basic principles behind ct scans. It. Ct Scan Labeled.
From mavink.com
Normal Chest Ct Scan Labeled Ct Scan Labeled In this article, we will outline the basic principles behind ct scans. This is a ct of the abdomen and pelvis, enterography protocol this is a higher quality study than a standard ct. Radiology basics of chest ct anatomy with annotated coronal images and scrollable axial images to help medical students and junior doctors learning anatomy. It is performed with. Ct Scan Labeled.
From www.twomeyconsulting.com
Computed Tomography (CT, XRay CT, CAT) — Twomey Consulting, LLC Ct Scan Labeled This article lists a series of labeled imaging anatomy cases by body region and modality. Abdominal computed tomography (ct) is a type of medical imaging procedure used to diagnose and monitor internal stomach issues, like cancer, bowel obstruction, and abdominal pain. Computed tomography (ct) scans are an extremely common imaging modality. Annotated teaching ct head in standard and bone windows.. Ct Scan Labeled.
From www.animalia-life.club
Normal Ct Scan Abdomen Ct Scan Labeled Radiology basics of chest ct anatomy with annotated coronal images and scrollable axial images to help medical students and junior doctors learning anatomy. Abdominal computed tomography (ct) is a type of medical imaging procedure used to diagnose and monitor internal stomach issues, like cancer, bowel obstruction, and abdominal pain. This article will explain how to read an abdominal ct scan. Ct Scan Labeled.
From mungfali.com
Labeled Chest CT Scan Anatomy Ct Scan Labeled This article lists a series of labeled imaging anatomy cases by body region and modality. Computed tomography (ct) scans are an extremely common imaging modality. Abdominal computed tomography (ct) is a type of medical imaging procedure used to diagnose and monitor internal stomach issues, like cancer, bowel obstruction, and abdominal pain. In this article, we will outline the basic principles. Ct Scan Labeled.
From www.ctscanandmri.com
CT scan of heart axial anatomy CT Scan & MRI Ct Scan Labeled In this article, we will outline the basic principles behind ct scans. This is a ct of the abdomen and pelvis, enterography protocol this is a higher quality study than a standard ct. This article lists a series of labeled imaging anatomy cases by body region and modality. Abdominal computed tomography (ct) is a type of medical imaging procedure used. Ct Scan Labeled.
From mungfali.com
Labeled Chest CT Scan Anatomy Ct Scan Labeled This article will explain how to read an abdominal ct scan on the concrete examples of the ct images of the abdomen. Annotated teaching ct head in standard and bone windows. Abdominal computed tomography (ct) is a type of medical imaging procedure used to diagnose and monitor internal stomach issues, like cancer, bowel obstruction, and abdominal pain. This is a. Ct Scan Labeled.
From mungfali.com
Labeled Chest CT Scan Anatomy Ct Scan Labeled In this article, we will outline the basic principles behind ct scans. Annotated teaching ct head in standard and bone windows. This article lists a series of labeled imaging anatomy cases by body region and modality. Radiology basics of chest ct anatomy with annotated coronal images and scrollable axial images to help medical students and junior doctors learning anatomy. It. Ct Scan Labeled.
From www.researchgate.net
(A) Transverse CT scan at a level of the lower chest and (B) sagittal Ct Scan Labeled Annotated teaching ct head in standard and bone windows. Radiology basics of chest ct anatomy with annotated coronal images and scrollable axial images to help medical students and junior doctors learning anatomy. This is a ct of the abdomen and pelvis, enterography protocol this is a higher quality study than a standard ct. Computed tomography (ct) scans are an extremely. Ct Scan Labeled.
From www.youtube.com
How to read ct abdomen Coronal image YouTube Ct Scan Labeled Computed tomography (ct) scans are an extremely common imaging modality. This article will explain how to read an abdominal ct scan on the concrete examples of the ct images of the abdomen. Annotated teaching ct head in standard and bone windows. Radiology basics of chest ct anatomy with annotated coronal images and scrollable axial images to help medical students and. Ct Scan Labeled.
From ar.inspiredpencil.com
Heart Ct Scan Labeled Ct Scan Labeled This is a ct of the abdomen and pelvis, enterography protocol this is a higher quality study than a standard ct. This article lists a series of labeled imaging anatomy cases by body region and modality. Annotated teaching ct head in standard and bone windows. It is performed with a higher radiation dose and larger dose of iv contrast, which.. Ct Scan Labeled.
