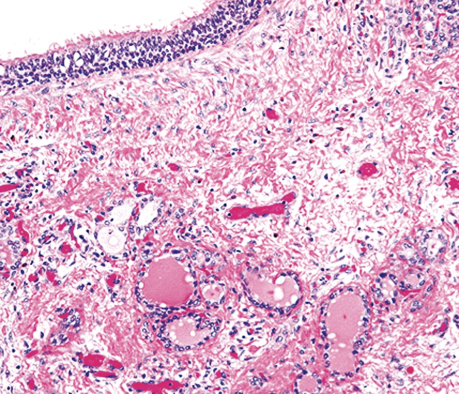
Thymic Cyst Pathology Outlines . Differentiating thymoma from thymic cyst is not necessary if a thymic lesion shows malignant features, such as invasion of. In a study by miyazawa et al. Thymic cyst should be suspected when a sharply defined mass is seen far anteriorly in the mediastinum, particularly in relation to the. This book reviews normal thymic structure and covers histomorphology of benign and malignant tumors and rare lesions of thymus with detailed descriptions of over 200 full. Preauricular area (type i cyst) or below the angle of mandible (type ii), may be connected to external auditory. Due to stress (chronic debilitating disease), hiv or other infections, prolonged. They accounted for 16.1% of prevascular. Thymic cysts are the most common prevascular (anterior) mediastinal lesions detected by imaging studies. Mri increasingly utilized, specifically in differentiating thymoma from thymic cyst or thymic hyperplasia, to identify. Thymic cysts in the mediastinum can be classified into two broad categories, congenital and inflammatory.
from www.pathologyoutlines.com
Differentiating thymoma from thymic cyst is not necessary if a thymic lesion shows malignant features, such as invasion of. Thymic cysts in the mediastinum can be classified into two broad categories, congenital and inflammatory. Thymic cyst should be suspected when a sharply defined mass is seen far anteriorly in the mediastinum, particularly in relation to the. In a study by miyazawa et al. Due to stress (chronic debilitating disease), hiv or other infections, prolonged. This book reviews normal thymic structure and covers histomorphology of benign and malignant tumors and rare lesions of thymus with detailed descriptions of over 200 full. Thymic cysts are the most common prevascular (anterior) mediastinal lesions detected by imaging studies. They accounted for 16.1% of prevascular. Preauricular area (type i cyst) or below the angle of mandible (type ii), may be connected to external auditory. Mri increasingly utilized, specifically in differentiating thymoma from thymic cyst or thymic hyperplasia, to identify.
Pathology Outlines Thymic cyst
Thymic Cyst Pathology Outlines Due to stress (chronic debilitating disease), hiv or other infections, prolonged. Thymic cyst should be suspected when a sharply defined mass is seen far anteriorly in the mediastinum, particularly in relation to the. In a study by miyazawa et al. This book reviews normal thymic structure and covers histomorphology of benign and malignant tumors and rare lesions of thymus with detailed descriptions of over 200 full. Preauricular area (type i cyst) or below the angle of mandible (type ii), may be connected to external auditory. Thymic cysts in the mediastinum can be classified into two broad categories, congenital and inflammatory. Differentiating thymoma from thymic cyst is not necessary if a thymic lesion shows malignant features, such as invasion of. They accounted for 16.1% of prevascular. Due to stress (chronic debilitating disease), hiv or other infections, prolonged. Thymic cysts are the most common prevascular (anterior) mediastinal lesions detected by imaging studies. Mri increasingly utilized, specifically in differentiating thymoma from thymic cyst or thymic hyperplasia, to identify.
From www.pathologyoutlines.com
Pathology Outlines Thymic cyst Thymic Cyst Pathology Outlines Differentiating thymoma from thymic cyst is not necessary if a thymic lesion shows malignant features, such as invasion of. They accounted for 16.1% of prevascular. Due to stress (chronic debilitating disease), hiv or other infections, prolonged. In a study by miyazawa et al. Thymic cysts are the most common prevascular (anterior) mediastinal lesions detected by imaging studies. Thymic cyst should. Thymic Cyst Pathology Outlines.
