Barotrauma Medical Lungs . pulmonary barotrauma can complicate mechanical ventilation. the symptoms of pulmonary barotrauma include chest pain, shortness of breath, coughing, and wheezing, among others. It is most often due to alveolar rupture resulting in. barotrauma is an important and potentially lethal complication of mechanical ventilation. pulmonary barotrauma is a complication of mechanical ventilation and has correlations with increased morbidity.
from nccommons.org
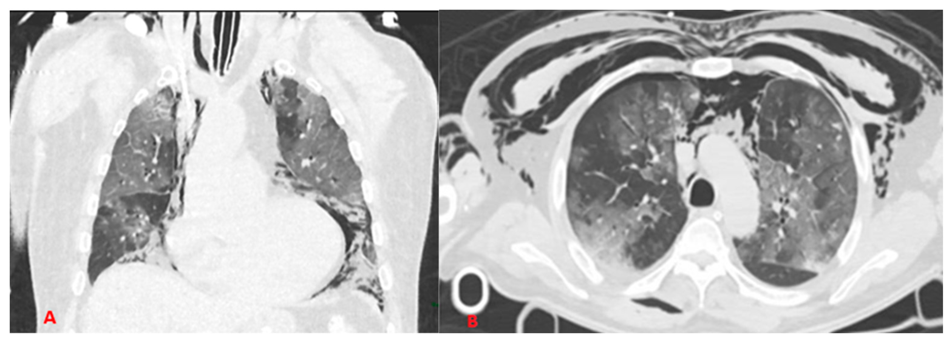
pulmonary barotrauma is a complication of mechanical ventilation and has correlations with increased morbidity. the symptoms of pulmonary barotrauma include chest pain, shortness of breath, coughing, and wheezing, among others. It is most often due to alveolar rupture resulting in. barotrauma is an important and potentially lethal complication of mechanical ventilation. pulmonary barotrauma can complicate mechanical ventilation.
Barotrauma due to mechanical ventilation (Radiopaedia 2807928336 Sagittal lung window) NC Commons
Barotrauma Medical Lungs pulmonary barotrauma can complicate mechanical ventilation. barotrauma is an important and potentially lethal complication of mechanical ventilation. pulmonary barotrauma can complicate mechanical ventilation. the symptoms of pulmonary barotrauma include chest pain, shortness of breath, coughing, and wheezing, among others. It is most often due to alveolar rupture resulting in. pulmonary barotrauma is a complication of mechanical ventilation and has correlations with increased morbidity.
From nccommons.org
Barotrauma due to mechanical ventilation (Radiopaedia 2807928336 Sagittal lung window) NC Commons Barotrauma Medical Lungs pulmonary barotrauma can complicate mechanical ventilation. pulmonary barotrauma is a complication of mechanical ventilation and has correlations with increased morbidity. the symptoms of pulmonary barotrauma include chest pain, shortness of breath, coughing, and wheezing, among others. barotrauma is an important and potentially lethal complication of mechanical ventilation. It is most often due to alveolar rupture resulting. Barotrauma Medical Lungs.
From nccommons.org
Barotrauma due to mechanical ventilation (Radiopaedia 2807928336 Sagittal lung window) NC Commons Barotrauma Medical Lungs It is most often due to alveolar rupture resulting in. the symptoms of pulmonary barotrauma include chest pain, shortness of breath, coughing, and wheezing, among others. pulmonary barotrauma can complicate mechanical ventilation. pulmonary barotrauma is a complication of mechanical ventilation and has correlations with increased morbidity. barotrauma is an important and potentially lethal complication of mechanical. Barotrauma Medical Lungs.
From www.mdpi.com
Biomedicines Free FullText Iatrogenic Barotrauma in COVID19Positive Patients Is It Barotrauma Medical Lungs the symptoms of pulmonary barotrauma include chest pain, shortness of breath, coughing, and wheezing, among others. It is most often due to alveolar rupture resulting in. pulmonary barotrauma is a complication of mechanical ventilation and has correlations with increased morbidity. barotrauma is an important and potentially lethal complication of mechanical ventilation. pulmonary barotrauma can complicate mechanical. Barotrauma Medical Lungs.
