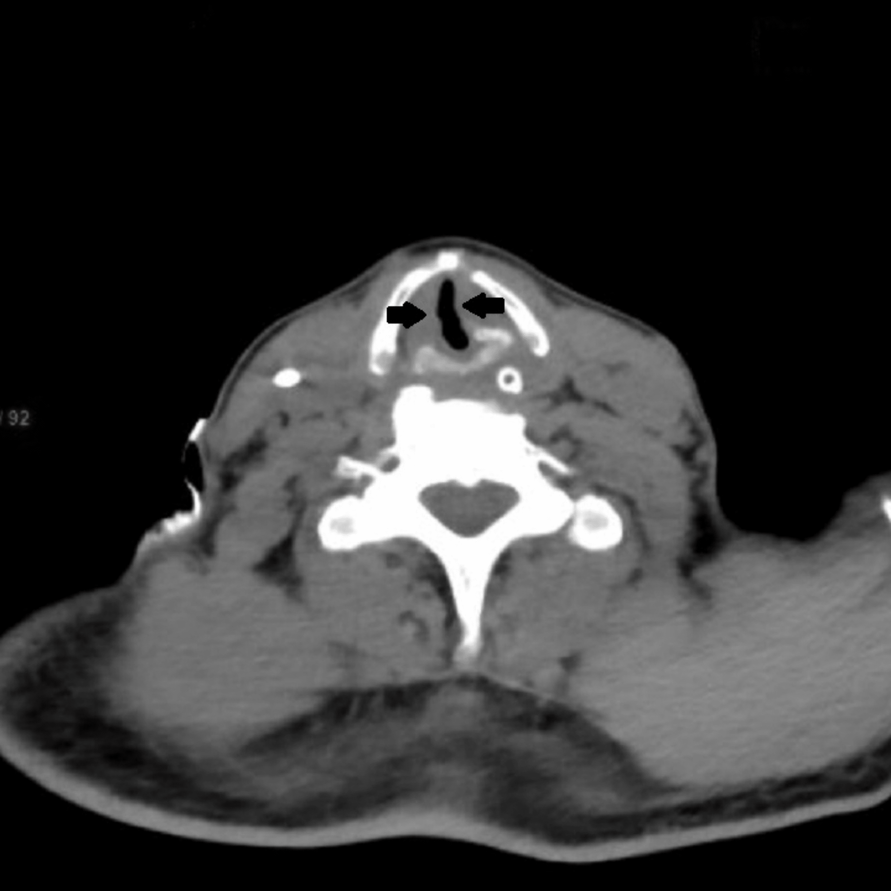
Extubation Airway Edema . Extubation refers to removal of the endotracheal tube. It is the final step in liberating a patient from mechanical ventilation. Consider extubation over an airway exchange catheter: Laryngeal edema reported in as many as 40% of prolonged intubations; Post intubation laryngeal edema is common after endotracheal intubation and clinically manifests after extubation. 5% patients experience severe upper airway obstruction following extubation; Can be detected by ‘cuff leak’ test; Laryngeal edema is a common cause of airway obstruction in the recently extubated intensive care unit (icu) patient. Skill level of junior staff in unit overnight. Remember to consider other factors: Leave the airway exchange catheter in place temporarily to ensure that the airway is patent. Laryngeal edema (le) is a frequent complication of intubation and is caused by trauma to the larynx [1, 2].
from www.slideserve.com
Skill level of junior staff in unit overnight. Extubation refers to removal of the endotracheal tube. Laryngeal edema reported in as many as 40% of prolonged intubations; Laryngeal edema (le) is a frequent complication of intubation and is caused by trauma to the larynx [1, 2]. It is the final step in liberating a patient from mechanical ventilation. Consider extubation over an airway exchange catheter: Leave the airway exchange catheter in place temporarily to ensure that the airway is patent. Laryngeal edema is a common cause of airway obstruction in the recently extubated intensive care unit (icu) patient. Post intubation laryngeal edema is common after endotracheal intubation and clinically manifests after extubation. Can be detected by ‘cuff leak’ test;
PPT PostExtubation Emergencies PowerPoint Presentation, free
Extubation Airway Edema Laryngeal edema is a common cause of airway obstruction in the recently extubated intensive care unit (icu) patient. It is the final step in liberating a patient from mechanical ventilation. Extubation refers to removal of the endotracheal tube. Post intubation laryngeal edema is common after endotracheal intubation and clinically manifests after extubation. Leave the airway exchange catheter in place temporarily to ensure that the airway is patent. Laryngeal edema (le) is a frequent complication of intubation and is caused by trauma to the larynx [1, 2]. Remember to consider other factors: Laryngeal edema reported in as many as 40% of prolonged intubations; Can be detected by ‘cuff leak’ test; Consider extubation over an airway exchange catheter: 5% patients experience severe upper airway obstruction following extubation; Skill level of junior staff in unit overnight. Laryngeal edema is a common cause of airway obstruction in the recently extubated intensive care unit (icu) patient.
