Nutcracker Syndrome Back Pain . Patients can be referred to a vascular surgeon due to symptoms and/or radiologic findings. It is a rare clinical entity, although probably underdiagnosed. Nutcracker syndrome (ncs) is an extrinsic compression of the left renal vein (lrv) by the superior mesenteric artery (sma). This phenomenon can cause abdominal or low back pain and hematuria. The nutcracker syndrome is a rare and often unrecognized cause of chronic pelvic pain and left back pain. Left renal vein (lrv) compression resulting in signs and symptoms is commonly known as nutcracker syndrome. Nutcracker syndrome (ncs) is a rare condition characterized by a group of clinical manifestations, like hematuria and pain, and is. Anatomic compression of the left renal vein in the angle between the aorta and superior mesenteric artery may be asymptomatic or may result in symptoms, including flank pain, hematuria, or pelvic pain and/or congestion. The nutcracker syndrome is characterized by a group of clinical manifestations caused by compression of the.
from www.researchgate.net
This phenomenon can cause abdominal or low back pain and hematuria. The nutcracker syndrome is characterized by a group of clinical manifestations caused by compression of the. Anatomic compression of the left renal vein in the angle between the aorta and superior mesenteric artery may be asymptomatic or may result in symptoms, including flank pain, hematuria, or pelvic pain and/or congestion. Nutcracker syndrome (ncs) is a rare condition characterized by a group of clinical manifestations, like hematuria and pain, and is. The nutcracker syndrome is a rare and often unrecognized cause of chronic pelvic pain and left back pain. Nutcracker syndrome (ncs) is an extrinsic compression of the left renal vein (lrv) by the superior mesenteric artery (sma). Patients can be referred to a vascular surgeon due to symptoms and/or radiologic findings. It is a rare clinical entity, although probably underdiagnosed. Left renal vein (lrv) compression resulting in signs and symptoms is commonly known as nutcracker syndrome.
Clinical features and treatment modalities for nutcracker syndrome
Nutcracker Syndrome Back Pain This phenomenon can cause abdominal or low back pain and hematuria. Anatomic compression of the left renal vein in the angle between the aorta and superior mesenteric artery may be asymptomatic or may result in symptoms, including flank pain, hematuria, or pelvic pain and/or congestion. It is a rare clinical entity, although probably underdiagnosed. Left renal vein (lrv) compression resulting in signs and symptoms is commonly known as nutcracker syndrome. This phenomenon can cause abdominal or low back pain and hematuria. Patients can be referred to a vascular surgeon due to symptoms and/or radiologic findings. The nutcracker syndrome is characterized by a group of clinical manifestations caused by compression of the. Nutcracker syndrome (ncs) is a rare condition characterized by a group of clinical manifestations, like hematuria and pain, and is. The nutcracker syndrome is a rare and often unrecognized cause of chronic pelvic pain and left back pain. Nutcracker syndrome (ncs) is an extrinsic compression of the left renal vein (lrv) by the superior mesenteric artery (sma).
From www.scgvs.com
Nutcracker Syndrome Charlotte, NC South Charlotte General and Nutcracker Syndrome Back Pain Nutcracker syndrome (ncs) is an extrinsic compression of the left renal vein (lrv) by the superior mesenteric artery (sma). Left renal vein (lrv) compression resulting in signs and symptoms is commonly known as nutcracker syndrome. It is a rare clinical entity, although probably underdiagnosed. This phenomenon can cause abdominal or low back pain and hematuria. Anatomic compression of the left. Nutcracker Syndrome Back Pain.
From www.researchgate.net
CT angiography of a patient with "the nutcracker syndrome" Download Nutcracker Syndrome Back Pain Nutcracker syndrome (ncs) is an extrinsic compression of the left renal vein (lrv) by the superior mesenteric artery (sma). The nutcracker syndrome is a rare and often unrecognized cause of chronic pelvic pain and left back pain. Nutcracker syndrome (ncs) is a rare condition characterized by a group of clinical manifestations, like hematuria and pain, and is. This phenomenon can. Nutcracker Syndrome Back Pain.
