Esthetic Tooth Restoration . This article describes and compares different techniques for making predictable direct esthetic anterior resin composite restorations in daily practice. Cerec is short for chairside economical restoration of esthetic ceramics. Composite layering, dental restoration, esthetics dentistry, operative. Cosmetic dentistry focuses on improving the appearance of your smile. Restorative dentistry can help your mouth regain function and esthetics. The name refers to the fact that the crown is made chairside in your dentist’s office, without the need for a. The development of resinous materials and adhesive systems allows. Some dental procedures offer both functional and cosmetic. The evolution of techniques and materials for direct and indirect restorations with composites and ceramics allows clinicians to recreate both tooth function and aesthetics. Learn about the types of dental restoration including implants and fillings.
from www.ismile.com
Composite layering, dental restoration, esthetics dentistry, operative. Learn about the types of dental restoration including implants and fillings. Restorative dentistry can help your mouth regain function and esthetics. The evolution of techniques and materials for direct and indirect restorations with composites and ceramics allows clinicians to recreate both tooth function and aesthetics. The name refers to the fact that the crown is made chairside in your dentist’s office, without the need for a. This article describes and compares different techniques for making predictable direct esthetic anterior resin composite restorations in daily practice. Cosmetic dentistry focuses on improving the appearance of your smile. The development of resinous materials and adhesive systems allows. Some dental procedures offer both functional and cosmetic. Cerec is short for chairside economical restoration of esthetic ceramics.
Cosmetic Restorative Dentistry in New York City iSmile Dentistry
Esthetic Tooth Restoration Learn about the types of dental restoration including implants and fillings. This article describes and compares different techniques for making predictable direct esthetic anterior resin composite restorations in daily practice. The development of resinous materials and adhesive systems allows. Restorative dentistry can help your mouth regain function and esthetics. Some dental procedures offer both functional and cosmetic. Cosmetic dentistry focuses on improving the appearance of your smile. Learn about the types of dental restoration including implants and fillings. The name refers to the fact that the crown is made chairside in your dentist’s office, without the need for a. The evolution of techniques and materials for direct and indirect restorations with composites and ceramics allows clinicians to recreate both tooth function and aesthetics. Composite layering, dental restoration, esthetics dentistry, operative. Cerec is short for chairside economical restoration of esthetic ceramics.
From pocketdentistry.com
9 Esthetic anterior implant restorations Surgical techniques for optimal results Pocket Esthetic Tooth Restoration Cosmetic dentistry focuses on improving the appearance of your smile. The development of resinous materials and adhesive systems allows. The evolution of techniques and materials for direct and indirect restorations with composites and ceramics allows clinicians to recreate both tooth function and aesthetics. This article describes and compares different techniques for making predictable direct esthetic anterior resin composite restorations in. Esthetic Tooth Restoration.
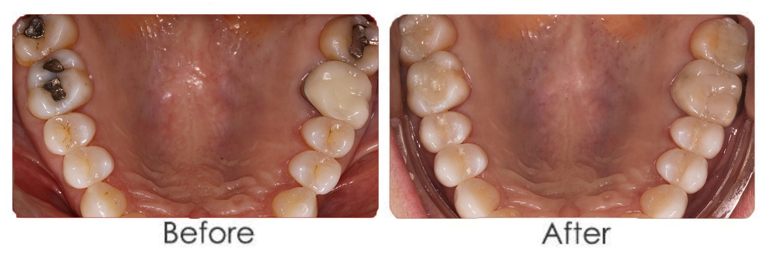
From www.withersperio.com
Functional Crown Lengthening Fairfax, VA Dr. Withers Esthetic Tooth Restoration The evolution of techniques and materials for direct and indirect restorations with composites and ceramics allows clinicians to recreate both tooth function and aesthetics. Restorative dentistry can help your mouth regain function and esthetics. The development of resinous materials and adhesive systems allows. Composite layering, dental restoration, esthetics dentistry, operative. Some dental procedures offer both functional and cosmetic. The name. Esthetic Tooth Restoration.
