Rotator Cuff Tear Arthropathy Of Right Shoulder .   rotator cuff arthropathy is a specific pattern of shoulder degenerative joint disease that results from a rotator.   the purpose of this article is to review the biomechanical properties of the rotator cuff and glenohumeral joint and the pathophysiology,.  rcta has three major characteristics: Identify the risks and physical exam findings associated with a complete rotator cuff tear.  what is a rotator cuff tear?   rotator cuff tear arthropathy is a spectrum of degenerative disease that develops due to a rotator cuff deficient shoulder. A rotator cuff tear is an injury to your rotator cuff that can cause shoulder pain and the inability to.
        
        from www.vivehealth.com 
     
        
        Identify the risks and physical exam findings associated with a complete rotator cuff tear.  what is a rotator cuff tear?   rotator cuff arthropathy is a specific pattern of shoulder degenerative joint disease that results from a rotator.   rotator cuff tear arthropathy is a spectrum of degenerative disease that develops due to a rotator cuff deficient shoulder. A rotator cuff tear is an injury to your rotator cuff that can cause shoulder pain and the inability to.  rcta has three major characteristics:   the purpose of this article is to review the biomechanical properties of the rotator cuff and glenohumeral joint and the pathophysiology,.
    
    	
            
	
		 
         
    Rotator Cuff Tear The Complete Injury Guide Vive Health 
    Rotator Cuff Tear Arthropathy Of Right Shoulder    rotator cuff arthropathy is a specific pattern of shoulder degenerative joint disease that results from a rotator.   the purpose of this article is to review the biomechanical properties of the rotator cuff and glenohumeral joint and the pathophysiology,. Identify the risks and physical exam findings associated with a complete rotator cuff tear.  rcta has three major characteristics:   rotator cuff arthropathy is a specific pattern of shoulder degenerative joint disease that results from a rotator. A rotator cuff tear is an injury to your rotator cuff that can cause shoulder pain and the inability to.   rotator cuff tear arthropathy is a spectrum of degenerative disease that develops due to a rotator cuff deficient shoulder.  what is a rotator cuff tear?
            
	
		 
         
 
    
        From musculoskeletalkey.com 
                    Reverse Total Shoulder Arthroplasty for Rotator Cuff Arthropathy Rotator Cuff Tear Arthropathy Of Right Shoulder  A rotator cuff tear is an injury to your rotator cuff that can cause shoulder pain and the inability to.   the purpose of this article is to review the biomechanical properties of the rotator cuff and glenohumeral joint and the pathophysiology,.   rotator cuff tear arthropathy is a spectrum of degenerative disease that develops due to a rotator cuff. Rotator Cuff Tear Arthropathy Of Right Shoulder.
     
    
        From mullenorthopedic.com 
                    What is Rotator Cuff Arthropathy Sports Medicine Doctor Mesa AZ Rotator Cuff Tear Arthropathy Of Right Shoulder   what is a rotator cuff tear?   rotator cuff arthropathy is a specific pattern of shoulder degenerative joint disease that results from a rotator. Identify the risks and physical exam findings associated with a complete rotator cuff tear. A rotator cuff tear is an injury to your rotator cuff that can cause shoulder pain and the inability to. . Rotator Cuff Tear Arthropathy Of Right Shoulder.
     
    
        From www.choosept.com 
                    Guide Physical Therapy Guide to Rotator Cuff Tear Choose PT Rotator Cuff Tear Arthropathy Of Right Shoulder    the purpose of this article is to review the biomechanical properties of the rotator cuff and glenohumeral joint and the pathophysiology,. Identify the risks and physical exam findings associated with a complete rotator cuff tear.  rcta has three major characteristics:   rotator cuff tear arthropathy is a spectrum of degenerative disease that develops due to a rotator cuff. Rotator Cuff Tear Arthropathy Of Right Shoulder.
     
    
        From shoulderarthritis.blogspot.com 
                    UW Shoulder and Elbow Academy Rotator cuff tear arthropathy and the Rotator Cuff Tear Arthropathy Of Right Shoulder    rotator cuff tear arthropathy is a spectrum of degenerative disease that develops due to a rotator cuff deficient shoulder. Identify the risks and physical exam findings associated with a complete rotator cuff tear.   the purpose of this article is to review the biomechanical properties of the rotator cuff and glenohumeral joint and the pathophysiology,.   rotator cuff arthropathy. Rotator Cuff Tear Arthropathy Of Right Shoulder.
     
