What Is The Structure Labeled B . Enables immature lymphocytes to mature into t cells. Which is true regarding the axis? A) it pulls the valves open. The structure labeled as b in the image is the esophagus. The structure labeled d has the function of controls all activity in the cell (the brain) and stores dna. Fluid that fills the cell and keeps the organelles in place. What is the function of the structure labeled b? Study with quizlet and memorise flashcards containing terms like what is the structure labeled with an arrow? C) it prevents the valves from projecting into the atria. B) it prevents closure of the valves. The thymus is an organ which is. Study with quizlet and memorize flashcards containing terms like zygomatic arch, maxilla, external acoustic. The esophagus is a long muscular tube that connects the mouth (or oral. The nucleus contains the cell's genes, controls the cell's growth and reproduction, and contains.
from www.chegg.com
Which is true regarding the axis? The structure labeled as b in the image is the esophagus. C) it prevents the valves from projecting into the atria. Study with quizlet and memorize flashcards containing terms like zygomatic arch, maxilla, external acoustic. Fluid that fills the cell and keeps the organelles in place. The thymus is an organ which is. The esophagus is a long muscular tube that connects the mouth (or oral. The nucleus contains the cell's genes, controls the cell's growth and reproduction, and contains. A) it pulls the valves open. The structure labeled d has the function of controls all activity in the cell (the brain) and stores dna.
Solved Explain what is occurring in the structure labeled
What Is The Structure Labeled B B) it prevents closure of the valves. A) it pulls the valves open. The esophagus is a long muscular tube that connects the mouth (or oral. The structure labeled d has the function of controls all activity in the cell (the brain) and stores dna. The nucleus contains the cell's genes, controls the cell's growth and reproduction, and contains. Study with quizlet and memorize flashcards containing terms like zygomatic arch, maxilla, external acoustic. What is the function of the structure labeled b? The thymus is an organ which is. C) it prevents the valves from projecting into the atria. Enables immature lymphocytes to mature into t cells. Which is true regarding the axis? Study with quizlet and memorise flashcards containing terms like what is the structure labeled with an arrow? Fluid that fills the cell and keeps the organelles in place. The structure labeled as b in the image is the esophagus. B) it prevents closure of the valves.
From www.chegg.com
Solved B. Name the structure labeled B (NOT what tissue What Is The Structure Labeled B The esophagus is a long muscular tube that connects the mouth (or oral. The structure labeled d has the function of controls all activity in the cell (the brain) and stores dna. Enables immature lymphocytes to mature into t cells. C) it prevents the valves from projecting into the atria. The structure labeled as b in the image is the. What Is The Structure Labeled B.
From brainly.com
What is the name of the structure labeled B in the diagram below? A What Is The Structure Labeled B Study with quizlet and memorise flashcards containing terms like what is the structure labeled with an arrow? Study with quizlet and memorize flashcards containing terms like zygomatic arch, maxilla, external acoustic. Enables immature lymphocytes to mature into t cells. C) it prevents the valves from projecting into the atria. The nucleus contains the cell's genes, controls the cell's growth and. What Is The Structure Labeled B.
From www.chegg.com
Solved Question 23 89. What is stored in this structure What Is The Structure Labeled B The esophagus is a long muscular tube that connects the mouth (or oral. C) it prevents the valves from projecting into the atria. Study with quizlet and memorize flashcards containing terms like zygomatic arch, maxilla, external acoustic. The thymus is an organ which is. A) it pulls the valves open. Enables immature lymphocytes to mature into t cells. Fluid that. What Is The Structure Labeled B.
From brainly.com
Identify the structure labeled B A. Nucleotide B. Base C. Phosphate D What Is The Structure Labeled B What is the function of the structure labeled b? The structure labeled d has the function of controls all activity in the cell (the brain) and stores dna. Study with quizlet and memorise flashcards containing terms like what is the structure labeled with an arrow? The structure labeled as b in the image is the esophagus. The nucleus contains the. What Is The Structure Labeled B.
From www.chegg.com
Solved What is the function of the structure labeled B? B A What Is The Structure Labeled B A) it pulls the valves open. What is the function of the structure labeled b? Which is true regarding the axis? B) it prevents closure of the valves. Study with quizlet and memorise flashcards containing terms like what is the structure labeled with an arrow? Study with quizlet and memorize flashcards containing terms like zygomatic arch, maxilla, external acoustic. The. What Is The Structure Labeled B.
From www.chegg.com
Solved Name the entire structure within the red box Name the What Is The Structure Labeled B The nucleus contains the cell's genes, controls the cell's growth and reproduction, and contains. C) it prevents the valves from projecting into the atria. Study with quizlet and memorize flashcards containing terms like zygomatic arch, maxilla, external acoustic. The thymus is an organ which is. Enables immature lymphocytes to mature into t cells. Study with quizlet and memorise flashcards containing. What Is The Structure Labeled B.