From www.veinspecialists.com
Nutcracker Syndrome 2 Vein Specialists of the South Nutcracker Syndrome Back Pain Anatomic compression of the left renal vein in the angle between the aorta and superior mesenteric artery may be asymptomatic or may result in symptoms, including flank pain, hematuria, or pelvic pain and/or congestion. The nutcracker syndrome is a rare and often unrecognized cause of chronic pelvic pain and left back pain. Nutcracker syndrome (ncs) is an extrinsic compression of. Nutcracker Syndrome Back Pain.
From radiopaedia.org
Nutcracker syndrome Image Nutcracker Syndrome Back Pain The nutcracker syndrome is a rare and often unrecognized cause of chronic pelvic pain and left back pain. The nutcracker syndrome is characterized by a group of clinical manifestations caused by compression of the. Nutcracker syndrome (ncs) is a rare condition characterized by a group of clinical manifestations, like hematuria and pain, and is. This phenomenon can cause abdominal or. Nutcracker Syndrome Back Pain.
From appliedradiology.com
Posterior Nutcracker Syndrome with Left Renal Vein Duplication Nutcracker Syndrome Back Pain Nutcracker syndrome (ncs) is a rare condition characterized by a group of clinical manifestations, like hematuria and pain, and is. The nutcracker syndrome is a rare and often unrecognized cause of chronic pelvic pain and left back pain. Anatomic compression of the left renal vein in the angle between the aorta and superior mesenteric artery may be asymptomatic or may. Nutcracker Syndrome Back Pain.
From casereports.bmj.com
An easily missed diagnosis flank pain and nutcracker syndrome BMJ Nutcracker Syndrome Back Pain It is a rare clinical entity, although probably underdiagnosed. Nutcracker syndrome (ncs) is an extrinsic compression of the left renal vein (lrv) by the superior mesenteric artery (sma). Left renal vein (lrv) compression resulting in signs and symptoms is commonly known as nutcracker syndrome. Anatomic compression of the left renal vein in the angle between the aorta and superior mesenteric. Nutcracker Syndrome Back Pain.
From pubs.rsna.org
CT Angiography of Posterior Nutcracker Syndrome Radiology Nutcracker Syndrome Back Pain Nutcracker syndrome (ncs) is an extrinsic compression of the left renal vein (lrv) by the superior mesenteric artery (sma). Anatomic compression of the left renal vein in the angle between the aorta and superior mesenteric artery may be asymptomatic or may result in symptoms, including flank pain, hematuria, or pelvic pain and/or congestion. It is a rare clinical entity, although. Nutcracker Syndrome Back Pain.
From www.semanticscholar.org
Table 1 from Nutcracker Syndrome A Cause of Hematuria and Low Back Nutcracker Syndrome Back Pain The nutcracker syndrome is a rare and often unrecognized cause of chronic pelvic pain and left back pain. Nutcracker syndrome (ncs) is a rare condition characterized by a group of clinical manifestations, like hematuria and pain, and is. Anatomic compression of the left renal vein in the angle between the aorta and superior mesenteric artery may be asymptomatic or may. Nutcracker Syndrome Back Pain.
From vascularcarecentre.com
Nutcracker phenomenon and syndrome Vascular Care Centre Nutcracker Syndrome Back Pain Left renal vein (lrv) compression resulting in signs and symptoms is commonly known as nutcracker syndrome. Patients can be referred to a vascular surgeon due to symptoms and/or radiologic findings. Anatomic compression of the left renal vein in the angle between the aorta and superior mesenteric artery may be asymptomatic or may result in symptoms, including flank pain, hematuria, or. Nutcracker Syndrome Back Pain.
From www.jvsvenous.org
Endovascular treatment of posterior nutcracker syndrome with a new Nutcracker Syndrome Back Pain Patients can be referred to a vascular surgeon due to symptoms and/or radiologic findings. The nutcracker syndrome is characterized by a group of clinical manifestations caused by compression of the. The nutcracker syndrome is a rare and often unrecognized cause of chronic pelvic pain and left back pain. Nutcracker syndrome (ncs) is an extrinsic compression of the left renal vein. Nutcracker Syndrome Back Pain.