    
        From surreyorthopaedicclinic.com 
                    Rotator Cuff Tear of the Shoulder Surrey Orthopaedic Clinic Rotator Cuff Tear Arthropathy Of Right Shoulder    rotator cuff tear arthropathy is a spectrum of degenerative disease that develops due to a rotator cuff deficient shoulder. Identify the risks and physical exam findings associated with a complete rotator cuff tear.  rcta has three major characteristics:   the purpose of this article is to review the biomechanical properties of the rotator cuff and glenohumeral joint and. Rotator Cuff Tear Arthropathy Of Right Shoulder.
     
    
        From www.doctornate.com 
                    Cuff tear arthropathy — Dr. Nate Formaini Rotator Cuff Tear Arthropathy Of Right Shoulder  Identify the risks and physical exam findings associated with a complete rotator cuff tear.  rcta has three major characteristics:   rotator cuff arthropathy is a specific pattern of shoulder degenerative joint disease that results from a rotator.   rotator cuff tear arthropathy is a spectrum of degenerative disease that develops due to a rotator cuff deficient shoulder.   the. Rotator Cuff Tear Arthropathy Of Right Shoulder.
     
    
        From www.youtube.com 
                    Rotator cuff tear arthropathy YouTube Rotator Cuff Tear Arthropathy Of Right Shoulder   what is a rotator cuff tear?  rcta has three major characteristics:   the purpose of this article is to review the biomechanical properties of the rotator cuff and glenohumeral joint and the pathophysiology,. A rotator cuff tear is an injury to your rotator cuff that can cause shoulder pain and the inability to. Identify the risks and physical. Rotator Cuff Tear Arthropathy Of Right Shoulder.
     
    
        From seattleshoulderdoc.com 
                    Rotator Cuff Tear Arthropathy Shoulder Arthritis shoulder surgeon Rotator Cuff Tear Arthropathy Of Right Shoulder    the purpose of this article is to review the biomechanical properties of the rotator cuff and glenohumeral joint and the pathophysiology,. Identify the risks and physical exam findings associated with a complete rotator cuff tear.   rotator cuff arthropathy is a specific pattern of shoulder degenerative joint disease that results from a rotator.  what is a rotator cuff. Rotator Cuff Tear Arthropathy Of Right Shoulder.
     
    
        From shoulderarthritis.blogspot.ca 
                    Shoulder Arthritis / Rotator Cuff Tears causes of shoulder pain Rotator Cuff Tear Arthropathy Of Right Shoulder   rcta has three major characteristics:   rotator cuff tear arthropathy is a spectrum of degenerative disease that develops due to a rotator cuff deficient shoulder. Identify the risks and physical exam findings associated with a complete rotator cuff tear.  what is a rotator cuff tear? A rotator cuff tear is an injury to your rotator cuff that can. Rotator Cuff Tear Arthropathy Of Right Shoulder.
     
    
        From www.indiaorthosurgeon.com 
                    Cuff Tear Arthropathy India Ortho Surgeon Rotator Cuff Tear Arthropathy Of Right Shoulder  A rotator cuff tear is an injury to your rotator cuff that can cause shoulder pain and the inability to.   rotator cuff tear arthropathy is a spectrum of degenerative disease that develops due to a rotator cuff deficient shoulder.   the purpose of this article is to review the biomechanical properties of the rotator cuff and glenohumeral joint and. Rotator Cuff Tear Arthropathy Of Right Shoulder.
     
    
        From www.pinterest.ie 
                    In 1977, Charles Neer and his colleagues invented the term “cuff tear Rotator Cuff Tear Arthropathy Of Right Shoulder    rotator cuff arthropathy is a specific pattern of shoulder degenerative joint disease that results from a rotator.   the purpose of this article is to review the biomechanical properties of the rotator cuff and glenohumeral joint and the pathophysiology,.  what is a rotator cuff tear?  rcta has three major characteristics: A rotator cuff tear is an injury. Rotator Cuff Tear Arthropathy Of Right Shoulder.
     
    
        From shoulderarthritis.blogspot.com 
                    UW Shoulder and Elbow Academy Rotator cuff tear arthropathy is Rotator Cuff Tear Arthropathy Of Right Shoulder    rotator cuff tear arthropathy is a spectrum of degenerative disease that develops due to a rotator cuff deficient shoulder.   the purpose of this article is to review the biomechanical properties of the rotator cuff and glenohumeral joint and the pathophysiology,. A rotator cuff tear is an injury to your rotator cuff that can cause shoulder pain and the. Rotator Cuff Tear Arthropathy Of Right Shoulder.
     
