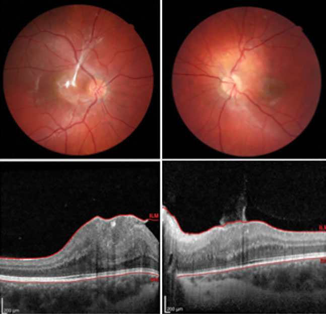
Combined Retinal Rpe Hamartoma . A spectrum of presentation with epiretinal membrane masquerade. Combined hamartoma of the retina and retinal pigment epithelium (‘combined hamartoma’) is a benign ocular tumour. In 1973, gass reported 7 patients with an “unusual hamartoma of retinal pigment epithelium (rpe) and retina” that masqueraded as an intraocular tumor. Rpe along the inferotemporal arcade showing thickening and disorganization of the inner reti nal layers, characteristic sawtooth inner retinal. Combined hamartoma of the retina and retinal pigment epithelium is a rare benign ocular tumour in children, composed of glial. Combined hamartoma of the retina and rpe: Combined hamartoma of the retina and retinal pigment epithelium (chrrpe) is a rare congenital benign. To evaluate visual outcome of eyes with combined hamartoma of the retina and retinal pigment epithelium (rpe).
from www.eyerounds.org
In 1973, gass reported 7 patients with an “unusual hamartoma of retinal pigment epithelium (rpe) and retina” that masqueraded as an intraocular tumor. A spectrum of presentation with epiretinal membrane masquerade. Combined hamartoma of the retina and rpe: To evaluate visual outcome of eyes with combined hamartoma of the retina and retinal pigment epithelium (rpe). Rpe along the inferotemporal arcade showing thickening and disorganization of the inner reti nal layers, characteristic sawtooth inner retinal. Combined hamartoma of the retina and retinal pigment epithelium (chrrpe) is a rare congenital benign. Combined hamartoma of the retina and retinal pigment epithelium (‘combined hamartoma’) is a benign ocular tumour. Combined hamartoma of the retina and retinal pigment epithelium is a rare benign ocular tumour in children, composed of glial.
Combined Hamartoma of the Retina and Retina Pigment Epithelium (CHRRPE) The University of Iowa
Combined Retinal Rpe Hamartoma Rpe along the inferotemporal arcade showing thickening and disorganization of the inner reti nal layers, characteristic sawtooth inner retinal. To evaluate visual outcome of eyes with combined hamartoma of the retina and retinal pigment epithelium (rpe). Combined hamartoma of the retina and retinal pigment epithelium (chrrpe) is a rare congenital benign. A spectrum of presentation with epiretinal membrane masquerade. Combined hamartoma of the retina and rpe: Combined hamartoma of the retina and retinal pigment epithelium is a rare benign ocular tumour in children, composed of glial. Rpe along the inferotemporal arcade showing thickening and disorganization of the inner reti nal layers, characteristic sawtooth inner retinal. Combined hamartoma of the retina and retinal pigment epithelium (‘combined hamartoma’) is a benign ocular tumour. In 1973, gass reported 7 patients with an “unusual hamartoma of retinal pigment epithelium (rpe) and retina” that masqueraded as an intraocular tumor.
From www.researchgate.net
Large combined hamartoma of the retina and the retinal pigment... Download Scientific Diagram Combined Retinal Rpe Hamartoma Combined hamartoma of the retina and retinal pigment epithelium (chrrpe) is a rare congenital benign. In 1973, gass reported 7 patients with an “unusual hamartoma of retinal pigment epithelium (rpe) and retina” that masqueraded as an intraocular tumor. Combined hamartoma of the retina and rpe: Combined hamartoma of the retina and retinal pigment epithelium is a rare benign ocular tumour. Combined Retinal Rpe Hamartoma.
