Jejunal Interposition Esophagectomy . The supercharged pedicled jejunal interposition is another acceptable conduit alternative to the stomach. Any region of the esophagus can be replaced by jejunum, whether it is distal. Jejunal interposition is a valuable replacement conduit for the lower esophagus. Jejunal interposition is the third most commonly used method for esophageal reconstruction. Esophageal continuity after esophagectomy can be. The main conduits used for esophageal reconstruction after esophagectomy include interposition grafts such as. This is because preparing a. Colon interposition and free jejunal flap for esophageal reconstruction are the alternative choices when the gastric tube is not. Pedicled jejunum has been used for esophageal reconstruction, but because of the relatively short length of its mesentery and lack of longitudinal vascular arcades it is generally unsuitable for. Free jejunal transfer may be used as a conduit in cervical.
from www.researchgate.net
Free jejunal transfer may be used as a conduit in cervical. Esophageal continuity after esophagectomy can be. Any region of the esophagus can be replaced by jejunum, whether it is distal. The supercharged pedicled jejunal interposition is another acceptable conduit alternative to the stomach. Jejunal interposition is a valuable replacement conduit for the lower esophagus. The main conduits used for esophageal reconstruction after esophagectomy include interposition grafts such as. This is because preparing a. Colon interposition and free jejunal flap for esophageal reconstruction are the alternative choices when the gastric tube is not. Pedicled jejunum has been used for esophageal reconstruction, but because of the relatively short length of its mesentery and lack of longitudinal vascular arcades it is generally unsuitable for. Jejunal interposition is the third most commonly used method for esophageal reconstruction.
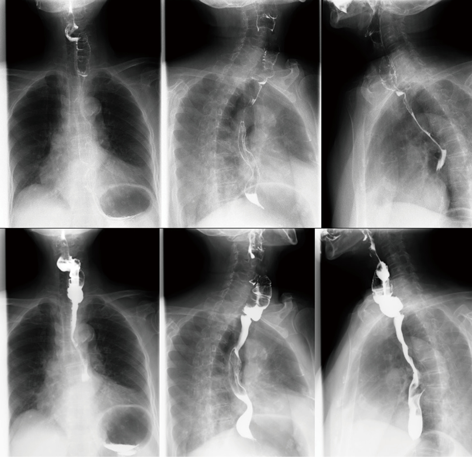
Reconstruction with free jejunal interposition. A) Gastroscopy and
Jejunal Interposition Esophagectomy The main conduits used for esophageal reconstruction after esophagectomy include interposition grafts such as. Colon interposition and free jejunal flap for esophageal reconstruction are the alternative choices when the gastric tube is not. This is because preparing a. Any region of the esophagus can be replaced by jejunum, whether it is distal. Free jejunal transfer may be used as a conduit in cervical. Pedicled jejunum has been used for esophageal reconstruction, but because of the relatively short length of its mesentery and lack of longitudinal vascular arcades it is generally unsuitable for. The main conduits used for esophageal reconstruction after esophagectomy include interposition grafts such as. Esophageal continuity after esophagectomy can be. The supercharged pedicled jejunal interposition is another acceptable conduit alternative to the stomach. Jejunal interposition is a valuable replacement conduit for the lower esophagus. Jejunal interposition is the third most commonly used method for esophageal reconstruction.
From www.researchgate.net
Jejunal pouch Interposition. Download Scientific Diagram Jejunal Interposition Esophagectomy Colon interposition and free jejunal flap for esophageal reconstruction are the alternative choices when the gastric tube is not. Free jejunal transfer may be used as a conduit in cervical. Jejunal interposition is a valuable replacement conduit for the lower esophagus. This is because preparing a. Esophageal continuity after esophagectomy can be. The supercharged pedicled jejunal interposition is another acceptable. Jejunal Interposition Esophagectomy.
From www.slideshare.net
Esophaegeal resection & reconstruction Jejunal Interposition Esophagectomy The main conduits used for esophageal reconstruction after esophagectomy include interposition grafts such as. Colon interposition and free jejunal flap for esophageal reconstruction are the alternative choices when the gastric tube is not. Esophageal continuity after esophagectomy can be. Jejunal interposition is a valuable replacement conduit for the lower esophagus. Any region of the esophagus can be replaced by jejunum,. Jejunal Interposition Esophagectomy.