From nccommons.org
Barotrauma due to mechanical ventilation (Radiopaedia 2807928336 Sagittal lung window) NC Commons Barotrauma Medical Lungs the symptoms of pulmonary barotrauma include chest pain, shortness of breath, coughing, and wheezing, among others. barotrauma is an important and potentially lethal complication of mechanical ventilation. pulmonary barotrauma can complicate mechanical ventilation. pulmonary barotrauma is a complication of mechanical ventilation and has correlations with increased morbidity. It is most often due to alveolar rupture resulting. Barotrauma Medical Lungs.
From nccommons.org
Barotrauma due to mechanical ventilation (Radiopaedia 2807928336 Axial lung window) NC Commons Barotrauma Medical Lungs It is most often due to alveolar rupture resulting in. pulmonary barotrauma can complicate mechanical ventilation. barotrauma is an important and potentially lethal complication of mechanical ventilation. the symptoms of pulmonary barotrauma include chest pain, shortness of breath, coughing, and wheezing, among others. pulmonary barotrauma is a complication of mechanical ventilation and has correlations with increased. Barotrauma Medical Lungs.
From brownemblog.com
Diving Deep Pulmonary Barotrauma in a Free Diver — BROWN EMERGENCY MEDICINE Barotrauma Medical Lungs It is most often due to alveolar rupture resulting in. pulmonary barotrauma is a complication of mechanical ventilation and has correlations with increased morbidity. pulmonary barotrauma can complicate mechanical ventilation. barotrauma is an important and potentially lethal complication of mechanical ventilation. the symptoms of pulmonary barotrauma include chest pain, shortness of breath, coughing, and wheezing, among. Barotrauma Medical Lungs.
From www.youtube.com
Pulmonary Barotrauma (Medical Definition) Quick Explainer Video YouTube Barotrauma Medical Lungs It is most often due to alveolar rupture resulting in. barotrauma is an important and potentially lethal complication of mechanical ventilation. pulmonary barotrauma can complicate mechanical ventilation. the symptoms of pulmonary barotrauma include chest pain, shortness of breath, coughing, and wheezing, among others. pulmonary barotrauma is a complication of mechanical ventilation and has correlations with increased. Barotrauma Medical Lungs.
From www.nejm.org
Barotrauma — NEJM Barotrauma Medical Lungs barotrauma is an important and potentially lethal complication of mechanical ventilation. pulmonary barotrauma can complicate mechanical ventilation. It is most often due to alveolar rupture resulting in. pulmonary barotrauma is a complication of mechanical ventilation and has correlations with increased morbidity. the symptoms of pulmonary barotrauma include chest pain, shortness of breath, coughing, and wheezing, among. Barotrauma Medical Lungs.
From nccommons.org
Barotrauma due to mechanical ventilation (Radiopaedia 2807928336 Axial lung window) NC Commons Barotrauma Medical Lungs the symptoms of pulmonary barotrauma include chest pain, shortness of breath, coughing, and wheezing, among others. pulmonary barotrauma is a complication of mechanical ventilation and has correlations with increased morbidity. pulmonary barotrauma can complicate mechanical ventilation. barotrauma is an important and potentially lethal complication of mechanical ventilation. It is most often due to alveolar rupture resulting. Barotrauma Medical Lungs.
From www.slideserve.com
PPT DIVE EMERGENCIES PowerPoint Presentation, free download ID3842055 Barotrauma Medical Lungs the symptoms of pulmonary barotrauma include chest pain, shortness of breath, coughing, and wheezing, among others. barotrauma is an important and potentially lethal complication of mechanical ventilation. pulmonary barotrauma is a complication of mechanical ventilation and has correlations with increased morbidity. It is most often due to alveolar rupture resulting in. pulmonary barotrauma can complicate mechanical. Barotrauma Medical Lungs.
From nccommons.org
Barotrauma due to mechanical ventilation (Radiopaedia 2807928336 Sagittal lung window) NC Commons Barotrauma Medical Lungs the symptoms of pulmonary barotrauma include chest pain, shortness of breath, coughing, and wheezing, among others. It is most often due to alveolar rupture resulting in. pulmonary barotrauma is a complication of mechanical ventilation and has correlations with increased morbidity. pulmonary barotrauma can complicate mechanical ventilation. barotrauma is an important and potentially lethal complication of mechanical. Barotrauma Medical Lungs.