From erj.ersjournals.com
Laryngeal ultrasound a useful method in predicting postextubation Extubation Airway Edema Skill level of junior staff in unit overnight. Can be detected by ‘cuff leak’ test; 5% patients experience severe upper airway obstruction following extubation; Leave the airway exchange catheter in place temporarily to ensure that the airway is patent. Post intubation laryngeal edema is common after endotracheal intubation and clinically manifests after extubation. Extubation refers to removal of the endotracheal. Extubation Airway Edema.
From www.ccam.net.au
Extubation and Airway Exchange Critical Care Airway Management Extubation Airway Edema Remember to consider other factors: Laryngeal edema is a common cause of airway obstruction in the recently extubated intensive care unit (icu) patient. 5% patients experience severe upper airway obstruction following extubation; Can be detected by ‘cuff leak’ test; Skill level of junior staff in unit overnight. It is the final step in liberating a patient from mechanical ventilation. Extubation. Extubation Airway Edema.
From www.slideserve.com
PPT Weaning and Discontinuation of Ventilatory Support PowerPoint Extubation Airway Edema Consider extubation over an airway exchange catheter: Laryngeal edema (le) is a frequent complication of intubation and is caused by trauma to the larynx [1, 2]. It is the final step in liberating a patient from mechanical ventilation. Skill level of junior staff in unit overnight. Leave the airway exchange catheter in place temporarily to ensure that the airway is. Extubation Airway Edema.
From www.slideserve.com
PPT Laryngeal Spasm and Negative Pressure Pulmonary Edema PowerPoint Extubation Airway Edema Extubation refers to removal of the endotracheal tube. Laryngeal edema is a common cause of airway obstruction in the recently extubated intensive care unit (icu) patient. Laryngeal edema reported in as many as 40% of prolonged intubations; Remember to consider other factors: Can be detected by ‘cuff leak’ test; Laryngeal edema (le) is a frequent complication of intubation and is. Extubation Airway Edema.
From www.shanahq.com
Extubation of the Difficult Airway and Extubation Failure Society for Extubation Airway Edema Extubation refers to removal of the endotracheal tube. Skill level of junior staff in unit overnight. 5% patients experience severe upper airway obstruction following extubation; Consider extubation over an airway exchange catheter: It is the final step in liberating a patient from mechanical ventilation. Post intubation laryngeal edema is common after endotracheal intubation and clinically manifests after extubation. Can be. Extubation Airway Edema.
From www.slideserve.com
PPT Upper Airway Obstruction PowerPoint Presentation, free download Extubation Airway Edema It is the final step in liberating a patient from mechanical ventilation. Laryngeal edema is a common cause of airway obstruction in the recently extubated intensive care unit (icu) patient. Consider extubation over an airway exchange catheter: Remember to consider other factors: Leave the airway exchange catheter in place temporarily to ensure that the airway is patent. Can be detected. Extubation Airway Edema.
From slideplayer.com
CPC Review of Airway Anatomy and Difficult Airway Management ppt download Extubation Airway Edema Laryngeal edema reported in as many as 40% of prolonged intubations; Can be detected by ‘cuff leak’ test; Extubation refers to removal of the endotracheal tube. Skill level of junior staff in unit overnight. Remember to consider other factors: 5% patients experience severe upper airway obstruction following extubation; Laryngeal edema (le) is a frequent complication of intubation and is caused. Extubation Airway Edema.
From slideplayer.com
Causes and management of acute airway obstruction in children ppt Extubation Airway Edema It is the final step in liberating a patient from mechanical ventilation. Skill level of junior staff in unit overnight. 5% patients experience severe upper airway obstruction following extubation; Extubation refers to removal of the endotracheal tube. Remember to consider other factors: Leave the airway exchange catheter in place temporarily to ensure that the airway is patent. Laryngeal edema reported. Extubation Airway Edema.