From www.vrogue.co
Esthetic Re Treatment Of Anterior Teeth Restored Foll vrogue.co Esthetic Tooth Restoration Restorative dentistry can help your mouth regain function and esthetics. Composite layering, dental restoration, esthetics dentistry, operative. Some dental procedures offer both functional and cosmetic. Cosmetic dentistry focuses on improving the appearance of your smile. The name refers to the fact that the crown is made chairside in your dentist’s office, without the need for a. The development of resinous. Esthetic Tooth Restoration.
From pocketdentistry.com
Direct Anterior Restorations—Aesthetics and Function Pocket Dentistry Esthetic Tooth Restoration The evolution of techniques and materials for direct and indirect restorations with composites and ceramics allows clinicians to recreate both tooth function and aesthetics. Some dental procedures offer both functional and cosmetic. Cerec is short for chairside economical restoration of esthetic ceramics. Cosmetic dentistry focuses on improving the appearance of your smile. Restorative dentistry can help your mouth regain function. Esthetic Tooth Restoration.
From www.researchgate.net
(PDF) Restoration of discolored endodontically treated anterior teeth a minimally invasive Esthetic Tooth Restoration Learn about the types of dental restoration including implants and fillings. The development of resinous materials and adhesive systems allows. Some dental procedures offer both functional and cosmetic. Restorative dentistry can help your mouth regain function and esthetics. Cosmetic dentistry focuses on improving the appearance of your smile. Composite layering, dental restoration, esthetics dentistry, operative. The name refers to the. Esthetic Tooth Restoration.
From www.mdpi.com
Symmetry Free FullText Direct Esthetic Composite Restorations in Anterior Teeth Managing Esthetic Tooth Restoration The name refers to the fact that the crown is made chairside in your dentist’s office, without the need for a. Cosmetic dentistry focuses on improving the appearance of your smile. Learn about the types of dental restoration including implants and fillings. This article describes and compares different techniques for making predictable direct esthetic anterior resin composite restorations in daily. Esthetic Tooth Restoration.
From www.vrogue.co
Esthetic Re Treatment Of Anterior Teeth Restored Foll vrogue.co Esthetic Tooth Restoration Restorative dentistry can help your mouth regain function and esthetics. The evolution of techniques and materials for direct and indirect restorations with composites and ceramics allows clinicians to recreate both tooth function and aesthetics. The development of resinous materials and adhesive systems allows. Composite layering, dental restoration, esthetics dentistry, operative. Cosmetic dentistry focuses on improving the appearance of your smile.. Esthetic Tooth Restoration.
From www.crystaldentaldesign.com
Aesthetic AllCeramic Restoration Crystal Dental Design Esthetic Tooth Restoration Learn about the types of dental restoration including implants and fillings. Restorative dentistry can help your mouth regain function and esthetics. Cosmetic dentistry focuses on improving the appearance of your smile. Cerec is short for chairside economical restoration of esthetic ceramics. Composite layering, dental restoration, esthetics dentistry, operative. This article describes and compares different techniques for making predictable direct esthetic. Esthetic Tooth Restoration.
From marshalldentalclinic.com
Restorative Dentistry Vancouver The Marshall Clinic Esthetic Tooth Restoration The development of resinous materials and adhesive systems allows. Some dental procedures offer both functional and cosmetic. This article describes and compares different techniques for making predictable direct esthetic anterior resin composite restorations in daily practice. The name refers to the fact that the crown is made chairside in your dentist’s office, without the need for a. Composite layering, dental. Esthetic Tooth Restoration.
From www.ismile.com
Cosmetic Restorative Dentistry in New York City iSmile Dentistry Esthetic Tooth Restoration Cerec is short for chairside economical restoration of esthetic ceramics. Some dental procedures offer both functional and cosmetic. Learn about the types of dental restoration including implants and fillings. This article describes and compares different techniques for making predictable direct esthetic anterior resin composite restorations in daily practice. Restorative dentistry can help your mouth regain function and esthetics. The evolution. Esthetic Tooth Restoration.