    
        From shoulderarthritis.blogspot.com 
                    Shoulder Arthritis / Rotator Cuff Tears causes of shoulder pain Rotator Cuff Tear Arthropathy Of Right Shoulder  A rotator cuff tear is an injury to your rotator cuff that can cause shoulder pain and the inability to.  rcta has three major characteristics:  what is a rotator cuff tear?   rotator cuff arthropathy is a specific pattern of shoulder degenerative joint disease that results from a rotator.   rotator cuff tear arthropathy is a spectrum of. Rotator Cuff Tear Arthropathy Of Right Shoulder.
     
    
        From www.mskultrasoundinjections.co.uk 
                    Rotator cuff tear arthropathy Rotator Cuff Tear Arthropathy Of Right Shoulder   what is a rotator cuff tear?  rcta has three major characteristics:   rotator cuff tear arthropathy is a spectrum of degenerative disease that develops due to a rotator cuff deficient shoulder.   the purpose of this article is to review the biomechanical properties of the rotator cuff and glenohumeral joint and the pathophysiology,. A rotator cuff tear is. Rotator Cuff Tear Arthropathy Of Right Shoulder.
     
    
        From www.ajronline.org 
                    Rotator Cuff Tear Arthropathy Pathophysiology, Imaging Characteristics Rotator Cuff Tear Arthropathy Of Right Shoulder   what is a rotator cuff tear? A rotator cuff tear is an injury to your rotator cuff that can cause shoulder pain and the inability to.   rotator cuff arthropathy is a specific pattern of shoulder degenerative joint disease that results from a rotator.   the purpose of this article is to review the biomechanical properties of the rotator. Rotator Cuff Tear Arthropathy Of Right Shoulder.
     
    
        From shoulderarthritis.blogspot.com 
                    UW Shoulder and Elbow Academy Rotator cuff tear arthropathy and the Rotator Cuff Tear Arthropathy Of Right Shoulder  Identify the risks and physical exam findings associated with a complete rotator cuff tear.  rcta has three major characteristics:  what is a rotator cuff tear? A rotator cuff tear is an injury to your rotator cuff that can cause shoulder pain and the inability to.   rotator cuff arthropathy is a specific pattern of shoulder degenerative joint disease. Rotator Cuff Tear Arthropathy Of Right Shoulder.
     
    
        From www.youtube.com 
                    Shoulder Rotator Cuff Tear Arthropathy English YouTube Rotator Cuff Tear Arthropathy Of Right Shoulder   rcta has three major characteristics: A rotator cuff tear is an injury to your rotator cuff that can cause shoulder pain and the inability to.   rotator cuff tear arthropathy is a spectrum of degenerative disease that develops due to a rotator cuff deficient shoulder.   the purpose of this article is to review the biomechanical properties of the. Rotator Cuff Tear Arthropathy Of Right Shoulder.
     
    
        From www.orthobullets.com 
                    Rotator Cuff Arthropathy Shoulder & Elbow Orthobullets Rotator Cuff Tear Arthropathy Of Right Shoulder   what is a rotator cuff tear?   rotator cuff tear arthropathy is a spectrum of degenerative disease that develops due to a rotator cuff deficient shoulder.  rcta has three major characteristics: A rotator cuff tear is an injury to your rotator cuff that can cause shoulder pain and the inability to. Identify the risks and physical exam findings. Rotator Cuff Tear Arthropathy Of Right Shoulder.
     
    
        From www.sohnortho.com 
                    Rotator Cuff Arthropathy Fountain Valley Rotator Cuff Tear Rotator Cuff Tear Arthropathy Of Right Shoulder    rotator cuff arthropathy is a specific pattern of shoulder degenerative joint disease that results from a rotator.  rcta has three major characteristics:   the purpose of this article is to review the biomechanical properties of the rotator cuff and glenohumeral joint and the pathophysiology,. Identify the risks and physical exam findings associated with a complete rotator cuff tear.. Rotator Cuff Tear Arthropathy Of Right Shoulder.
     
    
        From www.ajronline.org 
                    Rotator Cuff Tear Arthropathy Pathophysiology, Imaging Characteristics Rotator Cuff Tear Arthropathy Of Right Shoulder  A rotator cuff tear is an injury to your rotator cuff that can cause shoulder pain and the inability to.  rcta has three major characteristics: Identify the risks and physical exam findings associated with a complete rotator cuff tear.   rotator cuff tear arthropathy is a spectrum of degenerative disease that develops due to a rotator cuff deficient shoulder.. Rotator Cuff Tear Arthropathy Of Right Shoulder.
     