From www.researchgate.net
Extubation failure management Flow. BLPAP bilevel positive airway Extubation Airway Edema Laryngeal edema is a common cause of airway obstruction in the recently extubated intensive care unit (icu) patient. Can be detected by ‘cuff leak’ test; Leave the airway exchange catheter in place temporarily to ensure that the airway is patent. 5% patients experience severe upper airway obstruction following extubation; Laryngeal edema (le) is a frequent complication of intubation and is. Extubation Airway Edema.
From www.slideserve.com
PPT Airway intubation PowerPoint Presentation, free download ID2894259 Extubation Airway Edema Extubation refers to removal of the endotracheal tube. Laryngeal edema reported in as many as 40% of prolonged intubations; Laryngeal edema (le) is a frequent complication of intubation and is caused by trauma to the larynx [1, 2]. Remember to consider other factors: Skill level of junior staff in unit overnight. Consider extubation over an airway exchange catheter: Laryngeal edema. Extubation Airway Edema.
From xenonhealth.com
Xenon Health Extubation Airway Edema Extubation refers to removal of the endotracheal tube. Skill level of junior staff in unit overnight. Laryngeal edema reported in as many as 40% of prolonged intubations; Consider extubation over an airway exchange catheter: Laryngeal edema (le) is a frequent complication of intubation and is caused by trauma to the larynx [1, 2]. It is the final step in liberating. Extubation Airway Edema.
From www.slideserve.com
PPT Weaning and Discontinuation of Ventilatory Support PowerPoint Extubation Airway Edema Remember to consider other factors: Laryngeal edema reported in as many as 40% of prolonged intubations; Post intubation laryngeal edema is common after endotracheal intubation and clinically manifests after extubation. It is the final step in liberating a patient from mechanical ventilation. Consider extubation over an airway exchange catheter: Extubation refers to removal of the endotracheal tube. Skill level of. Extubation Airway Edema.
From www.ccam.net.au
Extubation and Airway Exchange Critical Care Airway Extubation Airway Edema Laryngeal edema (le) is a frequent complication of intubation and is caused by trauma to the larynx [1, 2]. Extubation refers to removal of the endotracheal tube. Remember to consider other factors: Leave the airway exchange catheter in place temporarily to ensure that the airway is patent. Laryngeal edema is a common cause of airway obstruction in the recently extubated. Extubation Airway Edema.
From www.slideserve.com
PPT Airway intubation PowerPoint Presentation, free download ID2894259 Extubation Airway Edema 5% patients experience severe upper airway obstruction following extubation; Post intubation laryngeal edema is common after endotracheal intubation and clinically manifests after extubation. Extubation refers to removal of the endotracheal tube. Laryngeal edema is a common cause of airway obstruction in the recently extubated intensive care unit (icu) patient. Leave the airway exchange catheter in place temporarily to ensure that. Extubation Airway Edema.
From www.cureus.com
Postextubation Stridor in a Case of Intracranial Bleed Assessing Extubation Airway Edema Consider extubation over an airway exchange catheter: Skill level of junior staff in unit overnight. Laryngeal edema (le) is a frequent complication of intubation and is caused by trauma to the larynx [1, 2]. Can be detected by ‘cuff leak’ test; Leave the airway exchange catheter in place temporarily to ensure that the airway is patent. Post intubation laryngeal edema. Extubation Airway Edema.
From www.semanticscholar.org
[PDF] Achieving Successful Extubation and CostEffective Recovery Extubation Airway Edema Extubation refers to removal of the endotracheal tube. Skill level of junior staff in unit overnight. Leave the airway exchange catheter in place temporarily to ensure that the airway is patent. Laryngeal edema (le) is a frequent complication of intubation and is caused by trauma to the larynx [1, 2]. It is the final step in liberating a patient from. Extubation Airway Edema.
From advances.massgeneral.org
Postextubation Stridor in COVID19 Mass General Advances in Motion Extubation Airway Edema Laryngeal edema (le) is a frequent complication of intubation and is caused by trauma to the larynx [1, 2]. Laryngeal edema is a common cause of airway obstruction in the recently extubated intensive care unit (icu) patient. Post intubation laryngeal edema is common after endotracheal intubation and clinically manifests after extubation. Skill level of junior staff in unit overnight. 5%. Extubation Airway Edema.