From www.kissdentalchicago.com
Esthetic Restorations in Skokie, IL 60076 Kiss Dental Esthetic Tooth Restoration The evolution of techniques and materials for direct and indirect restorations with composites and ceramics allows clinicians to recreate both tooth function and aesthetics. Learn about the types of dental restoration including implants and fillings. The name refers to the fact that the crown is made chairside in your dentist’s office, without the need for a. This article describes and. Esthetic Tooth Restoration.
From www.zirlux.com
Zirlux Anterior Multi Zirconia For Highly Esthetic Anterior Restorations Esthetic Tooth Restoration The development of resinous materials and adhesive systems allows. Cosmetic dentistry focuses on improving the appearance of your smile. Cerec is short for chairside economical restoration of esthetic ceramics. Some dental procedures offer both functional and cosmetic. This article describes and compares different techniques for making predictable direct esthetic anterior resin composite restorations in daily practice. The name refers to. Esthetic Tooth Restoration.
From www.researchgate.net
Initial esthetic appearance of anterior teeth. Tooth No. 9 with... Download Scientific Diagram Esthetic Tooth Restoration Composite layering, dental restoration, esthetics dentistry, operative. Learn about the types of dental restoration including implants and fillings. Some dental procedures offer both functional and cosmetic. Cerec is short for chairside economical restoration of esthetic ceramics. Cosmetic dentistry focuses on improving the appearance of your smile. The name refers to the fact that the crown is made chairside in your. Esthetic Tooth Restoration.
From www.santedentairevmr.com
Restaurations Dentaires Esthétiques Santé dentaire VMR Esthetic Tooth Restoration Cerec is short for chairside economical restoration of esthetic ceramics. Learn about the types of dental restoration including implants and fillings. Restorative dentistry can help your mouth regain function and esthetics. The evolution of techniques and materials for direct and indirect restorations with composites and ceramics allows clinicians to recreate both tooth function and aesthetics. Composite layering, dental restoration, esthetics. Esthetic Tooth Restoration.
From www.a2dentalmallorca.com
TREATMENTS Clínica A2 Dental Esthetic Tooth Restoration Restorative dentistry can help your mouth regain function and esthetics. Cosmetic dentistry focuses on improving the appearance of your smile. Learn about the types of dental restoration including implants and fillings. The name refers to the fact that the crown is made chairside in your dentist’s office, without the need for a. The evolution of techniques and materials for direct. Esthetic Tooth Restoration.
From www.fresnodentalimplants.com
Esthetic Dentistry Fresno Dental Implants Esthetic Tooth Restoration The development of resinous materials and adhesive systems allows. Restorative dentistry can help your mouth regain function and esthetics. This article describes and compares different techniques for making predictable direct esthetic anterior resin composite restorations in daily practice. Composite layering, dental restoration, esthetics dentistry, operative. Cerec is short for chairside economical restoration of esthetic ceramics. Some dental procedures offer both. Esthetic Tooth Restoration.
From ericyaremkodmd.com
Restorations Eric Yaremko, DMD, PS Esthetic Tooth Restoration The evolution of techniques and materials for direct and indirect restorations with composites and ceramics allows clinicians to recreate both tooth function and aesthetics. The development of resinous materials and adhesive systems allows. Composite layering, dental restoration, esthetics dentistry, operative. The name refers to the fact that the crown is made chairside in your dentist’s office, without the need for. Esthetic Tooth Restoration.
From manikdental.com
Conservative Dentistry/ Restoration Manik Dental Clinic Esthetic Tooth Restoration Some dental procedures offer both functional and cosmetic. Cosmetic dentistry focuses on improving the appearance of your smile. The development of resinous materials and adhesive systems allows. The evolution of techniques and materials for direct and indirect restorations with composites and ceramics allows clinicians to recreate both tooth function and aesthetics. This article describes and compares different techniques for making. Esthetic Tooth Restoration.
From www.slideshare.net
Restorative and esthetic dentistry Esthetic Tooth Restoration The name refers to the fact that the crown is made chairside in your dentist’s office, without the need for a. Some dental procedures offer both functional and cosmetic. Learn about the types of dental restoration including implants and fillings. Restorative dentistry can help your mouth regain function and esthetics. The development of resinous materials and adhesive systems allows. Cosmetic. Esthetic Tooth Restoration.