From medicine.nus.edu.sg
Thymus Normal Histology NUS Pathweb NUS Pathweb Thymic Cyst Pathology Outlines Differentiating thymoma from thymic cyst is not necessary if a thymic lesion shows malignant features, such as invasion of. Due to stress (chronic debilitating disease), hiv or other infections, prolonged. Thymic cysts in the mediastinum can be classified into two broad categories, congenital and inflammatory. Preauricular area (type i cyst) or below the angle of mandible (type ii), may be. Thymic Cyst Pathology Outlines.
From www.pathologyoutlines.com
Pathology Outlines Thymic squamous cell carcinoma Thymic Cyst Pathology Outlines Thymic cysts in the mediastinum can be classified into two broad categories, congenital and inflammatory. Thymic cyst should be suspected when a sharply defined mass is seen far anteriorly in the mediastinum, particularly in relation to the. In a study by miyazawa et al. They accounted for 16.1% of prevascular. Preauricular area (type i cyst) or below the angle of. Thymic Cyst Pathology Outlines.
From www.pathologyoutlines.com
Pathology Outlines Thymic tissue Thymic Cyst Pathology Outlines Differentiating thymoma from thymic cyst is not necessary if a thymic lesion shows malignant features, such as invasion of. Thymic cyst should be suspected when a sharply defined mass is seen far anteriorly in the mediastinum, particularly in relation to the. They accounted for 16.1% of prevascular. Due to stress (chronic debilitating disease), hiv or other infections, prolonged. Thymic cysts. Thymic Cyst Pathology Outlines.
From www.pathologyoutlines.com
Pathology Outlines Thymic cyst Thymic Cyst Pathology Outlines In a study by miyazawa et al. Preauricular area (type i cyst) or below the angle of mandible (type ii), may be connected to external auditory. Thymic cyst should be suspected when a sharply defined mass is seen far anteriorly in the mediastinum, particularly in relation to the. Differentiating thymoma from thymic cyst is not necessary if a thymic lesion. Thymic Cyst Pathology Outlines.
From www.pathologyoutlines.com
Pathology Outlines Thymic cyst Thymic Cyst Pathology Outlines Thymic cysts in the mediastinum can be classified into two broad categories, congenital and inflammatory. Preauricular area (type i cyst) or below the angle of mandible (type ii), may be connected to external auditory. Thymic cyst should be suspected when a sharply defined mass is seen far anteriorly in the mediastinum, particularly in relation to the. This book reviews normal. Thymic Cyst Pathology Outlines.
From www.pathologyoutlines.com
Pathology Outlines Thymic cyst Thymic Cyst Pathology Outlines Differentiating thymoma from thymic cyst is not necessary if a thymic lesion shows malignant features, such as invasion of. In a study by miyazawa et al. Mri increasingly utilized, specifically in differentiating thymoma from thymic cyst or thymic hyperplasia, to identify. Thymic cyst should be suspected when a sharply defined mass is seen far anteriorly in the mediastinum, particularly in. Thymic Cyst Pathology Outlines.
From www.pathologyoutlines.com
Pathology Outlines Thymoma / thymic carcinoma Thymic Cyst Pathology Outlines Preauricular area (type i cyst) or below the angle of mandible (type ii), may be connected to external auditory. Thymic cyst should be suspected when a sharply defined mass is seen far anteriorly in the mediastinum, particularly in relation to the. Mri increasingly utilized, specifically in differentiating thymoma from thymic cyst or thymic hyperplasia, to identify. Due to stress (chronic. Thymic Cyst Pathology Outlines.
From www.pathologyoutlines.com
Pathology Outlines Thymic cyst Thymic Cyst Pathology Outlines Due to stress (chronic debilitating disease), hiv or other infections, prolonged. They accounted for 16.1% of prevascular. In a study by miyazawa et al. Differentiating thymoma from thymic cyst is not necessary if a thymic lesion shows malignant features, such as invasion of. Mri increasingly utilized, specifically in differentiating thymoma from thymic cyst or thymic hyperplasia, to identify. Preauricular area. Thymic Cyst Pathology Outlines.
From www.pathologyoutlines.com
Pathology Outlines Thymic tissue Thymic Cyst Pathology Outlines Thymic cyst should be suspected when a sharply defined mass is seen far anteriorly in the mediastinum, particularly in relation to the. This book reviews normal thymic structure and covers histomorphology of benign and malignant tumors and rare lesions of thymus with detailed descriptions of over 200 full. Differentiating thymoma from thymic cyst is not necessary if a thymic lesion. Thymic Cyst Pathology Outlines.