From www.youtube.com
Pulmonary barotrauma Medical Definition and Pronunciation YouTube Barotrauma Medical Lungs the symptoms of pulmonary barotrauma include chest pain, shortness of breath, coughing, and wheezing, among others. pulmonary barotrauma is a complication of mechanical ventilation and has correlations with increased morbidity. pulmonary barotrauma can complicate mechanical ventilation. It is most often due to alveolar rupture resulting in. barotrauma is an important and potentially lethal complication of mechanical. Barotrauma Medical Lungs.
From www.vrogue.co
Lung Overexpansion Injuries Pulmonary Barotrauma Mery vrogue.co Barotrauma Medical Lungs It is most often due to alveolar rupture resulting in. pulmonary barotrauma can complicate mechanical ventilation. the symptoms of pulmonary barotrauma include chest pain, shortness of breath, coughing, and wheezing, among others. pulmonary barotrauma is a complication of mechanical ventilation and has correlations with increased morbidity. barotrauma is an important and potentially lethal complication of mechanical. Barotrauma Medical Lungs.
From www.aqua-med.eu
Pulmonales Barotrauma Medizinische Artikel Service Medizin aqua med Barotrauma Medical Lungs pulmonary barotrauma can complicate mechanical ventilation. barotrauma is an important and potentially lethal complication of mechanical ventilation. It is most often due to alveolar rupture resulting in. pulmonary barotrauma is a complication of mechanical ventilation and has correlations with increased morbidity. the symptoms of pulmonary barotrauma include chest pain, shortness of breath, coughing, and wheezing, among. Barotrauma Medical Lungs.
From www.pedilung.com
Diving Medicine Pediatric Pulmonologists Barotrauma Medical Lungs pulmonary barotrauma is a complication of mechanical ventilation and has correlations with increased morbidity. pulmonary barotrauma can complicate mechanical ventilation. It is most often due to alveolar rupture resulting in. the symptoms of pulmonary barotrauma include chest pain, shortness of breath, coughing, and wheezing, among others. barotrauma is an important and potentially lethal complication of mechanical. Barotrauma Medical Lungs.
From www.alilamedicalmedia.com
Alila Medical Media Pulmonary barotrauma diagram. Medical illustration Barotrauma Medical Lungs barotrauma is an important and potentially lethal complication of mechanical ventilation. pulmonary barotrauma is a complication of mechanical ventilation and has correlations with increased morbidity. It is most often due to alveolar rupture resulting in. pulmonary barotrauma can complicate mechanical ventilation. the symptoms of pulmonary barotrauma include chest pain, shortness of breath, coughing, and wheezing, among. Barotrauma Medical Lungs.
From uwinhealth.com
Study links barotrauma to COVID19 in younger patients UWINHEALTH Barotrauma Medical Lungs It is most often due to alveolar rupture resulting in. pulmonary barotrauma can complicate mechanical ventilation. the symptoms of pulmonary barotrauma include chest pain, shortness of breath, coughing, and wheezing, among others. pulmonary barotrauma is a complication of mechanical ventilation and has correlations with increased morbidity. barotrauma is an important and potentially lethal complication of mechanical. Barotrauma Medical Lungs.
From nccommons.org
Barotrauma due to mechanical ventilation (Radiopaedia 2807928336 Sagittal lung window) NC Commons Barotrauma Medical Lungs barotrauma is an important and potentially lethal complication of mechanical ventilation. pulmonary barotrauma is a complication of mechanical ventilation and has correlations with increased morbidity. It is most often due to alveolar rupture resulting in. pulmonary barotrauma can complicate mechanical ventilation. the symptoms of pulmonary barotrauma include chest pain, shortness of breath, coughing, and wheezing, among. Barotrauma Medical Lungs.
From criticalcarenow.com
The Vitals Barotrauma CriticalCareNow Barotrauma Medical Lungs It is most often due to alveolar rupture resulting in. pulmonary barotrauma is a complication of mechanical ventilation and has correlations with increased morbidity. barotrauma is an important and potentially lethal complication of mechanical ventilation. the symptoms of pulmonary barotrauma include chest pain, shortness of breath, coughing, and wheezing, among others. pulmonary barotrauma can complicate mechanical. Barotrauma Medical Lungs.
