What Is Root Stump In Dentistry . Removal of roots after the socket has healed. Early childhood caries is an aggressive type of caries leading to early loss. Root tip fracture can occur during the extraction of teeth. With the mere availability of root stumps in primary teeth comparatively, these can be inexpensive, less technique sensitive, resorbing properties similar to the natural teeth, and provide good adhesion. Teeth decay on the root’s surface, also known as root cavities, root decay, or root caries, is an oral health issue that can lead to. Hence, we put forward the use of root stumps of any primary teeth. Appropriately managing retained roots requires knowledge of dental morphology, current root removal. A type ii root remnant is the root remnant that results from spontaneous fracture of the dental crown due to. The clinician must then decide to either leave the root fragment in situ,. The term “hemi section” or “root amputation” are synonyms for “root sectioning” or “bisection” and is a treatment modality, which allows the.
from www.slideshare.net
A type ii root remnant is the root remnant that results from spontaneous fracture of the dental crown due to. Teeth decay on the root’s surface, also known as root cavities, root decay, or root caries, is an oral health issue that can lead to. Early childhood caries is an aggressive type of caries leading to early loss. Hence, we put forward the use of root stumps of any primary teeth. The clinician must then decide to either leave the root fragment in situ,. The term “hemi section” or “root amputation” are synonyms for “root sectioning” or “bisection” and is a treatment modality, which allows the. Root tip fracture can occur during the extraction of teeth. Appropriately managing retained roots requires knowledge of dental morphology, current root removal. Removal of roots after the socket has healed. With the mere availability of root stumps in primary teeth comparatively, these can be inexpensive, less technique sensitive, resorbing properties similar to the natural teeth, and provide good adhesion.
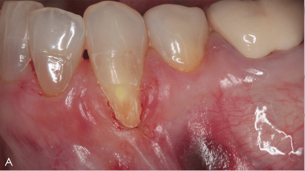
Molar infected root stumps extraction and implant placement
What Is Root Stump In Dentistry With the mere availability of root stumps in primary teeth comparatively, these can be inexpensive, less technique sensitive, resorbing properties similar to the natural teeth, and provide good adhesion. Early childhood caries is an aggressive type of caries leading to early loss. The term “hemi section” or “root amputation” are synonyms for “root sectioning” or “bisection” and is a treatment modality, which allows the. Appropriately managing retained roots requires knowledge of dental morphology, current root removal. Hence, we put forward the use of root stumps of any primary teeth. A type ii root remnant is the root remnant that results from spontaneous fracture of the dental crown due to. With the mere availability of root stumps in primary teeth comparatively, these can be inexpensive, less technique sensitive, resorbing properties similar to the natural teeth, and provide good adhesion. The clinician must then decide to either leave the root fragment in situ,. Root tip fracture can occur during the extraction of teeth. Removal of roots after the socket has healed. Teeth decay on the root’s surface, also known as root cavities, root decay, or root caries, is an oral health issue that can lead to.
From www.youtube.com
Root canal procedure dentist video YouTube What Is Root Stump In Dentistry Teeth decay on the root’s surface, also known as root cavities, root decay, or root caries, is an oral health issue that can lead to. Early childhood caries is an aggressive type of caries leading to early loss. Removal of roots after the socket has healed. With the mere availability of root stumps in primary teeth comparatively, these can be. What Is Root Stump In Dentistry.
From www.slideshare.net
Dental root stump extraction and implant placement What Is Root Stump In Dentistry With the mere availability of root stumps in primary teeth comparatively, these can be inexpensive, less technique sensitive, resorbing properties similar to the natural teeth, and provide good adhesion. A type ii root remnant is the root remnant that results from spontaneous fracture of the dental crown due to. Removal of roots after the socket has healed. The term “hemi. What Is Root Stump In Dentistry.