From www.chegg.com
Solved Name the structure labeled B B What Is The Structure Labeled B The structure labeled d has the function of controls all activity in the cell (the brain) and stores dna. The nucleus contains the cell's genes, controls the cell's growth and reproduction, and contains. Study with quizlet and memorise flashcards containing terms like what is the structure labeled with an arrow? The esophagus is a long muscular tube that connects the. What Is The Structure Labeled B.
From brainly.com
What happens in the netlike structure labeled B in the diagram? (A What Is The Structure Labeled B The nucleus contains the cell's genes, controls the cell's growth and reproduction, and contains. What is the function of the structure labeled b? The structure labeled as b in the image is the esophagus. The thymus is an organ which is. B) it prevents closure of the valves. The esophagus is a long muscular tube that connects the mouth (or. What Is The Structure Labeled B.
From www.chegg.com
Solved Question 27 What is the function of the structure What Is The Structure Labeled B The thymus is an organ which is. Study with quizlet and memorise flashcards containing terms like what is the structure labeled with an arrow? C) it prevents the valves from projecting into the atria. Study with quizlet and memorize flashcards containing terms like zygomatic arch, maxilla, external acoustic. Which is true regarding the axis? What is the function of the. What Is The Structure Labeled B.
From brainly.com
Identify the structures on the right. Label A Label B Label C Label D What Is The Structure Labeled B The thymus is an organ which is. What is the function of the structure labeled b? Enables immature lymphocytes to mature into t cells. B) it prevents closure of the valves. Study with quizlet and memorize flashcards containing terms like zygomatic arch, maxilla, external acoustic. C) it prevents the valves from projecting into the atria. Fluid that fills the cell. What Is The Structure Labeled B.
From www.chegg.com
Solved What is the name of the organ that contains this What Is The Structure Labeled B The structure labeled d has the function of controls all activity in the cell (the brain) and stores dna. C) it prevents the valves from projecting into the atria. The esophagus is a long muscular tube that connects the mouth (or oral. Which is true regarding the axis? Enables immature lymphocytes to mature into t cells. The structure labeled as. What Is The Structure Labeled B.
From www.chegg.com
Solved What is the function of the structure labeled What Is The Structure Labeled B The thymus is an organ which is. Which is true regarding the axis? B) it prevents closure of the valves. The structure labeled d has the function of controls all activity in the cell (the brain) and stores dna. Study with quizlet and memorise flashcards containing terms like what is the structure labeled with an arrow? The esophagus is a. What Is The Structure Labeled B.
From www.numerade.com
SOLVED A B Identify the structure labeled A ldentify the structure What Is The Structure Labeled B C) it prevents the valves from projecting into the atria. Study with quizlet and memorize flashcards containing terms like zygomatic arch, maxilla, external acoustic. What is the function of the structure labeled b? Study with quizlet and memorise flashcards containing terms like what is the structure labeled with an arrow? The esophagus is a long muscular tube that connects the. What Is The Structure Labeled B.
From www.chegg.com
Solved 1. The structure labeled B in the diagram represents What Is The Structure Labeled B The structure labeled as b in the image is the esophagus. Study with quizlet and memorize flashcards containing terms like zygomatic arch, maxilla, external acoustic. A) it pulls the valves open. Fluid that fills the cell and keeps the organelles in place. The thymus is an organ which is. What is the function of the structure labeled b? C) it. What Is The Structure Labeled B.
From www.numerade.com
SOLVED Question 8 Identify the function of each labeled structure What What Is The Structure Labeled B C) it prevents the valves from projecting into the atria. Enables immature lymphocytes to mature into t cells. B) it prevents closure of the valves. The thymus is an organ which is. What is the function of the structure labeled b? Fluid that fills the cell and keeps the organelles in place. A) it pulls the valves open. Which is. What Is The Structure Labeled B.
From www.transtutors.com
(Solved) Part A What Is The Function Of The Structure Labeled "B"? LM What Is The Structure Labeled B Which is true regarding the axis? Enables immature lymphocytes to mature into t cells. Fluid that fills the cell and keeps the organelles in place. C) it prevents the valves from projecting into the atria. The structure labeled d has the function of controls all activity in the cell (the brain) and stores dna. B) it prevents closure of the. What Is The Structure Labeled B.
From www.chegg.com
Solved B. Name primary connective tissue classification of What Is The Structure Labeled B Which is true regarding the axis? Fluid that fills the cell and keeps the organelles in place. A) it pulls the valves open. What is the function of the structure labeled b? Enables immature lymphocytes to mature into t cells. The structure labeled d has the function of controls all activity in the cell (the brain) and stores dna. The. What Is The Structure Labeled B.