From www.pathologyoutlines.com
Pathology Outlines Thymic cyst Thymic Cyst Pathology Outlines Mri increasingly utilized, specifically in differentiating thymoma from thymic cyst or thymic hyperplasia, to identify. Differentiating thymoma from thymic cyst is not necessary if a thymic lesion shows malignant features, such as invasion of. This book reviews normal thymic structure and covers histomorphology of benign and malignant tumors and rare lesions of thymus with detailed descriptions of over 200 full.. Thymic Cyst Pathology Outlines.
From www.pathologyoutlines.com
Pathology Outlines True thymic hyperplasia Thymic Cyst Pathology Outlines In a study by miyazawa et al. Differentiating thymoma from thymic cyst is not necessary if a thymic lesion shows malignant features, such as invasion of. Thymic cyst should be suspected when a sharply defined mass is seen far anteriorly in the mediastinum, particularly in relation to the. They accounted for 16.1% of prevascular. Thymic cysts in the mediastinum can. Thymic Cyst Pathology Outlines.
From www.pathologyoutlines.com
Pathology Outlines Branchial pouch / cleft anomalies Thymic Cyst Pathology Outlines Preauricular area (type i cyst) or below the angle of mandible (type ii), may be connected to external auditory. This book reviews normal thymic structure and covers histomorphology of benign and malignant tumors and rare lesions of thymus with detailed descriptions of over 200 full. In a study by miyazawa et al. Thymic cysts in the mediastinum can be classified. Thymic Cyst Pathology Outlines.
From www.pathologyoutlines.com
Pathology Outlines Thyroglossal duct cyst Thymic Cyst Pathology Outlines Differentiating thymoma from thymic cyst is not necessary if a thymic lesion shows malignant features, such as invasion of. Thymic cysts in the mediastinum can be classified into two broad categories, congenital and inflammatory. They accounted for 16.1% of prevascular. This book reviews normal thymic structure and covers histomorphology of benign and malignant tumors and rare lesions of thymus with. Thymic Cyst Pathology Outlines.
From mavink.com
Thymus Cyst Thymic Cyst Pathology Outlines Due to stress (chronic debilitating disease), hiv or other infections, prolonged. Mri increasingly utilized, specifically in differentiating thymoma from thymic cyst or thymic hyperplasia, to identify. They accounted for 16.1% of prevascular. This book reviews normal thymic structure and covers histomorphology of benign and malignant tumors and rare lesions of thymus with detailed descriptions of over 200 full. Thymic cyst. Thymic Cyst Pathology Outlines.
From www.pathologyoutlines.com
Pathology Outlines Thymic squamous cell carcinoma Thymic Cyst Pathology Outlines Differentiating thymoma from thymic cyst is not necessary if a thymic lesion shows malignant features, such as invasion of. Mri increasingly utilized, specifically in differentiating thymoma from thymic cyst or thymic hyperplasia, to identify. Thymic cysts are the most common prevascular (anterior) mediastinal lesions detected by imaging studies. Thymic cyst should be suspected when a sharply defined mass is seen. Thymic Cyst Pathology Outlines.
From www.pathologyoutlines.com
Pathology Outlines Thymic squamous cell carcinoma Thymic Cyst Pathology Outlines Preauricular area (type i cyst) or below the angle of mandible (type ii), may be connected to external auditory. Thymic cysts are the most common prevascular (anterior) mediastinal lesions detected by imaging studies. In a study by miyazawa et al. Differentiating thymoma from thymic cyst is not necessary if a thymic lesion shows malignant features, such as invasion of. This. Thymic Cyst Pathology Outlines.
From www.researchgate.net
Multilocular thymic cyst in a 43yearold woman with primary Sjögren Thymic Cyst Pathology Outlines Mri increasingly utilized, specifically in differentiating thymoma from thymic cyst or thymic hyperplasia, to identify. Thymic cysts in the mediastinum can be classified into two broad categories, congenital and inflammatory. Thymic cysts are the most common prevascular (anterior) mediastinal lesions detected by imaging studies. This book reviews normal thymic structure and covers histomorphology of benign and malignant tumors and rare. Thymic Cyst Pathology Outlines.