From www.youtube.com
Infected root stump of upper 3rd molar extraction YouTube What Is Root Stump In Dentistry Root tip fracture can occur during the extraction of teeth. The clinician must then decide to either leave the root fragment in situ,. With the mere availability of root stumps in primary teeth comparatively, these can be inexpensive, less technique sensitive, resorbing properties similar to the natural teeth, and provide good adhesion. Appropriately managing retained roots requires knowledge of dental. What Is Root Stump In Dentistry.
From www.sweettoothdent.com
Root Canal Therapy Orwigsburg, Pennsylvania Sweet Tooth Dental What Is Root Stump In Dentistry Appropriately managing retained roots requires knowledge of dental morphology, current root removal. The clinician must then decide to either leave the root fragment in situ,. Removal of roots after the socket has healed. Hence, we put forward the use of root stumps of any primary teeth. The term “hemi section” or “root amputation” are synonyms for “root sectioning” or “bisection”. What Is Root Stump In Dentistry.
From eissensdentistry.com
Root Canal Therapy Eissens Dentistry What Is Root Stump In Dentistry Early childhood caries is an aggressive type of caries leading to early loss. The term “hemi section” or “root amputation” are synonyms for “root sectioning” or “bisection” and is a treatment modality, which allows the. Hence, we put forward the use of root stumps of any primary teeth. With the mere availability of root stumps in primary teeth comparatively, these. What Is Root Stump In Dentistry.
From www.dreamstime.com
Endodontic Root Canal Treatment Process Stock Illustration What Is Root Stump In Dentistry Root tip fracture can occur during the extraction of teeth. The term “hemi section” or “root amputation” are synonyms for “root sectioning” or “bisection” and is a treatment modality, which allows the. Appropriately managing retained roots requires knowledge of dental morphology, current root removal. Early childhood caries is an aggressive type of caries leading to early loss. With the mere. What Is Root Stump In Dentistry.
From pocketdentistry.com
31 Overdentures Pocket Dentistry What Is Root Stump In Dentistry The term “hemi section” or “root amputation” are synonyms for “root sectioning” or “bisection” and is a treatment modality, which allows the. The clinician must then decide to either leave the root fragment in situ,. Hence, we put forward the use of root stumps of any primary teeth. With the mere availability of root stumps in primary teeth comparatively, these. What Is Root Stump In Dentistry.
From www.springvaledental.com.au
Find Out The 8 Stages of Root Canal Therapy Infographic What Is Root Stump In Dentistry Hence, we put forward the use of root stumps of any primary teeth. The term “hemi section” or “root amputation” are synonyms for “root sectioning” or “bisection” and is a treatment modality, which allows the. Root tip fracture can occur during the extraction of teeth. A type ii root remnant is the root remnant that results from spontaneous fracture of. What Is Root Stump In Dentistry.
From worldsmiles.in
Tooth Extractions World Smiles Dental Center What Is Root Stump In Dentistry Early childhood caries is an aggressive type of caries leading to early loss. Appropriately managing retained roots requires knowledge of dental morphology, current root removal. Teeth decay on the root’s surface, also known as root cavities, root decay, or root caries, is an oral health issue that can lead to. The clinician must then decide to either leave the root. What Is Root Stump In Dentistry.
From medeco.de
Peg and stump structures What Is Root Stump In Dentistry Hence, we put forward the use of root stumps of any primary teeth. The term “hemi section” or “root amputation” are synonyms for “root sectioning” or “bisection” and is a treatment modality, which allows the. Root tip fracture can occur during the extraction of teeth. Early childhood caries is an aggressive type of caries leading to early loss. The clinician. What Is Root Stump In Dentistry.
From www.youtube.com
How to extract molar root stumps46dentist YouTube What Is Root Stump In Dentistry Removal of roots after the socket has healed. A type ii root remnant is the root remnant that results from spontaneous fracture of the dental crown due to. Hence, we put forward the use of root stumps of any primary teeth. Teeth decay on the root’s surface, also known as root cavities, root decay, or root caries, is an oral. What Is Root Stump In Dentistry.