From learningneurology.com
Approach to CT head Ct Scan Labeled Abdominal computed tomography (ct) is a type of medical imaging procedure used to diagnose and monitor internal stomach issues, like cancer, bowel obstruction, and abdominal pain. Radiology basics of chest ct anatomy with annotated coronal images and scrollable axial images to help medical students and junior doctors learning anatomy. In this article, we will outline the basic principles behind ct. Ct Scan Labeled.
From mavink.com
Ct Scan Labeled Ct Scan Labeled This article will explain how to read an abdominal ct scan on the concrete examples of the ct images of the abdomen. Annotated teaching ct head in standard and bone windows. In this article, we will outline the basic principles behind ct scans. Computed tomography (ct) scans are an extremely common imaging modality. Abdominal computed tomography (ct) is a type. Ct Scan Labeled.
From www.imaios.com
CT scan of head and neck normal anatomy eAnatomy Ct Scan Labeled In this article, we will outline the basic principles behind ct scans. This is a ct of the abdomen and pelvis, enterography protocol this is a higher quality study than a standard ct. Annotated teaching ct head in standard and bone windows. Computed tomography (ct) scans are an extremely common imaging modality. Radiology basics of chest ct anatomy with annotated. Ct Scan Labeled.
From mungfali.com
Labeled Chest CT Scan Anatomy Ct Scan Labeled Radiology basics of chest ct anatomy with annotated coronal images and scrollable axial images to help medical students and junior doctors learning anatomy. This is a ct of the abdomen and pelvis, enterography protocol this is a higher quality study than a standard ct. This article will explain how to read an abdominal ct scan on the concrete examples of. Ct Scan Labeled.
From ditki.com
Gross Anatomy Glossary Sagittal Abdominal CT ditki medical Ct Scan Labeled This article will explain how to read an abdominal ct scan on the concrete examples of the ct images of the abdomen. Annotated teaching ct head in standard and bone windows. Abdominal computed tomography (ct) is a type of medical imaging procedure used to diagnose and monitor internal stomach issues, like cancer, bowel obstruction, and abdominal pain. This is a. Ct Scan Labeled.
From mavink.com
Normal Chest Ct Scan Labeled Ct Scan Labeled This is a ct of the abdomen and pelvis, enterography protocol this is a higher quality study than a standard ct. Computed tomography (ct) scans are an extremely common imaging modality. This article lists a series of labeled imaging anatomy cases by body region and modality. Radiology basics of chest ct anatomy with annotated coronal images and scrollable axial images. Ct Scan Labeled.
From mungfali.com
Labeled Chest CT Scan Anatomy Ct Scan Labeled In this article, we will outline the basic principles behind ct scans. This article lists a series of labeled imaging anatomy cases by body region and modality. Annotated teaching ct head in standard and bone windows. Computed tomography (ct) scans are an extremely common imaging modality. This article will explain how to read an abdominal ct scan on the concrete. Ct Scan Labeled.
From www.pinterest.co.uk
Radiology basics of abdominal CT anatomy with annotated coronal images Ct Scan Labeled Computed tomography (ct) scans are an extremely common imaging modality. In this article, we will outline the basic principles behind ct scans. It is performed with a higher radiation dose and larger dose of iv contrast, which. Abdominal computed tomography (ct) is a type of medical imaging procedure used to diagnose and monitor internal stomach issues, like cancer, bowel obstruction,. Ct Scan Labeled.
From ctprotocol.blogspot.com
CT Scan Tips & Protocols CT BRAIN ANATOMY Ct Scan Labeled Abdominal computed tomography (ct) is a type of medical imaging procedure used to diagnose and monitor internal stomach issues, like cancer, bowel obstruction, and abdominal pain. This article will explain how to read an abdominal ct scan on the concrete examples of the ct images of the abdomen. Annotated teaching ct head in standard and bone windows. In this article,. Ct Scan Labeled.
From www.researchgate.net
(image of patient CT scan of the patient at different levels of section Ct Scan Labeled In this article, we will outline the basic principles behind ct scans. This article lists a series of labeled imaging anatomy cases by body region and modality. Computed tomography (ct) scans are an extremely common imaging modality. Radiology basics of chest ct anatomy with annotated coronal images and scrollable axial images to help medical students and junior doctors learning anatomy.. Ct Scan Labeled.