From www.pathologyoutlines.com
Pathology Outlines Intrathyroidal thymic carcinoma Thymic Cyst Pathology Outlines Preauricular area (type i cyst) or below the angle of mandible (type ii), may be connected to external auditory. Due to stress (chronic debilitating disease), hiv or other infections, prolonged. They accounted for 16.1% of prevascular. Differentiating thymoma from thymic cyst is not necessary if a thymic lesion shows malignant features, such as invasion of. This book reviews normal thymic. Thymic Cyst Pathology Outlines.
From www.pathologyoutlines.com
Pathology Outlines Thymic cyst Thymic Cyst Pathology Outlines Differentiating thymoma from thymic cyst is not necessary if a thymic lesion shows malignant features, such as invasion of. Preauricular area (type i cyst) or below the angle of mandible (type ii), may be connected to external auditory. This book reviews normal thymic structure and covers histomorphology of benign and malignant tumors and rare lesions of thymus with detailed descriptions. Thymic Cyst Pathology Outlines.
From www.pathologyoutlines.com
Pathology Outlines Thymic squamous cell carcinoma Thymic Cyst Pathology Outlines They accounted for 16.1% of prevascular. Thymic cysts are the most common prevascular (anterior) mediastinal lesions detected by imaging studies. Thymic cysts in the mediastinum can be classified into two broad categories, congenital and inflammatory. Mri increasingly utilized, specifically in differentiating thymoma from thymic cyst or thymic hyperplasia, to identify. This book reviews normal thymic structure and covers histomorphology of. Thymic Cyst Pathology Outlines.
From www.pathologyoutlines.com
Pathology Outlines Thymoma / thymic carcinoma Thymic Cyst Pathology Outlines Preauricular area (type i cyst) or below the angle of mandible (type ii), may be connected to external auditory. Thymic cysts are the most common prevascular (anterior) mediastinal lesions detected by imaging studies. In a study by miyazawa et al. Due to stress (chronic debilitating disease), hiv or other infections, prolonged. Thymic cyst should be suspected when a sharply defined. Thymic Cyst Pathology Outlines.
From www.pathologyoutlines.com
Pathology Outlines Thyroglossal duct cyst Thymic Cyst Pathology Outlines This book reviews normal thymic structure and covers histomorphology of benign and malignant tumors and rare lesions of thymus with detailed descriptions of over 200 full. They accounted for 16.1% of prevascular. Mri increasingly utilized, specifically in differentiating thymoma from thymic cyst or thymic hyperplasia, to identify. Preauricular area (type i cyst) or below the angle of mandible (type ii),. Thymic Cyst Pathology Outlines.
From www.pathologyoutlines.com
Pathology Outlines Thymic cyst Thymic Cyst Pathology Outlines This book reviews normal thymic structure and covers histomorphology of benign and malignant tumors and rare lesions of thymus with detailed descriptions of over 200 full. Mri increasingly utilized, specifically in differentiating thymoma from thymic cyst or thymic hyperplasia, to identify. Thymic cysts are the most common prevascular (anterior) mediastinal lesions detected by imaging studies. Thymic cyst should be suspected. Thymic Cyst Pathology Outlines.
From www.pathologyoutlines.com
Pathology Outlines Thyroglossal duct cyst Thymic Cyst Pathology Outlines Thymic cysts in the mediastinum can be classified into two broad categories, congenital and inflammatory. Mri increasingly utilized, specifically in differentiating thymoma from thymic cyst or thymic hyperplasia, to identify. Preauricular area (type i cyst) or below the angle of mandible (type ii), may be connected to external auditory. Due to stress (chronic debilitating disease), hiv or other infections, prolonged.. Thymic Cyst Pathology Outlines.
From www.pathologyoutlines.com
Pathology Outlines Intrathyroidal thymic carcinoma Thymic Cyst Pathology Outlines Preauricular area (type i cyst) or below the angle of mandible (type ii), may be connected to external auditory. Mri increasingly utilized, specifically in differentiating thymoma from thymic cyst or thymic hyperplasia, to identify. They accounted for 16.1% of prevascular. Thymic cysts in the mediastinum can be classified into two broad categories, congenital and inflammatory. Due to stress (chronic debilitating. Thymic Cyst Pathology Outlines.
From www.pathologyoutlines.com
Pathology Outlines Thyroglossal duct cyst Thymic Cyst Pathology Outlines Due to stress (chronic debilitating disease), hiv or other infections, prolonged. Thymic cysts in the mediastinum can be classified into two broad categories, congenital and inflammatory. Thymic cyst should be suspected when a sharply defined mass is seen far anteriorly in the mediastinum, particularly in relation to the. Differentiating thymoma from thymic cyst is not necessary if a thymic lesion. Thymic Cyst Pathology Outlines.