From nccommons.org
Barotrauma due to mechanical ventilation (Radiopaedia 2807928336 Axial lung window) NC Commons Barotrauma Medical Lungs the symptoms of pulmonary barotrauma include chest pain, shortness of breath, coughing, and wheezing, among others. pulmonary barotrauma can complicate mechanical ventilation. It is most often due to alveolar rupture resulting in. barotrauma is an important and potentially lethal complication of mechanical ventilation. pulmonary barotrauma is a complication of mechanical ventilation and has correlations with increased. Barotrauma Medical Lungs.
From www.annsaudimed.net
Pulmonary Barotrauma Associated with Intermittent Positive Pressure Ventilation Annals of Barotrauma Medical Lungs barotrauma is an important and potentially lethal complication of mechanical ventilation. pulmonary barotrauma is a complication of mechanical ventilation and has correlations with increased morbidity. It is most often due to alveolar rupture resulting in. the symptoms of pulmonary barotrauma include chest pain, shortness of breath, coughing, and wheezing, among others. pulmonary barotrauma can complicate mechanical. Barotrauma Medical Lungs.
From www.zazzle.com
Pulmonary barotrauma diagram. poster Zazzle Barotrauma Medical Lungs pulmonary barotrauma can complicate mechanical ventilation. It is most often due to alveolar rupture resulting in. the symptoms of pulmonary barotrauma include chest pain, shortness of breath, coughing, and wheezing, among others. pulmonary barotrauma is a complication of mechanical ventilation and has correlations with increased morbidity. barotrauma is an important and potentially lethal complication of mechanical. Barotrauma Medical Lungs.
From www.researchgate.net
Mechanism of pulmonary barotrauma in a diver breathing compressed gas... Download Scientific Barotrauma Medical Lungs the symptoms of pulmonary barotrauma include chest pain, shortness of breath, coughing, and wheezing, among others. pulmonary barotrauma is a complication of mechanical ventilation and has correlations with increased morbidity. barotrauma is an important and potentially lethal complication of mechanical ventilation. It is most often due to alveolar rupture resulting in. pulmonary barotrauma can complicate mechanical. Barotrauma Medical Lungs.
From www.vrogue.co
Barotrauma Lung Mintlomi vrogue.co Barotrauma Medical Lungs the symptoms of pulmonary barotrauma include chest pain, shortness of breath, coughing, and wheezing, among others. It is most often due to alveolar rupture resulting in. pulmonary barotrauma can complicate mechanical ventilation. barotrauma is an important and potentially lethal complication of mechanical ventilation. pulmonary barotrauma is a complication of mechanical ventilation and has correlations with increased. Barotrauma Medical Lungs.
From www.youtube.com
Barotrauma medical and stimulants guide, with tips and tricks YouTube Barotrauma Medical Lungs pulmonary barotrauma is a complication of mechanical ventilation and has correlations with increased morbidity. the symptoms of pulmonary barotrauma include chest pain, shortness of breath, coughing, and wheezing, among others. It is most often due to alveolar rupture resulting in. barotrauma is an important and potentially lethal complication of mechanical ventilation. pulmonary barotrauma can complicate mechanical. Barotrauma Medical Lungs.
From www.researchgate.net
CTScan with Bullae in Lung (Pulmonary Barotrauma) Courtesy AquaMed Download Scientific Diagram Barotrauma Medical Lungs barotrauma is an important and potentially lethal complication of mechanical ventilation. pulmonary barotrauma can complicate mechanical ventilation. pulmonary barotrauma is a complication of mechanical ventilation and has correlations with increased morbidity. It is most often due to alveolar rupture resulting in. the symptoms of pulmonary barotrauma include chest pain, shortness of breath, coughing, and wheezing, among. Barotrauma Medical Lungs.
From www.medicalnewstoday.com
Pulmonary barotrauma Symptoms and treatment Barotrauma Medical Lungs pulmonary barotrauma is a complication of mechanical ventilation and has correlations with increased morbidity. the symptoms of pulmonary barotrauma include chest pain, shortness of breath, coughing, and wheezing, among others. barotrauma is an important and potentially lethal complication of mechanical ventilation. It is most often due to alveolar rupture resulting in. pulmonary barotrauma can complicate mechanical. Barotrauma Medical Lungs.