From www.shutterstock.com
1,911 Teeth Esthetic Images, Stock Photos & Vectors Shutterstock Esthetic Tooth Restoration The evolution of techniques and materials for direct and indirect restorations with composites and ceramics allows clinicians to recreate both tooth function and aesthetics. Cerec is short for chairside economical restoration of esthetic ceramics. The development of resinous materials and adhesive systems allows. The name refers to the fact that the crown is made chairside in your dentist’s office, without. Esthetic Tooth Restoration.
From leeannbrady.com
Composite Veneer Layering Lee Ann Brady DMD Esthetic Tooth Restoration Composite layering, dental restoration, esthetics dentistry, operative. The name refers to the fact that the crown is made chairside in your dentist’s office, without the need for a. This article describes and compares different techniques for making predictable direct esthetic anterior resin composite restorations in daily practice. Some dental procedures offer both functional and cosmetic. The evolution of techniques and. Esthetic Tooth Restoration.
From www.southwinddentalcare.com
Memphis Chipped Teeth Cosmetic and Restorative Dentistry Treatments Esthetic Tooth Restoration The name refers to the fact that the crown is made chairside in your dentist’s office, without the need for a. The development of resinous materials and adhesive systems allows. Cosmetic dentistry focuses on improving the appearance of your smile. Composite layering, dental restoration, esthetics dentistry, operative. Restorative dentistry can help your mouth regain function and esthetics. Learn about the. Esthetic Tooth Restoration.
From dentalreach.today
Composite Restorations For Aesthetic Correction Of A Single Anterior Tooth Esthetic Tooth Restoration This article describes and compares different techniques for making predictable direct esthetic anterior resin composite restorations in daily practice. The name refers to the fact that the crown is made chairside in your dentist’s office, without the need for a. Composite layering, dental restoration, esthetics dentistry, operative. Restorative dentistry can help your mouth regain function and esthetics. Cerec is short. Esthetic Tooth Restoration.
From www.researchgate.net
Application of Stainless steel crown and Anterior esthetic restoration,... Download Scientific Esthetic Tooth Restoration Learn about the types of dental restoration including implants and fillings. Composite layering, dental restoration, esthetics dentistry, operative. Some dental procedures offer both functional and cosmetic. The development of resinous materials and adhesive systems allows. The evolution of techniques and materials for direct and indirect restorations with composites and ceramics allows clinicians to recreate both tooth function and aesthetics. Restorative. Esthetic Tooth Restoration.
From www.styleitaliano.org
Esthetic direct veneering in vital and endodontically treated anterior teeth Esthetic Tooth Restoration Restorative dentistry can help your mouth regain function and esthetics. Cosmetic dentistry focuses on improving the appearance of your smile. Composite layering, dental restoration, esthetics dentistry, operative. This article describes and compares different techniques for making predictable direct esthetic anterior resin composite restorations in daily practice. Learn about the types of dental restoration including implants and fillings. Some dental procedures. Esthetic Tooth Restoration.
From mattnejad.com
Biomimetic Restorative Dentistry Posterior Indirect Restorations Matt Nejad Esthetic Tooth Restoration This article describes and compares different techniques for making predictable direct esthetic anterior resin composite restorations in daily practice. Some dental procedures offer both functional and cosmetic. Learn about the types of dental restoration including implants and fillings. Composite layering, dental restoration, esthetics dentistry, operative. The development of resinous materials and adhesive systems allows. Cosmetic dentistry focuses on improving the. Esthetic Tooth Restoration.
From www.pinterest.ph
before and after tooth restoration (tooth 11 & 12) Dental, Dental procedures, Treatment Esthetic Tooth Restoration Learn about the types of dental restoration including implants and fillings. The evolution of techniques and materials for direct and indirect restorations with composites and ceramics allows clinicians to recreate both tooth function and aesthetics. Composite layering, dental restoration, esthetics dentistry, operative. Cerec is short for chairside economical restoration of esthetic ceramics. The development of resinous materials and adhesive systems. Esthetic Tooth Restoration.