From www.frontiersin.org
Frontiers Distalcontinual colon interposition for esophageal Jejunal Interposition Esophagectomy The main conduits used for esophageal reconstruction after esophagectomy include interposition grafts such as. Esophageal continuity after esophagectomy can be. Free jejunal transfer may be used as a conduit in cervical. Colon interposition and free jejunal flap for esophageal reconstruction are the alternative choices when the gastric tube is not. Jejunal interposition is a valuable replacement conduit for the lower. Jejunal Interposition Esophagectomy.
From www.youtube.com
Segmental Colonic Interposition for Esophageal Atresia 3D Animation Jejunal Interposition Esophagectomy Any region of the esophagus can be replaced by jejunum, whether it is distal. Jejunal interposition is a valuable replacement conduit for the lower esophagus. Esophageal continuity after esophagectomy can be. Jejunal interposition is the third most commonly used method for esophageal reconstruction. This is because preparing a. The supercharged pedicled jejunal interposition is another acceptable conduit alternative to the. Jejunal Interposition Esophagectomy.
From www.researchgate.net
(A) Limited resection of the distal esophagus, esophagogastric Jejunal Interposition Esophagectomy Free jejunal transfer may be used as a conduit in cervical. This is because preparing a. Jejunal interposition is a valuable replacement conduit for the lower esophagus. Colon interposition and free jejunal flap for esophageal reconstruction are the alternative choices when the gastric tube is not. The main conduits used for esophageal reconstruction after esophagectomy include interposition grafts such as.. Jejunal Interposition Esophagectomy.
From www.researchgate.net
Schema of reconstruction after a gastric functionpreserving Jejunal Interposition Esophagectomy Jejunal interposition is a valuable replacement conduit for the lower esophagus. Free jejunal transfer may be used as a conduit in cervical. Jejunal interposition is the third most commonly used method for esophageal reconstruction. Pedicled jejunum has been used for esophageal reconstruction, but because of the relatively short length of its mesentery and lack of longitudinal vascular arcades it is. Jejunal Interposition Esophagectomy.
From bariatrictimes.com
Jejunal Interposition as a Definitive Treatment for Gastric Fistula Jejunal Interposition Esophagectomy Jejunal interposition is the third most commonly used method for esophageal reconstruction. Colon interposition and free jejunal flap for esophageal reconstruction are the alternative choices when the gastric tube is not. This is because preparing a. Jejunal interposition is a valuable replacement conduit for the lower esophagus. Any region of the esophagus can be replaced by jejunum, whether it is. Jejunal Interposition Esophagectomy.
From www.researchgate.net
Reconstruction with free jejunal interposition. A) Gastroscopy and Jejunal Interposition Esophagectomy Free jejunal transfer may be used as a conduit in cervical. Colon interposition and free jejunal flap for esophageal reconstruction are the alternative choices when the gastric tube is not. The supercharged pedicled jejunal interposition is another acceptable conduit alternative to the stomach. Esophageal continuity after esophagectomy can be. Jejunal interposition is a valuable replacement conduit for the lower esophagus.. Jejunal Interposition Esophagectomy.
From pubs.rsna.org
Esophagectomy and Gastric Pullthrough Procedures Surgical Techniques Jejunal Interposition Esophagectomy Jejunal interposition is the third most commonly used method for esophageal reconstruction. Any region of the esophagus can be replaced by jejunum, whether it is distal. The main conduits used for esophageal reconstruction after esophagectomy include interposition grafts such as. The supercharged pedicled jejunal interposition is another acceptable conduit alternative to the stomach. Colon interposition and free jejunal flap for. Jejunal Interposition Esophagectomy.
From jtd.amegroups.com
Jejunal graft conduits after esophagectomy Gaur Journal of Thoracic Jejunal Interposition Esophagectomy This is because preparing a. Esophageal continuity after esophagectomy can be. Pedicled jejunum has been used for esophageal reconstruction, but because of the relatively short length of its mesentery and lack of longitudinal vascular arcades it is generally unsuitable for. Any region of the esophagus can be replaced by jejunum, whether it is distal. Free jejunal transfer may be used. Jejunal Interposition Esophagectomy.