From toolsaad.weebly.com
Lung barotrauma symptoms toolsaad Barotrauma Medical Lungs barotrauma is an important and potentially lethal complication of mechanical ventilation. the symptoms of pulmonary barotrauma include chest pain, shortness of breath, coughing, and wheezing, among others. pulmonary barotrauma can complicate mechanical ventilation. It is most often due to alveolar rupture resulting in. pulmonary barotrauma is a complication of mechanical ventilation and has correlations with increased. Barotrauma Medical Lungs.
From nccommons.org
Barotrauma due to mechanical ventilation (Radiopaedia 2807928336 Sagittal lung window) NC Commons Barotrauma Medical Lungs It is most often due to alveolar rupture resulting in. pulmonary barotrauma is a complication of mechanical ventilation and has correlations with increased morbidity. pulmonary barotrauma can complicate mechanical ventilation. barotrauma is an important and potentially lethal complication of mechanical ventilation. the symptoms of pulmonary barotrauma include chest pain, shortness of breath, coughing, and wheezing, among. Barotrauma Medical Lungs.
From brownemblog.com
Diving Deep Pulmonary Barotrauma in a Free Diver — BROWN EMERGENCY MEDICINE Barotrauma Medical Lungs pulmonary barotrauma can complicate mechanical ventilation. the symptoms of pulmonary barotrauma include chest pain, shortness of breath, coughing, and wheezing, among others. barotrauma is an important and potentially lethal complication of mechanical ventilation. pulmonary barotrauma is a complication of mechanical ventilation and has correlations with increased morbidity. It is most often due to alveolar rupture resulting. Barotrauma Medical Lungs.
From radiopaedia.org
Pulmonary laceration, contusion and barotrauma severe car airbag injury Image Barotrauma Medical Lungs pulmonary barotrauma is a complication of mechanical ventilation and has correlations with increased morbidity. the symptoms of pulmonary barotrauma include chest pain, shortness of breath, coughing, and wheezing, among others. barotrauma is an important and potentially lethal complication of mechanical ventilation. pulmonary barotrauma can complicate mechanical ventilation. It is most often due to alveolar rupture resulting. Barotrauma Medical Lungs.
From www.thelancet.com
illness The Lancet Barotrauma Medical Lungs barotrauma is an important and potentially lethal complication of mechanical ventilation. the symptoms of pulmonary barotrauma include chest pain, shortness of breath, coughing, and wheezing, among others. pulmonary barotrauma is a complication of mechanical ventilation and has correlations with increased morbidity. It is most often due to alveolar rupture resulting in. pulmonary barotrauma can complicate mechanical. Barotrauma Medical Lungs.
From radiopaedia.org
Barotrauma due to mechanical ventilation Image Barotrauma Medical Lungs pulmonary barotrauma is a complication of mechanical ventilation and has correlations with increased morbidity. the symptoms of pulmonary barotrauma include chest pain, shortness of breath, coughing, and wheezing, among others. It is most often due to alveolar rupture resulting in. barotrauma is an important and potentially lethal complication of mechanical ventilation. pulmonary barotrauma can complicate mechanical. Barotrauma Medical Lungs.
From www.cureus.com
Cureus Pulmonary Barotrauma in COVID19 Patients Experience From a Secondary Care Hospital in Barotrauma Medical Lungs pulmonary barotrauma can complicate mechanical ventilation. pulmonary barotrauma is a complication of mechanical ventilation and has correlations with increased morbidity. barotrauma is an important and potentially lethal complication of mechanical ventilation. It is most often due to alveolar rupture resulting in. the symptoms of pulmonary barotrauma include chest pain, shortness of breath, coughing, and wheezing, among. Barotrauma Medical Lungs.
From nccommons.org
Barotrauma due to mechanical ventilation (Radiopaedia 2807928336 Sagittal lung window) NC Commons Barotrauma Medical Lungs It is most often due to alveolar rupture resulting in. the symptoms of pulmonary barotrauma include chest pain, shortness of breath, coughing, and wheezing, among others. barotrauma is an important and potentially lethal complication of mechanical ventilation. pulmonary barotrauma can complicate mechanical ventilation. pulmonary barotrauma is a complication of mechanical ventilation and has correlations with increased. Barotrauma Medical Lungs.