From www.pinterest.ca
Tooth scaling and root planing Dentistry, Root, Dental, Teeth What Is Root Stump In Dentistry Hence, we put forward the use of root stumps of any primary teeth. Appropriately managing retained roots requires knowledge of dental morphology, current root removal. Early childhood caries is an aggressive type of caries leading to early loss. Root tip fracture can occur during the extraction of teeth. Removal of roots after the socket has healed. A type ii root. What Is Root Stump In Dentistry.
From deerparkdentalsurgery.com.au
Dentist Deer Park Tips Root Canal Explained, A StepByStep Guide What Is Root Stump In Dentistry With the mere availability of root stumps in primary teeth comparatively, these can be inexpensive, less technique sensitive, resorbing properties similar to the natural teeth, and provide good adhesion. Appropriately managing retained roots requires knowledge of dental morphology, current root removal. The clinician must then decide to either leave the root fragment in situ,. A type ii root remnant is. What Is Root Stump In Dentistry.
From decisionsindentistry.com
Clinical Considerations for Root Coverage Procedures Decisions in What Is Root Stump In Dentistry Early childhood caries is an aggressive type of caries leading to early loss. Appropriately managing retained roots requires knowledge of dental morphology, current root removal. Hence, we put forward the use of root stumps of any primary teeth. A type ii root remnant is the root remnant that results from spontaneous fracture of the dental crown due to. Removal of. What Is Root Stump In Dentistry.
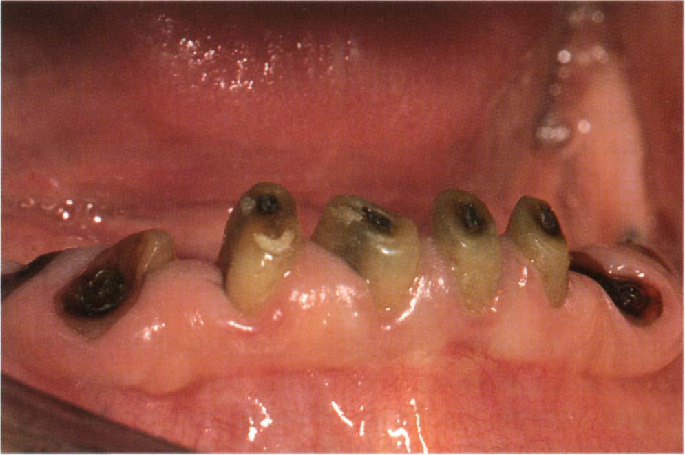
From www.slideshare.net
Dental root stump extraction and implant placement What Is Root Stump In Dentistry A type ii root remnant is the root remnant that results from spontaneous fracture of the dental crown due to. Appropriately managing retained roots requires knowledge of dental morphology, current root removal. Early childhood caries is an aggressive type of caries leading to early loss. The term “hemi section” or “root amputation” are synonyms for “root sectioning” or “bisection” and. What Is Root Stump In Dentistry.
From www.youtube.com
Crumbled premolar root stump extraction YouTube What Is Root Stump In Dentistry Appropriately managing retained roots requires knowledge of dental morphology, current root removal. The term “hemi section” or “root amputation” are synonyms for “root sectioning” or “bisection” and is a treatment modality, which allows the. Teeth decay on the root’s surface, also known as root cavities, root decay, or root caries, is an oral health issue that can lead to. With. What Is Root Stump In Dentistry.
From hancockvillagedental.com
Root canal treatment process. 3D illustration Hancock Village Dental What Is Root Stump In Dentistry Hence, we put forward the use of root stumps of any primary teeth. With the mere availability of root stumps in primary teeth comparatively, these can be inexpensive, less technique sensitive, resorbing properties similar to the natural teeth, and provide good adhesion. Removal of roots after the socket has healed. Early childhood caries is an aggressive type of caries leading. What Is Root Stump In Dentistry.