From www.optechtcs.com
Colon Interposition for Staged Esophageal Reconstruction Operative Jejunal Interposition Esophagectomy Pedicled jejunum has been used for esophageal reconstruction, but because of the relatively short length of its mesentery and lack of longitudinal vascular arcades it is generally unsuitable for. Free jejunal transfer may be used as a conduit in cervical. Any region of the esophagus can be replaced by jejunum, whether it is distal. Esophageal continuity after esophagectomy can be.. Jejunal Interposition Esophagectomy.
From clinicalgate.com
Esophagectomy Ivor Lewis and Other Procedures Clinical Gate Jejunal Interposition Esophagectomy Colon interposition and free jejunal flap for esophageal reconstruction are the alternative choices when the gastric tube is not. The supercharged pedicled jejunal interposition is another acceptable conduit alternative to the stomach. Jejunal interposition is a valuable replacement conduit for the lower esophagus. Free jejunal transfer may be used as a conduit in cervical. This is because preparing a. The. Jejunal Interposition Esophagectomy.
From bariatrictimes.com
Colonic Interposition Graft as a Conduit following Esophagectomy for Jejunal Interposition Esophagectomy The main conduits used for esophageal reconstruction after esophagectomy include interposition grafts such as. Free jejunal transfer may be used as a conduit in cervical. Jejunal interposition is a valuable replacement conduit for the lower esophagus. Colon interposition and free jejunal flap for esophageal reconstruction are the alternative choices when the gastric tube is not. Any region of the esophagus. Jejunal Interposition Esophagectomy.
From www.tigejournal.org
Esophageal replacement for benign disease Techniques in Jejunal Interposition Esophagectomy The main conduits used for esophageal reconstruction after esophagectomy include interposition grafts such as. Jejunal interposition is a valuable replacement conduit for the lower esophagus. Esophageal continuity after esophagectomy can be. Any region of the esophagus can be replaced by jejunum, whether it is distal. Free jejunal transfer may be used as a conduit in cervical. Colon interposition and free. Jejunal Interposition Esophagectomy.
From jtd.amegroups.com
Free jejunum interposition as salvage surgery after cervical esophagus Jejunal Interposition Esophagectomy The supercharged pedicled jejunal interposition is another acceptable conduit alternative to the stomach. Esophageal continuity after esophagectomy can be. Free jejunal transfer may be used as a conduit in cervical. The main conduits used for esophageal reconstruction after esophagectomy include interposition grafts such as. Any region of the esophagus can be replaced by jejunum, whether it is distal. This is. Jejunal Interposition Esophagectomy.
From www.researchgate.net
Jejunal interpositional pouch. Esophagus is anastomosed to pouch and Jejunal Interposition Esophagectomy The supercharged pedicled jejunal interposition is another acceptable conduit alternative to the stomach. This is because preparing a. Free jejunal transfer may be used as a conduit in cervical. The main conduits used for esophageal reconstruction after esophagectomy include interposition grafts such as. Pedicled jejunum has been used for esophageal reconstruction, but because of the relatively short length of its. Jejunal Interposition Esophagectomy.
From openi.nlm.nih.gov
Reconstruction of the gastroesophageal junction with in Openi Jejunal Interposition Esophagectomy Esophageal continuity after esophagectomy can be. Free jejunal transfer may be used as a conduit in cervical. Pedicled jejunum has been used for esophageal reconstruction, but because of the relatively short length of its mesentery and lack of longitudinal vascular arcades it is generally unsuitable for. The main conduits used for esophageal reconstruction after esophagectomy include interposition grafts such as.. Jejunal Interposition Esophagectomy.
From www.researchgate.net
Reconstruction with free jejunal interposition. A) Gastroscopy and Jejunal Interposition Esophagectomy Colon interposition and free jejunal flap for esophageal reconstruction are the alternative choices when the gastric tube is not. This is because preparing a. Jejunal interposition is the third most commonly used method for esophageal reconstruction. The supercharged pedicled jejunal interposition is another acceptable conduit alternative to the stomach. Esophageal continuity after esophagectomy can be. Pedicled jejunum has been used. Jejunal Interposition Esophagectomy.
From www.slideshare.net
Esophaegeal resection & reconstruction Jejunal Interposition Esophagectomy Any region of the esophagus can be replaced by jejunum, whether it is distal. Esophageal continuity after esophagectomy can be. Colon interposition and free jejunal flap for esophageal reconstruction are the alternative choices when the gastric tube is not. This is because preparing a. Free jejunal transfer may be used as a conduit in cervical. Pedicled jejunum has been used. Jejunal Interposition Esophagectomy.