From radiopaedia.org
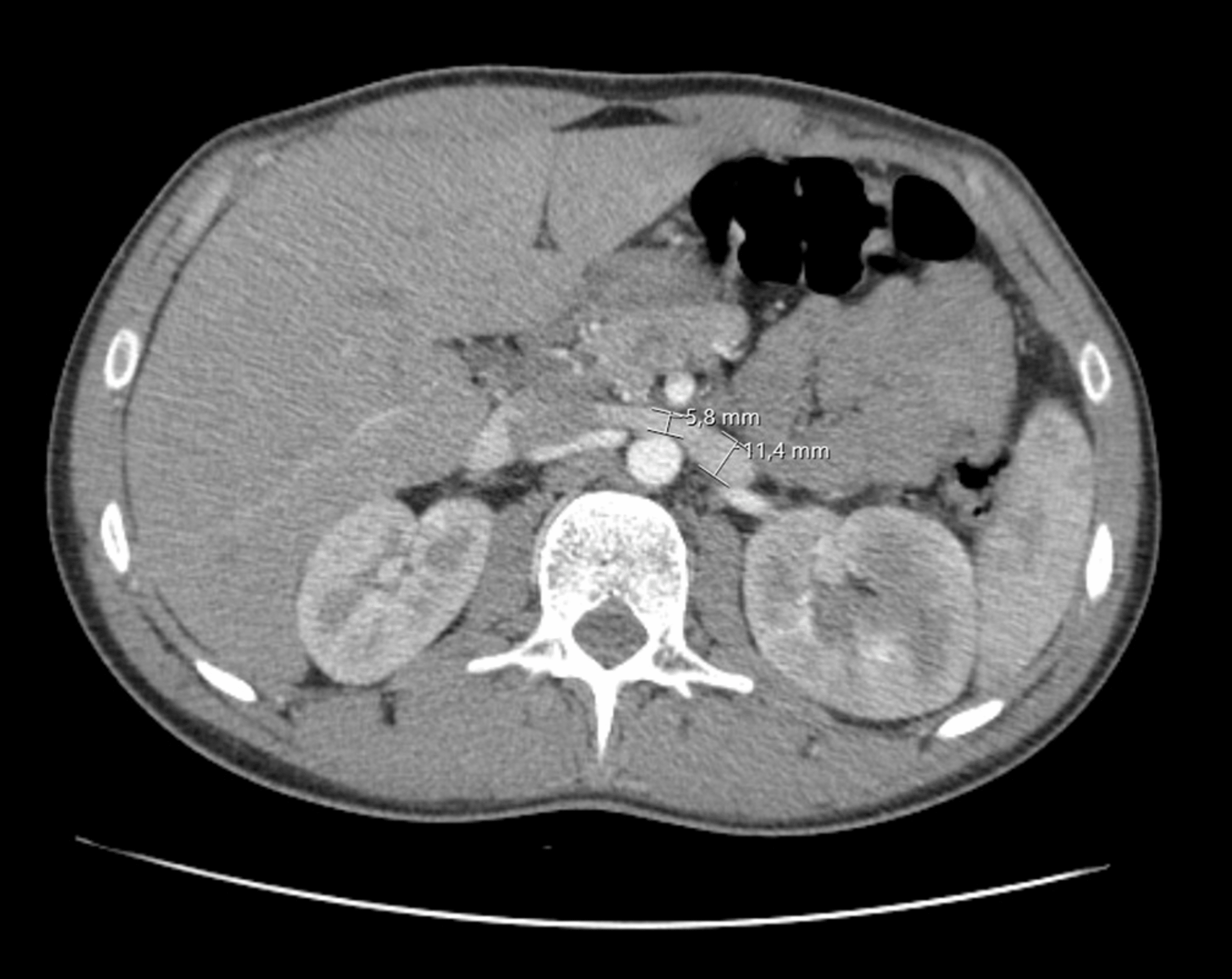
Nutcracker syndrome (annotated CT) Image Nutcracker Syndrome Back Pain Patients can be referred to a vascular surgeon due to symptoms and/or radiologic findings. Anatomic compression of the left renal vein in the angle between the aorta and superior mesenteric artery may be asymptomatic or may result in symptoms, including flank pain, hematuria, or pelvic pain and/or congestion. It is a rare clinical entity, although probably underdiagnosed. Nutcracker syndrome (ncs). Nutcracker Syndrome Back Pain.