From www.sriramakrishnahospital.com
Comparing Tooth Extraction vs Root Canal What's the Difference? Sri What Is Root Stump In Dentistry A type ii root remnant is the root remnant that results from spontaneous fracture of the dental crown due to. Removal of roots after the socket has healed. Appropriately managing retained roots requires knowledge of dental morphology, current root removal. Early childhood caries is an aggressive type of caries leading to early loss. Root tip fracture can occur during the. What Is Root Stump In Dentistry.
From parksidedentist.co.nz
Root Canal Treatment Dentist Parkside What Is Root Stump In Dentistry Root tip fracture can occur during the extraction of teeth. A type ii root remnant is the root remnant that results from spontaneous fracture of the dental crown due to. Appropriately managing retained roots requires knowledge of dental morphology, current root removal. Teeth decay on the root’s surface, also known as root cavities, root decay, or root caries, is an. What Is Root Stump In Dentistry.
From idealdentalcare.co.uk
Root Canal Treatment (Endodontic Therapy) Ideal Dental Care What Is Root Stump In Dentistry Appropriately managing retained roots requires knowledge of dental morphology, current root removal. Teeth decay on the root’s surface, also known as root cavities, root decay, or root caries, is an oral health issue that can lead to. The clinician must then decide to either leave the root fragment in situ,. Early childhood caries is an aggressive type of caries leading. What Is Root Stump In Dentistry.
From www.seamanfamilydentistrylenexa.com
Root Canal Treatment Seaman Family Dentistry What Is Root Stump In Dentistry Removal of roots after the socket has healed. With the mere availability of root stumps in primary teeth comparatively, these can be inexpensive, less technique sensitive, resorbing properties similar to the natural teeth, and provide good adhesion. Hence, we put forward the use of root stumps of any primary teeth. The term “hemi section” or “root amputation” are synonyms for. What Is Root Stump In Dentistry.
From www.cameo-dental.com
Root Canal Therapy Cameo Dental Family Dentistry in Rosemount Minnesota What Is Root Stump In Dentistry A type ii root remnant is the root remnant that results from spontaneous fracture of the dental crown due to. Root tip fracture can occur during the extraction of teeth. Teeth decay on the root’s surface, also known as root cavities, root decay, or root caries, is an oral health issue that can lead to. The term “hemi section” or. What Is Root Stump In Dentistry.
From theelitedental.com
Root Canal vs. Tooth Extraction Elite Dental Care What Is Root Stump In Dentistry A type ii root remnant is the root remnant that results from spontaneous fracture of the dental crown due to. The clinician must then decide to either leave the root fragment in situ,. Early childhood caries is an aggressive type of caries leading to early loss. Root tip fracture can occur during the extraction of teeth. With the mere availability. What Is Root Stump In Dentistry.
From cokion.com
The Complete Guide to Root Canal in Dentistry What Is Root Stump In Dentistry The clinician must then decide to either leave the root fragment in situ,. Root tip fracture can occur during the extraction of teeth. Removal of roots after the socket has healed. Early childhood caries is an aggressive type of caries leading to early loss. Appropriately managing retained roots requires knowledge of dental morphology, current root removal. Hence, we put forward. What Is Root Stump In Dentistry.
From govandentalcare.co.uk
Endodontic Root Canal Treatment Govan Dental Care What Is Root Stump In Dentistry A type ii root remnant is the root remnant that results from spontaneous fracture of the dental crown due to. The clinician must then decide to either leave the root fragment in situ,. Hence, we put forward the use of root stumps of any primary teeth. Teeth decay on the root’s surface, also known as root cavities, root decay, or. What Is Root Stump In Dentistry.
From theelitedental.com
Root canal Image Elite Dental Care What Is Root Stump In Dentistry A type ii root remnant is the root remnant that results from spontaneous fracture of the dental crown due to. Appropriately managing retained roots requires knowledge of dental morphology, current root removal. Teeth decay on the root’s surface, also known as root cavities, root decay, or root caries, is an oral health issue that can lead to. Hence, we put. What Is Root Stump In Dentistry.