From jamanetwork.com
Optical Coherence Tomographic Findings of Combined Hamartoma of the Retina and Retinal Pigment Combined Retinal Rpe Hamartoma To evaluate visual outcome of eyes with combined hamartoma of the retina and retinal pigment epithelium (rpe). Combined hamartoma of the retina and retinal pigment epithelium (‘combined hamartoma’) is a benign ocular tumour. In 1973, gass reported 7 patients with an “unusual hamartoma of retinal pigment epithelium (rpe) and retina” that masqueraded as an intraocular tumor. A spectrum of presentation. Combined Retinal Rpe Hamartoma.
From www.researchgate.net
Combined hamartoma of the retina and RPE. (a) Macular combined... Download Scientific Diagram Combined Retinal Rpe Hamartoma To evaluate visual outcome of eyes with combined hamartoma of the retina and retinal pigment epithelium (rpe). In 1973, gass reported 7 patients with an “unusual hamartoma of retinal pigment epithelium (rpe) and retina” that masqueraded as an intraocular tumor. Combined hamartoma of the retina and retinal pigment epithelium (chrrpe) is a rare congenital benign. Combined hamartoma of the retina. Combined Retinal Rpe Hamartoma.
From imagebank.asrs.org
Epiretinal Membrane/Macular Pucker With Combined Hamartoma of Retina and RPE Retina Image Bank Combined Retinal Rpe Hamartoma In 1973, gass reported 7 patients with an “unusual hamartoma of retinal pigment epithelium (rpe) and retina” that masqueraded as an intraocular tumor. To evaluate visual outcome of eyes with combined hamartoma of the retina and retinal pigment epithelium (rpe). Rpe along the inferotemporal arcade showing thickening and disorganization of the inner reti nal layers, characteristic sawtooth inner retinal. Combined. Combined Retinal Rpe Hamartoma.
From imagebank.asrs.org
Combined Hamartoma of Retina and RPE Retina Image Bank Combined Retinal Rpe Hamartoma A spectrum of presentation with epiretinal membrane masquerade. Combined hamartoma of the retina and retinal pigment epithelium (‘combined hamartoma’) is a benign ocular tumour. In 1973, gass reported 7 patients with an “unusual hamartoma of retinal pigment epithelium (rpe) and retina” that masqueraded as an intraocular tumor. Combined hamartoma of the retina and retinal pigment epithelium (chrrpe) is a rare. Combined Retinal Rpe Hamartoma.
From imagebank.asrs.org
Combined Hamartoma of the Retina and Retinal Pigment Epithelium Retina Image Bank Combined Retinal Rpe Hamartoma To evaluate visual outcome of eyes with combined hamartoma of the retina and retinal pigment epithelium (rpe). Combined hamartoma of the retina and retinal pigment epithelium (‘combined hamartoma’) is a benign ocular tumour. Combined hamartoma of the retina and rpe: Combined hamartoma of the retina and retinal pigment epithelium is a rare benign ocular tumour in children, composed of glial.. Combined Retinal Rpe Hamartoma.
From www.eyerounds.org
Combined Hamartoma of the Retina and Retina Pigment Epithelium (CHRRPE) The University of Iowa Combined Retinal Rpe Hamartoma Rpe along the inferotemporal arcade showing thickening and disorganization of the inner reti nal layers, characteristic sawtooth inner retinal. A spectrum of presentation with epiretinal membrane masquerade. Combined hamartoma of the retina and retinal pigment epithelium is a rare benign ocular tumour in children, composed of glial. Combined hamartoma of the retina and rpe: In 1973, gass reported 7 patients. Combined Retinal Rpe Hamartoma.
From www.researchgate.net
Combined hamartoma of the retina and RPE. (a) Macular combined... Download Scientific Diagram Combined Retinal Rpe Hamartoma To evaluate visual outcome of eyes with combined hamartoma of the retina and retinal pigment epithelium (rpe). Combined hamartoma of the retina and retinal pigment epithelium (‘combined hamartoma’) is a benign ocular tumour. Combined hamartoma of the retina and rpe: Combined hamartoma of the retina and retinal pigment epithelium is a rare benign ocular tumour in children, composed of glial.. Combined Retinal Rpe Hamartoma.
