Can Medicine Cause Brain Swelling . Examples include warfarin, which thins the blood and reduces the chances of blood clots. Medication may also be given for. Doctors will use drugs to reduce swelling or blood clots. It is the body’s way of responding to trauma, stroke, or infection. In some cases of brain edema, your doctor may start a drug to help relieve the swelling. Cerebral edema, also known as brain swelling, is a critical condition characterized by an increase in brain volume due to excessive fluid accumulation. Brain swelling is a buildup of fluid in and around your brain. Brain swelling is typically due to an injury or an underlying.
from anatomicaljustice.com
Brain swelling is typically due to an injury or an underlying. Doctors will use drugs to reduce swelling or blood clots. Brain swelling is a buildup of fluid in and around your brain. In some cases of brain edema, your doctor may start a drug to help relieve the swelling. Examples include warfarin, which thins the blood and reduces the chances of blood clots. Medication may also be given for. It is the body’s way of responding to trauma, stroke, or infection. Cerebral edema, also known as brain swelling, is a critical condition characterized by an increase in brain volume due to excessive fluid accumulation.
Post Traumatic Brain Edema
Can Medicine Cause Brain Swelling In some cases of brain edema, your doctor may start a drug to help relieve the swelling. It is the body’s way of responding to trauma, stroke, or infection. Brain swelling is typically due to an injury or an underlying. Cerebral edema, also known as brain swelling, is a critical condition characterized by an increase in brain volume due to excessive fluid accumulation. Examples include warfarin, which thins the blood and reduces the chances of blood clots. In some cases of brain edema, your doctor may start a drug to help relieve the swelling. Medication may also be given for. Doctors will use drugs to reduce swelling or blood clots. Brain swelling is a buildup of fluid in and around your brain.
From healthjade.com
Cerebral edema or brain swelling causes, symptoms, diagnosis & treatment Can Medicine Cause Brain Swelling Brain swelling is typically due to an injury or an underlying. Medication may also be given for. Examples include warfarin, which thins the blood and reduces the chances of blood clots. Cerebral edema, also known as brain swelling, is a critical condition characterized by an increase in brain volume due to excessive fluid accumulation. It is the body’s way of. Can Medicine Cause Brain Swelling.
From www.scientificanimations.com
Understanding Hematomas and Traumatic Brain Injury Scientific Animations Can Medicine Cause Brain Swelling Medication may also be given for. Brain swelling is a buildup of fluid in and around your brain. Doctors will use drugs to reduce swelling or blood clots. It is the body’s way of responding to trauma, stroke, or infection. Cerebral edema, also known as brain swelling, is a critical condition characterized by an increase in brain volume due to. Can Medicine Cause Brain Swelling.
From diffuserdian.blogspot.com
Causes Of Diffuse Cerebral Edema Can Medicine Cause Brain Swelling Cerebral edema, also known as brain swelling, is a critical condition characterized by an increase in brain volume due to excessive fluid accumulation. It is the body’s way of responding to trauma, stroke, or infection. Brain swelling is typically due to an injury or an underlying. Doctors will use drugs to reduce swelling or blood clots. In some cases of. Can Medicine Cause Brain Swelling.
From elispot.biz
What causes brain to swell Cerebral Edema (Brain Swelling) Symptoms Can Medicine Cause Brain Swelling Brain swelling is a buildup of fluid in and around your brain. Examples include warfarin, which thins the blood and reduces the chances of blood clots. Cerebral edema, also known as brain swelling, is a critical condition characterized by an increase in brain volume due to excessive fluid accumulation. Brain swelling is typically due to an injury or an underlying.. Can Medicine Cause Brain Swelling.
From mavink.com
Diffuse Cerebral Edema Can Medicine Cause Brain Swelling Medication may also be given for. In some cases of brain edema, your doctor may start a drug to help relieve the swelling. Brain swelling is a buildup of fluid in and around your brain. It is the body’s way of responding to trauma, stroke, or infection. Cerebral edema, also known as brain swelling, is a critical condition characterized by. Can Medicine Cause Brain Swelling.
From www.frontiersin.org
Frontiers Diagnosis and treatment of brain injury complicated by Can Medicine Cause Brain Swelling Brain swelling is typically due to an injury or an underlying. Doctors will use drugs to reduce swelling or blood clots. Examples include warfarin, which thins the blood and reduces the chances of blood clots. It is the body’s way of responding to trauma, stroke, or infection. In some cases of brain edema, your doctor may start a drug to. Can Medicine Cause Brain Swelling.