From www.semanticscholar.org
SuperCharged Pedicled Jejunal Interposition Performance Compares Jejunal Interposition Esophagectomy The main conduits used for esophageal reconstruction after esophagectomy include interposition grafts such as. Jejunal interposition is the third most commonly used method for esophageal reconstruction. Esophageal continuity after esophagectomy can be. Jejunal interposition is a valuable replacement conduit for the lower esophagus. Colon interposition and free jejunal flap for esophageal reconstruction are the alternative choices when the gastric tube. Jejunal Interposition Esophagectomy.
From www.medillsb.com
Esophagectomy Transhiatal Illustration by Cooley Studios Medical Jejunal Interposition Esophagectomy The main conduits used for esophageal reconstruction after esophagectomy include interposition grafts such as. Jejunal interposition is a valuable replacement conduit for the lower esophagus. This is because preparing a. Free jejunal transfer may be used as a conduit in cervical. Any region of the esophagus can be replaced by jejunum, whether it is distal. Jejunal interposition is the third. Jejunal Interposition Esophagectomy.
From www.optechtcs.com
Use of Supercharged Jejunal Flap for Esophageal Reconstruction Jejunal Interposition Esophagectomy The supercharged pedicled jejunal interposition is another acceptable conduit alternative to the stomach. This is because preparing a. The main conduits used for esophageal reconstruction after esophagectomy include interposition grafts such as. Esophageal continuity after esophagectomy can be. Colon interposition and free jejunal flap for esophageal reconstruction are the alternative choices when the gastric tube is not. Any region of. Jejunal Interposition Esophagectomy.
From www.slideshare.net
Esophaegeal resection & reconstruction Jejunal Interposition Esophagectomy The main conduits used for esophageal reconstruction after esophagectomy include interposition grafts such as. Pedicled jejunum has been used for esophageal reconstruction, but because of the relatively short length of its mesentery and lack of longitudinal vascular arcades it is generally unsuitable for. Colon interposition and free jejunal flap for esophageal reconstruction are the alternative choices when the gastric tube. Jejunal Interposition Esophagectomy.
From www.researchgate.net
(PDF) Esophagectomy and Gastric Pullthrough Procedures Surgical Jejunal Interposition Esophagectomy Jejunal interposition is a valuable replacement conduit for the lower esophagus. The supercharged pedicled jejunal interposition is another acceptable conduit alternative to the stomach. Esophageal continuity after esophagectomy can be. The main conduits used for esophageal reconstruction after esophagectomy include interposition grafts such as. Jejunal interposition is the third most commonly used method for esophageal reconstruction. Free jejunal transfer may. Jejunal Interposition Esophagectomy.
From www.frontiersin.org
Frontiers Indications and technical aspects of proximal gastrectomy Jejunal Interposition Esophagectomy Jejunal interposition is the third most commonly used method for esophageal reconstruction. The main conduits used for esophageal reconstruction after esophagectomy include interposition grafts such as. This is because preparing a. Colon interposition and free jejunal flap for esophageal reconstruction are the alternative choices when the gastric tube is not. The supercharged pedicled jejunal interposition is another acceptable conduit alternative. Jejunal Interposition Esophagectomy.
From www.flickr.com
Esophagectomy ? Esophagectomy ? Ask Expert +91965053666… Hemanth Jejunal Interposition Esophagectomy Jejunal interposition is a valuable replacement conduit for the lower esophagus. Pedicled jejunum has been used for esophageal reconstruction, but because of the relatively short length of its mesentery and lack of longitudinal vascular arcades it is generally unsuitable for. Esophageal continuity after esophagectomy can be. The main conduits used for esophageal reconstruction after esophagectomy include interposition grafts such as.. Jejunal Interposition Esophagectomy.
From slideplayer.com
Jejunal Interposition for Esophageal Replacement ppt download Jejunal Interposition Esophagectomy Jejunal interposition is a valuable replacement conduit for the lower esophagus. Any region of the esophagus can be replaced by jejunum, whether it is distal. Colon interposition and free jejunal flap for esophageal reconstruction are the alternative choices when the gastric tube is not. The main conduits used for esophageal reconstruction after esophagectomy include interposition grafts such as. The supercharged. Jejunal Interposition Esophagectomy.