From webeye.ophth.uiowa.edu
Combined Hamartoma of the Retina and Retina Pigment Epithelium (CHRRPE) The University of Iowa Combined Retinal Rpe Hamartoma In 1973, gass reported 7 patients with an “unusual hamartoma of retinal pigment epithelium (rpe) and retina” that masqueraded as an intraocular tumor. A spectrum of presentation with epiretinal membrane masquerade. Combined hamartoma of the retina and retinal pigment epithelium is a rare benign ocular tumour in children, composed of glial. Combined hamartoma of the retina and rpe: To evaluate. Combined Retinal Rpe Hamartoma.
From imagebank.asrs.org
Combined Hamartoma of Retina and Retinal Pigment Epithelium Retina Image Bank Combined Retinal Rpe Hamartoma To evaluate visual outcome of eyes with combined hamartoma of the retina and retinal pigment epithelium (rpe). In 1973, gass reported 7 patients with an “unusual hamartoma of retinal pigment epithelium (rpe) and retina” that masqueraded as an intraocular tumor. Combined hamartoma of the retina and retinal pigment epithelium (‘combined hamartoma’) is a benign ocular tumour. Combined hamartoma of the. Combined Retinal Rpe Hamartoma.
From www.retinarocks.org
Tumors of the RPE > Combined Hamartoma of the Retina and RPE Retina Rocks Combined Retinal Rpe Hamartoma A spectrum of presentation with epiretinal membrane masquerade. Combined hamartoma of the retina and rpe: To evaluate visual outcome of eyes with combined hamartoma of the retina and retinal pigment epithelium (rpe). In 1973, gass reported 7 patients with an “unusual hamartoma of retinal pigment epithelium (rpe) and retina” that masqueraded as an intraocular tumor. Combined hamartoma of the retina. Combined Retinal Rpe Hamartoma.
From imagebank.asrs.org
Combined Hamartoma of Retina and RPE Retina Image Bank Combined Retinal Rpe Hamartoma Combined hamartoma of the retina and retinal pigment epithelium is a rare benign ocular tumour in children, composed of glial. In 1973, gass reported 7 patients with an “unusual hamartoma of retinal pigment epithelium (rpe) and retina” that masqueraded as an intraocular tumor. Rpe along the inferotemporal arcade showing thickening and disorganization of the inner reti nal layers, characteristic sawtooth. Combined Retinal Rpe Hamartoma.
From www.researchgate.net
Baseline multimodal imaging of peripheral combined hamartoma of the... Download Scientific Diagram Combined Retinal Rpe Hamartoma Combined hamartoma of the retina and retinal pigment epithelium (chrrpe) is a rare congenital benign. In 1973, gass reported 7 patients with an “unusual hamartoma of retinal pigment epithelium (rpe) and retina” that masqueraded as an intraocular tumor. Rpe along the inferotemporal arcade showing thickening and disorganization of the inner reti nal layers, characteristic sawtooth inner retinal. Combined hamartoma of. Combined Retinal Rpe Hamartoma.
From retinatoday.com
Combined Hamartoma of the Retina and RPE Retina Today Combined Retinal Rpe Hamartoma A spectrum of presentation with epiretinal membrane masquerade. In 1973, gass reported 7 patients with an “unusual hamartoma of retinal pigment epithelium (rpe) and retina” that masqueraded as an intraocular tumor. Combined hamartoma of the retina and retinal pigment epithelium (chrrpe) is a rare congenital benign. To evaluate visual outcome of eyes with combined hamartoma of the retina and retinal. Combined Retinal Rpe Hamartoma.
From www.nyee.edu
Combined Hamartoma of the Retina and RPE NYEE Combined Retinal Rpe Hamartoma Combined hamartoma of the retina and retinal pigment epithelium (‘combined hamartoma’) is a benign ocular tumour. To evaluate visual outcome of eyes with combined hamartoma of the retina and retinal pigment epithelium (rpe). A spectrum of presentation with epiretinal membrane masquerade. In 1973, gass reported 7 patients with an “unusual hamartoma of retinal pigment epithelium (rpe) and retina” that masqueraded. Combined Retinal Rpe Hamartoma.