From www.chegg.com
Solved 1. The structure labeled B in the diagram represents What Is The Structure Labeled B The thymus is an organ which is. Study with quizlet and memorise flashcards containing terms like what is the structure labeled with an arrow? Enables immature lymphocytes to mature into t cells. A) it pulls the valves open. Study with quizlet and memorize flashcards containing terms like zygomatic arch, maxilla, external acoustic. What is the function of the structure labeled. What Is The Structure Labeled B.
From www.numerade.com
SOLVED 50 The structure labeled B" is the A B Bowman's capsule Nephron What Is The Structure Labeled B Study with quizlet and memorise flashcards containing terms like what is the structure labeled with an arrow? What is the function of the structure labeled b? Enables immature lymphocytes to mature into t cells. B) it prevents closure of the valves. Which is true regarding the axis? The structure labeled d has the function of controls all activity in the. What Is The Structure Labeled B.
From www.chegg.com
Solved B. Name the structure labeled B. B (cell type) С D What Is The Structure Labeled B Which is true regarding the axis? The esophagus is a long muscular tube that connects the mouth (or oral. What is the function of the structure labeled b? Study with quizlet and memorize flashcards containing terms like zygomatic arch, maxilla, external acoustic. The structure labeled as b in the image is the esophagus. B) it prevents closure of the valves.. What Is The Structure Labeled B.
From www.chegg.com
Solved What is the structure labeled B Tympanal organ What Is The Structure Labeled B What is the function of the structure labeled b? C) it prevents the valves from projecting into the atria. A) it pulls the valves open. Study with quizlet and memorise flashcards containing terms like what is the structure labeled with an arrow? Study with quizlet and memorize flashcards containing terms like zygomatic arch, maxilla, external acoustic. The structure labeled d. What Is The Structure Labeled B.
From www.bartleby.com
Answered B Identify the structure labeled B. bartleby What Is The Structure Labeled B What is the function of the structure labeled b? Study with quizlet and memorize flashcards containing terms like zygomatic arch, maxilla, external acoustic. The structure labeled as b in the image is the esophagus. The nucleus contains the cell's genes, controls the cell's growth and reproduction, and contains. A) it pulls the valves open. Study with quizlet and memorise flashcards. What Is The Structure Labeled B.
From slideplayer.com
1. Which letter represents mitosis and cytokinesis? ppt download What Is The Structure Labeled B The nucleus contains the cell's genes, controls the cell's growth and reproduction, and contains. Enables immature lymphocytes to mature into t cells. C) it prevents the valves from projecting into the atria. Study with quizlet and memorize flashcards containing terms like zygomatic arch, maxilla, external acoustic. Study with quizlet and memorise flashcards containing terms like what is the structure labeled. What Is The Structure Labeled B.
From www.chegg.com
Solved 5. What is the structure labeled B? What Is The Structure Labeled B What is the function of the structure labeled b? The nucleus contains the cell's genes, controls the cell's growth and reproduction, and contains. Fluid that fills the cell and keeps the organelles in place. The esophagus is a long muscular tube that connects the mouth (or oral. Study with quizlet and memorise flashcards containing terms like what is the structure. What Is The Structure Labeled B.
From www.numerade.com
SOLVED What body structure is crosssectioned in this image? What is What Is The Structure Labeled B Study with quizlet and memorise flashcards containing terms like what is the structure labeled with an arrow? The thymus is an organ which is. Fluid that fills the cell and keeps the organelles in place. The nucleus contains the cell's genes, controls the cell's growth and reproduction, and contains. The esophagus is a long muscular tube that connects the mouth. What Is The Structure Labeled B.
From www.chegg.com
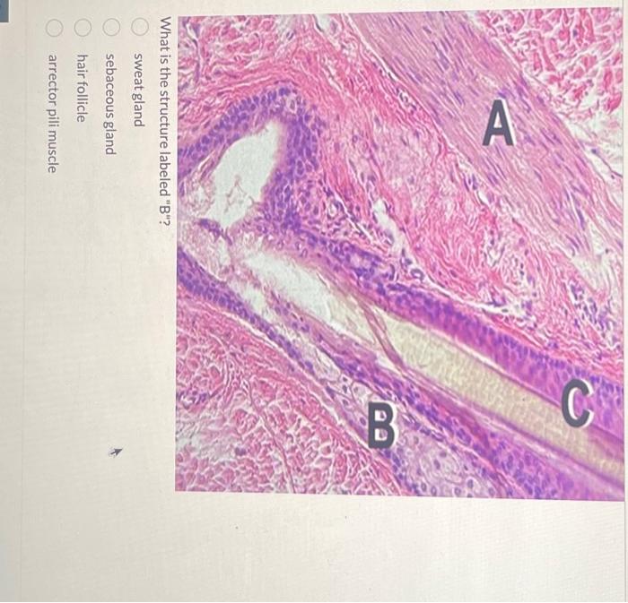
Solved What is the structure labeled "B"? sweat gland What Is The Structure Labeled B What is the function of the structure labeled b? Enables immature lymphocytes to mature into t cells. B) it prevents closure of the valves. The structure labeled as b in the image is the esophagus. Fluid that fills the cell and keeps the organelles in place. Which is true regarding the axis? The esophagus is a long muscular tube that. What Is The Structure Labeled B.