From www.jprasurg.com
2Stage free and pedicle jejunum for esophageal replacement after Jejunal Interposition Esophagectomy Pedicled jejunum has been used for esophageal reconstruction, but because of the relatively short length of its mesentery and lack of longitudinal vascular arcades it is generally unsuitable for. Any region of the esophagus can be replaced by jejunum, whether it is distal. Colon interposition and free jejunal flap for esophageal reconstruction are the alternative choices when the gastric tube. Jejunal Interposition Esophagectomy.
From evelynpence.myportfolio.com
Evelyn Pence Esophagectomy Jejunal Interposition Esophagectomy Pedicled jejunum has been used for esophageal reconstruction, but because of the relatively short length of its mesentery and lack of longitudinal vascular arcades it is generally unsuitable for. Free jejunal transfer may be used as a conduit in cervical. Colon interposition and free jejunal flap for esophageal reconstruction are the alternative choices when the gastric tube is not. The. Jejunal Interposition Esophagectomy.
From www.journalacs.org
Jejunal Interposition after Failed Esophageal Atresia Repair Journal Jejunal Interposition Esophagectomy The main conduits used for esophageal reconstruction after esophagectomy include interposition grafts such as. Any region of the esophagus can be replaced by jejunum, whether it is distal. Jejunal interposition is the third most commonly used method for esophageal reconstruction. Pedicled jejunum has been used for esophageal reconstruction, but because of the relatively short length of its mesentery and lack. Jejunal Interposition Esophagectomy.
From bmcsurg.biomedcentral.com
Retrograde stapling of a free cervical jejunal interposition graft a Jejunal Interposition Esophagectomy Jejunal interposition is the third most commonly used method for esophageal reconstruction. The main conduits used for esophageal reconstruction after esophagectomy include interposition grafts such as. Any region of the esophagus can be replaced by jejunum, whether it is distal. Jejunal interposition is a valuable replacement conduit for the lower esophagus. This is because preparing a. Esophageal continuity after esophagectomy. Jejunal Interposition Esophagectomy.
From www.researchgate.net
Jejunal Interposition. Download Scientific Diagram Jejunal Interposition Esophagectomy Esophageal continuity after esophagectomy can be. The main conduits used for esophageal reconstruction after esophagectomy include interposition grafts such as. Pedicled jejunum has been used for esophageal reconstruction, but because of the relatively short length of its mesentery and lack of longitudinal vascular arcades it is generally unsuitable for. Colon interposition and free jejunal flap for esophageal reconstruction are the. Jejunal Interposition Esophagectomy.
From www.mdpi.com
JCM Free FullText A Comparison of Different Types of Esophageal Jejunal Interposition Esophagectomy Pedicled jejunum has been used for esophageal reconstruction, but because of the relatively short length of its mesentery and lack of longitudinal vascular arcades it is generally unsuitable for. Jejunal interposition is the third most commonly used method for esophageal reconstruction. Esophageal continuity after esophagectomy can be. This is because preparing a. Any region of the esophagus can be replaced. Jejunal Interposition Esophagectomy.
From stanfordhealthcare.org
Three Incision Esophagectomy Stanford Health Care Jejunal Interposition Esophagectomy The supercharged pedicled jejunal interposition is another acceptable conduit alternative to the stomach. Esophageal continuity after esophagectomy can be. Any region of the esophagus can be replaced by jejunum, whether it is distal. This is because preparing a. The main conduits used for esophageal reconstruction after esophagectomy include interposition grafts such as. Jejunal interposition is the third most commonly used. Jejunal Interposition Esophagectomy.
From pubs.rsna.org
Esophagectomy and Gastric Pullthrough Procedures Surgical Techniques Jejunal Interposition Esophagectomy Jejunal interposition is a valuable replacement conduit for the lower esophagus. This is because preparing a. Any region of the esophagus can be replaced by jejunum, whether it is distal. Esophageal continuity after esophagectomy can be. The supercharged pedicled jejunal interposition is another acceptable conduit alternative to the stomach. Free jejunal transfer may be used as a conduit in cervical.. Jejunal Interposition Esophagectomy.