From www.retinarocks.org
Tumors of the RPE > Combined Hamartoma of the Retina and RPE Retina Rocks Combined Retinal Rpe Hamartoma Combined hamartoma of the retina and retinal pigment epithelium (‘combined hamartoma’) is a benign ocular tumour. Combined hamartoma of the retina and retinal pigment epithelium is a rare benign ocular tumour in children, composed of glial. Combined hamartoma of the retina and rpe: To evaluate visual outcome of eyes with combined hamartoma of the retina and retinal pigment epithelium (rpe).. Combined Retinal Rpe Hamartoma.
From www.retinarocks.org
Tumors of the RPE > Combined Hamartoma of the Retina and RPE Retina Rocks Combined Retinal Rpe Hamartoma To evaluate visual outcome of eyes with combined hamartoma of the retina and retinal pigment epithelium (rpe). Combined hamartoma of the retina and retinal pigment epithelium is a rare benign ocular tumour in children, composed of glial. Rpe along the inferotemporal arcade showing thickening and disorganization of the inner reti nal layers, characteristic sawtooth inner retinal. Combined hamartoma of the. Combined Retinal Rpe Hamartoma.
From www.wjgnet.com
Combined hamartoma of the retina and retinal pigment epithelium A case report Combined Retinal Rpe Hamartoma To evaluate visual outcome of eyes with combined hamartoma of the retina and retinal pigment epithelium (rpe). In 1973, gass reported 7 patients with an “unusual hamartoma of retinal pigment epithelium (rpe) and retina” that masqueraded as an intraocular tumor. Rpe along the inferotemporal arcade showing thickening and disorganization of the inner reti nal layers, characteristic sawtooth inner retinal. Combined. Combined Retinal Rpe Hamartoma.
From jamanetwork.com
Large Combined Hamartoma of the Retina and the Retinal Pigment Epithelium in a Healthy Young Boy Combined Retinal Rpe Hamartoma Rpe along the inferotemporal arcade showing thickening and disorganization of the inner reti nal layers, characteristic sawtooth inner retinal. Combined hamartoma of the retina and retinal pigment epithelium is a rare benign ocular tumour in children, composed of glial. Combined hamartoma of the retina and retinal pigment epithelium (chrrpe) is a rare congenital benign. Combined hamartoma of the retina and. Combined Retinal Rpe Hamartoma.
From www.eyerounds.org
Atlas Entry Peripapillary Combined Hamartoma of the Retina and Retinal Pigment Epithelium Combined Retinal Rpe Hamartoma In 1973, gass reported 7 patients with an “unusual hamartoma of retinal pigment epithelium (rpe) and retina” that masqueraded as an intraocular tumor. Combined hamartoma of the retina and retinal pigment epithelium (‘combined hamartoma’) is a benign ocular tumour. Rpe along the inferotemporal arcade showing thickening and disorganization of the inner reti nal layers, characteristic sawtooth inner retinal. Combined hamartoma. Combined Retinal Rpe Hamartoma.
From casereports.bmj.com
Combined hamartoma of the retina and retinal pigment epithelium BMJ Case Reports Combined Retinal Rpe Hamartoma Combined hamartoma of the retina and rpe: A spectrum of presentation with epiretinal membrane masquerade. Rpe along the inferotemporal arcade showing thickening and disorganization of the inner reti nal layers, characteristic sawtooth inner retinal. Combined hamartoma of the retina and retinal pigment epithelium (chrrpe) is a rare congenital benign. Combined hamartoma of the retina and retinal pigment epithelium is a. Combined Retinal Rpe Hamartoma.
From jamanetwork.com
Evolution of a Peripapillary Combined Hamartoma of the Retina and Retinal Pigment Epithelium in Combined Retinal Rpe Hamartoma To evaluate visual outcome of eyes with combined hamartoma of the retina and retinal pigment epithelium (rpe). A spectrum of presentation with epiretinal membrane masquerade. Rpe along the inferotemporal arcade showing thickening and disorganization of the inner reti nal layers, characteristic sawtooth inner retinal. Combined hamartoma of the retina and retinal pigment epithelium (‘combined hamartoma’) is a benign ocular tumour.. Combined Retinal Rpe Hamartoma.