From sonographictendencies.com
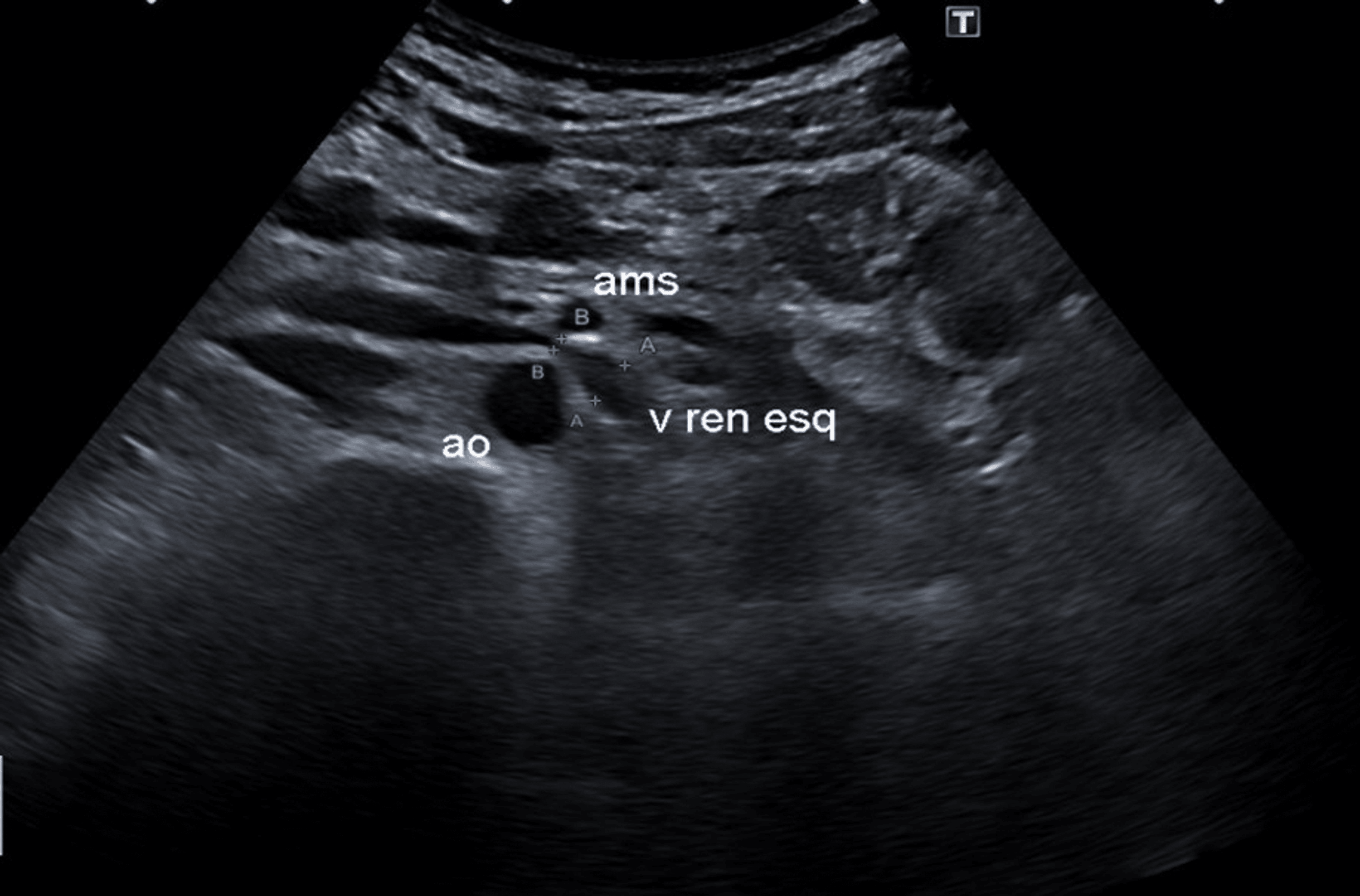
Nutcracker Phenomenon/Syndrome Sonographic Tendencies Nutcracker Syndrome Back Pain Patients can be referred to a vascular surgeon due to symptoms and/or radiologic findings. Nutcracker syndrome (ncs) is a rare condition characterized by a group of clinical manifestations, like hematuria and pain, and is. It is a rare clinical entity, although probably underdiagnosed. Left renal vein (lrv) compression resulting in signs and symptoms is commonly known as nutcracker syndrome. This. Nutcracker Syndrome Back Pain.