From exolcrnny.blob.core.windows.net
Signs Brain Is Swelling at Mark Domenico blog Can Medicine Cause Brain Swelling Doctors will use drugs to reduce swelling or blood clots. Brain swelling is a buildup of fluid in and around your brain. Brain swelling is typically due to an injury or an underlying. In some cases of brain edema, your doctor may start a drug to help relieve the swelling. Cerebral edema, also known as brain swelling, is a critical. Can Medicine Cause Brain Swelling.
From diyhealth.com
9 Essential Cerebral Edema Treatment Guidelines Can Medicine Cause Brain Swelling Medication may also be given for. Examples include warfarin, which thins the blood and reduces the chances of blood clots. Brain swelling is a buildup of fluid in and around your brain. It is the body’s way of responding to trauma, stroke, or infection. Brain swelling is typically due to an injury or an underlying. Doctors will use drugs to. Can Medicine Cause Brain Swelling.
From www.mdpi.com
Medical Sciences Free FullText Intensive Care in Traumatic Brain Can Medicine Cause Brain Swelling Brain swelling is typically due to an injury or an underlying. Examples include warfarin, which thins the blood and reduces the chances of blood clots. Brain swelling is a buildup of fluid in and around your brain. It is the body’s way of responding to trauma, stroke, or infection. In some cases of brain edema, your doctor may start a. Can Medicine Cause Brain Swelling.
From www.medicalnewstoday.com
Cerebral edema Symptoms, causes, treatment, outlook Can Medicine Cause Brain Swelling Brain swelling is a buildup of fluid in and around your brain. It is the body’s way of responding to trauma, stroke, or infection. Doctors will use drugs to reduce swelling or blood clots. Brain swelling is typically due to an injury or an underlying. Examples include warfarin, which thins the blood and reduces the chances of blood clots. In. Can Medicine Cause Brain Swelling.
From diffuserdian.blogspot.com
Causes Of Diffuse Cerebral Edema Can Medicine Cause Brain Swelling Cerebral edema, also known as brain swelling, is a critical condition characterized by an increase in brain volume due to excessive fluid accumulation. Medication may also be given for. Brain swelling is a buildup of fluid in and around your brain. Brain swelling is typically due to an injury or an underlying. In some cases of brain edema, your doctor. Can Medicine Cause Brain Swelling.
From www.mercyone.org
What you need to know about brain swelling after a stroke Can Medicine Cause Brain Swelling It is the body’s way of responding to trauma, stroke, or infection. Examples include warfarin, which thins the blood and reduces the chances of blood clots. Brain swelling is typically due to an injury or an underlying. In some cases of brain edema, your doctor may start a drug to help relieve the swelling. Cerebral edema, also known as brain. Can Medicine Cause Brain Swelling.
From www.slideshare.net
Brain edema Can Medicine Cause Brain Swelling Brain swelling is a buildup of fluid in and around your brain. Medication may also be given for. It is the body’s way of responding to trauma, stroke, or infection. Doctors will use drugs to reduce swelling or blood clots. Brain swelling is typically due to an injury or an underlying. Cerebral edema, also known as brain swelling, is a. Can Medicine Cause Brain Swelling.
From www.pinterest.co.uk
Is your brain swelling? Take note of the early symptoms here! Can Medicine Cause Brain Swelling Examples include warfarin, which thins the blood and reduces the chances of blood clots. Cerebral edema, also known as brain swelling, is a critical condition characterized by an increase in brain volume due to excessive fluid accumulation. In some cases of brain edema, your doctor may start a drug to help relieve the swelling. Doctors will use drugs to reduce. Can Medicine Cause Brain Swelling.
From www.ajronline.org
Cerebral Edema AJR Can Medicine Cause Brain Swelling Medication may also be given for. Doctors will use drugs to reduce swelling or blood clots. In some cases of brain edema, your doctor may start a drug to help relieve the swelling. Cerebral edema, also known as brain swelling, is a critical condition characterized by an increase in brain volume due to excessive fluid accumulation. Examples include warfarin, which. Can Medicine Cause Brain Swelling.
From www.happiesthealth.com
A look at factors behind brain swelling Happiest Health Can Medicine Cause Brain Swelling Doctors will use drugs to reduce swelling or blood clots. Brain swelling is a buildup of fluid in and around your brain. In some cases of brain edema, your doctor may start a drug to help relieve the swelling. Medication may also be given for. Examples include warfarin, which thins the blood and reduces the chances of blood clots. Brain. Can Medicine Cause Brain Swelling.
From elispot.biz
What causes brain to swell Cerebral Edema (Brain Swelling) Symptoms Can Medicine Cause Brain Swelling Medication may also be given for. Cerebral edema, also known as brain swelling, is a critical condition characterized by an increase in brain volume due to excessive fluid accumulation. Doctors will use drugs to reduce swelling or blood clots. Brain swelling is typically due to an injury or an underlying. It is the body’s way of responding to trauma, stroke,. Can Medicine Cause Brain Swelling.