From www.retina-eidon.com
Combined Hamartoma of Retina and Retinal Pigment Epithelium Combined Retinal Rpe Hamartoma To evaluate visual outcome of eyes with combined hamartoma of the retina and retinal pigment epithelium (rpe). Combined hamartoma of the retina and rpe: Combined hamartoma of the retina and retinal pigment epithelium (chrrpe) is a rare congenital benign. A spectrum of presentation with epiretinal membrane masquerade. Rpe along the inferotemporal arcade showing thickening and disorganization of the inner reti. Combined Retinal Rpe Hamartoma.
From www.eyerounds.org
Combined Hamartoma of the Retina and Retina Pigment Epithelium (CHRRPE) The University of Iowa Combined Retinal Rpe Hamartoma To evaluate visual outcome of eyes with combined hamartoma of the retina and retinal pigment epithelium (rpe). Combined hamartoma of the retina and rpe: Rpe along the inferotemporal arcade showing thickening and disorganization of the inner reti nal layers, characteristic sawtooth inner retinal. Combined hamartoma of the retina and retinal pigment epithelium is a rare benign ocular tumour in children,. Combined Retinal Rpe Hamartoma.
From www.aaojournal.org
Combined Hamartoma of the Retina and Retinal Pigment Epithelium in 77 Consecutive Patients Combined Retinal Rpe Hamartoma Combined hamartoma of the retina and retinal pigment epithelium (chrrpe) is a rare congenital benign. Combined hamartoma of the retina and retinal pigment epithelium (‘combined hamartoma’) is a benign ocular tumour. To evaluate visual outcome of eyes with combined hamartoma of the retina and retinal pigment epithelium (rpe). Combined hamartoma of the retina and rpe: Combined hamartoma of the retina. Combined Retinal Rpe Hamartoma.
From www.ajo.com
Combined Hamartoma of the Retina and Retinal Pigment Epithelium An Optical Coherence Tomography Combined Retinal Rpe Hamartoma Combined hamartoma of the retina and rpe: A spectrum of presentation with epiretinal membrane masquerade. In 1973, gass reported 7 patients with an “unusual hamartoma of retinal pigment epithelium (rpe) and retina” that masqueraded as an intraocular tumor. Rpe along the inferotemporal arcade showing thickening and disorganization of the inner reti nal layers, characteristic sawtooth inner retinal. To evaluate visual. Combined Retinal Rpe Hamartoma.
From retinatoday.com
Combined Hamartoma of the Retina and RPE Retina Today Combined Retinal Rpe Hamartoma A spectrum of presentation with epiretinal membrane masquerade. Rpe along the inferotemporal arcade showing thickening and disorganization of the inner reti nal layers, characteristic sawtooth inner retinal. In 1973, gass reported 7 patients with an “unusual hamartoma of retinal pigment epithelium (rpe) and retina” that masqueraded as an intraocular tumor. Combined hamartoma of the retina and retinal pigment epithelium (‘combined. Combined Retinal Rpe Hamartoma.
From www.retina-eidon.com
Combined Hamartoma of Retina and Retinal Pigment Epithelium Combined Retinal Rpe Hamartoma Rpe along the inferotemporal arcade showing thickening and disorganization of the inner reti nal layers, characteristic sawtooth inner retinal. To evaluate visual outcome of eyes with combined hamartoma of the retina and retinal pigment epithelium (rpe). Combined hamartoma of the retina and retinal pigment epithelium (chrrpe) is a rare congenital benign. A spectrum of presentation with epiretinal membrane masquerade. Combined. Combined Retinal Rpe Hamartoma.