From gomerpedia.org
Anatomy of a CT Scanner Gomerpedia Ct Scan Labeled Radiology basics of chest ct anatomy with annotated coronal images and scrollable axial images to help medical students and junior doctors learning anatomy. This article lists a series of labeled imaging anatomy cases by body region and modality. This is a ct of the abdomen and pelvis, enterography protocol this is a higher quality study than a standard ct. It. Ct Scan Labeled.
From ctprotocol.blogspot.com
CT Scan Tips & Protocols CT pulmonery vessels anatomy Ct Scan Labeled Computed tomography (ct) scans are an extremely common imaging modality. In this article, we will outline the basic principles behind ct scans. It is performed with a higher radiation dose and larger dose of iv contrast, which. Annotated teaching ct head in standard and bone windows. This article will explain how to read an abdominal ct scan on the concrete. Ct Scan Labeled.
From mungfali.com
Labeled Chest CT Scan Anatomy Ct Scan Labeled This article will explain how to read an abdominal ct scan on the concrete examples of the ct images of the abdomen. Annotated teaching ct head in standard and bone windows. This is a ct of the abdomen and pelvis, enterography protocol this is a higher quality study than a standard ct. This article lists a series of labeled imaging. Ct Scan Labeled.
From mavink.com
Ct Scan Labeled Ct Scan Labeled This article will explain how to read an abdominal ct scan on the concrete examples of the ct images of the abdomen. Annotated teaching ct head in standard and bone windows. Abdominal computed tomography (ct) is a type of medical imaging procedure used to diagnose and monitor internal stomach issues, like cancer, bowel obstruction, and abdominal pain. Computed tomography (ct). Ct Scan Labeled.
From info.atlantisworldwide.com
CT Scanner Components What Does What? Ct Scan Labeled Computed tomography (ct) scans are an extremely common imaging modality. This article will explain how to read an abdominal ct scan on the concrete examples of the ct images of the abdomen. In this article, we will outline the basic principles behind ct scans. This is a ct of the abdomen and pelvis, enterography protocol this is a higher quality. Ct Scan Labeled.
From oncologymedicalphysics.com
CT Basic Operations Oncology Medical Physics Ct Scan Labeled Radiology basics of chest ct anatomy with annotated coronal images and scrollable axial images to help medical students and junior doctors learning anatomy. This is a ct of the abdomen and pelvis, enterography protocol this is a higher quality study than a standard ct. In this article, we will outline the basic principles behind ct scans. Computed tomography (ct) scans. Ct Scan Labeled.
From learningneurology.com
Approach to CT head Ct Scan Labeled Radiology basics of chest ct anatomy with annotated coronal images and scrollable axial images to help medical students and junior doctors learning anatomy. This article will explain how to read an abdominal ct scan on the concrete examples of the ct images of the abdomen. Annotated teaching ct head in standard and bone windows. It is performed with a higher. Ct Scan Labeled.
From www.animalia-life.club
Normal Ct Scan Abdomen Ct Scan Labeled It is performed with a higher radiation dose and larger dose of iv contrast, which. Radiology basics of chest ct anatomy with annotated coronal images and scrollable axial images to help medical students and junior doctors learning anatomy. Annotated teaching ct head in standard and bone windows. This is a ct of the abdomen and pelvis, enterography protocol this is. Ct Scan Labeled.
From www.pinterest.ph
Check out this sagittal view of a CT aorta... TAKE NOTE OF 📝We Ct Scan Labeled Radiology basics of chest ct anatomy with annotated coronal images and scrollable axial images to help medical students and junior doctors learning anatomy. This article lists a series of labeled imaging anatomy cases by body region and modality. This article will explain how to read an abdominal ct scan on the concrete examples of the ct images of the abdomen.. Ct Scan Labeled.
From www.youtube.com
Normal Head CT Scan Anatomy Made Simple Neuroradiology YouTube Ct Scan Labeled This article will explain how to read an abdominal ct scan on the concrete examples of the ct images of the abdomen. In this article, we will outline the basic principles behind ct scans. Computed tomography (ct) scans are an extremely common imaging modality. Annotated teaching ct head in standard and bone windows. This is a ct of the abdomen. Ct Scan Labeled.