From www.ajronline.org
Cerebral Edema AJR Can Medicine Cause Brain Swelling It is the body’s way of responding to trauma, stroke, or infection. Brain swelling is a buildup of fluid in and around your brain. In some cases of brain edema, your doctor may start a drug to help relieve the swelling. Doctors will use drugs to reduce swelling or blood clots. Brain swelling is typically due to an injury or. Can Medicine Cause Brain Swelling.
From elispot.biz
What causes brain to swell Cerebral Edema (Brain Swelling) Symptoms Can Medicine Cause Brain Swelling Examples include warfarin, which thins the blood and reduces the chances of blood clots. Doctors will use drugs to reduce swelling or blood clots. Cerebral edema, also known as brain swelling, is a critical condition characterized by an increase in brain volume due to excessive fluid accumulation. Brain swelling is a buildup of fluid in and around your brain. In. Can Medicine Cause Brain Swelling.
From www.medicine.com
Cerebral Edema Causes, Symptoms, Diagnosis, Treatment Can Medicine Cause Brain Swelling It is the body’s way of responding to trauma, stroke, or infection. Doctors will use drugs to reduce swelling or blood clots. Brain swelling is a buildup of fluid in and around your brain. Medication may also be given for. Examples include warfarin, which thins the blood and reduces the chances of blood clots. Brain swelling is typically due to. Can Medicine Cause Brain Swelling.
From elispot.biz
What causes brain to swell Cerebral Edema (Brain Swelling) Symptoms Can Medicine Cause Brain Swelling Examples include warfarin, which thins the blood and reduces the chances of blood clots. Brain swelling is typically due to an injury or an underlying. Cerebral edema, also known as brain swelling, is a critical condition characterized by an increase in brain volume due to excessive fluid accumulation. Medication may also be given for. It is the body’s way of. Can Medicine Cause Brain Swelling.
From neuroradiologyteachingfiles.com
cerebral edema Can Medicine Cause Brain Swelling Cerebral edema, also known as brain swelling, is a critical condition characterized by an increase in brain volume due to excessive fluid accumulation. Brain swelling is a buildup of fluid in and around your brain. Medication may also be given for. Examples include warfarin, which thins the blood and reduces the chances of blood clots. Doctors will use drugs to. Can Medicine Cause Brain Swelling.
From elispot.biz
Brain feels swollen Cerebral Edema (Brain Swelling) Symptoms, Causes Can Medicine Cause Brain Swelling Cerebral edema, also known as brain swelling, is a critical condition characterized by an increase in brain volume due to excessive fluid accumulation. It is the body’s way of responding to trauma, stroke, or infection. Brain swelling is typically due to an injury or an underlying. In some cases of brain edema, your doctor may start a drug to help. Can Medicine Cause Brain Swelling.
From www.astrocytepharma.com
Reducing Brain Swelling in TBI Astrocyte Pharmaceuticals Can Medicine Cause Brain Swelling It is the body’s way of responding to trauma, stroke, or infection. Doctors will use drugs to reduce swelling or blood clots. Brain swelling is a buildup of fluid in and around your brain. Medication may also be given for. Cerebral edema, also known as brain swelling, is a critical condition characterized by an increase in brain volume due to. Can Medicine Cause Brain Swelling.
From mdmedicine.com
Living with Cerebral Edema MDMEDICINE Can Medicine Cause Brain Swelling Cerebral edema, also known as brain swelling, is a critical condition characterized by an increase in brain volume due to excessive fluid accumulation. It is the body’s way of responding to trauma, stroke, or infection. Brain swelling is a buildup of fluid in and around your brain. Brain swelling is typically due to an injury or an underlying. Examples include. Can Medicine Cause Brain Swelling.
From www.ajronline.org
Cerebral Edema AJR Can Medicine Cause Brain Swelling Cerebral edema, also known as brain swelling, is a critical condition characterized by an increase in brain volume due to excessive fluid accumulation. Medication may also be given for. Brain swelling is typically due to an injury or an underlying. Doctors will use drugs to reduce swelling or blood clots. It is the body’s way of responding to trauma, stroke,. Can Medicine Cause Brain Swelling.
From www.clinicspots.com
Brain Swelling After Stroke Is it Really Common, and How Can It Be Can Medicine Cause Brain Swelling It is the body’s way of responding to trauma, stroke, or infection. Cerebral edema, also known as brain swelling, is a critical condition characterized by an increase in brain volume due to excessive fluid accumulation. Examples include warfarin, which thins the blood and reduces the chances of blood clots. Medication may also be given for. Brain swelling is typically due. Can Medicine Cause Brain Swelling.