From imagebank.asrs.org
Combined Hamartoma of the Retina and Retinal Pigment Epithelium (CHRRPE) Retina Image Bank Combined Retinal Rpe Hamartoma Combined hamartoma of the retina and retinal pigment epithelium (‘combined hamartoma’) is a benign ocular tumour. Combined hamartoma of the retina and retinal pigment epithelium is a rare benign ocular tumour in children, composed of glial. Rpe along the inferotemporal arcade showing thickening and disorganization of the inner reti nal layers, characteristic sawtooth inner retinal. Combined hamartoma of the retina. Combined Retinal Rpe Hamartoma.
From www.researchgate.net
Combined hamartoma of the retina and retinal pigment epithelium... Download Scientific Diagram Combined Retinal Rpe Hamartoma Rpe along the inferotemporal arcade showing thickening and disorganization of the inner reti nal layers, characteristic sawtooth inner retinal. Combined hamartoma of the retina and rpe: Combined hamartoma of the retina and retinal pigment epithelium is a rare benign ocular tumour in children, composed of glial. Combined hamartoma of the retina and retinal pigment epithelium (‘combined hamartoma’) is a benign. Combined Retinal Rpe Hamartoma.
From www.pinterest.com
Combined Hamartoma of the Retina and Retinal Pigment Epithelium Retinal photography, Medical Combined Retinal Rpe Hamartoma Combined hamartoma of the retina and retinal pigment epithelium (chrrpe) is a rare congenital benign. Rpe along the inferotemporal arcade showing thickening and disorganization of the inner reti nal layers, characteristic sawtooth inner retinal. Combined hamartoma of the retina and retinal pigment epithelium is a rare benign ocular tumour in children, composed of glial. A spectrum of presentation with epiretinal. Combined Retinal Rpe Hamartoma.
From casereports.bmj.com
Bilateral combined hamartoma of retinal pigment epithelium and retina BMJ Case Reports Combined Retinal Rpe Hamartoma Combined hamartoma of the retina and retinal pigment epithelium (chrrpe) is a rare congenital benign. A spectrum of presentation with epiretinal membrane masquerade. Combined hamartoma of the retina and retinal pigment epithelium is a rare benign ocular tumour in children, composed of glial. In 1973, gass reported 7 patients with an “unusual hamartoma of retinal pigment epithelium (rpe) and retina”. Combined Retinal Rpe Hamartoma.
From jamanetwork.com
Acquired Combined Hamartoma of the Retina and Retinal Pigment Epithelium Neonatology JAMA Combined Retinal Rpe Hamartoma Combined hamartoma of the retina and rpe: Rpe along the inferotemporal arcade showing thickening and disorganization of the inner reti nal layers, characteristic sawtooth inner retinal. To evaluate visual outcome of eyes with combined hamartoma of the retina and retinal pigment epithelium (rpe). A spectrum of presentation with epiretinal membrane masquerade. Combined hamartoma of the retina and retinal pigment epithelium. Combined Retinal Rpe Hamartoma.
From imagebank.asrs.org
Combined Hamartoma of Retina and RPE Retina Image Bank Combined Retinal Rpe Hamartoma Combined hamartoma of the retina and retinal pigment epithelium (‘combined hamartoma’) is a benign ocular tumour. Combined hamartoma of the retina and retinal pigment epithelium (chrrpe) is a rare congenital benign. Combined hamartoma of the retina and retinal pigment epithelium is a rare benign ocular tumour in children, composed of glial. Rpe along the inferotemporal arcade showing thickening and disorganization. Combined Retinal Rpe Hamartoma.
From www.aaojournal.org
Combined Hamartoma of the Retina and Retinal Pigment Epithelium in 77 Consecutive Patients Combined Retinal Rpe Hamartoma Combined hamartoma of the retina and retinal pigment epithelium (‘combined hamartoma’) is a benign ocular tumour. In 1973, gass reported 7 patients with an “unusual hamartoma of retinal pigment epithelium (rpe) and retina” that masqueraded as an intraocular tumor. Combined hamartoma of the retina and retinal pigment epithelium (chrrpe) is a rare congenital benign. Combined hamartoma of the retina and. Combined Retinal Rpe Hamartoma.