From www.slideserve.com
PPT Upper Airway Obstruction PowerPoint Presentation, free download Extubation Airway Edema 5% patients experience severe upper airway obstruction following extubation; Laryngeal edema (le) is a frequent complication of intubation and is caused by trauma to the larynx [1, 2]. Leave the airway exchange catheter in place temporarily to ensure that the airway is patent. Consider extubation over an airway exchange catheter: Skill level of junior staff in unit overnight. It is. Extubation Airway Edema.
From slidetodoc.com
Endotracheal Intubation Advantages of Intubation A cuffed endotracheal Extubation Airway Edema Remember to consider other factors: Leave the airway exchange catheter in place temporarily to ensure that the airway is patent. It is the final step in liberating a patient from mechanical ventilation. Laryngeal edema (le) is a frequent complication of intubation and is caused by trauma to the larynx [1, 2]. Extubation refers to removal of the endotracheal tube. Skill. Extubation Airway Edema.
From www.slideserve.com
PPT PostExtubation Emergencies PowerPoint Presentation, free Extubation Airway Edema 5% patients experience severe upper airway obstruction following extubation; Post intubation laryngeal edema is common after endotracheal intubation and clinically manifests after extubation. Skill level of junior staff in unit overnight. Laryngeal edema (le) is a frequent complication of intubation and is caused by trauma to the larynx [1, 2]. Extubation refers to removal of the endotracheal tube. Remember to. Extubation Airway Edema.
From www.slideserve.com
PPT ENDOTRACHEAL INTUBATION PowerPoint Presentation, free download Extubation Airway Edema Remember to consider other factors: Leave the airway exchange catheter in place temporarily to ensure that the airway is patent. Post intubation laryngeal edema is common after endotracheal intubation and clinically manifests after extubation. Can be detected by ‘cuff leak’ test; Laryngeal edema is a common cause of airway obstruction in the recently extubated intensive care unit (icu) patient. Laryngeal. Extubation Airway Edema.
From www.researchgate.net
(PDF) Treatment of upper airway oedema prior to extubation Extubation Airway Edema Remember to consider other factors: Laryngeal edema reported in as many as 40% of prolonged intubations; Skill level of junior staff in unit overnight. Extubation refers to removal of the endotracheal tube. Laryngeal edema (le) is a frequent complication of intubation and is caused by trauma to the larynx [1, 2]. Laryngeal edema is a common cause of airway obstruction. Extubation Airway Edema.
From www.slideserve.com
PPT Airway intubation PowerPoint Presentation, free download ID2894259 Extubation Airway Edema Consider extubation over an airway exchange catheter: 5% patients experience severe upper airway obstruction following extubation; Laryngeal edema (le) is a frequent complication of intubation and is caused by trauma to the larynx [1, 2]. Post intubation laryngeal edema is common after endotracheal intubation and clinically manifests after extubation. Laryngeal edema reported in as many as 40% of prolonged intubations;. Extubation Airway Edema.
From journals.sagepub.com
Risk factors associated with symptoms of postextubation upper airway Extubation Airway Edema Leave the airway exchange catheter in place temporarily to ensure that the airway is patent. Laryngeal edema is a common cause of airway obstruction in the recently extubated intensive care unit (icu) patient. Extubation refers to removal of the endotracheal tube. Skill level of junior staff in unit overnight. Laryngeal edema (le) is a frequent complication of intubation and is. Extubation Airway Edema.
From www.slideserve.com
PPT Airway Management Part III PowerPoint Presentation, free download Extubation Airway Edema Laryngeal edema (le) is a frequent complication of intubation and is caused by trauma to the larynx [1, 2]. Can be detected by ‘cuff leak’ test; Post intubation laryngeal edema is common after endotracheal intubation and clinically manifests after extubation. Laryngeal edema is a common cause of airway obstruction in the recently extubated intensive care unit (icu) patient. Leave the. Extubation Airway Edema.
From slideplayer.com
CPC Review of Airway Anatomy and Difficult Airway Management ppt download Extubation Airway Edema It is the final step in liberating a patient from mechanical ventilation. 5% patients experience severe upper airway obstruction following extubation; Post intubation laryngeal edema is common after endotracheal intubation and clinically manifests after extubation. Can be detected by ‘cuff leak’ test; Laryngeal edema reported in as many as 40% of prolonged intubations; Consider extubation over an airway exchange catheter:. Extubation Airway Edema.