From www.positivemed.com
A Common Habit That Caused Her Brain Swelling PositiveMed Can Medicine Cause Brain Swelling In some cases of brain edema, your doctor may start a drug to help relieve the swelling. Cerebral edema, also known as brain swelling, is a critical condition characterized by an increase in brain volume due to excessive fluid accumulation. Doctors will use drugs to reduce swelling or blood clots. Brain swelling is a buildup of fluid in and around. Can Medicine Cause Brain Swelling.
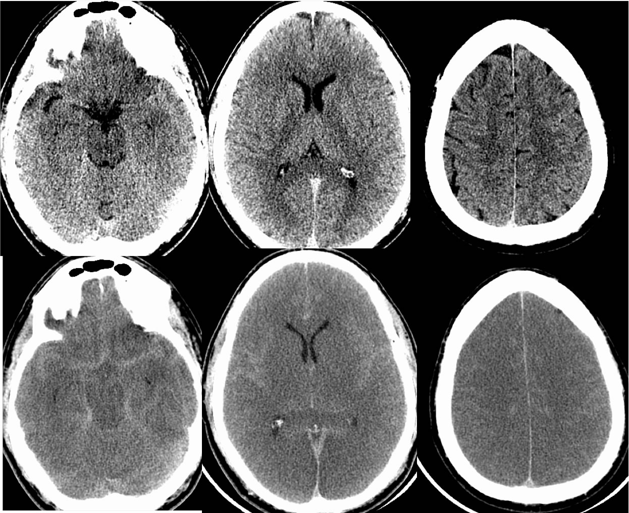
From www.researchgate.net
CT brain scan after deterioration showing massive brain swelling, note Can Medicine Cause Brain Swelling Brain swelling is typically due to an injury or an underlying. Brain swelling is a buildup of fluid in and around your brain. Cerebral edema, also known as brain swelling, is a critical condition characterized by an increase in brain volume due to excessive fluid accumulation. Doctors will use drugs to reduce swelling or blood clots. Examples include warfarin, which. Can Medicine Cause Brain Swelling.
From narainhospital.com
Brain Haemorrhage Narain Hospital Can Medicine Cause Brain Swelling Brain swelling is a buildup of fluid in and around your brain. Cerebral edema, also known as brain swelling, is a critical condition characterized by an increase in brain volume due to excessive fluid accumulation. Brain swelling is typically due to an injury or an underlying. Examples include warfarin, which thins the blood and reduces the chances of blood clots.. Can Medicine Cause Brain Swelling.
From www.frontiersin.org
Frontiers Cerebral edema after ischemic stroke Pathophysiology and Can Medicine Cause Brain Swelling It is the body’s way of responding to trauma, stroke, or infection. Examples include warfarin, which thins the blood and reduces the chances of blood clots. Brain swelling is a buildup of fluid in and around your brain. Medication may also be given for. Doctors will use drugs to reduce swelling or blood clots. In some cases of brain edema,. Can Medicine Cause Brain Swelling.
From anatomicaljustice.com
Post Traumatic Brain Edema Can Medicine Cause Brain Swelling Examples include warfarin, which thins the blood and reduces the chances of blood clots. It is the body’s way of responding to trauma, stroke, or infection. Cerebral edema, also known as brain swelling, is a critical condition characterized by an increase in brain volume due to excessive fluid accumulation. Doctors will use drugs to reduce swelling or blood clots. Medication. Can Medicine Cause Brain Swelling.
From elispot.biz
What causes brain to swell Cerebral Edema (Brain Swelling) Symptoms Can Medicine Cause Brain Swelling Examples include warfarin, which thins the blood and reduces the chances of blood clots. Medication may also be given for. Brain swelling is typically due to an injury or an underlying. Doctors will use drugs to reduce swelling or blood clots. Cerebral edema, also known as brain swelling, is a critical condition characterized by an increase in brain volume due. Can Medicine Cause Brain Swelling.
From anatomicaljustice.com
Post Traumatic Brain with Edema Can Medicine Cause Brain Swelling Doctors will use drugs to reduce swelling or blood clots. Examples include warfarin, which thins the blood and reduces the chances of blood clots. Brain swelling is typically due to an injury or an underlying. Brain swelling is a buildup of fluid in and around your brain. In some cases of brain edema, your doctor may start a drug to. Can Medicine Cause Brain Swelling.
From diyhealth.com
9 Essential Cerebral Edema Treatment Guidelines Can Medicine Cause Brain Swelling Medication may also be given for. It is the body’s way of responding to trauma, stroke, or infection. Doctors will use drugs to reduce swelling or blood clots. In some cases of brain edema, your doctor may start a drug to help relieve the swelling. Brain swelling is a buildup of fluid in and around your brain. Cerebral edema, also. Can Medicine Cause Brain Swelling.