From radiopaedia.org
Nutcracker syndrome Image Nutcracker Syndrome Back Pain Patients can be referred to a vascular surgeon due to symptoms and/or radiologic findings. Nutcracker syndrome (ncs) is an extrinsic compression of the left renal vein (lrv) by the superior mesenteric artery (sma). It is a rare clinical entity, although probably underdiagnosed. Nutcracker syndrome (ncs) is a rare condition characterized by a group of clinical manifestations, like hematuria and pain,. Nutcracker Syndrome Back Pain.
From radiopaedia.org
Nutcracker syndrome Image Nutcracker Syndrome Back Pain The nutcracker syndrome is a rare and often unrecognized cause of chronic pelvic pain and left back pain. Nutcracker syndrome (ncs) is an extrinsic compression of the left renal vein (lrv) by the superior mesenteric artery (sma). Patients can be referred to a vascular surgeon due to symptoms and/or radiologic findings. Left renal vein (lrv) compression resulting in signs and. Nutcracker Syndrome Back Pain.
From www.scgvs.com
Nutcracker Syndrome Charlotte, NC South Charlotte General and Nutcracker Syndrome Back Pain Left renal vein (lrv) compression resulting in signs and symptoms is commonly known as nutcracker syndrome. Anatomic compression of the left renal vein in the angle between the aorta and superior mesenteric artery may be asymptomatic or may result in symptoms, including flank pain, hematuria, or pelvic pain and/or congestion. The nutcracker syndrome is characterized by a group of clinical. Nutcracker Syndrome Back Pain.
From onlinelibrary.wiley.com
Breaking open the case of one patient's acute left flank pain Nutcracker Syndrome Back Pain It is a rare clinical entity, although probably underdiagnosed. Patients can be referred to a vascular surgeon due to symptoms and/or radiologic findings. Nutcracker syndrome (ncs) is a rare condition characterized by a group of clinical manifestations, like hematuria and pain, and is. Nutcracker syndrome (ncs) is an extrinsic compression of the left renal vein (lrv) by the superior mesenteric. Nutcracker Syndrome Back Pain.
From veinscarolina.com
Nutcracker Syndrome Archives Vein Specialists of the Carolinas Nutcracker Syndrome Back Pain Patients can be referred to a vascular surgeon due to symptoms and/or radiologic findings. Left renal vein (lrv) compression resulting in signs and symptoms is commonly known as nutcracker syndrome. Nutcracker syndrome (ncs) is a rare condition characterized by a group of clinical manifestations, like hematuria and pain, and is. This phenomenon can cause abdominal or low back pain and. Nutcracker Syndrome Back Pain.
From www.annalsofvascularsurgery.com
The Nutcracker Syndrome Annals of Vascular Surgery Nutcracker Syndrome Back Pain This phenomenon can cause abdominal or low back pain and hematuria. Nutcracker syndrome (ncs) is a rare condition characterized by a group of clinical manifestations, like hematuria and pain, and is. The nutcracker syndrome is a rare and often unrecognized cause of chronic pelvic pain and left back pain. Left renal vein (lrv) compression resulting in signs and symptoms is. Nutcracker Syndrome Back Pain.
From casereports.bmj.com
An easily missed diagnosis flank pain and nutcracker syndrome BMJ Nutcracker Syndrome Back Pain The nutcracker syndrome is characterized by a group of clinical manifestations caused by compression of the. The nutcracker syndrome is a rare and often unrecognized cause of chronic pelvic pain and left back pain. Patients can be referred to a vascular surgeon due to symptoms and/or radiologic findings. Nutcracker syndrome (ncs) is a rare condition characterized by a group of. Nutcracker Syndrome Back Pain.