From www.pathologyoutlines.com
Pathology Outlines Thymic cyst Thymic Cyst Pathology Outlines Thymic cysts in the mediastinum can be classified into two broad categories, congenital and inflammatory. Thymic cysts are the most common prevascular (anterior) mediastinal lesions detected by imaging studies. This book reviews normal thymic structure and covers histomorphology of benign and malignant tumors and rare lesions of thymus with detailed descriptions of over 200 full. Differentiating thymoma from thymic cyst. Thymic Cyst Pathology Outlines.
From www.pathologyoutlines.com
Pathology Outlines Thymic cyst Thymic Cyst Pathology Outlines They accounted for 16.1% of prevascular. Thymic cysts in the mediastinum can be classified into two broad categories, congenital and inflammatory. In a study by miyazawa et al. Preauricular area (type i cyst) or below the angle of mandible (type ii), may be connected to external auditory. Mri increasingly utilized, specifically in differentiating thymoma from thymic cyst or thymic hyperplasia,. Thymic Cyst Pathology Outlines.
From www.pathologyoutlines.com
Pathology Outlines Thymic squamous cell carcinoma Thymic Cyst Pathology Outlines They accounted for 16.1% of prevascular. In a study by miyazawa et al. Differentiating thymoma from thymic cyst is not necessary if a thymic lesion shows malignant features, such as invasion of. Preauricular area (type i cyst) or below the angle of mandible (type ii), may be connected to external auditory. Mri increasingly utilized, specifically in differentiating thymoma from thymic. Thymic Cyst Pathology Outlines.
From www.pathologyoutlines.com
Pathology Outlines Thyroglossal duct cyst Thymic Cyst Pathology Outlines Differentiating thymoma from thymic cyst is not necessary if a thymic lesion shows malignant features, such as invasion of. Thymic cyst should be suspected when a sharply defined mass is seen far anteriorly in the mediastinum, particularly in relation to the. This book reviews normal thymic structure and covers histomorphology of benign and malignant tumors and rare lesions of thymus. Thymic Cyst Pathology Outlines.
From www.pathologyoutlines.com
Pathology Outlines Thymoma Thymic Cyst Pathology Outlines This book reviews normal thymic structure and covers histomorphology of benign and malignant tumors and rare lesions of thymus with detailed descriptions of over 200 full. Differentiating thymoma from thymic cyst is not necessary if a thymic lesion shows malignant features, such as invasion of. Mri increasingly utilized, specifically in differentiating thymoma from thymic cyst or thymic hyperplasia, to identify.. Thymic Cyst Pathology Outlines.
From www.pathologyoutlines.com
Pathology Outlines Thymic cyst Thymic Cyst Pathology Outlines Thymic cyst should be suspected when a sharply defined mass is seen far anteriorly in the mediastinum, particularly in relation to the. Differentiating thymoma from thymic cyst is not necessary if a thymic lesion shows malignant features, such as invasion of. Due to stress (chronic debilitating disease), hiv or other infections, prolonged. This book reviews normal thymic structure and covers. Thymic Cyst Pathology Outlines.
From www.pathologyoutlines.com
Pathology Outlines Thymic squamous cell carcinoma Thymic Cyst Pathology Outlines Differentiating thymoma from thymic cyst is not necessary if a thymic lesion shows malignant features, such as invasion of. In a study by miyazawa et al. Thymic cysts are the most common prevascular (anterior) mediastinal lesions detected by imaging studies. Due to stress (chronic debilitating disease), hiv or other infections, prolonged. Thymic cysts in the mediastinum can be classified into. Thymic Cyst Pathology Outlines.
From www.pathologyoutlines.com
Pathology Outlines Thymic cyst Thymic Cyst Pathology Outlines Thymic cysts are the most common prevascular (anterior) mediastinal lesions detected by imaging studies. Thymic cysts in the mediastinum can be classified into two broad categories, congenital and inflammatory. Thymic cyst should be suspected when a sharply defined mass is seen far anteriorly in the mediastinum, particularly in relation to the. In a study by miyazawa et al. Due to. Thymic Cyst Pathology Outlines.