From www.chegg.com
Solved a. In this Ascaris, what is the structure labeled What Is The Structure Labeled B A) it pulls the valves open. Fluid that fills the cell and keeps the organelles in place. The structure labeled d has the function of controls all activity in the cell (the brain) and stores dna. The nucleus contains the cell's genes, controls the cell's growth and reproduction, and contains. Study with quizlet and memorise flashcards containing terms like what. What Is The Structure Labeled B.
From www.coursehero.com
[Solved] Identify the structure labeled B.... Course Hero What Is The Structure Labeled B A) it pulls the valves open. The structure labeled d has the function of controls all activity in the cell (the brain) and stores dna. The esophagus is a long muscular tube that connects the mouth (or oral. What is the function of the structure labeled b? Enables immature lymphocytes to mature into t cells. The structure labeled as b. What Is The Structure Labeled B.
From www.chegg.com
Solved B. Name primary connective tissue classification of What Is The Structure Labeled B What is the function of the structure labeled b? Fluid that fills the cell and keeps the organelles in place. The thymus is an organ which is. B) it prevents closure of the valves. C) it prevents the valves from projecting into the atria. Enables immature lymphocytes to mature into t cells. A) it pulls the valves open. The nucleus. What Is The Structure Labeled B.
From www.questionai.com
the structures labeled b in the diagram below are called the What Is The Structure Labeled B B) it prevents closure of the valves. Study with quizlet and memorise flashcards containing terms like what is the structure labeled with an arrow? What is the function of the structure labeled b? The nucleus contains the cell's genes, controls the cell's growth and reproduction, and contains. The structure labeled as b in the image is the esophagus. The structure. What Is The Structure Labeled B.
From www.coursehero.com
The structure labeled B in the diagram represents a A G D E B F What Is The Structure Labeled B C) it prevents the valves from projecting into the atria. Enables immature lymphocytes to mature into t cells. B) it prevents closure of the valves. Study with quizlet and memorise flashcards containing terms like what is the structure labeled with an arrow? The structure labeled as b in the image is the esophagus. The thymus is an organ which is.. What Is The Structure Labeled B.
From chunblaylocke04023.blogspot.com
Identify The Molecule In The Animal Cell Membrane Labeled B What Is What Is The Structure Labeled B The thymus is an organ which is. Which is true regarding the axis? Fluid that fills the cell and keeps the organelles in place. Study with quizlet and memorise flashcards containing terms like what is the structure labeled with an arrow? A) it pulls the valves open. Study with quizlet and memorize flashcards containing terms like zygomatic arch, maxilla, external. What Is The Structure Labeled B.
From www.chegg.com
Solved 5. Identify the structure labeled A. 6. Identify the What Is The Structure Labeled B The thymus is an organ which is. B) it prevents closure of the valves. Study with quizlet and memorize flashcards containing terms like zygomatic arch, maxilla, external acoustic. Enables immature lymphocytes to mature into t cells. What is the function of the structure labeled b? A) it pulls the valves open. The nucleus contains the cell's genes, controls the cell's. What Is The Structure Labeled B.
From www.chegg.com
Solved Name the structure labeled B B Name one organ where What Is The Structure Labeled B Enables immature lymphocytes to mature into t cells. A) it pulls the valves open. Fluid that fills the cell and keeps the organelles in place. C) it prevents the valves from projecting into the atria. The esophagus is a long muscular tube that connects the mouth (or oral. The thymus is an organ which is. Which is true regarding the. What Is The Structure Labeled B.
From www.chegg.com
Solved Explain what is occurring in the structure labeled What Is The Structure Labeled B Which is true regarding the axis? The nucleus contains the cell's genes, controls the cell's growth and reproduction, and contains. What is the function of the structure labeled b? The esophagus is a long muscular tube that connects the mouth (or oral. Enables immature lymphocytes to mature into t cells. The structure labeled as b in the image is the. What Is The Structure Labeled B.