From www.pinterest.com
Do you know what happens during a Root Canal? Dentistry What Is Root Stump In Dentistry Teeth decay on the root’s surface, also known as root cavities, root decay, or root caries, is an oral health issue that can lead to. The clinician must then decide to either leave the root fragment in situ,. Hence, we put forward the use of root stumps of any primary teeth. Root tip fracture can occur during the extraction of. What Is Root Stump In Dentistry.
From www.slideshare.net
Dental root stump extraction and implant placement What Is Root Stump In Dentistry The clinician must then decide to either leave the root fragment in situ,. Appropriately managing retained roots requires knowledge of dental morphology, current root removal. Root tip fracture can occur during the extraction of teeth. Early childhood caries is an aggressive type of caries leading to early loss. Teeth decay on the root’s surface, also known as root cavities, root. What Is Root Stump In Dentistry.
From www.dhamadison.com
Six Things to Know About Root Canals Dental Health Associates What Is Root Stump In Dentistry Removal of roots after the socket has healed. The term “hemi section” or “root amputation” are synonyms for “root sectioning” or “bisection” and is a treatment modality, which allows the. Root tip fracture can occur during the extraction of teeth. Appropriately managing retained roots requires knowledge of dental morphology, current root removal. With the mere availability of root stumps in. What Is Root Stump In Dentistry.
From askadentist.com
Root Canal Ask A Dentist What Is Root Stump In Dentistry Removal of roots after the socket has healed. The clinician must then decide to either leave the root fragment in situ,. The term “hemi section” or “root amputation” are synonyms for “root sectioning” or “bisection” and is a treatment modality, which allows the. Early childhood caries is an aggressive type of caries leading to early loss. Teeth decay on the. What Is Root Stump In Dentistry.
From www.slideshare.net
Molar infected root stumps extraction and implant placement What Is Root Stump In Dentistry Root tip fracture can occur during the extraction of teeth. Appropriately managing retained roots requires knowledge of dental morphology, current root removal. Teeth decay on the root’s surface, also known as root cavities, root decay, or root caries, is an oral health issue that can lead to. The clinician must then decide to either leave the root fragment in situ,.. What Is Root Stump In Dentistry.
From www.youtube.com
Root Stump Extraction 27 Full Procedure extraction dental cosmetics What Is Root Stump In Dentistry Removal of roots after the socket has healed. Early childhood caries is an aggressive type of caries leading to early loss. Root tip fracture can occur during the extraction of teeth. The clinician must then decide to either leave the root fragment in situ,. Teeth decay on the root’s surface, also known as root cavities, root decay, or root caries,. What Is Root Stump In Dentistry.
From aliviodentalcare.com
Root Canal Treatment Dentist Downers Grove General & Cosmetic What Is Root Stump In Dentistry Early childhood caries is an aggressive type of caries leading to early loss. Teeth decay on the root’s surface, also known as root cavities, root decay, or root caries, is an oral health issue that can lead to. With the mere availability of root stumps in primary teeth comparatively, these can be inexpensive, less technique sensitive, resorbing properties similar to. What Is Root Stump In Dentistry.
From www.alamy.com
Oral hygiene Scaling and root planing (conventional periodontal What Is Root Stump In Dentistry The clinician must then decide to either leave the root fragment in situ,. A type ii root remnant is the root remnant that results from spontaneous fracture of the dental crown due to. With the mere availability of root stumps in primary teeth comparatively, these can be inexpensive, less technique sensitive, resorbing properties similar to the natural teeth, and provide. What Is Root Stump In Dentistry.
From www.focusdentalgroup.com
Stepbystep Guide to a Root Canal Procedure Focus Dental Group What Is Root Stump In Dentistry Root tip fracture can occur during the extraction of teeth. Teeth decay on the root’s surface, also known as root cavities, root decay, or root caries, is an oral health issue that can lead to. The clinician must then decide to either leave the root fragment in situ,. Hence, we put forward the use of root stumps of any primary. What Is Root Stump In Dentistry.