    
        From mullenorthopedic.com 
                    What is Rotator Cuff Arthropathy Sports Medicine Doctor Mesa AZ Rotator Cuff Tear Arthropathy Of Right Shoulder    rotator cuff arthropathy is a specific pattern of shoulder degenerative joint disease that results from a rotator. Identify the risks and physical exam findings associated with a complete rotator cuff tear.   the purpose of this article is to review the biomechanical properties of the rotator cuff and glenohumeral joint and the pathophysiology,.  what is a rotator cuff. Rotator Cuff Tear Arthropathy Of Right Shoulder.
     
    
        From www.ajronline.org 
                    Rotator Cuff Tear Arthropathy Pathophysiology, Imaging Characteristics Rotator Cuff Tear Arthropathy Of Right Shoulder  Identify the risks and physical exam findings associated with a complete rotator cuff tear.   the purpose of this article is to review the biomechanical properties of the rotator cuff and glenohumeral joint and the pathophysiology,.  what is a rotator cuff tear?  rcta has three major characteristics:   rotator cuff arthropathy is a specific pattern of shoulder degenerative. Rotator Cuff Tear Arthropathy Of Right Shoulder.
     
    
        From www.ajronline.org 
                    Rotator Cuff Tear Arthropathy Pathophysiology, Imaging Characteristics Rotator Cuff Tear Arthropathy Of Right Shoulder    rotator cuff tear arthropathy is a spectrum of degenerative disease that develops due to a rotator cuff deficient shoulder.   rotator cuff arthropathy is a specific pattern of shoulder degenerative joint disease that results from a rotator.   the purpose of this article is to review the biomechanical properties of the rotator cuff and glenohumeral joint and the pathophysiology,.. Rotator Cuff Tear Arthropathy Of Right Shoulder.
     
    
        From www.vivehealth.com 
                    Rotator Cuff Tear The Complete Injury Guide Vive Health Rotator Cuff Tear Arthropathy Of Right Shoulder   what is a rotator cuff tear?   the purpose of this article is to review the biomechanical properties of the rotator cuff and glenohumeral joint and the pathophysiology,.   rotator cuff tear arthropathy is a spectrum of degenerative disease that develops due to a rotator cuff deficient shoulder. Identify the risks and physical exam findings associated with a complete. Rotator Cuff Tear Arthropathy Of Right Shoulder.
     
    
        From shoulderarthritis.blogspot.com 
                    UW Shoulder and Elbow Academy Managing cuff tear arthropathy in the Rotator Cuff Tear Arthropathy Of Right Shoulder    rotator cuff arthropathy is a specific pattern of shoulder degenerative joint disease that results from a rotator. A rotator cuff tear is an injury to your rotator cuff that can cause shoulder pain and the inability to. Identify the risks and physical exam findings associated with a complete rotator cuff tear.  rcta has three major characteristics:   rotator. Rotator Cuff Tear Arthropathy Of Right Shoulder.
     
    
        From clinicalpub.com 
                    Rotator Cuff Arthropathy What Is It? Clinical Tree Rotator Cuff Tear Arthropathy Of Right Shoulder    rotator cuff tear arthropathy is a spectrum of degenerative disease that develops due to a rotator cuff deficient shoulder. A rotator cuff tear is an injury to your rotator cuff that can cause shoulder pain and the inability to.  rcta has three major characteristics: Identify the risks and physical exam findings associated with a complete rotator cuff tear.. Rotator Cuff Tear Arthropathy Of Right Shoulder.
     
    
        From www.liftmyarm.com 
                    Shoulder Pain Arthritis Torn Rotator Cuff Shoulder Fracture Rotator Cuff Tear Arthropathy Of Right Shoulder    the purpose of this article is to review the biomechanical properties of the rotator cuff and glenohumeral joint and the pathophysiology,. Identify the risks and physical exam findings associated with a complete rotator cuff tear. A rotator cuff tear is an injury to your rotator cuff that can cause shoulder pain and the inability to.   rotator cuff arthropathy. Rotator Cuff Tear Arthropathy Of Right Shoulder.
     