From www.slideserve.com
PPT Chapter 47 Discontinuing Ventilatory Support PowerPoint Extubation Airway Edema Extubation refers to removal of the endotracheal tube. Laryngeal edema reported in as many as 40% of prolonged intubations; Can be detected by ‘cuff leak’ test; Skill level of junior staff in unit overnight. Laryngeal edema (le) is a frequent complication of intubation and is caused by trauma to the larynx [1, 2]. Leave the airway exchange catheter in place. Extubation Airway Edema.
From airwayjedi.com
Extubation Plan The End At The Beginning The Airway Jedi Extubation Airway Edema Extubation refers to removal of the endotracheal tube. It is the final step in liberating a patient from mechanical ventilation. Consider extubation over an airway exchange catheter: Laryngeal edema is a common cause of airway obstruction in the recently extubated intensive care unit (icu) patient. Skill level of junior staff in unit overnight. Post intubation laryngeal edema is common after. Extubation Airway Edema.
From www.researchgate.net
(PDF) Postextubation laryngeal edema and stridor resulting in Extubation Airway Edema Consider extubation over an airway exchange catheter: 5% patients experience severe upper airway obstruction following extubation; Laryngeal edema reported in as many as 40% of prolonged intubations; Post intubation laryngeal edema is common after endotracheal intubation and clinically manifests after extubation. Remember to consider other factors: Skill level of junior staff in unit overnight. Laryngeal edema (le) is a frequent. Extubation Airway Edema.
From www.apsf.org
Unplanned Extubation in the Perioperative Environment Anesthesia Extubation Airway Edema Leave the airway exchange catheter in place temporarily to ensure that the airway is patent. It is the final step in liberating a patient from mechanical ventilation. Laryngeal edema reported in as many as 40% of prolonged intubations; Can be detected by ‘cuff leak’ test; Laryngeal edema (le) is a frequent complication of intubation and is caused by trauma to. Extubation Airway Edema.
From www.researchgate.net
Postextubation airway obstruction therapy flowchart. CLV ¼ cuffleak Extubation Airway Edema Remember to consider other factors: Laryngeal edema reported in as many as 40% of prolonged intubations; 5% patients experience severe upper airway obstruction following extubation; Can be detected by ‘cuff leak’ test; Leave the airway exchange catheter in place temporarily to ensure that the airway is patent. Laryngeal edema is a common cause of airway obstruction in the recently extubated. Extubation Airway Edema.
From www.slideserve.com
PPT Upper Airway Obstruction PowerPoint Presentation, free download Extubation Airway Edema Extubation refers to removal of the endotracheal tube. Post intubation laryngeal edema is common after endotracheal intubation and clinically manifests after extubation. 5% patients experience severe upper airway obstruction following extubation; Leave the airway exchange catheter in place temporarily to ensure that the airway is patent. It is the final step in liberating a patient from mechanical ventilation. Laryngeal edema. Extubation Airway Edema.
From www.slideserve.com
PPT STRATEGIES FOR EXTUBATION OF THE DIFFICULT AIRWAY PowerPoint Extubation Airway Edema It is the final step in liberating a patient from mechanical ventilation. Leave the airway exchange catheter in place temporarily to ensure that the airway is patent. Consider extubation over an airway exchange catheter: Remember to consider other factors: Skill level of junior staff in unit overnight. Laryngeal edema reported in as many as 40% of prolonged intubations; 5% patients. Extubation Airway Edema.
From holisticdoctoronline.com
Tracheal Extubation Holistic Doctor Online Extubation Airway Edema Consider extubation over an airway exchange catheter: Can be detected by ‘cuff leak’ test; Extubation refers to removal of the endotracheal tube. Post intubation laryngeal edema is common after endotracheal intubation and clinically manifests after extubation. Skill level of junior staff in unit overnight. It is the final step in liberating a patient from mechanical ventilation. Laryngeal edema reported in. Extubation Airway Edema.
From www.cureus.com
Postextubation Stridor in a Case of Intracranial Bleed Assessing Extubation Airway Edema Skill level of junior staff in unit overnight. 5% patients experience severe upper airway obstruction following extubation; Leave the airway exchange catheter in place temporarily to ensure that the airway is patent. Laryngeal edema is a common cause of airway obstruction in the recently extubated intensive care unit (icu) patient. Remember to consider other factors: Laryngeal edema (le) is a. Extubation Airway Edema.