From www.animalia-life.club
Nutcracker Syndrome Causes Nutcracker Syndrome Back Pain It is a rare clinical entity, although probably underdiagnosed. Left renal vein (lrv) compression resulting in signs and symptoms is commonly known as nutcracker syndrome. Patients can be referred to a vascular surgeon due to symptoms and/or radiologic findings. This phenomenon can cause abdominal or low back pain and hematuria. The nutcracker syndrome is characterized by a group of clinical. Nutcracker Syndrome Back Pain.
From www.cureus.com
Nutcracker Syndrome A Cause of Hematuria and Low Back Pain in Young Nutcracker Syndrome Back Pain Nutcracker syndrome (ncs) is an extrinsic compression of the left renal vein (lrv) by the superior mesenteric artery (sma). Nutcracker syndrome (ncs) is a rare condition characterized by a group of clinical manifestations, like hematuria and pain, and is. Left renal vein (lrv) compression resulting in signs and symptoms is commonly known as nutcracker syndrome. Anatomic compression of the left. Nutcracker Syndrome Back Pain.
From www.actionnews5.com
Best Life Nutcracker syndrome surgery takes the squeeze away Nutcracker Syndrome Back Pain Patients can be referred to a vascular surgeon due to symptoms and/or radiologic findings. Nutcracker syndrome (ncs) is a rare condition characterized by a group of clinical manifestations, like hematuria and pain, and is. Left renal vein (lrv) compression resulting in signs and symptoms is commonly known as nutcracker syndrome. Nutcracker syndrome (ncs) is an extrinsic compression of the left. Nutcracker Syndrome Back Pain.
From medizzy.com
Nutcracker syndrome MEDizzy Nutcracker Syndrome Back Pain Anatomic compression of the left renal vein in the angle between the aorta and superior mesenteric artery may be asymptomatic or may result in symptoms, including flank pain, hematuria, or pelvic pain and/or congestion. Patients can be referred to a vascular surgeon due to symptoms and/or radiologic findings. The nutcracker syndrome is characterized by a group of clinical manifestations caused. Nutcracker Syndrome Back Pain.
From www.mdpi.com
Children Free FullText Diagnostic Clues in Pediatric Nutcracker Nutcracker Syndrome Back Pain It is a rare clinical entity, although probably underdiagnosed. Patients can be referred to a vascular surgeon due to symptoms and/or radiologic findings. The nutcracker syndrome is characterized by a group of clinical manifestations caused by compression of the. Nutcracker syndrome (ncs) is an extrinsic compression of the left renal vein (lrv) by the superior mesenteric artery (sma). Nutcracker syndrome. Nutcracker Syndrome Back Pain.
From www.researchgate.net
(PDF) Nutcracker Syndrome A Cause of Hematuria and Low Back Pain in Nutcracker Syndrome Back Pain The nutcracker syndrome is characterized by a group of clinical manifestations caused by compression of the. Nutcracker syndrome (ncs) is a rare condition characterized by a group of clinical manifestations, like hematuria and pain, and is. This phenomenon can cause abdominal or low back pain and hematuria. The nutcracker syndrome is a rare and often unrecognized cause of chronic pelvic. Nutcracker Syndrome Back Pain.
From vascsurg.me
Nutcracker Syndrome A Surgeon's Notes Nutcracker Syndrome Back Pain Nutcracker syndrome (ncs) is a rare condition characterized by a group of clinical manifestations, like hematuria and pain, and is. Nutcracker syndrome (ncs) is an extrinsic compression of the left renal vein (lrv) by the superior mesenteric artery (sma). Left renal vein (lrv) compression resulting in signs and symptoms is commonly known as nutcracker syndrome. The nutcracker syndrome is a. Nutcracker Syndrome Back Pain.
From radiopaedia.org
Nutcracker syndrome Image Nutcracker Syndrome Back Pain It is a rare clinical entity, although probably underdiagnosed. The nutcracker syndrome is a rare and often unrecognized cause of chronic pelvic pain and left back pain. The nutcracker syndrome is characterized by a group of clinical manifestations caused by compression of the. Nutcracker syndrome (ncs) is an extrinsic compression of the left renal vein (lrv) by the superior mesenteric. Nutcracker Syndrome Back Pain.