From rezottoproduction.com
Anterior tooth restorations The performance of ceramic veneers rezotto production Esthetic Tooth Restoration Composite layering, dental restoration, esthetics dentistry, operative. Cosmetic dentistry focuses on improving the appearance of your smile. Learn about the types of dental restoration including implants and fillings. This article describes and compares different techniques for making predictable direct esthetic anterior resin composite restorations in daily practice. The evolution of techniques and materials for direct and indirect restorations with composites. Esthetic Tooth Restoration.
From www.dentistryiq.com
Restoring primary anterior teeth with EZPedo allceramic zirconia crowns 3 case studies Esthetic Tooth Restoration Composite layering, dental restoration, esthetics dentistry, operative. Learn about the types of dental restoration including implants and fillings. Cosmetic dentistry focuses on improving the appearance of your smile. Some dental procedures offer both functional and cosmetic. The evolution of techniques and materials for direct and indirect restorations with composites and ceramics allows clinicians to recreate both tooth function and aesthetics.. Esthetic Tooth Restoration.
From dentalreach.today
Composite Restorations For Aesthetic Correction Of A Single Anterior Tooth Esthetic Tooth Restoration Cosmetic dentistry focuses on improving the appearance of your smile. This article describes and compares different techniques for making predictable direct esthetic anterior resin composite restorations in daily practice. Restorative dentistry can help your mouth regain function and esthetics. Composite layering, dental restoration, esthetics dentistry, operative. The name refers to the fact that the crown is made chairside in your. Esthetic Tooth Restoration.
From www.suvizclinicalhub.com
Esthetic composite restoration Suviz Clinical Hub Esthetic Tooth Restoration The development of resinous materials and adhesive systems allows. Learn about the types of dental restoration including implants and fillings. Cerec is short for chairside economical restoration of esthetic ceramics. Restorative dentistry can help your mouth regain function and esthetics. Composite layering, dental restoration, esthetics dentistry, operative. Cosmetic dentistry focuses on improving the appearance of your smile. This article describes. Esthetic Tooth Restoration.
From www.scribd.com
Esthetic Dentistry and Ceramic Restoration, 1ed PDF Tooth Enamel Dental Composite Esthetic Tooth Restoration Restorative dentistry can help your mouth regain function and esthetics. Cerec is short for chairside economical restoration of esthetic ceramics. Composite layering, dental restoration, esthetics dentistry, operative. This article describes and compares different techniques for making predictable direct esthetic anterior resin composite restorations in daily practice. Some dental procedures offer both functional and cosmetic. The evolution of techniques and materials. Esthetic Tooth Restoration.
From www.styleitaliano.org
Small restorations for big esthetic difference Esthetic Tooth Restoration Cerec is short for chairside economical restoration of esthetic ceramics. Learn about the types of dental restoration including implants and fillings. The evolution of techniques and materials for direct and indirect restorations with composites and ceramics allows clinicians to recreate both tooth function and aesthetics. Composite layering, dental restoration, esthetics dentistry, operative. Some dental procedures offer both functional and cosmetic.. Esthetic Tooth Restoration.
From sapphiresmilesdental.wordpress.com
The 7 Different Types of Tooth Restoration Sapphire Dental Care Esthetic Tooth Restoration Cerec is short for chairside economical restoration of esthetic ceramics. Restorative dentistry can help your mouth regain function and esthetics. Composite layering, dental restoration, esthetics dentistry, operative. Cosmetic dentistry focuses on improving the appearance of your smile. The name refers to the fact that the crown is made chairside in your dentist’s office, without the need for a. The evolution. Esthetic Tooth Restoration.
From www.alamy.com
3d render of lower jaw with esthetic post and core tooth restoration over white background Stock Esthetic Tooth Restoration Cerec is short for chairside economical restoration of esthetic ceramics. Learn about the types of dental restoration including implants and fillings. Cosmetic dentistry focuses on improving the appearance of your smile. The development of resinous materials and adhesive systems allows. Restorative dentistry can help your mouth regain function and esthetics. Some dental procedures offer both functional and cosmetic. The name. Esthetic Tooth Restoration.