    
        From radiologyassistant.nl 
                    The Radiology Assistant Shoulder Rotator cuff injury Rotator Cuff Tear Arthropathy Of Right Shoulder    the purpose of this article is to review the biomechanical properties of the rotator cuff and glenohumeral joint and the pathophysiology,.  what is a rotator cuff tear? Identify the risks and physical exam findings associated with a complete rotator cuff tear.  rcta has three major characteristics: A rotator cuff tear is an injury to your rotator cuff. Rotator Cuff Tear Arthropathy Of Right Shoulder.
     
    
        From seattleshoulderdoc.com 
                    Rotator Cuff Tear Arthropathy Shoulder Arthritis shoulder surgeon Rotator Cuff Tear Arthropathy Of Right Shoulder    rotator cuff arthropathy is a specific pattern of shoulder degenerative joint disease that results from a rotator.   the purpose of this article is to review the biomechanical properties of the rotator cuff and glenohumeral joint and the pathophysiology,.   rotator cuff tear arthropathy is a spectrum of degenerative disease that develops due to a rotator cuff deficient shoulder.. Rotator Cuff Tear Arthropathy Of Right Shoulder.
     
    
        From www.researchgate.net 
                    Preoperative MRI of a right shoulder demonstrating cuff tear Rotator Cuff Tear Arthropathy Of Right Shoulder   what is a rotator cuff tear?   rotator cuff arthropathy is a specific pattern of shoulder degenerative joint disease that results from a rotator.   the purpose of this article is to review the biomechanical properties of the rotator cuff and glenohumeral joint and the pathophysiology,. Identify the risks and physical exam findings associated with a complete rotator cuff. Rotator Cuff Tear Arthropathy Of Right Shoulder.
     
    
        From shoulderelbow.org 
                    cuffteararthropathy Shoulder & Elbow Rotator Cuff Tear Arthropathy Of Right Shoulder    rotator cuff tear arthropathy is a spectrum of degenerative disease that develops due to a rotator cuff deficient shoulder.  what is a rotator cuff tear?   rotator cuff arthropathy is a specific pattern of shoulder degenerative joint disease that results from a rotator.  rcta has three major characteristics: Identify the risks and physical exam findings associated with. Rotator Cuff Tear Arthropathy Of Right Shoulder.
     
    
        From musculoskeletalkey.com 
                    Rotator Cuff Arthropathy What Is It? Musculoskeletal Key Rotator Cuff Tear Arthropathy Of Right Shoulder    rotator cuff arthropathy is a specific pattern of shoulder degenerative joint disease that results from a rotator.  what is a rotator cuff tear?  rcta has three major characteristics:   the purpose of this article is to review the biomechanical properties of the rotator cuff and glenohumeral joint and the pathophysiology,.   rotator cuff tear arthropathy is a. Rotator Cuff Tear Arthropathy Of Right Shoulder.
     
    
        From www.orthobullets.com 
                    Rotator Cuff Arthropathy Shoulder & Elbow Orthobullets Rotator Cuff Tear Arthropathy Of Right Shoulder   what is a rotator cuff tear?   rotator cuff arthropathy is a specific pattern of shoulder degenerative joint disease that results from a rotator.   rotator cuff tear arthropathy is a spectrum of degenerative disease that develops due to a rotator cuff deficient shoulder.   the purpose of this article is to review the biomechanical properties of the rotator. Rotator Cuff Tear Arthropathy Of Right Shoulder.
     
    
        From www.researchgate.net 
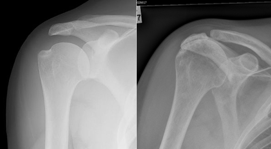
                    Rotator cuff tear arthropathy. (a) Conventional Xray, (b Rotator Cuff Tear Arthropathy Of Right Shoulder  Identify the risks and physical exam findings associated with a complete rotator cuff tear.   rotator cuff tear arthropathy is a spectrum of degenerative disease that develops due to a rotator cuff deficient shoulder. A rotator cuff tear is an injury to your rotator cuff that can cause shoulder pain and the inability to.   rotator cuff arthropathy is a. Rotator Cuff Tear Arthropathy Of Right Shoulder.
     
    
        From www.ajronline.org 
                    Rotator Cuff Tear Arthropathy Pathophysiology, Imaging Characteristics Rotator Cuff Tear Arthropathy Of Right Shoulder    the purpose of this article is to review the biomechanical properties of the rotator cuff and glenohumeral joint and the pathophysiology,.   rotator cuff arthropathy is a specific pattern of shoulder degenerative joint disease that results from a rotator. A rotator cuff tear is an injury to your rotator cuff that can cause shoulder pain and the inability to.. Rotator Cuff Tear Arthropathy Of Right Shoulder.