From www.researchgate.net
Clinical features and treatment modalities for nutcracker syndrome Nutcracker Syndrome Back Pain This phenomenon can cause abdominal or low back pain and hematuria. Left renal vein (lrv) compression resulting in signs and symptoms is commonly known as nutcracker syndrome. Anatomic compression of the left renal vein in the angle between the aorta and superior mesenteric artery may be asymptomatic or may result in symptoms, including flank pain, hematuria, or pelvic pain and/or. Nutcracker Syndrome Back Pain.
From www.cureus.com
Nutcracker Syndrome A Cause of Hematuria and Low Back Pain in Young Nutcracker Syndrome Back Pain It is a rare clinical entity, although probably underdiagnosed. Nutcracker syndrome (ncs) is a rare condition characterized by a group of clinical manifestations, like hematuria and pain, and is. Anatomic compression of the left renal vein in the angle between the aorta and superior mesenteric artery may be asymptomatic or may result in symptoms, including flank pain, hematuria, or pelvic. Nutcracker Syndrome Back Pain.
From angiologist.com
Nutcracker syndrome Definition, Symptoms and Treatment Nutcracker Syndrome Back Pain Patients can be referred to a vascular surgeon due to symptoms and/or radiologic findings. Anatomic compression of the left renal vein in the angle between the aorta and superior mesenteric artery may be asymptomatic or may result in symptoms, including flank pain, hematuria, or pelvic pain and/or congestion. The nutcracker syndrome is a rare and often unrecognized cause of chronic. Nutcracker Syndrome Back Pain.
From sonographictendencies.com
Nutcracker Phenomenon/Syndrome Sonographic Tendencies Nutcracker Syndrome Back Pain Patients can be referred to a vascular surgeon due to symptoms and/or radiologic findings. Nutcracker syndrome (ncs) is an extrinsic compression of the left renal vein (lrv) by the superior mesenteric artery (sma). It is a rare clinical entity, although probably underdiagnosed. The nutcracker syndrome is a rare and often unrecognized cause of chronic pelvic pain and left back pain.. Nutcracker Syndrome Back Pain.
From laurelclinical.com.au
What is Nutcracker Syndrome? Laurel Clinical Nutcracker Syndrome Back Pain Nutcracker syndrome (ncs) is a rare condition characterized by a group of clinical manifestations, like hematuria and pain, and is. This phenomenon can cause abdominal or low back pain and hematuria. Anatomic compression of the left renal vein in the angle between the aorta and superior mesenteric artery may be asymptomatic or may result in symptoms, including flank pain, hematuria,. Nutcracker Syndrome Back Pain.
From www.cureus.com
Cureus Atypical Posterior Nutcracker Syndrome in a 17YearOld Male Nutcracker Syndrome Back Pain This phenomenon can cause abdominal or low back pain and hematuria. Anatomic compression of the left renal vein in the angle between the aorta and superior mesenteric artery may be asymptomatic or may result in symptoms, including flank pain, hematuria, or pelvic pain and/or congestion. Patients can be referred to a vascular surgeon due to symptoms and/or radiologic findings. Nutcracker. Nutcracker Syndrome Back Pain.
From www.researchgate.net
(PDF) Nutcracker syndrome A rare cause of chronic pelvic pain and left Nutcracker Syndrome Back Pain Nutcracker syndrome (ncs) is an extrinsic compression of the left renal vein (lrv) by the superior mesenteric artery (sma). The nutcracker syndrome is a rare and often unrecognized cause of chronic pelvic pain and left back pain. It is a rare clinical entity, although probably underdiagnosed. The nutcracker syndrome is characterized by a group of clinical manifestations caused by compression. Nutcracker Syndrome Back Pain.
From www.jvascsurg.org
A new variant of the posterior nutcracker phenomenon Journal of Nutcracker Syndrome Back Pain Left renal vein (lrv) compression resulting in signs and symptoms is commonly known as nutcracker syndrome. The nutcracker syndrome is characterized by a group of clinical manifestations caused by compression of the. The nutcracker syndrome is a rare and often unrecognized cause of chronic pelvic pain and left back pain. Anatomic compression of the left renal vein in the angle. Nutcracker Syndrome Back Pain.